Casos clínicos en Digestivo
Resumen: La pica se define como la ingesta de sustancias no nutritivas de naturaleza orgánica o inorgánica durante más de un mes. Este trastorno puede ser secundario a enfermedades neurológicas o psiquátricas (retraso mental, autismo, trastornos de la personalidad), pero también puede ser la expresión de déficit nutricional, como la ferropenia. Ante una ferropenia refractaria siempre se ha de pensar en un cuadro malabsortivo subyacente. Se presenta el caso clínico de un niño en edad escolar con pica secundaria a una enfermedad celíaca.
Palabras clave: Enfermedad celíaca, Pica.
Abstract: Pica is defined as the ingestion of non-nutritive substances for more than a month. This disorder may be secondary to neurologic or psychiatric illnesses (mental retardation, autism, personality disorders), but it can also be the expression of nutritional deficit, such as iron deficiency. In cases of refractory iron deficiency an underlying malabsorptive condition should be ruled out. Here we present the case of a school-age child diagnosed with pica related to celiac disease.
Key words: Celiac disease, Pica.
INTRODUCCIÓN
La pica es un trastorno de la conducta alimentaria en el que existe un deseo irresistible de comer o lamer sustancias no nutritivas y poco usuales como tierra, tiza, yeso, hielo, pintura, papel u otros materiales sin ningún valor alimenticio. El término “pica” significa urraca en latín. Las urracas tienen los mismos hábitos dietéticos anormales que estos pacientes.
La enfermedad celíaca, por su parte, es una enfermedad inflamatoria inmunomediada que afecta al intestino delgado. Se desencadena tras el contacto con las proteínas del gluten en individuos genéticamente predispuestos. La forma de presentación típica de enfermedad celíaca en el paciente pediátrico consiste en un cuadro de malabsorción que ocasiona diarrea crónica, retraso ponderoestatural, distensión abdominal con hipoatrofia muscular y complicaciones derivadas de los déficits nutricionales (hipoplasia de esmalte dental, estomatitis aftosa…). Sin embargo, existen formas de presentación atípica, entre las que se encuentran los trastornos de la conducta alimentaria como la pica, expresión de ferropenia secundaria a malabsorción 1. Conviene tener presente este hecho, pues desde las consultas de Atención Primaria se puede iniciar el proceso diagnóstico de la enfermedad, tanto en sus formas típicas como en las que no lo son tanto.
CASO CLÍNICO
Varón de diez años sin antecedentes familiares ni personales de interés, derivado desde el centro de salud por un trastorno de la conducta alimentaria que incluye ingesta de cojines y otros productos de espuma desde hace aproximadamente un año ( Fig. 1).

No presentaba síntomas gastrointestinales y su curva ponderoestatural era normal. Fue valorado previamente por Psiquiatría, donde se consideró que el paciente manifestaba un trastorno de la conducta alimentaria en posible relación con ansiedad. Aun así, se remitió a la sección de Gastroenterología Infantil para descartar causas secundarias. Se realizó una radiografía de abdomen simple, que descartó la presencia de un bezoar ( Fig. 2), y un análisis de sangre, con hallazgos compatibles con anemia ferropénica (hematíes: 4,68 × 10 6/μl, hemoglobina: 9,1 g/dl, hematocrito: 29,7%, hemoglobina corpuscular media: 19,4 pg, volumen corpuscular medio: 63,4 fl, concentración de hemoglobina corpuscular media: 30,7 g/dl, banda de distribución de hematíes: 21,1%, ferritina: 5 ng/ml, hierro: 25 μg/dl). Por refractariedad a la ferroterapia oral, se realiza serología de celíaca.

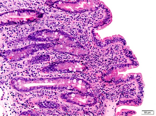
Se detecta la existencia de anticuerpos antitransglutaminasa diez veces por encima del límite alto de la normalidad (niveles de 629,00 IU, resultado positivo >10). Se completa estudio con endoscopia digestiva alta. La biopsia duodenal muestra atrofia vellositaria moderada con linfocitosis intraepitelial difusa e hiperplasia de criptas glandulares, sin evidencia de G. intestinalis, compatible con enfermedad celíaca 3b de Marsh modificado ( Fig. 3). Con el diagnóstico de enfermedad celíaca, se inicia dieta exenta de gluten y sulfato ferroso oral. De forma evolutiva, se constata la progresiva negativización de los anticuerpos, así como la desaparición del trastorno de la conducta alimentaria.

DISCUSIÓN
La enfermedad celíaca es un cuadro muy prevalente cuya expresión clínica es llamativamente poliédrica. Entre dichas manifestaciones se incluye los trastornos de la conducta alimentaria. En este sentido, no solo se ha de pensar en ella cuando estemos ante un niño con hiporexia mantenida, sino también cuando estemos ante situaciones de pica. Este síntoma ha sido descrito previamente en la literatura médica, pero queremos destacar su excepcionalidad.
Las primeras publicaciones que establecieron una posible relación causal entre el déficit nutricional y la ingesta de sustancias inorgánicas en pacientes con malabsorción intestinal datan de 1990 2. El déficit nutricional más relacionado con la presencia de pica es la ferropenia. Muñoz et al. documentaron la presencia de pica en aproximadamente un 5% de pacientes con déficit de hierro. En otras series, el porcentaje llega hasta un 30%, especialmente en grupos de riesgo (niños y embarazadas) 3. La pica desaparece con una ferroterapia adecuada, salvo que exista una malabsorción subyacente.
En el contexto de la enfermedad celíaca, a través del espectro clínico de la pica, se ha descrito ampliamente la litofagia 1, así como la ingesta de pelo 4, sin que se disponga en el momento actual de datos o porcentajes concretos. Ambos escenarios, especialmente el último, pueden derivar en la aparición de un bezoar 5. La ingesta de trozos de esponja o gomaespuma no ha sido fuente de numerosas comunicaciones, si bien se ha advertido la probable relación entre su ingesta y trastornos de ansiedad 6. El paciente descrito en nuestro caso ingería gomaespuma, motivo por el cual fue visto en primer lugar en las consultas externas de Psiquiatría. No obstante, el abordaje terapéutico que resultó exitoso fue el nutricional.
La relación de sustancias inorgánicas que pueden ser incorporadas desde el exterior en pacientes con pica puede ser de lo más variado ( Tabla 1).

En resumen: desde las consultas de Atención Primaria se puede sospechar una enfermedad celíaca, e iniciar el proceso diagnóstico. La pica puede ser una forma de debut de celíaca, en relación con anemia ferropenia malabsortiva. En estos casos, conviene descartar la posibilidad de un bezoar, dado el carácter abigarrado y múltiple de las sustancias inorgánicas que los pacientes pueden llegar a consumir. El tratamiento dietético (exclusión del consumo de gluten) es eficaz a la hora de controlar la enfermedad y todo su espectro clínico.
BIBLIOGRAFÍA
Shahryar M, Shahramian I, Dehghani SM, Noori N, Ataollahi M. Lithophagia as a clue for celiac disease: a case report and literature review. Gastroenterol Hepatol Bed Bench. 2017;10:70-2.
Korman SH. Pica as a presenting symptom in childhood celiac disease. Am J Clin Nutr. 1990;51:139-41.
Fotoulaki M, Paraskevi P, Efstratiou I, Arvanitakis S. Pitfalls in the approach to pica. Eur J Pediatr. 2007;166:623-4.
Kalyoncu T, Çıldır DA, Özbaran B. Trichotillomania in celiac disease patient refractory to iron replacement. Int J Adolesc Med Health. 2017;27. http://pii: /j/ijamh.2019.31.issue-4/ijamh-2017-0027/ijamh-2017-0027.xml.
Larrson LT, Nivenius K, Wettrell G. Trichobezoar in a child with concomitant coeliac disease: a case report. Acta Paediatr. 2004;93:278-80.
Gupta A, Rajput S, Maduabuchi G, Kumar P. Sponge eating: is it an obsessive compulsive disorder or an unusual form of pica? Acta Paediatr. 2007;96:1853-4.
Notas
Declaración de intereses