Efecto tóxico del ibuprofeno y meloxicam en la estructura histológica de testículos y calidad seminal de ratas albinas (Rattus norvegicus) variedad Sprague Dawley
Toxic effect of ibuprofen and meloxicam in the histological structure of testes and semen quality of albino rats (Rattus norvegicus) variety Sprague Dawley
Efecto tóxico del ibuprofeno y meloxicam en la estructura histológica de testículos y calidad seminal de ratas albinas (Rattus norvegicus) variedad Sprague Dawley
Revista de Toxicología, vol. 35, núm. 2, pp. 89-94, 2018
Asociación Española de Toxicología

Resumen: Se evaluó el efecto toxico del ibuprofeno y meloxicam en la estructura histológica del testículo y calidad seminal de ratas albinas (Rattus norvegicus) variedad Sprague Dawley. Se utilizaron 18 ratas machos de 250 a 300 gramos de peso corporal y de 5 meses de edad, asignados en 3 grupos: grupo 1 control, grupo 2 con una dosis de 120 mg·kg⁻¹·día⁻¹ de ibuprofeno, grupo 3 con una dosis de 1 mg·kg⁻¹·día⁻¹ de meloxicam. Las tabletas de ibuprofeno y meloxicam se diluyeron en agua destilada hasta obtener la concentración previamente establecida, el grupo control recibió solo suero fisiológico. El tratamiento se administró por vía oral usando jeringas de 1 mL provistas de una cánula de intubación oro-esofágica. Concluidos los 30 días, todas las ratas machos fueron eutanizadas con cloroformo comercial y se procedió a extraer los testículos y el epidídimo de cada grupo. El análisis histológico se observó una disminución significativa en la altura de la pared del tubo seminífero así como el diámetro de los mismos; daños severos en las células germinales, congestión vascular intersticial; aumento del tejido conjuntivo, disminución en el número y alteración de la morfología de los espermatozoides en comparación con el grupo control.
Palabras clave: meloxicam, ibuprofeno, enzimas ciclooxigenasas, prostaglandinas.
Abstract: The toxic effect of ibuprofen and meloxicam on the histological structure of the testes and seminal quality of albino rats (Rattus norvegicus) variety Sprague Dawley was evaluated. Eighteen male rats of 250 to 300 grams body weight and 5 months of age were used, assigned in 3 groups: group 1 control, group 2 with a dose of 120 mg·kg⁻¹·day⁻¹ ibuprofen, group 3 with a dose of 1 mg·kg⁻¹·day⁻¹ meloxicam. Ibuprofen and meloxicam tablets were diluted in distilled water to the previously established concentration, the control group received only physiological serum. Treatment was administered orally using 1 mL syringes provided with a oral-esophageal intubation cannula. At the end of the 30 days, all male rats were euthanized with commercial chloroform and the testes and epididymis were removed from each group. Histological analysis showed a significant decrease in seminiferous tube wall height and diameter; severe damage to germinal cells, interstitial vascular congestion; increased connective tissue, decreased number and morphology of spermatozoa compared to the control group.
Keywords: meloxicam, ibuprofen, cyclooxygenase enzymes, prostaglandins.
Introducción
La prescripción de antiinflamatorios no esteroides (AINEs) es habitual en todo el mundo. Estos fármacos incluyen a los agentes inhibidores de la enzima ciclo-oxigenasa (COX). Esta enzima media en la formación de prostaglandinas (PGs) a partir del ácido araquidónico, teniendo dos isoformas principales: COX-1 y COX-2 (Riendeau et al., 1997). La COX-1 está implicada en la producción de tromboxano A2 (TXA2) (Belton et al., 2000) mientras la COX-2 se relaciona con la producción de prostaglandina E2 (PGE2) y prostaciclina (PGI2) (Brock et al., 1999). La COX-1 se encuentra constitutivamente en la mayoría de los tejidos, mientras que COX-2 es constitutiva en algunos tejidos pero su nivel aumenta en los procesos inflamatorios (Smith et al., 1998). La COX-2 se sintetiza en respuesta a factores proinflamatorios y mitogénicos que incluyen citoquinas, endotoxinas bacterianas, interleucinas y factor de necrosis tumoral (Williams et al., 2000).
El ibuprofeno es un AINE empleado en el tratamiento de procesos dolorosos de intensidad leve y moderada, tratamiento de la fiebre y el tratamiento sintomático de procesos reumáticos e inflamatorios (Moore et al., 2015). Su mecanismo de acción es debido a la inhibición no selectiva de la COX, reduciendo la síntesis de PGs y dando lugar a una disminución de los tromboxanos (Khan et al., 2018). Por ello es frecuentemente utilizado como antipirético y para combatir el dolor en algunas partes del organismo. Inhibe de manera reversible la agregación plaquetaria, aunque menos que el ácido acetilsalicílico (Gengo et al., 2008).
El meloxicam es otro fármaco perteneciente al grupo de los AINEs. Desarrolla una potente actividad inhibitoria selectiva sobre la COX-2 tanto in vivo como in vitro en la cascada de las PGs, y desde 1994 es reconocido como tal (Simmons, 2004). El bloqueo selectivo y específico sobre la COX-2 le otorga un doble beneficio terapéutico al lograr por un lado una notable actividad antiinflamatoria y analgésica, y por el otro, una excelente tolerancia con mínimos efectos gastrolesivos o ulcerogénicos. Estudios clínicos han demostrado que los pacientes tratados con meloxicam experimentan menos afectos adversos gastrointestinales que aquellos tratados con otros AINEs. Esto se debe a que el meloxicam parece no afectar la COX-1 que es la enzima que facilita la producción de PGs relacionada con los efectos colaterales gastrointestinales y renales (Sostres et al., 2013). En estudios con animales, el meloxicam ha demostrado una potente acción antiinflamatoria con una menor inhibición de PGE2 a nivel estomacal y renal, comparado con otros AINEs, y también ha demostrado ser más potente reduciendo el edema en tejidos inflamados de rata en comparación con el piroxicam o diclofenaco (Gupta et al., 2002).
En los últimos años se está revisando la seguridad de los AINEs en la práctica clínica, particularmente los efectos cardiovasculares, cerebrovasculares y renales adversos de los inhibidores selectivos de la COX-2 (Batlouni, 2010), así como los efectos de la exposición en útero a AINEs no selectivos en infantes (Lind et al., 2016). Sin embargo, con respecto a la reproducción humana se ha señalado que el uso regular de ibuprofeno (AINE no selectivo) no afectaría los parámetros del semen ni la morfología de Kruger (Robinson et al., 2005), y que en ratas macho (5.6 mg·kg⁻¹, por 35 días) los parámetros del esperma no cambiaron excepto el nivel de testosterona en el plasma, que disminuyó (Stutz et al., 2000). Otras pruebas animales, principalmente en ratas, se han empleado para determinar la potencia y efecto antiinflamatorio de los AINEs (Altman et al., 1995, Mukherjee et al., 1996), así como sus efectos inhibitorios de andrógenos, enzimas transformadoras de esteroides en testículos (Kwan et al., 1993) y desarrollo de células germinales fetales (Dean et al., 2016).
Más recientemente, pruebas humanas han confirmado alteraciones en el desarrollo y fisiología testicular producidas por AINEs, tanto en fetos como en hombres jóvenes (Ben Maamar et al., 2017; Kristensen et al., 2018), sufriendo humanos y ratas similares consecuencias cuando se administraron AINEs en determinada etapa de desarrollo fetal. El objetivo de este estudio es determinar el efecto de dos AINEs ampliamente usados (ibuprofeno y meloxicam) en la estructura histológica de los testículos y calidad seminal de ratas albinas (Rattus norvegicus) Sprague Dawley.
Material y Métodos
Preparación y manejo de los animales
Se emplearon ratas (Rattus norvegicus) macho de la variedad Sprague Dawley de 250 a 300 gramos de peso corporal, obtenidas del bioterio de la Universidad Católica de Santa María, en Arequipa, Perú. Los animales fueron alojados en jaulas especiales acondicionadas para la crianza individual con libre acceso a alimento balanceado y agua ad libitum, en un ambiente con temperatura y ventilación controlada (20 ± 2 °C) y humedad del 40 %; el ciclo de iluminación fue de 12 h de luz y 12 h de oscuridad. El comité Institucional de Ética en Investigación de la Facultad de Medicina de la Universidad Nacional de San Agustín de Arequipa aprobó los procedimientos experimentales. El sacrificio se realizó de acuerdo con las normas bioéticas de la Facultad de Medicina de la Universidad Nacional de San Agustín de Arequipa.
Asignación de grupos
Se distribuyó aleatoriamente, en 3 grupos de 6 ratas cada uno, los cuales fueron asignados de la siguiente manera: Grupo 1 Control, suero fisiológico 1 ml·kg⁻¹·día⁻¹; Grupo 2 ibuprofeno 120 mg·kg⁻¹·día⁻¹; Grupo 3 meloxicam 1mg·kg⁻¹·día⁻¹.
Preparación de tratamiento
Las diluciones de AINEs se prepararon una vez por día usando tabletas de ibuprofeno (800 mg), meloxicam (15 mg) y agua destilada hasta obtener la concentración previamente establecida. El grupo control recibió suero fisiológico (NaCL al 0.9%). El tratamiento se administró por vía oral usando jeringas de 1 mL provistas de una cánula de intubación oro-esofágica.
Luego de 30 días, todas las ratas fueron eutanizadas con cloroformo comercial en una campana de vidrio. Luego se procedió a extraer los testículos de cada grupo y se fijaron en frascos pequeños con formol al 10% durante 24 horas. Los testículos fijados en formol fueron sometidos a la técnica histológica de rutina para la obtención de láminas histológicas permanentes de 5 µm de grosor para su posterior descripción histológica. También se extrajeron los epidídimos que fueron colocados en suero fisiológico.
Obtención de láminas histológicas permanentes
Los testículos fijados en formol fueron preparados para la observación histológica mediante coloración hematoxilina/eosina, obteniendo luego láminas histológicas permanentes de 5 µm de grosor para su observación al microscopio.
Evaluación de la altura del epitelio seminífero
Para obtener los datos de la altura del epitelio seminífero se utilizó un ocular micrométrico graduado hasta 50 µm, y se cuantificaron 50 túbulos seminíferos por cada grupo experimental.
Recuento espermático
El recuento de espermatozoides se expresó en millones por mililitro de semen y el porcentaje de células anormales se calculó en relación a las células de ese volumen. Para ello, la región caudal de los epidídimos se colocó en una placa Petri con 2ml de solución de cloruro de sodio al 0.9% durante 24 horas a 4º C. Con una aguja de jeringa se realizaron diversas incisiones a fin de facilitar la dispersión del esperma y el recuento de espermatozoides se realizó en cámara hemocitométrica de Neubauer.
Morfología espermática
Para evaluar la morfología espermática se usó la misma muestra del procedimiento anterior, realizando un frotis al cual se le agregó una gota de eosina. Se observaron 100 espermatozoides por animal empleando el microscopio óptico, para determinar su condición (viable/no viable). Las alteraciones morfológicas fueron clasificadas en categorías generales relacionadas con la morfología de la cabeza (sin curvatura, cabeza de alfiler o de forma aislada, es decir sin cola adjunta) y la morfología de la cola (fragmentado o aislado, sin cabeza unida, o enrollada en forma de espiral).
Evaluación histopatológica
Para la evaluación de los daños histopatológicos se tomaron 10 campos por cada grupo (control y experimental) usando el microscopio óptico. Los resultados se puntuaron de 0 a 3 y se expresaron como porcentajes. La puntuación se realizó de acuerdo a Uzun et al., (2015), con valores de 0 (ausencia de daño, ningún hallazgo histopatológico presente en los campos); 1 (daño leve, menos del 25% de los campos contienen evidencia de cualquier hallazgo histopatológico); 2 (daño moderado, del 25 al 50% de los campos contenían evidencia de cualquier hallazgo histopatológico); y 3 (daño grave, más del 50% de los campos contenían pruebas de hallazgos histopatológicos).
Análisis estadístico
Los datos estadísticos se expresaron como promedios. Las diferencias estadísticas entre los grupos fueron analizados por ANOVA y la prueba de especificidad de Tukey. Las diferencias fueron estadísticamente significativas si p<0.05. Se utilizó el paquete estadístico computarizado SPSS® versión 21.0 para Microsoft Windows®.
Resultados
Diámetro y Altura de la pared de los Túbulos Seminíferos
El diámetro y la altura de la pared de los túbulos seminíferos disminuyeron significativamente en los animales tratados con meloxicam e ibuprofeno comparados con los animales del grupo control. No hubo diferencia estadística entre los grupos de tratamientos (Figuras 1 y 2).


Recuento Espermático
Se observó una disminución significativa (p<0.05) en el número de espermatozoides tratados con meloxicam e ibuprofeno (126 y 132 respectivamente) en relación con el grupo control (151). No hubo una diferente significativa entre el recuento de espermatozoides de los dos tratamientos.
Morfología Espermática
Se encontraron anormalidades en la cabeza, en la pieza intermedia y en la cola de los espermatozoides. Las anormalidades en la cabeza y en la cola (19.0 y 22.1 respectivamente) de los espermatozoides del grupo control fueron significativamente menores que las de los espermatozoides de los grupos tratados con meloxicam (37.2 y 34.8 para la anormalidad de la cabeza y cola, respectivamente) e ibuprofeno (39.3 y 41.7 para la anormalidad de la cabeza y cola, respectivamente). Sin embargo, no hubo diferencia significativa entre los valores de anormalidad de la cabeza y cola de los espermatozoides de los tratamientos con meloxicam e ibuprofeno.
Por otra parte, el tratamiento con ibuprofeno resultó en mayores anormalidades en la pieza intermedia de los espermatozoides (50.3) en comparación con el grupo control y el tratamiento con meloxicam, que no presentaron diferencia significativa entre sí (35.0 y 34.1 respectivamente).
Evaluación histopatológica
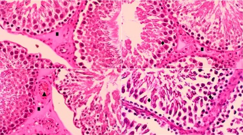
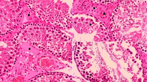
La Figura 3 muestra microfotografías de la evaluación histopatológica del testículo del grupo control. Se observaron túbulos seminíferos normales, sin incremento de tejido conjuntivo en el espacio intersticial o congestión de los vasos sanguíneos. Las Figuras 4 y 5 muestran el daño histológico provocado por los tratamientos con meloxicam e ibuprofeno, respectivamente.



Discusión
Aunque se ha establecido que la administración crónica de altas dosis de los AINEs, tales como paracetamol y fenacetina, conduce a la atrofia testicular y la inhibición de la espermatogénesis en ratas y humanos, algunos autores han sugerido que se trata de una parte no específica del síndrome de toxicidad inducida por drogas u otros compuestos químicos que no tienen ningún efecto sobre la síntesis de PGs (Boyd, 1970). En varios modelos de toxicidad tales como lesiones de la mucosa gástrica, lesión hepática y pancreatitis inducida por meloxicam o naproxeno de sodio, los efectos tóxicos de estos agentes se han asociado con una disminución de la síntesis de PGs, así como con la formación de radicales libres inducida secundariamente y la disminución de los mecanismos de defensa antioxidantes (Sostres et al., 2013).
Hay pocos estudios que indiquen los efectos perjudiciales del ibuprofeno sobre el potencial de fertilidad de los espermatozoides y la integridad del ADN. Se conoce (Lannacone et al., 2009) que el ibuprofeno es un AINE que inhibe la actividad de la enzima COX, dando lugar a una disminución de precursores de las PGs y de los tromboxanos a partir del ácido araquidónico.
Sólo un estudio previo evaluó el efecto de la administración intracerebroventricular de ácido araquidónico (150 a 300 µL/5 µL) sobre los niveles de hormona liberadora de gonadotropina (GnRH), hormona estimulante folicular (FSH), hormona luteinizante (LH), testosterona y algunos parámetros del esperma en ratas macho Sprague Dawley (Erkan et al., 2015). El ácido araquidónico causó un incremento en el plasma de FSH, LH y testosterona, aunque no en GnRH. También se incrementó significativamente la movilidad del esperma sin alterar su número en comparación al control. Las ratas pretratadas intracerebroventricularmente con ibuprofeno (150 µg/5 µL) y furegrelato (un inhibidor de la síntesis de TXA2, 250 µg/5 µL), previnieron los aumentos provocados en los niveles de FSH, LH, testosterona y movilidad espermática. Nuestros resultados indican que cuando se administró ibuprofeno o meloxicam el recuento de espermatozoides disminuyó en relación al control, pero los autores citados no encontraron diferencia significativa con respecto al número y morfología de espermatozoides entre los grupos de ratas tratadas con ibuprofeno y furegrelato, y los que fueron administrados con ácido araquidónico o solución salina. De la misma manera, los autores (Erkan et al., 2015) no encontraron diferencia significativa en el total de los defectos morfológicos del espermatozoide, mientras que nuestros hallazgos indican que las ratas tratadas con ibuprofeno presentaron un mayor porcentaje de defectos en la pieza intermedia de los espermatozoides con respecto a las tratadas con meloxicam y el grupo control.
Aunque el rol de las COX en el órgano reproductor masculino sigue siendo poco claro, hay algunos informes (Kubota et al., 2001) que sugieren que la COX-2 podría tener un efecto sobre la espermatogénesis o la esteroidogénesis. Empleando un modelo de ratones macho de 5 semanas con criptorquidismo, se determinó que la expresión de la COX-2 se incrementó en los testículos criptorquideos, en los cuales el inhibidor de COX-1 no afectó la espermatogénesis. Se sugiere que el inhibidor de COX-2 provocó daño testicular en criptorquidia experimental. La expresión de COX-2 podría inducirse para proteger las células germinales del estrés térmico causado por la criptorquidia. Por otra parte, el desarrollo de ratones deficientes en COX-1 y/o COX-2 ha demostrado que la fertilidad masculina no se ve afectada en los ratones mutantes COX-1 o COX-2 de los experimentos de knock out, lo que sugiere que las PGs pueden no ser importantes para el funcionamiento del testículo. Esta reciente visión general está siendo cuestionada por observaciones más recientes. Se ha informado (Frungieri et al., 2007) que, mientras que la COX-2 no se detecta en los testículos humanos normales, se expresa en las biopsias testiculares de los hombres con espermatogénesis deteriorada e infertilidad masculina. Anteriormente se había establecido que la inhibición de la COX puede resultar en alteración del microambiente epididimario, donde se almacena más del 90% de los espermatozoides extra testiculares (O'Neill et al., 1993).
Cuando se evaluaron los niveles de testosterona y exámenes histopatológicos del tejido del testículo después de la administración de naproxeno sódico y meloxicam en ratas machos (Uzun et al., 2015), los resultados mostraron que el número de espermatozoides y su motilidad disminuyeron considerablemente en los grupos de tratamiento, de similar forma a la que observamos en el presente estudio. Según los autores citados, el examen histopatológico mostró daño en los túbulos seminíferos concluyendo que el naproxeno sódico y meloxicam tienen un mecanismo de toxicidad reproductiva inducida, basada en la inhibición de la síntesis de PG y la inducción de oxidación celular. Las PGs juegan un papel importante en la regulación de la actividad reproductiva en ambos sexos. La administración sistémica de PGs aumenta los niveles circulantes de prolactina (PRL), FSH y LH. Está claro que, la inhibición química de las PG tiene un efecto dramático sobre la reproducción femenina (Stone et al., 2002). Igualmente, hay algunos estudios anteriores (Winnall et al., 2007) mostrando que las PGs E y F desempeñan un papel significativo en el proceso de espermatogénesis. Nuestras observaciones de daños histológicos en los testículos tratados con ibuprofeno y meloxicam, respaldarían los reportes que indican que la inhibición de COX resulta en daño testicular.
Esto concuerda con otros reportes que señalan que el meloxicam y el ibuprofeno disminuyen la síntesis de PGs y la formación de radicales libres, contribuyendo al daño celular, siendo las células germinales y especialmente los espermatozoides muy sensibles al daño inducido por el estrés oxidativo (Mandal y Das, 2011). El estrés oxidativo prolongado en los testículos puede causar alteraciones histopatológicas significativas en los tejidos, como las que observamos en las Figuras 4 y 5. Los radicales libres inducen la peroxidación lipídica de ácidos poliinsaturados unidos a membrana de los testículos de mamíferos y otras biomembranas que conducen a deterioro de la integridad de la membrana y la degeneración de los túbulos seminíferos. Como resultado, se produce atrofia testicular y degeneración tisular.
Normalmente las células están protegidas contra el estrés oxidativo por los sistemas antioxidantes. El aumento del estrés oxidativo en las células, tejidos y órganos tiene el potencial de causar anormalidades fetales e infertilidad. El estrés oxidativo es considerado como el factor más importante en la etiología de la infertilidad masculina Se ha demostrado (Tremellen, 2008) que los niveles de radicales libres (especies reactivas del oxígeno ROS) se incrementan en el 25 – 40% de los hombres infértiles, que tienen un efecto negativo sobre la morfología y la motilidad de los espermatozoides. Nuestros resultados indican un deterioro de la morfología (defectos) de los espermatozoides de ratas administradas con ibuprofeno o meloxicam.
La toxicidad inducida por ROS en los espermatozoides comienza con la peroxidación lipídica, seguida de alteración de la motilidad, daño al ADN y disminución de la capacidad para promover el desarrollo embriológico normal. Además, las ROS afectan la capacidad esteroidogénica de las células de Leydig en los testículos. La presencia de múltiples factores que pueden desencadenar el estrés oxidativo hace que el tejido testicular sea altamente dependiente del oxígeno para la espermatogénesis y también sea muy sensible a los efectos tóxicos de los metabolitos reactivos del oxígeno (Aitken y Roman, 2008), lo que lo hace muy similar al cerebro en este contexto.
Generalmente, el daño a la célula espermática por diversas sustancias puede ocurrir por uno de tres mecanismos: fisiológico, citotóxico y genético. Las anomalías morfológicas (cabeza, pieza intermedia y cola) reportadas en el presente estudio para las ratas administradas con meloxican o ibuprofeno muestran diferencias significativas en relación al control y pueden haber sido causadas por alteraciones (delecciones, mutación puntual o una combinación de ambas) en el ADN testicular, que a su vez interrumpe el proceso de diferenciación de los espermatozoides (Ekalou et al., 2012). El ibuprofeno puede causar una reducción significativa en los parámetros espermáticos y la integridad de la cromatina / ADN del esperma en ratones (Roodbari et al., 2015). Estos efectos deletéreos son dependientes de la dosis y pueden observarse en la etapa temprana y tardía de los tratamientos farmacológicos.
En relación a las anomalías en la cola o flagelo de las células espermáticas, Ekalou et al. (2012) estudiaron los efectos negativos de la aspirina sobre la motilidad de los espermatozoides, determinando alteraciones en la morfología normal del espermatozoide, coincidiendo con nuestros resultados también con la modificación morfológica de células espermáticas con la administración de meloxican e ibuprofeno.
La reducción en el recuento de espermatozoides y la viabilidad puede ser el resultado de la muerte celular por necrosis o apoptosis, que fue inducida por los tratamientos de meloxican e ibuprofeno. La disminución de las células espermáticas sometidas a meloxican e ibuprofeno en relación al control, puede tener varias causas ya que una sola exposición puberal temprana al meloxican, como indican Patel et al. (2017) resulta en una reducción permanente del número de células de Sertoli y una consiguiente reducción en el número total de células germinales. Sin embargo, además de este cambio global, estos autores también indican que la exposición al meloxican resultó en una pérdida significativa de espermátides por célula de Sertoli, lo que redujo el número de espermatozoides.
Conclusiones
Este trabajo presenta evidencias de que existe un efecto perjudicial a nivel histológico en las células germinales, así como anormalidades en los espermatozoides de ratas albinas a las que se administró ya sea meloxicam o ibuprofeno, a una dosis de 1 mg·kg·día⁻¹. La disminución considerable del número de espermatozoides así como el daño en los túbulos seminíferos en los animales tratados con meloxicam e ibuprofeno comparado con los animales del grupo control, se pueden atribuir a los niveles bajos de PGs causados por la inhibición de la COX-2 inducida por estos agentes. Posteriores estudios son necesarios para evaluar el daño en el ADN y fertilidad de las ratas que reciban este tratamiento. Estos hallazgos deberían ser revisados cuando se considera la administración de estos AINEs en animales.
Referencias
1. Aitken RJ y Roman SD. Antioxidant systems and oxidative stress in the testis. Oxid. Med. Cell. Long. 2008; 1(1), 15–24.
2. Altman RD, Latta LL, Keer R, Renfree K, Hornicek FJ y Banovac K. Effect of nonsteroidal antiinflammatory drugs on fracture healing: A laboratory study in rats. J. Orthop. Trauma. 1995; 9(5), 392–400.
3. Batlouni, M. Antiinflamatorios no esteroides: Efectos cardiovasculares, cerebrovasculares y renales. Arq. Bras. Cardiol. 2010; 94(4), 538-546.
4. Ben Maamar M, Lesné L, Hennig K, Desdoits-Lethimonier C, Kilcoyne KR, Coiffec I, Rolland AD, Chevrier C, Kristensen DM, Lavoué V, Antignac JP, Le Bizec B, Dejucq-Rainsford N, Mitchell RT, Mazaud-Guittot S, Jégou B. Ibuprofen results in alterations of human fetal testis development. Sci. Rep.-UK. 2017 1–15.
5. Boyd, E. M. Testicular atrophy from analgesic drugs. J. Clin. Pharmacol. 1970; 10(4), 222–7.
6. Brock TG, McNish RW, Peters-Golden M. Arachidonic Acid Is Preferentially Metabolized by Cyclooxygenase-2 to Prostacyclin and Prostaglandin E2. J. Biol. Chem. 1999; 274(17), 11660–11666.
7. Dean A, van den Driesche S, Wang Y, McKinnell C, Macpherson S, Eddie SL, Kinnell H, Hurtado-Gonzalez P, Chambers TJ, Stevenson K, Wolfinger E, Hrabalkova L, Calarrao A, Bayne RA, Hagen CP, Mitchell RT, Anderson RA, Sharpe RM. Analgesic exposure in pregnant rats affects fetal germ cell development with inter-generational reproductive consequences. Sci. Rep. 2016. 6(1), 19789.
8. Ekaluo UB, Ikpeme EV, Udokpoh AE. Sperm head abnormality and mutagenic effects of aspirin, paracetamol and caffeine containing analgesics in rats. Internet. J. Toxicol. 2012; 7(1), 6-11.
9. Erkan LG, Altinbas B, Guvenc G, Alcay S, Toker MB, Ustuner B, Udum Kucuksen D, Yalcin M. Brain thromboxane A2 via arachidonic acid cascade induces the hypothalamic-pituitary-gonadal axis activation in rats. Auton. Neurosci.-Basic. 2015; 189, 50–55.
10. Frungieri MB, Gonzalez-Calvar SI, Matzkin ME, Mayerhofer A, Calandra RS. Sources and functions of prostaglandins in the testis: evidence for their relevance in male (in)fertility. Anim. Reprod. 2007; 4(3/4), 63–69.
11. Gengo FM, Rubin L, Robson M, Rainka M, Gengo MF, Mager DE, Bates V. Effects of Ibuprofen on the Magnitude and Duration of Aspirin’s Inhibition of Platelet Aggregation: Clinical Consequences in Stroke Prophylaxis. J. Clin. Pharmacol. 2008; 48(1), 117–122.
12. Gupta SK, Bansal P, Bhardwaj RK, Jaiswal J y Velpandian T. Comparison of Analgesic and Anti-Inflammatory Activity of Meloxicam Gel with Diclofenac and Piroxicam Gels in Animal Models: Pharmacokinetic Parameters after Topical Application. Skin Pharmacol. Appl. Skin. Physiol. 2002; 15(2), 105–111.
13. Khan, YS, Gutiérrez-de-Terán, H, Åqvist, J. Molecular Mechanisms in the Selectivity of Nonsteroidal Anti-Inflammatory Drugs. Biochemistry-US. 2018. 57(7), 1236–1248.
14. Kristensen DM, Desdoits-Lethimonier C, Mackey AL, Dalgaard MD, De Masi F, Munkbøl CH, Styrishave B, Antignac JP, Le Bizec B, Platel C, Hay-Schmidt A, Jensen TK, Lesné L, Mazaud-Guittot S, Kristiansen K, Brunak S, Kjaer M, Juul A, Jégou B. Ibuprofen alters human testicular physiology to produce a state of compensated hypogonadism. P. Natl. Acad. Sci. USA. 2018; 115(4), E715-E724.
15. Kubota H, Sasaki S, Kubota Y, Umemoto Y, Yanai Y, Tozawa K, Hayashi Y, Kohri K. Cyclooxygenase-2 protects germ cells against spermatogenesis disturbance in experimental cryptorchidism model mice. J. Androl. 2001; 32(1), 77–85.
16. Kwan TK, Foong SL, Lim YT y Gower DB. Effects of some non-steroidal anti-inflammatory drugs (NSAIDS) on steroidogenesis in rat and porcine testis. Biochem. Mol. Biol. Int. 1993; 31(4), 733–43.
17. Lannacone, J y Alvariño L. Evaluación del riesgo acuático de siete productos farmacéuticos sobre Daphnia magna. Ecología Aplicada [revista en Internet] 2009. [acceso 7 de enero de 2017]; 8(2). Disponible en: http://www.scielo.org.pe/pdf/ecol/v8n1-2/a09v8n1-2.pdf
18. Lind DV, Main KM, Kyhl HB, Kristensen DM, Toppari J, Andersen HR, Andersen MS, Skakkebæk NE y Jensen TK. Maternal use of mild analgesics during pregnancy associated with reduced anogenital distance in sons: a cohort study of 1027 mother - child pairs. Hum. Reprod. 2017; 32 (1), 223 - 231.
19. Mandal TK y Das NS. Correlation of testicular toxicity and oxidative stress induced by chlorpyrifos in rats. Hum. Exp. Toxicol. 2011; 30(10), 1529–1539.
20. Mukherjee A, Hale VG, Borga O y Stein R. Predictability of the clinical potency of NSAIDs from the preclinical pharmacodynamics in rats. Inflamm. Res. 1996; 45(11), 531–540.
21. O'Neill GP, Ford-Hutchinson AW. Expression of mRNA for cyclooxygenase-1 and cyclooxygenase-2 in human tissues. FEBS Lett. 1993; 330(2), 156–60.
22. Riendeau D, Charleson S, Cromlish W, Mancini J, Wong E, Guay J. Comparison of the cyclooxygenase-1 inhibitory properties of nonsteroidal anti-inflammatory drugs (NSAIDs) and selective COX-2 inhibitors, using sensitive microsomal and platelet assays. Can. J. Physiol. Pharm. 1997; 75(9), 1088–95.
23. Roodbari F, Abedi N, Talebi AR. Early and late effects of Ibuprofen on mouse sperm parameters, chromatin condensation, and DNA integrity in mice. Iran J Reprod. Med. 2015; 13(11), 703-710.
24. Patel SH, O'Hara L, Atanassova N, Smith SE, Curley MK, Rebourcet D, Darbey AL, Gannon AL, Sharpe RM, Smith LB. Low-dose tamoxifen treatment in juvenile males has long-term adverse effects on the reproductive system: implications for inducible transgenics. Sci. Reports [revista en Internet] 2017 [acceso 7 de enero de 2017]; 7(1) Disponible en: https://www.ncbi.nlm.nih.gov/pmc/articles/PMC5566418/
25. Moore RA, Derry S, Wiffen, PJ, Straube, S, Aldington, DJ. Overview review: Comparative efficacy of oral ibuprofen and paracetamol (acetaminophen ) across acute and chronic pain conditions. Eur. J. Pain. 2015; 19(9), 1213–1223.
26. Simmons DL, Botting RM, Hla T. Cyclooxygenase isoenzymes: the biology of prostaglandin synthesis and inhibition. Pharmacol. Rev. 2004; 56(3), 387-437.
27. Smith CJ, Zhang Y, Koboldt CM., Muhammad J, Zweifel BS, Shaffer A, Talley JJ, Masferrer JL, Seibert K, Isakson PC. Pharmacological analysis of cyclooxygenase-1 in inflammation. P. Natl. Acad. Sci. USA. 1998; 95(22), 13313–13318.
28. Sostres C, Gargallo CJ y Lanas A. Nonsteroidal anti-inflammatory drugs and upper and lower gastrointestinal mucosal damage. Arthritis Res. Ther. [Revista en internet] 2013 [acceso 3 de abril de 2018]; 15 (Suppl 3), S3. Disponible en: https://doi.org/10.1186/ar4175
29. Stone S, Khamashta MA, Nelson-Piercy C. Nonsteroidal antiinflammatory drugs and reversible female infertility. Drug Safety. 2002; 25(8), 545–551.
30. Stutz G, Martini AC, Ruiz RD, Fiol De Cuneo M, Munoz L y Lacuara JL. Functional activity of mouse sperm was not affected by low doses of aspirin-like drugs. Arch. Andrology. 2000; 44 (2), 117 – 128.
31. Tremellen K. Oxidative stress and male infertility: a clinical perspective. Hum. Reprod. Update. 2008; 14(3), 243–258.
32. Uzun B, Atli O, Perk BO, Burukoglu D, Ilgin S. Evaluation of the reproductive toxicity of naproxen sodium and meloxicam in male rats. Hum. Exp. Toxicol. 2015; 34(4) 415–429.
33. Williams CS, Mann M y DuBois RN. The role of cyclooxygenases in inflammation, cancer, and development. Oncogene. 2000; 18(55), 7908–7916.
34. Winnall WR, Ali U, O’Bryan MK, Hirst JJ, Whiley PA, Muir JA, Hedger MP. Constitutive expression of prostaglandin-endoperoxide synthase 2 by somatic and spermatogenic cells is responsible for prostaglandin E2 production in the adult rat testis. Biol. Reprod. J. 2007; 76(5), 759–768.
Notas de autor
ecaceresca@unsa.edu.pe