Caso clínico
Recepción: 12 Julio 2022
Aprobación: 24 Enero 2023
RESUMEN: Se describe el caso clínico de un adulto joven de 30 años de edad, con antecedente de buena salud, quien fue asistido en el Servicio de Cirugía del Hospital Universitario Manuel Ascunce Domenech en Camagüey por presentar aumento de volumen en la región abdominal de dos meses de evolución, concomitante con astenia, anorexia, vómitos y pérdida de peso. En el examen físico resultaron notables el abdomen globuloso (bazo palpable) sin dolor, un hematoma periumbilical y múltiples adenopatías supraclaviculares; en tanto, en los estudios imagenológicos se evidenció la presencia de esplenomegalia. Se realizó esplenectomía con administración de anestesia general endotraqueal y en el estudio histopatológico de la muestra resecada se confirmó el diagnóstico de linfoma primario del bazo.
Palabras clave: Linfoma primario de bazo, esplenomegalia, anestesia general endotraqueal, esplenectomía, diagnóstico histopatológico.
ABSTRACT: The case report of a 30-year-old young adult with a history of good health is described, who was assisted at the Surgery Service of Manuel Ascunce Domenech University Hospital in Camagüey due to volume increase in the abdominal region with a course of two months, concomitant with asthenia, anorexia, vomits and weight loss. Physical examination revealed a globular abdomen (palpable spleen) with no pain, a periumbilical hematoma, and multiple supraclavicular adenopathies; meanwhile, in the imaging studies splenomegaly was evidenced. Splenectomy was performed with administration of general endotracheal anesthesia and the histopathological study of the resected sample confirmed the diagnosis of primary spleenic lymphoma.
Key words: Primary spleenic lymphoma, splenomegaly, general endotracheal anesthesia, splenectomy, histopathological diagnosis.
Introducción
El bazo es un órgano localizado en el hipocondrio izquierdo. Su tamaño normal en adultos es de 12 por 7 cm y su peso, de 100 a 150 gramos; sin embargo, en ocasiones presenta un incremento patológico de esas medidas entre 2 y 3 veces, denominado esplenomegalia, lo que más comúnmente se debe a enfermedades congestivas, malignas, infecciosas, inflamatorias y hematológicas.1,2
Por su parte, el linfoma primario del bazo (LPB) es una neoplasia de escasa aparición que afecta al bazo y sus ganglios hiliares, la cual remite por un período de al menos 6 meses después de la esplenectomía. En la actualidad se le ubica en el subtipo no Hodgkin y representa menos de 1 % de los linfomas. Clásicamente se desarrolla en mujeres entre la segunda y cuarta décadas de la vida.3,4
Expertos en el tema confirman que el linfoma no Hodgkin (LNH) es un cáncer del sistema linfático en el que las células B, T o NK presentan una metamorfosis y se origina un tumor. En orden de frecuencia, las células mayormente alteradas son las B, seguidas de las T y, con relativa rareza, las NK.2
Desde el punto de vista clínico, el cuadro sintomático se caracteriza por fiebre, malestar general, pérdida de peso y dolor abdominal debido al agrandamiento del bazo.5
Para la detección del LPB son fundamentales los estudios por imagen, tales como ecografía, tomografía axial computarizada (TAC), resonancia magnética y tomografía por emisión de positrones; pero el diagnóstico definitivo se establece mediante el estudio histopatológico con técnicas de inmunohistoquímica y genotipificación.4
El tratamiento actual representa un gran desafío para la comunidad médica. Al respecto, el método más efectivo es la resección, aunque se recomienda la terapia adyuvante con agentes químicos y biológicos.6
Por lo antes expuesto, se consideró de interés informar el procedimiento anestesiológico aplicado en un paciente operado por esplenomegalia a causa de linfoma primario de bazo.
Caso clínico
Se trata de un adulto de 30 años de edad, de piel blanca, con antecedente de buena salud, quien fue asistido en el Servicio de Cirugía del Hospital Universitario Manuel Ascunce Domenech en la provincia de Camagüey por presentar aumento de volumen en la región abdominal de dos meses de evolución, además de astenia marcada, anorexia, vómitos ocasionales y pérdida de peso de aproximadamente 15 libras.
El cirujano de guardia evaluó al paciente y en el examen físico fue notable el abdomen globuloso (bazo palpable), no doloroso, con hematoma periumbilical (signo de Cullen) y múltiples adenopatías supraclaviculares (fig. 1).

Exámenes complementarios de laboratorio clínico
Los análisis clínicos de sangre mostraron los siguientes resultados:
Hematocrito: 0,28 %
Glucemia: 4,4 mmol/l
Creatinina: 67 µmol/l
Velocidad de sedimentación globular: 48 mm/h
Tiempo de coagulación: 7 segundos
Tiempo de sangrado: 2 segundos
Gamma-glutamil transferasa: 21 U/L
Conteo de plaquetas: 200 x 109/l
Leucograma: 10 x 109/l (polimorfonucleares: 0,65, linfocitos: 0,35)
Proteínas totales: 36,6 g/l
Albúmina: 35,8 g/l
Hierro sérico: 4,6 mmol/l
Lactato deshidrogenasa en suero: 1024 U/L
Fosfatasa alcalina: 169 U/L
Transaminasa glutámico-pirúvica: 7 U/L
Transaminasa glutámico-oxalacética: 23 U/L
Triglicéridos: 1,32 mmol/l
Colesterol: 3,0 mmol/l
Estudio imagenológico
Ecografía abdominal: Reveló hígado de tamaño normal con ecogenicidad del parénquima, vesícula de paredes finas, sin litiasis; páncreas de tamaño y ecogenicidad normales y esplenomegalia homogénea de 24 cm.
Tomografía axial computarizada de abdomen: Se evidenció ascitis masiva, bazo moderadamente aumentado de tamaño, densidad no homogénea, aspecto nodular con una lesión de tipo T de 100 por 94 mm de extensión hacia la zona inferior, sugestiva de linfoma por la metástasis en el bazo. Se observaron pequeñas adenopatías paraaórticas.
Dadas las condiciones anteriores, el equipo de médicos comunicó la preparación del paciente para el tratamiento quirúrgico, previa administración de dos unidades de glóbulos rojos.
Evaluación preanestésica
Se catalogaron las vías respiratorias en la clase I de la escala de Mallampati; igualmente, se identificó adentia parcial, cuello largo y cilíndrico, distancia tiromentoniana mayor de 6 cm, tráquea central y desplazable, columna vertebral normal, así como sistemas respiratorio y cardiovascular sin alteraciones.
También se evaluó el estado físico del paciente, que fue ubicado en la categoría III de la clasificación de la American Society of Anesthesiologists, con un riesgo quirúrgico malo.
En la premedicación se utilizó difenhidramina (20 mg), ondansetrón (4 mg) y midazolam (2,5 mg) por vía endovenosa; asimismo, se aplicó analgesia multimodal con diclofenaco (75 mg), tramadol (100 mg) por vía endovenosa y dipirona (1200 mg) por vía intramuscular.
Durante el periodo transanestésico los signos vitales iniciales fueron normales. Se efectuó monitorización de la saturación de oxígeno periférico (SpO2) (oximetría de pulso/pletismografía), el dióxido de carbono al final de la espiración (ETCO2), las derivaciones DII en electrocardiografía, la presión arterial invasiva, la presión venosa central (PVC), la temperatura, la diuresis y las pérdidas hemáticas.
Se aplicó anestesia general endotraqueal e inducción en secuencia rápida, preoxigenación durante 3 minutos por máscara facial con oxígeno (O2) a razón de 5 litros/min, maniobra de Sellick, ketamina (1,5 mg/kg) y bloqueo neuromuscular con rocuronio (0,6 mg/kg). La laringoscopia resultó fácil, según la escala de Cormack-Lehane, y se colocó tubo endotraqueal número 7,5, que se acopló a la máquina de anestesia sin complicaciones. En el mantenimiento de la anestesia se utilizó O2 a 50 %, aire a 50 %, fentanilo, midazolam y rocuronio por vía endovenosa.
Informe operatorio
Con el empleo de laparotomía exploradora, se aspiraron 1700 ml de líquido ascítico y se visualizó la esplenomegalia de aspecto tumoral con múltiples metástasis adénicas regionales.
Se practicó esplenectomía con ligadura vascular (arteria-vena), además de pancreatectomía distal y omentectomía (fig. 2).

Durante la operación las pérdidas hemáticas excedieron 50 % de la volemia, se transfundieron hemoderivados y se realizó gasometría, la cual mostró acidosis metabólica, hipopotasemia y hematocrito de 0,20 %, que oportunamente fueron corregidos.
Por otra parte, se mantuvieron estables los siguientes parámetros: presión arterial media en 70-90 mmHg, ETCO2 en 32-35 mmHg, SpO2 en 97-99 %, frecuencia cardiaca de 68-88 latidos por minuto, temperatura de 36-36,3 °C, PVC en 7-9 cm de agua y diuresis en 700 ml.
Al finalizar el procedimiento quirúrgico, se continuó la intubación endotraqueal en el paciente, el cual fue trasladado a la Unidad de Cuidados Intensivos. Dos días después se efectuó la extubación.
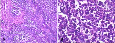
La muestra extraída se envió al Departamento de Anatomía Patológica, donde se le efectuó el estudio histopatológico que reveló la presencia de linfoma difuso de linfocitos B grandes (fig. 3).

El paciente evolucionó favorablemente y se mantuvo su seguimiento clínico en el Servicio de Oncología.
Comentarios
Se plantea que el linfoma es causa frecuente de esplenomegalia. Se origina en el tejido linfoide y se desarrolla como resultado de la expansión clonal de una línea (o sublínea) linfoide (linfocitos B, T o NK).2
Martínez Manzano et al7 plantean que los linfomas son procesos neoplásicos que se localizan con predominio en los tejidos linfoides y afectan más usualmente a los ganglios linfáticos, el bazo, el aparato gastrointestinal, la médula y la piel.8
Se estima que 75 % de estos tumores se producen en los ganglios linfáticos y el resto de forma extranodal. Sin embargo, el LPB es una neoplasia poco frecuente que daña únicamente al bazo, con ganglios linfáticos hiliares esplénicos o sin estos, y por lo general se presenta como linfoma no Hodgkin de células B.7,9
Llamativamente su prevalencia es variable, con primacía en las mujeres de entre 40 y 50 años de edad. En este caso se presentó en un hombre joven de 30 años de edad, lo cual discrepa de lo mostrado por otros investigadores,7 que citan una mayor incidencia en el sexo femenino con un pico de edad superior.
En la actualidad existe controversia en cuanto a la histogénesis de esta entidad clínica. Se alude a un mecanismo de transformación histogenético, producido por la invasión de agentes infecciosos como el virus de Epstein-Barr, virus de inmunodeficiencia humana, virus linfotrópico humano de tipo I y Helicobacter pylori. También se refiere un riesgo elevado por las enfermedades autoinmunes y la estimulación antigénica crónica. Estos producen alteraciones de los linfocitos B y T, que aumentan su número, se tornan inmortales y se manifiestan como procesos tumorales malignos.10
La mayoría de los autores indican como síntomas más referidos: fatiga, fiebre, pérdida de peso y dolor abdominal; aunque en algunos casos aparecen manifestaciones como consecuencia de la invasión directa a órganos vecinos (como el estómago, páncreas, epiplón y diafragma).6,9 El paciente de este artículo presentaba algunos de los síntomas enumerados.
En otro orden de ideas, la ecografía abdominal es fundamental en el diagnóstico del LPB y constituye el primer estudio imagenológico para detectarlo. Los hallazgos ecográficos más frecuentes son la esplenomegalia y las lesiones de variada ecogenicidad. Además, esta prueba permite demarcar una lesión linfoide con su tejido esplénico circundante y proporciona información útil sobre los diagnósticos diferenciales entre una lesión esplénica benigna y una maligna.4
La TAC, por su parte, resulta una valiosa prueba con la cual se pueden identificar 4 imágenes radiológicas: esplenomegalia homogénea, imagen miliar con nódulos entre 1-5 mm, masas de tamaño heterogéneo de entre 2-10 mm y una masa de entre 7-14 cm de diámetro, con hipodensidad central o sin esta. En el caso clínico descrito el tumor presentaba densidad no homogénea y medía por 94 mm.4
De acuerdo con lo expuesto en la bibliografía médica, la resonancia magnética y la tomografía por emisión de positrones son de utilidad; no obstante, el diagnóstico definitivo se establece con el estudio anatomopatológico.6
Debido al tamaño del tumor y los síntomas del paciente, el tratamiento indicado fue inminentemente quirúrgico; esta opción terapéutica ha sido propuesta por otros autores.2 La esplenectomía se realizó por acceso abierto, pues el procedimiento por vía laparoscópica se reserva para la esplenomegalia de causa no tumoral.
Asimismo, se decidió administrar anestesia general orotraqueal de secuencia rápida por tratarse de un paciente con tumoración abdominal, lo que implica estómago lleno y, por ende, riesgo de broncoaspiración.
Los fármacos utilizados durante la inducción e intubación endotraqueal fueron la ketamina y el rocuronio. Para mantener equilibrados los parámetros, se utilizó O2 a 50 %, aire a 50 %, fentanilo, midazolam y rocuronio, con lo que se logró la estabilidad cardiorrespiratoria y la necesaria relajación del paciente durante la exploración quirúrgica.
La monitorización invasiva y el muestreo seriado hemogasométrico resultaron eficaces para la obtención de valores adecuados en los parámetros cardiovasculares, la posterior reposición de hemoderivados y la corrección de las alteraciones del medio interno.
La medición transoperatoria de la temperatura posibilitó la prevención y el tratamiento de la hipotermia, que puede causar arritmias durante la operación, retardo en el despertar de la anestesia, entre otras complicaciones.
La analgesia multimodal proporciona alivio del dolor posoperatorio, permite una recuperación y ambulación precoz y disminuye la estadía y los costos hospitalarios. Lo anterior no se evidenció en el paciente porque mantenía ventilación artificial mecánica en el período posoperatorio inmediato.
Se debe presumir la existencia de LPB ante un paciente que refiere pérdida de peso, astenia, anorexia y aumento de volumen en el hipocondrio izquierdo, lo cual puede corroborarse con las pruebas por imágenes. El tratamiento de elección es el quirúrgico y la administración de anestesia general endotraqueal e inducción de secuencia rápida proporciona efectividad y seguridad durante la intervención.
Referencias bibliográficas
Moreno Pérez L, Blázquez Alcázar JD, Bautista Oropesiano M, Díaz Aguado J, Orueta Sánchez R. Estudio de un paciente con esplenomegalia: a propósito de un caso. Rev Clin Med Fam. 2020 [citado 24/12/2020];13(3):219-22. Disponible en: http://scielo.isciii.es/scielo.php?script=sci_arttext&pid=S1699-695X2020000300219
Oñate Silva IC, Yépez Yerovi FE. Esplenomegalia gigante secundaria a linfoma [tesis]. Ambato: Universidad Técnica de Ambato; 2018 [citado 24/12/2020]. Disponible en: https://repositorio.uta.edu.ec/jspui/bitstream/123456789/28816/1/CASO%20CLINICO%20IMPRESION%20FINAL%20%281%29.pdf
Baiomy TA, Harb OA, Obaya AA, Gertallah LM. Primary splenic non-Hodgkin lymphoma of diffuse large B cell type; a case report and review of the literature. Human Pathology: Case Reports. 2020 [citado 24/12/2020];22. Disponible en: https://www.sciencedirect.com/science/article/pii/S2214330020301085?via%3Dihub
Vergara Miranda H, Alvarez Lozada LA, Pacheco Molina C, Quiroga Garza A. Manejo de linfoma primario de bazo en paciente con VIH-SIDA: Reporte de caso. International Journal of Medical and Surgical Sciences. 2020 [citado 24/12/2020];7(2):53-60. Disponible en: https://revistas.uautonoma.cl/index.php/ijmss/article/view/482/503
Safe P, Moradi Ghadi MA, Alipour Faz A, Peyvandi H. Primary Splenic Lymphoma, a Rare yet Possible Diagnosis: A Case Report and Review of the Literature. Int J Cancer Manag. 2019 [citado 24/12/2020];12(9):e96494. Disponible en: https://brieflands.com/articles/ijcm-96494.html
Sharma P, Kochar P, Gandhi D, Olsavsky T, Pucar D. Primary Splenic Lymphoma Presenting as Large Left Upper Quadrant Mass: Case Report with Literature Review. EC Clinical and Medical Case Reports. 2019 [citado 24/12/2020];2(9):1-5. Disponible en: https://www.researchgate.net/profile/Darshan_Gandhi5/publication/337719642_Primary_Splenic_Lymphoma_Presenting_as_Large_Left_Upper_Quadrant_Mass_Case_Report_with_Literature_Review_Case_Report/links/5de6a5f8299bf10bc33d4f1f/Primary-Splenic-Lymphoma-Presenting-as-Large-Left-Upper-Quadrant-Mass-Case-Report-with-Literature-Review-Case-Report.pdf
Martínez Manzano A, Balsalobre Salmerón MD, García López MA. Linfoma primario de bazo difuso de células grandes B doble hit: un subtipo de mal pronóstico. Rev Colomb Cancerol. 2018 [citado 24/12/2020];22(4):143-5. Disponible en: http://www.scielo.org.co/pdf/rcc/v22n4/0123-9015-rcc-22-04-143.pdf
Llorens Núñez MR, Rodríguez Silva H, Vilorio Haza PL. Linfoma no Hodgkin folicular primario del bazo. Rev Cubana Med. 2017 [citado 24/12/2020];56(3):220-6. Disponible en: http://scielo.sld.cu/pdf/med/v56n3/med08317.pdf
Siddiqui MR, Rahman MM, Masum MH, Khan AW, Haque M, Saeed A. Primary Splenic Lymphoma (PSL): A Rare Presentation of Lymphoma. Anwer Khan Modern Medical College Journal. 2018;9(2):152-3.
Bello A, De la Vega F, Redondo K, Riuz K, Mendoza L, Lora M. Linfoma esplénico de la zona marginal. Acta Med Colomb. 2015 [citado 24/12/2020];40(1):62-5. Disponible en: http://www.scielo.org.co/pdf/amc/v40n1/v40n1a13.pdf
Notas de autor
*Autor para la correspondencia. Correo electrónico: yudelky.cmw@infomed.sld.cu
Declaración de intereses