Resumen
Introducción: La lesión pulmonar aguda (TRALI) y la sobrecarga circulatoria (TACO) son las principales causas de morbilidad y mortalidad relacionadas con la transfusión. La TRALI se presenta durante o después de las transfusiones de plasma y sus derivados, o por inmunoglobulinas en alta concentración intravenosa; se asocia a procesos sépticos, cirugías y transfusiones masivas. La TACO es la exacerbación de manifestaciones respiratorias en las primeras 6 horas postransfusión.
Reporte caso: Paciente de sexo masculino de 38 días de vida, ingresó al servicio de urgencias con un cuadro clínico de 8 días de evolución, caracterizado por dificultad respiratoria dado por retracciones subcostales y aleteo nasal sin otro síntoma asociado, con antecedentes de importancia de prematuridad y bajo peso al nacer. El reporte de hemograma arrojó cifras compatibles con anemia severa, por lo que requirió transfusión de glóbulos rojos empaquetados desleucocitados. El paciente presentó un cuadro respiratorio alterado en un periodo menor a 6 horas, por lo que se descartaron causas infecciosas y finalmente se consideró cuadro compatible con TRALI.
Conclusiones: Se debe considerar una lesión pulmonar aguda relacionada con una transfusión de sangre si se produce una insuficiencia respiratoria aguda durante o inmediatamente después de la infusión de hemoderivados que contienen plasma.
Palabras clave: Lesión pulmonar aguda postransfusión, reacción transfusión, síndrome de dificultad respiratoria, manifestaciones clínicas, prematuro, anemia severa.
Abstract
Introduction: Acute lung injury (TRALI) and circulatory overload (TACO) are the main causes of transfusion-related morbidity and mortality. TRALI occurs during or after transfusions of plasma or its derivatives, or by immunoglobulins in high intravenous concentration; it is associated with septic processes, surgeries, and massive transfusions. TACO is the exacerbation of respiratory manifestations in the first 6 hours post transfusion.
Case report: A 38-day-old male was admitted to the emergency department with clinical symptoms experienced over the course of 8 days and characterized by respiratory distress due to subcostal retractions and nasal flaring with no other associated symptoms. Important antecedents included prematurity and low birth weight. The hemogram report showed figures compatible with anemia, which benefited from transfusion of packed red blood cells without leukocytes. In a period of less than 6 hours, the patient presented altered respiratory symptoms, practitioners ruled out infectious causes and finally considered clinical signs compatible with TRALI.
Conclusion: Acute lung injury related to blood transfusion should be considered if acute respiratory failure occurs during or immediately after infusion of plasma-containing blood products.
Keywords: Transfusion-related acute lung injury, transfusion reaction, respiratory distress syndrome, clinical manifestations, prematurity, severe anemia.
Reporte de caso
Lesión pulmonar aguda producida por transfusión (TRALI): Reporte de caso
Transfusion-induced acute lung injury (TRALI): Case report.
Recepción: 18 Mayo 2022
Aprobación: 02 Mayo 2023
Dado que el conocimiento acerca de la fisiopatología de las reacciones pulmonares secundarias a las transfusiones ha crecido, ahora se sabe que estas complicaciones médicas son potencialmente prevenibles. La lesión pulmonar aguda relacionada con la transfusión (TRALI) y la sobrecarga circulatoria asociada a la transfusión (TACO) son las principales causas de morbilidad y mortalidad relacionadas con esta fisiopatología1.
Esa definición fue sustituida por el panel Delphi, el cual refiere que toda lesión pulmonar vinculada a un proceso transfusional debe ser notificada al área encargada de hemovigilancia o comité institucional para su respectiva categorización como TRALI tipo I y II, síndrome de distrés respiratorio secundario a transfusión (ADRS), TACO y TRALI/TACO2,3.
Se ha descrito similitud en la presentación del TRALI/ TACO, por lo que es importante diferenciar estas entidades clínicas. TACO se define como un episodio de nuevo inicio o exacerbación de manifestaciones respiratorias en las primeras 6 horas posteriores a la transfusión, donde el mecanismo principal está determinado por la acumulación de líquido en los vasos pulmonares. Este se debe a la extravasación de líquido hacia los espacios intersticiales y alveolos por el aumento de presión a nivel intravascular. Se considera que la insuficiencia cardiaca, la injuria renal y las edades extremas son los factores predisponentes4-5.
La TRALI se presenta durante o después de las transfusiones de plasma y sus derivados (crioprecipitado, glóbulos rojos y plaquetas), o por inmunoglobulinas en alta concentración intravenosa; se encuentra asociada a procesos sépticos, cirugías y transfusiones masivas6.
El mecanismo puede ser inmunitario o no inmunitario, conocido como mecanismo de "doble golpe"; el primer golpe consiste en el desarrollo de daño proinflamatorio basado en la acción de los lipopolisacáridos, al estimular agentes activadores neutrófilos. El segundo golpe se desencadena por la transferencia de anticuerpos anti-HLA que inducen la activación de los neutrófilos y ocasiona daño en las membranas de los vasos pulmonares7,8.
Paciente masculino de 38 días de vida con antecedentes de prematuridad y bajo peso al nacer (32 semanas y 1440 gramos al nacer), requirió de hospitalización en unidad de cuidado intensivo neonatal (UCIN) por 19 días, de los cuales 4 estuvo acoplado a ventilación mecánica invasiva. Ingresó al servicio de urgencias remitido del programa madre canguro por presentar cuadro clínico con 8 horas de evolución deterioro dado por retracciones subcostales y aleteo nasal sin otro síntoma asociado. Los signos vitales durante el examen físico fueron: frecuencia respiratoria de 65 latidos por minuto (lpm), frecuencia cardiaca de 135 lpm y saturación de oxígeno de 93 %. En la exploración cardiopulmonar presentó tirajes subcostales discretos y pausas respiratorias; fue hospitalizado en la unidad neonatal de cuidado intermedios neonatal y se inició manejo con oxígeno por cánula nasal a 3 litros por minuto, aislamiento protector, oximetazolina (0,025 %) a razón de 1 gota cada 8 horas en cada fosa nasal y terapia respiratoria con higiene nasal. En la radiografía de tórax no se encontró alteración, en cuanto a los exámenes sanguíneos, presentó un hemograma con niveles de hemoglobina compatibles con anemia (8,1 g/dl) con repercusión hemodinámica y se inició trasfusión de 40 cm3 de glóbulos rojos desleucocitados; los resultados de los demás exámenes paraclínicos solicitados fueron normales (Tabla 1).

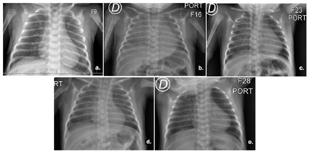
Pasadas las 6 horas postransfusión, el paciente se encontró en regulares condiciones generales, con aspecto séptico e incremento del esfuerzo respiratorio, por lo que se consideró inicialmente una sepsis neonatal tardía de origen viral. Se le realizaron exámenes de control de perfil infeccioso con resultado de procalcitonina negativa, el análisis citoquímico de líquido cefalorraquídeo estuvo dentro de parámetros de normalidad y una serie de radiografías de tórax que inicialmente evidenciaron velamiento en ambos hemitórax con predominio derecho y posteriormente presentó una leve mejoría del patrón radiológico (Figura 1).

Mediante la auscultación cardiopulmonar se identificó un soplo protosistólico grado III/VI, y con base en el antecedente transfusional y la clínica instaurada se determinó como diagnóstico TRALI, se descartó sepsis de origen pulmonar y los resultados de panel viral respiratorio y hemocultivos seriados fueron negativos. Pasadas las 24 horas de instaurado, el cuadro clínico resolvió de forma espontánea y finalmente el paciente resolvió el cuadro clínico y se le dio egreso.
La lesión pulmonar aguda relacionada con la transfusión es una grave complicación de los hemoderivados y es una de las causas más comunes de muerte. Dado que el personal de salud la considera como una complicación poco frecuente, y por ende a menudo no se realiza el diagnóstico, se estima que la prevalencia de estas transfusiones es de 1 por 500010. El diagnóstico se hace cuando la lesión pulmonar aguda se desarrolla durante o dentro de las primeras seis horas de ocurrida la transfusión, cuando hay ausencia de lesión pulmonar aguda antes de la transfusión y la presencia de factores de riesgo que pueden conducir a esta condición9,10.
TRALI se describe como un edema pulmonar no cardiaco asociado a disnea severa, hipoxia e infiltraciones difusas bilaterales en la radiografía de tórax. La fisiopatología de TRALI no está del todo esclarecida, sin embargo, la teoría más aceptada apunta a que los aloanticuerpos (anti-HLA clase I y II, anticuerpos antineutrófilos) del donante activan los neutrófilos, monocitos y macrófagos tisulares del receptor, posterior a la transfusión de hemoderivados que contienen plasma. Una vez activados, los granulocitos inician el daño capilar, aumentan la permeabilidad y la respuesta inflamatoria. El daño capilar alveolar difuso lleva a la acumulación de líquido que se produce en el espacio alveolar6. Con base en lo anterior, la detección de anticuerpos anti-HLA o anti-neutrófilos puede ser útil para el diagnóstico6-7. Las manifestaciones clínicas más comunes son fiebre, escalofrío, dificultad respiratoria, hipertensión o hipotensión; incluso puede cursar con lesiones en la piel (edema, eritema y sarpullido o exantemas secundarios a una reacción de hipersensibilidad) o desarrollar otra sintomatología menos probable como anafilaxia, hemoglobinuria y oliguria/anuria8-10.
En este caso, los exámenes no demostraban un origen infeccioso de la patología en curso; el reporte de los reactantes de fase aguda, tanto los hemocultivos como el análisis citoquímico de líquido cefalorraquídeo fueron negativos. Sumado a esto, al tener en cuenta el patrón radiológico observado y la evolución súbita del cuadro clínico del paciente a nivel respiratorio, caracterizada por disnea, retracciones subcostales, así como la reacción eritematoso-vesiculosa presentada en el tronco, se consideró cuadro de TRALI secundario a la transfusión.
En cuanto a su incidencia, las estimaciones de TACO y TRALI se han orientado a la notificación de eventos adversos a través de los sistemas nacionales de hemovigilancia. La principal limitante de estos sistemas es la confianza en el informe pasivo de las reacciones a las transfusiones, que se sabe que subestima la incidencia real dado el escaso reconocimiento de la patología11-13. Entre 1996 y 2005 el sistema de hemovigilancia Serious Hazards of Transfusion (SHOT) ha analizado 3239 informes de reacciones adversas y eventos asociados con la transfusión en el Reino Unido14. De ellos, el 10 % (321 informes) se relacionaron con transfusiones de niños menores de 18 años. Un total de 20 casos de TRALI ocurrieron en niños, lo que representa el 5 % de todos los eventos o reacciones adversas. Esta proporción fue casi idéntica a la proporción de TRALI en adultos (6 % de todos los eventos adversos) (14.
Se debe considerar una lesión pulmonar aguda relacionada con una transfusión de sangre si se produce una insuficiencia respiratoria aguda durante o inmediatamente después de la infusión de hemoderivados que contienen plasma, y si la transfusión continúa, la infusión debe suspenderse inmediatamente y contar con el entrenamiento del personal para enfrentar esta patología, en especial en la población pediátrica.
*investigacion@horo.gov.co

