Servicios
Descargas
Buscar
Idiomas
P. Completa
Complicación excepcional de úlcera sacra por presión con extensión al retroperitoneo y al espacio extraperitoneal lateral
Mónica Bejarano; Ricardo Mario Urzola; Daniella Londoño
Mónica Bejarano; Ricardo Mario Urzola; Daniella Londoño
Complicación excepcional de úlcera sacra por presión con extensión al retroperitoneo y al espacio extraperitoneal lateral
Exceptional complication of sacral pressure ulcer with extension to the retroperitoneum and lateral extraperitoneal space
Revista Colombiana de Cirugía, vol. 39, núm. 2, pp. 308-310, 2024
Asociación Colombiana de Cirugía
resúmenes
secciones
referencias
imágenes

Palabras clave: Úlcera, úlcera por presión, sacro, articulación sacroiliaca, infecciones, complicaciones infecciosas

Keywords: Ulcer, pressure ulcer, sacrum, sacroiliac joint, infections, infectious complications

Carátula del artículo

Imágenes en Cirugía

Complicación excepcional de úlcera sacra por presión con extensión al retroperitoneo y al espacio extraperitoneal lateral

Exceptional complication of sacral pressure ulcer with extension to the retroperitoneum and lateral extraperitoneal space

Mónica Bejarano
Hospital Universitario Fundación Valle de Lili, Colombia
Universidad Icesi, Colombia
Ricardo Mario Urzola
Hospital Universitario Fundación Valle de Lili, Colombia
Universidad Icesi, Colombia
Daniella Londoño
Hospital Universitario Fundación Valle de Lili, Colombia
Revista Colombiana de Cirugía, vol. 39, núm. 2, pp. 308-310, 2024
Asociación Colombiana de Cirugía

Recepción: 14 Noviembre 2023

Aprobación: 04 Diciembre 2023

Publicación: 11 Enero 2024

Las úlceras por presión, en especial las escaras sacras, han sido un desafío constante en la medicina desde hace décadas 1. Las complicaciones asociadas pueden ser graves, pasando de las infecciones locales, a la osteomielitis e incluso sepsis; su extensión al retroperitoneo es excepcional 2.

Recibimos un paciente de 54 años, con antecedente de lesión medular hace más de 20 años por herida por proyectil de arma de fuego y colecistectomía por laparotomía hacía cuatro meses, remitido de otra institución para manejo de ulcera sacra. Al examen físico se palpaba masa renitente en flanco derecho. La radiografía de abdomen informó “una burbuja gaseosa en el flanco y fosa ilíaca derecha, sugestiva de neumoperitoneo” (Figura 1), por lo que se solicitó una tomografía computarizada de abdomen (Figura 2), donde describían una colección multiloculada localizada en la gotera parietocólica derecha con extensión perihepática, en la fosa ilíaca derecha y la pared abdominal, de 20 x 8 x 6 cm con volumen calculado de 500 ml; extenso proceso inflamatorio que compromete los tejidos blandos de la región sacra, perineal y el ano, y en la unión posterior de la articulación sacroilíaca derecha, defecto en la continuidad de los tejidos blandos, la cual probablemente estaba comunicada con la colección en la gotera parietocólica ipsilateral.


Figura 1.
Serie de abdomen donde mencionan que existe una burbuja gaseosa en el flanco y fosa ilíaca derecha, sugestiva de neumoperitoneo (circulo verde). Además, hay destrucción y resorción de la cabeza femoral derecha (junto a la estrella amarilla), asociado con luxación coxofemoral, y alteración en la esfericidad de la cabeza femoral izquierda, la cual presenta osificaciones heterotópicas en el espacio articular coxofemoral. Diástasis de la sínfisis púbica en aproximadamente 5 cm. Proyectil de arma de fuego localizado en el margen posterior del cuerpo vertebral T12 (flecha azul).


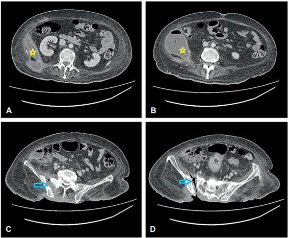
Figura 2.
A y B. Tomografía computarizada de abdomen y pelvis donde se aprecian la colección multiloculada (estrella amarilla) localizada en la gotera parietocólica, que se extiende hasta la región perihepática entre el segmento VI y el diafragma, compromete los tejidos blandos de la pared torácica posterolateral, con extensión entre el aspecto inferior del músculo latísimo del dorso, el cuadrado lumbar y el erector de la espina, en el sentido inferior se extiende hasta la fosa ilíaca derecha, se encuentra en contacto con la pared lateral del colon ascendente y los músculos oblicuos, mide 20 x 8 x 6 cm en los ejes longitudinal, anteroposterior y transverso respectivamente, con volumen calculado de 500 ml. C y D. Además, se visualiza el extenso proceso inflamatorio que compromete los tejidos blandos de la región sacra, perineal y el ano, con aumento difuso y heterogéneo en la densidad del tejido celular subcutáneo e irregularidad de la dermis, y en la unión posterior de la articulación sacroilíaca derecha (flecha azul), se observa defecto en la continuidad de los tejidos blandos, la cual probablemente esté comunicada con la colección en la gotera parietocólica ipsilateral.

El paciente fue llevado a cirugía donde se comprobaron los hallazgos (Figura 3) y se realizó por vía posterior, junto con Ortopedia, desbridamiento de los tejidos necróticos e infectados, artrotomía, lavado y curetaje sacroilíaco, más drenaje de la colección extraperitoneal por vía anterior, dejando con sistema de presión negativa y terapia antibiótica, con evolución satisfactoria. Después de varias intervenciones, con la participación de Cirugía plástica, se logró el cierre del defecto 3.


Figura 3.
Fotografía intraoperatoria donde se puede observar la extensión de la úlcera, que había comprometido el hueso sacro y tenía una comunicación con la articulación sacroilíaca (circulo azul), a través de la cual pasó la infección al retroperitoneo y al espacio extraperitoneal lateral derecho.

Material suplementario
Referencias
Black JM, Edsberg LE, Baharestani MM, Langemo D, Goldberg M, McNichol L, Cuddigan J, National Pressure Ulcer Advisory Panel. Pressure ulcers: Avoidable or unavoidable? Results of the National Pressure Ulcer Advisory Panel Consensus Conference. Ostomy Wound Manage. 2011;57:24-37.
Kadota H, Miyashita K, Fukushima S, Oryoji C, Hanada M, Yoshida S, et al. Successful management of a severe sacral pressure injury penetrating to the retroperitoneum. Wounds. 2021;33:E24-E27.
Anaya DA, Quintero GA, García-Herreros LG, Vanegas BS, Vera A, Nassar R, Sotomayor J. Epidemiología de las heridas de tratamiento hospitalario en Colombia. Rev Colomb Cir. 1998;13:181-4.
Notas
Notas
Citar como: Bejarano M, Urzola RM, Londoño D. Complicación excepcional de úlcera sacra por presión con extensión al retroperitoneo y al espacio extraperitoneal lateral. Rev Colomb Cir. 2024;39:308-10. https://doi.org/10.30944/20117582.2513
Cumplimiento de normas éticas
Consentimiento informado: Se obtuvo el consentimiento informado por escrito del paciente autorizando la publicación del caso y las imágenes, las cuales no permiten la identificación del paciente.
Uso de inteligencia artificial: los autores declararon que no utilizaron tecnologías asistidas por inteligencia artificial (IA) (como modelos de lenguaje grande, chatbots o creadores de imágenes) en la producción de este trabajo.
Fuentes de financiación: Recursos propios de los autores.
Declaración de intereses
Declaración de conflicto de intereses: Los autores declararon que no tienen conflictos de intereses.
Notas de autor
Contribución de los autores - Concepción y diseño del estudio: Monica Bejarano.

- Adquisición de datos: Monica Bejarano, Ricardo Urzola, Daniella Londoño.

- Análisis e interpretación de datos: Monica Bejarano, Ricardo Urzola, Daniella Londoño.

- Redacción del manuscrito: Monica Bejarano, Ricardo Urzola, Daniella Londoño.

- Revisión crítica: Monica Bejarano, Ricardo Urzola, Daniella Londoño.

aCorrespondencia: Mónica Bejarano, Carrera 59 #11B-56, Cali, Colombia. Teléfono: 315-5574039. Dirección electrónica: monicirugia@gmail.com


Figura 1.
Serie de abdomen donde mencionan que existe una burbuja gaseosa en el flanco y fosa ilíaca derecha, sugestiva de neumoperitoneo (circulo verde). Además, hay destrucción y resorción de la cabeza femoral derecha (junto a la estrella amarilla), asociado con luxación coxofemoral, y alteración en la esfericidad de la cabeza femoral izquierda, la cual presenta osificaciones heterotópicas en el espacio articular coxofemoral. Diástasis de la sínfisis púbica en aproximadamente 5 cm. Proyectil de arma de fuego localizado en el margen posterior del cuerpo vertebral T12 (flecha azul).

Figura 2.
A y B. Tomografía computarizada de abdomen y pelvis donde se aprecian la colección multiloculada (estrella amarilla) localizada en la gotera parietocólica, que se extiende hasta la región perihepática entre el segmento VI y el diafragma, compromete los tejidos blandos de la pared torácica posterolateral, con extensión entre el aspecto inferior del músculo latísimo del dorso, el cuadrado lumbar y el erector de la espina, en el sentido inferior se extiende hasta la fosa ilíaca derecha, se encuentra en contacto con la pared lateral del colon ascendente y los músculos oblicuos, mide 20 x 8 x 6 cm en los ejes longitudinal, anteroposterior y transverso respectivamente, con volumen calculado de 500 ml. C y D. Además, se visualiza el extenso proceso inflamatorio que compromete los tejidos blandos de la región sacra, perineal y el ano, con aumento difuso y heterogéneo en la densidad del tejido celular subcutáneo e irregularidad de la dermis, y en la unión posterior de la articulación sacroilíaca derecha (flecha azul), se observa defecto en la continuidad de los tejidos blandos, la cual probablemente esté comunicada con la colección en la gotera parietocólica ipsilateral.

Figura 3.
Fotografía intraoperatoria donde se puede observar la extensión de la úlcera, que había comprometido el hueso sacro y tenía una comunicación con la articulación sacroilíaca (circulo azul), a través de la cual pasó la infección al retroperitoneo y al espacio extraperitoneal lateral derecho.
Buscar:
Contexto
Descargar
Todas
Imágenes
Visor de artículos científicos generados a partir de XML-JATS4R por Redalyc