Resumen: Las supracondíleas son el tipo más común de fracturas en la articulación del codo durante la infancia, con un pico de presentación entre los cinco y siete años. Además constituyen el segundo tipo de fracturas más frecuente en la población pediátrica en general. El mecanismo típico de la lesión es una caída desde la altura del paciente sobre la palma de la mano con el codo en hiperextensión. El diagnóstico se basa en la sospecha clínica, según el mecanismo de la lesión y la edad del paciente, además de la radiografía simple del codo en dos proyecciones. La clasificación de Gartland es la más usada para establecer la gravedad de la fractura y guiar el tratamiento, que puede ser ortopédico en fracturas no desplazadas. El método de elección para corrección de las desplazadas es la reducción cerrada y fijación con pines percutáneos. La complicación más común es la neuropraxia del nervio mediano. Otras complicaciones son la lesión de la arteria braquial, el síndrome compartimental, la isquemia de Volkmann, el deslizamiento de los pines y el cúbito varo.
Palabras clave:fracturas óseasfracturas óseas,codocodo,síndromes compartimentalessíndromes compartimentales.
Abstract: Supracondylar are the most common fractures in the elbow joint during childhood with a peak between the ages five to seven. Besides, they are the second most common type of fracture in the pediatric population in general. The typical cause of the injury is the patient falling from their own height on the palm of the hand with the elbow in hyperextension. The diagnosis is based on the clinical suspicion according to the injury mechanism and the age of the patient, in addition to a standard elbow X-ray from two views. The Gartland classification is the most used instrument to establish the severity of the fracture and to guide the treatment, which can be orthopedic in non-displaced fracture, whereas the method of choice for correction of displaced fractures is closed reduction and percutaneous fixation. The most common complication is the neuropraxia of the median nerve. Others are the brachial artery injury, compartment syndrome, Volkamm ischemic contracture, sliding of the pins and ulna varus.
Keywords: fractures bone, boneelbow, compartment syndromes.
Resumo: As supracondilares são o tipo mais comum de fraturas na articulação do cotovelo durante a infância, com um pico de apresentação entre os cinco e sete anos. Ademais constituem o segundo tipo de fraturas mais frequente na população pediátrica em geral. O mecanismo típico da lesão é uma queda desde a altura do paciente sobre a palma da mão com o cotovelo em hiperextensão. O diagnóstico se baseia na suspeita clínica, segundo o mecanismo da lesão e a idade do paciente, ademais da radiografia simples do cotovelo em duas projeções. A classificação de Gartland é a mais usada para estabelecer a gravidade da fratura e guiar o tratamento, que pode ser ortopédico em fraturas não deslocadas. O método de eleição para correção das deslocadas é a redução fechada e fixação com pinos percutâneos. A complicação mais comum é a neuropraxia do nervo mediano. Outras complicações são a lesão da artéria braquial, a síndrome compartimental, a isquemia de Volkmann, o deslizamento dos pinos e o cúbito varo.
Palavras-chave: fraturas ósseas, cotovelo, síndromes compartimentais.
Artículos de Revisión
Actualización en fracturas supracondíleas del codo en la infancia
Update in suprancondylar elbow fractures in children
Atualização em fraturas supracondilares do cotovelo na infância

Recepción: 17 Junio 2019
Aprobación: 13 Agosto 2019
Las supracondíleas son el tipo más común de fracturas en la articulación del codo durante la infancia. Abarcan alrededor del 60% en niños menores de diez años, con un pico de presentación entre los cinco y siete años. Además, representan entre el 3% y el 18% de todas las fracturas en este grupo etario y son el segundo tipo más frecuente en la población pediátrica en general. Predominan en el género masculino y en el brazo no dominante1,2.
El mecanismo típico de la lesión es una caída desde la propia altura sobre la palma de la mano, con el codo en hiperextensión, lo que genera una fractura en extensión. Esta presentación sucede en el 95% de los casos. El otro 5% corresponde a las fracturas de tipo flexión por un trauma directo en el olecranon con el codo en flexión1,2,3.
El diagnóstico se fundamenta en la sospecha clínica, según el mecanismo de la lesión y la edad del paciente, y en la imagen radiológica. La radiografía simple del codo en dos proyecciones permite la clasificación, medición de ángulos y abordaje terapéutico1,2,3.
La clasificación de Gartland es la más usada para establecer la gravedad de la fractura y guiar el tratamiento. El manejo puede ser ortopédico en fracturas no desplazadas, mientras que el método de elección para corrección de las desplazadas es la reducción cerrada y fijación con pines percutáneos3.
El codo es una articulación de tipo bisagra en la que el extremo distal del húmero se articula lateralmente con la cabeza radial a través del capitellum y medialmente con el extremo proximal del cúbito. En la parte anterior, la fosa coronoides del húmero contacta con el proceso coronoideo del cúbito, cuando el antebrazo está en flexión y en la parte posterior, la fosa olecraneana del húmero alberga el olécranon cuando el antebrazo está en extensión. La articulación húmero-cubital permite los movimientos de flexo-extensión. La articulación húmero-radial, los de prono-supinación4,5. Debido a la existencia de ambas fosas al mismo nivel, por encima de los cóndilos y entre las columnas lateral y medial del húmero distal, la región supracondílea tiene un diámetro anteroposterior angosto. La remodelación ósea en el húmero de los niños entre cinco y ocho años disminuye aún más este diámetro. Esto, sumado a la laxitud que presenta la población pediátrica, que permite la hiperextensión del antebrazo, hace que las fracturas supracondíleas sean las más frecuentes alrededor del codo6.
La arteria braquial desciende desde el brazo pasando justo en la línea media de la articulación del codo a nivel de los epicóndilos, para luego dividirse en la arteria radial y la cubital (ulnar). La arteria braquial profunda y ambas ulnares colaterales, ramas que da la braquial antes de pasar por la articulación del codo, podrían llevarle flujo al antebrazo en una eventual lesión de dicha arteria a ese nivel (Figura 1). Por esta razón, es raro que haya compromiso en la irrigación distal, gracias a la circulación colateral del miembro superior. Además el músculo braquial suele proteger la arteria braquial. Sin embargo, un desplazamiento grave puede lesionar el músculo y por ende la arteria4,5.

En la Figura 2 puede verse la anatomía radiológica del codo. Exiten tres nervios importantes al nivel del codo: El mediano pasa anterior al codo en estrecho contacto con la arteria braquial; es por esto por lo que una fractura con desplazamiento posterolateral puede lesionar la arteria braquial y el nervio interóseo anterior, rama del mediano (entendiendo que es el fragmento proximal de la fractura el que produce la lesión). El nervio radial que pasa lateral y anterior al codo justo por encima del epicóndilo lateral puede ser comprometido en un desplazamiento posteromedial, que es el más común en las fracturas supracondíleas7. Por último, el nervio cubital que pasa medial y posterior al codo por detrás del epicóndilo medial se puede lesionar en una fractura supracondílea de tipo flexión.

La causa típica es el trauma indirecto del codo, debido a una caída desde la propia altura, sobre la palma con el codo extendido. Esto hace que el olécranon colisione con el techo de la fosa olecraneana. Por otro lado, las fracturas de tipo flexión o directas, se producen por un trauma en la parte posterior del codo, con desplazamiento anterior. Este mecanismo de lesión solo se presenta en el 5% de los casos8,9.
En la Figura 3 y en la Figura 4 se pueden ver imágenes de la clasificación, que se divide en3:
· Tipo I: no desplazada, se puede ver la línea de fractura o el signo de cojinete graso en la radiografía lateral.
· Tipo II A: con desplazamiento posterior, con periostio conservado. La angulación normal del capitellum (30°) puede disminuir y la línea humeral anterior que normalmente secciona al capitellum en su tercio medio puede ubicarse en el tercio distal o, incluso, no atravesarlo.
· Tipo II B: fractura II A que además tiene un componente rotacional del desplazamiento o traslación de los fragmentos.
· Tipo III: se pierde todo contacto del periostio, lo que hace la fractura inestable con alto riesgo de lesión neurovascular o de tejido blando. Se subdivide en A si tiene desplazamiento posteromedial o B si tiene desplazamiento posterolateral.
· Tipo IV: fractura tipo III que además tiene inestabilidad rotacional con mayor riesgo de lesiones asociadas.


Se debe sospechar una fractura supracondílea en un niño menor de diez años, en el contexto de una caída sobre la mano con el codo en extensión. La presentación clínica depende de la magnitud del desplazamiento y de la lesión de estructuras neurovasculares10.
Es necesario realizar una evaluación vascular y neurológica completa de la extremidad en el momento inicial. Se empieza por la evaluación vascular, que es más urgente. Se debe determinar si el pulso radial está presente o no. Si no lo está, el llenado capilar, el color (rosada o pálida) y la temperatura son signos útiles para determinar la irrigación, distal a la fractura, de la extremidad y compararla con el miembro contralateral. Un llenado capilar mayor a dos segundos, palidez, frialdad y pulso radial ausente, son signos de una extremidad pobremente perfundida, que en caso de permanecer así luego de la reducción, requerirá una exploración vascular urgente. Mientras que una extremidad con adecuada irrigación distal solo requiere seguimiento clínico11.
La especialista en urgencias, Della-Giustina, recomienda la mnemotecnia de las cinco “Ps” para determinar el compromiso vascular de la extremidad: Pain (dolor), Pulso radial débil, Parálisis, Palidez y Parestesias. También propone el empeoramiento del dolor o dolor a la extensión pasiva como banderas rojas de isquemia12.
A continuación se debe determinar la función motora y sensitiva de la mano para descartar lesión neurológica asociada. Para evaluar la función motora de los nervios de la mano se le pide al paciente que haga el signo del “OK” y abducción del pulgar (función del nervio mediano), abducción de los dedos (función del nervio cubital) y que levante el pulgar o extienda la muñeca y los dedos (función del nervio radial). Para evaluar la función sensitiva se hace la prueba discriminatoria de dos puntos, en la región palmar del índice (función del mediano), en el quinto dedo (función del cubital) y en la región dorsal digital (función del radial)13,14.
Durante la evaluación se debe tener presente la posibilidad de un síndrome compartimental, que, aunque es raro, puede ocurrir cuando la fractura supracondílea se asocia a una de antebrazo. Se debe sospechar en el contexto de una extremidad pobremente perfundida y con déficit neurológico. Hosseinzadeh y Talwalkar describen las tres “Aes” como signos más sensibles y específicos para el diagnóstico de síndrome compartimental que las cinco “Ps”15: aumento en los requerimientos de Analgesia, Ansiedad y Agitación; siendo el primero el más importante16. La medición de la presión del compartimiento involucrado es una medida, que, aunque útil para el diagnóstico, generalmente no está disponible en urgencias17,18,19. Por último, se deben buscar activamente otras fracturas en la extremidad superior20.
Para el diagnóstico y evaluación son necesarios los rayos x de codo en dos proyecciones: anteroposterior (AP) y lateral8.
Las fracturas Gartland I pueden representar un reto diagnóstico, especialmente cuando no se observa trazo en la radiografía y solo la presencia del cojinete graso puede evidenciarla. El cojinete o almohadilla grasa se observa como una delgada zona radiolúcida en el codo. Existe uno anterior y otro posterior que normalmente se ubican entre la cápsula articular y la sinovial. El primero, puede ser visible en condiciones normales, mientras que el segundo siempre es patológico21 (Figura 4). Además puede ser útil la evaluación de la línea humeral anterior como se ve en la Figura 5.

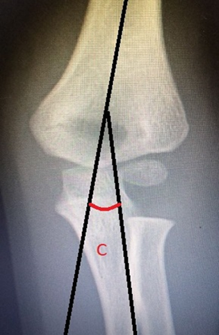
Para determinar el grado de desplazamiento en varo que presenta la fractura se utiliza el ángulo de Baumann, que se mide en la radiografía AP y tiene dos definiciones dependiendo del autor. Para algunos, está formado por la intersección de la línea media de la diáfisis del húmero con la línea fisiaria del cóndilo lateral o del capitellum, para un valor normal entre 64° y 81° (con un promedio de 72°)10,22,23. Para otros, el grado de desplazamiento sería el ángulo complementario al anterior, es decir, formado por una perpendicular a línea media de la diáfisis humeral, que intercepta igualmente la línea fisiaria del cóndilo lateral. En este caso, su valor normal sería entre 9° y 26° (Figura 6)2,3. Por tener un rango amplio de normalidad, es necesario compararlo con el codo contralateral, pues una variación anormal indicaría un colapso de la columna medial del húmero distal y por ende una deformidad en varo.

Otro ángulo importante es el de carga del codo, que puede ser evaluado en radiografía AP, o clínicamente. Está formado por la intersección de la línea del eje medio del brazo con la línea del eje medio del antebrazo (Figura 7). Sirve para medir el alineamiento coronal del brazo con el antebrazo y determina la desviación en varo o en valgo de la extremidad. Su valor varía entre 5% y 15° en el 95% de la población, con un promedio de 10°24,25.

Por último, la gota humeral o reloj de arena es una figura que se forma por la fosa olecraneana, la fosa coronoides y el borde superior de los núcleos de osificación con la diáfisis del húmero2,6. En condiciones normales, se aprecia como un círculo casi perfecto. Alguna irregularidad en su forma puede indicar fractura. Se observa en la radiografía lateral (Figura 8).

El manejo depende de la clasificación de Gartland3 y del compromiso neurovascular. Una fractura tipo I que generalmente no presenta complicaciones, se debe inmovilizar con férula braquio-palmar con el codo flexionado a 90° y el antebrazo en posición neutra. Para las tipo II en adelante, si no hay signos de hipoperfusión, se inmovilizan en la posición en que se encuentre la extremidad sin realizar maniobras de reducción, vigilando que continúe bien perfundida después de la inmovilización12. Por otro lado, si hay signos de hipoperfusión o ausencia de pulso radial, se debe traccionar la extremidad en extensión hasta recuperar la perfusión e inmovilizar en esta posición. Si no recupera la perfusión de la mano, es necesario realizar una intervención quirúrgica urgente9. El déficit sensitivo de la mano, como único hallazgo, no requiere tratamiento quirúrgico inmediato, pues generalmente se trata de una neuropraxia que se corrige cuando se reduce la fractura7.
Tratamiento ortopédico
Las fracturas Gartland I sin conminución, se inmovilizan con el codo en flexión a 90° y el antebrazo en posición neutra12. Se acepta un leve desplazamiento posterior con tal de que la línea humeral anterior intercepte al capitellum en algún punto, pues la población pediátrica tiene gran capacidad de remodelación ósea2. Sin embargo, existe el riesgo de que un impacto en la columna medial pase desapercibido con la posible complicación de un cúbito varo, que a diferencia de la deformidad posterior, no remodela. Si se sospecha, se recomienda una evaluación de la extremidad bajo anestesia a través de fluoroscopio (intensificador de imagen) para evaluar el ángulo de carga y si es necesaria, una reducción con alineación lateral del codo24. Para ello, se hace tracción longitudinal a ambos lados del codo, con la extremidad en extensión, y desplazando el antebrazo hacia lateral hasta tener un ángulo de carga dentro de su valor normal. Posteriormente se puede inmovilizar con férula o preferiblemente fijar con dos pines e inmovilizar el codo con férula a 90° con un menor riesgo de pérdida de la reducción26,27,28. La inmovilización no se debe hacer a más de 90° de flexión, por el riesgo de edema y de desarrollar síndrome compartimental. Por la misma razón se prefiere férula y no yeso circular29,30.
El manejo de las fracturas Gartland II es controversial. Algunos recomiendan tratamiento quirúrgico, mientras que otros afirman que algunas se pueden tratar con reducción cerrada e inmovilización (manejo conservador). Ariyawatkul, et al.27 demostraron que la diferenciación de las fracturas Gartland II en A y B es útil para determinar qué pacientes son candidatos a tratamiento conservador. Clasificaron como II A las que tienen una variación en el ángulo de Baumann menor de 5° en comparación con la extremidad sana y II B si esta variación era mayor de 5°. Las II A fueron manejadas satisfactoriamente con reducción cerrada e inmovilización por tres semanas, mientras que las II B requirieron intervención quirúrgica. Para las fracturas grado II A, además de la corrección del desplazamiento AP, se debe corregir el desplazamiento del eje coronal, es decir, posteromedial o posterolateral28. Para ello, se lleva el antebrazo a 120° de flexión (máxima) mientras simultáneamente se hace pronación de este para el primer caso o supinación para el segundo. Luego se evalúa bajo fluoroscopio con mínima movilización para que no haya pérdida de la reducción, y cuando se esté conforme, se procede a inmovilizar con férula21. El dilema radica en que este grado de flexión máxima tiene mayor riesgo de aumentar el edema y comprometer la irrigación de la extremidad, mientras que regresar el antebrazo a una flexión de 90° podría implicar la pérdida de la reducción, al perderse el efecto estabilizador del tríceps y el periostio posterior. Por eso la fijación con pines es una opción válida en esta situación2.
Tratamiento quirúrgico
El tratamiento recomendado para las fracturas Gartland II B a IV es la reducción cerrada con fijación mediante pines percutáneos, pues son fracturas con desplazamientos que requieren corrección para evitar las complicaciones29,30.
A pesar de que las fracturas supracondíleas desplazadas pueden ser tratadas de diferentes formas: reducción cerrada sin fijación, tracción de tejidos blandos, tracción esquelética y reducción abierta con fijación, con resultados clínicos aceptables, el tratamiento de elección es la reducción cerrada y fijación con pines percutáneos porque tiene resultados predecibles con menores complicaciones y menor estancia hospitalaria2,22,31.
En la técnica quirúrgica más aceptada se hace tracción longitudinal con la mano no dominante en el fragmento distal de la fractura con el codo en extensión completa, aplicando una fuerza continua y estable hasta lograr la reducción, con lo que se corrige el desplazamiento posterior se ejerce tracción lateral o medial según el tipo de desplazamiento que haya6.
Una vez corregido el defecto en ambos planos (coronal y sagital), manteniendo el segmento distal sujetado con la mano no dominante, se sujeta el segmento proximal de la fractura con la mano dominante para ejercer fuerza hacia la parte posterior con los dedos, mientras el pulgar se desliza sobre la parte posterior del fragmento distal, con fuerza constante hacia la parte anterior, en un movimiento como de ordeño, con el fin de desplazar el segmento distal de la fractura hacia la parte anterior hasta que el pulgar contacte el olécranon21. Manteniendo esta posición con la mano dominante se fleja el codo, mientras se prona el antebrazo (en desplazamiento medial) o se supina (desplazamiento lateral), hasta llegar a la flexión máxima del codo (mnemotecnia: el pulgar queda apuntando hacia el lado del desplazamiento)6.
Luego se debe verificar la reducción en el fluoroscopio y proceder a la fijación con pines percutáneos32. Para ello se usan pines de Kirschner de 0.625 pulgadas. El número de pines depende del grado de inestabilidad, pero se acepta el uso de dos en las fracturas Gartland II y tres en las Gartland III y IV26. Por otro lado, la configuración de los pines es controversial, pues, aunque es cierto que la configuración cruzada da mayor estabilidad a la reducción, tiene mayor riesgo de injuria iatrogénica del nervio cubital. Sin embargo, hay estudios que demuestran que con una modificación en la técnica, se puede reducir ese riesgo33.
Siguiendo con la técnica quirúrgica, mientras se mantiene el brazo flexionado para conservar la reducción, el primer pin se inserta lateralmente de distal a proximal, lo más cerca posible a la línea media de la diáfisis del húmero, lateral al olécranon hasta llegar a la cortical medial del húmero, atravesando la línea de fractura. El segundo pin se inserta justo en el cóndilo lateral con el objetivo de que quede divergente al primero y atraviese la línea de fractura tan alejado del primer pin como sea posible, para que la reducción quede estable. Igualmente se avanza hasta que atraviese la cortical medial del húmero21.
También está descrita la configuración paralela de los pines, pero proporciona menor estabilidad a la reducción34. En caso de usar un pin medial, algunos recomiendan, una vez se haya puesto por lo menos un pin lateral para evitar la pérdida de la reducción, extender la extremidad para que el nervio cubital se desplace hacia la parte posterior (ya que con el miembro superior flexionado, el nervio se encuentra anterior, con mayor riesgo de ser lesionado) e insertar el pin por el epicóndilo medial, tan anterior como sea posible, para evitar lesionar el nervio. Sharma et al.35 no obtuvieron ni un solo caso de lesión iatrogénica del cubital en 30 de 90 casos que fueron manejados con pines cruzados, y determinaron que la estabilidad con pines laterales era comparable a la lograda a través de la configuración cruzada. Sin embargo, un metanálisis36 de 18 estudios encontró que el abordaje con pines cruzados cuadruplica el riesgo de injuria iatrogénica del cubital, mientras que la estabilidad es comparable con la de los dos pines laterales (en dicho metanálisis recomiendan el uso de dos pines laterales divergentes). En general, hay autores que siguen ambas corrientes, con mayor tendencia a la postura de pines laterales divergentes por el riesgo de la lesión iatrogénica del nervio cubital con la configuración cruzada37.
Para asegurar una estabilidad adecuada con la configuración cruzada, el pin medial debe atravesar la línea de fractura lo más alejado al pin lateral como sea posible (en caso de que solo un pin lateral haya sido usado) y llegar a la cortical lateral. Luego se doblan y se cortan los pines, dejando unos centímetros para facilitar su retiro. Se venda con un filtro estéril. Por último, se inmoviliza la fractura con férula posterior a 90° de flexión21,30.
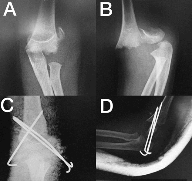
En la Figura 9 se puede ver una fractura supracondílea Gartland IV y la reducción y fijación con 3 pines percutáneos, dos laterales y uno medial y en la Figura 10, una fractura supracondílea Gartland II con desplazamiento posteromedial con reducción cerrada, fijación percutánea con dos pines laterales e inmovilización con férula.


La reducción abierta no es el tratamiento de elección por el mayor riesgo de infección, mala unión y compromiso neurovascular. Sin embargo, cuando se lleva a cabo se pueden obtener resultados clínicos funcionales y cosméticos satisfactorios, comparables con los obtenidos con la reducción cerrada31,32,33,34,35. La reducción abierta está indicada cuando no se pudo reducir de modo cerrado, cuando la extremidad tiene alguna alteración neurovascular que no corrigió con la reducción cerrada, cuando hay fracturas abiertas que requieren lavado y desbridamiento o si hay compromiso intrarticular. Siempre debe realizarse fijación percutánea, al igual que en los casos cerrados36,37,38.
Se han descrito cuatro tipos de abordaje para la reducción abierta: anterior, posterior, medial y lateral6. El anterior es ampliamente aceptado pues permite una visualización de las estructuras vasculares, nerviosas y del músculo braquial, permitiendo manipularlos con mayor facilidad, en caso de que estén impidiendo la reducción. Este abordaje facilita la evacuación de los hematomas de la fosa antecubital y la corrección de las desviaciones en varo o valgo, pues el acceso a las columnas lateral y medial del húmero es más comodo39. Para las fracturas de tipo flexión se prefiere el abordaje medial, con buenos resultados en recuperación funcional y anatómica, pues el nervio cubital suele estar atrapado40. Si la fractura no es reducida adecuadamente se puede hacer una incisión lateral para lograrlo. El abordaje posterior se utiliza cuando hay compromiso intrarticular o conminución de los cóndilos, lo que suceden con mayor frecuencia en niños mayores. Este último abordaje no se recomienda en otros casos por riesgo de comprometer el periostio intacto y el flujo distal al antebrazo y a la mano, que se da a través de la circulación colateral40,41.
Anteriormente las fracturas supracondíleas se manejaban con tracción esquelética con buenos resultados clínicos. Este manejo se reserva en la actualidad para cuando no se logró reducir la fractura de forma cerrada, en los que el edema impide la reducción abierta, en condiciones amenazantes de la vida, lugares de difícil acceso a especialista y a quienes presentan distorsión marcada de la anatomía41. Se ha descrito la tracción esquelética y la de tejidos blandos, ambos con resultados satisfactorios42,43. Sin este manejo aumenta la hospitalización en nueve días en promedio y es por esto por lo que no es de elección21.
Múltiples estudios demuestran que la intervención quirúrgica urgente y programada, siempre y cuando las condiciones lo permitan (fracturas cerradas y sin compromiso vascular) no cambian el desenlace clínico. En caso de que la lesión ocurra en la noche, puede ser intervenida en la mañana siguiente, cuando hay más recursos disponibles44,45,46,47.
El paciente es citado una semana después de la cirugía para evaluación clínica y radiográfica del codo. Se debe prestar atención a que no se haya perdido la reducción. Luego, a la tercera semana, se retira el yeso y se realiza control radiológico. Generalmente para este momento ya se ha formado cayo óseo y se pueden retirar los pines. Se pueden programar observaciones posteriores en la sexta semana, a los seis y 12 meses según sea necesario48,49.
Solo el 1% de las complicaciones corresponden a los actos quirúrgicos, como el síndrome compartimental, la infección y el deslizamiento o el error en la postura de los pines. La mayoría corresponden a aspectos no quirúrgicos, como lesiones vasculares, neurológicas y cúbito varo50.
Es una complicación relacionada con las fracturas tipo II y III, pues depende de su grado de desplazamiento. Se presenta hasta en el 20% de las tipo III51. La arteria comprometida es la braquial, principalmente por los desplazamientos postero-laterales. Los tipos de lesiones son: laceración, disección intimal, espasmo, sección, contusión y compresión. Se debe sospechar injuria braquial frente a una fractura supracondílea desplazada y una extremidad sin pulso radial. Hay controversia con respecto al manejo de esta lesión, sin embargo, dos cuestiones son claras: 1. La reducción y fijación de la fractura es la primera acción a realizar, de manera urgente, ante la evidencia de una extremidad sin pulso radial sin importar los signos de perfusión distal y 2. Si a pesar de la reducción no se logra recuperar el pulso radial y la extremidad continúa mal perfundida o con déficit neurológico, se debe realizar una exploración vascular, sin necesidad de imágenes que retrasen el diagnóstico52,53.
La controversia se presenta cuando no se recupera el pulso radial pero la extremidad preserva signos de buena perfusión distal, pues algunos autores refieren que en estos casos posiblemente se trate de un espasmo arterial que recupera espontáneamente, y solo se necesite vigilar o llevar a arteriografía diagnóstica. Máxime cuando la reoclusión o la estenosis residual es frecuente después de la cirugía54. Otros autores indican hacer exploración vascular urgente ya que probablemente se trate de una lesión arterial que deba ser corregida rápidamente donde la perfusión distal se encuentra preservada gracias a la buena circulación colateral. La tendencia es a la exploración vascular y corrección de la lesión.
Ocurre hasta en el 15% de las fracturas supracondíleas desplazadas y generalmente es concomitante a una lesión vascular. El tipo de lesión más común es la neuropraxia. Con respecto al nervio más afectado, algunos autores indican que es el mediano, mientras otros mencionan que es el interóseo anterior. Incluso otros autores proponen el nervio radial como el principalmente comprometido55,56. Lo anterior depende de la epidemiología local, la clasificación de la fractura y su desplazamiento.
Como la mayoría de las lesiones consisten en neuropraxias, no se requiere tratamiento adicional al de la lesión vascular. Suelen corregirse espontáneamente entre tres semanas a seis meses17.
Es una condición rara que se presenta en el 0.1% al 0.3% en estas fracturas. Constituye una emergencia ortopédica. Puede ser causado por daño anatómico del vaso o una compresión extrínseca por hematoma del foco de fractura, edema severo, acodamiento, por vendajes excesivamente apretados o inmovilización en flexión mayor de 90°. El compartimento volar es el más comúnmente comprometido15.
El síndrome compartimental se desarrolla debido a un aumento excesivo de la presión dentro de los compartimentos musculares, que lleva a disminución en la perfusión y en el drenaje venoso, que puede resultar en necrosis muscular, contractura y disfunción neurológica16. Por lo tanto, el diagnóstico y el tratamiento oportunos son fundamentales para prevenir complicaciones. En niños, por la limitación para comunicarse, el diagnóstico es difícil, pero el examinador puede guiarse con las cinco “Ps” o más específicamente, las tres “Aes”12.
El tratamiento inicial es la fasciotomía seguida de movimientos de rehabilitación pasivos y activos de la mano, la muñeca y el codo, hasta restablecer la funcionalidad57.
Es una complicación grave, consecuencia de un síndrome compartimental, que de no ser corregido al cabo de seis a ocho horas produce infarto muscular y compromete el tejido nervioso periférico, que serán reemplazados por tejido cicatricial fibroso retráctil. Esto impide que el paciente pueda extender los dedos por acortamiento de los flexores, adoptando la clásica flexión palmar de la muñeca (contractura de Volkmann)51. Si la lesión compromete los nervios cubital y mediano se producirá deformidad en garra. El mejor tratamiento es la prevención, pero cuando se presenta, se debe realizar fisioterapia y tracción con férulas pasivas o dinámicas para elongar el tejido cicatricial hasta que ocurra su maduración. En los casos de secuelas graves está indicada la cirugía58.
Es la complicación posquirúrgica más frecuente y su incidencia aumenta a mayor grado de clasificación tenga la fractura, pues mayor es su inestabilidad59. Esta complicación justifica el seguimiento clínico y radiológico seriado luego de la cirugía, en tanto conlleva pérdida de la reducción y aumenta el riesgo de deformidad, principalmente, en varo. Se presenta más frecuentemente cuando no hay fijación, cuando hay un número inadecuado de pines, cuando hay separación <2mm entre los mismos y cuando no se alcanza la cortical contralateral a la inserción. En caso de ocurrir, el paciente requerirá una nueva intervención quirúrgica. Una adecuada técnica quirúrgica disminuye el riesgo de esta complicación50,56.
Sankar, et al.59 clasificaron los errores de fijación en tres tipos: error al fijar ambos segmentos, falla para conseguir una fijación bicortical y separación inadecuada para conseguir el control de las rotaciones.
El cubito varo es una mala unión que ocurre por sobrecrecimiento del cóndilo lateral, la deformidad de la tróclea y su retraso en el crecimiento debido al compromiso del núcleo o la inadecuada reducción o pérdida de esta, pues el fragmento distal queda rotado y se consolida en posición incorrecta60. Se genera una pérdida del ángulo de carga mayor de 5º comparado con el codo contralateral. Es la complicación tardía más frecuente, apareciendo hasta en un 3% después de la postura de pines comparada con un 14% cuando se hace la reducción sin fijación61. Se asocia en su gran mayoría a los desplazamientos posteromediales62. El tratamiento de elección es la osteotomía con cierre lateral con o sin reconstrucción de ligamentos.
· Las fracturas supracondíleas ocupan el primer lugar en las de la articulación del codo y el segundo con respecto a todas las fracturas en la infancia.
· Conocer la anatomía del codo es fundamental para el entendimiento de esta patología.
· La clasificación de Gartland es globalmente aceptada para graduar las fracturas supracondíleas.
· Los ángulos de Baumann y el de carga son los más importantes a la hora de evaluar el desplazamiento medial o lateral en las fracturas de tipo extensión.
· Existen temas controversiales como la lesión neurológica más frecuente, la configuración de los pines y el manejo de una extremidad con pulso radial ausente pero buena irrigación distal. Aunque en estos temas existe una tendencia general en la literatura.
· Hay varios tipos de abordajes quirúrgicos como el abierto y la tracción esquelética, pero el método de elección para las fracturas supracondíleas de codo es la reducción cerrada con fijación con pines percutáneos.
· Un adecuado enfoque diagnóstico y terapéutico disminuye considerablemente el riesgo de las complicaciones.
AGRADECIMIENTOS: Al doctor Juan Carlos Gómez Hoyos por su dedicación en la revisión este artículo.
DECLARACIÓN DE CONFLICTO DE INTERESES: Los autores declaran no tener ningún conflicto de intereses.
pcamilojose@gmail.com









