Notas clínicas
Resumen: La trombosis venosa cerebral es una enfermedad poco frecuente y de carácter excepcional. Se trata de una patología probablemente infradiagnosticada y debería incluirse siempre en el diagnóstico diferencial de la hipertensión intracraneal con focalidad neurológica o convulsiones, sobre todo si existen factores de riesgo conocidos. Las imágenes radiológicas son imprescindibles para su diagnóstico. Presentamos el caso de un paciente de 5 años con estrabismo convergente del ojo derecho de 3 días de evolución, en el contexto de otitis medias repetidas del oído derecho parcialmente tratadas con antibioterapia. Exploración patológica donde destacaba paresia del VI par derecho y un tímpano homolateral hiperémico en la otoscopia. Los exámenes complementarios fueron normales, salvo aumento del dímero-D. Las imágenes radiológicas obtenidas con resonancia magnética cerebral en fase venosa confirmaron la sospecha diagnóstica, pautándose anticoagulación, con evolución favorable.
Palabras clave: Anticoagulación, Factores de riesgo, Resonancia magnética, Trombosis venosa cerebral.
Abstract: Cerebral venous thrombosis is a rare and exceptional disease. It is a pathology probably underdiagnosed and it should always be included in the differential diagnosis of intracranial hypertension with neurological focality and/or convulsions, especially if there are known risk factors. Radiological images are essential for diagnosis. We present the case of a 5-year-old patient with convergent right eye strabismus of 3 days evolution, in the context of repeated ear otitis partially treated with antibiotherapy. Pathological examination highlighting VI right paresis and a hyperemic homolateral eardrum in otoscopy was found. Complementary tests were normal, except for elevation of the D-dimer. Regarding the radiological images obtained with cerebral magnetic resonance with venous-phase, was confirmed, and had a favourable evolution after receiving prescribed anticoagulant treatment.
Key words: Anticoagulation, Cerebral venous thrombosis, MRI, Risk factors.
INTRODUCCIÓN
La trombosis venosa cerebral (TVC) es una afección infrecuente en Pediatría1,2,34. La incidencia reportada varía entre 0,4 y 0,7 por 100 000 niños/año, y más del 40% ocurre en el periodo neonatal4. Existe predominio del sexo masculino. Se trata de una enfermedad probablemente infradiagnosticada en la infancia, siendo su principal motivo el no considerar esta entidad ante un trastorno neurológico agudo o subagudo1,2,34.
La obstrucción de las venas cerebrales provoca efectos locales de edema vasogénico y citotóxico e infarto con o sin hemorragia, constituyendo una causa importante de ictus en la infancia1,2,3,45. Además, el compromiso de los senos venosos aumenta la presión venosa con disminución de la reabsorción de líquido cefalorraquídeo y secundario aumento de la presión intracraneal. Todo ello provoca una presentación clínica habitualmente aguda o subaguda, consistente, en el niño mayor, en síntomas de hipertensión intracraneal (HTIC) con cefalea, vómitos, trastornos de consciencia, parálisis del II, IV o VI par craneal y papiledema, pudiendo asociar, por compromiso parenquimatoso isquémico o hemorrágico, convulsiones y signos focales neurológicos1,2,34.
Para realizar un diagnóstico precoz es fundamental pensar en TVC ante la clínica descrita en presencia de enfermedades predisponentes o desencadenantes. En niños los factores de riesgo que predominan son fundamentalmente las infecciones loco-regionales (mastoiditis, otitis, amigdalitis…); igualmente pueden predisponer a TVC los traumatismos craneales, deshidratación, anemia, trombofilias y enfermedades preexistentes como síndrome nefrótico, lupus, enfermedad inflamatoria intestinal y cardiopatía congénita cianótica1,2,3,45.
A pesar de que el diagnóstico es complejo, es muy importante un diagnóstico precoz para poder evitar la morbimortalidad de esta entidad1,2,34. Frente a la sospecha clínica de TVC son fundamentales las pruebas radiológicas, tanto para su diagnóstico como seguimiento. La tomografía computarizada (TC) sin contraste continúa siendo el examen inicial solicitado en la mayoría de casos, debido a su fácil acceso, su rapidez en pacientes muchas veces inestables y la capacidad de detectar hemorragias; sin embargo, los hallazgos son poco específicos y puede ser normal hasta un 30% de los casos1,2,34. Por dicho motivo, junto a la alta irradiación ionizante, se considera la resonancia magnética (RM) con fase venosa el método diagnóstico de elección, la cual tiene mayor sensibilidad y especificidad para realizar el diagnóstico y su extensión, así como para descartar otras patologías1,2,34.
En cuanto a la localización del seno venoso comprometido, se compromete mayoritariamente el sistema venoso superficial con afectación del seno transverso, en primer lugar, seguido del longitudinal superior, sigmoides, o una combinación de todos ellos3,4.
El principal objetivo terapéutico de una trombosis cerebral es su prevención. Es fundamental instaurar una adecuada hidratación, antibióticos, anticonvulsivos y medidas para disminuir la presión intracraneal2,3,45. Históricamente, este había sido el único tratamiento; sin embargo, el principal punto de debate radica en el uso de la anticoagulación, ya que no hay ensayos clínicos aleatorizados en pacientes de esta edad5 y debido a las diferencias en los sistemas de coagulación y en el funcionamiento del sistema nervioso central es difícil extrapolar los resultados obtenidos en adultos a la población pediátrica2,34. Sin embargo, actualmente, aunque la evidencia es más débil, se recomienda la anticoagulación puesto que evita la progresión del trombo, trata el estado protrombótico subyacente para prevenir la trombosis venosa en otras partes del cuerpo y previene recurrencias2,3,4,5,67. Después de la fase aguda el tratamiento debe mantenerse un periodo mínimo de 3 meses, sin embargo, no hay evidencia definitiva respecto a la duración óptima de la anticoagulación para reducir el riesgo de TVC recurrente8.
CASO CLÍNICO
Nuestro propósito es describir esta afección a partir de un paciente de cinco años que, en el contexto de otitis medias repetidas del oído derecho parcialmente tratadas con antibioterapia, acude al servicio de Urgencias de nuestro hospital por presentar estrabismo convergente del ojo derecho de tres días de evolución. En la exploración destacaba una paresia del VI par derecho y un tímpano homolateral hiperémico en la otoscopia, sin observarse signos inflamatorios retroauriculares ni otros déficits neurológicos. Respecto a los exámenes complementarios, hay que destacar aumento del dímero-D (1230 ng/ml), siendo el estudio de trombofilia, hemograma, hemostasia, bioquímica y hemocultivo normales.
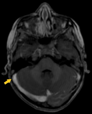
Al ingreso se realizó una RM cerebral con fase venosa, donde se observó una trombosis que afectaba al seno venoso transverso de forma parcial, seno sigmoideo y vena yugular del lado derecho. En la imagen axial TOF 2D (time of flight) (Fig. 1) se observa la presencia de material trombótico en el segmento distal del seno transverso derecho.

Ante dichos hallazgos, y a pesar de que el paciente se encontraba asintomático en ese momento, debido a la evidencia disponible, se inició anticoagulación con heparina de bajo peso molecular y antibioterapia con cefotaxima y vancomicina por el cuadro asociado. Se realizaron controles seriados para ver que los niveles de anticoagulación fueran adecuados (anti-Xa), encontrándose en rango.
El paciente fue valorado junto con Otorrinolaringología, realizando drenaje transtimpánico del oído derecho, siendo el cultivo bacteriológico y de hongos del exudado negativo. Asimismo, fue valorado por Oftalmología ante la presencia de papiledema e inicio progresivo de torticolis para compensar estrabismo, motivo por el cual se pautó oclusión alterna cada 24 horas y se administró toxina botulínica en el músculo recto interno. Durante su estancia en el hospital el paciente permaneció asintomático, sin presentar signos de HTIC asociados ni crisis convulsivas, con exploración neurológica normal.
Al alta se realizó control con RM cerebral donde ambos senos transversos fueron permeables. En la imagen axial T1 EG 3D (eco de gradiente) (Fig. 2) se observa desaparición del trombo alojado en el seno transverso derecho.

El paciente continuó tratamiento domiciliario con heparina de bajo peso molecular durante 3 meses, que se suspendió ante adecuada evolución clínica y radiológica (RM a los 2 meses normal), sin presentar recurrencias.
CONCLUSIONES
Como conclusión, hay que destacar que la trombosis venosa cerebral es una enfermedad poco frecuente y de carácter excepcional en Pediatría, de la cual hay muy pocos casos descritos en la literatura médica. Supone un reto diagnóstico, ya que se trata de una patología probablemente infradiagnosticada debido a su desconocimiento por parte del colectivo médico, motivo por el cual creemos que es de especial interés, ya que debería incluirse siempre en el diagnóstico diferencial de cualquier paciente con clínica de hipertensión intracraneal con focalidad neurológica o convulsiones, sobre todo si existen factores de riesgo conocidos (muy especialmente ante cuadros infecciosos locales y regionales tipo otitis o mastoiditis). Por último, hay que destacar la importancia de iniciar anticoagulación tan pronto como se confirme el diagnóstico, debido a que se ha demostrado que su uso es seguro y que la abstención terapéutica aumenta considerablemente el riesgo de propagación del trombo y se asocia a nuevos infartos venosos, progresión de los síntomas y peor pronóstico.
CONFLICTO DE INTERESES
Los autores declaran no presentar conflictos de intereses en relación con la preparación y publicación de este artículo.
BIBLIOGRAFÍA
Ferro JM, Canhão P. Cerebral venous thrombosis: etiology, clinical features, and diagnosis. En: UpToDate [en línea] [consultado el 27/11/2020]. Disponible en www.uptodate.com/contents/cerebral-venous-thrombosis-etiology-clinical-features-and-diagnosis
González G, Sgarbi N, Cibils L. Trombosis venosa cerebral en la infancia. Rev Med Hondur. 2014;82:100-8.
Macías L, García R. Trombosis de senos venosos cerebrales en Pediatría. Rev Cubana Pediatr. 2018;90.
Russi M, González V, Campistol J. Trombosis venosas cerebrales en la edad pediátrica: presentación clínica, factores de riesgo, diagnóstico y tratamiento. Rev Neurol. 2010;51:661-8.
Ferro JM, Canhão P. Cerebral venous thrombosis: Treatment and prognosis. En: UpToDate [en línea] [consultado el 27/11/2020]. Disponible en www.uptodate.com/contents/cerebral-venous-thrombosis-treatment-and-prognosis
Monagle P, Chan AK, Goldenberg NA, Ichord RN, Journeycake JM, Nowak-Göttl U, et al. Antithrombotic therapy in neonates and children: Antithrombotic Therapy and Prevention of Thrombosis, 9th ed: American College of Chest Physicians Evidence-Based Clinical Practice Guidelines. Chest. 2012;141:e737S.
Roach ES, Golomb MR, Adams R, Biller J, Daniels S, Deveber G, et al. Management of stroke in infants and children: a scientific statement from a Special Writing Group of the American Heart Association Stroke Council and the Council on Cardiovascular Disease in the Young. Stroke. 2008;39:2644.
Ferro JM, Bousser MG, Canhão P, Coutinho JM, Crassard I, Dentali F, et al. European Stroke Organization guideline for the diagnosis and treatment of cerebral venous thrombosis - endorsed by the European Academy of Neurology. Eur J Neurol. 2017;24:1203.
Glosario
HTIC: hipertensión intracraneal
RM: resonancia magnética
TC: tomografía computarizada
TVC: trombosis venosa cerebral.
Notas