Relato de Caso
Received: 16 February 2024
Accepted: 02 March 2024
DOI: https://doi.org/10.5935/scd1984-8773.2025170348
RESUMO: Dados histológicos das zonas de tratamento microscópico são importantes para estudar a segurança do procedimento e a eficácia do tratamento. Ainda não existem estudos envolvendo o plasma com outras técnicas. Selecionamos duas áreas no abdome de um paciente, denominada área A e área B, aplicando o plasma de baixa temperatura e o laser de CO2 fracionado. Logo após, foram realizadas biopsias. Quando utilizada em regiões mais finas de pele, a tecnologia de plasma garantiria menos complicações durante o período de aplicação, recuperação mais rápida e menos efeitos colaterais. No entanto, mais estudos são necessários para confirmar nossos achados.
Palavras-chave: Terapia a Laser, Histologia Comparada, Regeneração da Pele por Plasma, Lasers de Gás.
ABSTRACT: Histological data on microscopic treatment zones are essential for evaluating procedure safety and effectiveness. To date, no studies have histologically compared low-temperature plasma with other techniques. In this study, two square areas on the patient's abdomen, referred to as area A and area B, were with low-temperature plasma and fractional CO2 laser, respectively. A biopsy was taken immediately after treatment. When applied to thinner skin regions, plasma technology appears to result in fewer complications, a faster recovery, and fewer side effects during the application period. However, further studies are needed to confirm these findings.
Keywords: Laser Therapy, Histology Comparative, Plasma Skin Regeneration, Gas Lasers.
INTRODUÇÃO
Um dos tratamentos mais utilizados na prática dermatológica é o laser de CO2 (CO2L). Devido a complicações associadas ao seu uso, surgiram os lasers fracionados não ablativos (LFNAs).1,2 Após os LFNAs, foram desenvolvidos os lasers fracionados ablativos (LFAs). Os LFAs emitem feixes estreitos e de alta energia que destroem colunas de tecido e, ao redor dessas colunas ablacionadas, forma-se um anel adjacente de dano térmico, também chamado de zonas microscópicas de tratamento (ZMTs).3 Entre as ZMTs, encontram-se colunas de tecido não lesionado, que contribuem para a resposta clínica ao procedimento.
A retração da pele e a neocolagênese observadas no LFA resultam de dois efeitos: ablação e lesão.3,4 Os LFAs permitem maior controle sobre a profundidade de ação, danos térmicos mais seletivos e, consequentemente, uma redução significativa dos efeitos colaterais.1
Além disso, na última década, desenvolveu-se o plasma medicinal, cujo principal componente é o uso do plasma de baixa temperatura (PBT), abaixo de 40 °C, como uma poderosa ferramenta para aplicações biomédicas, sendo adequado principalmente para a terapia de tecidos delicados.5 O PBT tem sido avaliado no tratamento de condições com indicação de retração tecidual, como a síndrome da blefaroquíase, flacidez tecidual e cicatrizes, além de mostrar eficácia no tratamento de neoplasias cutâneas e infecções virais e relacionadas a biofilmes.5
Sabemos que as informações histológicas sobre as dimensões das ZMTs em termos de profundidade e diâmetro da ablação, coagulação e necrose causadas pela ação do método são muito importantes para estudar a segurança do procedimento e sua eficácia no tratamento, bem como para saber combinar diferentes tipos de procedimentos de acordo com a necessidade de intervenção de cada paciente.6 Ainda não há estudos envolvendo o PBT, nessa proposta de comparação histológica, com outras técnicas. Para Baroni, em comparação com os tratamentos convencionais de radiofrequência e ablativos, o uso de PBT predispõe a uma melhor cicatrização e resultados estéticos finais.
MÉTODOS
O objeto de estudo é uma paciente que consentiu em participar do estudo e foi programada a realização de uma abdominoplastia em 3 meses. Foram selecionadas duas áreas quadradas no abdome, medindo aproximadamente 4 cm2, denominadas área A e área B, que receberam, respectivamente, aplicação de PBT e CO2L fracionado.
Na área A, o PBT foi aplicado com um aparelho Surgical Derm da plataforma SOLON® (LMG - Laser; Medical Group Ltda.; Guaxupé, MG, Brasil). Na área B, foi aplicado o CO2L fracionado Dual Deep® (Lutronics, Gyeonggi-do, Coreia do Sul) com os seguintes parâmetros: comprimento de onda de 10.600 nm, energia de pulso de 50 mJ, modo estático.
Imediatamente após a aplicação das tecnologias, foi realizada uma biopsia com uma punção de 4 mm. Os dois fragmentos foram fixados por imersão em uma solução de formaldeído a 10% antes de serem processados para microscopia de luz por desidratação, embebidos em parafina e seccionados. Utilizaram-se colorações de hematoxilina e eosina para visualização e análise da profundidade e do diâmetro do canal de coagulação. Os cortes histológicos foram analisados por microscopia de luz com aumento de 100 vezes e fonte de luz polarizada, usando um microscópio trinocular Olympus Bx41 acoplado a uma câmera Olympus C-35DA-2.
RESULTADOS
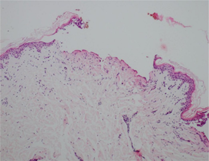
A análise histopatológica da área A (Figura 1), que foi submetida a PBT, apresentou um trecho central de figuração com 0,6 mm de diâmetro e profundidade de 0,15 a 0,25 mm. A profundidade foi medida sem considerar a epiderme. A derme papilar ao redor da área descrita apresenta edema com redução da quantidade de tecido elástico, o que foi confirmado pela coloração de Verhoeff. A coloração de Tricrômio de Masson não levou a achados específicos.

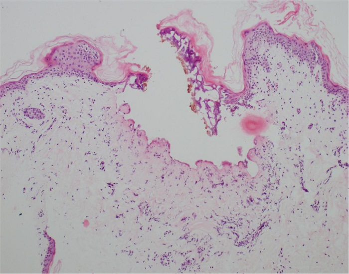
Na área B (Figura 2), observou-se a presença de duas pequenas áreas de figuração de dimensões semelhantes. Uma delas, em localização excêntrica, foi mais bem observada, medindo de 0,13 a 0,15 mm de diâmetro e 0,5 mm de profundidade, sem considerar a epiderme. Na derme papilar circundante, há uma leve redução na quantidade de tecido elástico.

DISCUSSÃO
Desde a primeira descrição, o CO2L ganhou notoriedade considerável no campo estético, estimulando a neocolagênese dependendo da quantidade de calor fornecida e da profundidade de sua penetração dérmica e epidérmica.7,8 Além disso, quanto mais longa a coluna de ablação, maior o estímulo à remodelação dérmica nas regiões mais profundas da cicatriz, resultando em melhores resultados no tratamento de linhas finas, cicatrizes de acne e pele fotodanificada.9,10 A energia de pulso fracionada do CO2L tem sido proposta como um fator crítico na determinação da extensão e profundidade da ablação, do dano térmico e da remodelação do colágeno.11,12 Baumann et al. concluíram que as diferenças nas propriedades das zonas ablativas não são diretamente proporcionais à quantidade total de energia aplicada.12
Assim, são interessantes os estudos que avaliam as colunas de ablação resultantes de diferentes métodos terapêuticos. Arisa & Ortiz et al.2 demonstraram maiores colunas de ablação após o tratamento com CO2L fracionado quando comparado ao método cirúrgico. A maior profundidade de ablação resultou em maior retração da pele, com melhores resultados estéticos finais nas cicatrizes.4 Em contrapartida, a tecnologia PBT tem ganhado grande visibilidade, principalmente na blefaroplastia não invasiva. Sua ação é induzir a expressão de genes relevantes, como o colágeno tipo I, os fatores de crescimento transformadores (TGF beta 1 e 2) e a alfa actina do músculo liso (alfa-SMA). O tratamento com PBT desencadeia uma ação coordenada de fatores de transcrição conhecidos por serem importantes na cicatrização de feridas, estimulando a reepitelização, a angiogênese e a oxidação da camada lipídica.13
A faísca de PBT resultante sublima as camadas superficiais da pele sem causar danos térmicos elevados por meio da coagulação dos vasos dérmicos, aquecendo de forma controlada. A energia é concentrada em pequenas áreas (1 mm de diâmetro), agindo com cuidado e precisão nos tecidos, evitando danos às camadas mais profundas.14
Com base em nossas descobertas, observamos uma variação nas medidas das colunas de coagulação, em que o diâmetro alcançado pelo PBT foi aproximadamente quatro vezes maior do que o alcançado com o CO2L. No entanto, o CO2L atingiu uma profundidade de ablação duas vezes maior que a do PBT. Considerando regiões de baixa espessura dérmica, como a pálpebra, acreditamos que essa profundidade menor e a maior cobertura da superfície em diâmetro tenham contribuído para a popularização do uso do PBT na blefaroplastia não cirúrgica. Isso nos leva a pensar que as diferenças histológicas são fatores que contribuem para que essas tecnologias apresentem possibilidades individualizadas e complementares na indicação terapêutica.
Segundo Baroni, as vantagens do PBT são a alta precisão, o curto tempo de operação, a ausência de sangramento, o menor dano a outros tecidos, a rápida formação da camada de proteção pós-operatória, a rápida cicatrização da superfície da ferida, o retorno imediato à atividade normal, com ausência de efeitos indesejáveis.14 Observamos que, quando utilizada em regiões de pele mais fina, por proteger as camadas mais profundas e promover um aquecimento mais preciso e controlado, o PBT garantiria menos complicações durante o período de aplicação, uma recuperação mais rápida e com menos efeitos colaterais quando comparado ao CO2L.
No entanto, para a confirmação de nossos achados, são necessários mais estudos que promovam a comparação histológica entre as ZMTs dessas técnicas associadas aos seus resultados.
CONCLUSÃO
Estudos que comparam camadas de ablação de CO2L associam maior profundidade a melhores resultados. Entretanto, faltam estudos que comparem essas camadas com o PBT. Inferimos que o maior diâmetro associado à menor profundidade da coluna de ablação são características que justificam o uso do PBT, principalmente em regiões de pele mais delicada, garantindo menos intercorrências no intra e pós-procedimento, recuperação mais rápida e excelentes resultados estéticos. No entanto, são necessários mais estudos para comprovar essa relação.
REFERÊNCIAS:
Costa FB, El Ammar ABPC, Campos VB, Kalil CLPV. Complications in laser dermatologic surgery. Part II: fractional and non-fractional ablative laser and fractional non-ablative laser. Surg Cosmet Dermatol 2011;3(2):135-46.
Pozner JN, DiBernardo BE. Resurfacing a laser. Clin Plast Surg. 2016;43(3):515-25.
Franck P, Henderson PW, Rothaus KO. Basics of lasers. Clin Plast Surg. 2016;43(3):505-13.
Ortiz AE, Goldman MP, Fitzpatrick RE. Ablative CO2 lasers for skin tightening: traditional versus fractional. Dermatol Surg. 2014;(40 Suppl)12:S147-51.
Duarte S, Panariello BHD. Comprehensive biomedical applications of low temperature plasmas. Arch Biochem Biophys. 2020;693:108560.
DeBruler DM, Blackstone BN, Baumann ME, McFarland KL, Wulff BC, Wilgus T, et al. Inflammatory responses, matrix remodeling, and re-epithelialization after fractional CO2 laser treatment of scars. Lasers Surg Med. 2017; 49(7), 675–685.
Bentkover SH. Plasma skin resurfacing: personal experience and long-term results. Facial Plast Surg Clin North Am. 2012; 20(2):145–162.
Omi T, Numano K. The role of the CO2 laser and fractional CO2 laser in dermatology. Laser Ther. 2014; 23(1):49–60.
Tierney EP, Hanke CW, Petersen J. Ablative fractionated CO 2 laser treatment of photoaging: a clinical and histologic study. Dermatologic Surg. 2012; 38(11):1777–1789.
Anderson RR, Donelan MB, Hivnor C, Greeson E, Ross EV, Shumaker PR, et al. Laser treatment of traumatic scars with an emphasis on ablative fractional laser resurfacing: consensus report. JAMA Dermatol. 2014;150:18793.
Schmitt L, Huth S, Amann PM, Marquardt Y, Heise R, Fietkau K, et al. Direct biological effects of fractional ultrapulsed CO2 laser irradiation on keratinocytes and fibroblasts in human organotypic full-thickness 3D skin models. Lasers Med Sci. 2018;33(4):765-772.
Baumann ME, Blackstone BN, Malara MM, Clairmonte IA, Supp DM, Bailey JK, et al. Fractional CO2 laser ablation of porcine burn scars after grafting: is deeper better? Burns. 2020;46(4):937-948.
Gan Lu, Jiang J, Duan JW, Wu XJZ, Zhang S, Duan XR, et al. Cold atmospheric plasma applications in dermatology: a systematic review. J Biophotonics. 2021;14(3):e202000415.
Baroni A. Non - surgical blepharoplasty with the novel plasma radiofrequency ablation technology. Skin Res Technol. 2020; 26(1):121-124.
Notes
Author notes
Correspondência: Ana Gabriella Bandeira Freire Andrade E-mail: anagabriellabandeira@gmail.com
Conflict of interest declaration