Notas clínicas
Resumen: La hernia diafragmática congénita es un defecto simple del diafragma que permite la herniación de los órganos abdominales al tórax. Se presenta generalmente en el periodo neonatal con mortalidad importante, aunque las formas de presentación tardía representan el 5-45% de todos los casos. La presentación clínica, diagnóstico y manejo de estas formas tardías difiere considerablemente de las de diagnóstico neonatal, lo que supone un reto diagnóstico para el pediatra. El diagnóstico erróneo puede conllevar importante morbilidad. Presentamos el caso de un lactante de seis meses que acude a Urgencias por dificultad respiratoria progresiva de dos días de evolución. La radiografía y ecografía torácicas identificaron una hernia diafragmática. El paciente fue ingresado para corrección quirúrgica, con buena evolución.
Palabras clave: Enfermedades de inicio tardío, Hernias diafragmáticas congénitas, Insuficiencia respiratoria.
Abstract: Congenital diaphragmatic hernia is a simple defect of the diaphragm that allows abdominal organs to herniate into the chest. It presents most frequently in the newborn period, with high mortality, although late-presenting cases represent between 5% and 45% of all cases. The presenting symptoms, diagnosis, and management of late-presenting congenital diaphragmatic hernia differ considerably from those of neonatal congenital diaphragmatic hernia and it poses a diagnostic challenge for pediatricians. Misdiagnosis can result in significant morbidity. We describe the case of a 6-month-old boy presented to the emergencies with 2 days of worsening respiratory distress. Chest radiograph and thoraco-abdominal ultrasonography identified a congenital diaphragmatic hernia. The patient was admitted for thoracoscopic left congenital diaphragmatic hernia repair with a satisfactory evolution.
Key words: Hernias, diaphragmatic, congenital, Late onset disorders, Respiratory Insufficiency.
CASO CLÍNICO
Lactante de seis meses que acude a Urgencias por dificultad respiratoria progresiva de dos días de evolución. Afebril, sin cuadro catarral acompañante ni otra sintomatología. Como antecedentes personales destacan un ingreso al nacimiento por taquipnea transitoria, dos hospitalizaciones por dificultad respiratoria en contexto de broncoespasmo y un ingreso por vómitos persistentes. En seguimiento por los servicios de Nutrición y Gastroenterología por retraso ponderoestatural y reflujo gastroesofágico.
En el examen físico se encuentra afebril, taquicárdico y taquipneico, con tiraje subcostal e intercostal moderados y adecuada saturación de oxígeno. Presenta hipoventilación en hemitórax izquierdo, sin mejoría tras prueba terapéutica con β-agonistas. El abdomen es blando, depresible, no distendido, con disminución de ruidos intestinales.
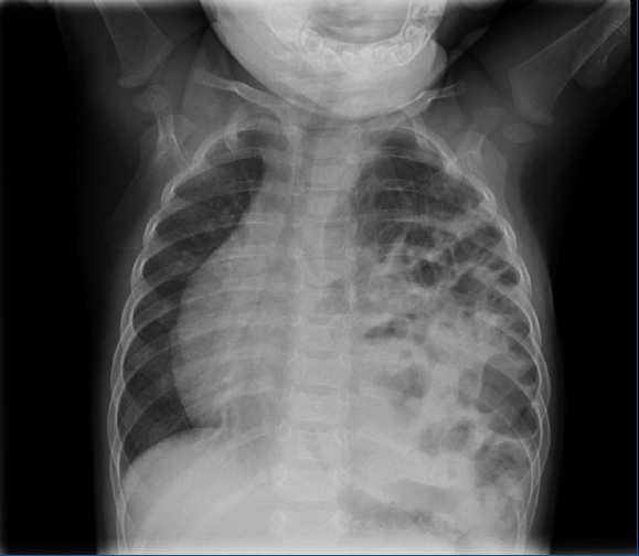
Se solicita radiografía de tórax, observándose una imagen compatible con hernia diafragmática (Fig. 1).
Figura 1. Ocupación de hemitórax izquierdo por estructuras aéreas que corresponden a asas intestinales en relación con una hernia diafragmática. Desplazamiento mediastínico. Hemitórax derecho sin áreas de consolidación

Para completar el estudio se realiza una ecografía toracoabdominal que identifica el paso de asas intestinales al tórax izquierdo a través de un defecto posterior de 4 cm, sin herniación de vísceras sólidas.
Ante estos hallazgos se contacta con el servicio de Cirugía Pediátrica, se decide su ingreso y se programa cirugía correctora. El paciente es intervenido mediante abordaje toracoscópico izquierdo con reposición de asas intestinales y colon transverso en abdomen y reparación del defecto. En el posoperatorio presenta algunas complicaciones, como el desarrollo de un leve derrame pleural, que requiere toracocentesis, con buena evolución, y se registran algunos episodios de taquicardia supraventricular autolimitados. Finalmente es dado de alta a los 11 días sin más complicaciones.
DISCUSIÓN
La hernia diafragmática congénita (HDC) es un defecto simple del diafragma de etiología desconocida que permite el paso de los órganos abdominales al tórax1. Generalmente se presenta en el periodo neonatal, con un cuadro de dificultad respiratoria grave y alta mortalidad1,23. Los casos de presentación tardía representan el 5-45% y se asocian a mejor pronóstico3,4. La relación hombre:mujer es aproximadamente 2:1 y la localización más frecuente de las formas tardías es en el hemitórax izquierdo (80%).
La presentación clínica, diagnóstico y manejo de las formas tardías difiere considerablemente de las de diagnóstico neonatal5,6. Su expresión clínica es variable y depende de la localización y el contenido herniado, incluyendo síntomas respiratorios (tos, disnea, taquipnea, sibilancias…) y digestivos (dolor abdominal, vómitos, diarrea, estreñimiento, fallo de medro…). La sintomatología respiratoria parece ser más frecuente en los defectos derechos mientras que en los izquierdos predominan los síntomas digestivos. En otras ocasiones, el paciente puede encontrarse asintomático2,4,5. Además, hasta en el 8-80% de los casos, según diferentes autores, puede asociarse a otras anomalías, las más frecuentes son las siguientes: malrotación intestinal o defectos en la fijación intestinal, defectos cardiovasculares, alteraciones pulmonares, defectos del tubo neural, anomalías cromosómicas o alteraciones urogenitales1,3,7.
La sospecha clínica y la realización de una radiografía de tórax son la clave para el correcto diagnóstico. Por ello, debe solicitarse una radiografía de tórax ante cualquier niño con problemas respiratorios o digestivos inexplicados. Sin embargo, debemos tener en cuenta que una radiografía torácica normal no excluye el diagnóstico (en el 25% de los casos es normal)4,8. Además, su interpretación puede ser complicada, ya que la HDC tardía puede simular diferentes entidades como neumonía lobar, tumor, malformación quística adenomatoidea congénita pulmonar, neumotórax o derrame pleural9. Un diagnóstico erróneo puede resultar en importante morbilidad y complicaciones. Por tanto, si la sospecha clínica es alta, contamos con herramientas diagnósticas adicionales para el correcto diagnóstico, incluyendo la ecografía, el tránsito gastrointestinal, la tomografía computarizada o la resonancia magnética7,8.
Una vez que se ha llegado al diagnóstico, la reparación quirúrgica está indicada. El pronóstico tras la cirugía normalmente es favorable7, aunque algunas complicaciones como los episodios de taquicardia supraventricular registrados en nuestro paciente han sido previamente descritos en la literatura médica10.
En resumen, nuestro paciente se presentó con un cuadro de dificultad respiratoria e hipoventilación en hemitórax izquierdo debido a una HDC descubierta en la radiografía de tórax. Esto podría explicar los antecedentes referidos de problemas respiratorios y digestivos. Este caso refleja la amplia variedad de síntomas de presentación de la HDC y la posibilidad de ser confundida con otras entidades.
CONCLUSIÓN
La hernia diafragmática congénita de presentación tardía presenta un amplio espectro de manifestaciones clínicas, incluyendo síntomas respiratorios y digestivos, que puede confundirse con otras situaciones clínicas. Por todo ello, supone un reto diagnóstico para el pediatra, siendo la sospecha clínica fundamental. Debe considerarse en el diagnóstico diferencial de pacientes con síntomas inespecíficos respiratorios y digestivos no explicados. La intervención quirúrgica es necesaria para evitar complicaciones y el pronóstico es generalmente favorable con cirugía precoz.
CONFLICTO DE INTERESES
Los autores declaran no presentar conflictos de intereses en relación con la preparación y publicación de este artículo.
BIBLIOGRAFÍA
Blackstone MM, Mistry RD. Late-presenting congenital diaphragmatic hernia mimicking bronchiolitis. Pediatr Emerg Care. 2007;23:653-6.
Baerg J, Kanthimathinathan V, Gollin G. Late-presenting congenital diaphragmatic hernia: diagnostic pitfalls and outcome. Hernia. 2012;16:461-6.
Kim DJ, Chung JH. Late-presenting congenital diaphragmatic hernia in children: the experience of single institution in Korea. Yonsei Med J. 2013;54:1143-8.
Ülgen-Tekerek N, Akyıldız B, Özcan A, Ergül AB, Turan C, Özcan S. Late presentation of congenital diaphragmatic hernia. Turk J Pediatr. 2015;57:642-5.
Kitano Y, Lally KP, Lally PA; Congenital Diaphragmatic Hernia Study Group. Late-presenting congenital diaphragmatic hernia. J Pediatr Surg. 2005;40:1839-43.
Comberiati P, Giacomello L, Camoglio FS, Peroni DG. Diaphragmatic hernia in a pediatric emergency department. Pediatr Emerg Care. 2015;31:354-6.
Chao PH, Chuang JH, Lee SY, Huang HC. Late-presenting congenital diaphragmatic hernia in childhood. Acta Paediatr. 2011;100:425-8.
Jiménez MA, Benavent MO, Canet JM, Carratalá LL, Mut JV, Torres AM. Hernia diafragmática congénita de presentación tardía. An Pediatr (Barc). 2012;76:163-4.
Hamid R, Baaba AA, Shera AH, Wani SA, Altaf T, Kant M. Late-presenting congenital diaphragmatic hernia. Afr J Paediatr Surg. 2014;11:119-23.
Baglaj M. Late-presenting congenital diaphragmatic hernia in children: a clinical spectrum. Pediatr Surg Int. 2004;20:658-69.
Glosario
Notas