Resumen: La formación de un absceso que se inicia en el espacio pleural y se extiende hacia los tejidos adyacentes se conoce como Empiema Necessitatis, es una complicación rara, más aún si es secundaria a traumatismo. El tratamiento temprano es vital y consiste en drenaje del empiema asociado a antibiótico de amplio espectro, hasta obtener cultivos del agente etiológico, con Mycobacterium tuberculosis como etiología más común. A continuación, reportamos el caso de un paciente de 47 años sin antecedentes de importancia, que ingresa inicialmente por politrauma por caída de altura, manejado de forma conservadora. Reingresa 15 días después por fiebre y aparición de masa en torácica. Se confirma, mediante tomografía de tórax contrastada, fistulización de una colección hacia tejidos blandos, por lo que se inicia manejo antibiótico y quirúrgico. Se aisló Staphylococcus aureus sensible. El paciente mejora y egresa para seguir manejo ambulatorio.
Palabras clave:empiemaempiema,toracostomíatoracostomía,tomografíatomografía,antibacterianosantibacterianos.
Abstract: The Formation of an abscess in the pleural space that spreads through the adjacent tissues is known as Empyema Necessitatis, which is a rare complication, even more if it is secondary to trauma. An early management is vital and consists of a surgical drainage of empyema associated with broad-spectrum antibiotics until the etiologic agent is identified. Mycobacterium tuberculosis is the most common etiology found. The article presents a report on a medical case of a 47 year-old patient without a significant personal medical history, who was initially admitted for polytrauma due to a fall from his own height. The trauma was treated in a conventional way. After 15 days, is admitted again with fever and a new mass in the wall chest. A CT tomography showed a pus fistulation from the pleural space through the soft tissues of the chest. A drainage was performed and broad-spectrum antibiotics were given until sensitive Staphylococcus aureus was identified. Finally, the patient got better and continued ambulatory management.
Keywords: empyema, thoracostomy, tomography, anti-bacterial agents.
Resumo: A formação de um abscesso que se inicia no espaço pleural e se estende aos tecidos adjacentes se conhece como Empiema Necessitatis, é uma complicação rara, mas ainda assim é secundária ao traumatismo. O tratamento precoce é vital e consiste em drenagem do empiema associado a antibiótico de amplo espectro, até obter cultivos do agente etiológico, com Mycobacterium tuberculosis como etiologia mais comum. A continuação, reportamos o caso de um paciente de 47 anos sem antecedentes de importância, que ingressa inicialmente por politrauma por queda de altura, manejado de forma conservadora. Reingressa 15 dias depois por febre e aparecimento de massa em torácica. Se confirma, mediante tomografia de tórax contrastada, fistulização de uma coleção aos tecidos moles, pelo que se inicia manejo antibiótico e cirúrgico. Se isolou Staphylococcus aureus sensível. O paciente melhora e egressa para seguir manejo ambulatório.
Palavras-chave: empiema, toracostomía, tomografia, antibacterianos.
Reporte de Caso
Empiema Necessitatis: reporte de un caso
Empyema Necessitatis: case report
Empiema Necessitatis: reporte de um caso

Recepción: 20 Marzo 2019
Aprobación: 30 Julio 2019
El Empiema Necessitatis es una complicación rara que consiste en la extensión de una colección purulenta desde la cavidad torácica y el espacio pleural hacia el tejido extra torácico, sin respetar barreras anatómicas1,2. Se presenta generalmente con dolor pleurítico, fiebre y tos no productiva, asociados a una masa de aparición subaguda, expansiva y dolorosa, en tórax anterior3,4. Es comúnmente causado por M tuberculosis, en el 73% de los casos, pero existen otras causas, entre las que se incluyen malignidad y bacterias como Actinomycosis, Pneumococcus, Staphylococcus, Streptococcus, y Pseudomonas5,6,7.
La aproximación diagnóstica inicial puede ser mediante la radiografía de tórax, que da un indicio, sin embargo, en la mayoría de los casos es necesaria la tomografía de tórax con contraste, que es altamente sensible y delinea el grado de empiema y la extensión. En la era preantibiótica se reportaba una mortalidad cercana al 87%, para aquellos con tuberculosis como causa, y de 28% para los debidos a organismos piógenos6. Con el manejo quirúrgico y antibiótico actual se reporta una mortalidad menor al 5%8.
Presentamos el caso de un paciente que ingresa al Hospital Pablo Tobón Uribe (HPTU) con Empiema Necessitatis postraumático. Se solicitó consentimiento escrito al paciente y a su acompañante. El reporte fue aprobado por el Comité de Ética de la institución.
Se trata de un paciente de 47 años, de sexo masculino, residente en zona rural de un municipio de Antioquia cercano a la ciudad de Medellín. Trabaja en la construcción y no tiene ningún antecedente personal de importancia médica. Ingresó inicialmente a un hospital de baja complejidad, luego de sufrir un accidente (caída desde un tercer piso) con trauma contuso en tórax, cuello, y cráneo, para lo que recibió atención inicial y traslado no regulado al HPTU.
Ingresa como triage 2 con los siguientes signos vitales: presión arterial (PA) 131/71 mmHg, presión arterial media (PAM) 91 mmHg, frecuencia cardíaca (FC) 85 latidos por minuto, frecuencia respiratoria (FR) 16 respiraciones por minuto, saturación de oxígeno (Sat O2) 92%, escala del dolor (EVA): 5 moderado, escala de Glasgow (ECG) 14/15.
Al examen físico se encontraba en buenas condiciones generales, afebril, hidratado, desorientado, con hematoma en cráneo, tórax con dolor sobre región clavicular izquierda, cardiopulmonar normal y abdomen sin signos de trauma.
Tiene las siguientes ayudas diagnósticas:
● Radiografía de pelvis normal.
● Radiografía de tórax con mediastino de 6cm, fractura cabalgada de tercio medio de clavícula izquierda.
● Tomografía (TAC) de cráneo con hemorragia subaracnoidea postraumática, sangrado subdural agudo laminar, fractura parieto-temporal izquierda.
● TAC de columna normal.
Ante los hallazgos en tórax y la magnitud del trauma, el urgentólogo decidió realizar TAC contrastado de abdomen y angioTAC de aorta torácica, donde se describen también fracturas de arcos costales posteriores y fractura de escápula. Es finalmente evaluado por ortopedia, cirugía general y neurocirugía. Se decide continuar manejo conservador con vigilancia en unidad de cuidados especiales (UCE) por 72 horas y luego, en salas generales por 48 horas más. La evolución fue adecuada.
Quince días después reingresa por cuadro de una semana de evolución consistente en dolor en hemitórax izquierdo asociado a disnea, fiebre subjetiva y edema en región pectoral derecha. PA 113/71 mmHg, PAM 85 mmHg, FC 123 latidos por minuto, FR 21, temperatura 39.1 grados centígrados, Sat O2 91%, y EVA 5, se clasifica como triage 3.
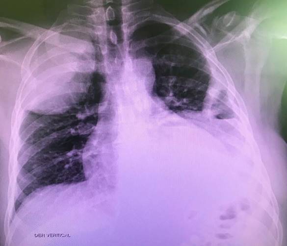
Al examen físico se encontró disminución de la ventilación en pulmón izquierdo, además de masa de 10 cm por 15 cm, dolorosa y eritematosa, localizada en segundo espacio intercostal izquierdo con línea axilar anterior (Figura 1). Por lo anterior, se solicitaron paraclínicos reportados así: Creatinina y BUN normales, hemoleucograma con hemoglobina (hb) de 10.8, hematocrito 31.7, leucocitos 16 700, plaquetas 627 000, proteína C reactiva (PCR) 31.75. También se pidió radiografía de tórax que evidencia colecciones pleurales bilaterales, nivel hidroaéreo del lado izquierdo y las fracturas descritas anteriormente (Figura 2).


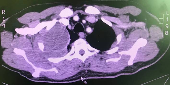
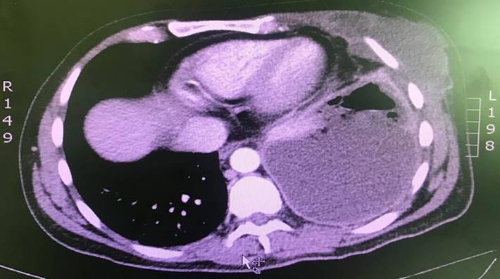
Ante los hallazgos en la radiografía simple, se decidió complementar el estudio con una TAC de tórax con contraste, que reportó colecciones pleurales bilaterales con extensión a la pared del tórax (con compromiso de la musculatura intercostal y escalénica en el lado derecho; en el lado izquierdo estaba comprometido el pectoral) en relación con Empiema Necessitatis (Figura 3, Figura 4).


El paciente es evaluado por cirugía de tórax que realizó pleurectomía y decorticación por videotoracoscopia e inició antibiótico. Durante el intraoperatorio, en el lado izquierdo se drenan 500 cc aproximadamente de material purulento del plano subcutáneo y 600 cc de pus franca de la cavidad pleural. En lado derecho se drenan 200 cc de pus franca loculada de la cavidad pleural, con compromiso del plano muscular y costal. El paciente permaneció hospitalizado por 17 días. De los cultivos se aisló S. aureus sensible. El paciente recibió oxacilina. Fue dado de alta con cefazolina.
El Empiema Necessitatis es una colección de material purulento de características predominantemente inflamatorias, que se extiende desde la cavidad torácica y espacio pleural hacia el tejido extratorácico sin respetar barreras anatómicas1. Se piensa que es en general una complicación de un empiema, en el cual la infección pleural se propaga2. La localización más común es la pared torácica anterior3, aunque los sitios de extensión reportados son variados e incluyen: peritoneo, pericardio, retroperitoneo, esófago, mediastino, pared abdominal, espacios paravertebrales, vértebras, bronquios, mamas y diafragma4.
La descripción más antigua de un empiema se atribuye a Hipócrates hace 2 400 años, sin embargo, el Empiema Necessitatis es una complicación rara descrita por primera vez en 1640 por Guillan de Baillon, quien reportó un aneurisma sifilítico con supuración a través de la pared torácica. Otros casos fueron descritos por Laennec en 18905 y Sindel en 1940 (115 casos). Una de las revisiones más recientes reporta únicamente 26 casos desde 19666.
La patogénesis del Empiema Necessitatis tiene que ver con la presión positiva constante en la zona del líquido pleural, que ocurre durante todas las fases de la respiración. M tuberculosis ha sido reportado como el responsable del 73% de los casos, pero hay otras causas, entre las que se incluyen malignidad y abscesos piógenos del pulmón, por bacterias como Actinomycosis, Pneumococcus, Staphylococcus, Streptococcus, y Pseudomonas7.
Entre los factores de riesgo se han descrito el alcoholismo crónico, la caquexia, el EPOC, la tuberculosis, la mala salud oral y las bronquiectasias. Hay pocos casos reportados después de trauma torácico5,8. Es necesario mencionar que se prevé un aumento del número de casos de este tipo de complicación debido al aumento de pacientes con inmunosupresión (VIH, trasplantados, quimioterapia)9. La mediana de la edad al momento del diagnóstico oscila en un rango amplio, entre tres meses y 81 años, aunque es extremadamente raro en población pediátrica.
Previo al inicio de la era antibiótica se reportaba una mortalidad de 87% para aquellos con tuberculosis como causa y de 28% para los debidos a organismos piógenos6. Con la asociación entre el manejo antibiótico y quirúrgico se consigue una tasa elevada de curación, con escasa mortalidad (menor al 5%)8, que de ocurrir, está relacionada con deficiencia del sistema inmune (en pacientes de edad avanzada, con neoplasia o fibrosis quística) y suele ser secundaria a mecanismos como la insuficiencia respiratoria, insuficiencia cardíaca, mediastinitis, diseminación hematógena o insuficiencia renal.
La presentación es variada, generalmente causa dolor pleurítico que empeora con la inspiración profunda. Hay tos no productiva asociados a una masa de aparición subaguda, expansiva y dolorosa, comúnmente en la pared torácica anterior, entre la línea medio clavicular y axilar anterior, ubicada entre el segundo y sexto espacio intercostal. Cabe mencionar que siendo la tuberculosis la causa más reportada, el cuadro tiene progresión lenta y típicamente se inicia con uno o dos meses de síntomas constitucionales y posterior desarrollo de la masa en tórax. Las presentaciones más agudas tienen que ver con bacterias piógenas6.
La aproximación diagnóstica puede ser inicialmente con radiografía de tórax, que da indicio de Empiema Necessitatis, sin embargo, la entidad no es siempre detectable por este medio, de manera que en la mayoría de los casos hace falta la tomografía de tórax con contraste, que es altamente sensible y delinea el grado de empiema, así como su extensión a las estructuras adyacentes4.
Después de la correcta identificación, el tratamiento incluye un doble abordaje médico-quirúrgico: se deberá realizar drenaje del material purulento, ya sea abierto o cerrado. Hay que iniciar tratamiento antibiótico empírico con cefalosporinas de segunda generación o aminopenicilina con inhibidor de betalactamasa, más cubrimiento para anaerobios en un esquema de una semana de manejo intravenoso, seguido de una a tres semanas de medicamento oral5.
El Empiema Necessitatis es pues una complicación rara, con un manejo específico establecido y con factores de riesgo diversos, entre los que raramente se reporta el trauma. Este conocimiento permite que hoy en día tenga baja tasa de mortalidad. Su recurrencia, en general, se asocia con inadecuado abordaje antibiótico o insuficiente remoción del tejido infectado. La recurrencia pude darse incluso hasta 10 años después de la cirugía, por lo que estos pacientes requieren seguimiento cercano por años10.
DECLARACIÓN DE CONFLICTOS DE INTERÉS: Los autores declaran no tener ningún conflicto de interés.
marendon@hptu.org.co



