CARTAS CIENTÍFICAS
Evaluación con ecocardiografía 2D y 3D de una arteria coronaria con trayecto retroaórtico
La anomalía de origen y trayecto de las arterias coronarias más frecuente es la emergencia de la arteria circunfleja (Cx) desde el seno de Valsalva derecho o no coronariano, con un trayecto retroaórtico (con una prevalencia de 0,39%). La mayoría de las veces se trata de una anomalía aislada y es muy rara su asociación con otras anomalías congénitas. 1
El trayecto retroaórtico de una arteria coronaria (TRAC) en el ecocardiograma se muestra como una imagen anecoica con doble pared ecogénica, que transcurre entre la aorta y las aurículas. Se debe visualizar en más de un plano para descartar un artificio. 2
El TRAC suele ser un hallazgo incidental en el ecocardiograma, y la arteria Cx la más involucrada; con menor frecuencia puede tratarse de la arteria coronaria derecha o de la arteria coronaria izquierda por lo que es importante hacer un análisis detallado del origen y trayecto de todos los vasos.
El origen anómalo y trayecto retroaórtico de la arteria Cx se considera una anomalía benigna. Esto ha sido cuestionado por el reporte de algunos casos de infarto de miocardio o de paro cardíaco en individuos de mediana edad sin factores de riesgo coronarios y sin placas ateromatosas. 3
Respecto de las técnicas de imágenes, el ecocardiograma 2D (ETT 2D) es clave como herramienta diagnostica inicial especialmente en jóvenes con buena ventana acústica. Recientemente, se ha publicado la utilidad del ecocardiograma transtorácico 3D (ETT 3D) para evaluar el origen y trayecto de las arterias coronarias. El ETT 3D es un procedimiento no invasivo, rápido y el cual no proporciona irradiación a los sujetos estudiados. La angiotomografía coronaria se considera el método de elección para confirmar el diagnóstico, evaluar características anatómicas de alto riesgo y la presencia de placas asociadas. 4) (5
Acerca de las pruebas de provocación de isquemia, se indica eco estrés con ejercicio a alta carga, especialmente en individuos asintomáticos que practican actividad física de alta exigencia, o en las anomalías coronarias con características anatómicas de alto riesgo (origen en hendidura, ángulo del origen menor a 45°, trayecto intramural o enfermedad aterosclerótica asociada). Las pruebas de provocación de isquemia tienen menor sensibilidad que en la enfermedad coronaria obstructiva, por lo que un estudio negativo no descarta la posibilidad de evento isquémico si el individuo presenta características anatómicas de alto riesgo. 6
En el caso que presentamos, evaluamos una paciente femenina de 69 años, con hipertensión arterial grado I controlada que realiza actividad física de tipo aeróbico de leve a moderada intensidad tres veces a la semana con adecuada tolerancia.
El examen físico y el electrocardiograma fueron normales.
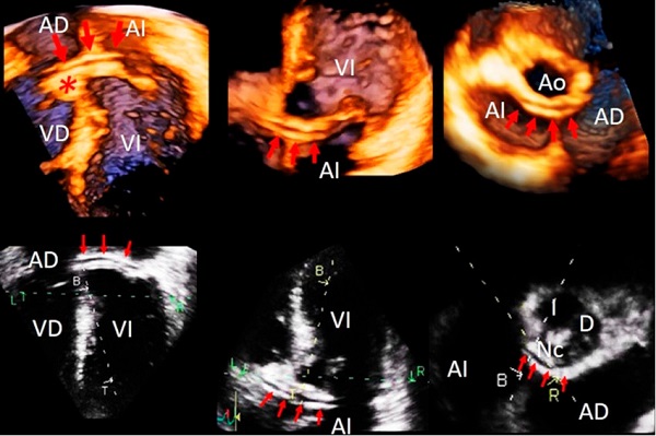
En el ETT 2D desde vistas apicales observamos una imagen con las características de TRAC. En el eje corto paraesternal izquierdo color se visualizó un flujo sistodiastólico de baja velocidad, cercano a la comisura entre el seno derecho y no coronariano (Figura 1A, no se pudo obtener señal espectral).
Se decidió completar el estudio con ecocardiograma transtorácico 3D (ETT 3D). Se midió el volumen de la raíz aórtica (Figura 1B) y en el análisis de reconstrucción multiplanar se pudo visualizar el origen normal de la arteria coronaria derecha (Figura 1C, flecha blanca) e izquierda (Figura 1B, D, flecha amarilla) desde sus respectivos senos de Valsalva. Con estos datos presumimos que la arteria con trayecto retro aórtico sería la arteria Cx.
Se adquirió un volumen completo desde la vista apical de 4 cámaras. En el análisis postproceso se pudo seguir el trayecto del vaso (Figura 2, panel superior) y se confirmó en varios planos que se trataba de una arteria coronaria y no de un artificio (Figura 2, panel inferior).
Se realizó eco estrés con ejercicio, que resultó suficiente, sin evidencias de isquemia (92% de la frecuencia máxima teórica).
En virtud de que se trata de una paciente que realiza ejercicio recreativo consideramos los estudios realizados suficientes para continuar con su actividad física habitual.
En nuestro caso el ETT 3D nos aportó datos adicionales al ETT 2D (se pudo consignar el origen de todas las arterias, confirmar el trayecto retroaórtico del vaso en planos no accesibles para el ETT 2D, evaluar la relación del vaso con estructuras adyacentes, etc).


Consideramos que el ETT 3D podría a futuro complementar al ETT 2D como herramienta inicial de diagnóstico, para luego evaluar anatomía y estratificación de riesgo con una angiotomografía coronaria.
(Véanse formularios de conflicto de intereses de los autores en la web/Material suplementario).
Consideraciones éticas: No aplican.

