Ensayo iconográfico
Recepción: 09 Enero 2015
Aprobación: 06 Abril 2016
DOI: https://doi.org/10.1016/j.rard.2016.04.009
Resumen:
Si bien el diagnóstico de hernias de la pared abdominal es clínico y el estudio más indicado es la ecografía, en una gran cantidad de casos es difícil su evaluación o no se sospecha su presencia debido al biotipo del paciente, la ausencia de síntomas, la aparición de complicaciones o corresponde a algún tipo de hernia poco frecuente. Además, la debilidad de la pared abdominal generada por una cirugía predispone a la eventración de órganos, a veces poco habituales, como el hígado, la vejiga o el apéndice. La utilización de la tomografía computada multidetector (TCMD) brinda grandes ventajas cuando resulta dificultoso establecer el diagnóstico por otros métodos. También puede ser un hallazgo incidental a tener en cuenta por sus posibles complicaciones futuras.
En el presente trabajo describimos los principales hallazgos por TCMD de las hernias y eventraciones de la pared abdominal (como la umbilical, epigástrica, hipogástrica, inguinal, de Spiegel, lumbar, obturatriz, intercostal e incisional) y su contenido.
Palabras clave: Hernia, Pared abdominal, Tomografía computada multidetector.
Abstract:
Although the diagnosis of abdominal wall hernias is clinical, and the most appropriate study is ultrasound, in a lot of cases they are difficult to evaluate, or their presence is not suspected because of the biotype of the patient, the absence of symptoms, the presence of complications, or the appearance of rare hernias. Surgery weakness generated in the wall leads to organ hernia, sometimes unusual, as in the liver, bladder, or appendix. The use of multidetector computed tomography (MDCT) is a great advantage in these situations where the diagnosis can be difficult to determine with other methods. It also can be an incidental finding to consider eventual complications.
In this paper, the main MDCT findings in abdominal wall hernias are described, including umbilical, epigastric, hypogastric, inguinal, Spiegel, lumbar, obturator, intercostal, and incisional, as well as their content.
Keywords: Abdominal wall, Hernia, Multidetector computed tomography.
Introducci??n
Las hernias del abdomen consisten en la protrusi??n del contenido abdominal a trav??s de una debilidad anat??mica, mientras que las eventraciones son la protrusi??n subcut??nea del contenido intraabdominal a trav??s de una zona debilitada de la pared abdominal o lumbar como consecuencia de una intervenci??n quir??rgica, una brecha posterior a un traumatismo cerrado o a una malformaci??n cong??nita (hernias incisionales, seg??n la literatura anglosajona)1.
La predisposici??n para su desarrollo suele estar relacionada con cualquier causa que genere aumento de la presi??n intraabdominal1. Entre las m??s comunes se encuentran la obesidad, la tos cr??nica y la ascitis. Adem??s, hay que tener en cuenta las condiciones que favorecen el debilitamiento localizado o generalizado de la pared abdominal, como el envejecimiento, los traumatismos, las cirug??as previas y las colagenopat??as2.
Las hernias de la pared abdominal suelen ser un hallazgo frecuente en la tomograf??a computada multidetector (TCMD), pudiendo ser desde peque??as con contenido graso hasta voluminosos sacos con contenido de asas u ??rganos3. Este m??todo provee un excelente detalle anat??mico de la pared abdominal, facilitando la identificaci??n precisa de las hernias all?? ubicadas y su diferenciaci??n con otras masas abdominales, como tumores, hematomas o abscesos. A su vez, determina la presencia de eventraciones en pacientes dif??ciles de evaluar (p. ej. obesos, reci??n operados o personas con cicatrices en la pared abdominal)3.
Las hernias de la pared abdominal que se pueden encontrar desde el sector cef??lico hasta el caudal son las epig??stricas, las ventrales, las de Spiegel, las lumbares, las inguinales, las femorales y la obturatriz. Por su parte, las eventraciones se localizan en cualquier sitio, dado que no siguen un orden cefalocaudal. Su clasificaci??n precisa se puede establecer mediante reparos anat??micos4.
El objetivo del presente trabajo es describir los hallazgos por TCMD de los distintos tipos de hernias y eventraciones de la pared abdominal (inguinal, femoral, obturatriz, de Spiegel, lumbar, intercostal y ventral) y su contenido, evaluando la presencia de atrapamiento y obstrucci??n (tabla 1).

Revisi??n de tema
Hernias inguinales
La hernia inguinal, sea directa o indirecta, es la m??s com??n de la pared abdominal. Ocurre tanto en ni??os (de forma indirecta con m??s frecuencia) como en adultos (tanto directa como indirectamente), y en hasta el 15% de los atletas que refieren pubalgia5.
El canal inguinal es un conducto diagonal bordeado por las aponeurosis de los tres m??sculos de la pared abdominal. La pared anterior est?? conformada por las aponeurosis de los m??sculos oblicuos interno y externo, la posterior por la fascia transversalis y el tend??n conjunto, la superior por las aponeurosis de los m??sculos transversos y el oblicuo interno, y la inferior por el ligamento inguinal de Poupart1.
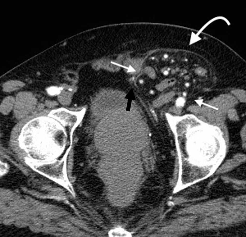
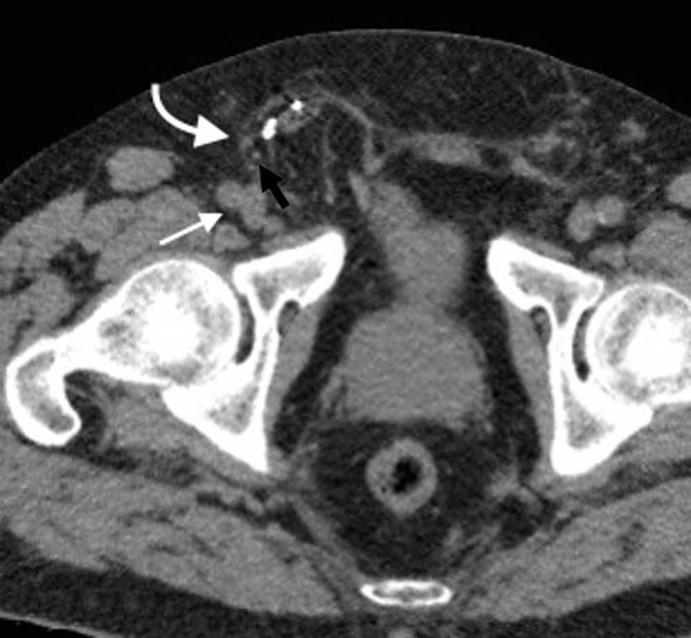
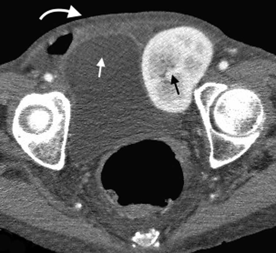
La hernia inguinal indirecta atraviesa el anillo inguinal interno, recorre el conducto y emerge a trav??s del anillo externo, sobresaliendo superior y externamente a los vasos epig??stricos inferiores. Puede extenderse por el conducto esperm??tico o el ligamento redondo hacia el escroto o los labios mayores, respectivamente. Es posible ver el cuello del saco herniario en el anillo inguinal profundo1 (fig. 1). Un hallazgo que ayuda a su caracterizaci??n es el signo del gancho. Este debe su nombre a la forma c??ncava que adopta la arteria epig??strica inferior en el plano axial en su curso proximal, al ser comprimida por una hernia indirecta6.

En lo que respecta a la directa, esta se ubica por encima del ligamento inguinal y medial a los vasos epig??stricos inferiores, y en general es adquirida. Su incidencia aumenta con la edad por el debilitamiento de la fascia transversal en el tri??ngulo Hesselbach1. Suele ser m??s frecuente en hombres y est?? menos asociada a la estrangulaci??n de las asas, posiblemente porque en general no atraviesa todo el curso del canal4 (fig. 2). El contenido del canal inguinal es comprimido lateralmente, mientras que su grasa se ubica como una luna creciente, produciendo el signo de la semiluna creciente (un hallazgo que ayuda a la caracterizaci??n de estas hernias)7.

Hernia femoral
Menos frecuente que la inguinal, esta se produce cuando el contenido peritoneal penetra el canal femoral junto con la arteria y la vena femoral4. Esta región tiene una configuración más sencilla que el canal inguinal, se forma con el ligamento inguinal hacia arriba, el borde medial del m??sculo aductor hacia dentro, el m??sculo sartorio hacia afuera y los m??sculos psoas il??aco, pect??neo y el aductor largo haciendo de piso8. La principal característica del triángulo es la vaina femoral, que es una condensaci??n de la fascia profunda (fascia lata) del muslo y contiene, en direcci??n lateral-medial, a la arteria, la vena y el canal femoral1. Es más frecuente en mujeres y del lado derecho4.
En la TCMD el cuello del saco herniario se identifica como una estrecha protrusi??n a trav??s del anillo femoral, en direcci??n caudal al origen de los vasos epig??stricos inferiores y de forma medial a la vena femoral com??n, que frecuentemente aparece comprimida por el saco herniario (fig. 3). A veces en la evaluaci??n cl??nica resulta dif??cil distinguir una hernia femoral de una inguinal, por lo que la TCMD tiene un rol importante en su diferenciaci??n y valoraci??n del contenido2. Lo m??s com??n es visualizar asas de intestino delgado dentro del saco herniario, pero tambi??n se puede encontrar el ap??ndice dentro de este canal. Esto ??ltimo es poco frecuente (1% de los casos) y recibe el nombre de hernia De Garengeot9 (tabla 2).


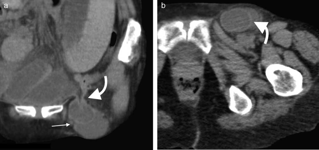
Hernia obturatriz
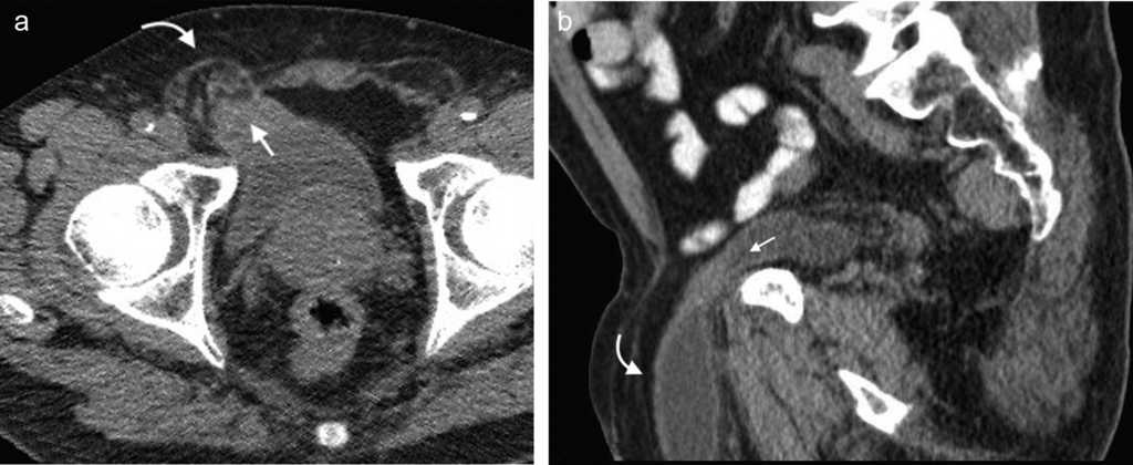
Su diagnástico clínico es difícil porque su incidencia es infrecuente, su localizaci??n profunda y tiene pocos signos o s??ntomas espec??ficos, como los relacionados con la compresi??n del nervio obturador (signo de Howship-Rombeng)10. El foramen obturador se conforma por la continuidad de los huesos isqui??ticos y p??bicos, y est?? cubierto por la membrana obturatriz, excepto en el receso anterosuperior donde es perforada por la arteria, la vena y el nervio obturador, que viajan a lo largo del t??nel de 2-3 cm formado por los m??sculos obturadores internos y externos. A trav??s de este defecto, se produce la hernia peritoneal11.
Es m??s com??n en mujeres mult??paras de edad avanzada debido a la debilidad generada en el piso p??lvico, aunque tambi??n se ve en pacientes con aumento de la presi??n abdominal y ancianos debilitados1.
Su diagn??stico espec??fico se puede hacer si en la TCMD de pelvis se visualiza el intestino herniado entre los m??sculos pect??neo y obturador externo con obstrucci??n del intestino delgado sin una causa aparente3 (fig. 4).

Hernia de Spiegel
Es una hernia ventral adquirida poco frecuente4. Ocurre por un defecto en la aponeurosis de los m??sculos oblicuo interno y transverso abdominal, y tiene una localizaci??n caracter??stica en la uni??n de las l??neas semilunar y semicircular o arqueada3. Es lateral al recto anterior del abdomen e inferior al ombligo, y casi siempre se encuentra justo por encima del punto en el que los vasos epig??stricos inferiores perforan la pared posterior de la vaina del m??sculo recto del abdomen1.
Su diagn??stico cl??nico no es f??cil porque esta hernia se extiende entre las capas musculares o fasciales de la pared abdominal anterior. El orificio herniario puede ser peque??o, dif??cil de localizar y tener grasa omental (fig. 5a), asas de intestino delgado (fig. 5b) o implantes metast??sicos12 (fig. 6).


Hernia lumbar
Puede producirse por puntos d??biles en la pared abdominal posterolateral4. Estos son: el tri??ngulo lumbar superior o de Grynfelt, limitado hacia arriba por la duod??cima costilla, hacia adentro por el m??sculo cuadrado lumbar, lateralmente por el m??sculo oblicuo interno y hacia atr??s por el m??sculo espinal; y el tri??ngulo inferior o de Petit, confinado por el m??sculo oblicuo externo en sentido anterior, el m??sculo dorsal ancho en sentido posterior y la cresta il??aca en sentido inferior2,13.
En su mayor??a estas hernias son adquiridas (espont??neas, postraum??ticas o posoperatorias). Las espont??neas representan aproximadamente el 50% de todas las de la zona lumbar y con mayor frecuencia ocurren en el tri??ngulo superior, con un contenido que puede ser de asas intestinales, grasa retroperitoneal o el ri????n14.
Los s??ntomas suelen ser variables y confusos. Algunas veces la consulta se debe a un dolor lumbar o a una neuralgia posincisional1 (fig. 7).

Hernia intercostal
Denominada como hernia intercostal abdominal por algunos autores, constituye una entidad rara de la que se sabe muy poco15. Produce una protrusi??n de grasa o v??sceras abdominales a trav??s de un espacio intercostal bajo, manteniendo el diafragma intacto. Se cree que sus etiolog??as m??s frecuentes son los traumatismos o las cirug??as.
Con mayor frecuencia aparece debajo del noveno arco costal y los s??ntomas por los que consultan los pacientes son hinchaz??n del t??rax inferior y dolor. Sus complicaciones son similares a las de las dem??s hernias: esto es, encarcelaci??n y estrangulaci??n (fig. 8).

El diagn??stico se hace mediante TCMD. Esta detecta el saco herniario protruyendo entre los arcos costales16.
Hernia ventral
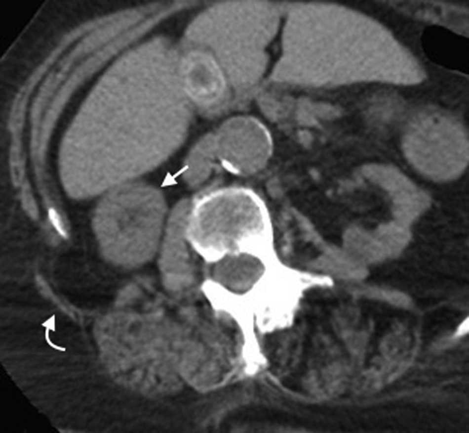
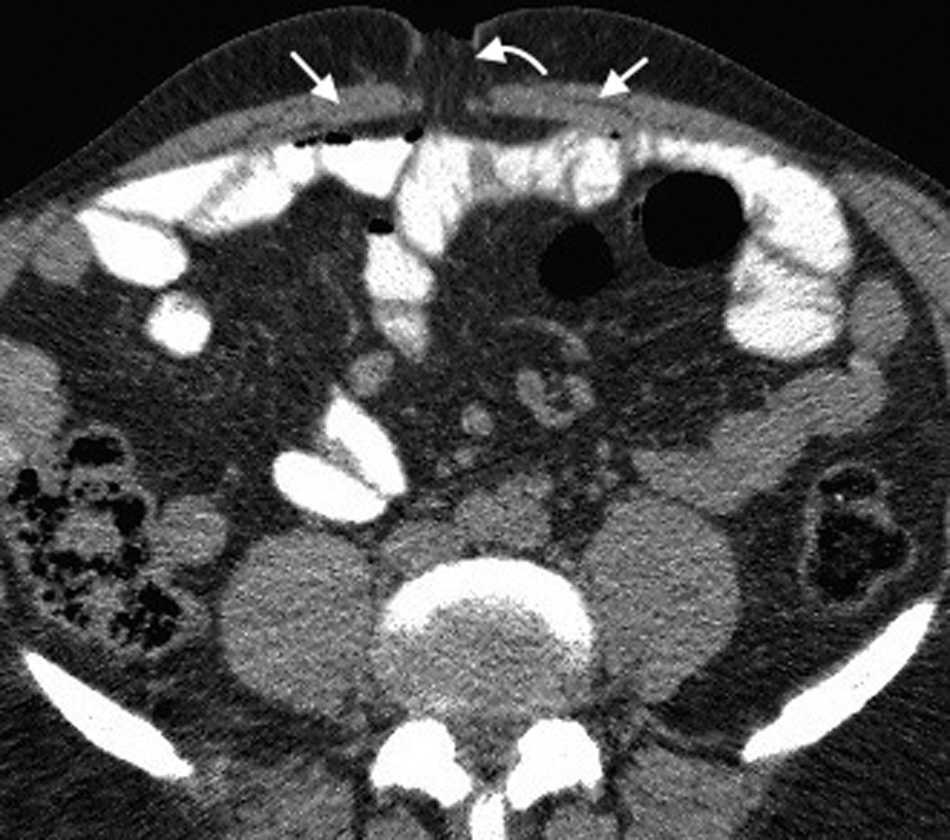
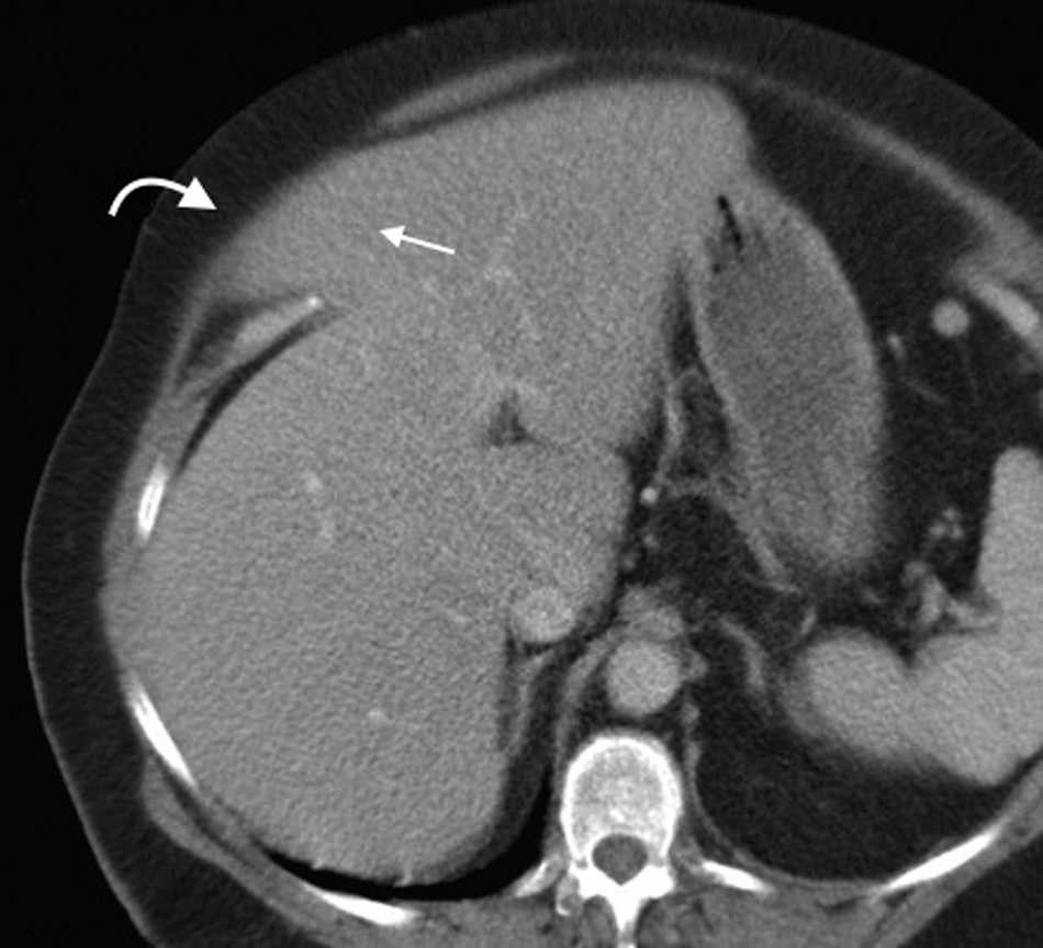
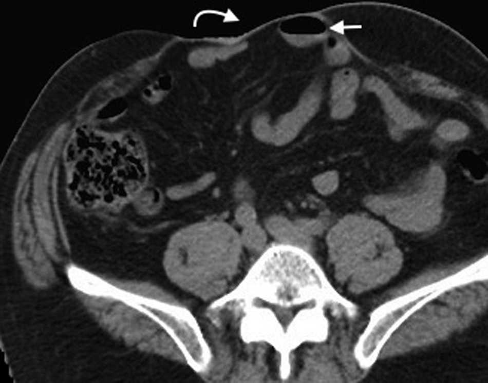
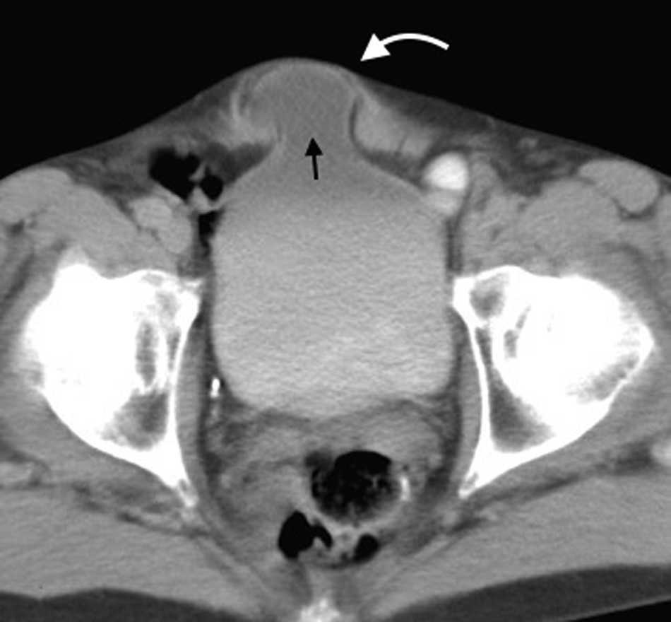
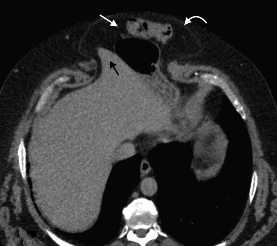
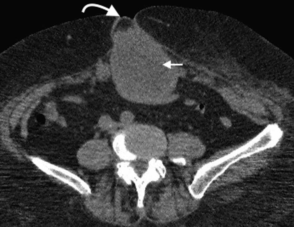
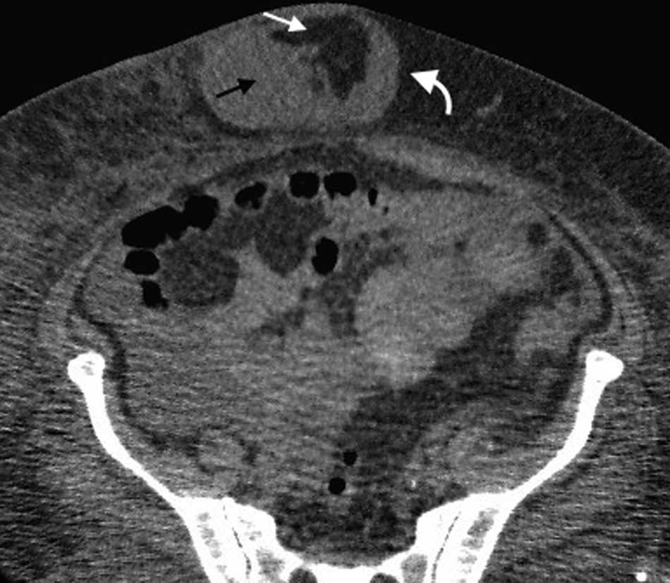
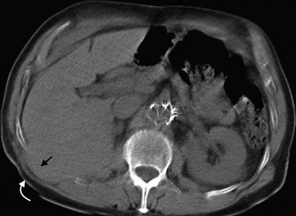
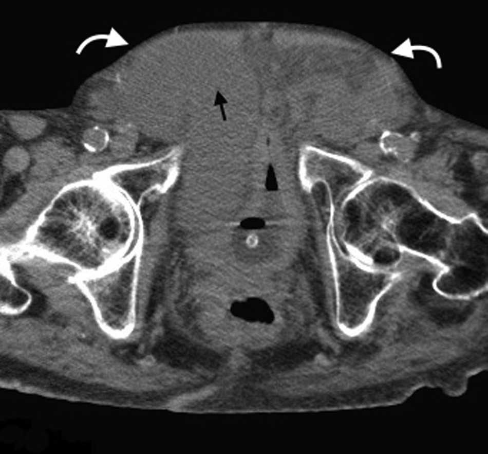
Incluye todas las hernias de la pared abdominal en su regi??n anterior y lateral, como las hernias umbilicales, epig??stricas e hipog??stricas1. Las umbilicales se generan a partir de la protrusi??n del contenido abdominal a trav??s del anillo umbilical. Son las m??s frecuentes y tienen un tama??o variable, siendo desde muy peque??as (lo m??s habitual) hasta medianas17 (fig. 9). Se presentan diez veces m??s en mujeres y sus factores de riesgo son los embarazos m??ltiples, la ascitis y la obesidad3 (fig. 10). Por su parte, las epig??stricas se producen en la l??nea alba entre la ap??fisis xifoides (fig. 11) y el ombligo, mientras que las hipog??stricas tienen lugar en la l??nea media por debajo del ombligo1.



Eventraci??n
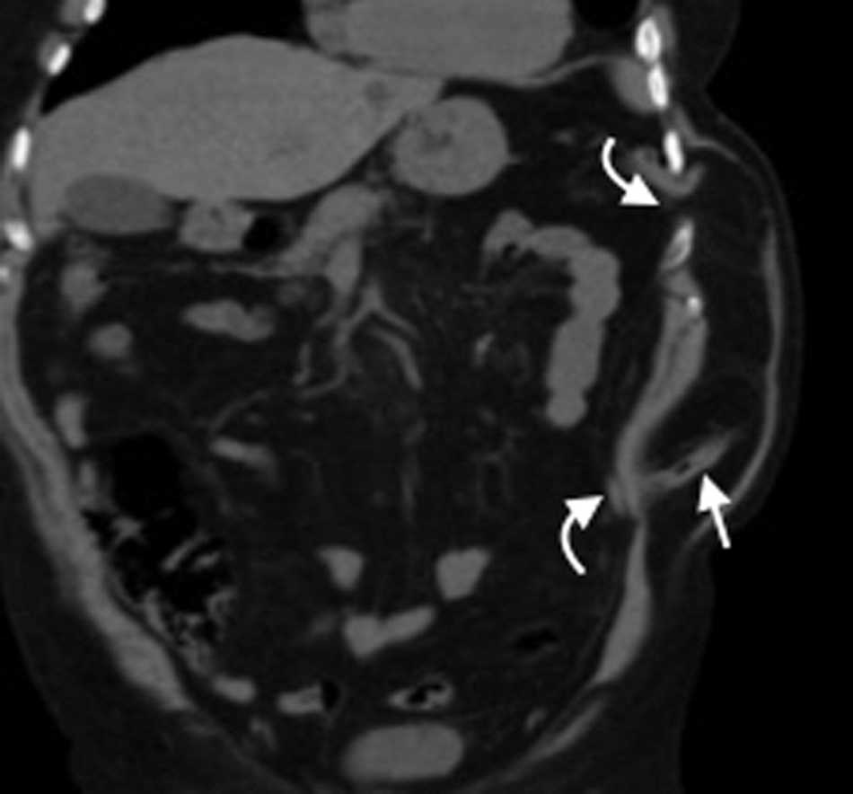
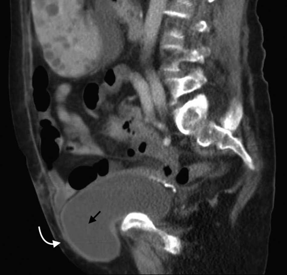
Representa una protrusi??n subcut??nea del contenido intraabdominal a trav??s de una zona debilitada de la pared abdominal o lumbar como consecuencia de una intervenci??n quir??rgica, una brecha posterior a un traumatismo cerrado o una malformaci??n cong??nita. Puede producirse en cualquier incisi??n quir??rgica sobre la pared abdominal, incluyendo los orificios de los trocares de laparoscopia. Es m??s frecuente en las incisiones verticales que en las transversales1.
La mayor??a se desarrolla durante los primeros 4 meses despu??s de la cirug??a, un per??odo cr??tico para la curaci??n de las capas musculares de la pared abdominal18. Se puede manifestar con signos y s??ntomas en su primer a??o, aunque un 5-10% permanece silente durante un per??odo prolongado hasta su detecci??n2.
Los estudios radiol??gicos pueden ser utilizados para visualizar los segmentos herniados y evaluar las complicaciones asociadas, tal como la obstrucci??n intestinal. Muchas veces se usan en evaluaciones dificultosas, como en pacientes de marcada obesidad o que tienen contenido herniario f??cilmente reductible o cicatrices de gran tama??o19 (figs. 12 y 13).


Contenido
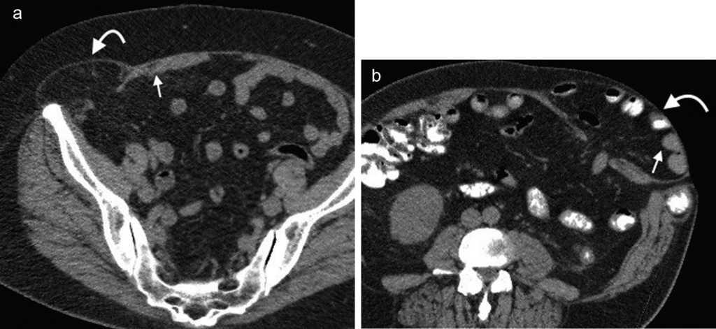
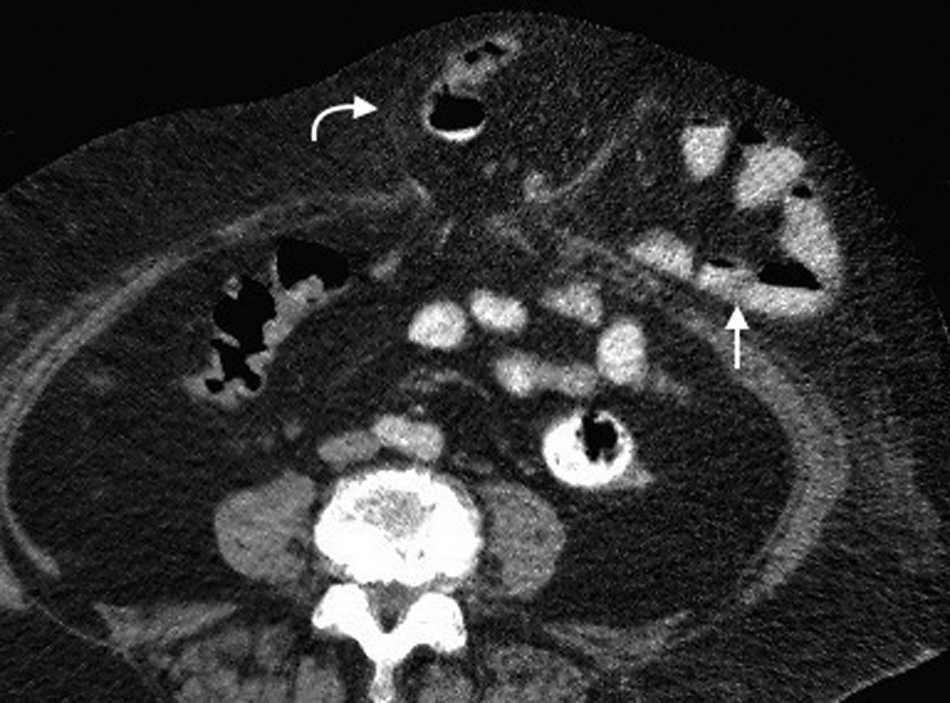
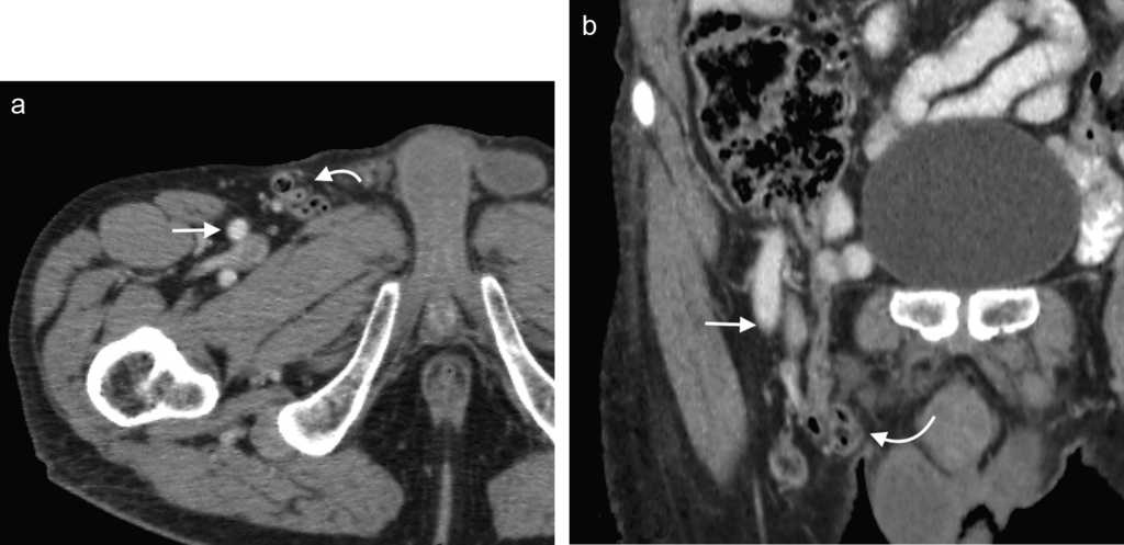
El contenido est?? relacionado con los diferentes sitios de debilidad de la pared. A nivel epig??strico se encuentra una herniaci??n del antro g??strico, del l??bulo hep??tico izquierdo (fig. 14) o de la ves??cula biliar (fig. 15). Por su parte, dentro de las umbilicales puede haber grasa peritoneal, asas intestinales, implantes metast??sicos (n??dulo de la hermana Mar??a Jos??) (fig. 16) o l??quido asc??tico (fig. 17). En la hernia de Spiegel suele visualizarse grasa y asas intestinales, mientras que las obturatrices muchas veces son descubiertas porque el paciente presenta un cuadro de obstrucci??n intestinal mec??nica que ayuda al diagn??stico. En cuanto a la lumbar, se puede herniar grasa, el polo renal o el l??bulo hep??tico derecho (fig. 18). En el caso de la inguinal, esta tiene un contenido muy variado, aunque la grasa peritoneal y las asas son los m??s frecuentes (fig. 19). Adem??s, puede herniar ??rganos intrapelvianos, como la vejiga (cistocele) (fig. 20) o el ap??ndice (hernia de Amyand)20 (fig. 21), y si se produce la herniaci??n del ap??ndice dentro del canal crural, se denomina hernia De Garengeot9 (fig. 22). Finalmente, en las eventraciones se observan asas de intestino delgado y grueso, ri??ones trasplantados (fig. 23) y vejigas (fig. 24).











Conclusi??n
Resulta de gran importancia conocer la anatom??a de la pared abdominal y la relaci??n de las hernias o eventraciones con estructuras vasculares, fascias y planos musculares, ya que ello determina el tipo de hernia. La TCMD ha demostrado ser de gran utilidad para tal fin, pudiendo incluso definir el contenido de las mismas.
Confidencialidad de los datos
Los autores declaran que han seguido los protocolos de su centro de trabajo sobre la publicaci??n de datos de pacientes y que todos los pacientes incluidos en el estudio han recibido informaci??n suficiente y han dado su consentimiento informado por escrito.
Conflicto de intereses.
Los autores declaran no tener ning??n conflicto de intereses, excepto el Dr. Kozima que declara como posible conflicto de inter??s ser parte de la Comisi??n Directiva de la SAR.
Bibliografía
Merello Lardies J. Pared abdominal. Hernias y eventraciones. Cirugía de Michans.. Buenos Aires: El Ateneo; 2008. 417-50
Murphy K.P, O’Connor O.J, Maher M.M. Adult abdominal hernias. AJR Am J Roentgenol. 2014; 202:W506-11
Balfe D, Gratz B, Peterson C. Anatomía normal del abdomen y la pelvis. Computed body tomography with MRI correlation.. Philadelphia: Lippincott Williams & Williams; 2007. 10
Jeffrey B, Federle M.P. Hernias externas. Diagnostic imaging:. Abdomen. Madrid: Marbán; 2011. 2
Koulouris G. Imaging review of groin pain in elite athletes: an anatomic approach to imaging findings. AJR Am J Roentgenol. 2008; 191:962-72
Cubero Carralero J, Gonzalez Cabestreros S, Corral Ramos B, Fernandez Jara J, Ferreiro Arguelles C, Martinez-Perez M. Let The Hook Sign get you off the hook: an easy way to diagnose indirect inguinal hernias with axial images in MDCT. Radiological Society of North America, 2013. Scientific Assembly and Annual Meeting, December 1-6, 2013, Chicago IL. Disponible en: http://archive.rsna.org/2013/13016741.html (Consultado Mar 2016).
Burkhardt J, Arshanskiy Y, Munson J.L, Scholz F.J. Diagnosis of inguinal region hernias with axial CT: the lateral crescent sign and other key findings. Radiographics. 2011; 31:E1-E12
Shadbolt C.L, Heinze S.B, Dietrich R.B. Imaging of groin masses: inguinal anatomy and pathologic conditions revisited. Radiographics. 2001; 21:S261-71
Chin C.M, Lim K.L. Appendicitis: atypical and challenging CT appearances. Radiographics. 2015; 35:123-4
Cubillo E. Obturator hernia diagnosed by computed tomography. AJR Am J Roentgenol. 1983; 140:735-6
Keogan M.T, Paulson E.K. Gastrointestinal case of the day. Obturator hernia causing small bowel obstruction. AJR Am J Roentgenol. 1995; 165:192-3
Harrison L.A, Keesling C.C, Martin N.L, Lee K.R, Wetzel L.H. Abdominal wall hernias: review of herniography and correlation with cross-sectional imaging. Radiographics. 1995; 15:315-32
Baker M.E, Weinerth J.L, Andriani R.T, Cohan R.H, Dunnick N.R. Lumbar hernia: diagnosis by CT. AJR Am J Roentgenol. 1987; 148:565-7
Lassandro F, Iasiello F, Pizza N.L, Valente T, Stefano M.L, Grassi R, et al. Abdominal hernias: radiological features. World J Gastrointest Endosc. 2011; 3:110-7
Erdas E, Licheri S, Caló P.G, Pomata M. Acquired abdominal intercostal hernia: case report and systematic review of the literature. Hernia. 2014; 18:607-15
Carreño Sáenz O, Montilla Navarro E, Aguilar Martí M, Bonafé Diana S, Carbonell Tatay F. Hernia intercostal abdominal traumática con preservación de diafragma: comunicación de un caso. Rev Hispanoam Hernia. 2013; 1:105-7
Aguirre D.A, Santosa A.C, Casola G, Sirlin C.B. Abdominal wall hernias: imaging features, complications, and diagnostic pitfalls at multi–detector row CT. Radiographics. 2005; 25:1501-20
Ghahremani G.G, Jimenez M.A, Rosenfeld M, Rochester D. CT diagnosis of occult incisional hernias. AJR Am J Roentgenol. 1987; 148:139-42
Zarvan N.P, Lee Jr. F.T, Yandow D.R, Unger J.S. Abdominal hernias: CT findings. AJR Am J Roentgenol. 1995; 164:1391-5
Bhosale P.R, Patnana M, Viswanathan C, Szklaruk J. The inguinal canal: anatomy and imaging features of common and uncommon masses. Radiographics. 2008; 28:819-35
Notas de autor
Autor para correspondencia. gabimatzke@hotmail.com