
Resumen: La exposición a metales pesados como el mercurio genera toxicidad para los seres humanos, ocasionando riesgos neurológicos, respiratorios, hematológicos y renales, los cuales están directamente relacionados con el estado químico del metal, que está a su vez influenciado por la ruta de entrada al organismo, el tiempo de exposición, biotransformación y eliminación. Hay pocos informes de casos de toxicidad relacionada con vapores de mercurio, en los cuales hay compromiso neurológico y pulmonar. Presentamos el caso de una lactante expuesta de forma aguda a vapores de mercurio, quien presentó compromiso pulmonar como principal manifestación de toxicidad y respondió adecuadamente al tratamiento con Ácido Dimercapto Succínico (DMSA).
Palabras clave: Intoxicación por mercurio, quelante, DMSA, Succimer.
Abstract: Mercury steam toxicity in a nursling: case report The exposition to heavy metals like mercury generates toxicity to humans, producing neurologic, pulmonary, hematologic and renal risks, which are directly related to the chemical state of the metal, also influenced by the route of access to the organism, time of exposition, biotransformation and elimination.There are few reports of toxicity related to mercury steam, with neurologic and pulmonary injury. Here we present the case of a nursling girl with acute exposition to mercury vapors, who presented with pulmonary injury as the main manifestation of toxicity, with a good recovery after Dimercapto Succinic Acid (DMSA) treatment.
Keywords: Mercury poisoning, chelator, DMSA, Succimer.
Introducción
Para el año 2013, el Instituto Nacional de Salud reportó que el 65% de los casos de intoxicación ocupacional por sustancias químicas estaba asociado con metales pesados, de los cuales es importante resaltar el mercurio, entendiendo la alta frecuencia de minería artesanal. Hasta un 44% de los municipios de Colombia desarrollan minería tradicional de hecho, representan el 30% del total de explotaciones mineras (Defensoría del Pueblo, 2010).
Los riesgos derivados de la exposición a metales son explicados porque, posterior a su ingreso al organismo se unen a múltiples proteínas esenciales, llevando a disfunción y muerte celular (Berrouet et al, 2008).
La exposición a metales pesados como el mercurio genera toxicidad para los seres humanos, ocasionando riesgos neurológicos, respiratorios, hematológicos y renales, dependiendo de la forma a la que sea expuesto. La toxicidad y los riesgos asociados a este metal se encuentran directamente relacionados con el estado químico del mismo, que son influenciados a su vez por la ruta de entrada del metal al organismo, el tiempo de exposición, biotransformación y eliminación (Berrouet et al, 2008; Magos y Clarkson, 2006).
Dada la frecuencia de la intoxicación por este metal en nuestro país, considerando que en los protocolos de manejo del paciente intoxicado de la Dirección Seccional de Salud de Antioquia (DSSA), el quelante propuesto para el tratamiento es Penicilamina y que en el país hay una carencia de antídotos de mayor eficacia en este escenario, este tipo de intoxicación debe ser considerado como un problema de salud pública, con alto riesgo de compromiso multisistémico y secuelas permanentes (Magos y Clarkson, 2006).
Hay pocos informes de casos de toxicidad relacionada con vapores de mercurio, en los cuales hay compromiso neurológico y pulmonar; nuestro objetivo es reportar el uso exitoso de Succimer, un antídoto que no está frecuentemente disponible en nuestro medio, en una paciente lactante.
Materiales y métodos
Se realizó seguimiento estricto del caso desde el ingreso, documentando la evolución clínica y de paraclínicos.
Se llevaron a cabo búsquedas bibliográficas de bases de datos, PubMed, Scielo, Medline, Ovid y Science Direct.
Se utilizaron las palabras clave intoxicación por mercurio, vapores de mercurio, toxicidad pulmonar, quelante, DMSA, Succimer.
Presentación del caso
Paciente de cuatro meses de edad, sin antecedentes patológicos y con esquema de vacunación completo para la edad.
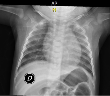
La noche previa a la consulta, según relata el padre de la paciente, se realizó dentro del hogar manipulación de “una bola de oro con fuego”, se presentó liberación de vapores en moderada cantidad, por lo cual suspendieron dicha actividad y encendieron el extractor de la cocina. La paciente se encontraba en otra habitación, a varios metros del lugar del incidente. Durante esa noche la paciente no presentó síntomas, la madre de la paciente refirió dificultad respiratoria transitoria que mejoró rápidamente. Aproximadamente 12 horas después de la exposición la paciente comienza a presentar cuadro de irritabilidad, disnea progresiva y tos; niegan fiebre u otros síntomas. Al ingreso a urgencias pediátricas se encontraba somnolienta, con síndrome de dificultad respiratoria, estridor, aleteo nasal, retracciones subcostales, sin hallazgos auscultatorios. Leve mejoría del estado neurológico después de administración de Oxígeno por cámara cefálica 98%, pero aún polipneica y con aleteo nasal, saturación 100%; radiografía de tórax con infiltrados intersticiales difusos y neumomediastino (Imagen 1).

Ante los hallazgos clínicos y de laboratorio se sospechó cuadro de neumonitis química asociada a inhalación de vapores de mercurio, dado el inicio súbito de los síntomas y dificultad respiratoria de rápida progresión; además madre de la paciente con síntomas respiratorios, aunque de menor intensidad.
Se trasladó a la Unidad de Cuidado Intensivo Pediátrico por el alto riesgo de falla ventilatoria; al ingreso a UCI con regular aspecto general, reactiva e irritable al tacto. FC: 172 x min, PA: 99/58 mmHg, FR: 80 x minuto, Saturación de oxígeno 100% con FiO2 al 90%. T: 36.8°C. Peso: 6.1 Kg. En las primeras 12 horas sólo requirió soporte con O2 al 100% e hidratación parenteral.
12 horas después del ingreso presentó mayor compromiso sistémico y presento síndrome de dificultad respiratoria.PA: 110/59 FC: 184 FR: 60 x min palidez mucocutánea, aleteo nasal, quejido constante. Tiraje subcostal y retracciones universales, taquipneica. Ruidos cardíacos rítmicos, taquicárdicos, pulmones con disminución del murmullo vesicular en bases, especialmente la izquierda, crépitos finos escasos. Poco reactiva al medio, no establece contacto visual, poco parpadeo, llanto débil. Por falla ventilatoria, requirió intubación orotraqueal y soporte ventilatorio bajo sedación y analgesia. Se realizó radiografía de tórax de control que evidenció imagen de neumomediastino disecando hasta pericardio; compromiso intersticial central y tendencia a consolidar en las bases, sin neumotórax ni hidrotórax. Enfisema subcutáneo cervical bilateral (Imagen 2).

Se solicitó niveles de mercurio en sangre reportándose 139 mcg/L. Se inició manejo con Succimer 10mg/kg (60mg) cada 8 horas por sonda nasogástrica, para cinco días de tratamiento con esta dosis. El medicamento se inició 48 horas después de la exposición y 36 horas después del inicio de los síntomas.
Presentó inestabilidad hemodinámica con signos de hipoperfusión generalizada, taquicardia y oliguria; iniciándose soporte vasopresor con adrenalina en infusión hasta 0,3 mcg/kg/hora y líquidos endovenosos, luego de desmontar vasopresores Se logró también extubación posterior a cuatro días de soporte ventilatorio, con adecuada tolerancia y reducción progresiva del aporte de O2 suplementario.
Se completó tratamiento con Succimer por cinco días y se inició tratamiento de continuación, 10mg/kg cada 12 horas durante 14 días, con adecuada tolerancia y sin presentar reacciones adversas.
La paciente fue dada de alta, con buen estado neurológico y respiratorio, sin evidencia clínica ni paraclínica de compromiso sistémico.
Una semana después de terminar el primer ciclo de tratamiento quelante, se realizó control ambulatorio de niveles de mercurio en sangre, los cuales persistían elevados: 41,25 mcg/L. Considerando la edad y el alto riesgo de toxicidad y secuelas relacionadas, se decidió reiniciar nuevo ciclo de tratamiento con Succimer oral: 10mg/kg (80mg) cada 8 horas durante cinco días y posteriormente igual dosis cada 12 horas durante 14 días. Toleró adecuadamente el tratamiento, sin reacciones adversas y, una semana después de terminado el ciclo de quelación, se realizaron niveles de control, los cuales se encontraban por debajo del valor normal para personas expuestas (15 mcg/L).
Se ha realizado seguimiento ambulatorio de la paciente, hasta el momento no hay evidencia de compromiso neurológico o de otros órganos o sistemas.
Resultados
Las tablas 1, 2 y 3 evidencian la evolución de los paraclínicos realizados a la paciente, desde el momento del ingreso, durante el tratamiento quelante y hasta el seguimiento ambulatorio.



Discusión
El mercurio es un metal que se encuentra en diferentes estados, según los cuales puede ingresar por diferentes vías al cuerpo humano. Los estados son: mercurio inorgánico, también conocido como metálico; sales de mercurio, en donde se encuentra como Hg++; y el mercurio orgánico. El mercurio metálico, el cual es el objetivo de esta revisión, es volátil a temperatura ambiente, por lo que su principal vía de absorción es respiratoria, mostrando un riesgo para este sistema (Berrouet et al, 2008).
En este caso es importante establecer el nexo epidemiológico con la actividad minera, en la cual se utiliza mercurio metálico en la extracción de oro, y es el grupo de mayor riesgo de inhalación de vapores tóxicos, que coincide con reportes como el de Cicek-Senturk donde se encuentra el riesgo neurológico, renal y respiratorio, como se evidenció en este caso (Cicek-Senturk et al, 2014; Fiesenbichler et al, 2011; Sarikaya et al, 2010).
El mercurio se absorbe principalmente en forma de vapores, por ser volátil a temperatura ambiente. Así como en el caso reportado, los principales riesgos de la inhalación son neurológicos y respiratorios, llegando incluso a producir cuadros de síndrome de dificultad respiratoria (Suzuki et al, 1977; Bernhoft RA, 2012; Clarkson et al, 2003).
En el organismo el mercurio interactúa con una gran variedad de moléculas como grupos fosforilo, carboxilo y amida, interfiriendo en la síntesis de proteínas y ácidos nucleicos, homeostasis del calcio, fosforilación proteica y con disfunción de mecanismos de transporte y procesos de estrés oxidativo (Berrouet et al, 2008; Tostado E, 2014).
En el caso reportado por Gao y colaboradores (Gao et al, 2017), en el que una paciente en edad preescolar expuesta a vapores de mercurio desarrolló complicaciones respiratorias, como en el caso aquí reportado, es importante resaltar también el riesgo neurológico evidenciado también en dicho reporte; en cuanto a este riesgo Henriksson (Henriksson y Tjälve, 1998) y Bose-O'Reilly (Bose-O´Reilly et al, 2010), desde la década de los noventa, plantearon la migración de estos vapores hasta el sistema nervioso central a través de la vía olfatoria. En el sistema nervioso central, el ion mercurio ingresa a la neurona como si hiciera parte del intercambio aniónico de la misma, afectando la concentración intracelular de los aniones que se usan para la liberación de neurotransmisores, deteriorando las funciones básicas neuronales (Moreno J, 2013). Una vez en la célula, se altera el metabolismo celular por los mecanismos anteriormente mencionados (Gao et al, 2017; Henriksson y Tjälve, 1998; Bose-O´Reilly et al, 2010).
Algunos autores han planteado diferentes fases en la intoxicación por vapores de mercurio, luego de analizar algunos casos reportados. La primera fase se manifiesta como un síndrome gripal o flu-like; la fase intermedia se caracteriza por mayor evidencia de síntomas pulmonares; la fase final se caracteriza por un síndrome de dificultad respiratoria adicional al compromiso neurológico. En los niños está descrita la acrodinia como una manifestación de hipersensibilidad y de toxicidad crónica del mercurio elemental (Gao et al, 2017).
En el que presentamos el compromiso renal no fue una complicación en la evolución de la intoxicación, a diferencia de lo que se evidencia en otros reportes. En el artículo de Triunfante (Triunfante et al, 2009) uno de los mayores riesgos fue renal y requirieron hemodiálisis en el tratamiento de la intoxicación. Por otro lado, Alby-Laurent y colaboradores (Alby-Laurent et al, 2016) también han reportado el riesgo renal como complicación de la exposición al metal por vía inhalatoria (Barbier et al, 2005; Triunfante et al, 2009; Alby-Laurent et al, 2016).
El tratamiento para la intoxicación con mercurio se desarrolló hace más de 70 años; a través de experimentos animales, se encontró que los tres agentes quelantes, BAL (Dimercaprol), DMPS (Unithiol) y DMSA (Succimer) reducían la mortalidad y disminuían el riesgo de complicaciones renales. Los agentes quelantes contienen grupos sulfihidrilo que permiten neutralizar el mercurio y otros metales pesados (Kosnett M, 2013). La eficacia del tratamiento quelante es dependiente del tiempo, lo cual se logra evidenciar en reportes como el de Alby-Laurent, Chao y el nuestro, en los cuales el inicio temprano de la terapia quelante fue fundamental en la mejoría de los pacientes (Gao et al, 2017; Triunfante et al, 2009; Alby-Laurent et al, 2016; Kosnett M, 2013)
Con respecto a los quelantes, los de mayor eficacia son DMPS y DMSA, que fue el utilizado en el caso reportado. Existen otros quelantes como BAL (British Anti Lewisita), EDTA (ácido etilen-diamino-tetraacético) y Penicilamina. Éste último, a pesar de su poca eficacia, es frecuentemente utilizado en países como Colombia; se excreta por la orina y puede producir efectos adversos renales, llegando a requerir diálisis en los casos más complicados (Kosnett M, 2013; Baum C, 1999; OPS, Ministerio de Protección Social de Colombia, 2017)
El ácido 2,3-Dimercapto-1-Propanosulfónico (DMPS) y el ácido Dimercaptosuccínico (DMSA) se pueden utilizar para el tratamiento quelante en intoxicaciones por mercurio orgánico, elemental e inorgánico, con el fin de evitar la distribución hacia sistema nervioso central (Kosnett M, 2013; Baum C, 1999; OPS, Ministerio de Protección Social de Colombia, 2017). En Suramérica existen reportes de caso de la utilidad del DMPS, pero en ninguno de ellos se ha evidenciado una eficacia mayor que la del DMSA (Valderas et al, 2013).
El tratamiento brindado a nuestra paciente contrasta con la evidencia planteada en otros reportes, que plantean al DMSA como un quelante ineficaz; en nuestro reporte, al igual que en el de Gao, el DMSA fue fundamental para la mejoría de las manifestaciones clínicas de la intoxicación (Alby-Laurent et al, 2016; Kosnett M, 2013; Nierenberg et al, 1998).
Aunque en este caso se evidencia cómo el compromiso neurológico mejora después del control de las manifestaciones respiratorias, es claro el riesgo de toxicidad del sistema nervioso central en esta forma de intoxicación por mercurio. Para manifestaciones como las convulsiones y las alteraciones en el estado de alerta, el manejo debe ser sintomático con benzodiacepinas, además del tratamiento quelante; sólo algunos autores proponen otras medidas como el uso de Piridoxina para evitar las convulsiones asociadas a la terapia quelante, sin embargo la revisión de diferentes reportes y de bases de datos muestran que las reacciones adversas neurológicas con éstos son menores al10% de los casos (Kosnett M, 2013; Baum C, 1999; Contreras C et al, 2013).
Para finalizar los autores concluimos que, aunque son pocos los reportes de este tipo de intoxicación en el mundo, en países donde laminería con mercurio es una fuente de ingresos, como lo es Colombia, es importante mejorar la educación sobre los riesgos asociados a la exposición a mercurio metálico y sus vapores, ya que la detección temprana y el tratamiento oportuno evitará consecuencias y secuelas a largo plazo.
Referencias
1. Alby-Laurent F, Honoré-Goldman N, Cavau A, Bellon N, Allali S, Abadie V. Accidental mercury poisoning in a 12-year-old girl. Arch Pediatr. 2016 Nov;23(11):1161-1164
2. Barbier O, Jacquillet G, Tauc M, Cougnon M, Poujeol P. Effect of heavy metals on, and handling by, the kidney. Nephron Physiol. 2005;99:105-110.
3. Baum CR. Treatment of mercury intoxication. Curr Opin Pediatr. 1999; 11: 265-8
4. Bernhoft RA. Mercury Toxicity and Treatment: A Review of the Literature. Journal of Environmental and Public Health, 2012: 1-10.
5. Berrouet MC; Escobar IE; González DM (2008). Toxicidad sistémica asociada con la inyección intramuscular de mercurio metálico: reporte de un caso. Iatreia, 420-425.
6. Bose-O'Reilly S, Mccarty KM, Steckling N, et al. Mercury exposure and children's health. J Curr Prob Pediatr Adolesc Health Care. 2010; 40(8): 186–215.
7. Cicek-Senturk G, Altay FA, Ulu-Kilic A, Gurbuz Y, Tutuncu E, Sencan I. Acute mercury poisoning presenting as fever of unknown origin in an adult woman: a case report. J Med Case Reports 2014; 8(1): 266.
8. Clarkson TW, Magos L, Myers G. The toxicology of mercury: Current exposures and clinical manifestations. N Engl J Med 2003; 349: 1731-1737.
9. Contreras C, Vásquez N, Díaz L. Intoxicación accidental con mercurio elemental. Acta méd. peruana [Internet]. 2013 Ene [citado 2018 Jun 05]
10. Defensoría de Pueblo. La Minería de Hecho en Colombia. Defensoría Delegada para los Derechos Colectivos y del Ambiente. Diciembre de 2010
11. Fiesenbichler J, Werner ME, Sadoghi P, Wolf E, Leithner A. Auto-aggressive metallic mercury injection around the knee joint: a case report. BMC Surg. 2011; 11: 31.
12. Gao Z, Ying X, Yan J, Wang J, Cai S, Yan C. Acute mercury vapor poisoning in a 3-month-old infant: A case report. Clin Chim Acta. 2017; 465: 119-122.
13. Henriksson J, Tjälve H. Uptake of inorganic mercury in the olfactory bulbs via olfactory pathways in rats. J Environ Res. 1998; 77(2): 130–140.
14. Kosnett MJ. The Role of Chelation in the Treatment of Arsenic and Mercury Poisoning. J Med Toxicol. 2013;9(4):347-54.
15. Magos L, Clarkson TW. Overview of the clinical toxicity of mercury. Ann Clin Biochem 2006; 43: 257-268.
16. Moreno JA. Alteraciones comportamentales y de personalidad debido a la exposición ocupacional a mercurio en un grupo de mineros del oro de la región del Bagre Antioquia. 2013 [Citado agosto de 2016]. Disponible en: http://bdigital.ces.edu.co:8080/repositorio/handle/10946/899
17. Nierenberg DW, Nordgren RE, Chang MB, Siegler RW, Blayney MB, Hochberg F, et al. Delayed Cerebellar Disease and Death after Accidental Exposure to Dimethylmercury. N Engl J Med. 1998; 338(23):1672-6.
18. Organización Panamericana de la Salud. Ministerio de Protección Social de Colombia. Guías para el manejo de Urgencias Toxicológicas 2017. ISBN 978-958 -5401-334
19. Sarikaya S, Karcioglu O, Ay D, Cetin A, Aktas C, Serinken M. Acute mercury poisoning: a case report. BMC Emerg Med. 2010; 10: 7.
20. Suzuki T, Takemoto T, Shishido S, Kani K. Mercury in human amniotic fluid. Scand J Work Environ Health. 1977; 3(1): 32-5.
21. Tostado E. Neurotoxicidad de los metales pesados: Plomo, Mercurio y Aluminio. Una revisión sistemática. 2014. [Citado agosto 2017]. Disponible en: https://uvadoc.uva.es/bitstream/10324/7188/1/TFM-M149.pdf
22. Triunfante, Soares ME, Santos A, Tavares S, Carmo H, Bastos de L. Mercury fatal intoxication: two case reports. Forensic Sci Int. 2009 Jan 30;184(1-3):e1-6
23. Valderas J, Mejías ME, Riquelme J, Aedo K, Aros S, Barrera F. Intoxicación familiar por mercurio elemental: Caso clínico. Rev. chil. pediatr. [Internet]. 2013 Feb [citado 2018 Jun 05]
Notas de autor
Médico y cirujano, Especialista en Pediatría y Cuidado Intensivo Pediátrico. Msc. Ciencias Clínicas. Docente Pregrado y Posgrado, Facultad de Medicina,
Universidad de Antioquia. Pediatra Intensivista, Unidad de Cuidado Intensivo Pediátrico, Hospital Universidatio de San Vicente Fundación, Medellín,
isaescobartoledo@gmail.com