Reporte de caso y revisión de la literatura.
Fístula aortocava en un devastador aneurisma abdominal: reporte de caso y revisión de la literatura*
Aortocaval Fistula in a Devastating Abdominal Aneurysm: Case Report and Review of the Literature
Fístula de aortocava em um aneurisma abdominal relato de caso e revisão da literatura
Fístula aortocava en un devastador aneurisma abdominal: reporte de caso y revisión de la literatura*
Revista Med, vol. 29, núm. 1, pp. 77-84, 2021
Universidad Militar Nueva Granada. Facultad de Medicina
Recepción: 06 Junio 2021
Aprobación: 28 Febrero 2021
Publicación: 31 Diciembre 2021
Resumen: la presencia de fístulas como complicaciones de aneurismas de aorta abdominal (AAA) es una condición conocida, aunque poco frecuente. Se ha reportado en la literatura una incidencia para fístulas aortocavas (FAC) del 1 % o, incluso, se encuentran valores inferiores en algunas series de casos. El objetivo de este estudio es realizar una revisión de la literatura basada en un caso clínico para dar a conocer el abordaje diagnóstico y los hallazgos por imagen de las FAC con el fin de familiarizar a los lectores con las características más comunes de esta entidad mediante tomografía computarizada. Presentamos el caso de una paciente de 59 años de edad con un cuadro clínico de cuatro días de evolución de dolor abdominal, sin antecedentes de importancia. En el examen físico abdominal se identificó la presencia de una masa pulsátil asociada a soplo abdominal como hallazgos principales. Se procedió a evaluación mediante angioTC abdominal en donde se identificó dilatación aneurismática fusiforme de la aorta abdominal con fístula hacia la vena cava inferior (VCI) y compromiso de la arteria renal derecha con hipoperfusión renal ipsilateral.
Palabras clave: aortic aneurysm, abdominal, fístula vascular, ruptura, vena cava.
Abstract: the presence of fistulas as complications of abdominal aortic aneurysms (AAA) is a known condition, however, infrequent. An incidence of 1 % for aortocaval fistulas (AFC) has been reported in the literature, or even lower values are found in some case series. The aim of this study is to review the literature based on a clinical case to present the diagnostic approach and imaging findings of AFC in order to familiarize readers with the most common characteristics of this entity by computerized tomography. We present the case of a 59-year-old female patient with a clinical picture of four-day evolution abdominal pain, with no relevant history. The abdominal physical examination identified the presence of a pulsatile mass associated with abdominal murmur as the main findings. Abdominal TC angiography assessment identified fusiform aneurysmal dilatation of the abdominal aorta with fistula to the inferior vena cava (VCI), and involvement of the right renal artery with ipsilateral renal hypoperfusion.
Keywords: aortic aneurysm, abdominal, vascular fistula, rupture, vena cava.
Resumo: a presença de fístulas como complicações dos aneurismas da aorta abdominal (AAA) é urna condição conhecida, porém rara. Na literatura, os relatos da incidencia de fístulas aorto-cava (FAC) é de apenas 1 % (valores ainda menores são encontrados em algumas séries de casos). O objetivo deste estudo é realizar uma revisão da literatura baseada em um caso clínico para informar a abordagem diagnóstica e os achados de imagem da FAC, a fim de familiarizar os leitores com as características mais comuns dessa entidade por meio da tomografia computadorizada. Apresentamos o caso de um paciente de 59 anos com quadro clínico de quatro dias de evolução de dor abdominal, sem história significativa. No exame físico abdominal, a presença de massa pulsante associada a sopro abdominal foi identificada como principais achados. Foi realizada uma avaliação com angioTC abdominal, na qual foi identificada dilatação aneurismática fusiforme da aorta abdominal com fístula na veia cava inferior (VCI) e acometimento da artéria renal direita com hipoperfusão renal ipsilateral.
Palavras-chave: aneurisma da aorta, abdominal, fístula vascular, ruptura, veia cava.
Introducción
La ruptura de un aneurisma aórtico es una situación potencialmente fatal. Dentro de las complicaciones de los aneurismas rotos encontramos las fístulas hacia la VCI o el tracto gastrointestinal, las cuales son situaciones inusuales y ensombrecen aun más el pronóstico. Existen reportes en la literatura que mencionan una incidencia de hasta el 1 % para FAC y 0.5 % para fístulas aortoentéricas 1. Dentro de su patogénesis se han descrito diferentes factores involucrados como la ateroesclerosis, la hipertensión arterial, el trauma y factores genéticos 1. El riesgo de ruptura de un aneurisma se relaciona directamente con el diámetro máximo del aneurisma 2.
La clínica del AAA suele ser inespecífica, por esto la gran mayoría es detectada de forma incidental por ecografía, tomografía o resonancia magnética 1,2. Aunque la mayoría de los AAA son silentes, se pueden romper y producir una de las emergencias médicas más dramáticas 3. Los pacientes con ruptura de AAA se presentan clásicamente con dolor abdominal o lumbar punzante y una masa abdominal pulsátil, adicionalmente suele causar hipotensión grave 3.
La TC y, específicamente la angioTC, es la modalidad de elección para la evaluación de pacientes con aneurismas aórticos. Esta herramienta logra un desempeño superior al momento del diagnóstico y en el desarrollo de un tratamiento dirigido según las condiciones del paciente para esta entidad 1.
Caso clínico
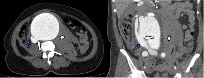
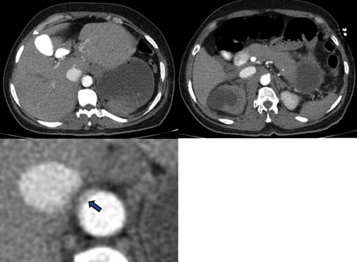
Paciente de 59 años de edad con cuadro clínico de 4 días de evolución consistente en dolor lumbar irradiado a abdomen. Es remitida para valoración, sin antecedentes personales o familiares de importancia. En el examen físico, el paciente está en condiciones generales regulares, taquicárdica, con masa palpable y pulsátil a la exploración abdominal. Se procedió a la realización de angioTC de abdomen. En la fase arterial se observó dilatación aneurismática de la aorta abdominal infrarrenal con un alcance de diámetro de hasta 94 mm con comunicación de la luz entre la aorta abdominal y la vena cava inferior sugestivo de fístula aortocava (Figura 1).

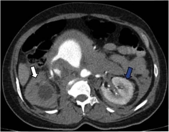
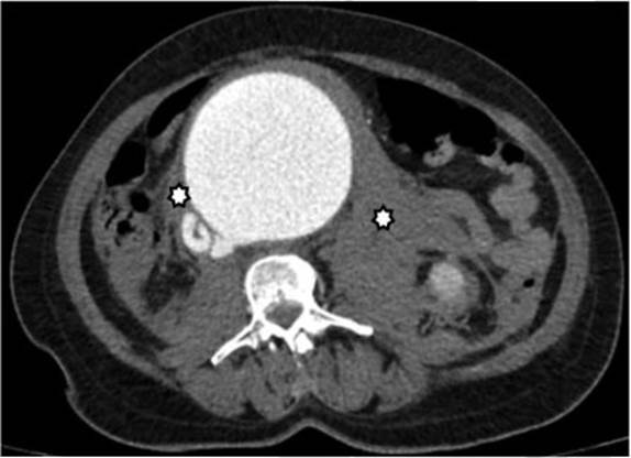
Fue posible identificar la extensión del aneurisma abdominal hasta la bifurcación de las arteria ilíacas adyacente a la VCI en todo su recorrido abdominal (Figura 2). Adicionalmente se observó ausencia de realce del parénquima renal derecho por hipoperfusión y cambios inflamatorios periaórticos con hematoma retroperitoneal asociado (Figuras 3 y 4).



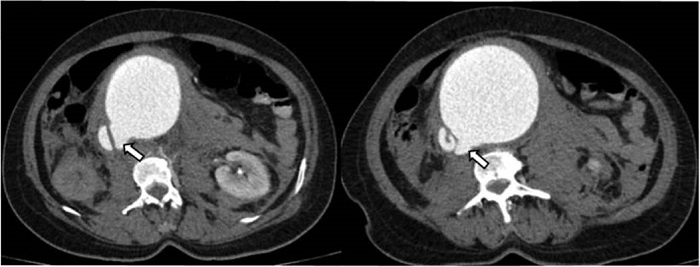
Durante la evaluación de las imágenes, se documentó la presencia de úlceras arterioescleróticas penetrantes, así como la presencia de trombo mural en el recorrido de la aorta abdominal (Figuras 5 y 6).


La paciente es valorada por el servicio de cirugía vascular; no se considera candidata para manejo endovascular por cuello hostil y anatomía quirúrgica no favorable para este tipo de manejo, por lo tanto, se procede a reparación abierta de aneurisma de aorta y corrección de fístula aortocava. En los hallazgos intraoperatorios se encontró lo siguiente: un síndrome adherencial de epiplón a pelvis, con aneurisma de aorta abdominal gigante yuxtarrenal de aproximadamente 10 cm de diámetro, con compromiso de arteria renal derecha, ruptura de aneurisma hacia cavidad de aproximadamente 400 cc, ruptura retroperitoneal contenida con 1500 cc, comunicación aortocava de 6 cm longitudinal; ilíacas primitivas sin aneurismas, arteria renal izquierda permeable, sangrado en capa abundante sugestivo de coagulopatía severa.
El hallazgo de la fístula aortocava se reparó con una rafia lateral de cava con sutura continua de polipropileno 3-0, se conservó permeabilidad de la vena cava y, posteriormente, se corrigió el aneurisma con un injerto de dacrón aortoaórtico realizando exclusión de la arteria renal derecha por compromiso de perfusión de riñón derecho, previamente documentado por Angiotac. Hubo posterior traslado a cuidado intensivo para manejo de choque hemorrágico y cuidados posoperatorios, sin embargo, la paciente falleció durante la hospitalización por complicaciones secundarias a la falla renal.
Discusión
El AAA se define como una dilatación patológica de la aorta abdominal más de 3 cm en el diámetro mayor 1. La degradación de proteínas estructurales, colágeno y elastina debilitan la pared y se vuelve más susceptible a la dilatación 1. En particular, la aorta abdominal infrarrenal contiene una concentración menor de elastina y vasa vasorum, lo que la hace especialmente vulnerable a la formación de aneurismas 1. Los aneurismas abdominales fusiformes son los más comunes y surgen en un contexto de degeneración aterosclerótica. Por su parte, los aneurismas saculares son menos frecuentes y pueden surgir como consecuencia de una úlcera penetrante o tener un origen inflamatorio o infeccioso 1.
El riesgo de ruptura de un AAA se encuentra relacionado con el diámetro del aneurisma 2. Para aneurismas con un diámetro mayor de 7 cm, el riesgo estimado de ruptura es del 20 % por año aproximadamente 2). Comúnmente, la ruptura involucra el aspecto posterolateral del aneurisma con hemorragia hacia retroperitoneo 4. La ruptura intraperitoneal también puede ocurrir originándose de una ruptura de la cara anterolateral del aneurisma 4.
Fístula aortocava
Los aneurismas de la aorta abdominal en su mayoría se rompen hacia el retroperitoneo o la cavidad peritoneal 5. La ruptura de un aneurisma dentro de la VCI es una condición poco común y devastadora 4. Puede ocurrir de forma espontánea en el 1 % de los pacientes o junto con la ruptura en el 4 % de los pacientes 5. La fístula puede estar o no asociada a ruptura retroperitoneal, en cuyo caso el pronóstico suele ser desfavorable 4. Autores plantean que el desarrollo de las FAC implica necrosis por lesión de la pared del aneurisma aórtico, esto conduce a inflamación periaórtica que provoca la adherencia y erosión de la VCI 5. Se han descrito factores de riesgo que incluyen ateroesclerosis, aneurismas micóticos, sífilis y trastornos del tejido conectivo 5.
Una FAC provoca una desviación repentina del flujo sanguíneo del circuito arterial de alta resistencia al circuito venoso de baja resistencia 6. Esto produce una disminución de la resistencia periférica total con un aumento de la resistencia venosa 6. Se aumenta el gasto cardíaco y el miocardio se hipertrofia y luego se dilata hasta causar falla cardíaca 6. A medida que la sangre se desvía a través de la fístula, se reduce la perfusión arterial distal a la fístula y la presión venosa renal elevada provoca una disminución de la presión de perfusión arterial renal 6.
La sintomatologia varía de acuerdo con la extensión del aneurisma y condiciones asociadas como la disección 5. La tríada clínica clásica de ruptura de aneurisma está presente en hasta el 50 % de los pacientes e incluye dolor abdominal, masa pulsátil y choque 2. La presentación clínica de la fístula aortocava aguda o crónica generalmente incluye insuficiencia cardíaca y edema de las extremidades inferiores 2,5. Otros síntomas incluyen disnea, extremidades frías, cianosis, hematuria, insuficiencia renal y edema pulmonar 2.
La TC es la modalidad de elección para la evaluación en el servicio de urgencias, debido a la rapidez del examen y la amplia disponibilidad 7. Las imágenes por resonancia magnética requieren un tiempo de adquisición mucho más prolongado y las imágenes pueden estar menos disponibles y ser menos convenientes 7. La ecografía juega un papel limitado en la evaluación de anomalías aórticas agudas 7.
La angiografía por Tac es el método ideal para su diagnóstico, los hallazgos por imagen de la FAC incluyen:
Opacificación temprana de la VCI en la fase arterial 8.
Pérdida de los planos grasos entre la aorta y la VCI 8.
Aumento del diámetro de la VCI 8.
Visualizar la comunicación anormal entre la aorta y la vena cava 6.
Signos adicionales que soportan FAC son la hipoperfusión renal y la ruptura del aneurisma 5. El trabajo de Navdeep Singh y colaboradores concluyó que la presencia simultánea de contraste en la aorta y la VCI durante la fase arterial es el signo diagnóstico más importante; sin embargo, muy a menudo el aneurisma comprime la VCI, lo que dificulta la evaluación de este signo 5.
El diagnóstico y la cirugía precoces pueden mejorar notablemente el pronóstico de los pacientes con fístula aortocava 9. Un diagnóstico preoperatorio es importante para planificar el tratamiento quirúrgico y prevenir complicaciones adicionales 6. Las opciones de tratamiento incluyen la cirugía abierta y el tratamiento endovascular 10,11. El manejo quirúrgico de la fístula aortocava depende de varios factores que incluyen la forma de presentación clínica, morbilidades, la anatomía quirúrgica y la estabilidad del paciente dentro de la sala de operaciones 12. Este manejo se realiza dependiendo de las morbilidades del paciente y la tolerancia al procedimiento quirúrgico; estas decisiones se toman de forma similar al manejo de los aneurismas de aorta que se reparan de forma electiva. En pacientes jóvenes y saludables se prefiere la reparación abierta, mientras que en los pacientes con múltiples morbilidades se prefiere la reparación endovascular, otro aspecto depende de si la anatomía quirúrgica es favorable o no para la reparación endovascular, ya que para los pacientes con cuello hostil se prefiere la reparación abierta, lo cual es acorde a las decisiones tomadas por otros grupos que han manejado esta patología y la literatura vigente 12.
La reparación endovascular tiene la ventaja de una menor pérdida de sangre en comparación con la reparación abierta con el mismo éxito 6. En una publicación de Orion et al., en la que realizaron una revisión de la literatura, encontraron 67 pacientes con fístulas aortocavas manejadas con reparación abierta y endovascular. Como resultado, de 41 pacientes manejados por vía abierta, se documentó una tasa de complicaciones del 36 % (15 pacientes) dadas por insuficiencia renal, insuficiencia respiratoria, trombosis venosa profunda, obstrucción intestinal, colecistitis acalculosa, colitis pseudomembranosa, infección de la herida, parálisis e isquemia de las extremidades inferiores, con mortalidad del 12 % (5 pacientes), la cual no es inferior comparada con el grupo llevado a manejo endovascular, con mortalidad del 19 % (5/26 pacientes)13.
Conclusión
La FAC es una rara complicación del AAA con una alta tasa de mortalidad. Su baja incidencia lo convierte en un reto, por lo tanto, las imágenes son el elemento fundamental para su diagnóstico. Familiarizarse con los hallazgos en TC permite un diagnóstico preciso y una adecuada valoración preoperatoria.
Bibliografía
Wadgaonkar AD, Black JH, 3rd, Weihe EK, et al. Abdominal aortic aneurysms revisited: MDCT with multiplanar reconstructions for identifying indicators of instability in the pre and postoperative patient. Radiographics. 2015; 35:254-68. DOI: https://doi.org/10.1148/rg.351130137
Schwartz SA, Taljanovic MS, Smyth S, et al. CT findings of rupture, impending rupture, and contained rupture of abdominal aortic aneurysms. AJR Am J Roentgenol. 2007; 188:57-62. DOI: https://doi.org/10.2214/AJR.05.1554
Aggarwal S, Qamar A, Sharma V, et al. Abdominal aortic aneurysm: a comprehensive review. Exp Clin Cardiol. 2011; 16:11-15.
Psathas E, Lioudaki S, Doulaptsis M, et al. Clinical manifestations of aortocaval fistulas in ruptured abdominal aortic aneurysm: report of two cases. Case Rep Surg. 2012; 1:123081. DOI:https://doi.org/10.1155/2012/123081.
Singh N, Kuriakose AM, George RA, et al. Computed tomographic diagnosis of aortocaval fistula. S Afr JRad. 2018; 22:1363. DOI: https://doi.org/10.4102/sajr.V22i1.1363
Ravi R, Peter SB, Swaminathan TS, et al. Spontaneus aortocaval fistula due to abdominal aortic aneurysm rupture - a case report. Indian J Radiol Imaging 2006; 16:453-6.
Rakita D, Newatia A, Hines JJ, et al. Spectrum of CT findings in rupture and impending rupture of abdominal aortic aneurysms. RadioGraphics 2007; 27:497- 507. DOI: https://doi.org/10.1148/rg.272065026
Smillie RP, Shetty M, Boyer AC, et al. Imaging evaluation of the inferior vena cava. Radiographics. 2015; 35:578-592. DOI: https://doi.org/10.1148/rg.352140136
Gonzales SB, Busquéis JC, Figueiras RG, et al. Imaging arteriovenous fistulas. AJR 2009; 193:1425-1433. DOI: https://doi.org/10.2214/AJR.09.2631
Dabbouseh NM, Mason PJ, Patel PJ, et al. Endovascular repair of delayed traumatic aortocaval fistula. Journal of vascular surgery cases and innovative techniques. 2019; 5: 467-471. DOI: https://doi.org/10.1016/j.jvscit.2019.06.012
Nakad G, Abi Chedid G, Osman R. Endovascular treatment of major abdominal arteriovenous fistulas: a systematic review. Vase Endovascular Surg. 2014; 48:388-395 DOI: https://doi.org/10.1177/1538574414540485
Patelis N, Giagkos GC, Maltezos K, et al. Aortocaval fistula: an unusual complication of ruptured abdominal aortic aneurysm. BMJ Case Rep. 2018 18; 477-480. DOI: https://doi.org/10.1136/bcr-2018-224998
Orion KC, Beaulieu RJ, Black JH 3rd. Aortocaval Fistula: is endovascular repair the preferred solution? Ann Vase Surg. 2016; 31:221-8. DOI: https://doi.org/10.1016/j.avsg.2015.09.006
Notas