RESUMEN: Se presenta el caso clínico de un paciente con diagnóstico de cuadriparesia debido a una fractura vertebral cervical y compresión medular graves, producidas por una caída desde una altura de 2 metros. Según el examen físico, los estudios radiológicos y la aplicación de escalas neurológicas, presentaba pérdida total de la función motora, de la discriminación sensorial del dolor y de la temperatura por debajo del nivel de lesión. Debido a las secuelas de las lesiones traumáticas en el sistema nervioso central, se aplicó tratamiento bioenergético rehabilitador: magnetoterapia y craneopuntura, complementado con kinesioterapia y terapia ocupacional, y se obtuvo una mejoría de la fuerza, el tono muscular y la capacidad funcional, con coordinación de la marcha.
Palabras clave: cuadriplejíacuadriplejía,fractura cervicalfractura cervical,compresión de la médula espinalcompresión de la médula espinal,magnetoterapiamagnetoterapia,craneopunturacraneopuntura.
ABSTRACT : The case report of a patient with diagnosis of quadriparesis due to a cervical vertebral fracture and severe medullary compression, taking place due to a fall from a height of 2 meters is presented. According to the physical examination, the radiological studies and the use of neurological scales, he presented total loss of the motor function, of the sensorial discrimination of pain and of temperature under the lesion level. Due to the sequels of the traumatic lesions in the central nervous system, bioenergetic rehabilitative treatment was applied: magnetotherapy and craneopuncture, supplemented with kinesiotherapy and occupational therapy, and an improvement of the force, the muscle tone and the functional capacity, with coordination of walking was obtained.
Key words: quadriplejia, cervical fracture, compression of the spinal cord, magnetotherapy, craneopuncture.
Caso Clínico
Aplicación de magnetoterapia y craneopuntura en un paciente con cuadriparesia
Use of magnetotherapy and craneopuncture in a patient with quadriparesis
Recepción: 11 Enero 2018
Aprobación: 02 Julio 2018
Las lesiones traumáticas de la columna cervical constituyen un cuadro de extrema urgencia médica e importancia social, que representa 50 % de morbilidad neurológica y una mortalidad de alrededor de 10 %, provocado en su totalidad por mecanismos indirectos como la compresión, la flexión, la extensión, la rotación, el cizalladura y los arrancamientos musculares. La frecuencia varía en dependencia de la ubicación anatómica, con 20 % para las vértebras C1 y C2 y 80 % para las C3-C7. Cabe señalar que las vértebras más dañadas con mayor frecuencia son las C5 y C6, debido a su movilidad y por ser el segmento que soporta en su extremo superior a la cabeza.1
La fractura-luxación por hiperflexión compresiva (teardrop) es una lesión donde hay arrancamiento de una parte del cuerpo anterior en forma triangular, asociado con el desplazamiento posterior de los cuerpos vertebrales, lo que provoca daño medular. Es considerada como inestable y muy grave, y se produce por la caída de cabeza desde cierta altura. Los jóvenes y adultos en plena capacidad laboral presentan mayor riesgo porque están más expuestos a sufrir accidentes laborales y de tránsito.1,2,3
Estos traumatismos cervicales no muestran daño neurológico en el momento inmediato del accidente, pero 10 % lo presenta después, y se considera potencialmente grave hasta que la evolución demuestre que definitivamente no existe daño medular o radicular. La lesión medular cervical es tan grave, que representa entre 7 y 15 % de mortalidad general y entre 35 y 50 % de mortalidad por las lesiones cervicales completas, que son las más reiteradas, con 80 % de incidencia.1
El tratamiento tiende a ser quirúrgico, con el objetivo de descomprimir la médula espinal, estabilizar la fractura y así evitar la aparición de daño neurológico o su agravamiento, además de favorecer el inicio precoz de la rehabilitación.1-3
Las terapias naturistas tradicionales y rehabilitadoras cuentan con un variado conjunto de agentes físicos y técnicas bioenergéticas, donde se destacan los campos magnéticos y la craneopuntura, cuyos efectos fisiológicos son la antiinflamación, vasodilatación, analgesia, reparación tisular, al intervenir en los mecanismos de neuroplasticidad y restablecer funciones perdidas.4,5
Actualmente las investigaciones dirigen sus esfuerzos a encontrar terapias médicas que eviten las alteraciones del flujo sanguíneo y en el funcionamiento de la membrana celular.
Se describe el caso clínico de un paciente de 48 años, con ocupación de albañil y antecedentes de alcoholismo, que fue atendido en el Servicio de Rehabilitación del Policlínico Docente “Ramón López Peña” de Santiago de Cuba, luego de ser remitido de la consulta de Neurocirugía, con diagnóstico fisiátrico de una cuadriparesia debido a una caída de cabeza desde una altura de 2 metros, que le produjo un trauma en el cráneo, con la pérdida inmediata del conocimiento, fractura-luxación cervical y compresión medular.
El paciente fue acompañado de un familiar, no refería dolor y estaba orientado en tiempo, espacio y persona, sin alteraciones de las memorias, con lenguaje claro y coherente, rostro no característico de procesos neurológicos y actitud inestable de pie.
Antes de realizar el tratamiento rehabilitador y mejorar el cuadro neurológico, se le indicaron estudios hemodinámicos, citoquímicos y radiográficos.
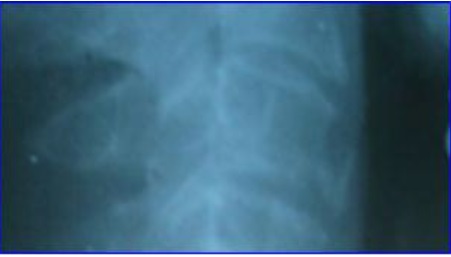
En los rayos X de columna cervical lateral se informó la rectificación de la lordosis cervical, fractura de la vértebra cervical 3, con fragmento triangular anterior libre, así como fisura de la vértebra cervical 5, con leve desplazamiento anterior de la vértebra cervical 6 en relación con la 7 (figuras 1, 2 y 3).



Según la valoración del equipo multidisciplinario en trauma craneoencefálico, se diagnosticó una fractura-luxación del cuerpo vertebral cervical 3 (teardrop), aplastamiento y fisura del cuerpo vertebral cervical 5, así como anterolistésis de cuerpo vertebral cervical 6.
De acuerdo con lo referido en la hoja de egreso médico, presentaba pérdida total de la función motora, de la discriminación del dolor, de la temperatura por debajo del nivel de lesión, y de la sensibilidad táctil profunda y vibratoria, con conservación del sentido de la posición y un pronóstico para la recuperación muy reservado.
Había recibido tratamiento médico postural y con ortesis rígida, tracción esquelética con peso inicial de 3,6 kg, con aumento progresivo hasta 4 kg, según la evolución clínica y radiológica. Además se le administraron medicamentos esteroides por vía parenteral. En evoluciones posteriores comenzó con signos de mejoría del cuadro neurológico y recuperó su sensibilidad, la fuerza muscular de los cuatro miembros y se decidió posponer la intervención quirúrgica.
Se mantuvo la terapéutica médica por 5 semanas y por su evolución favorable se le dio el alta con el diagnóstico de cuadriparesia como secuela neurológica y con la remisión para que recibiera tratamiento en el Servicio de Rehabilitación Integral de su área de salud.
Para efectuar el tratamiento rehabilitador el paciente fue valorado según diferentes escalas neurológicas.6 Al evaluar la marcha según la escala de Tinetti, deambuló ayudado por bastón, con pequeños pasos discontinuos asimétricos, balanceo pobre de brazos con búsqueda de apoyo, incoordinado referente a movimientos de los pies. También refirió sensación de entumecimiento, así como fuerza muscular disminuida en los cuatro miembros, dificultad para realizar algunas actividades de la vida diaria, como bañarse, acostarse y levantarse, pues necesitaba ayuda; de manera que era semidependiente, según la escala de Barthel.
La taxia estática de Romberg dio positivo y se observó incoordinación en la dinámica y la praxia, con conservación de los movimientos transitivos, intransitivos e imitativos. La escala de estabilidad de Sandin-Smith fue de 1 (pobre), con imposibilidad para mantener una posición estática. En relación con la motilidad pasiva, no hubo signos meníngeos, y en la motilidad activa las maniobras de Barré y Mingazzini resultaron positivas en los miembros superiores e inferiores con una fuerza muscular segmentaria, según la escala de Daniels, donde el arco de movimiento venció la fuerza de gravedad en todo su recorrido, pero no una mínima resistencia al movimiento.
Con respecto a la motilidad involuntaria, no se constataron tics, temblores, convulsiones, síntomas o signos de corea, fasciculaciones ni fibrilaciones. El tono y trofismo muscular se encontraban disminuidos globalmente para los 4 miembros, así como los reflejos osteotendinosos superficiales y profundos, y la sensibilidad superficial y profunda. Los reflejos esfinteriano anal y vesical se mantenían.
Para realizar el programa terapéutico, se propuso seguir los siguientes objetivos fisiátricos: apoyo psicológico, prevención de complicaciones, disminución del edema medular, con mejoramiento de la irrigación sanguínea y la nutrición en ese nivel; estimulación del proceso de consolidación ósea en las vértebras cervicales, con mejoría del dolor y la contractura de la musculatura cervicobraquial; aumento de los arcos articulares y potenciamiento de la musculatura de los 4 miembros; reeducación del patrón de marcha, con mejoría del equilibrio y la coordinación de esta, así como de la independencia en las actividades de la vida diaria.
Se efectuaron los siguientes tratamientos:
Craneopuntura: En zonas motoras y sensitivas, zonas vasomotoras del pie, zonas de equilibrio en ambos hemicraneos, con 200 rotaciones por 20 minutos por 30 sesiones; descanso por 5 días y repetir 30 sesiones más.
Agente físico: Cama magnética con solenoide grande para región cervical 15 hz, 2 gaus de 30 minutos por 15 sesiones; descanso por 5 días y repetir 15 sesiones más.
Medidas higiénicas posturales: Uso de la minerva durante el día y en las noches adoptar la posición de decúbito supino y lateral con el uso de rodillo en la región cervical.
Masaje: Relajante descontracturante para la musculatura cervicobraquial por 10 minutos en 20 sesiones.
Kinesiología: Ejercicios respiratorios abdominales, estimulación de propioceptores y técnica de facilitación neuromuscular propioceptiva para los cuatros miembros.
Mecanoterapia: Polea de techo, escalera digital de pared y de mesa, prono supinador, flexo extensor, rueda de hombro y mesa universal.
Ambulación entre las paralelas: Corrección de la postura frente al espejo, patrones dinámicos de marcha, obstáculos, equilibrio y coordinación de la marcha.
Terapia ocupacional: Enseñar postura correcta para dormir, adiestrar en el uso de ortesis y en actividades de la vida diaria, actividades para aumentar arcos articulares, fuerza muscular y de coordinación motora gruesa y fina.
A los 3 meses de tratamiento, el paciente fue evaluado nuevamente. En la escala de Daniels para los 4 miembros, venció la fuerza de gravedad y obtuvo una mínima resistencia; la taxia estática de Romberg fue positiva y en la dinámica de coordinación del movimiento. En la escala de estabilidad de Sandin-Smith fue de 3 (buena) y mantuvo una postura estática, pero necesitaba asistencia.
Los reflejos osteotendinosos superficiales fueron normales y los profundos, ligeramente disminuidos; la sensibilidad superficial fue normal y la profunda, ligeramente disminuida. En cuanto a la realización de actividades de la vida diaria se le consideró semidependiente, así como para la deambulación, debido a mareos e incoordinación de esta. Se le consideró independiente para las restantes actividades.
Se suspendió la magnetoterapia y se mantuvieron la craneopuntura y el resto de los tratamientos fisiátricos rehabilitadores, con el aumento de las repeticiones y la duración de estos, según la tolerancia del paciente. Se chequearon las frecuencias cardiaca y respiratoria, y el nivel de fatiga muscular.
A los 6 meses fue evaluado nuevamente y el especialista de Neurología le suspendió el uso de la minerva. Al realizar el examen físico, presentaba tono y trofismo musculares normales para su biotipo, así como sensibilidad superficial y profunda conservadas, fuerza muscular que vencía la gravedad y una mínima resistencia, reflejos osteotendinosos superficiales y profundos normales, la taxia estática de Romberg dio negativo en la escala de coordinación de marcha de Tinetti y para la estabilidad de Sandin-Smith fue de 4 (normal). No presentaba limitación en la marcha, con coordinación de los movimientos de brazos y pies; no necesitaba ayuda para esta, de modo que era independiente para realizar actividades de la vida diaria según la escala de Barthel.
En este caso clínico la fuerza traumatizante provocó primeramente trauma craneal, luego fractura cervical y esta, a su vez, lesión medular anterior, que condujo a un cuadro clínico de pronóstico reservado al llegar al hospital.
Referente a la fisiopatología y a los cambios bioquímicos y anatopatológicos que se producen en estas entidades clínicas, en la bibliografía médica6,7,8 se plantea que uno de los mecanismos más frecuentes de fractura cervical es la hiperflexión con disrupción, donde la fuerza traumática aplicada en la zona occipital del cráneo, de caudal a cefálico, ocasiona un componente de tracción en el complejo ligamentario posterior y, por tanto, la flexión de toda la columna cervical con eje en la columna anterior, de manera que se produce una lesión del complejo osteoligamentoso posterior, del ligamento supraespinoso, interespinoso, del ligamento amarillo, la cápsula y la apófisis espinosa.
En la columna cervical se produce fractura con arrancamiento de una parte del cuerpo anterior en forma triangular, asociado con el desplazamiento posterior o retrolistésis de los cuerpos vertebrales, lo que ocasiona daño en el ligamento longitudinal común posterior y en el disco, con la consiguiente ruptura de este. Por mecanismos de contusión y luego compresión de la arteria espinal anterior, se van a producir cambios medulares después de una hora del traumatismo, que por lo general pueden llegar hasta la necrosis y, por lo tanto, a la falta de conducción nerviosa y a la imposibilidad absoluta de recuperación medular.
Entre el trauma medular y la necrosis se pasa por alteraciones microvasculares de la sustancia gris, hemorragia periependimaria, necrosis y hemorragia central (6 horas), edema de la sustancia blanca y finalmente necrosis completa (24 horas).
Desde la perspectiva fisiopatológica se observa una secuencia de cambios dados por la producción precoz de una hiperconcentración de K+ en el espacio extracelular, con el bloqueo de la conducción nerviosa y la producción de necrosis celular, con la pérdida de gran parte de su potasio. El calcio, por el contrario, que se encuentra mayoritariamente en el espacio extracelular (mil veces más), penetra a la célula por daño de su membrana provocando lesión celular. En el trauma medular se describe además disminución del adenosintrifosfato y acumulación de ácido láctico rápidamente después del trauma.1
Las investigaciones actuales están enfrascadas a encontrar terapias médicas que eviten estos cambios o, por lo menos, sean atenuados, que estimulen o contribuyan a la regeneración celular a través de la capacidad plástica neuronal para cambiar su reactividad, como resultado de activaciones sucesivas. Esta capacidad la logra al alterar el número de neuronas o de la glía por medio de división celular o apoptosis, al formar nuevos circuitos, fortalecer o debilitar sinapsis específicas y cambiar el número de espinas dendríticas, entre otros mecanismos más.9,10
Un efecto trascendental de la magnetoterapia es su capacidad para estimular la osteogénesis, orientando arquitectónicamente las trabéculas óseas de la zona dañada, lo que interviene en la diferenciación de células madres en la dirección de fibroblastos, en la angiopoyésis, con el mejoramiento del aporte y la concentración de oxígeno y nutrientes a los tejidos, en la síntesis de energía a nivel celular, la síntesis proteica, en los mecanismos antiinflamatorios y la producción de analgésicos naturales como las endorfinas.4
Por su parte, la craneopuntura normaliza los grupos neuronales disfuncionales o hipofuncionantes, permitiendo un mejor aprovechamiento de sus potencialidades; propicia el crecimiento de las prolongaciones neuronales, estableciendo nuevas y más numerosas conexiones entre ellas y el encéfalo, posibilitando establecer muchos circuitos de alta calidad, en presencia de mecanismos sinápticos más eficientes, favoreciendo una mejoría cuanticualitativa de la memoria y las funciones particulares, así como de la actividad global del sistema nervioso, la atención, el aprendizaje, el pensamiento y la capacidad para arribar con un menor esfuerzo a superiores niveles de generalización en la coordinación perceptivo-motora, entre muchos aspectos.10
La plasticidad como capacidad inherente al sistema nervioso responde más al orden de la biología neuronal e interneuronal, por lo que requiere la participación de la neuroglia, que ejecuta acciones de neovascularización, regulación energética y modulación metabólica. La liberación presináptica de glutamato y la despolarización neuronal postsináptica van a elevar el nivel de Ca 2+, que es el primer paso que requiere, según el tipo de neurona, la activación de receptores NMDA, RmGlu y los canales de Ca2+ dependientes de voltaje (CCDV).
Tanto la magnetoterapia como la craneopuntura resultaron eficaces en la recuperación funcional de este paciente. Una vez más quedó demostrado que los agentes físicos y las técnicas bioenergéticas están desempeñando una función importante en el arsenal terapéutico actual; por lo que se recomienda usarlos en dependencia de sus efectos biológicos, en combinación con las técnicas rehabilitadoras convencionales.
*Autor para la correspondencia. Correo electrónico: mbherreras@infomed.sld.cu


