Notas clínicas
Resumen: Se presenta el caso de una adolescente de 12 años con disuria, masa abdominal en hipogastrio y fosa iliaca izda. No ha presentado la menarquia a pesar de tener un desarrollo puberal en estadio Tanner III. La ecografía realizada reveló una importante retención de sangre en el útero debido a imperforación de himen que se resolvió mediante himenectomía. En casos de disuria o masa abdominal en mujeres adolescentes sin menarquía, a pesar de un avanzado estadio puberal, es importante sospechar la imperforación de himen, que puede diagnosticarse en Atención Primaria por la simple inspección de genitales. La ecografía confirmará las sospechas. En casos dudosos puede recurrirse a la resonancia magnética.
Palabras clave: Enfermedades vaginales, Hematocolpos, Himen.
Abstract: We present the clinical case of a 12-years-old girl with dysuria, abdominal mass in hypogastrium and left iliac fossa. She has not experienced menarche despite a pubertal development in Tanner stage 3. The ultrasound revealed an important retention of blood in the uterus due to imperforate hymen which was resolved by hymenectomy. In cases of dysuria, abdominal mass in adolescent women with no menarche, despite an advanced pubertal development, is important to suspect the imperforate hymen that can be diagnosed in primary care by simple inspection of genitalia. Ultrasound will confirm the suspicions. In doubtful cases magnetic resonance can be used.
Keywords: Hematocolpos, Hymen, Vaginal diseases.
INTRODUCCIÓN
A menudo en Atención Primaria no se practica la exploración de genitales o no siempre. Es obvio que no se trata de una práctica rutinaria, sino que debe ser precedida de una precisa anamnesis del problema. No debe olvidarse realizar esta maniobra en adolescentes con síndrome miccional recurrente, urocultivos negativos, amenorrea primaria y desarrollo puberal en estadios III o IV de Tanner.
CASO CLÍNICO
Niña de 12 años sin antecedentes de interés que consulta con carácter de urgencia por polaquiuria con disuria sin fiebre. La exploración física es normal. Se solicita analítica de orina con urocultivo y se administra fosfomicina trometamol en dosis única. Nueve días después acude de nuevo a la consulta para resultados de analítica, que es normal y el urocultivo es negativo. No ha tenido la menarquía y su estadio de desarrollo puberal es Tanner III.
Pasados doce días la madre acude sin la niña y refiere que desde hace un mes tiene dolor abdominal. Últimamente el dolor es muy intenso, llega a despertarla por la noche y no cede con analgésicos. Se le recomienda que venga con la niña para explorarla.
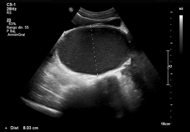
A los diez días acude de nuevo por dolor abdominal intenso que no cede con analgésicos, la despierta por la noche y tiene estreñimiento desde hace un mes. No refiere síntomas miccionales. En la exploración, el estado general es bueno, está afebril, con cardiorrespiratorio normal; se aprecia una gran tumoración abdominal móvil, fluctuante, como si tuviera contenido líquido, de forma alargada, de un tamaño aproximado de 7 × 4 cm, localizada en hipogastrio y fosa iliaca izquierda. Se solicita una ecografía abdominal urgente, en la que se observa una voluminosa lesión quística que ocupa el hipogastrio por detrás de la vejiga, con contenido ligeramente ecogénico, homogéneo, de 16,7 × 8 cm de diámetro, que sugiere como primera posibilidad de diagnóstico hematocolpos por himen imperforado (HIM) (Fig. 1).

Con el diagnóstico de hematocolpos por HIM se remite al Servicio de Cirugía de referencia, donde se realiza himenectomía de himen, abombado y de coloración azulada. Drena abundante material serosanguinolento, unos 750 ml y se realiza plastia mucomucosa de himen, sin incidencias.
DISCUSIÓN
El himen es una membrana que en su desarrollo embrionario procede del seno urogenital y que se perfora en los últimos momentos del desarrollo. El HIM es una malformación rara que afecta a alrededor del 0,1% de todas las recién nacidas. Con cierta frecuencia el HIM se asocia con otras a malformaciones uterovaginales. En general se describen síntomas clínicos como los de nuestro caso, con molestias miccionales1,2,34, dolor y tumoraciones abdominales. La exploración física con inspección de genitales lleva al diagnóstico, que se confirma mediante ecografía. En los casos dudosos se puede recurrir a la resonancia magnética. Existen formas de presentación neonatal que pueden descubrirse de forma incidental o presentarse como masas abdominales o tumefacción de genitales. Es importante tener en cuenta este diagnóstico en adolescentes con síndrome miccional y urocultivo negativo, especialmente si presentan amenorrea con un desarrollo puberal en estadios III o IV de Tanner y, por supuesto, si presentan dolor abdominal. La exploración de genitales nos llevará al diagnóstico y la ecografía abdominal lo confirmará. Las pacientes deben ser derivadas a un servicio de cirugía o ginecología para himenectomía con drenaje del hematocolpos, lo que resolverá el problema.
CONFLICTO DE INTERESES
Las autoras declaran no presentar conflictos de intereses en relación con la preparación y publicación de este artículo.
BIBLIOGRAFÍA
Jarabo García MT, García Morán JI. Hematocolpos secundario a himen imperforado. Causa infrecuente de masa abdominal. Rev Pediatr Aten Primaria. 2013;15:339.e165-e168.
Vilanova Fernández S, Roca Jaume A, Nieto del Rincón N, Mulet Ferragut JF, Román Piñana JM. Himen imperforado: una revisión de diez años. Rev Pediatr Aten Primaria. 2003;5:563-70.
Mena J, Rodríguez A, de la Fuente E, Cóndor L. Himen imperforado. Clin Invest Gin Obst. 2003;30:315-6.
González Álvarez CM, García Reymundo M, Real Terrón R, Hawed Ahmed F. Hematocolpos por himen imperforado; causa infrecuente de dolor abdominal y retención aguda de orina. Rev Pediatr Aten Primaria. 2010;12:621-6.
Glosario
Notas