Resumen: En la actualidad no existe una herramienta que permita diferenciar pacientes con cáncer de próstata (CaP) de mal pronóstico de aquellos con enfermedad indolente que sólo requieren un seguimiento controlado de la enfermedad. Debido a la coexistencia de diferentes focos premalignos y malignos en el CaP, el entendimiento sobre el proceso de carcinogénesis requiere de un mejor conocimiento. Actualmente, la heterogeneidad morfológica en CaP es evaluada con la puntuación de Gleason, la cual está fuertemente relacionada con el pronóstico de la enfermedad, sin embargo, esto es insuficiente por lo que se trabaja actualmente en identificación de alteraciones moleculares que permitan identificar subtipos que puedan establecer de manera más precisa el pronóstico del paciente. Este estudio preliminar buscó la estandarización del método de cuantificación en muestras prostáticas de FFPE de la expresión de los transcritos de posibles biomarcadores, como los oncogenes SPINK-1 y EZH2, el supresor tumoral NKX3.1, en conjunto con la determinación de la presencia/ausencia del gen de fusión TMPRSS2:ERG, ya que estos transcritos se encuentran involucrados en aparentes eventos excluyentes de la evolución natural del CaP, que apoyan la posibilidad de una clasificación molecular para esta enfermedad.
Palabras clave:expresión génicaexpresión génica, neoplasia intraepitelial prostática neoplasia intraepitelial prostática, neoplasias de próstata neoplasias de próstata, progresión de la enfermedad progresión de la enfermedad, puntuación de Gleason puntuación de Gleason.
Abstract: At present doesn't exist tool to differentiate patients with prostate cancer (PCa) of poor prognosis of those with indolent disease that only require a controlled monitoring of the disease. Because of the coexistence of different premalignant and malignant foci in CaP, the understanding of the carcinogenesis process requires a better understanding. Currently, the morphological heterogeneity in PCa is evaluated with Gleason score, which is closely related to the prognosis of the disease, but this is insufficient so it is currently to work on identifying molecular alterations to identify subtypes that can establish more precisely the patient's prognosis. This preliminary study aimed to standardization of the method of quantification in prostatic samples of FFPE of expression of transcripts of possible biomarkers, such as the oncogenes, SPINK-1 y EZH2, the tumour suppressor, NKX3.1, together with the determination of the presence/absence of gene fusion, TMPRSS2:ERG, being that these transcripts are involved in apparent exclusive events of the natural evolution of PCa, that support the possibility of a molecular classification for this disease.
Keywords: disease progression, gene expression, Gleason score, prostate neoplasms, prostatic intraepithelial neoplasia.
Artículos de Investigación
ESTANDARIZACIÓN DEL PROTOCOLO PARA LA DETECCIÓN DE LAS FUSIONES TMPRSS2:ERG Y DE LA EXPRESIÓN DE LOS GENES EZH2, SPINK-1 y NKX3.1 EN CÁNCER DE PRÓSTATA (CaP)
Protocol Standardization for Detection of TMPRSS2 Fusions: ERG and Gene Expression of EZH2, SPINK-1 and NKX3.1 in Prostate Cancer (PCa)

Recepción: 11 Mayo 2015
Revisado: 12 Enero 2016
Aprobación: 01 Junio 2016
Citation/Citar este artículo como: Segura Moreno YY, Serrano López ML. Estandarización del protocolo para la detección de las fusiones TMPRSS2:ERG y de la expresión de los genes EZH2, SPINK-1 y NKX3.1 en cáncer de próstata (CaP). Acta biol. Colomb. 2016;21(3):533-542. DOI: https://doi.org/10.15446/abc.v21n3.50477
De acuerdo al informe de la Agencia Internacional para la Investigación en Cáncer (IARC, por sus siglas en inglés), a nivel mundial el cáncer de próstata (CaP) es el segundo tipo de cáncer con mayor incidencia y la quinta causa de muerte por cáncer en hombres. En Colombia, el CaP es el cáncer con mayor incidencia y la segunda causa de mortalidad por cáncer en hombres (IARC, 2012). En la práctica clínica se cuenta con herramientas para el seguimiento y pronóstico del CaP como la medición sérica de PSA, el sistema TNM de estadificación y el puntaje de Gleason; sin embargo, no existe una herramienta que permita diferenciar pacientes con CaP de mal pronóstico de aquellos que sólo requieren un seguimiento controlado de la enfermedad (IARC, 2012).
La puntuación de Gleason es un sistema de clasificación para el CaP basado en el patrón histológico del tumor asociado a su grado de diferenciación celular. Debido a que el CaP se presenta de manera multifocal, con diferentes grados de diferenciación, el Gleason se define como la suma de los dos patrones más comunes (Epstein et al., 2005). Este sistema, debido a la heterogeneidad tanto histopatológica como molecular del tumor, es muy usado a nivel clínico pero no es suficiente para determinar el pronóstico de esta enfermedad.
En el CaP, como en otros tipos de cánceres, se estudian marcadores moleculares que permitan establecer subtipos que contribuyan a predecir la progresión de la enfermedad (Lapointe et al., 2007; Mehra et al., 2007; Tomlins et al., 2007; Alumkal et al., 2012; Barbieri et al., 2012; Börno et al., 2012). En este ámbito, se ha estudiado el papel de posibles biomarcadores como el supresor tumoral NKX3.1, el gen de fusión TMPRSS2:ERG y los oncogenes, SPINK-1 y EZH2, en aparentes eventos excluyentes en la evolución de la enfermedad, que podrían estar representando eventos tempranos y divergentes que podrían direccionar el curso de la enfermedad (Barbieri et al., 2012).
La pérdida de expresión de NKX3.1 y el incremento de la expresión de EZH2 se han asociado con CaP de mal pronóstico (Bowen et al., 2000; Varambally et al., 2002; Gurel et al., 2010). En la mayoría de los CaP se han identificado fusiones recurrentes entre el gen regulado por andrógenos, TMPRSS2 y los genes que codifican para factores de transcripción de la familia ETS, principalmente ERG. Las fusiones TMPRSS2-ERG que conducen a una sobreexpresión de ERG, están presentes en 50 % de los casos y se consideran un evento temprano en la carcinogénesis, presente en una proporción de las lesiones preneoplásicas denominadas Neoplasia Intraepitelial Prostática de Alto Grado (HGPIN por sus siglas en inglés) (Attard et al., 2008; Park et al., 2010). El inhibidor de serina peptidasa, Kazal tipo 1 (SPINK1) es una proteína secretada que se sobreexpresa específicamente en un subconjunto de cánceres con ausencia de la fusiones TMPRSS2-ERG (Paju et al., 2007; Tomlins et al., 2008; Leinonen et al., 2010; Leinonen et al., 2013; Lippolis et al., 2013) y se asocia con una disminución de la supervivencia (Ateeq et al., 2011).
Bajo este panorama, este estudio busco estandarizar los protocolos para detectar el nivel de expresión de los genes NKX3.1 y EZH2, e identificar la presencia de fusiones cromosómicas TMPRSS2-ERG en muestras de tejido fresco congelado y tejido fijado en formalina y embebido en parafina (FFPE) de CaP, que permitan realizar estudios futuros, con el fin de evaluar su potencial clínico en el pronóstico de esta enfermedad.
Se obtuvieron muestras de tejido fresco congelado conservado a -70 °C en gel Tissue-Tek (Ted Pella Inc., USA/ Canadá) provenientes de prostatectomías radicales de dos pacientes diferentes con diagnóstico de CaP que comprometen entre el 2-3 % del material procesado, con puntuación de Gleason 3+3, del Banco Nacional de Tumores Terry Fox (BNTTF) del Instituto Nacional de Cancerología de Colombia.
Las muestras FFPE asociadas a diferentes etapas de progresión del CaP de un mismo paciente fueron tomadas de las obtenidas en el proyecto: "Exploración de potenciales biomarcadores predictores del pronóstico en pacientes con diagnóstico de Cáncer de Próstata (CaP)", del cual este proyecto forma parte y que cuenta con la aprobación del Comité de Ética e Investigaciones del Instituto Nacional de Cancerología (INC).
De este mismo paciente se obtuvieron cuatro muestras de tejido: dos focos tumorales del Gleason 3 y un foco del Gleason 4, tejido con presencia de HGPIN y tejido normal con hiperplasia prostática benigna (HPB), definidos según criterio del patólogo con base a criterios unificados, para la posterior extracción de RNA y sus respectivos análisis.
Esta línea celular fue derivada de CaP independiente de andrógenos, es negativa para las fusiones y expresa de EZH2, por lo cual se empleó como control negativo durante la estandarización (Mertz et al., 2007; Börno et al., 2012; Shin y Kim, 2012). Esta línea fue amablemente cedida por el profesor Fabio Aristizábal de la Universidad Nacional de Colombia. Las condiciones de cultivo fueron 5 % de CO2 a 37 °C, en medio DMEM (Dulbecco/Vogt modified Eagle's minimal essential medium) suplementado con 10 % de suero fetal bovino y un coctel del 1 % compuesto de penicilina, estreptomicina y anfotericina B.
La extracción RNA se realizó a partir de 4 mg de tejido fresco y 200 μL de sangre total, utilizando el estuche comercial MasterPure™ Complete DNA and RNA Purification (Epicentre, Madison, EUA). Para las muestras de tejido FFPE, este procedimiento se realizó a partir de siete punch de las zonas seleccionadas por microdisección y se empleó el estuche RecoverAll™ Total Nucleic Acid Isolation (Ambion, Life Technologies, CA, EUA). En el caso de la línea celular, la extracción del RNA se hizo a partir de 1x106 células empleando el estuche comercial SV Total RNA Isolation System (Promega, Madison, Wisconsin, EUA). Para todas las extracciones se tomaron en cuenta las especificaciones de los productores. Posteriormente, mediante el uso del fluorómetro Qubit® 2.0 (Invitrogen, Waltham, Massachusetts, USA) se determinó la cantidad de los ácidos nucleicos.
A partir del RNA extraído se llevó a cabo una RT-PCR en un solo paso con el uso del estuche comercial modificado KAPA SYBR FAST One-Step qRT-PCR (Kapa biosystems, Wilmington, Massachusetts, USA), en un termociclador PTC-200 PCR System (MJ Research, Reno, Nevada, EUA), empleando los iniciadores descritos en la Tabla 1, para las fusiones 1 y 2 de TMPRSS2:ERG, EZH2, NKX3.1, SPINK-1. Se utilizaron 10μl de KAPA SYBR FAST qPCR Master Mix (2X), 0,4μl de KAPA RT Mix (50X), 2μl de cada par de iniciadores, 4μl de muestra de RNA (1ng/μl) y 1,6μl de agua libre de nucleasas para la RT-PCR. Las condiciones térmicas empleadas fueron las establecidas por los proveedores, con excepción de la temperatura de alineamiento para cada transcrito (Tabla 1).

Los diferentes amplímeros fueron verificados en geles de agarosa al 2,5 % con bromuro de etidio, excepto para la fusión 2 que se corrió en un gel de agarosa al 1 %. La determinación de la presencia/ausencia de las fusiones TMPRSS2:ERG fue realizada por la visualización de los amplímeros correspondientes en el gel. Como genes de expresión constitutiva se usaron UBC y GAPDH.
Para la construcción de los estándares, se utilizó el cDNA amplificado con RT-PCR de la línea PC3, para EZH2, UBC y GAPDH, el cDNA de sangre para SPINK-1 y con cDNA de tejido normal de próstata para NKX3.1., purificado mediante el estuche comercial Illustra GFX PCR DNA and Gel Band Purification (GE Healthcare, Little Chalfont, United Kingdom) y se cuantificó mediante el uso del fluorómetro Qubit® 2.0 (Invitrogen, Waltham, Massachusetts, USA).
El cálculo del número de copias del stock de cDNA se realizó con la calculadora online de URI-Genomics and Sequencing-Center, 2004 ( http://cels.uri.edu/gsc/cndna.html ).
Para la curva de calibración se realizaron siete disoluciones seriadas a partir del stock de cDNA (Applied-Biosystems, 2003; Mohamed et al., 2004; Wacker y Godard, 2005; Al-Shanti et al., 2009; Wen et al., 2010). Todas las curvas comprenden un rango variable comprendidoentre 1,00E7a 1,00E1 de número de copias/μL, buscando obtener una eficiencia < 3 y un error <0,2. Se utilizaron las mismas condiciones estandarizadas para la RT-PCR, usando el termociclador LightCycler® 480 Real-Time PCR (Roche, Basilea, Suiza), omitiendo el paso de activación de la retrotranscriptasa, ya que en este caso se estaba partiendo de cDNA.
Las muestras fueron analizadas en duplicado. El cálculo de la eficiencia, según el método utilizado en este estudio, a partir de la pendiente de la curva de calibración se da de acuerdo con la ecuación: E = 10 [-1/pendiente].
Finalmente, con las curvas estándar de EZH2, SPINK-1, NKX3.1 y UBC se cuantificaron los niveles de expresión de estos transcritos, por duplicado, empleando una concentración de RNA de 2ng/μL. Se realizó cuantificación absoluta y a partir de esta se realizó la cuantificación relativa normalizando por el método de Pffalf (Pfaffl, 2001), el cual utiliza la siguiente ecuación:

[Normalización básica, sin uso de calibrador]. Donde E corresponde a la Eficiencia de la RT-PCR, Ref es el gen de referencia, Targ es el gen blanco y el Calibrador es el tejido sano.
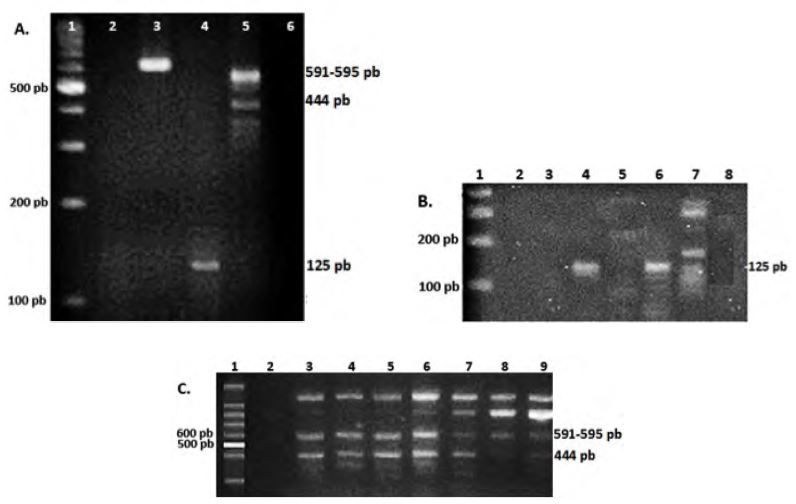
Inicialmente se evaluó la presencia de diferentes variantes transcripcionales de la fusión TMPRSS2:ERG, según el protocolo de Tomlins et al., (2005) (Tabla 1), en dos muestras de RNA extraído de tejido congelado realizando una RT-PCR con una concentración de iniciadores de 200 nM y una temperatura de anillamiento (Ta) de 60 °C. Cómo se observa en la Fig. 1A, las dos muestras fueron positivas para la fusión 2 (banda de 591 o 595 pb) y la muestra 2 fue positiva para la fusión 1 (banda de 125 pb), por lo que se tomó esta muestra como control positivo y la línea celular PC3 como el control negativo en la estandarización de la RT-PCR para la detección de dichas fusiones.

A. Amplificación de los dos tipos de fusiones en tejido fresco de CaP. 1: Marcador de peso molecular. 2: Blanco. Tejido tumoral #1: 3: Fusión 2 (591-595 pb y 444 pb). 4: Fusión 1 (125 pb). Tejido tumoral #2: 5. Fusión 2. 6: Fusión 1. B. Variación de la concentración de los iniciadores con una Ta de 61 °C para la fusión 1. 1: Marcador de peso molecular. 50 nM: 2: Control positivo (Tejido tumoral#1). 3: Control negativo (PC3). 100 nM: 4: Control positivo. 5: Control negativo. 150 nM: 6: Control positivo. 7: Control negativo. 8: Blanco. C. Variación de la Ta a una concentración de 150 nM de iniciadores para la fusión 2 (Tejido tumoral #1). 1: Patrón de peso molecular. 2: Blanco. 3: 65,1 °C. 4: 65,3 °C. 5: 65,5 °C. 6: 65,9 °C. 7: 66,8 °C. 8: 67,6 °C 9: 68 °C.
Debido a la presencia de múltiples bandas en la RT-PCR de las dos fusiones se realizaron variaciones en la Ta, entre 57 °C y 62 °C, y probando diferentes concentraciones de los iniciadores (50, 100 y 150 nM). Para la fusión 1, 61 °C y 100 nM son las condiciones óptimas para realizar su detección por RT-PCR (Fig. 1B).
Para la fusión 2 se ensayó un rango de Ta entre 62 y 68 °C y una concentración de iniciadores de 100 a 200 nM. Se encontró que la mejor amplificación se dio a una Ta de 65,5 °C y una concentración de iniciadores de 150 nM, aunque persisten las bandas de mayor tamaño (Fig 1C).
Con las condiciones determinadas en el tejido fresco se analizaron las muestras FFPE en las diferentes etapas de progresión de CaP (Figs. 2A y 2B). Aunque para la fusión 2 persisten algunas inespecificidades, al visualizar los resultados en un gel de agarosa al 1 % se pudo definir correctamente la banda obtenida en el control positivo. La adecuada extracción de RNA de todas las muestras fue confirmada por la expresión de los genes constitutivos UBC y GAPDH (Fig. 2C). Las muestras analizadas fueron negativas para dichas fusiones.

A. Fusión 1 (125 pb): 1. Marcador de peso molecular. 2. Blanco. 3. Control positivo. 4. Control negativo. 5. Tejido sano. 6. Tejido con HGPIN. 7. Tejido canceroso foco 1-Gleason 3. 8. Tejido canceroso foco 2-Gleason 3. 9. Tejido canceroso único foco-Gleason 4. B. Fusión 2 (591-595 pb y 444 pb): 1. Marcador de peso molecular. 2. Blanco. 3. Control positivo. 4. Control negativo. 5. Tejido sano. 6. Tejido con HGPIN. 7. Tejido canceroso foco 1-Gleason 3. 8. Tejido canceroso foco 2-Gleason 3. 9. Tejido canceroso único foco-Gleason 4. C. Expresión de UBC y GAPDH en RNA de muestras de FFPE. 1. Marcador de peso molecular. 2. Blanco. 3. Control positivo: PC3. 4. Tejido sano. 5. Tejido con HGPIN. 6. Tejido canceroso foco 1-Gleason 3. 7. Tejido canceroso foco 2-Gleason 3. 8. Tejido canceroso único foco-Gleason 4.
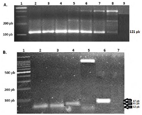
Se confirmó como ya se había mencionado, que PC3 expresa EZH2, y con el amplímero purificado de EZH2 y UBC, se realizaron las respectivas curvas de calibración. Debido a que la curva de fusión para EZH2 mostraba inespecificidades, se procedió a estandarizar la Ta, que inicialmente había sido de 60 °C, en un rango entre 60,9 °C y 70 °C, determinando que la mejor Ta para EZH2 es de 63 °C (Fig. 3A).

A. EZH2. 1: Marcador de peso molecular. 2: 60.9 °C. 3: 61.7 °C. 4: 63 °C. 5: 64.3 °C. 6: 66 °C. 7: 68.5 °C. 8: 70 °C. C. 9: Blanco. B. SPINK-1 y NKX3-1 con diferentes controles positivos. 1: Marcador de peso molecular. 2: SPINK-1 en sangre de control. 3: SPINK-1 en tejido de cáncer de próstata con Gleason 4. 4: GAPDH en PC3. 5: NKX3.1 en sangre. 6: NKX3.1 en tejido normal de próstata. 7: Blanco.
Con las condiciones iniciales, de 60 °C y 200 nM de iniciadores, para la RT-PCR de SPINK-1 y NKX3.1 se obtiene el producto esperado (Tabla 1). El RNA de sangre de un control y el de tejido de CaP son un buen control positivo para SPINK-1 y tan solo el RNA de tejido de próstata normal es un buen control positivo para NKX3.1, ya que en la de sangre del control se obtiene una banda de más de 1000 pb, que puede corresponder a contaminación genómica (Fig. 3B).
Con los amplímeros obtenidos se procedió a elaborar las respectivas curvas de calibración para qRT-PCR para los diferentes genes (Fig. 4). Para todos los casos se verificó la especificidad de las amplificaciones por qRT-PCR mediante la interpretación de las curvas de fusión.

A. UBC: rango de concentraciones entre 5.00E4 a 5.00E0 en número de copias. B. EZH2: rango de concentraciones entre 1.00E6 a 1.00E2 en número de copias. C. SPINK-1: rango de concentraciones entre 1.00E6 a 1.00E2 en número de copias. D. NKX3.1: rango de concentraciones entre 1.00E7 a 1.00E3 en número de copias.
Se realizó una cuantificación absoluta a partir de las curvas estándar del RNA de las mismas muestras a las cuales se les analizo el estado de fusión de TMPRSS2:ERG, las cuales fueron homogenizadas a una concentración final de 2ng/μL, y con los resultados de ésta cuantificación se obtuvieron los siguientes resultados para cuantificación relativa, usando el gen de referencia UBC (Tabla 2). En general, los datos muestran que en comparación con el tejido sano los niveles de EZH2 incrementan su expresión en todos los focos preneoplásicos y neoplásicos, mientras que la expresión de NKX3.1 y la de SPINK-1 incrementan su expresión en el foco preneoplásico pero disminuyen en los focos con CaP.

Clasificar los CaP de acuerdo a las alteraciones moleculares ayudaría a comprender la gran variabilidad de la enfermedad e identificar subtipos asociados con el riesgo (alto o bajo). El interés de trabajar con los biomarcadores planteados en este estudio proviene de la posible relación entre ellos en el desarrollo biológico de la enfermedad, postulada por algunos autores. Un estudio reciente ha demostrado que los altos niveles de ERG, resultantes de la fusión de TMPRSS2-ERG, reprimen la actividad de NKX3.1, un gen considerado como supresor tumoral, y plantea la posibilidad de un circuito de retro-alimentación en el CaP (Thangapazham et al., 2014). ERG reprime a NKX3.1 directamente mediante la unión a su promotor e indirectamente a través de la inducción de la EZH2, puesto que éste es un factor clave en el silenciamiento transcripcional del NKX3.1 (Kunderfranco et al., 2010).
En cuanto a SPINK-1, varios estudios han sugerido que sus niveles de mRNA se asocian a un subtipo agresivo asociado a recurrencia bioquímica con ausencia de TMPRSS2-ERG (Paju et al., 2007; Tomlins et al., 2008; Jhavar et al., 2009; Leinonen et al., 2010; Grupp et al., 2013; Leinonen et al., 2013; Lippolis et al., 2013), pero otros trabajos afirman que no hay relación (Grupp et al., 2013; Lippolis et al., 2013; Flavin et al., 2014). Este tipo de resultados resalta la importancia de realizar más estudios que logren determinar la utilidad clínica de estos biomarcadores.
En este estudio se estandarizó la técnica de RT-PCR para la identificación de la presencia/ausencia de las de fusión TMPRSS2:ERG según lo descrito en la Tabla 1. Aunque la técnica de FISH es la prueba de oro para la detección de las fusiones TMPRSS2-ERG, su uso tiene limitaciones. El FISH es costoso y dispendioso (Han et al., 2008; Pflueger et al., 2009), mientras que la RT-PCR ofrece algunas ventajas como un menor costo y su capacidad de discriminar diferentes variantes del gen de fusión TMPRSS2-ERG. Sin embargo, debido a su alta sensibilidad y la contaminación cruzada, la RT-PCR en ocasiones, puede dar resultados falsos positivos. Por lo tanto, RT-PCR es una técnica interesante como potencial complemento de FISH (Fernández-Serra et al., 2013).
Se encontró que las muestras FFPE podrían ser usadas para realizar estas pruebas de manera retrospectiva y realizar análisis sobre pronóstico. Aunque en el estudio de Tomlins et al., (2005), se utilizó el gen GAPDH para determinar de manera indirecta la cantidad e integridad del RNA y en este estudio además del GAPDH se utilizó el UBC, ambos asociados a estudios de CaP (Mori et al., 2008; Rose et al., 2005); el tamaño del amplímero de estos dos genes (87 y 133 pb, respectivamente) es inferior al esperado en la fusión 2, lo cual hace necesaria la confirmación de los casos negativos empleando un gen de referencia de mayor tamaño que demostrara que el RNA no está degradado.
Las diferentes bandas obtenidas de la amplificación de la fusión 2 (Fig. 1A y 1C; Fig. 2B), podrían corresponder con algunas de las ocho variantes detectadas por Wang et al., (2006) con el mismo par de iniciadores. El estudio de Tu et al., (2007), sugiere a partir de sus resultados y de la literatura (Clark et al., 2007; Yoshimoto et al., 2006), que las variantes: TMPRSS2 (exón 1)-ERG (exón 4) y TMPRSS2 (exón 1/2)-ERG (exón 5), coexisten en la mayoría de los casos, lo cual concuerda con lo encontrado en este estudio.
Debido a la multifocalidad del CaP, no es sencillo establecer subtipos moleculares ya que diferentes focos de un mismo paciente podrían presentar diferentes subtipos. Estudios anteriores han encontrado resultados discordantes, entre un 40 % a 50 %, con respecto a la presencia de la fusión TMPRSS2-ERG por FISH en diferentes focos de un mismo paciente, pero dentro de cualquiera foco el estado de este gen de fusión es homogéneo (Bastacky et al., 1995; Arora et al., 2004; Barry et al., 2007; Guo et al., 2009). Desde este enfoque, en este estudio es destacable el hecho que se hayan encontrado diferencias de expresión para EZH2 y NKX3.1 entre los dos focos de Gl 3, pero correspondencia entre un foco de Gl3 y el foco del Gl 4, lo cual sugiere una evolución molecular diferente en los distintos focos.
Este estudio contribuye a la implementación de metodologías para el estudio de la heterogeneidad del CaP y su aplicación clínica, para la discriminación entre los CaP indolentes y los agresivos mediante marcadores moleculares relacionados. Estos resultados son preliminares y se requiere de un estudio con un número significativo de pacientes con CaP para poder determinar la expresión de estos genes en el proceso de carcinogénesis.
Associate Editor: Argel Aguilar-Valles
A la Dirección de Investigación Sede Bogotá (DIB) por otorgar recursos para el desarrollo del presente trabajo. Al Grupo de Investigación en Biología del Cáncer y al Banco Nacional de Tumores Terry Fox (BNTTF) del Instituto Nacional de Cancerología por autorizar el uso de material y de sus instalaciones para la realización de este estudio.
mlserranol@unal.edu.co


A. Amplificación de los dos tipos de fusiones en tejido fresco de CaP. 1: Marcador de peso molecular. 2: Blanco. Tejido tumoral #1: 3: Fusión 2 (591-595 pb y 444 pb). 4: Fusión 1 (125 pb). Tejido tumoral #2: 5. Fusión 2. 6: Fusión 1. B. Variación de la concentración de los iniciadores con una Ta de 61 °C para la fusión 1. 1: Marcador de peso molecular. 50 nM: 2: Control positivo (Tejido tumoral#1). 3: Control negativo (PC3). 100 nM: 4: Control positivo. 5: Control negativo. 150 nM: 6: Control positivo. 7: Control negativo. 8: Blanco. C. Variación de la Ta a una concentración de 150 nM de iniciadores para la fusión 2 (Tejido tumoral #1). 1: Patrón de peso molecular. 2: Blanco. 3: 65,1 °C. 4: 65,3 °C. 5: 65,5 °C. 6: 65,9 °C. 7: 66,8 °C. 8: 67,6 °C 9: 68 °C.

A. Fusión 1 (125 pb): 1. Marcador de peso molecular. 2. Blanco. 3. Control positivo. 4. Control negativo. 5. Tejido sano. 6. Tejido con HGPIN. 7. Tejido canceroso foco 1-Gleason 3. 8. Tejido canceroso foco 2-Gleason 3. 9. Tejido canceroso único foco-Gleason 4. B. Fusión 2 (591-595 pb y 444 pb): 1. Marcador de peso molecular. 2. Blanco. 3. Control positivo. 4. Control negativo. 5. Tejido sano. 6. Tejido con HGPIN. 7. Tejido canceroso foco 1-Gleason 3. 8. Tejido canceroso foco 2-Gleason 3. 9. Tejido canceroso único foco-Gleason 4. C. Expresión de UBC y GAPDH en RNA de muestras de FFPE. 1. Marcador de peso molecular. 2. Blanco. 3. Control positivo: PC3. 4. Tejido sano. 5. Tejido con HGPIN. 6. Tejido canceroso foco 1-Gleason 3. 7. Tejido canceroso foco 2-Gleason 3. 8. Tejido canceroso único foco-Gleason 4.

A. EZH2. 1: Marcador de peso molecular. 2: 60.9 °C. 3: 61.7 °C. 4: 63 °C. 5: 64.3 °C. 6: 66 °C. 7: 68.5 °C. 8: 70 °C. C. 9: Blanco. B. SPINK-1 y NKX3-1 con diferentes controles positivos. 1: Marcador de peso molecular. 2: SPINK-1 en sangre de control. 3: SPINK-1 en tejido de cáncer de próstata con Gleason 4. 4: GAPDH en PC3. 5: NKX3.1 en sangre. 6: NKX3.1 en tejido normal de próstata. 7: Blanco.

A. UBC: rango de concentraciones entre 5.00E4 a 5.00E0 en número de copias. B. EZH2: rango de concentraciones entre 1.00E6 a 1.00E2 en número de copias. C. SPINK-1: rango de concentraciones entre 1.00E6 a 1.00E2 en número de copias. D. NKX3.1: rango de concentraciones entre 1.00E7 a 1.00E3 en número de copias.
