COMPOSICIÓN QUÍMICA, ACTIVIDAD CICATRIZANTE Y TOXICIDAD DEL LÁTEX DE Croton lechleri
Chemical composition, healing activity and toxicity of Croton lechleri latex
COMPOSICIÓN QUÍMICA, ACTIVIDAD CICATRIZANTE Y TOXICIDAD DEL LÁTEX DE Croton lechleri
Revista Científica, vol. XXVI, núm. 2, pp. 95-103, 2016
Universidad del Zulia
Recepción: 13/07/15
Aprobación: 15/03/16
Financiamiento
Fuente: Secretaría de Educación Superior, Ciencia, Tecnología e Innovación (SENESCYT)
Beneficiario: Diego Omar Cevallos-Verdesoto1, Carmita Jaramillo-Jaramillo1, Osmany Cuesta- Rubio1, Jorge Zaldua2, Gastón Garcia-Simón1 y Luisa Rojas de Astudillo
Fuente: Instituto Nacional de Investigación en Salud Pública (INSPI)
Fuente: Escuela de Bioquímica y Farmacia de la Facultad de Ciencias de Escuela Superior Politécnica de Chimborazo (ESPOCH)
Resumen: La actividad cicatrizante y la toxicidad aguda dérmica del látex de Croton lechleri fueron evaluadas usando ratas Wistar. El período de observación de la actividad cicatrizante fue de 7 días (d) y para la toxicidad 14 d. Las muestras para las evaluaciones histológicas fueron tomadas a los 7 días después de la incisión de la herida. Para la identificación de los compuestos químicos presentes en el extracto de diclorometano del látex se usó cromatografía de gases acoplada a espectrometría de masas. De las observaciones clínicas, las heridas con los grupos tratados con el látex de C. lechleri revelaron signos considerables de la cicatrización dérmica y curaron significativamente más rápido, comparado con los grupos cuyos procesos de cicatrización ocurrieron sin tratamiento y con la crema comercial. Del análisis de los cortes histopatológicos en general, las heridas de las ratas sin tratamientos y tratadas con la crema comercial revelaron abscesos con granulomas inflamatorios, mientras las pieles de las tratadas con el látex exhibieron signos de reparación, determinándose su efectividad como cicatrizante. De la evaluación de la toxicidad aguda dérmica, el látex no ocasionó muertes, ni signos de toxicidad en los animales a la dosis de 2000 mg/kg, las ratas mantuvieron un incremento de peso corporal y entre los grupos de ratas machos y hembras no presentaron diferencias significativas en el balance de masas (g/d) hasta el tiempo de tratamiento con el látex. El látex tiene un pH ácido que produce una barrera antimicrobiana en el proceso de cicatrización, inhibiendo el crecimiento de las bacterias patógenas relevantes. Además, los compuestos orgánicos, presentes en el extracto en diclorometano, identificados por el análisis cromatográfico, en su mayoría, son bioactivos como antiinflamatorios, antimicrobianos y/o de estimulación de formación de fibroblastos y su combinación sinérgica podría explicar la actividad cicatrizante del látex de C. lechleri.
Palabras clave: Croton lecheri, histopatología, cicatrización, taspina, ratas Wistar.
Abstract: The dermal healing activity and acute toxicity of Croton lechleri latex were evaluated using Wistar rats. The observation period to determine the healing activity was 7 days (d) and 14 d for the toxicity. Samples for histological evaluations were prepared 7 d after incised wound. The identification of chemical compounds present in the latex was performed by using gas chromatography coupled to mass spectroscopy. From histopathological analyses, in general, wounds of untreated rats and treated with the commercial cream showed abscesses with granulomatous inflammations, while the skins of rats treated with the latex of C. lechleri exhibited signs of repair. From evaluation of acute dermal toxicity, latex did not cause deaths or signs of toxicity in animals, at doses of 2000 mg/kg, body weight of the rats consistently increased, and no significant differences in mass balances (g/d) were observed between the groups of male and female rats, until the time of treatment with the latex. The latex has an acidic pH that produces an antimicrobial barrier during the healing process, inhibiting the growth of relevant bacterial pathogens. In addition, the organic compounds present in the dichloromethane extract of latex and identified by chromatographic analyses are mostly bioactive as anti-inflammatory, antimicrobial or fibroblast formation stimulation agents and their synergistic combination may explain the healing activity of latex of C. lechleri.
Keywords: Croton lechleri, histopathology, wound healing, taspine, Wistar rats.
INTRODUCCIÓN
El Croton lechleri es una de las especies del género Croton, perteneciente a la familia Euphorbiaceae, el cual es un árbol de rápido crecimiento y produce una resina rojiza (látex) comúnmente llamada SD (SD) o Grado. Es originario de las regiones templadas de Venezuela, Ecuador, Perú, Brasil y México [1]. Los nativos de esos países usan el látex de SD como un agente cicatrizante para el tratamiento de úlceras gástricas y enfermedades intestinales [45]. Varias investigaciones han demostrado su actividad antibacteriana, antioxidante [11], antiinflamatoria y antitumoral [7,19, 41]. Chen y col. [7] demostraron que el látex estimula la curación de heridas, ayudando a la formación de una cicatriz en el sitio de la herida, acelerando la regeneración de la piel y la formación de nuevo colágeno.
El SD también se ha usado en una forma diluida y por vía oral para los casos graves gastrointestinales; por ejemplo, gastritis, úlcera gástrica, infección intestinal e inflamaciones [27, 35, 40, 45]. Es posible que su actividad cicatrizante, complementada con la actividad antibacteriana sean las responsables de la capacidad curativa de este producto frente a las úlceras gástricas [45].
Algunos principios activos de SD han sido identificados e incluyen proantocianinas, flavonoides, taninos y el alcaloide taspina, el cual ha sido documentado como cicatrizante, antiinflamatorio y con actividad contra el desarrollo de sarcomas y antiviral [35, 40].
Muchas de las investigaciones en SD se han realizado en países en vías de desarrollo y gran parte de éstas no han sido publicadas, existiendo poca información acerca de sus propiedades y toxicidad. En este estudio se evaluó la composición química, los parámetros farmacognósticos, la actividad cicatrizante y la toxicidad del látex de C. lechleri, recolectado en Ecuador.
MATERIALES Y MÉTODOS
Muestra
La muestra del látex de SD (Croton lechleri M.) fue colectada en el cantón Yantzaza de la provincia de Zamora Chinchipe, Ecuador; tomada mediante extracción mecánica de la corteza de la planta y envasada en un frasco de vidrio de color ámbar con tapa hermética y almacenada en un desecador para evitar la humedad del medio.
Para la evaluación en el látex de SD de los parámetros físicoquímicos (humedad, cenizas totales, cenizas solubles en agua, cenizas insolubles en ácido clorhídrico, pH, densidad relativa y sólidos totales), se emplearon los ensayos descritos por la Organización Mundial de la Salud (OMS) [50].
Estudio químico cualitativo
Se preparó una dilución 1:10 (látex de SD: agua destilada), con esta solución se realizó el análisis químico cualitativo de acuerdo a lo expresado por Miranda y Cuéllar [28]. Para la determinación cualitativa de alcaloides, a tres tubos de ensayo se le agregaron 2 mL de la solución de SD y 1 gota de ácido clorhídrico concentrado, se agitaron y luego a cada tubo se le agregaron 3 gotas de los reactivos Dragendorff (solución ácida de iodobismutato de potasio), Mayer (solución neutra de yodomercuriato de potasio) y Wagner (solución de yodo - yoduro de potasio), respectivamente [28]. La prueba del análisis fue positiva por la formación de precipitados [9, 28].
Para determinar la presencia de azúcares reductores en la solución de SD se usó el reactivo de Fehling. Las saponinas se identificaron a través del ensayo de la espuma. Por medio del ensayo de cloruro de hierro (III) se reconocieron los compuestos fenólicos y/o taninos. Con la formación de una coloración rojovino se reconocieron los compuestos fenólico, una coloración verde intensa indicó la presencia predominante de taninos del tipo pirocatecólicos y una coloración azul los taninos del tipo pirogalotánicos [28]. Los flavonoides se identificaron usando el ensayo de Shinoda [9], El ensayo se consideró positivo, cuando el alcohol amílico se coloreó de amarillo, naranja, carmelita o rojo [28].
Todas las pruebas se realizaron por triplicado y el método ofrece alta repetibilidad y reproducibilidad.
Estudio de la actividad cicatrizante del látex de C. lechleri
Para el ensayo se utilizaron ratas Wistar (Rattus norvegicus) machos, con peso entre 200 y 380 g, y se confeccionaron tres grupos de cinco animales cada uno, distribuidos de forma aleatoria: Grupo I: Sólo se practicó la herida; Grupo II: Se realizó la herida y luego se aplicaron 2 gotas del látex de SD diariamente; Grupo III: Se practicó la herida y luego se aplicó una cantidad suficiente de una crema comercial cicatrizante. Cada rata fue depilada en la zona interescapular. Previo a la herida, las ratas fueron anestesiadas empleando tiopental sódico, en una dosis de (40 mg/kg), por vía intraperitoneal. Luego, se realizó un corte de 10 mm de diámetro, con el empleo de un biótomo (Acuderm, EUA). El tiempo que duró el tratamiento fue de 7 d, iniciando cuando se realizó la herida en los animales [2]. Durante los d que duró el ensayo se observó la presencia de humedad, inflamación, formación de la costra y se efectuaron mediciones de las heridas en milímetros (mm).
Procesamiento y evaluación histopatológica
A los animales tratados se les tomaron muestras de las heridas a los 7 d después de la incisión. La fijación de la misma se realizó con formol neutro buffer al 10% por 24 horas, procesándose por la técnica clásica de inclusión en parafina. Las muestras se cortaron a un espesor de 5 micrómetros, coloreándose con hematoxilina-eosina. Las observaciones histopatológicas se realizaron por microscopía óptica a doble ciego, a través de un microscopio (marca Olympus, modelo BX 40; Japón).
Evaluación de la toxicidad aguda dérmica
El ensayo se realizó en ratas pertenecientes a la línea Wistar, usando las indicaciones de la guía internacional de la Organización para la Cooperación y el Desarrollo Económico (OCDE) [30]. Los animales fueron divididos en dos grupos de cinco ratas cada uno, en un grupo sólo ratas hembras y en el otro sólo ratas machos, con pesos entre 230 a 380 g. El suministro de agua y comida fue ad libitum. Temperatura: (22 ± 3)°C y fotoperiodo 12x12 h luz/ oscuridad. La dosis utilizada del látex fue de 2000 mg/kg, aplicada uniformemente sobre el área previamente depilada. Se pesaron los animales en los tiempos 0; 7 y 14 d. Las ratas se observaron diariamente para evaluar cambios en la piel y en el pelaje, en las mucosas y los ojos, en los sistemas respiratorio, circulatorio y nervioso central y autónomo, en la actividad somatomotora y en los patrones de comportamiento. Al culminar los ensayos se realizó la necropsia a todos los animales para observar posibles cambios patológicos.
Procedimiento de extracción de los compuestos químicos del látex de SD
Diez mL del látex se diluyeron con 80 mL de agua destilada y una solución de amoniaco al 2% fue agregada hasta obtener un pH=10. Esta mezcla se extrajo 4 veces con 20 mL de diclorometano. Los volúmenes de diclorometano se reunieron y se concentraron a sequedad en un rotoevaporador (Buchi R-100, Suiza) a 40°C. Luego 1 mg del extracto seco se disolvió en 100 μL de metanol y 1 μL de la disolución se utilizó para el análisis cromatográfico.
Análisis por cromatografía de gases acoplada a espectrometría de masa (CG-EM)
Se empleó un cromatógrafo de gases (HP Agilent serie 6890N, EUA) equipado con un detector selectivo de masas con analizador cuadrupolar (Agilent, serie 5973N, EUA). La inyección de la muestra se realizó por el modo “split” con una relación de 1:10, siendo la temperatura del inyector 280ºC.
Para la separación se usó una columna HP-5 (17 m x 0,2 mm x 0,33 μm). Se trabajó con una temperatura inicial de 80ºC, subiendo 5ºC/min hasta 310ºC, la cual se mantuvo durante 20 min. Como gas portador se utilizó helio, a un flujo de 0,8 mL/ min. El espectrómetro de masas (Agilent, serie 5973N, EUA) fue operado en un rango de 40 hasta 800 uma.
La identificación de los componentes presentes en la fracción de diclorometano se basó en la comparación directa de los datos de los espectros de masas con los de mayor probabilidad encontrados en la base de datos NIST 98. También se analizó el patrón de fragmentación de los espectros de masas obtenidos y se confirmaron los resultados con los datos informados en la literatura.
Procesamientos estadísticos
Los resultados de la disminución de la herida se presentan en valores medios y desviación estándar. El contraste estadístico de los grupos se realizó mediante un análisis de varianza (ANOVA) y la consiguiente prueba de comparación de medias de Newman- Keuls (P<0,05). Los datos fueron procesados usando el Programa estadístico Minitab® (Versión 15).
RESULTADOS Y DISCUSIÓN
De las determinaciones de los parámetros físico-químicos del látex de Croton lechleri el porcentaje de cenizas totales obtenidas fue de (0,47 ± 0,01) %, este valor se encuentra dentro de los parámetros recomendados por la WHO [50]. La cantidad en porcentaje de sólidos totales encontrada fue de (25,53 ± 0,45) %. El pH encontrado en la muestra fue de 4,20 ± 0,19 y la densidad de 1,10 ± 0,02 mg/mL, en correspondencia con los valores encontrados por Montopoli y col. [29] en látex de C. lechleri de Ecuador.
Los resultados obtenidos al realizar el análisis cualitativo de metabolitos secundarios del látex de Croton lechleri, corroboran la presencia predominante de alcaloides, taninos, flavonoides, azúcares reductores y saponinas [39].
En este estudio se evaluó el potencial cicatrizante del látex de SD colocado en las heridas de las ratas y se compara con el de una crema comercial y sin tratamiento. Esto se realizó mediante la evaluación de la reducción de la herida, formación de costras y la histología del proceso de cicatrización de las heridas. De los resultados de las evaluaciones clínicas se distinguió que, la disminución del tamaño de la herida, la hidratación del tejido y la desinflamación de las heridas fueron más rápidas usando el látex de SD, en comparación con la crema comercial y en las heridas sin tratamientos. La formación de la costra ocurrió significativamente en menos tiempo con el látex (P=0,001), tal como se observa en la FIG. 1, en promedio de 2,8 d, las ratas tenían formadas las costras con el tratamiento del látex, mientras en las otras ratas las costras se formaron en un promedio mayor de 6 d y menor de 7 d.

El tamaño de la herida se redujo a un tamaño aproximadamente 6,8 mm con el uso del látex, siendo la herida de menor dimensión al compararla con la crema comercial, la cual no fue diferente con el tamaño de la herida de los animales no tratados (FIG. 2).

Macroscópicamente, las heridas con los grupos tratados con el látex de C. lechleri mostraron signos considerables de la cicatrización dérmica y significativamente curaron más rápido, comparado con el grupo cuyo proceso de cicatrización fue sin tratamiento y con la crema comercial.
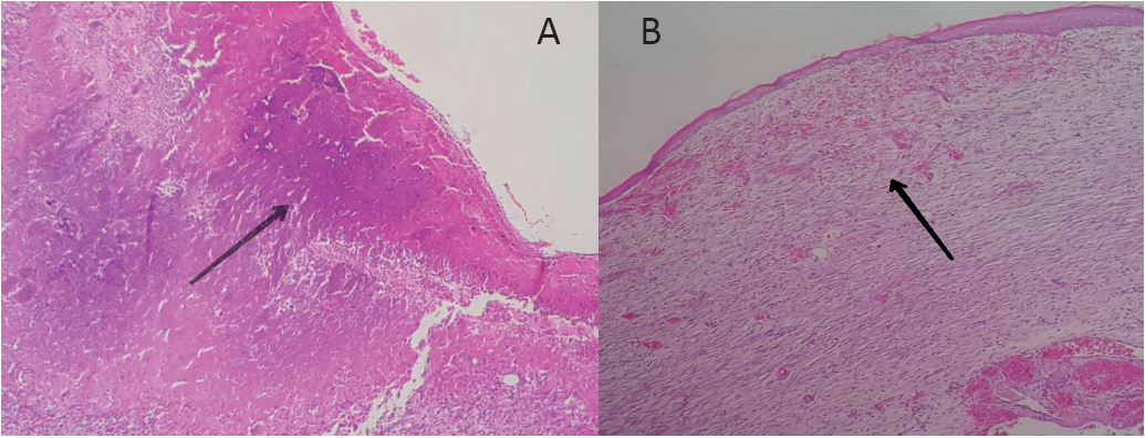
Los cortes histológicos de las ratas tratadas con el látex de SD muestran estructura de piel revestida por epidermis adelgazada, con ausencia de folículos pilosos; con signos de reparación manifestados por fibroblastos y neovascularización, con ligero infiltrado de mononucleares. Las heridas de las ratas tratadas con la crema comercial y las de las ratas sin tratamiento, muestran la estructura de piel con una epidermis con área central ulcerada, cubierta por exudado fibrinopurulento. A nivel de la dermis se observa proliferación de vasos sanguíneos que se disponen perpendicularmente a la superficie, los cuales están rodeados por acentuado infiltrado inflamatorio de linfocitos, plasmocitos, histiocitos y neutrófilos. En la FIG. 3, muestra las microfotografías de las características histológicas de dos procesos de cicatrización, a los siete d después de la lesión, se observa que la mayoría de las heridas de las ratas sin tratamientos y tratadas con la crema comercial presentan abscesos granulomas y necrosis, mientras las pieles de las tratadas con el látex muestran signos de reparación, con tejido de granulación, determinándose la efectividad del látex de C. lechleri como cicatrizante.

Estos resultados corresponden con los encontrados por otros investigadores que demuestran que el látex de C. lechleri estimula la contracción de la herida, ayuda en la formación de la costra y regenera rápidamente la piel [7, 27, 35, 36].
Para la evaluación de la toxicidad aguda dérmica, los animales fueron tratados con el látex de C. lechleri, a una dosis de 2000 mg/kg de peso y se mantuvieron en observación durante 14 d. Todos los animales permanecieron vivos y no manifestaron ninguna toxicidad significativa visible a esta dosis. Los resultados obtenidos del examen anatomopatológico, correspondiente a la inspección externa y macroscópica de los órganos y cavidades, no mostraron en los órganos estudiados la existencia de alteraciones que pudieran relacionarse con el tratamiento con el producto para la dosis empleada (2000 mg/kg). Con esto se determina que el látex de C. lechleri administrado por vía dérmica a las ratas, a esa concentración, no produce cambios patológicos.
Adicionalmente, el peso de los animales fue registrado al inicio y al final del experimento y se calculó la ganancia de peso por d. En la TABLA I se observa que los grupos de ratas machos y hembras no presentaron diferencias en las ganancias de masas (gramos/día) hasta el tiempo de tratamiento con el látex. De la observación física general, los animales estuvieron saludables y sin signos de estrés. En consecuencia, se corrobora que el látex de SD analizado no produce toxicidad aguda dérmica [22].

Dado que el látex resultó no tóxico a la dosis de 2000 mg/kg peso, se propone la formulación adecuada para su empleo en la práctica médica, siguiendo las regulaciones para fitofármacos, validando así los conocimientos ancestrales acerca del látex de C. lechleri como cicatrizante y, además, cumpliendo con lo sugerido por la WHO [51] que no sólo reconoce la importancia de las terapias usando plantas medicinales, sino que ha creado una estrategia de medicinas tradicionales, con objetivos estratégicos, entre ellos impulsar la integración global de la terapia tradicional y complementaria en los sistemas de salud.
Del análisis por cromatografía GC-MS, en la FIG. 4 se presentan los compuestos identificados sobre la base de la similitud de sus espectros de masas con los de la base de datos del equipo. Uno de los compuestos con mayor porcentaje de área (25,62%) encontrado en el látex fue el 3,4 alcohol dimetoxibencílico (alcohol veratrílico, VA) (FIG. 4). Cai y col. [5] igualmente identificaron este compuesto en C. lechleri. Este compuesto se usa en formulaciones terapéuticas para el tratamiento de la piel. Tamarkin y col. [46] patentaron unas combinaciones químicas espumantes, las cuales producen modificaciones del efecto de las composiciones terapéuticas y cosméticas, después de la aplicación en la superficie de la piel. Dentro de esas combinaciones químicas está incluido el VA como una de las sustancias que proporcionan una sensación de calor en la aplicación y son llamados “agentes de calentamiento” para mejorar una sensación de frío o el efecto de enfriamiento. Otro aspecto importante es que también VA tiene actividad antifúngica, inhibe el crecimiento de Sclerotinia sclerotiorum y Pythium irregulare [48]. Sclerotinia sclerotiorum (Lib.) es un hongo habitante del suelo, de extensa distribución en los climas templado y subtropical, el cual causa marchitamiento y muerte de plantas o esclerotiniosis, una de las enfermedades principales por los daños que ocasiona, frecuencia y amplia distribución; los ataques pueden iniciarse enseguida del trasplante [25]. Pythium irregulare es la especie más común y expandida del género Pythium spp [44] que causa podredumbre de las semillas, plántulas, raíces, frutos carnosos y otros órganos de plantas en contacto con el suelo, cada vez está más vinculado a los informes de pérdidas agrícolas [12]. El uso de VA puede minimizar el uso de plaguicidas tóxicos. Adicionalmente, un uso importante de VA es para preparar soluciones de uso parenteral de riboflavina, vitamina esencial para la prevención de queilosis, dermatitis seborreica, vascularización cornea [4]. Se encontró que la mezcla de alcohol veratrílico y agua resultó muy eficaz para disolver riboflavina y la solución resultante no cristaliza y permanece física y químicamente estable y puede ser administrada en cantidades que son terapéuticamente efectivas sin reacciones tóxicas [13]. Dadas esas múltiples funciones terapéuticas que tiene el VA, le da mayores potencialidades de uso al látex C. lechleri.


En relación con el alcohol homovanílico (HVA), este compuesto fenólico inhibe el daño oxidativo inducido por H2O2 [10]. Paiva- Martins y col. [31] muestran que el alcohol homovanílico es un protector de células rojas sanguíneas. Por lo que la presencia de este compuesto confirma la actividad antioxidante del látex analizado.
Se ha demostrado que el betuligenol, tiene actividad hepatoprotectiva [14]. Otro estudio también sugiere que betuligenol es uno de los compuestos bioactivos que contribuye en parte al efecto antiinflamatorio de A. nikoense, debido a que suprime la formación de óxido nitroso [15].
El 3, 4, 5 trimetoxifenol es uno de los componentes de valor en porcentaje moderado (7,26%) encontrados en otras plantas usadas con fines medicinales y han sido usadas por sus efectos antinflamatorios, antimicrobianos y antioxidantes [18, 43].
El ácido 3-methoxi-4 hidroxifenilacético ha sido encontrado extensamente en las plantas superiores [3, 8, 20]. Como ácido fenólico tiene funciones similares a los flavonoides, al reducir los radicales libres [17].
Otra novedad en esta investigación es la presencia de escualeno en el látex de Croton lechleri, la cual es de gran importancia dado el valor medicinal que tiene este compuesto estructuralmente similar al beta-caroteno [21]. El escualeno es un hidrocarburo triterpénico poliinsaturado (C30H50), usado en la industria cosmética debido a que contribuye a restablecer el equilibrio natural de la humedad de la piel; además, es un emulsificante, antinflamatorio, bactericida, antifúngico, anticancerígeno y sirve como un antioxidante natural [23,38, 49].
En cuanto a taspina, el porcentaje fue de 1,60%, el cual coincide con otras investigaciones que también han encontrado bajas cantidades de taspina en el látex ecuatoriano, en comparación al látex peruano [7,35]. Esta variabilidad es una confirmación que los niveles de metabolitos secundarios tales como alcaloides dependen de otros parámetros, tales como el lugar de hábitat y la edad de la planta.
Este alcaloide también ha sido extraído de otras plantas, además de Croton lechleri [26, 29, 33]. Los reportes indican que este alcaloide tiene varias actividades farmacológicas, entre ellas bacteriológica, antinflamatoria, anti-úlcera y cicatrizante [35,37, 47].
Dado que a los compuestos polifenólicos tienen potencialidades como cicatrizantes, antioxidantes, antiinflamatorios pueden ser responsables del proceso de cicatrización a través de la activación de los fibroblastos. Adicionalmente, todas las virtudes del compuesto escualeno que favorece la reposición de la humedad de la piel, es un emulsificante, antinflamatorio, bactericida y sirve como un antioxidante natural, se puede inferir que la eficacia del látex en el proceso de cicatrización evaluada y observada en esta investigación podría ser explicada por la combinación de esos compuestos químicos, como lo han sugerido otros investigadores [6,7,34,47]. Adicionalmente, el pH ácido del látex produce una barrera antimicrobiana en el proceso de cicatrización. El crecimiento de las bacterias patógenas relevantes se inhibe a pH ácidos [24,32]. El valor de pH es un factor determinante para el metabolismo durante la cicatrización de heridas, puede afectar a muchos factores, incluyendo la liberación de oxígeno, la angiogénesis, la actividad de la proteasa y la toxicidad bacteriana. Las heridas crónicas que no cicatrizan tienen un ambiente alcalino elevado. La curación se produce naturalmente en un ambiente ácido [16,42].
CONCLUSIONES
De los resultados obtenidos del estudio de la actividad cicatrizante dérmica del látex de C. lechleri se evidenció la formación de una costra muy temprana y el cierre de la herida en menos tiempo, respecto al grupo tratado con la crema comercial. En las ratas Wistar no hubo evidencias de toxicidad aguda dérmica a la dosis de 2000 mg/kg; por lo tanto, estos resultados pueden garantizar la seguridad del uso de este látex de SD como un remedio herbal.
Del análisis cromatográfico, se demuestra que el perfil fitoquímico del látex de C. lechleri es complejo, por lo que la función de cada compuesto es importante para la interpretación de los efectos farmacológicos del látex, recomendándose más investigaciones.
Es posible que la actividad cicatrizante sea debido al efecto sinérgico de los componentes químicos constituyentes del látex, los cuales son agentes bioactivos como antioxidantes, antimicrobiano y antinflamatorio.
Los resultados de este estudio verifican que el látex de C. lechleri como remedio cicatrizante ancestral y su uso permitiría mejorar el sistema de salud en los países en desarrollo.
Agradecimientos
Los autores agradecen de manera especial al Proyecto Prometeo de la Secretaría de Educación Superior, Ciencia, Tecnología e Innovación (SENESCYT) de la República del Ecuador, por su patrocinio en este trabajo, al Instituto Nacional de Investigación en Salud Pública (INSPI) por su apoyo con el suministro de las ratas Wistar y al Bioterio de la Escuela de Bioquímica y Farmacia de la Facultad de Ciencias de Escuela Superior Politécnica de Chimborazo (ESPOCH), Ecuador.
Referencias
[1] ALONSO-CASTRO, A.; ORTIZ-SÁNCHEZ, E.; DOMÍNGUEZ, F.; LÓPEZ-TOLEDO, G.; CHÁVEZ, M.; ORTIZ-TELLO, A.; GARCÍA-CARRANCÁ, A. Antitumor effect of Croton lechleri Mull. Arg. (Euphorbiaceae). J. Ethnopharmacol. 140:438-442. 2012.
[2] BAIE S, H; SHEIKH, KA. The wound healing properties of Channa striatuscetrimide cream-tensile strength measurement. J. Ethnopharmacol. 71:93-100. 2000.
[3] BENDINI, A.; CERRETANI, L.; CARRASCO-PANCORBO, A.; GÓMEZ-CARAVACA, A.; SEGURA-CARRETERO, A.; FERNÁNDEZ-GUTIÉRREZ, A.; LERCKER, G. Phenolic molecules in virgin olive oils: a survey of their sensory properties, health effects, antioxidant activity and analytical methods. An overview of the last decade. Molecules 12:1679-1719. 2007.
[4] BUENO-SOLANO, C., CAMPAS-BAYPOLI, O.; DÍAZGARCÍA, A.; IZAGUIRRE-FLORES, E.; VERDUGOZAMORANO, W.; ESTRADA-ALVARADO, M.; SÁNCHEZMACHADO, D.; LÓPEZ-CERVANTES, J. Cuantificación de riboflavina (vitamina B2) en productos lácteos por HPLC. Rev. Chil. Nutr. 36(2):136-142. 2009.
[5] CAI, Y.; CHEN, Z.P.; PHILLIPSON, J.D. Diterpenes from Croton lechleri. Phytochem. 32(3):755–760. 1993.
[6] CAI, Y.; EVANS, F.J.; ROBERTS, M.F.; PHILLIPSON, J.D.; ZENK, M.H.; GLEBA, YY. Polyphenolic compounds from Croton lecheleri. Phytochem. 30:2033-2040. 1991.
[7] CHEN, Z.P.; CAI, Y.; PHILLIPSON, J.D. Studies on the anti-tumour, anti-bacterial, and wound-healing properties of dragon’s blood. Planta Med. 60(6):541-545. 1994.
[8] CHRISTOPHORIDOU, S.; DAIS, P.; TSENG. L.; SPRAUL, M. Separation and identification of phenolic compounds in olive oil by coupling High Performance Liquid Chromatography with postcolumn solid-phase extraction to nuclear magnetic resonance spectroscopy (LC-SPE-NMR). J. Agric. Food Chem. 53 (12):4667-4679.2005.
[9] CUÉLLAR-CUÉLLAR, A.; OKORI, D. Preliminary phytochemical and antimicrobial evaluation of the fresh and dried whole plant extracts from Commelina Benghalensis. Rev. Colomb. Cien. Anim. 2(1):104-116. 2010.
[10] DEIANA, M.; INCANI. A.; ROSA, A.; CORONA, G.; ATZERI, A.; LORU, D.; MELIS, P.; DESSÌ A. Protective effect of hydroxytyrosol and its metabolite homovanillic alcohol on H2O2 induced lipid peroxidation in renal tubular epithelial cells. Food Chem. Toxicol. 46(9):2984-90. 2008.
[11] DESMARCHELIER, C., SCHAUS, F. W., COUSSIO, J.; CICCA, G. Effects of SD from Croton lechleri Muell.- Arg. on the production of active oxygen radicals. J. Ethnopharmacol. 58(2): 103-108.1997.
[12] ELLIS, M.L.; MCHALE, L. K.; PAUL, P.; ST. MARTIN, S.K.; DORRANCE, A.E. Soybean germplasm resistant to and molecular mapping of resistance quantitative trait loci derived from the soybean accession PI 424354. Crop Sci. 53:1008–1021. 2013.
[13] ENSIGN-KNAUF, A.; KIRCHMEYER, F. Riboflavin solution. Abbott Laboratories. U.S Patent. Serial No. 535552. Apr. 20, 1948. On Line: https://patentimages.storage.googleapis. com/pages/US2440050-0.png. 03/04/2015.
[14] FUJITA, T.; HATAMOTO, H.; IWASAKI, T.; TAKAFUJI, S. I. Bioconversion of rhododendrol by Acer nikoense. Phytochem. 39(5): 1085-1089. 1995.
[15] FUSHIYA, S.; KABE, Y.; IKEGAYA, Y.; TAKANO, F. (+)-Rhododendrol and epi-rhododendrin suppress the NO production by activated macrophages in vivo. Planta Med. 64(7):598-602. 1998.
[16] GETHIN, G. The significance of surface pH in chronic wounds. Wounds UK, 3(3):52-56. 2007.
[17] GHASEMZADEH, A.; GHASEMZADEH, N. Flavonoids and phenolic acids: role and biochemical activity in plants and human. J. Med. Plants Res. 5(31):6697-6703. 2011.
[18] GHAZALI, N.; ABDULLAH, N.; BAKAR, A.; MOHAMAD, N. GC-MS analysis of some bioactive components in the root extract of Ixora coccinea linn. Int. J. Pharm. Bio. Sci. 5(3): 197-203. 2014.
[19] GONZALES, G.F.; VALERIO, L.G. Medicinal plants from Peru: a review of plants as potential agents against cancer. Anticancer Agents Med. Chem. 6:429-444. 2006.
[20] HERRMANN, K. Occurrence and content of hydroxycinnamic and hydroxybenzoic acid compounds in food. Crit. Rev. Food Sci. Nutr. 28:315-347. 1989.
[21] JOHNSON, W. S.; WERTHEMANN, L.; BARTLETT, W. R.; BROCKSOM, T. J.; LI, T. T.; FAULKNER, D. J.; PETERSEN, M. R. Simple stereoselective version of the Claisen rearrangement leading to trans-trisubstituted olefinic bonds. Synthesis of squalene. J. Am. Chem. Soc. 92(3): 741-743. 1970.
[22] JONES, K. Review of SD (Croton lechleri) -A South American tree sap in the treatment of diarrhea, inflammation, insect bites, viral infections, and wounds: traditional uses to clinical research. J. Altern. Complem. Med. 9(6):877-896.2006.
[23] KO, T. F.; WENG, Y. M.; CHIOU, R.Y. Squalene content and antioxidant activity of Terminalia catappaleaves and seeds. J. Agric. Food Chem. 50:5343-5348. 2002.
[24] LAMBERS, H.; PIESSENS, S.; BLOEM, A.; PRONK, H.; FINKEL, P. Natural skin surface pH is on average below 5, which is Beneficial for Its Resident Flora. Int. J. Cosmetic Sci. 28 (5): 359-370. 2006.
[25] MAZZANTI DE C., M.A.; CUNDOM, M.A.; CABRERA DE A., Y. Enfermedades en cultivos protegidos de tomate, pimiento y berenjena, en el nordeste argentino. Hort. Arg. 13(34-35):1-8.1994.
[26] MILANOWSKI, D.J.; WINTER, R.E.; EVIN-LEWIS M.P; LEWIS, W.H. Geographic distribution of three alkaloid chemotypes of Croton lechleri. J. Nat. Prod. 65:814–819. 2002.
[27] MILLER, M.; NAUGHTON, W.; ZHANG, X.; THOMPSON, J.; CHARBONNET, R.; BOBROWSKI, P.; LAO, J.; TRENTACOSTI, A.; SANDOVAL, M. Treatment of gastric ulcers and diarrhea with the Amazonian herbal medicine Sangre de Grado. Am. J. Physiol. Gastrointest. Liver Physiol. 279:G192–G200. 2000.
[28] MIRANDA, M; CUELLAR, A. Farmacognosia y Productos Naturales. Manual de prácticas de laboratorio. La Habana: Editorial Félix Varela; La Habana.110 pp. 2001
[29] MONTOPOLI, M.; BERTIN, R.; CHEN, Z.; BOLCATO, J.; CAPARROTTA, L.; FROLDI, G. Croton lechleri sap and isolated alkaloid taspine exhibit inhibition against human melanoma SK23 and colon cancer HT29 cell lines. J Ethnopharmacol. 144:747-753. 2012.
[30] ORGANIZACIÓN PARA COOPERACIÓN Y EL DESARROLLO ECONÓMICO (OCDE). Acute dermal toxicity. Guidelines for the testing of chemicals. Section 4, Health effects. Paris. Nº 402. 7 pp. 1987.
[31] PAIVA-MARTINS, F.; SILVA, A.; VASCO, A.; CARVALHEIRA, M.; SERRA, C.; RODRÍGUES-BORGES, J.E. FERNANDES, J.; BELO, L.; SANTOS-SILVA, A. Protective activity of hydroxytyrosol metabolites on erythrocyte oxidative-induced hemolysis. J. Agric. Food Chem. 61: 6636-6642. 2013.
[32] PERCIVAL, S.L.; THOMAS, J.; LINTON, S.; OKEL, T.; CORUM, L.; SLONE, W. The antimicrobial efficacy of silver on antibiotic-resistant bacteria isolated from burn wounds. Int .Wound J. 9(5): 488-493. 2012.
[33] PERDUE, G.P.; BLOMSTER, R.N.; BLAKE, D.A.; FARNSWORTH, N.R. South American plants II: taspine isolation and anti-inflammatory activity. J. Pharm. Sci. 68:124-126.1979.
[34] PHILLIPSON, JD. A matter of some sensitivity. Phytochem. 38:1319-1343. 1995.
[35] PIETERS, L.; DE BRUYNE, T.; CLAEYS, M.; VLIETINCH. J. Isolation of the dihydrobenzofuran lignan form South American dragon’s blood (Croton spp.) as an inhibitor of cell proliferation. J. Nat. Prod. 56(6):899-906. 1993.
[36] PIETERS, L.; DE BRUYNE, T:; VAN POEL, B.; VINGERHOETS, R.; TOTTÉ, J.; VANDEN BERGHE, D.; VLIETINCK, A. In vivo wound healing activity of dragon’s blood (Croton spp.), a traditional South American drug, and its constituents. Phytomed. 2(1):17-22. 1995.
[37] PORRAS-REYES, B.H.; LEWIS, W.H.; ROMAN, J.; SIMCHOWITZ, L.; MUSTOE, T. Enhancement of wound healing by the alkaloid taspine defining mechanism of action. Proc. Soc. Exp. Biol. Med. 203:18-25. 1993.
[38] REDDY, L.H.; COUVREUR, P. Squalene: a neutral triterpene for use in disease management and therapy. Adv. Drug Deliv. Rev. 61:1412-1426. 2009.
[39] RISCO, E.; GHIA, F.; VILA, R.; IGLESIAS, J.; ALVAREZ, E.; CAÑIGUERAL, S. Immunomodulatory activity and chemical characterization of SD (Dragon’s blood) from Croton lechleri. Planta Med. 69(9): 785-794. 2003.
[40] SALATINO, A.; FARIA-SALATINO, M.; NEGRI, G. Traditional uses, Chemistry and Pharmacology of Croton species (Euphorbiaceae). J. Braz. Chem. Soc. 18(1):11- 33. 2007.
[41] SANDOVAL, M.; OKUHAMA, N.; CLARK, M.; ANGELES, F.; LAO, J.; BUSTAMANTE, S.; MILLER, M. Sangre de Drago (Croton palanostigma) induces apoptosis en human gastrointestinal cáncer cells. J. Ethnopharmacol. 80(2- 3):121-129. 2002.
[42] SCHNEIDER, L.A.; KORBER, A.; GRABBE, S.; DISSEMOND, J. Influence of pH on wound-healing: a new perspective for wound-therapy? Arch. Dermatol. Res. 298:413–420. 2007.
[43] SELVARAJ, N.; LAKSHMANAN, B.; MAZUMDER, P.; KARUPPASAMY, M.; JENA, S.; PATTNAIK, A. Evaluation of wound healing and antimicrobial potentials of Ixora coccinea root extract. Asian Pac. J. Trop. Med. 4(12):959-63. 2011.
[44] SPIES, C.F.; MAZZOLA, M.; BOTHA, W.J.; LANGENHOVEN, S.D.; MOSTERT, L.; MCLEOD, A. Molecular analyses of Pythium irregulare isolates from grapevines in south Africa suggest a single variable species. Fungal Biol. 115(12):1210-24. 2011.
[45] TAMARIZ-ORTIZ, J. H.; CAPCHA-MENDOZA, R.; PALOMINO-CADENAS, E.; AGUILAR-OLANO, J. Actividad antibacteriana de la Sangre de Grado (Croton lechleri) frente al Helicobacter pylori. Rev. Med. Hered. 14(2):82-88. 2003.
[46] TAMARKIN, D.; EINI, M.; FRIEDMAN, D.; ZLATKIS, E.; SCHUZ, D.; BERMAN, T. Sensation modifying topical composition foam. US Pat. Appl., Patent. US 2008253973 A1, 16 October.2008.
[47] VAISBERG, A.J.; MILLA, M.; DEL CARMEN-PLANAS, M.; CORDOVA, J.L.; ROSAS DE A., E.; FERREYRA, R.; MUSTIGA, M.; CARLIN, L; HAMMOND, G. Taspine is the cicatrizant principle in Sangre de Grado extracted from Croton lechleri. Planta Med. 55:140-143. 1989.
[48] VINALE, F.; GHISALBERTI, E.; FLEMATTI, G.; MARRA, R.; LORITO, M.; SIVASITHAMPARAM, K. Secondary metabolites produced by a root-inhabiting sterile fungus antagonistic towards pathogenic fungi. Lett. Appl. Microbiol. 50 (4):380-385. 2010.
[49] WON-KYUNG, H.; HEO, S-Y.; PARK, H-M.; KIM, CH.; SOHN, J-H.; KONDO, A.; SEO, J. Characterization of a squalene synthase from the Thraustochytrid microalga Aurantiochytrium spp. KRS10. J. Microbiol. Biotechnol. 23(6): 759-765. 2013.
[50] WORLD HEALTH ORGANIZATION (WHO). Determination of ash. Determination of water and volatile matter. Quality control methods for medicinal plant materials - Updated edition of Quality control methods for medicinal plant materials. Geneva. 187 pp. 2011.
[51] WORLD HEALTH ORGANIZATION (WHO). Estrategia de la WHO sobre medicina tradicional 2014-2023. Hong Kong. 76 pp. 2013.
Notas de autor
lrojas40@yahoo.com