Resumen: Los encefaloceles son protrusiones de estructuras intracraneales a través de un defecto en el cráneo, resultantes de la fusión defectuosa de cartílagos y alteración en el proceso de osificación. Lo más frecuente es que el saco contenga meninges y tejido encefálico. Éstos pueden clasificarse de acuerdo con el lugar de la lesión en: parietal, occipital, anterior, frontal, nasofrontal, nasoetmoidal, nasoorbital y basales. Se presenta un caso poco documentado en la literatura, de un feto con 21 semanas de gestación, en el cual, la falta de desarrollo de los núcleos de osificación de la porción basilar del occipital y la parte posterior del esfenoide originó un canal que ocasiona la herniación de estructuras como el lóbulo occipital, meninges, líquido cefalorraquídeo, tallo cerebral y la glándula hipófisis hacia la cavidad oral.
Palabras clave:encefaloceleencefalocele,canal craneofaríngeocanal craneofaríngeo,polihidramniospolihidramnios.
Abstract: The encephaloceles are protrusions of intracranial structures through a defect in the skull, resulting from the defective fusion of cartilages and alteration in the ossification process. Most often the sac contains meninges and encephalic tissue. These can be classified according to the location of the lesion in: parietal, occipital, anterior, frontal, nasofrontal, nasoethmoidal, nasoorbital and basal. A case not documented in the literature of a fetus with 21 weeks of gestation is presented, in which the lack of development of the ossification core of the basilar portion of the occipital and the posterior part of the sphenoid originated a canal that causes the herniation of structures such as the occipital lobe, meninges, cerebrospinal fluid, brain stem and pituitary gland into the oral cavity
Keywords: Encephalocele, craniopharyngeal canal, polyhydramnios.
Canal esfenoido-occipital con hidromieningoencefalocele oral.
Sphenoid-occipital canal with oral hydromyingoencephalocele.
Recepción: 22 Abril 2017
Aprobación: 31 Julio 2017
Desde la vida embrionaria el cráneo puede dividirse en dos partes: el neurocráneo, que forma una cubierta protectora para el encéfalo y se divide en una porción membranosa (bóveda) y una porción cartilaginosa (base del cráneo), y el viscerocráneo, que constituye el esqueleto de la cara. El neurocráneo cartilaginoso está formado, en un comienzo por varios cartílagos separados. Los que se encuentran por delante del límite rostral de la notocorda, que terminan a nivel de la glándula hipófisis en el centro de la silla turca, derivan de las células de la cresta neural. Los que se encuentra por detrás de este límite se originan en el mesodermo paraxial. Cuando estos cartílagos se fusionan y osifican por el proceso se osificación endocondral, se forma la base del cráneo (1). La base del hueso occipital está formada por el cartílago paracordal y por los cuerpos de tres escIerotomas occipitales. Por delante de la lámina de la base occipital están los cartílagos hipofisarios y las trabéculas craneales. Estos cartílagos se fusionan para formar el cuerpo del esfenoides y el etmoides, respectivamente. De esta manera se origina una placa mediana alargada de cartílago, que va desde la región nasal hasta el borde anterior del agujero occipital (foramen magnum) (1).
El esfenoides representa una estructura compleja en términos de anatomía y embriología. De hecho, está formada por la fusión de diferentes primordios cuyos orígenes embrionarios son diferentes, pudiendo distinguir dos componentes de este hueso: el orbitofenoide y el basi- pos-esfenoides derivan del mesodermo cefálico mientras que el alisfenoide y el basi-pre-esfenoides proceden del origen de la cresta neural (2).
Los resultados de la fusión defectuosa de los cartílagos post esfenoideos en ausencia del cierre del tallo entre la bolsa de la adenohipofisis y estomadeo forma un canal residual que se extiende desde la silla turca hasta la faringe llamado canal cráneo faríngeo persistente (3) (4).
El canal craneofaríngeo persistente presenta un remanente del tallo de la bolsa de Rathke que va a través de la sincondrosis esfenoidal entre el pre esfenoide y el post esfenoide, por un conducto vertical en el basiesfenoide, se extiende desde el piso de la silla turca hasta la superficie inferior de este hueso y conecta la fosa pituitaria con la cavidad nasofaríngea (5).
Durante la ontogenia, parte de la bolsa de Rathke, una bolsa fisiológicamente superior del ectodermo estomodeal, puede permanecer, formando la anomalía usual conocida como quiste hendido de Rathke. Más rara vez, sin embargo, la bolsa entera (es decir, el canal craneofaríngeo) permanece, dando como resultado meningoencefalocele transesfenoidal (6).
Los encefaloceles son protrusiones de estructuras intracraneales a través de un defecto en el cráneo. Lo más frecuente es que el saco contenga meninges y tejido encefálico. La incidencia de encefalocele es de 8:10000. Los encefaloceles pueden clasificarse de acuerdo con el lugar de la lesión en: parietal, occipital, anterior, frontal, nasofrontal, nasoetmoidal, nasoorbital y basales (7). El diagnóstico diferencial debe hacerse con otros tumores de la cavidad oral como el epignatus, craneofaringiomas, épulis y hamartomas.
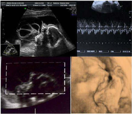
Paciente de 20 años de edad, procedente del estado Carabobo, de ocupación asistente administrativo, primigesta, con embarazo de 21 semanas, quien acude a la unidad de perinatología del Hospital materno-infantil “Dr. José María Vargas” para evaluación morfogenética del segundo trimestre. Sin antecedentes familiares y personales pertinentes, con un solo control prenatal para el momento de la evaluación. Se realizan estudios de laboratorio de rutina prenatal sin alteraciones y el cariotipo reporta feto 46 XY normal. El estudio ecográfico perinatal revela embarazo de 21 semanas con feto único, longitudinal, podálico, posición derecha anterior con imagen que emerge de cavidad bucal con aspecto ecomixto, lobulado (fig. 1, 2, 3) y polihidramnios con índice de líquido amniótico ILA P>95, planteándose como diagnósticos aparte de encefalocele anterior, épulis, epignatos, hamartomas entre otros tumores que protruyen a través de la cavidad oral. Resto del examen sin alteraciones. La finalización del embarazo se realiza por vía vaginal en la misma semana. En la autopsia perinatal se evidencia gran masa oral (fig. 4 y 5), con un componente quístico y sólido secundario debido al conducto esfenoideoccipital persistente. El contenido del encefalocele basal además de meninges y líquido cefalorraquídeo fue el lóbulo occipital, parte del tronco encefálico y la glándula pituitaria (fig. 6).






La falta de desarrollo de los núcleos de osificación de la porción basilar del occipital y la parte posterior del esfenoide dio origen a un canal que ocasiona la herniación de estructuras como el lóbulo occipital, meninges, líquido cefalorraquídeo, tallo cerebral y la glándula hipófisis. En la literatura no existe reporte de diagnóstico antenatal previo a éste. Los casos descritos de persistencia de canal craneofaríngeo se han puesto de manifiesto como hallazgo ocasional en la vida adulta. Se evidencia asociado a otras alteraciones como síndrome de Arnold Chiari y agenesia del cuerpo calloso, incluso, presentando manifestaciones clínicas como rinorrea persistente, meningitis y distrés respiratorio (8,9).
Este caso fue evaluado por varios especialistas de reconocida trayectoria en la medicina materno fetal, entre los que se encuentra el maestro Dr. Sosa Olavarría, gracias al cual pudimos obtener el diagnóstico definitivo y la correlación anatomo-patologica, quien consideró que se trataba de un caso no publicado en la literatura internacional.





