REPORTE DE UN CASO: ABORDAJE DE UN CANINO CON URÉTER ECTÓPICO UNILATERAL E INTRAMURAL CON TÉCNICAS QUIRÚRGICAS COMBINADAS
Case Report: a Clinical Approach in a Dog with Unilateral and Intramural Ectopic Ureter with Combined Surgical Techniques
REPORTE DE UN CASO: ABORDAJE DE UN CANINO CON URÉTER ECTÓPICO UNILATERAL E INTRAMURAL CON TÉCNICAS QUIRÚRGICAS COMBINADAS
Revista Científica, vol. XXVII, núm. 2, pp. 103-109, 2017
Universidad del Zulia
Recepción: 13/10/16
Aprobación: 10/03/17
Resumen: Se expone el caso clínico de un canino, hembra mestiza, de 4 meses de edad, atendida en consulta médica, en el Hospital Clínico Veterinario Docente (HCVD) de la Universidad Santo Tomás (UST), sede Talca-Chile, por presentar incontinencia urinaria desde el momento de su adopción, hace dos meses. Al examen físico se evidenció micción por goteo y dermatitis perivulvar. Se consideró como principal prediagnóstico el uréter ectópico, por lo que se solicitaron exámenes complementarios, entre ellos una ecografía abdominal y urografía excretora, confirmando así la presencia de uréter ectópico unilateral, intramural, el cual se resolvió quirúrgicamente, realizando una técnica combinada de neoureterostomía y ureteroneocistotomía, esto debido a que el sitio de ingreso del uréter era lateral al trígono vesical, por lo que hubo que modificar la técnica intraquirúrgicamente. Los resultados fueron exitosos, corrigiendo en un 100% la incontinencia de la paciente. Es importante conocer más de una técnica quirúrgica, debido a que la situación puede cambiar durante el procedimiento quirúrgico, como ocurrió en este caso.
Palabras clave: Cirugía, urografía excretora, uréter ectópico.
Abstract: A canine, mixed female, 4 months old, attended a medical consultation at the Veterinary Clinical Teaching Hospital (HCVD) Santo Tomás University (UST), Talca-Chile, because present urinary incontinence from the time exposed adoption, 2 months ago. The reason for the visit was the presentation of urinary incontinence from the time of its adoption, 2 months ago. Physical examination evidenced perivulvar urination drip and dermatitis. It was considered as the main pre-diagnosis ectopic ureter, so additional tests were requested, including an abdominal ultrasound and excretory urography, confirming the presence of unilateral ectopic ureter, intramural, which it was resolved surgically, performing a combined neoureterostomy and ureteroneocystostomy this because the income of the ureter site was lateral trigone, so had to change the intra-operatively technique. The results were successful, 100% correcting incontinent patient. It is important to know more than one surgical technique because the situation can change during the surgical procedure, as occurred in this case.
Keywords: Surgery, excretory urography, ectopic ureter.
INTRODUCCIÓN
La ectopia ureteral es la desembocadura de uno o ambos uréteres en una ubicación distinta al trígono vesical [3], siendo los lugares más comunes vagina (70%), uretra (12%), cuello de la vejiga (8%) y útero (3%) [1, 2, 8]; el peor pronóstico es para la ectopia que desemboca en la uretra, ya que se asocia a un alto porcentaje de incontinencia postquirúrgica [6]. Si el uréter discurre de forma independiente de la vejiga hasta su desembocadura, se denomina extramural. Si lo hace por el espesor de la pared vesical, sin abrirse en el trígono, sino más distalmente, se denomina intramural [3,8].
Esta modificación se produce por una alteración durante la embriogénesis de los conductos mesonéfricos y metanéfricos [1,2]. Es una patología que se describe con más frecuencia en hembras que en machos [1,3] y existiría cierta predisposición racial, siendo los Golden Retrievers, Labrador Retrievers, Siberian Huskies y algunos terriers los más afectados [1,3].
Se diagnostica principalmente en animales jóvenes, menores a un año de edad [3], aunque suele ocurrir que en hembras se manifiesta la signología antes que en machos [9], siendo la incontinencia urinaria el signo clínico más importante [1,3], y la dermatitis química que trae por consecuencia [3,6]. Es importante destacar que es frecuente la presencia de infecciones urinarias persistentes asociadas a alteraciones congénitas de las vías urinarias, por lo que dichos hallazgos en animales jóvenes deberían hacer sospechar de un problema primario [1].
Se necesitan exámenes complementarios para evaluar el estado general del paciente y la función renal, como hemograma, perfil bioquímico y orina completa [3]. En cuanto al diagnóstico definitivo, la ecografía aporta información importante, pero la urografía excretora es la técnica de elección [1], en conjunto con vaginourocistografía retrógrada [6], la cuales nos permiten definir si la ectopia es intra o extramural, y el sitio de desembocadura del o los uréteres.
El único tratamiento para la ectopia ureteral es la cirugía correctora [1,3]. En caso de que la ectopia sea extramural, la técnica es la ureteroneocistotomía y si es intramural, la técnica quirúrgica es la neoureterostomía [3, 7, 11]. Aunque se describe que puede utilizarse como tratamiento alternativo una transección guiada mediante cistoscopía, la que a su vez sirve como método diagnóstico [12].
Los casos unilaterales intramurales son los que tienen mejor pronóstico, al igual que aquellos casos en que la desembocadura es en un lugar distinto a la uretra [1].
La complicación postoperatoria más frecuente es la persistencia de la incontinencia urinaria [1,2], que puede ocurrir entre un 30-55% de los casos posterior a la cirugía [5]. En machos, esto ocurre menos que en las hembras, ya que existe un flujo retrógrado de la orina a la vejiga más efectivo [1], entonces la orina al salir del uréter a la uretra fluiría hacia la vejiga en lugar de hacia el pene [6]. En un estudio realizado en 2013 se evaluaron factores que podrían predisponer a continencia o incontinencia post-operatoria, no encontrando significancia en cuanto a si era intra o extramural, uni o bilateral, derecho o izquierdo, presencia de hidrouréter o infección del tracto urinario [7].
El objetivo de este trabajo fue describir el diagnóstico y tratamiento de un uréter ectópico unilateral, intramural, en una hembra canina de 4 meses, cuya resolución quirúrgica requirió la combinación de dos técnicas descritas para la patología.
MATERIALES Y MÉTODOS
Una hembra canina entera mestiza, de 4 mes de edad, fue traída a consulta por presentar incontinencia urinaria desde el momento en que la adaptaron, 2 meses previos a la consulta. Era capaz de orinar en forma voluntaria, pero además presentaba eliminación de orina por goteo y de manera permanente. Anteriormente se había tratado, en otra clínica veterinaria, por cistitis con antibiótico terapia con cefadroxilo y tratamiento homeopático con árnica D6, con lo cual, según sus propietarios, disminuyó el olor de la orina, pero sin cambios en el cuadro clínico, motivo por el cual el tratamiento fue descontinuado por parte del propietario previo a la consulta en Hospital Clínico Veterinario Docente (HCVD), UST Talca.
Al examen físico se encontraba alerta, con parámetros fisiológicos dentro de rango para la especie, sin alteraciones evidentes a excepción de la piel perivulvar que se encontraba eritematosa, además durante la consulta clínica se pudo observar que humedecía con orina la manta en que se encontraba. La paciente fue sometida a exámenes complementarios de hematología, bioquímica sanguínea e imagenología, siendo tratada como una paciente ambulatoria.
RESULTADOS Y DISCUSIÓN
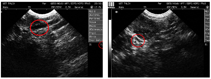
A la paciente se le realizó una ecografía abdominal (FIG. 1) (Ecógrafo digital MINDRAY Bio-Medical Electric Co., Ltd., modelo DP-6600 Vet, China), en la cual se observó un aumento en el grosor de la pared vesical (3 mm), sin sedimento. Ambas imágenes renales con límite córtico medular mal definido y relación córtico medular disminuida. Se observó además dilatación de la pelvis renal izquierda (1 cm de diámetro), así como también del uréter izquierdo (5,14 mm de diámetro, versus 2,74 mm de diámetro del uréter derecho) (FIG. 1a y FIG. 1b, respectivamente). Se siguió el recorrido de uréter izquierdo, dando la impresión de que no desembocaba en el trígono vesical, además se observó la presencia de una estructura tubular, anecoica, dirigiéndose hacia caudal, dorsal a la vejiga, y se descartó vasos sanguíneos, ya que se verificó la presencia de arteria aorta y vena cava, medial a esta estructura. Como conclusión a este examen se consideró uréter ectópico unilateral como el principal prediagnóstico, el cual debía ser confirmado mediante exámenes con contraste.

En cuanto a los resultados de los exámenes sanguíneos (TABLA I y II) mostraron que la paciente se encontraba en buen estado general, sin alteraciones clínicas de importancia, por lo que se consideró que la canina se encontraba apta para la realización de una urografía excretora, para confirmar el diagnóstico de uréter ectópico.


Se realizó una urografía excretora [1] y vaginourocistografía retrógrada [6], para lo cual se solicitó un periodo de 24 horas (h) de ayuno, enemas de limpieza con lactulosa (Laboratorio Mintlab, Chile) para evitar la interferencia con las imágenes radiográficas, y fluidoterapía de mantención equivalente a un paciente insuficiente renal agudo, para mantener una correcta hidratación previa al estudio. Se utilizó Omnipaque ™ (GE Health Care, Chile) Iohexol a una dosis de 1200 mg/kg diluíidos en igual volumen de solución salina, en infusión lenta. En las vistas latero-laterales se evidenció el aumento de tamaño de uno de los uréteres, y en la vista ventro-dorsal se visualizó hidronefrosis e hidrouréter con recorrido tortuoso, así como también la ectopia unilateral de tipo intramural del uréter izquierdo (FIG. 2).

Respecto al abordaje quirúrgico, éste fue realizado visualizando que el uréter izquierdo ingresaba a nivel del trígono vesical, pero no de manera dorsal como el contralateral, sino que lateral, pero siguiendo su recorrido intramural hasta nivel de la vagina (FIG. 3a), por lo que la técnica utilizada inicialmente fue neoureterostomía [7]. El procedimiento quirúrgico correspondió a una cistotomía con vaciamiento de orina previa colocación de puntos directores. Luego se realizó una incisión para ingresar al lumen vesical (FIG. 3b). Se obliteró parcialmente el uréter derecho para facilitar trabajo evitando acúmulo de orina en vejiga (FIG. 3c). Se hizo una pequeña incisión en uréter izquierdo para poder sondearlo y así reconocer el recorrido intramural del uréter que deberá obliterarse. Luego de conocer la extensión del uréter a obliterar, se posicionaron puntos discontinuos los que se fueron anudando a medida que la sonda fue retirada (FIG. 3d). En este punto se realizó una combinación con la técnica de ureteroneocistotomía [7], debido a la ubicación lateral en el sitio de ingreso del uréter a la vejiga, por lo tanto se seccionó dicho uréter en el punto de ingreso de su recorrido intramural, luego a través de la incisión de la cistotomía y por la cara interna de la vejiga se determinó el lugar para realizar un estoma, con recorrido oblicuo intramural, para tomar contacto con el uréter previamente seccionado, deslizarlo a través del túnel para finalmente suturarlo internamente a la vejiga, logrando la desembocadura en la zona del trígono vesical, lo más parecido a la anatomía normal (FIG. 3e). Finalmente se cerró vejiga con puntos invaginantes.

A los dos días posteriores a la cirugía, la paciente presentó incontinencia urinaria leve, la cual fue disminuyendo paulatinamente hasta desaparecer en el transcurso de una semana post cirugía. Se instauró el siguiente tratamiento farmacológico durante la hospitalización: cefazolina (endovenosa) 22 mg/kg c/8 h; piroxicam (oral) 0,3 mg/kg c/24 h; famotidina (oral) 1 mg/kg c/12 h; flavoxato clorhidrato (oral) 200 mg totales c/8 h; enalapril (oral) 5 mg totales c/12 h. El tratamiento farmacológico para continuar después del alta hospitalaria fue: cefadroxilo en jarabe, 300 mg totales c/8 h por 14 d; enalapril, 5 mg totales, c/12 h, el cual fue aumentando su dosis en forma progresiva debido a que durante los controles la paciente presentó presión sistólica elevada, continuando así con 7,5 mg totales c/12 h. En cuanto al tratamiento quirúrgico, éste logró corregir en un 100% la incontinencia urinaria de esta paciente, la que estuvo con monitoreo ambulatorio consistente en controles ecográficos (Ecógrafo digital MINDRAY Bio-Medical Electric Co., Ltd., modelo DP-6600 Vet, China), durante un periodo de 2 semanas (sem), en donde se pudo evidenciar disminución paulatina del grado de hidronefrosis e hidrouréter. También se evaluó la presión sistólica, ya que los primeros d se encontraba elevada (en promedio 160 a 180 mmHg), por lo que se fue ajustando la dosis de enalapril, sin embargo, posterior a esto, la paciente no volvió a control.
La incontinencia urinaria es el principal signo de uréter ectópico, por lo cual guía bastante el diagnóstico presuntivo en caso de que se presente un paciente a consulta con esta signología, sin embargo, se han descrito casos en donde dicha patología no cursa con este signo[10], por lo que los exámenes complementarios son de especial importancia.
Pese a que la ecografía entrega gran información relacionada con el posible lugar de desembocadura del uréter, se puede evaluar también dilatación de dicho uréter y pelvis renal, además de evaluar macroscópicamente ambos riñones. La urografía excretora llega a confirmar el prediagnóstico e incluso a mostrar las características de la ectopia, lo que es de suma importancia para la resolución quirúrgica, ya que es en base a esto que se decide la técnica a utilizar, sin embargo, estos métodos diagnósticos no siempre permiten determinar con precisión el trayecto del uréter y cuál es su lugar exacto de desembocadura, por lo que en muchos casos la confirmación se hace intraoperatoriamente [1]. Existe otra técnica descrita que tendría mayor precisión en el diagnóstico, como lo es la ureterocistoscopía transuretral [4], la cual permite tipificar la ectopia, ya que es posible visualizar la desembocadura ureteral directamente y la tomografía computarizada con contraste [10], que también tiene mejor resultado que la radiografía[10]; sin embargo ambos exámenes no se encuentran disponibles en la ciudad donde se presentó el caso clínico, lo que dificulta la decisión de la técnica quirúrgica a utilizar.
Esta patología, al ser diagnosticada, genera la necesidad de intervenir rápidamente, ya que de no actuar de manera oportuna se podrían presentar o agravar condiciones secundarias como infecciones del tracto urinario, hidrouréter y/o hidronefrosis, las cuales, pese a reparar el defecto, podrían no volver a su conformación normal[1].
El abordaje quirúrgico fue planeado para reparar una ectopia intramural, utilizando la técnica de neoureterostomía [7], sin embargo, durante la cirugía, se pudo constatar que el sitio de ingreso del uréter comprometido era lateral, y no en el trígono vesical, que es el sitio anatómico normal de ingreso, lo que no fue evidenciado por la radiografía contrastada (Equipo de rayos X portátil SOYEE modelo SY31-100P, Corea del Sur) , por lo que hubo que hacer una combinación con la técnica de ureteroneocistotomía, ambas técnicas descritas por literatura para la patología[7], evidenciando así que al momento de enfrentar una cirugía, se debe conocer más de una técnica quirúrgica, debido a que la situación puede variar de lo planeado y darse cuenta en el momento en que se esté realizando el procedimiento, como fue lo que sucedió en este caso en específico.
Se obtuvieron muy buenos resultados, en donde se corrigió en un 100% la incontinencia urinaria, pese a que se describe que entre un 30 a 55% podría persistir posterior a la cirugía [5].
CONCLUSIONES
La neoureterostomía es la técnica de elección en casos de uréteres ectópicos intramurales, la cual permite la resolución del problema, pese a que puede existir un porcentaje que continúe con incontinencia post cirugía, éste no fue el caso, ya que la paciente presentó una evolución favorable acorde a lo esperado, sin embargo es importante conocer más de una técnica quirúrgica, debido a que la situación puede modificarse durante el procedimiento quirúrgico.
La ecografía y radiografía contrastada debieran utilizarse como métodos complementarios y no excluyentes uno del otro, ya que la ecografía aporta información importante en relación al estado general de las vías urinarias, especialmente evaluar compromiso renal asociado a la patología estudiada, pero no permite ubicar con precisión el tipo de ectopia y el lugar de desembocadura, lo que sí se puede identificar con la radiografía contrastada.
Referencias
[1] ATENCIA, S; SUÁREZ, M; COROMOTO, B; SAMPAYO, J; REVUELTA, L. Diagnóstico de ectopia ureteral mediante ureterocistoscopíatransuretral y vaginoscopía en el perro. RCCV 1(2): 409 – 415.2007.
[2] ANDALUZ, A; TUSSEL, J. M; ROURA, X; ESPADA, Y; GARCÍA F. Uréter ectópico extramural en un American Staffordshire Terrier macho. Clin. Vet. Peq. Anim. 22(1): 32 – 38.2002.
[3] ARGÜELLES, J. C; ISHIMI, C; BAQUEDANO, M; ECHANIZ, M. Ectopia uretral bilateral intra y extramural: caso clínico. Clin. Vet. Peq. Anim. 26(2): 113 – 116.2006.
[4] PLA, M; POVEDA, S. Uréter ectópico bilateral extramural asociado a incompetencia esfinterianaureteral: un caso clínico. Clin. Vet. Peq. Anim. 28(4): 254. 2008
[5] GRAUS, J; VILORIA, A; SEVER, R; RODRÍGUEZ, J. Uréter ectópico en la especie canina. A propósito de un caso de ectopia bilateral intramural. Consul. Difus. Vet 98: 77-85.2003.
[6] REICHLER, I; HUBLER, M; HAESSIG, M; ARNOLD S. Ectopic ureters in dogs: clinical features, surgical techniques and outcome. Vet. Surg. 41(4): 512 – 522. 2012.
[7] FOSSUM, T. Cirugía del riñón y del uréter. En: Cirugía en pequeños animales. 3° Ed. España: Elsevier. Pp. 646 – 654.2009.
[8] SLATTER, D. Ureters. In: Urinary system. In: Text book of animal surgery. Vol 2. 3rd. Ed. USA. Vol. 2 Pp. 1619 – 1628.2002.
[9] SMITH, A; RADLINSKY, M; RAWLINGS, A. Cystoscopic diagnosis and treatment of ectopic ureters in female dogs: 16 cases (2005-2008). J. Amer. Vet. Med. Assoc. 237(2): 191. 2010.
[10] HO, L; TOY, G; WALDRON, D. Clinical Outcomes of Surgically Managed Ectopic Ureters in 33 Dogs. J. Amer. Anim. Hosp. Assoc. 47(3): 196 – 202. 2011.
[11] RIOS, A; FAÚNDEZ, F. Uréteres ectópicos en un perro. Hosp. Vet. 5(3): 85. 2013.
[12] ATENCIA, S; SUÁREZ, M; COROMOTO, B; SAMPAYO, J; REVUELTA, L. Diagnóstico de ectopia ureteral mediante ureterocistoscopíatransuretral y vaginoscopía en el perro. Rev. Complut. Cien. Vet. 1(2): 409 – 415. 2007.