Respuesta a Imágenes del Número
Solución del caso. Las apariencias engañan
En el caso presentado se realizó diagnóstico de pancreatitis aguda biliar leve, por lo que se inició tratamiento médico, con buena respuesta. Al interpretar que la lesión hepática en estudio no presentaba síntomas, se decidió llevar a cabo conducta quirúrgica por el rápido aumento del volumen del quiste.
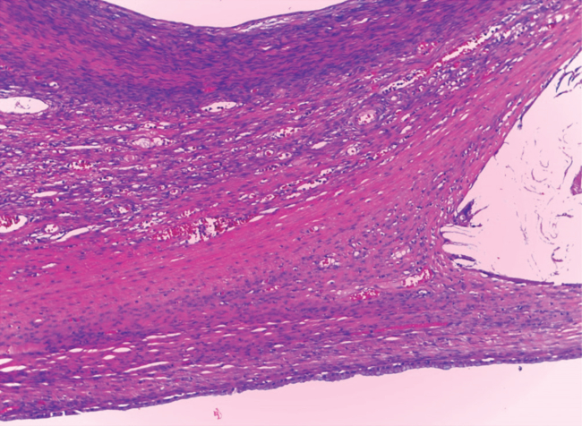
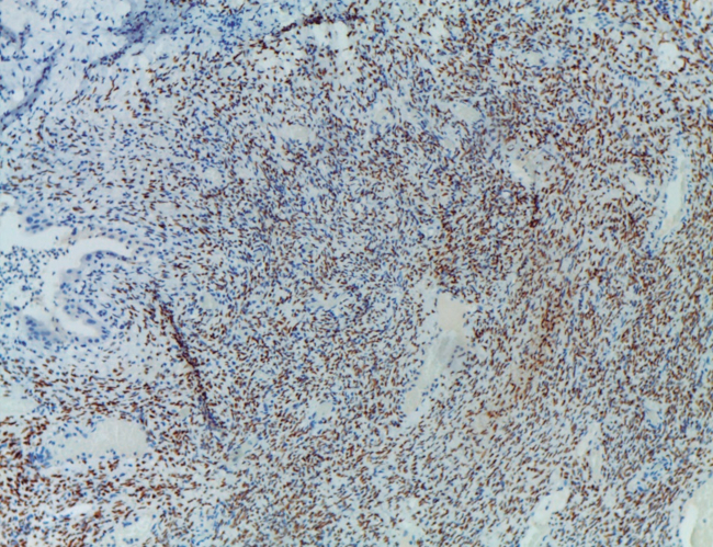
Se recibió resultado de anatomía patológica compatible con neoplasia quística mucinosa. En la figura 1 se muestra la imagen macroscópica de la lesión quística multiloculada con superficie interna lisa. En la figura 2 podemos observar la pared revestida por epitelio mucinoso y estroma ovárico. En la figura 3 se observa la inmunomarcación positiva para receptores de estrógeno y progesterona.



Las lesiones hepáticas focales son una causa frecuente de consulta, por lo que es necesario realizar un diagnóstico certero en el menor tiempo posible para así poder dirigir el tratamiento. El enfoque debe ser multidisciplinario ya que la resolución de estos casos muchas veces requiere intervención quirúrgica.1, 2
Los estudios por imágenes son, junto con una detallada anamnesis, el método complementario más importante para la valoración y el diagnóstico diferencial de estas lesiones.
Las lesiones hepáticas focales se clasifican en sólidas y quísticas. Dependiendo de sus características imagenológicas, estas últimas se subdividen en simples y complejas. Las imágenes focales quísticas simples se caracterizan por ser menores a 1 cm (pueden presentar diámetros de hasta 30 cm), de contenido homogéneo y paredes bien definidas. En contraposición, los quistes complejos presentan contenido heterogéneo, tabiques internos, engrosamiento de la pared, lobulaciones, y refuerzo posterior a la inyección de contraste.2
Ante la presencia de una lesión quística compleja, se plantean como diagnósticos diferenciales el quiste hidatídico, el quiste seroso y la neoplasia quística mucinosa. En segunda instancia se encuentran el quiste simple complicado y el absceso hepático.
Los tumores quísticos mucinosos son lesiones neoplásicas benignas poco frecuentes. Clínicamente se manifiestan de forma inespecífica e insidiosa en relación con el grado de invasión y el efecto de masa tumoral, siendo el dolor abdominal el síntoma más frecuente. Si bien el diagnóstico definitivo es anátomo-patológico, los estudios de imágenes tienen un gran valor. El gold standard en esta categoría es la resonancia magnética nuclear, aunque, debido a su mayor accesibilidad y disponibilidad, la ecografía y la tomografía contrastada se emplean con más frecuencia. Al análisis anatomopatológico se reconoce un epitelio de tipo columnar que puede o no ser secretor de mucina.3
El tratamiento de esta lesión es quirúrgico, dada la posibilidad de progresión a la malignidad y la aparición de recidivas en caso de escisión incompleta, y se indica en los casos sintomáticos. Los procedimientos de elección son la enucleación y la resección hepática por sobre la marsupialización, el drenaje interno, la aspiración y la resección parcial.3


