Resumen: El hemocolecisto, definido como la inflamación mural de la vesícula biliar por obstrucción del conducto cístico por coágulos intravesiculares, es una rara patología que se debe sospechar en pacientes anticoagulados con dolor abdominal en hipocondrio derecho. Ecográficamente se observa un engrosamiento e irregularidad focal de la pared vesicular y material ecogénico intraluminal compacto que no proyecta sombra acústica posterior. El tratamiento quirúrgico es de elección ante duda diagnóstica o bien para evitar complicaciones tales como colangitis, cuadros de hemorragia digestiva alta o hemoperitoneo por perforación de la vesícula biliar.
Palabras clave:Colecistitis agudaColecistitis aguda,hemocolecistohemocolecisto,tratamiento anticoagulantetratamiento anticoagulante.
Abstract: Hemocolecyst, defined as mural inflammation of the gallbladder due to obstruction of the cystic duct by intravesicular clots, is a rare pathology that should be suspected in anticoagulated patients with abdominal pain in the right hypochondrium. Echographically, there is a thickening and focal irregularity of the vesicular wall and a compact intraluminal echogenic material that does not project posterior acoustic shadows. Surgical treatment is of choice for diagnostic doubt or to avoid complications such as cholangitis, upper gastrointestinal bleeding or hemoperitoneum due to perforation of the gallbladder.
Keywords: Acute Cholecystitis, hemocholecyst, anticoagulant treatment.
Imagen del Número
Imagen infrecuente en paciente con colecistitis aguda
Uncommon image in a patient with acute cholecystitis
Recepción: 17 Septiembre 2017
Aprobación: 13 Noviembre 2017
Publicación: 18 Marzo 2019
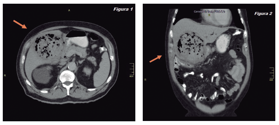
Paciente de 84 años con antecedentes de hipertensión arterial, diabetes mellitus tipo 2, insuficiencia cardíaca y fibrilación auricular, medicado con enalapril, carvedilol, metformina y acenocumarol. Acude al servicio de emergencia de nuestra institución por un cuadro de 24 horas de evolución de dolor abdominal en hipocondrio derecho, fiebre y vómitos. Examen físico: abdomen tenso, doloroso a la palpación en hipocondrio derecho con defensa y reacción peritoneal. Laboratorio: leucocitos 19.000/mm³, plaquetas 205.000/mm³, bilirrubina total: 1,7 mg/dl, bilirrubina directa: 1 mg/dl, TGO: 165 U/L, TGP: 156 U/L, fosfatasa alcalina: 386 U/L, tiempo de protrombina: 35%, KPTT: 15”; el resto sin alteraciones. Ecografía abdominal: vesícula distendida, paredes engrosadas, contenido ecogénico difuso con componente gaseoso que no proyecta sombra acústica posterior. Se efectuó una tomografía computada abdominal (TCA) cuyos hallazgos son motivo de esta presentación (Figuras 1 y 2).

¿Cuál es su diagóstico?
http://www.actagastro.org/numeros-anteriores/2019/Vol-49-N1/Vol49N1-PDF05.pdf (pdf)
pablofinno@gmail.com
