LINFADENITIS CASEOSA EN REBAÑOS OVINOS DE LA PENÍNSULA DE PARAGUANÁ, MUNICIPIO FALCÓN, ESTADO FALCÓN, VENEZUELA
Caseous Lymphadenitis in ovine herds from Paraguaná Peninsula, Falcón municipality, Falcón State, Venezuela
LINFADENITIS CASEOSA EN REBAÑOS OVINOS DE LA PENÍNSULA DE PARAGUANÁ, MUNICIPIO FALCÓN, ESTADO FALCÓN, VENEZUELA
Revista Científica, vol. XXVI, núm. 1, pp. 5-12, 2016
Universidad del Zulia
Recepción: 13/11/15
Aprobación: 12/01/16
Resumen: La linfadenitis caseosa es una enfermedad causada por Corynebacterium pseudotuberculosis y en pequeños rumiantes compromete la productividad de los rebaños. El objetivo de este trabajo consistió en describir la linfadenitis caseosa en rebaños ovinos del municipio Falcón de la Península de Paraguaná, Venezuela, con la caracterización del agente causal, las manifestaciones anatomopatológicas asociadas y con registro de factores asociados de posible interés epidemiológico. La investigación fue de tipo exploratoria y transversal y se desarrolló en tres etapas, se realizaron visitas de campo para seleccionar intencionalmente las fincas (29) y los animales, colectándose 13 muestras de secreción purulenta de lesiones en linfonodos superficiales, luego se efectuaron los estudios bacteriológicos en el laboratorio de Microbiología Veterinaria de la Universidad Nacional Experimental “Francisco de Miranda”; además, se seleccionaron cuatro individuos con diagnóstico etiológico de C. pseudotuberculosis para la realización de necropsias y estudios anatomopatológicos. El principal microorganismo aislado fue C. pseudotuberculosis (76,9%) y otros en menor proporción (Trueperella pyogenes, Staphylococcus aureus y Sphingobacterium multivorum); se encontraron lesiones en ganglios superficiales, siendo el mandibular el más afectado (60%), que junto al parotídeo fueron los únicos en donde se detectó incremento del tamaño durante el examen macroscópico (P<0,05). Microscópicamente se registró presencia de granulomas caseosos con necrosis y centro eosinofílico, edema, hiperplasia de folículos linfoides rodeados de tejido fibroso, formando un laminado concéntrico solo visible con aumento 40X. Se detectó la enfermedad en las parroquias Pueblo Nuevo, Baraived, Jadacaquiva y El Vínculo, albergando la última 60% de los casos y la finca con mayor positividad (3%). El confinamiento geográfico y deficiencia en la asistencia veterinaria fueron comunes entre los predios en donde se aisló C. pseudotuberculosis, aunado al escaso conocimiento para el correcto manejo de los animales enfermos. Esta investigación representa el primer reporte de linfadenitis caseosa en rebaños ovinos del noroccidente venezolano.
Palabras clave: Abscesos, ganglios en cebolla, hiperplasia linfoide, Corynebacterium pseudotuberculosis.
Abstract: Caseous lymphadenitis is a disease caused by Corynebacterium pseudotuberculosis, which hinders productivity in small ruminant herds. The aim of this work was to describe caseous lymphadenitis in ovine herds from Falcón Municipality in Paraguaná Peninsula, Venezuela, with the characterization of the etiological agent and associated anatomopathological manifestations, including register of risk factors with epidemiological interest. This was an exploratory and field transversal research and it was developed in three stages; field explorations were done to select intentionally the farms (29) and animals, collecting 13 pus samples from superficial lymph nodes, then the bacteriological studies were done at Veterinary Microbiology Laboratory at Universidad Nacional Experimental “Francisco de Miranda”; four animals with C. pseudotuberculosis diagnosis were selected for necropsies and anatomopathologic studies. The main isolated microorganism was C. pseudotuberculosis (76.9%) as well as others in fewer proportions (Trueperella pyogenes, Staphylococcus aureus, and Sphingobacterium multivorum); lesions were found on superficial lymph nodes, whereof mandibular lymph nodes were most affected (60%) and with parotideal lymph nodes, they were the ones with significantly increased size during macroscopic examination (P<0.05). At microscopic level, the presence of caseous granuloma with necrosis and eosinophilic center, edema, and lymph follicles hyperplasia surrounded by fibrous tissue, forming concentric layers only visible at 40X, were registered. Caseous lymphadenitis was detected at Pueblo Nuevo, Baraived, Jadacaquiva, and El Vínculo counties, comprising the last one 60% of C. pseudotuberculosis isolates and the farm with highest positivity (3%). Remote and isolated geographic localization and failures on veterinary assistance were common among farms where C. pseudotuberculosis was isolated, besides the poor knowledge for the proper management of sick animals. This investigation is the first report of caseous lymphadenitis in ovine herds in northwestern Venezuela.
Keywords: Abscess, onion rings, lymph nodes hyperplasia, Corynebacterium pseudotuberculosis.
INTRODUCCIÓN
La Linfadenitis Caseosa (LC) es una enfermedad infecciosa crónica que afecta a pequeños rumiantes, el agente causal es Corynebacterium pseudotuberculosis y en ovejas (Ovis aries) cursa con agrandamiento visible y/o palpable en ganglios linfáticos superficiales, pudiendo estar acompañada con secreción purulenta caseosa e inclusive, con manifestaciones semejantes en órganos linfoides profundos [2, 10], comprometiendo así la productividad de los rebaños por la depreciación de carnes, disminución de la ganancia de peso, producción de leche y lana, emaciación progresiva del animal hasta la muerte y/o retiro prematuro dentro de los rebaños [16, 72]. En Venezuela se ha reportado en caprinos (Capra hircus) [12, 19, 20, 23, 26,48] y ovinos [67]. Si bien en el estado Falcón la ganadería caprina está ampliamente difundida, también es común la cría simultánea de otras especies domésticas, particularmente de ovinos, por lo que esta actividad productiva cobra interés por desarrollarse en los sectores rurales y a cargo especialmente de los estratos socioeconómicos bajos [50], donde muchas veces la producción sirve para comercialización y autoabastecimiento. Finalmente, dada la idiosincrásica manera de cómo se manejan los rebaños, la LC en las granjas venezolanas constituye un riesgo de salud pública, en virtud del potencial zoonótico de C. pseudotuberculosis [11,24,58].
Las experiencias a nivel de campo han permitido detectar a ovinos con apostema, sospechando entonces de la etiología por C. pseudotuberculosis, siendo este antecedente la principal motivación para la realización de esta investigación, cuyo objetivo fue describir la LC en rebaños ovinos de la Península de Paraguaná, con la caracterización del agente etiológico, las lesiones anatomopatológicas asociadas y algunos factores de riesgo de posible interés epidemiológico implicados.
MATERIALES Y MÉTODOS
Área de estudio: la Península de Paraguaná abarca una superficie aproximada de 2.538 km2 distribuida en tres Municipios, siendo Falcón el más extenso de ellos y con varias Parroquias, entre las cuales destacan Pueblo Nuevo, Baraived, Adícora, Jadacaquiva, Buena Vista, El Vínculo y El Hato [33], con clima árido-semiárido, relieve bajo y plano, suelos sometidos a intensa meteorización física, recursos hídricos escasos y pluviometría baja (media de 21,4 mm3 para la estación Coro, entre los meses agosto-diciembre de 2012), con sequía de noviembre a abril [34- 38,51]; las temperaturas medias máxima y mínima reportadas para la estación meteorológica más cercana (Coro) son de 27,3 y 21,7 °C, respectivamente, con una amplitud térmica de media de 5,9°C [54]; alcanzó una media de 69,5% entre los meses de agosto a diciembre, en el período de 1970 a 1998 [39]. Para esta dependencia se registraron 649 unidades de producción agropecuarias (UP) y su población ovina estuvo contabilizada en 36.635 cabezas de ganado [50].
Fase de campo: se efectuó entre los meses de agosto a diciembre de 2012; la escogencia de las UPs fue de manera intencional dependiendo de la anuencia y disposición de los propietarios. Una vez dentro de la granja, el muestreo poblacional fue también de carácter intencional, por la búsqueda de ovinos que presentaban manifestaciones clínicas asociadas a LC mediante la inspección visual y palpación de los ganglios linfáticos, de aquellos individuos que así fueron seleccionados, se tomó muestras para los estudios microbiológicos; este procedimiento de trabajo es el comúnmente aplicado cuando se desea estudiar LC en rebaños tanto caprinos [12,13,19,20] como ovinos [32,43], el cual básicamente consiste en el rasurado y limpieza con solución yodo-povidona de la región afectada, con posterior incisión con bisturí y aspirado y/o drenaje del material caseoso, el cual es colectado en una inyectadora de 5 mL. Por otra parte, se registraron datos sobre los factores de riesgo que podrían estar influyendo en la aparición de LC, tanto a nivel de la UP (ubicación geográfica, asistencia veterinaria, manejo del rebaño, población y especies animales explotadas) como en los animales en los que se sospechaba que padecieran de LC según la exploración clínica (patrón racial, edad, sexo y localización anatómica de las lesiones).
Estudios microbiológicos: las muestras fueron colectadas y procesadas en el laboratorio según protocolo descrito por Chirino-Zárraga y col. [20], exceptuando la realización de las tinciones de Ziehl-Neelsen y la inoculación en caldo tetrationato: Los especímenes se conservaron y transportaron de manera refrigerada hasta el laboratorio de Microbiología Veterinaria de la Universidad Nacional Experimental “Francisco de Miranda” (UNEFM), cuidando de que no transcurrieran más de 24 horas entre la captación del mismo y la siembra en los medios de aislamiento primario. Para la caracterización e identificación de los aislamientos sospechosos de C. pseudotuberculosis se aplicaron las pruebas de fermentación de carbohidratos (maltosa, trehalosa, glucosa, sacarosa, xilosa, galactosa, arabinosa, manitol y fructosa), reducción de nitratos, producción de hemolisina, pruebas CAMP sinérgico con Rhodococcus equi e hidrólisis de varios compuestos (urea, almidón, gelatina nutritiva y caseína) [10, 20, 21, 30, 41, 46, 47, 53, 63, 68]. Todos los medios de cultivo usados fueron preparados según las indicaciones del fabricante (HIMEDIA, HiMedia Laboratories, Mumbay, India).
Estudios anatomopatológicos: para la realización de las necropsias se seleccionaron cuatro individuos en los cuales el examen clínico y los cultivos bacteriológicos permitieron diagnosticar LC, la caracterización macroscópica y toma de muestras para los estudios histopatológicos se efectuó en el laboratorio de Anatomía del Programa de Ciencias Veterinarias de la UNEFM [22], mientras que la preparación de los cortes y montajes microscópicos se realizó en la Unidad de Patología Coro C.A.; las muestras fueron fijadas en formol al 10%, deshidratadas con alcohol isopropílico y xilol y montadas en bloques de parafina, se efectuaron cortes de 5 μm y con ayuda de baño de flotación fueron dispuestas en láminas portaobjeto (rehidratación), se efectuó una nueva deshidratación y finalmente se aplicó tinción con hematoxilina-eosina. Los análisis microscópicos se efectuaron en el laboratorio del Departamento de Anatomía Patológica del Hospital Militar “Dr. Carlos Arvelo”.
Análisis Estadístico: esta investigación fue de carácter descriptivo, los datos colectados se organizaron en tablas y gráficos para facilitar el manejo de la información y la estimación de medidas porcentuales, de tendencia central y de dispersión, a tales efectos se utilizó el programa Microsoft Excel 2007®. Para la comparación de los porcentajes de positividad de cada UP se aplicó la prueba de Fisher [29,62], la cual es eficiente para cuando los tamaños muestrales son pequeños [52], considerando la tasa de Error Tipo I (α=0,05); mientras que para contrastar entre los tamaños de los ganglios linfáticos según los estudios de necropsia, se usó la Prueba T para un parámetro [52], tomando como valores referenciales el promedio de las mediciones de los linfonodos que no presentaron material caseoso según la necropsia. Para estas pruebas estadísticas se aplicó el paquete computacional InfoStat Profesional 2.0 [28].
RESULTADOS Y DISCUSIÓN
La TABLA I resume los hallazgos en las UPs visitadas, registrándose 10 ovinos de 13 (76,9%) con diagnóstico de LC, esta cifra es equiparable con los porcentajes de aislamiento de C. pseudotuberculosis reportados en caprinos del estado Falcón con 67,7% [20] y 63,4% [23], contrastando a su vez con el 36% y el 37,9% de Borges y Chirino [12] y de Aguilar [1], respectivamente; de esta manera, se reafirma a C. pseudotuberculosis como el principal agente etiológico de las linfadenomegalias superficiales y se corrobora la presencia de LC en los rebaños de pequeños rumiantes del país, siendo los ovinos los afectados en esta ocasión. El resto de los abscesos fueron atribuidos a otros microorganismos como Trueperella pyogenes, Staphylococcus aureus y Sphingobacterium multivorum (un aislamiento para cada uno), coincidiendo con trabajos previos [4,31,64], incluyendo las investigaciones realizadas en caprinos en localidades geográficas cercanas [1,18,23], por tanto, otros microorganismos pueden estar involucrados en menor frecuencia como agentes causales de linfadenomegalias superficiales, por lo que siempre es recomendable acompañar la valoración clínica con ensayos de laboratorio como el diagnóstico microbiológico.

Las cepas de C. pseudotuberculosis aisladas se caracterizaron por la formación de colonias blanco-amarillentas de textura seca y friable, rodeadas de un pequeño halo de hemólisis visible a las 48 h de incubación [20, 25, 53]. Según las pruebas metabólicas, en la totalidad de los aislamientos se observó fermentación de la trehalosa, sacarosa, arabinosa y manitol, mientras que resultados variables se registraron para la fructosa, galactosa y glucosa, en ningún caso se detectó la degradación de la maltosa; todas las cepas presentaron actividad sobre la caseína, el almidón, la gelatina y la úrea, mientras que solo siete especímenes de C. pseudotuberculosis redujeron los nitratos; en la prueba CAMP se pudo evidenciar la potenciación de la hemólisis ante el cocultivo con Rhodococcus equi en cinco de los ocho aislamientos escrutados. Las variaciones fenotípicas detectadas en este estudio están referidas básicamente al catabolismo de los azúcares, hallazgo también reportado en otras fuentes [8,17], mientras que para el resto de los ensayos se obtuvieron resultados semejantes a reportes previos [13, 20, 41, 53, 60, 68, 70]; las diferencias respecto al metabolismo fermentativo cobran especial interés, dada las experiencias previas del equipo de investigación en la caracterización fenotípica de aislamientos de C. pseudotuberculosis originarios de casos de LC de caprinos [12, 13, 18, 20], en donde muy pocas veces se han detectado este tipo de variaciones, estos rasgos guardan interés como posibles predictores de la forma clínica de la LC [8], incluyendo la virulencia de los aislamientos de C. pseudotuberculosis.
Las fincas en donde se diagnosticó LC están distribuidas en diferentes Parroquias del municipio Falcón (Pueblo Nuevo, Baraived, Jadacaquiva y El Vínculo), mientras que el cálculo de los porcentajes de positividad para cada granja permitió detectar a las UPs 1 y 28 con la menor y mayor cifra (P<0,05), respectivamente, los altos registros para esta última quizás se atribuyan a su particular confinamiento geográfico, ubicándose en el punto más septentrional del área de estudio, lo que a su vez dificulta la asistencia veterinaria con regularidad según afirmaciones de los productores agropecuarios (70% de los casos de LC se correspondían a predios que no recibían asesoría técnica profesional) y registros oficiales (1.660 UPs, es decir, cerca del 89% de las fincas no gozan de este servicio) [50]; la influencia de esta variable ha sido previamente descrita, tanto en rebaños ovinos [31] como en caprinos [23], este factor de riesgo, al conjugarse con el escaso conocimiento para el correcto manejo de la enfermedad por parte del personal encargado, podría crear las condiciones en donde las medidas necesarias para evitar la permanencia del microorganismo en el ambiente y la proliferación de LC son mínimas [30].
Las cifras de positividad detectadas en esta investigación son próximas a las registradas para explotaciones caprinas también ubicadas en la Península de Paraguaná [23], pero son cuantitativamente menores a las vistas en Estados Unidos [71], Irán [64] y otras zonas de Latinoamérica mediante exámenes directos [10,15, 31] y ELISA [30,32].
Si bien en esta investigación se tomaron en consideración el estudio de otras variables de interés epidemiológico que podrían condicionar la aparición de LC (formas de manejo de los rebaños, coexistencia de otras especies animales dentro de la explotación, patrón racial de los animales, edad y sexo), los registros de la enfermedad no fueron tan numerosos como para poder realizar estimaciones con significancia estadística [62]. La totalidad de los casos se presentaron en hembras mestizo Dorper, con edades de dos a cuatro años, provenientes principalmente de fincas con manejo extensivo y en coexistencia con otros animales de crianza; hallazgos semejantes han sido reportados en otros estudios [30,64] y hasta en fincas caprinas [18,23].
Tradicionalmente se ha reportado la LC en ovinos como una afección en donde los órganos profundos son los más afectados [10,30], sin embargo, estos casos se podrían corresponder con individuos con enfermedad de larga data [56,64,71], dada la corta edad de los animales detectados en esta oportunidad, es posible entonces explicar el por qué solo se identificaron lesiones en ganglios linfáticos superficiales, especialmente en la región anatómica anterior del cuerpo (60% ganglios mandibular, 30% parotídeo y 10% preescapular), tal y como ha sido descrito en otros trabajos [4,45,64,71], aclarando que en éstos, los casos se correspondían a razas cárnicas [31] como las evaluadas en esta investigación, mientras que las afecciones en otras regiones anatómicas estarían correlacionadas con razas destinadas para la producción de lana, debido al esquilado [45,56,57].
Los altos registros en el ganglio mandibular (60%) podrían vincular a la ruta oral como puerta de entrada del microorganismo, este linfonodo es tributario del pre-escapular [7,69], del cual otros autores han reportado elevados porcentajes de LC [64].
De manera semejante a lo visto en esta investigación, el perfil de afección en la región anatómica anterior en los ovinos ya ha sido reportado [45] y es similar al descrito en caprinos [1,3,12,14,18,23,55,56,71]; por lo que se puede inferir que son las actividades de pastoreo las que estarían pesando en esta forma de afección en ovinos; mientras que el manejo de los rebaños de manera extensiva podría condicionar la aparición de la enfermedad, sobre todo por el alto grado de exposición a la vegetación espinosa durante el pastoreo, especialmente en temporadas de sequía [17,32,66], llevando a laceraciones en los animales en la región corporal anterior [30,42]; adicionalmente, con la cría extensiva y/o semiintensiva disminuye el contacto visual entre el criador y los animales, por lo que los casos de LC pasarían desapercibidos y aquellos con afección de ganglios superficiales podrían drenarse espontáneamente, contribuyendo a la permanencia de la bacteria en el hábitats [31], recordando que C. pseudotuberculosis sobrevive durante meses en el medio ambiente [5]; sin embargo, otros autores afirman que el manejo extensivo de los rebaños disminuye las probabilidades de transmisión por contacto directo de la LC.
De los 10 animales diagnosticados con LC, a cuatro se les realizaron estudios anatomopatológicos, hallándose exudado caseoso solo en ganglios superficiales y con incremento de tamaño significativo solo en los submandibulares y parotídeos (P<0,05) [27,45,49], este hallazgo viene a dar soporte al examen clínico riguroso mediante palpación como la primera herramienta de utilidad para la identificación de animales sospechosos de LC [17,56,65,66], aunque pueden presentarse nódulos con material caseoso sin incremento del volumen [45], como en el caso de los preescapulares evaluados en esta investigación, en los cuales no se detectó aumento del volumen (P>0,05); adicionalmente, se consiguieron múltiples nódulos caseosos en los ganglios afectados [45], especialmente en los mandibulares. Durante las necropsias se descartó la presencia de lesiones en órganos profundos (sistema linfohematopoyético, renal, nervioso, respiratorio y digestivo), hallazgo común descrito para LC en ovinos [2,9,45], la ausencia de este rasgo en los animales de esta investigación se puede atribuir a la corta edad de los mismos [45,56,71].
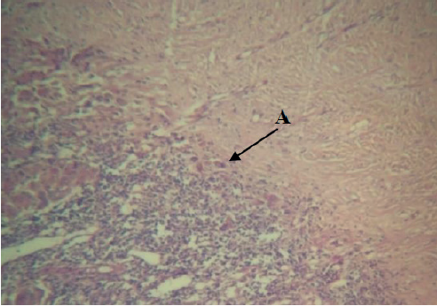
Para los estudios microscópicos se tomó material de linfonodos con exudado caseoso y/o incremento de tamaño hallándose centros eosinofílicos con necrosis (FIG. 1), abundantes neutrófilos [3,44], células epitelioides, bordeadas con tejido conectivo fibroso con o sin corona linfocitaria (FIG. 2) [40,45,61,71]; la formación de capas fibrosas concéntricas fueron visibles solo a nivel estereoscópico, es decir, la patognomónica formación en hojas de cebolla descritas en ovinos [6,10,14,31,56,59] no fueron observadas durante el examen macroscópico, por lo que se corrobora nuevamente el corto tiempo de evolución de la enfermedad [45,64].


CONCLUSIONES
C. pseudotuberculosis es el principal agente causal de las afecciones en ganglios linfáticos superficiales en los rebaños ovinos falconianos, confirmándose una vez más la presencia de la LC en territorio venezolano, afectando a rebaños de cría exclusiva de ovejas, así como de otras especies domésticas. De manera semejante a lo observado en caprinos, la enfermedad se presenta casi principalmente de forma superficial, sobre todo en la región anatómica anterior, manifestándose en individuos jóvenes y generando a nivel microscópico alteraciones características. El porcentaje de positividad de LC se hace más notorio en aquellas UPs geográficamente apartadas, en las cuales la asistencia médica veterinaria es deficiente, considerándose éste el principal factor de riesgo asociado a la presencia de la enfermedad, aunado al desconocimiento para el correcto manejo de la LC dentro de los rebaños por parte del personal encargado.
Agradecimientos
A los productores agropecuarios del municipio Falcón por su valiosa colaboración y a la unidad curricular Estadística y Diseño de Experimentos del Programa de Ingeniería Agronómica de la UNEFM, por su asesoría.
Referencias
[1]AGUILAR, J. L. Linfadenitis caseosa en caprinos beneficiados en el Matadero de Pedregal, Municipio Democracia, estado Falcón. Universidad Nacional Experimental “Francisco de Miranda”, Programa de Ciencias Veterinarias, Santa Ana de Coro. Trabajo Especial de Grado. 37pp. 2005.
[2] ALEMAN, M.; SPIER, S. Corynebacterium pseudotuberculosis infection. In: Smith, P; Smith, P. (Ed.). Large Animals Internal Medicine. Mosby. St. Louis, Pp 1078-1084. 2001.
[3] AL-GAABARY, M.; OSMAN, S.; AHMED, M.; OREBY; A. Abattoir survey caseous lymphadenitis in sheep and goats in Tanta, Egypt. Small Rum. Res. 94:117-124. 2010.
[4] ALHARBI, K. Bacterial isolates from visceral abscesses of sheep at Qassim, Saudi Arabia. Afr. J. Microbiol. Res. 5:5622-5627. 2011.
[5]AUGUSTINE, J.; RENSHAW, H. Survival of Corynebacterium pseudotuberculosis in axenic purulent exudates on common barnyard fomites. Am. J. Vet. Res. 47:713-715. 1986.
[6]AYERS, J. Caseous lymphadenitis in goats and sheeps: a review of diagnosis, pathogenesis and immunity. J. Am Vet. Med. Assoc. 171:1251-1254. 1977.
[7]BARONE, R. Système Lymphatique du Mouton et de la Chèvre. En: Anatomie comparée des mammifères doméstiques. Vol. 5. Angiologie. Vigot, Paris, Pp 795-802. 1996.
[8]BARRIENTOS P., J. S.; CORTÉS, N.; TÓRTORA P., J. L.; ALBA H., F.; DEL RÍO G., J. C.; VALDIVIA A., G. Diferentes biotipos de Corynebacterium pseudotuberculosis están involucrados en la Linfadenitis Caseosa Cutánea y Visceral. 2008. Rev. Electr. Clín. Vet. Veterinaria Organización (Ed.). Abril 1. En línea: http://www.veterinaria.org/revistas/recvet/n040408.html. 27/01/2013.
[9]BATEY, R. Pathogenesis of caseous lymphadenitis in sheep and goats. Aust. Vet. J., 63:269-272. 1986.
[10]BELCHIOR, S.; GALLARDO, A.; ABALOS, A.; JODOR, N.; JENSEN, O. Actualización sobre linfadenitis caseosa: el agente etiológico y la enfermedad. 2006. Sitio Argentino de Producción Animal. Guillermo Alejandro Bavera (Ed.). En línea: http://www.produccion-animal.com.ar/sanidad_intoxicaciones_metabolicosinfecciosas/ovinos/01. 05/01/2015.
[11]BERNARD, K.. The Genus Corynebacterium and Other Medically Relevant Coryneform-Like Bacteria. J. Clin. Microbiol. 50:3152-3158. 2012.
[12]BORGES, C.; CHIRINO, R. Aislamiento de Corynebacterium pseudotuberculosis en caprinos de la parroquia Sabaneta, estado Falcón. Programa de Ciencias Veterinarias, Universidad Nacional Experimental “Francisco de Miranda”, Programa de Ciencias Veterinarias, Santa Ana de Coro. Trabajo Especial de Grado. 63pp. 2000.
[13]BORJAS, Á.; ROJAS, T. Susceptibilidad antimicrobiana de aislados geográficos de Corynebacterium pseudotuberculosis en rebaños caprinos del estado Falcón. Programa de Ciencias Veterinarias, Universidad Nacional Experimental “Francisco de Miranda”, Santa Ana de Coro. Trabajo Especial de Grado. 65pp. 2011.
[14]BROWN, C.; OLANDER, H. Caseous lymphadenitis of goats and sheep: a review. Vet. Bull. 57:1-12. 1987.
[15]CARMO, F.B.; GUIMARAES, A.; PAULETTI, R.B.; LAGE, A.P.; GONCALVES, V.S.P.; MEYER, R.; PORTELA, R.W.D.; MIYOSHI, A.; AZEVEDO, V.; GOUVEIA, A.M.G.; HEINEMANN, M.B. Prevalencia de anticorpos contra linfadenite caseosa em criacoes comerciais de ovinos no distrito federal, Brasil. Arq. Inst. Biol. 79:293-298. 2012.
[16]CHAKRABORTY, S.; KUMAR, A.; TIWARI, R.; RAHAL, A.; MALIK, Y.; DHAMA, K.; PAL, A.; PRASAD, M. Advances in Diagnosis of Respiratory Diseases of Small Ruminants. Vet. Med.Int., 2014:1-16. 2014.
[17]CHEUQUEPÁN, F.; RÍOS C.; M., ABALOS P.; RETAMAL, P. Corynebacterium pseudotuberculosis: Una breve acualización. Av. Cs. Vet. 23:30-34. 2008.
[18]CHIRINO, C. Caracterización bacteriológica de Corynebacterium pseudotuberculosis en caprinos del municipio Miranda, estado Falcón. Departamento de Sanidad Animal, Universidad Nacional Experimental “Francisco de Miranda”. Santa Ana de Coro. Trabajo de Ascenso. 62pp. 2003.
[19]CHIRINO-ZÁRRAGA, C.; REY-VALEIRÓN, C.; SCARAMELLI, A.; CARRERO, L. Diagnosis of caseous lymphadenitis by ELISA in naturally infected goats from Venezuela. Small Rum. Res. 87:92-95. 2009.
[20]CHIRINO-ZÁRRAGA, C.; SCARAMELLI, A.; REYVALEIRÓN, C. Bacteriological characterization of Corynebacterium pseudotuberculosis in Venezuelan goat flocks. Small Rum. Res. 65:170-175. 2006.
[21]COYLE, M.; HOLLIS, D.; GROMAN, N. Corynebacterium spp. and other Coryneform Organisms. En: Lennette, E.; Balows, A.; Hausler, W.; Shadomy, H. (Eds.). Manual of Clinical Microbiology. American Society for Microbiology, Washington. Pp 193-204. 1985
[22]DE ALUJA, A. La Necropsia. En: Necropsias en animales domésticos 1era. Ed. Continental, México, D.F. Pp 30-62. 1985.
[23]DELGADO, A.; ZÁRRAGA, J.; CHIRINO-ZÁRRAGA, C.I.; CARRERO P., L. L. Caracterización epidemiológica de Linfadinitis Caseosa en caprinos de la Península de Paraguaná, estado Falcón. Rev. Med. Vet., 31:35-45. 2016.
[24]DORELLA, F.A.; GALA-GARCÍA, A.; PINTO, A.C.; SARROUH, B.; ANTUNES, C.A.; RIBEIRO, D.; ABURJAILE, F.F.; FIAUX, K.K.; GUIMARAES, L.C.; SEYFFERT, N.; EL-AOUAR, R.A.; SILVA, R.; HASSAN, S.S.; CASTRO, T.L.P.; MARQUES, W.S.; RAMOS, R.; CARNEIRO, A.; SÁ, P.; MIYOSHI, A.; AZEVEDO, V.; SILVA, A. Progression of “OMICS” methodologies for understanding the pathogenicity of Corynebacterium pseudotuberculosis: the Brazilian experience. Comp. Struct. Biotech. J. 6:e201303013. 2013.
[25]DORELLA, F.; PACHECO, L.G.; OLIVEIRA, S.; MIYOSHI, A.; AZEVEDO, V. Corynebacterium pseudotuberculosis: molecular studies of virulence. Vet. Res. 37: 201-218. 2006.
[26]GALLO, P.; MORRIS, H. Primeros casos de Linfadenitis por Corynebacterium pseudotuberculosis observados en caprinos en Venezuela. Rev. Med. Vet. Parasitol. 19:91- 94. 1962.
[27]GETTY, R. Sistema Linfático de los Rumiantes, Ovinos En: Rosenbaum, C.E.; Ghoshal, N.G.; Hillmann, D. Eds. Anatomía de los animales domésticos. 5ta. Ed. Salvat Editores, México, D.F. Pp 1154-1160. 1982.
[28]GRUPO INFOSTAT. InfoStat Profesional 2.0. Facultad de Ciencias Agropecuarias, Universidad Nacional de Córdoba, Córdoba. 2002.
[29]GRUPO INFOSTAT. InfoStat versión 1.1 Manual del Usuario. 1era. Ed. Editorial Brujas, Córdoba. 2002.
[30]GUIMARÃES, A.; CARMO, F.; HEINEMANN, M.; PORTELA, R.; MEYER, R.; LAGE, A.; SEYFFERT, N.; MIYOSHI, A.; AZEVEDO, V.; GOUVEIA, A. High sero-prevalence of Caseous lymphadenitis identified in slaughterhouse samples as a consequence of deficiencies in sheep farm management in the state of Minas Gerais, Brazil. BMC Vet. Res. 7:68. 2011.
[31]GUIMARÃES, A.; DO CARMO, F.B.; BARBOSA, R.; SEYFFERT, N.; RIBEIRO, D.; PEREIRA, A.; HEINEMANN, M.B.; MIYOSHI, A.; AZEVEDO, V.; GUIMARAES G., A.M. Caseous lymphadenitis. epidemiology, diagnosis, and control. The IIOAB J. 2:33-43. 2011.
[32]GUIMARÃES, A.S.; SEYFFERT, B.; BASTOS, B.L.; PORTELA, R.W.D.; MEYER, R.; CARMO, F.B.; CRUZ, J.C.M.; MCCULLOCH, J.A.; LAGE, A.P.; HEINEMANN, M.B.; MIYOSHI, A.; AZEVEDO, V.; GOUVEIA, A.M.G. Caseous lymphadenitis in sheep flocks of the state of Minas Gerais, Brazil: Prevalence and management surveys. Small Rum. Res. 87:86-91. 2009.
[33]INSTITUTO GEOGRÁFICO DE VENEZUELA “SIMÓN BOLÍVAR”. Geoportal Nacional Simón Bolívar. Infraestructura de datos espaciales. s.f. En Línea: http:// igvsb.geoportalsb.gob.ve/. 23/12/2010.
[34]INSTITUTO NACIONAL DE METEOROLOGÍA E HIDROLOGÍA. Boletín Climatológico de la República Boliriana de Venezuela Octubre 2012. En Línea: http://www.inameh.gob.ve/bcoctubre.pdf. 2012. 29/01/2016.
[35]INSTITUTO NACIONAL DE METEOROLOGÍA E HIDROLOGÍA. Boletín Climatológico de la República Bolivariana de Venezuela. 08/2012. En Línea: http://www. inameh.gob.ve/bcagosto.pdf. 29/01/2016.
[36]INSTITUTO NACIONAL DE METEOROLOGÍA E HIDROLOGÍA. Boletín Climatológico de la República Bolivariana de Venezuela. 11/2012. En Línea: http://www. inameh.gob.ve/bcnoviembre.pdf. 29/01/2012.
[37]INSTITUTO NACIONAL DE METEOROLOGÍA E HIDROLOGÍA. Boletín Climatológico de la República Bolivariana de Venezuela. 09/2012. En Línea: http://www. inameh.gob.ve/bcseptiembre.pdf. 29/01/2016.
[38]INSTITUTO NACIONAL DE METEOROLOGÍA E HIDROLOGÍA. Boletín Climatológico de la república Bolivariana de Venezuela. 12/2012. En Línea: http://www.inameh.gob.ve/bcdiciembre.pdf. 29/01/2016.
[39]INSTITUTO NACIONAL DE METEOROLOGÍA E HIDROLOGÍA. Estadísticos Básicos de Temperatura y Humedad Relativa Medias. s.f. En Línea: http://www. inameh.gob.ve/documentos/ESTADISTICOS_BASICOS_ TyHR_MEDIAS.pdf. 29/01/2016
[40]JAVADI, A.; SAFARMASHAEI, S. Pathological study of sheep lymph nodes in Tabriz Abattoir. Adv. Environ. Biol. 5:1175-1176. 2011.
[41]JONES, D.; COLLINS, M. Irregular Nonsporing Gram- Positive Rods. En: P. Sneath (Ed.), Bergey’s Manual of Systematic Bacteriology. Williams & Wilkins, Baltimore. Pp 1261-1276. 1986.
[42]KOMALA, T.; RAMLAN, M.; YEOH, N.; SURAYANI, A.; SHARIFAH, S. A survey of caseous lymphadenitis in small ruminant farms from two districts in Perak, Malaysia – Kinta and Hilir Perak. Trop. Biomed. 25:196-201. 2008.
[43]KUMAR, J.; TRIPATHI, B.; KUMAR, R.; SONAWANE, G.; DIXIT, S. Rapid detection of Corynebacterium pseudotuberculosis in clinical samples from sheep. Trop. Anim. Health Prod. 45:1429-35. 2013.
[44]KURIA, J.; NGATIA, T. Caseous lymphadenitis of sheep and goats in Kenya. Bull. Anim. Health Prod. Afr. 38:15- 18. 1990.
[45]LEÓN-VISCAÍNO, L.; GARRIDO-ABELLÁN, F.; GONZÁLEZ C., M.; CUBERO, P. Anatomía patológica de la pseudotuberculosis. Capraispana.com (Ed.). 2002. En Línea: http://www.capraispana.com/enfermedades/seudotuberculosis/seudotuberculosis.html. 03/02/2015.
[46]LLOYD, S.; LINDSAY, H.; SLATER, J.; JACKSON, P. Caseous lymphadenitis in goats in England. Vet. Rec. 127:478. 1990.
[47]MACFADDIN, J. Pruebas bioquímicas para la identificación de bacterias de importancia clínica. Médica Panamericana, México. 301pp. 1990.
[48]MARQUEZ Q., N. Estudio clínico de la linfadenitis caseosa en caprinos de Venezuela, Criollos e importados. Rev. Med. Vet. Parasitol. 23:245-284. 1970.
[49]MAY, N.; FERNANDEZ, J.V. Anatomía del ovino, Manual de Disección 1ra. Ed. Hemisferio Sur, Buenos Aires. 561 pp. 1974.
[50]MINISTERIO DEL PODER POPULAR DE AGRICULTURA Y TIERRAS. VII Censo Agrícola. CELADE-CEPAL-ONU República Bolivariana de Venezuela (Ed.). 2010. En Línea: http://censo.mat.gob.ve/. 27/12/2014.
[51]MINISTERIO DEL PODER POPULAR PARA EL AMBIENTE. Datos mensuales de precipitación: estación Pueblo Nuevo-Paraguaná, estación Jadacaquiva. Dirección General de Cuencas, Dirección de Hidrología y Meteorología, Ministerio del Poder Popular para el Ambiente. Caracas. 1 pp. 2013.
[52]MORALES, G.; PINO DE M., L. Estadística no paramétrica aplicada a las Ciencias de la Salud. Publicaciones de la Universidad Católica Andrés Bello Caracas, D.F. 102pp. 2009.
[53]MUCKLE, C.; GYLES, C.. Characterization of Strains of Corynebacterium pseudotuberculosis. Can. J. Comp. Med. 46:206-208. 1982.
[54]MUNDARAY-MAGO, R. E. Análisis de Series Temporales de la Amplitud Térmica para 7 localidades de la zona Centro-Norte-Costera de Venezuela con datos de Modelos de Reanalysis-NCAR. s.f. Instituto Nacional de Meteorología e Hidrología (Ed.). En Línea: http://www.inameh.gob.ve/documentos/Analisis_de_Series_Temporales_Amplitud_Termica.pdf. 29/01/2016.
[55]MUSA, M. Lymphadenitis in sheep and goats in the Sudán. Revue Élev. Méd. Vét. Pays. Trop. 51:109-111. 1998.
[56]NUTTAL, W. Caseous lymphadenitis in sheep and goats in New Zeland. Surveillance. 15:10-12. 1988.
[57]ATON, M.W.; ROSE, I.R.; HART, R.A.; SUTHERLAND, S.S.; MERCY, A.R.; ELLIS, T.M.; DHALIWAL, J.A. New infection with Corynebacterium pseudotuberculosis reduces wool production. Aust. Vet. J. 71:47-49. 1994.
[58]PEEL, M.; PALMER, G.; STACPOOLE, A; KERR, T. Human lymphadenitis due to Corynebacterium pseudotuberculosis: report of ten cases from Australia and review. Clin. Infect. Dis. 24:185-191. 1997.
[59]PEKELDER, J. Caseous lymphadenitis. En: W. Martin, W.; Aitken, I.D. (Eds.), Diseases of Sheep. Blackwell Science, Oxford, UK. Pp 270-274. 2000.
[60]PÉPIN, M.; BOISRAMÉ, A.; MARLY, J. Corynebacterium pseudotuberculosis: biochemical properties, production of toxin and virulence of ovine and caprine strains. Ann. Rech. Vet. 20:111-115. 1989.
[61]PÉPIN, M.; PITTET, J.; OLIVIER, M.; GOHIN, I. Cellular composition of Corynebacterium pseudoteuberculosis pyogranulomas in sheep. J. Leukocyte Biol. 56:666-670. 1994.
[62]PUERTAS, L.E.; URBINA, M.J.; BLANCK, M.E.; GRANADILLO, D.; BLANCHARD, M.; GARCÍA, J.A.; VARGAS, V.P.; CHIQUITO, A. Bioestadística, Herramienta de la Investigación. Consejo de Desarrollo Científico, Humanístico y tecnológico (CDCHT-UC), Valencia, Venezuela. 264pp. 1998.
[63]QUINN, P.; CARTER, M.; MARKEY, B.; CARTER, G. Corynebacterium species and Rhodococcus equi. En: Clinical Veterinary Microbiology. Mosby-Elsevier, Philadelphia, Pp 137-143. 1994.
[64]REZAZADEH, F.; SIOOFY, A.; JAVAD, H.; HASSANZADEH, B.; HEYDARI, A. Frequency of caseous lymphadenitis (CLA) in sheep slaughtered in an abbatoir in Tabriz: comparison of bacterial culture and pathological study. Comp. Clin. Path. 21:667-671. 2012.
[65]RUIZ, J.; BARRERA, M.; FARIAS, M. Linfadenitis Caseosa I: Aspectos históricos, etiológicos y clínicos. 2007. Veterinaria.org (Ed.): En Línea: http://www.veterinaria.org/revistas/recvet/n080807/080707.pdf. 03/02/2015.
[66]RUIZ, J.; BARRERA, M. & FARIAS, M. Linfadenitis Caseosa II:Diagnóstico, control y aspectos epizootiológicos. 2008. Veterinaria.org (Ed.). En Línea: http://www.veterinaria.org/revistas/recvet/n040408/040803. pdf. 03/02/2015.
[67]SALAZAR, E.; CHIRINO-ZÁRRAGA, C. Linfadenitis Caseosa en Rebaños Caprinos y Ovinos de Venezuela. Med. Vet. Al Día. 6:9-12. 2014.
[68]SERRANO, J. A.; SANDOVAL, Á. H. Biología de los actinomicetos de importancia médica y organismos relacionados. En Serrano, J.A.; Sandoval, Á. H. (Eds.) Identificación y Diagnóstico de Actinomicetales Patógenos. Publicaciones del Vicerrectorado Académico de la Universidad de Los Andes. Mérida, Venezuela. Pp 19- 102. 2005.
[69]SHUMMER, A.; WILKENS, H. SHUMMER, A.; WILKENS, H. (Eds.) Lymphatic system, En: The circulatory system, the skin, and the cutaneous organs of the domestic mammals. Verlagpaulparey, Berlín. Pp 269-440. 1981.
[70]SONGER, J.; BECKENBACH, K.; MARSHALL, M.; OLSON, G.; KELLEY, L. Biochemical and genetic characterization of Corynebacterium pseudotuberculosis. Am. J. Vet. Res. 49:223-226. 1988.
[71]STOOPS, S.; RENSHAW, H.; THILSTED, J. Ovine Caseous lymphadenitis: Disease prevalence, lesion distribution and thoracic manifestations in a population of mature culled sheep from western United States. Am. J. Vet. Res. 45:557- 561. 1984.
[72]WILLIAMSON, L. Caseous lymphadenitis in small ruminants. Vet. Clin. North Am. Food Anim. Pract. 17: 359-371. 2001.
Notas de autor