Resumen: Se presenta el caso de un paciente masculino de 62 años de edad, de raza mestiza, de procedencia urbana que acude a consulta de cirugía maxilofacial por presentar en el lado derecho de la cara una lesión. Se le diagnostica síndrome de Parry-Romberg y, luego de los exámenes complementarios, se decide tratamiento conservador con uso de vitaminoterapia (vitaminas A, del complejo B y C), teniendo una evolución satisfactoria por más de 10 años. Por lo poco frecuente y evolución tórpida de esta enfermedad se decide presentar el caso, con el objetivo de dar a conocer nuestra experiencia.
Palabras clave:síndrome de Parry-Rombergsíndrome de Parry-Romberg,hemiatrofia facial progresivahemiatrofia facial progresiva,síndrome neurocutáneosíndrome neurocutáneo.
Abstract: The case of a 62-year-old masculine patient is presented, mixed race, urban origin that goes to the consultation of maxillofacial surgery for presenting in the right side of the face a lesion. He is diagnosed with Parry-Romberg's syndrome and after the complementary exams, is decided a conservative treatment with the vitamin therapy use (vitamins A, B and C complex), having a satisfactory evolution for more than 10 years. For the infrequency and torpid evolution of this illness doctors decide to present this case, with the objective of sharing theirs experience.
Keywords: Parry-Romberg's Syndrome, progressive facial hemiatrophy, neurocutaneous syndrome.
INFORMES DE CASOS
Síndrome de Parry-Romberg. Presentación de un caso
Parry-Romberg's Syndrome. Case report

Recepción: 16 Diciembre 2016
Aprobación: 07 Enero 2017
La primera referencia histórica de esta enfermedad fue realizada por C. Parry en 1825, pero su descripción detallada la hizo M. Romberg en 1846, por lo que se decidió llamar a este padecimiento como síndrome de Parry-Romberg para honrarlos a ambos. En 1871 Eulemburg lo refiere como hemiatrofia facial1,2, también ha sido llamado trofoneurosis facial.
Existen una serie de hipótesis las cuales sugieren que podría ser consecuencia de alteraciones del sistema nervioso simpático, traumas, enfermedades infecciosas,3 una neuritis interticial del trigémino o procesos inflamatorios no sépticos. Todos estos afectan de alguna manera la irrigación sanguínea, sirviendo como mecanismo de gatillo para el desarrollo de la atrofia4, siendo la teoría más reciente y fiable la de una alteración genética en la embriogénesis del sistema nervioso central junto a la hiperactividad del sistema nervioso simpático a nivel cerebral, probablemente de causa autoinmune.5
Se caracteriza por su desarrollo lento y progresivo que generalmente se inicia con cambios de la pigmentación de la piel, limitado a la mitad de la cara y, en ocasiones, está relacionada solo con la zona inervada por una de las ramas del nervio trigémino, puede afectar varios tejidos: piel, tejido celular subcutáneo, músculos y algunas veces cartílago y hueso.6 Si la enfermedad se inicia en la primera década de la vida cuando el esqueleto facial todavía se encuentra en desarrollo, el hueso está más propenso de sufrir deformación.2,3,5,7
Comienza con lesiones hipo o hiperpigmentadas, ligeramente induradas, que progresan de forma insidiosa durante dos a veinte años hasta generar atrofia unilateral de la piel y tejidos subyacentes. Se localiza principalmente en los dermatomas de una o más ramas del nervio trigémino. Puede provocar enoftalmos y desviación de la nariz y la boca hacia el lado afectado, lo que produce una deformidad que afecta no sólo la estética sino también la funcionalidad de la cara.2 Este signo cuando se aprecia a todo lo largo de la línea media de la cara de forma vertical se conoce como "estocada de sable".3
Por lo poco frecuente y evolución tórpida de esta enfermedad decidimos presentar el caso, con el objetivo de dar a conocer nuestra experiencia en el tratamiento de esta enfermedad.
Paciente masculino de 62 años de edad, de raza mestiza, de procedencia urbana que acude a consulta de Cirugía Maxilofacial por presentar en el lado derecho de la cara una lesión.
Al interrogatorio el paciente manifestó que, desde hace algún tiempo, sin precisar con exactitud, ha notado que el lado derecho de la cara ha comenzado a enflaquecerse y, a pesar de haber realizado varios tratamientos con antibióticos, cremas, antihistamínicos, no ha tenido mejoría.
Refiere en sus inicios molestias en la zona y aparición de una mancha en la región del pómulo y luego, de forma progresiva, la piel se le ha ido secando.
No tiene sensación dolorosa en el momento de la consulta y refiere sensación de estiramiento de la piel, especialmente, cuando trata de abrir la boca para masticar o bostezar, además de referirnos que progresivamente ha empezado a presentar visión doble y ligero malestar general; se ha estudiado por Medicina Interna y Neurología sin encontrar datos clínicos significativos.
En el examen clínico extra bucal se observó asimetría facial en el lado derecho de la cara dada por la ausencia de los tejidos de soporte de la piel, lo cual hace que el esqueleto facial del lado afectado (región maxilomalar) se haga algo más notorio que el del lado contrario.
Se observó una leve depresión en la piel en la región geniana e infratemporal del lado derecho de forma irregular y bordes precisos, con punteado en forma de cáscara de naranja (Figuras 1 y 2).


Al realizar la palpación y comparar con el lado contrario se notó que en el lado derecho existe una falta de los tegumentos subcutáneos, con la percepción de una piel ligeramente acartonada y la sensación de ausencia de tejido óseo hacia la zona del reborde infraorbitario.
Al examen intrabucal se observó que es un paciente desdentado con la lengua saburral, lesiones en ambas comisuras y ligera desviación de la comisura bucal del lado derecho a la hora de abrir la boca.
Los estudios complementarios realizados estuvieron entre los parámetros normales, solo la eritrosedimentación fue de 42 mm/H.
La radiografía de senos perinales realizada (Figura 3) denotó ligera radioopacidad y disminución del seno maxilar derecho.

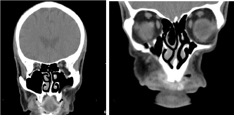
En la tomografía axial computarizada se observó una reducción de las partes blandas de la región maxilomalar derecha, con atrofia del seno maxilar del mismo lado, con disminución de sus partes óseas, y desviación del septum nasal hacia el lado derecho, (Figuras 4 y 5).
Con la sintomatología y cuadro clínico y la evolución presente se diagnosticó hemiatrofia facial progresiva.

Una vez en nuestro servicio, previo seguimiento por Dermatología y Oftalmología, se decidió valorar con los médicos de Medicina Interna y Neurología, indicando como tratamiento vitaminoterapia (Vitamina A, 25000 U, una tableta diaria; Vitamina C 500 mg, dos tabletas cada 12 horas y Vitamina E 100 mg, una tableta diaria; además de fisioterapia (masajes, electroestímulo), siguiendo por consulta al paciente y descartando la necesidad de la realización de una biopsia.
Se ha seguido clínica y radiológicamente al paciente por más de diez años con evolución satisfactoria.
La hemiatrofia facial progresiva (HFP) es una entidad poco frecuente que se caracteriza porque afecta generalmente un lado de la cara y su etiología es desconocida3, aunque otros autores lo relacionan con un sin número de posibles causas.
Se caracteriza con una lenta progresión en la atrofia del lado afectado. Nuestro paciente nunca presentó dolor a diferencia de otros pacientes8, la enfermedad se desarrolla en nuestro paciente en la edad adulta por lo que las alteraciones son en las partes blandas.
Investigaciones recientes han propuesto a la disfunción del sistema nervioso simpático como la teoría más aceptada para explicar la etiopatogenia de esta enfermedad.9 También se ha relacionado con traumas y extracciones dentales.10
La HFP se debe diagnosticar clínicamente y siempre que la deformidad lo permita el tratamiento debe ser conservador.
No existe un tratamiento específico que cure el síndrome de Parry-Romberg y no existe un estándar de tratamiento; por lo cual, durante la fase activa de la enfermedad algunos autores extrapolan el manejo del tratamiento de la morfea con metrotexato asociado a esteroides y fototerapia con luz ultravioleta.8
El tratamiento psicológico es importante tanto para el paciente como para los familiares, ya que los defectos estéticos que se producen son marcados y es también función del equipo que los trata lograr su adaptación social completa en su vida cotidiana. La psicoterapia debe ser simultánea al tratamiento mecánico. Para el tratamiento de la enfermedad han sido propuestos procederes que oculten el defecto, tales como inyecciones de silicona por debajo de la piel, sin embargo, hay que advertirles que las inyecciones de grasa pueden ser reabsorbidas de nuevo si la enfermedad está todavía activa.3
Con el desarrollo de la microcirugía, desde 1965 en Japón se han logrado mejores resultados y más estables. En edades tempranas se utilizan tratamientos funcionales empleando un aparato híbrido.3,10
Después de más de 10 años de seguir este tratamiento con vitaminas hemos observado que la enfermedad no ha progresado por lo que ha sido efectivo sin tener que recurrir a otras alternativas. Por lo que es menester presentarlo para tener una referencia más de la ventaja de tener una conducta conservadora con los pacientes diagnosticados con HFP.



