Reportes de Casos

Recepción: 15 Noviembre 2022
Aprobación: 09 Febrero 2023
DOI: https://doi.org/10.35663/amp.2023.401.2503
Resumen: La Enfermedad de Rosai-Dorfman es un trastorno infrecuente y de etiología desconocida. La presentación intracraneal es aún más rara y suele imitar la apariencia de un meningioma en las imágenes del encéfalo. Se presenta el caso de un paciente varón de 38 años que ingresa por una tumoración intracraneal, extra-axial y supratentorial asociada a déficit neurológico leve; con diagnóstico presuntivo de meningioma de la convexidad. Después de la intervención quirúrgica, el diagnóstico histológico definitivo fue de Enfermedad de Rosai-Dorfman intracraneal. Se debe considerar la Enfermedad de Rosai-Dorfman intracraneal dentro del diagnóstico diferencial de una lesión intracraneal extra-axial sugestiva de un meningioma debido a la similitud en las neuroimágenes y la presentación clínica entre ambas patologías.
Palabras clave: Histiocitosis Sinusal, Meningioma, Craneotomía, Duramadre, Sistema Nervioso Central.
Abstract: Rosai-Dorfman disease is an infrequent condition with no known etiology. The intracranial presentation is even rarer, and it resembles the appearance of a meningioma in image studies. We present the case of a 38-year-old male patient who was admitted because of an extra-axial supratentorial cranial tumor, associated to mild neurological deficit. The presumptive diagnosis was convexity meningioma. After surgery, the definitive histologic diagnosis was intracranial Rosai-Dorfman disease. This condition should be considered in the differential diagnosis of an extra-axial intracranial lesion suggesting meningioma, because of similar neuroimaging results and the similar clinical picture.
Keywords: Histiocytosis, Sinus, Menigioma, Craniotomy, Dura Mater, Central Nervous System.
INTRODUCCIÓN
La enfermedad de Rosai-Dorfman (ERD) es una rara entidad de etiología desconocida caracterizada por histiocitosis de células diferentes a las células de Langerhans, la cual fue descrita por primera vez por Destombes en 1965 [1]; sin embargo, Rosai y Dorfman publicaron una serie de casos de similar presentación bajo el nombre de “Histiocitosis sinusal con linfadenopatía masiva” [2]. La Histiocyte Society clasifica a esta enfermedad en los siguientes tipos: familiar, clásica (nodal), extranodal, asociada a neoplasias y asociada a enfermedades autoinmunes [3].
La presentación nodal clásica de esta enfermedad se manifiesta con linfadenopatía cervical bilateral indolora. Los casos extranodales, que suceden en el 43 % de los casos, incluyen el compromiso del sistema nervioso central que ocurre en menos del 5 % de los casos, siendo la presentación intracraneal el 75 % de estos casos [4] La enfermedad genera cefalea, convulsiones, déficit sensitivo, déficit motor y lesión de nervios craneales. Frecuentemente es identificada como una masa sólida extra- axial, que capta contraste de manera homogénea. Por estas características se considera a la ERD como diagnóstico diferencial de las lesiones de base dural [5].
El objetivo principal del presente estudio es presentar las características clínicas, imagenológicas y anatomopatológicas de un caso de ERD intracraneal tratado quirúrgicamente como tumor cerebral en el Servicio de Neurocirugía del Hospital Nacional Cayetano Heredia. Además, se hace una breve revisión de las características imagenológicas reportadas de la presentación intracraneal de la ERD, buscando diferencias con el meningioma.
REPORTE DE CASO
Paciente varón de 38 años presentó una masa axilar derecha, no dolorosa y de remisión espontánea ocho meses antes de la admisión hospitalaria. Dos meses antes del ingreso presentó parestesias y contracciones transitorias en el miembro superior derecho a predominio distal. El día del ingreso hospitalario el paciente presentó trastorno del sensorio. El paciente no tenía antecedentes patológicos ni antecedentes familiares de importancia.
En la evaluación física, el paciente tenía un buen estado general, sin lesiones en piel ni adenopatías. En el examen neurológico, el paciente tenía un puntaje en la Escala de Coma de Glasgow de 15, sensibilidad conservada y fuerza muscular distal disminuida (4+/5) en miembro superior derecho, reflejos osteotendinosos bicipital, tricipital y extensor superficial de dedos en ambas extremidades superiores conservados, Hoffman ausente, sin déficit sensitivo ni motor en otras extremidades.
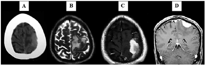
En la tomografía cerebral sin contraste se evidenció una lesión hiperdensa fronto-parietal izquierda con edema cerebral e hiperostosis asociada. La resonancia magnética cerebral con contraste confirmó la presencia de un proceso expansivo extra-axial fronto-parietal izquierdo con captación homogénea de contraste (Figura 1). Con estos resultados, el diagnóstico presuntivo prequirúrgico fue el de una lesión neoplásica, dependiente de la duramadre, sugestiva de meningioma de la convexidad.
Se programó al paciente para una cirugía transcraneal fronto-parietal izquierda más resección tumoral. El tumor de dimensiones 5x3x2 cm, de coloración marrón clara, fue de consistencia semidura-fibrosa, adherente al tejido cerebral y con invasión de la duramadre y cráneo. Se reparó el defecto de duramadre con tejido artificial (“sustituto de duramadre”) y se eliminó el tejido óseo y dural infiltrados por el tumor.
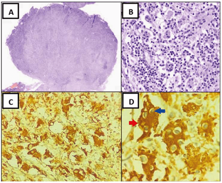
El resultado del estudio histológico de la pieza quirúrgica en el Hospital Nacional Cayetano Heredia fue informado como tejido fibroso con proceso inflamatorio crónico, donde resaltaba la presencia de histiocitos con emperipolesis (Figura 2).

(A) Tomografía sin contraste corte axial: Lesión extra-axial, hiperdensa (en relación con parénquima cerebral) en región fronto-parietal izquierda, con edema asociado e hiperostosis en tabla interna craneal adyacente a lesión .(B) RMN T2 axial: Lesión a nivel fronto-parietal izquierda con edema asociado, nexo a giro precentral (en relación al “omega invertido” o área motora de la mano) y giro poscentral (área somatosensorial primaria) que no involucra la pared del seno sagital superior.(C) RMN T1C axial con contraste: Lesión captadora de contraste (gadolinio), bien delimitada, de bordes discretamente irregulares y de centro denso. (D) RMN T1C coronal con contraste: Lesión extra-axial con “cola dural” o “cola de ratón”, a ambos lados de su parte central. La captación de contraste por la lesión es homogénea. El edema vasogénico, que incrementa el efecto de masa, lateraliza el falx del cerebro.

Hospital Cayetano Heredia: Corte histológico de la tumoración. (A) Tejido de apariencia fibrosa vagamente nodular con un fondo inflamatorio (H&E). (B) A mayor aumento se observa un infiltrado inflamatorio de linfocitos, células plasmáticas e histiocitos (H&E). (C) y (D) Inmunohistoquímica S100 resalta el citoplasma de los histiocitos (flecha roja) con células inflamatorias en su interior (flecha azul), evento biológico conocido como emperipolesis. No se observó proliferación meningotelial ni granulomas. Resultado inmunohistológico del Instituto Nacional de Enfermedades Neoplásicas (INEN) de Lima-Perú: macrófagos S100+, CD163+, CD68-/+ Y CD30-. CD38 revela células plasmáticas con relación IGG/IGG4 de 1/5. Tejido fibroso con proceso inflamatorio crónico e histiocitos con emperipolesis, sugestiva de Enfermedad de Rosai- Dorfman. No cambios neoplásicos.
En la evaluación postquirúrgica inmediata se encontró al paciente en buen estado general, herida operatoria sin complicaciones, sensibilidad disminuida y fuerza muscular 2/5 en miembro superior derecho con movilización escasa de los dedos de la mano ipsilateral. Se le indicó alta médica y seguimiento. A los 6 meses, presentó buen estado general, herida cicatrizada, puntaje en la Escala de Coma de Glasgow de 15, sensibilidad conservada y fuerza muscular 4+/5 en miembro superior derecho, movilizando mucho mejor los dedos de la mano, los reflejos osteotendinosos bicipital, tricipital y extensor superficial de dedos estaban aumentados en miembro superior derecho, no clonus ni déficit sensitivo-motor en las otras extremidades.
La resonancia magnética de cerebro con contraste a los 6 meses evidenció ausencia de recidiva de la lesión (Figura 3). El seguimiento postquirúrgico por neurocirugía, oncología, radiocirugía y hematología concluyó en la remisión de la lesión sin requerimiento de manejo médico adicional.
DISCUSIÓN
El presente estudio presenta un caso de ERD extranodal, con compromiso del sistema nervioso central, tratado quirúrgicamente de manera efectiva tras simular un proceso expansivo intracraneal. El estudio anátomo-patológico permitió identificar un tejido fibroso con un proceso inflamatorio crónico que incluía histiocitos con emperipolesis y células plasmáticas IGG4 positivo característico de la ERD (Figura 2). La emperipolesis es un evento biológico inusual donde una célula ingresa en otra, permaneciendo viable y con la posibilidad de salir de la célula hospedero en cualquier momento sin alteración funcional ni morfológica; aunque es considerado la característica distintiva de la ERD también es observado en el linfoma, leucemia y en neoplasias no hematológicas [6].
Las imágenes de tomografía computarizada y de resonancia magnética del encéfalo permitieron identificar una masa extra-axial con edema cortico-subcortical y captación de contraste a nivel fronto-parietal izquierdo. Al respecto, los hallazgos en las imágenes del encéfalo describen a la ERD intracraneal simulando cualquier lesión extra-axial de la convexidad; aunque algunos no describen el realce dural (“cola dural”) [7]. Sin embargo, este hallazgo fue evidente en el presente caso (Figura 1D). En similitud con otras publicaciones, se identifican a la ERD intracraneal como una entidad que en las neuroimágenes “imita” al meningioma intracraneal [7-9]. La Tabla 1 resume las características imagenológicas del meningioma y la ERD intracraneal [7-14].

(A) T2 axial: área pequeña de encefalomalacia fronto-parietal izquierda, en relación con el área lesional antigua, con surcos cerebrales visibles. (B) T1C axial con contraste: no captación de contraste (gadolinio) en área donde se ubicó previamente la lesión. (C) T1C coronal con contraste: no captación de contraste a nivel fronto-parietal izquierdo; se evidencia ausencia de calota craneal en dicha área.
De lo anterior descrito, se requiere del estudio histológico para el diagnóstico definitivo de ERD intracraneal. En tal sentido, el estudio inmuno-histológico de nuestro caso identificó características propias de la ERD intracraneal y nos permitió diferenciarlo del meningioma. Los cambios histológicos de la ERD son semejantes en cualquier localización; pero pueden ser ocultados por la intensa reacción fibrosa. El infiltrado inflamatorio (Fig.2B) de células plasmáticas, linfocitos e histiocitos con células inflamatorias en su interior (emperipolesis) está ausente en el 30 % de casos [13]. La expansión sinusoidal masiva por histiocitos grandes con largos núcleos vesiculares y abundante citoplasma eosinofílico pálido, de bordes mal definidos son también patognomónicos. De otro lado, la inmunotinción EMA permite diferenciar al meningioma rico en linfoplasmocitos de la ERD intracraneal [15]. La emperipolesis y los histiocitos S100+ diferencian a la ERD del Granuloma de Células Plasmáticas (Fig.2C-D) [16]. Finalmente, tinciones de CD1a y CD207 distinguen a la Histiocitosis de Células de Langerhans de la ERD [3,4].
El tratamiento de elección de la ERD intracraneal es el quirúrgico. Symss et al encontraron en un análisis de 49 reportes de caso previos que la resección total prevenía la recurrencia y progresión de la enfermedad, mientras que la biopsia se asociaba con progresión de la enfermedad a pesar del uso de tratamiento adyuvante [17]. Cabe mencionar que se ha reportado la remisión espontánea entre el 20 % a 50 % de los casos de ERD en general [18].
Una limitación del presente estudio es que no fue posible determinar si la masa axilar transitoria descrita por el paciente fue realmente una adenopatía. Sin embargo, la ERD con afectación del sistema nervioso central puede cursar sin adenopatías, siendo esta forma de presentación extremadamente rara [19].
En el contexto del presente estudio, se concluye que existe justificación suficiente para la presunción diagnóstica de una ERD intracraneal en los pacientes con una lesión intracraneal extra- axial, captadora de contraste de manera homogénea, sugestiva de un meningioma intracraneal.
REFERENCIAS BIBLIOGRÁFICAS
1. Destombes P. Adenitis with lipid excess, in children or young adults, seen in the Antilles and in Mali (4 cases). Bull Soc Pathol Exot. 1965;58(6):1179-75. French. PMID: 5899730.
2. Rosai J, Dorfman RF. Sinus histiocytosis with massive lymphadenopathy. A newly recognized benign clinicopathological entity. Arch Pathol. 1969;87(1):63-70.
3. Emile J-F, Abla O, Fraitag S, Fraitag S, Horne A, Haroche J, et al. Revised classification of histiocytoses and neoplasms of the macrophage-dendritic cell lineages. Blood. 2016; 127:2672–81. doi:10.1182/blood-2016-01-690636.
4. Abla O, Jacobsen E, Picarsic J, Krenova Z, Jaffe R, Emile J-F, et al. Consensus recommendations for the diagnosis and clinical management of Rosai-Dorfman-Destombes disease. Blood. 2018;131(26):2877-90. doi:10.1182/blood-2018-03-839753.
5. Adeleye A, Amir G, Fraifeld S, Shoshan Y, Umansky F, Spektor S. Diagnosis and management of Rosai–Dorfman disease involving the central nervous system. Neurological Research.2010; 32(6):572- 8.doi:10.1179/016164109X12608733393836.
6. Rastogi V, Sharma R, Misra SR, Yadav L, Sharma V. Emperipolesis- a review. J Clin Diagn Res. 2014; 8 (12):ZM01-2. doi: 10.7860/ JCDR/2014/10361.5299.
7. Vaidya T, Mahajan A, Rane S. Multimodality imaging manifestations of Rosai- Dorfman disease. Acta Radiol Open. 2020; 9(8):2058460120946719. doi: 10.1177/2058460120946719.
8. Boissaud-Cooke M, Bhatt K, Hilton D, Muquit S. Isolated Intracranial Rosai- Dorfman Disease: Case Report and Review of the Literature. World Neurosurg. 2020; 137: 239-242. doi:10.1016/j. wneu.2020.01.229.
9. Kattner K, Stroink A, Roth T, Lee J. Rosai-Dorfman disease mimicking parasagittal meningioma: case presentation and review of literature. Surgical Neurology. 2000; 53(5), 452–457. doi:10.1016/ s0090-3019(00)00197-x.
10. Raslan O, Schellingerhout D, Fuller G, Ketonen L. Rosai-Dorfman Disease in Neuroradiology: Imaging Findings in a Series of 10 Patients. American Journal of Roentgenology. 2011; 196(2),187- 193. doi:10.2214/AJR.10.4778.
11. Huang R, Bi W, Griffith B, Kaufmann T, La Fougère C, Schmidt N. Imaging and diagnostic advances for intracranial meningiomas. Neuro-Oncology. 2019; 21(S1), 44-61. doi:10.1093/neuonc/noy143.
12. Andriko J, Morrison A, Colegial C, Davis B, Jones R. Rosai-Dorfman disease isolated to the central nervous system: a report of 11 cases. Mod Pathol. 2001; 14(3):172-8. doi: 10.1038/modpathol.3880278.
13. Kleinschmidt-DeMasters B, Tihan T, Rodriguez F. Rosai-Dorfman Disease. Diagnostic Pathology: Neuropathology. 2nd ed. Salt Lake City, UT: Elsevier; 2016. p 728-31.
14. Hashimoto K, Kariya S, Onoda T, Ooue T, Yamashita Y, Naka K, et al. Rosai-dorfman disease with extranodal involvement. The Laryngoscope. 2014; 124(3), 701–704. doi:10.1002/lary.24290.
15. Forest F, N’Guyen A, Fesselet J, Metellus P, Bouvier C, Maues de Paula A, et al. Meningeal Rosai–Dorfman disease mimicking meningioma. Ann Hematol. 2014; 93:937–940. doi: 10.1007/s00277-013-1994-8.
16. Schniederjan M. Inflammatory and Infectious Lesions. Biopsy Interpretation of the Central Nervous System. 1st ed. Philadelphia: Lippincott Williams & Wilkins; 2011. p 33-35.
17. Symss NP, Cugati G, Vasudevan MC, Ramamurthi R, Pande A. Intracranial Rosai Dorfman Disease: report of three cases and literature review. Asian J Neurosurg. 2010 Jul;5(2):19-30. PMID: 22028755; PMCID: PMC3201083.
18. Chong C, Wong-Achi X, Apolo C. Rosai-Dorfman-Destombes disease: isolated intracranial without nodal involvement presentation. Illustrative case. Journal of Neurosurgery: Case Lessons. 2021;1(24):CASE21238. doi: 10.3171/CASE21238.
19. Taufiq M, Khair A, Begum F, Akhter S, Shamim Farooq M, Kamal M. Isolated Intracranial Rosai-Dorfman Disease. Case Rep Neurol Med. 2016;2016:1972594. doi: 10.1155/2016/1972594.