Resumen: La torsión uterina de un útero no grávido es rara. La mayoría de los casos documentados han ocurrido durante la gestación. Presentamos el caso de una paciente con una masa abdominal voluminosa sin contigüidad con el útero diagnosticada por ecografía. La laparotomía confirmó el diagnóstico de un quiste ovárico gigante torsionado asociado con torsión uterina.
Palabras clave:TorsiónTorsión, útero útero, quiste ovárico quiste ovárico.
Abstract: Torsion of non-gravid uterus is rare. Cases reported have occurred during pregnancy. We report a case of a patient with acute abdominal pain. The patient showed a voluminous mass situated in the abdomen and non contiguous to the uterus which was diagnosed by ultrasound scan. Laparotomy confirmed the diagnosis of a torsioned cystic ovarian mass associated to a uterine torsion.
Keywords: Torsion, uterus, ovarian, cyst.
Casos Clínicos
Torsión anexial y uterina en mujer postmenopáusica con quiste ovárico gigante
Adnexal and uterine torsion in a postmenopausal woman with a giant ovarian cyst
Recepción: 19 Diciembre 2017
Aprobación: 17 Abril 2018
La torsión uterina es una patología infrecuente en úteros no grávidos, pudiendo causar un daño isquémico irreversible en el útero con consecuencias fatales para la vida de la paciente. El diagnóstico preoperatorio es difícil debido a que es un cuadro poco frecuente y a que existe una mala correlación entre la clínica y los hallazgos de las pruebas de imagen. Debemos sospechar esta patología ante cuadros de abdomen agudo en mujeres con grandes miomas subserosos sésiles o, menos frecuentemente, con grandes masas anexiales. Presentamos el caso de una mujer postmenopáusica de 79 años que acude a nuestro servicio de urgencias ginecológicas por dolor abdominal agudo y que presenta un gran quiste abdominal.
Mujer de 79 años que acude a urgencias ginecológicas por dolor abdominal, vómitos y disquecia que comenzaron a las 24 horas de la realización de una RM abdominopélvica con contraste intravenoso (iv) para estudio de quiste ovárico. La paciente presenta los siguientes antecedentes: obesidad, secundípara, menopausia a los 50 años, prolapsos del compartimento anterior y posterior, colecistectomizada. Diagnosticada de quiste ovárico de 6 cm hace 1 mes. No alergias medicamentosas conocidas. Tratamiento habitual: ácido acetil salicílico.
A la exploración presenta prolapso de compartimento anterior y posterior de grado I, vagina y cérvix atróficos.
Al tacto bimanual se objetiva un abdomen globuloso, distendido y doloroso con signos de irritación peritoneal y ruidos hidroaéreos muy disminuidos, presenta una tumoración que ocupa pelvis y parte de abdomen de unos 20 cm. Se practica ecografía ginecológica vaginal y abdominal observándose masa sólido-quística que llega a reborde costal. La sospecha clínica es de torsión anexial.
El informe de la RM abdominopélvica con gadolinio iv (cortes axiales Spin Echo-SE potenciados en T1 y Fast Spin Echo potenciados en T2 sin gadolinio y cortes axiales SE potenciados en T1 con gadolinio) revela una voluminosa imagen quística multitabicada con nódulos murales, que ocupa casi la práctica totalidad del hemiabdomen izquierdo llegando a pelvis menor (fig. 1 y 2). No se aprecia realce de la lesión tras la inyección de contraste ni tampoco imagen clara de núcleo sólido. La lesión es sugestiva de cistoadenocarcinoma de ovario izquierdo. Se aprecia contenido hematometra en cavidad uterina.
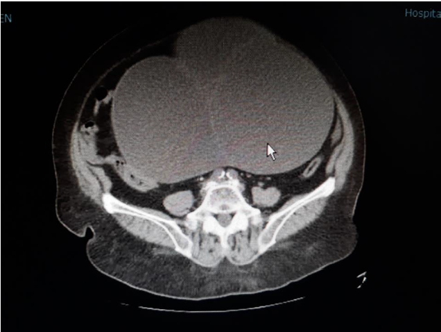
Se solicita de urgencia preoperatorio con hallazgo de leucocitosis leve sin neutrofilia y estudio de coagulación normal. En la TC de abdomen sin contraste iv (fig. 3) solicitada se aprecia una gran masa abdominopélvica que mide 26*19*16 cm (axial, longitudinal y anteroposterior), predominantemente quística, con septos en su interior, su polo inferior se encuentra orientado hacia hemipelvis derecha donde no es posible descartar dada la ausencia de contraste de la prueba que pueda tener un componente sólido. Ambos anejos se encuentran desplazados hacia la derecha e impresionan estar en contacto entre ellos sugiriendo torsión anexial. Hematometra. Mínima cantidad de líquido libre en la gotiera paracólica izquierda. No se objetivan otros hallazgos de interés.
Ante la sospecha clínica de torsión anexial se decide laparotomía exploradora objetivándose la torsión de una tumoración anexial derecha de 23 cm que, a su vez, produce una torsión uterina completa con 2 vueltas y torsión del pedículo anexial izquierda. Se procede a la detorsión de anejo derecho y anexectomía derecha con biopsia intraoperatoria con resultado de benignidad completando la cirugía con histerectomía total y anexectomía izquierda. El postoperatorio evolucionó sin complicaciones, pero a los 15 días acude de nuevo a urgencias con una eventración de asas de intestino delgado a través del tercio inferior de la herida realizándose una resección intestinal de 20 cm con anastomosis laterolateral y Friedrich de la herida. El cultivo de la herida reveló infección por Enterobacter cloacae por lo que se instaura tratamiento con ciprofloxacino. El resultado anatomopatológico final reveló que la tumoración ovárica correspondía a un cistoadenoma mucinoso con extensa hemorragia y el intestino resecado presentaba signos de necrosis.
La torsión uterina es una causa rara pero potencialmente fatal de abdomen agudo (1,2). Es infrecuente en úteros no grávidos, ocurriendo en este caso fundamentalmente en la peri-postmenopausia.
La posición uterina está determinada por los ligamentos anchos y uterosacros. La torsión uterina se define como la rotación del útero en su eje largo > 45º (3). Debido a que es más frecuente en úteros grávidos especialmente cuando el feto tiene una presentación anormal (4,5), no está bien documentado su clínica, pronóstico y mortalidad. En el caso de úteros no grávidos es más frecuente en los miomatosos (1) con miomas sésiles grandes ocurriendo la torsión al mismo tiempo que la del mioma. El punto de torsión uterina es normalmente el istmo (3,6). La causa de la torsión uterina es desconocida, pero se ha relacionado con una serie de factores predisponentes como pueden ser adherencias a la pelvis menor, miomas (el factor predisponente más importante) (7,8), anomalías entre cuerpo uterino y cérvix, cérvix largo, quistes/masas ováricas gigantes (9,10) y distrofia muscular de Duchenne (11, 12,13). Se ha sugerido mediante RM que una cicatrización pobre en el istmo en pacientes con cesárea anterior podría incrementar la longitud cervical y favorecer la torsión.
El diagnóstico preoperatorio es difícil y los signos son los mismos tanto en pre como en postmenopáusicas (2). No existen síntomas específicos, pudiendo variar desde un dolor abdominal leve hasta signos de shock y abdomen agudo; además, no existe correlación entre los síntomas y los hallazgos radiológicos. La clínica depende del grado de rotación y puede consistir en dolor abdominal agudo o crónico, sangrado vaginal, trastornos gastrointestinales y urinarios incluyendo retención urinaria aguda. En relación a los hallazgos radiológicos, la presencia de gas en la cavidad uterina en radiografías o en TC ha sido relacionado con torsión uterina, también si los miomas cambian de posición en relación con ecografías previas (6,14,15,16,17,18). Cérvix en forma de espiral, vagina superior en RM forma de X en lugar de la típica forma de H, desplazamiento uretral, áreas de hiperdensidad y falta de captación de contraste compatible con infarto hemorrágico son otros hallazgos descritos. El diagnóstico diferencial se realizará con cuadros de dolor abdominal pélvico agudo como apendicitis, degeneración roja de mioma (infarto), torsión de tumoración pélvica, gestación ectópica abdominal y abruptio placentae. El

diagnóstico definitivo se realizará por laparotomía donde se visualizarán los anejos localizados anteriormente al útero además de una rotación uterina >45º. Pueden existir signos de coagulopatía debido a los cambios hemorrágicos de los miomas y anejos (9). El tiempo crítico hasta que el daño isquémico se vuelve irreversible y ocasiona necrosis de útero y anejos es desconocido, por lo que la sospecha diagnóstica precoz en una paciente con dolor abdominal y gran patología tumoral uterina-ovárica es fundamental para poder preservar el útero y/o anejos especialmente en mujeres jóvenes y para evitar posibles complicaciones trombóticas que pudieran poner en riesgo la vida de la paciente (3,6,16,19,20,21).
El tratamiento quirúrgico en pacientes peri- menopáusicas y en caso de necrosis de anejos y útero


es histerectomía total y doble anexectomía. Si la paciente tiene deseos genésicos se intentará realizar un tratamiento conservador; si al detorsionar el útero no se encuentran signos de necrosis ni de trombosis se optará por conservación uterina; si presenta patología ovárica quística (6,13,20,21,22), se realizaría quistectomía/anexectomía y si presenta mioma como causa de torsión uterina se realizará miomectomía para evitar recurrencias. En el postoperatorio se realizará tromboprofilaxis (23). En el caso de pacientes postmenopáusicas el tratamiento más común es la histerectomía y doble anexectomía y será de elección en casos de necrosis uterina/anexial o patología anexial.
Podemos concluir que la torsión uterina de un útero no grávido es un cuadro infrecuente. Un retraso en el diagnóstico puede tener consecuencias fatales, por lo que es fundamental su sospecha e inclusión en el diagnóstico diferencial ante un cuadro de abdomen agudo en una mujer con patología uterina/anexial, frecuentemente miomas subserosos gigantes sésiles o grandes masas ováricas.
El Comité de Ética en la Investigación del centro ha aprobado el artículo. Los autores declaran que no existen conflictos de interés.
Jorge Cea García, Dirección: calle Almensilla 9, CP 41.008, Sevilla, España. Email: jor_cea@hotmail.com.


