Reportes de Caso
Glioma de bajo grado multicéntrico: una entidad infrecuente
Low-grade multicentric glioma: a rare entity
Glioma de bajo grado multicéntrico: una entidad infrecuente
Acta Médica Peruana, vol. 41, núm. 2, pp. 127-131, 2024
Colegio Médico del Perú

Recepción: 05 Marzo 2024
Aprobación: 29 Mayo 2024
Resumen: Los gliomas múltiples (multifocales y multicéntricos) son poco frecuentes en los gliomas de bajo grado. La etiología de los gliomas multicéntricos es poco conocida y su manejo es controversial. Se presenta el caso de una paciente de 27 años, con dos lesiones compatibles imagenológicamente con glioma de bajo grado, confirmado por estudio anatomopatológico; recibe manejo con quimioterapia y radioterapia manteniéndose la enfermedad estable a un año de seguimiento; no pudo ser sometida a cirugía debido a que las lesiones se encontraban en áreas elocuentes. Para este tipo de pacientes el tratamiento de elección es la cirugía, siempre que sea factible, según elocuencia y compromiso vascular, seguido de esquemas de quimioterapia y radioterapia, según el esquema que se da en gliomas únicos. Por ello, los gliomas multicéntricos de bajo grado son una patología rara que debe ser manejado por un equipo multidisciplinario donde la cirugía es el tratamiento de elección, siempre que sea factible, seguido de quimioterapia y radioterapia.
Palabras clave: Glioma, Astrocitoma, Tumores de Células Gliales.
Keywords: Glioma, Astrocytoma, Tumors, Glial Cell
INTRODUCCIÓN
Los gliomas múltiples, que incluyen a los multifocales y multicéntricos, son patologías poco frecuentes en los gliomas de bajo grado, pero sí han sido descritos con mayor frecuencia en los gliomas de alto grado, llegando a ser hasta el 20% [1-4]. Las teorías sobre su desarrollo en los gliomas multifocales se basan en la diseminación por contigüidad, a través de fibras comisurales o líquido cefalorraquídeo, en tanto que la etiología de los gliomas multicéntricos es poco conocida [2,5].
Su manejo es controversial y por falta de evidencias se tratan como si fueran gliomas únicos, con un pronóstico similar a los gliomas múltiples, según algunos estudios, donde la cirugía es el tratamiento de elección, siempre y cuando sea factible, seguido de tratamiento complementario con quimioterapia y radioterapia [1,2,6]. En la actualidad no existen estudios sobre el seguimiento a largo plazo de los pacientes con gliomas de bajo grado múltiples y cuál es el manejo idóneo en estos casos [7], es por ello que en este caso se analiza el manejo y la evolución de un glioma multicéntrico de bajo grado.
REPORTE DE CASO
Paciente mujer de 27 años con antecedentes médicos de hipotiroidismo, síndrome de ovario poliquístico y artritis reumatoide juvenil en tratamiento controlado, sin antecedentes quirúrgicos, sin alergia a medicamentos. El tiempo de enfermedad es de 6 meses, con cefalea, hemiparesia izquierda y crisis convulsivas tónico-clónico generalizadas que logra controlar con dos fármacos antiepilépticos. Al examen físico se le encuentra despierta, orientada, escala de coma de Glasgow 15 puntos, sin déficit motor ni sensitivo, estos últimos habían mejorado luego de tratamiento con corticoides instaurado.
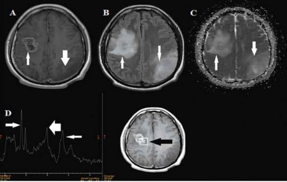
Se le realiza una resonancia magnética (RMN) cerebral contrastada en la que se evidencia, en imagen ponderada en T1, dos lesiones hipointensas no captadoras de contraste en región frontal derecha (que involucraba el borde anterior del área motora) y parietooccipital izquierda, ambas con edema vasogénico perilesional, que eran suprimidas en la secuencia de FLAIR; en el estudio de difusión restringen levemente y tienen un pico de colina en la espectroscopia, hallazgos compatibles con glioma de bajo grado (Figura 1).
En los estudios de laboratorio no se encontró alteraciones y en la tomografía toracoabdominopélvica contrastada no se observó lesiones primarias; así también, tenía estudios de tuberculosis negativos. Debido a la duda diagnóstica por el antecedente de enfermedad inmunológica previa, se decide realizar craneotomía más biopsia de lesión frontal derecha.
Se realiza cirugía en la que se toma muestra de 3x3 cm; se encuentra un tejido cerebral anómalo, pálido comparado con el resto del parénquima cerebral, que a la manipulación se torna


ligeramente hiperémico. En el análisis anatomopatológico de la biopsia se evidencia un astrocitoma difuso grado 2 de la OMS, IDH1-mutado (isocitrato deshidrogenasa tipo 1 mutado) y pérdida de expresión de gen ATRX (alfa talasemia/síndrome de retraso mental ligado al cromosoma X), con PGAF (proteína ácida fibrilar glial) positivo, con Olig-2 (factor de transcripción de oligodendrocitos) positivo, neurofilamento realza presencia de atrapamiento axonal y fosfohistona H3 negativo, con un Ki-67 alrededor de 2% (Figura 2).
En el posoperatorio evoluciona favorablemente; en el examen neurológico se encuentra despierta, escala de coma de Glasgow 15 puntos, sin déficit motor ni sensitivo y es dada de alta sin complicaciones a los 5 días de su cirugía. Luego de la cirugía es manejada por un equipo multidisciplinario (neurocirujano, radioterapeuta, oncólogo) y es sometida a radioterapia con dosis de 30 Gy en cinco fracciones de 600 cGy y quimioterapia concurrente con temozolamida a dosis de 100mg/ día durante toda la duración de la radioterapia en la 12° semana posoperatoria.
Sigue controles por consulta externa con manejo multidisciplinario; se le realiza RMN cerebral contrastada control a los 8 meses posoperatorios donde en la T1 contrastada se observa una lesión parietooccipital izquierda con ligera disminución de tamaño y lesión frontal derecha con captación de contraste en la periferia e hipointensidad en el centro, con supresión leve en FLAIR y en difusión, con pico de colina en la espectroscopia, pero con persistencia de la enfermedad aparentemente estable (Figura 3), por ello se decide continuar con quimioterapia adyuvante a dosis de 250 mg/día por 5 días/mes.
DISCUSIÓN
Los gliomas multifocales/multicéntricos tienen una incidencia entre el 0,5-20% [2,4]. Los gliomas multicéntricos son menos frecuentes que los multifocales, siendo la incidencia de los primeros de un 2% [1,8]. Russell y Rubinstein definieron a los gliomas múltiples en cuatro grupos; en la actualidad se agrupan en gliomas multifocales (tipo del 1 al 3) y multicéntricos (tipo 4) [9,10]. Los gliomas multifocales se deben al crecimiento o diseminación a través de tres vías ya establecidas: a) las comisuras o el cuerpo calloso; b) el líquido cefalorraquídeo por el espacio subaracnoideo o sistema ventricular, y c) metástasis local por formación de lesiones satélites alrededor del tumor [2].
Por otro lado, están los gliomas multicéntricos, que son ampliamente separados, por ejemplo, que estén en diferentes hemisferios o, inclusive, que estén separados por el tentorio, y que su origen no esté explicado por las vías expuestas anteriormente. Así mismo, los gliomas multicéntricos también incluyen a los tumores desarrollados en tiempos distintos o aquellos con múltiples lesiones que tienen histología diferente [1-3,9].
A pesar de ello, la patogénesis de los gliomas multicéntricos es poco conocida. Willis propuso una teoría de dos pasos. La primera fase se llama «iniciación» donde una gran área encefálica o todo el cerebro tiene una transformación neoplásica que lo hace más susceptible del crecimiento del tumor. La segunda fase es llamada
«promoción» donde se produce la proliferación neoplásica en diferentes sitios debido a múltiples estímulos que pueden ser hormonales, bioquímicos o incluso virales [2,5,11].

También se les puede clasificar según el tiempo en el que se presenten, como sincrónicas si son al mismo tiempo, o metacrónicas cuando la segunda lesión sale meses o años luego del diagnóstico inicial de glioma [12]. Además, hay enfermedades subyacentes que pueden ser un factor de riesgo para este tipo de tumores como la neurofibromatosis, la esclerosis tuberosa o la esclerosis múltiple [9,13].
Lo que se sabe es que la presencia de gliomas multifocales/ multicéntricos es más común en los gliomas de alto grado, especialmente en el glioblastoma [1,3,14], tanto así que Chamberlain et al. en un estudio de 80 pacientes con glioblastoma, al 10% les diagnosticaron lesiones multifocales/multicéntricas, mientras que a la primera recurrencia esta proporción se elevó al 14% [2,15].
Por otra parte, Rees et al. proponen tres vías para generarse un glioma de alto grado múltiple. Primero es que el glioma se disemine por el líquido cefalorraquídeo (LCR) o por los tractos de fibras blancas. Segundo, donde múltiples áreas de glioma de alto grado de desarrollen de novo, sin una lesión de bajo grado subyacente, lo cual podría deberse a un defecto genético inherente o adquirido. Tercero, cuando múltiples áreas de degeneración maligna se originan de un glioma de bajo grado previo [16,17].
El tratamiento de elección es la cirugía, pero el grado de resección dependerá de la extensión del tumor, la elocuencia y su compromiso vascular [1,6]. Terakawa et al. sugieren una cirugía temprana como primera opción terapéutica en gliomas difusos de bajo grado multicéntricos, con reoperación en casos de recidiva y un manejo similar a los gliomas difusos de bajo grado únicos [6,17].
No existen estudios clínicos que prueben el uso de la quimioterapia en gliomas múltiples, pero se cuenta con datos obtenidos en gliomas únicos, donde el esquema que se usa es la temozolamida combinada con la radioterapia, seguido de ciclos de temozolamida adyuvante, aunque se ha visto que la presencia del promotor MGMT metilado nos da una mejor respuesta a temozolamida [2]. Además, la radioterapia es una alternativa aceptable en casos de gliomas inoperables y con histología confirmada [1,18]. Es por ello por lo que nuestra paciente solo fue sometida a biopsia del tumor por encontrarse en áreas elocuentes, para luego continuar con manejo complementario con quimioterapia y radioterapia. Showalter et al. en una serie de casos de 50 pacientes con glioblastomas múltiples que comparaba la radioterapia holocraneal versus radioterapia convencional, evidenciaron que no había diferencia significativa en el tiempo libre de enfermedad o la tasa de sobrevida, pero la radiación limitada mostró mejor pronóstico cognitivo [2,19].
Los gliomas multifocales y multicéntricos tienen un peor pronóstico que los tumores solitarios, con una media de sobrevida de 2 a 10 meses [2]. Hassaneen et al. encontraron una sobrevida de 9,7 meses luego de tratamiento quirúrgico agresivo, pero concluyó que la resección total y segura de las lesiones captantes tiene un pronóstico similar a la de los pacientes con enfermedad única [2,20]. Cabe mencionar que esta sobrevida menor en un año se debe a que la mayoría de reporte de casos de gliomas múltiples son de gliomas de alto grado, a diferencia del caso de nuestra paciente.
Gkekas et al. reportan el caso de un glioma multicéntrico donde sugieren que se debe buscar la máxima resección posible conservando la funcionalidad del paciente [17], como mencionan las guías internacionales del manejo de gliomas donde se indica que se puede usar neuronavegación, resonancia funcional, resonancia intraoperatoria, ecografía, monitoreo neurofisiológico, visualización en base a la fluorescencia, uso de potenciales evocados, electromiografía o mapeo cerebral en paciente despierto [21].
Se puede observar que los gliomas multicéntricos son poco frecuentes y que no tienen un protocolo establecido para su manejo, por lo cual requiere mayores estudios a largo plazo para determinar dicho protocolo. Tuvimos como limitación el tiempo de seguimiento, para poder visualizar la evolución a largo plazo. Se concluye que los gliomas multicéntricos de bajo grado son una patología rara que deber manejado por un equipo multidisciplinario donde la cirugía es el tratamiento de elección, siempre que sea factible, seguido de quimioterapia y radioterapia.
REFERENCIAS BIBLIOGRÁFICAS
1. Grosu F, Ungureanu A, Bianchi E, Moscu B, Coldea L, Stupariu AL, et al. Multifocal and multicentric low-grade oligoastrocytoma in a young patient. Rom J Morphol Embryol. 2017;58(1):207-210.
2. Patil CG, Eboli P, Hu J. Management of Multifocal and Multicentric Gliomas. Neurosurg Clin N Am. 2012;23(2):343-350. doi: 10.1016/j. nec.2012.01.012.
3. Batzdorf U, Malamud N. The Problem of Multicentric Gliomas. J Neurosurg. 1963;20(2):122-136. doi: 10.3171/jns.1963.20.2.0122.
4. Solomon A, Perret GE, McCormick WF. Multicentric Gliomas of the Cerebral and Cerebellar Hemispheres: Case Report. J Neurosurg. 1969;31(1):87-93. doi: 10.3171/jns.1969.31.1.0087.
5. Ampil F, Burton GV, Gonzalez-Toledo E, Nanda A. Do we need whole brain irradiation in multifocal or multicentric high-grade cerebral gliomas? Review of cases and the literature. J Neurooncol. 2007;85(3):353-355. doi: 10.1007/s11060-007-9413-4.
6. Terakawa Y, Yordanova YN, Tate MC, Duffau H. Surgical management of multicentric diffuse low-grade gliomas: functional and oncological outcomes: Clinical article. J Neurosurg. 2013;118(6):1169-1175. doi: 10.3171/2013.2.JNS121747.
7. Gkekas N, Vyziotis A, Dimitriadi A, Koutsonikas G, Georgakoulias N. Multifocal low-grade gliomas: Adapting the optimal therapeutic management. Br J Neurosurg. 2015;29(1):94-96. doi: 10.3109/02688697.2014.957156.
8. Salvati M, Caroli E, Orlando ER, Frati A, Artizzu S, Ferrante L. Multicentric glioma: our experience in 25 patients and critical review of the literature. Neurosurg Rev. 2003;26(4):275-279. doi: 10.1007/s10143-003-0276-7.
9. Kato T, Aida T, Abe H, Ogata A, Nakamura N, Nagashima K, et al. Clinicopathological study of multiple gliomas--report of three cases. Neurol Med Chir (Tokyo). 1990;30(8):604-9. doi: 10.2176/ nmc.30.604.
10. McLendon R, Rosenblum M, Bigner D. Russell & Rubinstein’s Pathology of Tumors of the Nervous System 7Ed. 7th Edition. London: CRC Press; 2006. doi: 10.1201/b13439..
11. Claes A, Idema AJ, Wesseling P. Diffuse glioma growth: a guerilla war. Acta Neuropathol (Berl). 2007;114(5):443-458. doi: 10.1007/ s00401-007-0293-7.
12. Zamponi N, Rychlicki F, Ducati A, Regnicolo L, Salvolini U, Ricciuti RA. Multicentric glioma with unusual clinical presentation: Childs Nerv Syst. 2001;17(1-2):101-105. doi: 10.1007/PL00013723.
13. Barnard RO, Geddes JF. The incidence of multifocal cerebral gliomas. A histologic study of large hemisphere se c tions. Cance r. 1987; 60 (7 ): 1519 -1531 . doi: 10.1002/1097-0142 (19871001) 60:7 < 1519: AID-CNCR2820600719>3.0.CO; 2-1.
14. Mishra HB, Haran RP, Singh JP, Joseph T. Multicentric gliomas: two case reports and a review of the literature. Br J Neurosurg. 1990;4(6):535-539. doi: 10.3109/02688699008993805.
15. Chamberlain MC. Radiographic patterns of relapse in glioblastoma. J Neurooncol. 2011;101(2):319-323. doi: 10.1007/s11060-010-0251-4.
16. Nakhl F, Chang EM, Shiau JS, Alastra A, Wrzolek M, Odaimi M, et al. A patient with multiple synchronous gliomas of distinctly different grades and correlative radiographic findings. Surg Neurol Int. 2010;1(1):1-48. doi: 10.4103/2152-7806.69375.
17. Rees JH, Smirniotopoulos JG, Jones RV, Wong K. Glioblastoma multiforme: radiologic-pathologic correlation. Radiographics. 1996;16(6):1413-1438. doi: 10.1148/radiographics.16.6.8946545.
18. Gan HK, Rosenthal MA, Dowling A, Kalnins R, Algar E, Wong N, et al. A phase II trial of primary temozolomide in patients with grade III oligodendroglial brain tumors. Neuro Oncol. 2010;12(5):500-7. doi: 10.1093/neuonc/nop065.
19. Showalter TN, Andrel J, Andrews DW, Curran WJ, Daskalakis C, Werner-Wasik M. Multifocal Glioblastoma Multiforme: Prognostic Factors and Patterns of Progression. Int J Radiat Oncol. 2007;69(3):820-824. doi: 10.1016/j.ijrobp.2007.03.045.
20. Hassaneen W, Levine NB, Suki D, Salaskar AL, de Moura Lima A, McCutcheon IE, et al. Multiple craniotomies in the management of multifocal and multicentric glioblastoma: Clinical article. J Neurosurg. 2011;114(3):576-84. doi: 10.3171/2010.6.JNS091326.
21. Weller M, Van Den Bent M, Preusser M, Le Rhun E, Tonn JC, Minniti G, et al. EANO guidelines on the diagnosis and treatment of diffuse gliomas of adulthood. Nat Rev Clin Oncol. 2021;18(3):170-186. doi: 10.1038/s41571-020-00447-z.
Notas de autor
johnkilin27@hotmail.com