Notas Clínicas
Resumen: El defecto fibroso cortical es una entidad común en la población infantil y su morfología radiológica típica permite el diagnóstico; dado su carácter involutivo no requiere tratamiento. Sin embargo, el desconocimiento de esta patología por parte de los pediatras conlleva un aumento de la demanda de exámenes complementarios y es generador de situaciones de estrés en pacientes y familiares. Se presenta el caso de un niño con defecto fibroso cortical recientemente diagnosticado en nuestro centro.
Palabras clave: Hallazgo incidental, Tumor óseo fibroso, Radiología..
Abstract: The fibrous cortical defect is a common entity in children and the typical radiological image enables diagnosis. As these lesions are self-limited, no treatment is required. However, this lesion is not well known by pediatricians, which leads to an increased use of complementary tests and generates stress on patients and families. We present the case of a child with fibrous cortical defect recently diagnosed in our center.
Keywords: Incidental finding, Fibrous bone tumor, Radiology..
CASO CLÍNICO
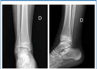
Paciente de 11 años que consulta por dolor en la extremidad inferior derecha tras un traumatismo contra el bordillo de una piscina. En la exploración física se observa edema y dolor intenso a la palpación en la zona pretibial a nivel distal. Mantiene un apoyo estable, con leve cojera para la deambulación. Se solicita una radiografía de tibia y peroné en la que se identifica una lesión lítica cortical ovalada de bordes esclerosos en la zona distal de la tibia derecha, compatible con defecto fibroso cortical (Fig. 1). Se indica un tratamiento conservador, presentando una evolución satisfactoria, con cese progresivo de la sintomatología.

Lesión lítica cortical ovalada y de borde escleroso en la metáfisis distal de la tibia derecha compatible con defecto fibroso cortical. Izquierda: proyección anteroposterior. Derecha: proyección lateral.
COMENTARIOS
El defecto fibroso de la cortical es una lesión ósea benigna de etiología desconocida, que en el 40% de los casos se manifiesta en pacientes menores de 20 años1,2. Es una de las lesiones fibrosas óseas más frecuentes y se caracteriza por ser una lesión pequeña y asintomática limitada a la cortical de la metáfisis de huesos largos, principalmente en el fémur y la tibia. Generalmente es detectada de forma incidental al realizar una radiografía simple, con una morfología ovalada o esférica, bien definida, rodeada de un anillo escleroso, pero sin reacción perióstica2. Debido a las características radiológicas específicas, no es necesario realizar ninguna otra prueba de imagen ni requiere confirmación histopatológica. Habitualmente involucionan de forma espontánea, sin complicaciones asociadas, por lo que no precisa de ninguna medida terapéutica1,2.
Diversos autores han señalado la insuficiente y, en la mayoría de las ocasiones, inexistente formación en el área de Traumatología Infantil durante el periodo del médico interno residente en Pediatría como causa principal de la cantidad de derivaciones a los Servicios de Traumatología3. El temor a patologías de carácter más grave hace que los Servicios de Traumatología sean la segunda especialidad en número de derivaciones de asistencia especializada4 y que la mayor parte de estas consultas se debían a variantes de la normalidad o patologías leves autolimitadas.
El conocimiento por parte de los pediatras de Atención Primaria de esta entidad supone una distribución más eficiente de los recursos sanitarios, al evitar estudios o derivaciones innecesarias, así como para evitar una alarma en el paciente y su entorno.
BIBLIOGRAFÍA
1. Vanel D, Ruggieri P, Ferrari S, Picci P, Gambarotti M, Staals E, et al The incidental skeletal lesion: ignore or explore? Cancer Imaging. 2009;9:S38-43.
2. Błaż M, Palczewski P, Swiątkowski J, Gołębiowski M. Cortical fibrous defects and non-ossifying fibromas in children and young adults: the analysis of radiological features in 28 cases and a review of literature. Pol J Radiol. 2011;76:32-9.
3. Delgado Martínez AD, del Castillo Codes M. La Ortopedia infantil para pediatras de Atención Primaria. Rev Pediatr Aten Primaria. 2011;13:11-4.
4. Contreras Balada N, Gibert Agulló A, Linares Muñoz JM, Ponce Villacreces MC, Casamada Humet N, Sauvalle Soler M. Análisis de las derivaciones a la Atención Especializada desde la consulta de Atención Primaria. Rev Pediatr Aten Primaria. 2015;17:e13-e20.
Notas de autor
Declaración de intereses