HABRONEMOSIS CUTÁNEA EQUINA EN CABALLOS CRIOLLO COLOMBIANO (Equus ferus caballus) DEL DEPARTAMENTO DE CÓRDOBA, COLOMBIA
Equine cutaneous habronemosis in Colombian creole horses (Equus ferus caballus) of Córdoba Department, Colombia
HABRONEMOSIS CUTÁNEA EQUINA EN CABALLOS CRIOLLO COLOMBIANO (Equus ferus caballus) DEL DEPARTAMENTO DE CÓRDOBA, COLOMBIA
Revista Científica, vol. XXVII, núm. 2, pp. 87-94, 2017
Universidad del Zulia
Recepción: 23/09/16
Aprobación: 12/01/17
Resumen: El objetivo de este trabajo fue estudiar los aspectos clínicos e histopatológicos de la habronemosis cutánea equina (HCE) en caballos (Equus ferus caballus) criollo colombiano (CCC) del departamento de Córdoba, Colombia. Dicho estudio fue de tipo descriptivo, no probabilístico, en animales de conveniencia. Se estudiaron veinte caballos CCC con HCE diagnosticados clínica e histopatológicamente en diferentes establos del Departamento. Al describir los casos se observaron lesiones de crecimiento rápido, granulomatosas, exofíticas, en forma de cráter, de coloración rojiza y a la compresión presentaron salida de estructuras calcificadas amarillas cuya apariencia era similar a un grano de arroz, que posiblemente correspondían a larvas de parásitos compatibles con HCE. Las lesiones se ubicaron principalmente en las partes distales de los miembros (35%), seguido de la cabeza (25%), región genital (20%), tuberosidad coxal (10%), articulación del encuentro (5%) y abdomen ventral (5%), respectivamente. Histopatológicamente se observó en todos los casos presencia de dermatitis piogranulomatosa activa con áreas de necrosis multifocal, en algunos casos se observaron larvas del parásito o algunas áreas de ubicación larvaria rodeadas por una envoltura eosinofílica densa correspondiente al fenómeno de Splendore-Hoeppli (SH), la epidermis se observó ulcerada con una fina capa de restos celulares necróticos mezclados con neutrófilos, la dermis se observó marcadamente congestiva y edematosa. El diagnóstico definitivo de la enfermedad se fundamentó en las características clínicas, diagnóstico diferencial y en los hallazgos histopatológicos, siendo concluyentes como métodos de diagnóstico de la HCE. En la literatura consultada no existen reportes de estudios de HCE en caballos CCC del departamento de Córdoba, Colombia.
Palabras clave: Dermopatías, Habronema spp, diagnóstico, histopatología.
Abstract: The aim of this work was to study the clinical and histopathological aspects equine cutaneous habronemosis (ECH) in Colombian creole horses (CCH) of the Córdoba Department, Colombia. This study was descriptive, not probabilistic in animals of convenience. Twenty horses CCH with clinical and histopathological diagnosed of EHC in different Department stables were studied. When describing cases injuries growth fast and consisted of granulomatous, exophytic, crater-shaped, reddish nodules. Compression produced output calcified yellow structures were observed whose appearance was similar to a grain of rice, possibly corresponding to parasite larvae compatible with ECH. The lesions were located mainly in the distal portions of the members (35%), followed by the head (25%), genital region (20%), coxal tuberosity (10%), joint meeting (5%) and ventral abdomen (5%) respectively. Histopathology revealed in all cases the presence of active pyogranulomatous dermatitis with multifocal areas of necrosis. In some cases parasite larvae were observed or some areas of larval location surrounded by a dense shell eosinophilic, for the phenomenon Splendore-Hoeppli (SH). The epidermis was observed ulcerated with a thin layer of necrotic cell debris mixed with neutrophils, the dermis was observed markedly congestive edematous. The definitive diagnosis of the disease was based on clinical features, differential diagnosis and histopathological findings, being conclusive as ECH. In the literature there are no reports of studies of ECH in CCH horses of Córdoba Department, Colombia.
Keywords: Dermopathies, Habronema spp, diagnostic, histopathology.
INTRODUCCIÓN
Los equinos son susceptibles de sufrir el complejo de enfermedades parasitarias comúnmente encontradas en las regiones templadas, subtropicales y tropicales a lo largo de toda su vida [30]. Es así como Brum y col. [6], indican que el 4,1% de los caballos examinados presentan algún problema dermatológico. Dentro de las enfermedades parasitarias más comunes de los equinos se destacan los grandes y pequeños Strongylus, Dictiocaulus y Habronema. La mayoría de estos vermes son altamente patogénicos por la hematofagia, la migración o la respuesta inflamatoria local que causan en los hospedadores que parasitan [23].
El parásito afecta principalmente équidos, incluyendo caballos (Equus ferus caballus), burros (Equus asinus), mulas (Equus mulus) y cebras (Equus zebra), además se ha identificado habronemosis cutánea en caninos (Canis lupus familiaris), ovejas (Ovis aries), camélidos (Camelidae) [22] y rinocerontes (Rhinocerossondaicus) [16]. La habronemosis ha sido reportada en muchos países de Europa, Asia, África, Australia, Estados Unidos y América del Sur [22].
La etiología de la habronemiasis consiste en una infección parasitaria por especies de nematodos Habronema microstoma, Habronemamuscae y Draschiamegastoma, pertenecientes a la familia Habronematidae, Ordem: Spiruroidea [15]. El ciclo evolutivo de Habronema spp es indirecto, usando como vector la mosca doméstica (Musca domestica) y la mosca de los establos (Stomoxys calcitrans) [21]. Las dos especies de Habronema son ovovivíparas y ponen huevos con cáscara delgada que se pasan con las heces del hospedador mientras que D. megastoma es vivípara [28], algunas veces hay eclosión de éstos en el intestino del hospedador y son entonces eliminadas larvas y huevos [21].
En el medio ambiente, las larvas (L1) son ingeridas por el hospedador intermediario para luego desarrollarse al mismo tiempo que sus anfitriones [22]. Dependiendo de la especie del nematodo, la primera fase larval (L1) invade la grasa corporal (Habronema spp) o tubos de Malpighi (D. megastoma) de las moscas, donde se da la evolución y se forman rollos de la segunda etapa larvaria (L2), la segunda muda tiene lugar durante la fase de pupa del insecto [28], cerca de dos semanas más tarde, surgen las moscas adultas con la larva infectante (L3) de Habronema spp [21]. Las larvas de tercer estadio luego migran hacia la cabeza y la probóscide de las moscas adultas para salir cuando ésta se pose sobre una superficie caliente y húmeda de un caballo, por ejemplo la cabeza, labios, nariz y cualquier herida de la piel [28], causando grande incomodidad a los animales y pérdidas económicas al productor [21].
El ciclo de vida de Habronema spp se cierra cuando sus larvas se depositan alrededor de la boca de los equinos, el cual al tragar saliva las ingiere, y así evolucionarán a adultos en el estómago del hospedador, causando habronemosis gástrica [7, 15, 28], pudiendo o no invadir las glándulas gástricas, ocasionando una irritación de la mucosa gástrica, gastritis, úlcera gástrica y cólico [13, 22], mientras que D. megastoma puede desarrollar incluso grandes nódulos fibrosos (tumor). Sin embargo, muy a menudo las moscas depositan las larvas de nematodos en heridas en la piel de equinos, en este caso, los parásitos no alcanzan la edad adulta y causan habronemosis cutánea (HCE) [13].
La HCE, es también conocida como “llagas de verano”, se produce por el depósito de larvas en una herida preexistente especialmente a nivel de locales comunes de traumatismos y donde el caballo no consigue remover las moscas, como el rosto, cerca de la región medial de los ojos, la línea media del abdomen, en los genitales (pene y prepucio), además de lesiones en las patas, anca, cuello y la comisura de los labios [13, 21, 25] y con menor frecuencia en mucosas de los ojos o fosas nasales, causando habronemosis conjuntival y pulmonar [22, 28]. Cuando las larvas L3 son depositadas cerca de los ojos se presenta a menudo inflamación, epifora, fotofobia, edema y conjuntivitis, denominándose habronemosis periocular [14].
Clínicamente, las lesiones de HCE comienzan con pequeñas pápulas de centro erosionado, en la cual hay eosinofilia con prurito intenso pudiendo llevar a automutilaciones [22], el desarrollo es rápido, formándose un granuloma castaño enrojecido, no cicatrizante, el cual más tarde puede tornarse en una lesión fibrosa, granulomatosa, exofítica, en forma de cráter y en algunos casos, con larvas amarillas calcificadas cuya apariencia es similar a un grano de arroz [12, 21]. Algunos individuos infectados presentan pelaje pobre, con aspecto enfermo e indigestión [28].
Histopatológicamente, se observa una dermatitis piogranulomatosa activa con áreas de necrosis multifocal, en algunos casos se pueden observar las larvas del parásito o áreas rodeadas por una envoltura eosinofílica densa que corresponde al fenómeno de Splendore-Hoeppli (SH) [12, 27], la epidermis se observa ulcerada con una fina capa de restos celulares necróticos mezclados con neutrófilos. La dermis y el tejido subcutáneo se observan marcadamente congestivo, edematoso y con extensos infiltrados de células inflamatorias, predominantemente eosinófilos con menor número de células plasmáticas, macrófagos y linfocitos [2, 27].
El diagnóstico de HCE está basado en las características clínicas de la lesión y los resultados histopatológicos de la biopsia, aunque es de difícil diferenciación con otras enfermedades dermatológicas en equinos, por lo que se debe considerar entre los diagnósticos diferenciales todas las lesiones granulomatosas que no tienden a la cicatrización, especialmente aquellas que se ubican en cabeza, abdomen ventral, prepucio y partes distales de los miembros [25]. Entre las principales enfermedades dermatológicas que cursan con lesiones granulomatosas cutáneas y subcutáneas se encuentran la pythiosis [8, 10], sarcoide fibroblástico [9], carcinoma de células escamosas [11], tejido de granulación exuberante sin causa infecciosa, además de infecciones bacterianas y otras micosis [3].
Son diversos los tratamientos reportados, siendo los más usados las avermectinas y milbemicinas, de igual forma, se reporta el uso de pomadas preparadas con antiinflamatorios, triclorfón, coumafos y antibióticos [4, 25], así como la extirpación quirúrgica con posterior aplicación de nitrógeno líquido [27, 29].
El objetivo de este trabajo fue realizar un estudio sobre los aspectos clínicos e histopatológicos de la HCE en veinte CCC del departamento de Córdoba, Colombia.
MATERIALES Y MÉTODOS
Tipo de estudio
Se realizó un estudio de tipo descriptivo, no probabilístico en animales de conveniencia con presencia de lesiones cutáneas compatibles con HCE.
Localización
Fue realizado en el departamento de Córdoba, Colombia, ubicado entre las coordenadas 7°23’ y 9º26’ LN y los 74°52’ y 76º32’ LO del meridiano de Greenwich, a una altura de 30 m.s.n.m, con temperatura promedio anual de 28°C, humedad relativa del 82%, precipitación media anual de 1400 mm y pertenece a la formación climática de bosque tropical lluvioso [24].
Animales
Se utilizaron veinte caballos de la raza criollo colombiano (CCC), 8 machos enteros y 12 hembras, con edades comprendidas entre 4 y 12 años, los cuales presentaron lesiones cutáneas no cicatrizantes de color castaño enrojecido, granulomatosas, exofíticas y en forma de cráter compatible con HCE, de los cuales 16 casos se presentaron entre los meses de mayo y julio del 2015 (época de lluvias) y 4 casos entre los meses de enero y marzo (época seca).
Metodología
Los animales no fueron sometidos a dolor y/o estrés innecesario, por lo que fueron inmovilizados teniendo en cuenta las normas técnicas en el manejo y sujeción de animales, enmarcado en el cumplimiento de la Declaración Universal de los Derechos de los Animales, referente a los principios éticos internacionales para la investigación biomédica con animales del CIOMS (Council for International Organizations of Medical Sciences) establecida por la UNESCO (United Nations Educational, Scientific and Cultural Organization) y la OMS (Organización Mundial de la Salud) de 1949 y de la Ley 84 de Octubre 27 de 1989 (Estatuto Colombiano de Protección Animal) [20].
A todos los animales se les realizó evaluación clínica y caracterización anatomopatológica de las lesiones cutáneas, para lo cual se tomaron fotografías de alta definición para su posterior análisis (Sony DSC-HX10V, China). De igual forma, previa sedación (Xilacina 10%, Erma®, Colombia) y aplicación de anestesia local (Lidocaina 2%, Synthesis®, Colombia) fueron realizadas biopsias de tejido, desde la periferia de la lesión granulomatosa con punch de 6 mm [10], siendo fijadas en formol al 10% y llevadas al laboratorio de Patología del Departamento de Ciencias Pecuarias de la Universidad de Córdoba, Colombia, donde fueron procesadas para la rutina de evaluación histopatológica, cortadas a 4μm de espesor en un micrótomo (Leica RM2125 RTS®, Japón) y teñidas con las coloraciónes de Hematoxilina - Eosina (H-E), PAS y Grocott. Se utilizó la prueba de Ji cuadrado con el fin de determinar diferencias significativas (P≤0,05) entre las variables (clínica, histopatología, sexo y edad). El análisis estadístico fue realizado con el auxilio del programa de computador S.A.S. 9.1.3 y para la tabulación y organización de los datos se utilizó el programa Microsoft Office Excel 2003.
RESULTADOS Y DISCUSIÓN
Las manifestaciones clínicas observadas, las características anatomopatológicas de las lesiones y los resultados histopatológicos confirmaron el diagnóstico de HCE en 20 caballos CC estudiados de acuerdo con lo reportado como método diagnóstico de la HCE [2, 12, 13, 21, 22, 25, 27, 28]. En la TABLA I se describe la distribución de los animales estudiados según el sexo, edad y ubicación de las lesiones, siendo las partes distales de los miembros 35% (7/20) las de mayor porcentaje, seguido de la cabeza 25% (5/20), región genital 20% (4/20), tuberosidad coxal 5% (1/20), región sacra 5% (1/20), articulación del encuentro 5% (1/20) y abdomen ventral 5% (1/20) respectivamente. Se encontró que hubo una distribución homogénea sin diferencias significativas (P≤0,05) entre la edad y sexo de los animales.
Las manifestaciones clínicas de las lesiones cutáneas se caracterizaron por ser de crecimiento rápido, granulomatosas, exofíticas, en forma de cráter, de coloración rojiza y a la compresión presentaron salida de estructuras calcificadas amarillas cuya apariencia era similar a un grano de arroz, que posiblemente correspondían a larvas de parásitos compatibles con HCE. Las lesiones se ubicaron principalmente en cabeza a nivel periocular (FIG. 1a), cresta facial (FIG. 1b), en la cara palmar de la cuartilla (FIG. 1c), a nivel de pie en la cara lateral de la corona del casco (FIG. 1d), de igual forma a nivel de la región genital en pene y prepucio (FIG. 2a) y en menor presencia a nivel de tuberosidad coxal (FIG. 2b), región sacra (FIG. 2c), así como articulación del encuentro y abdomen ventral. Algunos animales presentaron mala condición corporal.



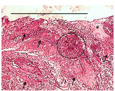
En todas las biopsias de tejido tumoral teñidas con la coloración de H-E, se observaron características histopatológicas similares entre ellas, las cuales consistieron en la presencia una dermatitis piogranulomatosa activa con áreas de necrosis multifocal, en algunos casos se observaron larvas del parásito y múltiples fenómenos de Splendore-Hoeppli (SH), la epidermis se observó ulcerada con una fina capa de restos celulares necróticos mezclados con neutrófilos, la dermis se observó marcadamente congestiva y edematosa (FIG. 3), siendo altamente compatible con el cuadro de habronemosis, ya que las tinciones especiales de PAS y Grocott fueron negativas para hongos.

La HCE es considerada la segunda causa de enfermedades parasitarias en equinos, por lo que ocasiona la dermatitis parasitaria más frecuente y la sexta enfermedad dermatológica de los caballos, después del sarcoide, granuloma exuberante, pythiosis, carcinoma de células escamosas y papilomatosis, representando entre el 5 y 7% de las dermopatías en la especie [5, 19, 26]. Así mismo, Assis-Brasil y col. [5] reportaron 4,2% de frecuencia de habronemosis en equinos de Rio Grande do Sul (Brasil). Pessoa y col. [26], informaron 6,7% en equinos atendidos en Rio de Janeiro.
Las lesiones cutáneas de los animales estudiados se localizaron principalmente en cabeza, seguido de los miembros y otras áreas en menor proporción, probablemente por ser sitios comunes de traumatismos y donde el caballo no consigue remover las moscas [21, 25], de acuerdo con lo reportado por Schuters y col. [28], quienes expresan las larvas L3 migran hacia la probóscide de las moscas adultas para salir cuando ésta se pose sobre una superficie caliente y húmeda (canto medial del ojo, labios, nariz y heridas de la piel). Abdel-Moneim y col. [1], reportaron los hallazgos patológicos en un caso de habronemosis cutánea periocular en un caballo de Egipto. Así mismo, Pessoa y col. [26] describieron mayor presentación a nivel de cabeza y miembros en caballos de Rio de Janeiro, Brasil; mientras que Arieta y col. [4], informaron la presentación a nivel pectoral en una potranca de Veracruz, México, y Freitas y col. [13] reportaron el caso de una enfermedad de las vías aéreas inferiores secundaria a una afección parasitaria atípica que obstruyó el tejido nasal y adyacente en una yegua en Brasil. Yarmut y col. [30], informaron una lesión ulcerosa a nivel del canto medial alrededor de las glándulas lagrimales en un caballo de Israel.
Las características macroscópicas de las lesiones de los animales del presente estudio fueron similares a las descritas por Arieta y col. [4]; Down y col. [12]; Muro y col. [21] y Pugh y col. [27] siendo de apariencia granulomatosa, exofítica, en forma de cráter y de coloración rojiza.
Los hallazgos histopatológicos con la tinción de H-E, corresponden con los reportados por Amininajafi y col. [2]; Down y col. [12], Pugh y col. [27] y Schuster y col. [28] en las que se describe una dermatitis piogranulomatosa, con diferentes áreas de necrosis y gran número de eosinófilos en la periferia. Maciel y col. [17] y Marcolongo-Pereira y col. [18] destacan la importancia de la histopatología, debido a la similitud entre la localización de las lesiones, el tiempo de ocurrencia y las características macroscópicas entre habronemosis y pythiosis.
El estudio fue realizado en el departamento de Córdoba, Colombia, el cual presenta condiciones agroecológicas de bosque tropical lluvioso, con temperatura promedio de 28°C y humedad relativa del 82%, por lo que la fecha en la que se presentaron la mayoría de los casos coincide con la época de lluvias, lo que concuerda con el aumento en la población de moscas responsables de la transmisión del parásito a la piel [17], concordando con Traversa y col. [29], quienes señalan que este tipo de lesiones se presentan con mayor frecuencia en las épocas de alta actividad de moscas. Es así como Pessoa y col. [26] reportaron que el 66,7% de los casos de su estudio se presentaron en la época lluviosa. Lo cual pudo deberse a que en esta época se observa con frecuencia la acumulación y mal manejo del estiércol, pienso y materia orgánica en descomposición, situación favorece la reproducción de moscas [27].
La edad de los animales del presente reporte se encontraba entre los cuatro y doce años, sin embargo Assis-Brasil y col. [5] informaron presentación de la enfermedad en animales de todos los grupos etarios.
En el aspecto económico, la HCE es la dermatitis parasitaria más importante y la sexta dermatopatía que afecta a los equinos, ya que al depositar las larvas se forma una herida de difícil cicatrización causando dolor, estrés e incomodidad a los equinos y grandes pérdidas económicas en la industria equina, debido a los costos elevados de tratamientos, muertes eventuales o descartes prematuros [21].
CONCLUSIONES
Las características clínicas de las lesiones cutáneas concordaron con los hallazgos histopatológicos encontrados en veinte CCC del departamento de Córdoba con presencia de HCE, siendo un aporte importante para el diagnóstico certero de la condición patológica, por lo que se advierte sobre la presentación de la enfermedad en caballos CCC del Departamento y la necesidad de implementar estrategias de manejo y control de los ciclos epizootiológicos, especialmente en el manejo de vectores y planes profilácticos de desparasitación y por ende el control de la HCE.
Agradecimientos
Al laboratorio de Patología del departamento de Ciencias Pecuarias de la Facultad de Medicina Veterinaria y Zootecnia de la Universidad de Córdoba, Colombia.
Referencias
[1] ABDEL-MONEIM, A.; ASHRAF, F.; RANIA, I.; MOHAMED, G.; AL-GABRI, N. Pathological findings of cutaneous periocular habronemiasis in a horse in Egypt. Jap. J. Vet. Res. (Supl. 2) 64: S117-S122. 2016.
[2] AMININAJAFI, F.; MEHRARA, M.; HOSSEINI, A.; FATTAHI, R.; TAGHIZADEH, M.; HASANZADEH, S. Histopathological features of cutaneous and gastric habronemiasis in horse. J. Parasitol. Dis. 1-3. 2014.
[3] ANTONIASSI, N.; CORRÊA, A.; BECKER, C.; SANCHES, E.; FERREIRO, L.; DRIEMEIER, D. Feohifomicose cutânea causada por Curvularia sp. em um equino. Acta Sci. Vet. 38(1): 73-76. 2010.
[4] ARRIETA, R.; FERNÁNDEZ, J.; MONTALVO, E. Habronemosis en potranca: informe de un caso clínico. 2013. Rev. Electrón. Vet. 14 (11): 1 – 6. En Línea: http://www.veterinaria.org/revistas/redvet/n111113/111306.pdf. 22.07.2016.
[5] ASSIS-BRASIL, N.; MARCOLONGO-PEREIRA, C.; STIGGER, A.; FISS, L.; SANTOS, B.; COELHO, A.; VIÉGAS-SALLIS, E.; GEVEHR-FERNANDE, C.; SCHILD, A. Equine dermatopathies in southern Brazil: a study of 710 cases. Ciên. Rural, Santa Maria. 45 (3): 519-524. 2015.
[6] BRUM, J.; SOUZA, T.; BARROS, C. Aspectos epidemiológicos e distribuição anatômica das diferentes formas clínicas do sarcoide equino no Rio Grande do Sul: 40 casos. Pesq. Vet. Bras. 30: 839-843. 2010.
[7] BUZZELL, G. TARIQ, S. TRAVERSA, D. SCHUSTER, R. Morphology of the infective larval stage of the equid parasite Habronema muscae (Spirurida: Habronematidae), from houseflies (Musca domestica). Parasitol. Res. 108: 629–632. 2011
[8] CARDONA, J.; VARGAS, M.; PERDOMO, S. Pythiosis cutánea equina: una revisión. Rev. Ces. Med. Vet. Zoot. 8(1): 58-67. 2013a.
[9] CARDONA, J.; VARGAS, M.; PERDOMO, S. Estudio clínico e histopatológico del sarcoide fibroblástico en burros (Equus asinus) en Colombia. Rev. Cientif. FCV-LUZ. XXIII (2): 97 – 104. 2013b.
[10] CARDONA, J.; VARGAS, M.; PERDOMO, S. Frecuencia de pythiosis cutánea en caballos de producción en explotaciones ganaderas de Córdoba, Colombia. Rev. Med. Vet. Zoot. 61 (I): 31-43. 2014.
[11] CARVAJAL, J.; BONILLA, A.; RONDÓN, I. Carcinoma de Células Escamosas con metástasis pulmonar en un Equino Criollo Colombiano: reporte de caso. Rev. CES Med. Zoot. 7 (2): 56-63. 2012.
[12] DOWN, S.; HUGHES, I.; HENSON, F. Cutaneous habronemiasis in a 9-year-old Arab gelding in the United Kingdom. Equine Vet. Educ. 21: 4-8. 2009.
[13] FREITAS, F.; MORAES, A.; VALENTE, P.; AGOSTINHO, J.; MAGALHÃES, G. Habronemose nasal em uma égua. Nucl. Animal. 3(1): 7-16. 2011.
[14] GASTHUYS, F.; VAN HEERDEN, M.; VERCRUYSSE, J. Conjunctival habronemiosis in a horse in Belgium. Vet. Rec. 154: 757–758. 2004.
[15] GIANGASPERO, D.; TRAVERSA, D.; OTRANTO. A new tool for the diagnosis in vivo of habronemosis in horses. Equine Vet. J. 37 (3): 263-264. 2005.
[16] HOROWITZ, I.; DUBIELZIG, R.; BOTERO-ANUG, A.; LUCIO-FORSTER, A.; BOWMAN, D.; ROSENZWEIG, A.; FRENKEL, S.; OFRI, R. Conjunctival habronemiasis in a square-lipped rhinoceros (Ceratotherium simum). Vet. Ophthalmol. 19 (2): 161–166. 2016.
[17] MACIEL, I.; SILVEIRA, J.; MAIA, C.; SOUSA, R.; OLIVEIRA, N.; DUARTE, E. Pitiose fatal em equino tratado inicialmente para habronemose cutânea. Acta Sci. Vet. 36:293-297. 2008.
[18] MARCOLONGO-PEREIRA, C.; SALLIS, E.; RAFFI, M.; PEREIRA, D.; HINNAH, F.; COELHO, A.; SCHILD, A. Epidemiologia da pitiose equina no Sul do Brasil. Pesq. Vet. Bras. 32 (9): 865-868. 2012.
[19] MARCOLONGO-PEREIRA, C.; ESTIMA-SILVA, P.; SOARES, M.; SALLIS, E.; GRECCO, F.; RAFFI, M.; FERNANDES, C.; SCHILD, A. Doenças de equinos na região Sul do Rio Grande do Sul. Pesq. Vet. Bras. 34 (3): 205-210. 2014.
[20] MRAD, A. Ética en la investigación con modelos animales experimentales. Alternativas y las 3 RS de Russel. Una responsabilidad y un compromiso ético que nos compete a todos. Rev. Col. Bioética. 1(1): 163-184. 2006.
[21] MURO, L.; BOTTURA, L.; CARVALHO, C.; OLIVEIRA, T.: SANTOS J. Habronemose cutânea. 2008. Rev. Cient. Elet. Med. Vet. VI (11). En Línea: http://faef.revista.inf.br/imagens_arquivos/arquivos_destaque/AHtabGLGlVk4aUb_2013-6-13-162019.pdf.pdf 16.07.2016.
[22] MYERS, D.; SMITH, C.; GREINER, E.; WIEDNER, E.; ABBOTT, J.; MARSELLA, R.; NUNNERY, C. Cutaneous periocular Habronema infection in a dromedary camel (Camelus dromedarius). Vet. Dermatol. 21: 527–530. 2010.
[23] NASCIMENTO, C.; MARCHESAN, A.; BILGA, L.; FARIA, F.; ALMEIDA, K.; SATO, M. Ocorrência de nematóides em equídeos na região norte do estado do tocantins, Brasil. Rev. Bras. Parasitol. Vet. 17(1): 178-181. 2008.
[24] PABÓN, J.; ESLAVA, J.; GÓMEZ, R. Generalidades de la distribución espacial y temporal de la temperatura del aire y de la precipitación en Colombia. Meteorol. Colomb. 4: 47-59. 2001.
[25] PATERSON, S. Cutaneous habronemiasis. Equine Vet. Educ. 21(1): 9-10. 2009.
[26] PESSOA, A.; PESSOA, C.; NETO.; DANTAS, A.; RIET-CORREA, F. Doenças de pele em equídeos no semiárido brasileiro. Pesq. Vet. Bras. 34(8): 743-748. 2014.
[27] PUGH, D.; HU, X.; BLAGBURN, B. Habronemiasis: Biology, Signs, and Diagnosis, and Treatment and Prevention of the Nematodes and Vector Flies. J. Equine Vet. Sci. 34(2): 241–8. 2014.
[28] SCHUSTER, R.; SIVAKUMARA, S.; KINNE, J.; BABIKER, H.; TRAVERSA, D.; BUZZELL, G. Cutaneous and pulmonal habronemosis transmitted by Musca domestica in a stable in the United Arab Emirate. Vet. Parasitol. 174: 170–174. 2010.
[29] TRAVERSA, D.; IORIO, L.; PETRIZZI, I.; DEAMICIS, S.; BRANDT, A.; MEANA, A. Molecular diagnosis of equid summer sores. Vet. Parasitol. 150(1): 116-121. 2007.
[30] YARMUT, Y.; BROMMER, H.; WEISLER, S.; SHELAH, M.; KOMAROVSKY, O.; STEINMAN, A. Ophthalmic and cutaneous habronemiasis in a horse: case report and review of the literat. Is. J. Vet. Med. 63 (3): 87-90. 2008.