Revisiones de tema
Recepción: 26 Junio 2015
Aprobación: 07 Junio 2016
DOI: https://doi.org/10.1016/j.rard.2016.06.005
Resumen:
La ecografía constituye un método de diagnóstico por imágenes seguro, no invasivo, portátil, de bajo costo y fácilmente reproducible, que brinda excelentes resultados cuando es realizado por un operador entrenado. Sin embargo, dado que en ciertas circunstancias se la utiliza mal, ha sido superada por el crecimiento y desarrollo vertiginosos de la tomografía computada y la resonancia magnética.
Muchos profesionales de la salud, incluidos los radiólogos, desconocen los beneficios de la ecografía y las situaciones en las que constituye la primera y probablemente única modalidad diagnóstica necesaria. Esto, a medida que pasan los años, acrecienta la brecha entre este método y otros más avanzados en tecnología.
El American Institute of Ultrasound in Medicine (AIUM) lidera una campaña denominada Ultrasound first, cuya finalidad consiste en crear conciencia en los médicos sobre la utilización de la ecografía como primera herramienta diagnóstica por su seguridad (al no utilizar radiaciones), efectividad y capacidad de hacerse en consultorios o en el punto de atención del paciente.
Es necesario reafirmar el valor del ultrasonido como método de elección para el diagnóstico de múltiples entidades y promover una adecuada y completa formación de los especialistas en Radiología, por lo que presentamos una variedad de patologías, donde el diagnóstico se realiza por ecografía como primer, y a veces único, método de estudio.
Palabras clave: Especialización, Radiología, Ultrasonido.
Abstract:
Ultrasound has been shown to be a safe, low-cost, non-invasive, portable imaging modality, which is easy to reproduce and yields excellent results when performed by a trained operator. However, it is currently misused in some circumstances, and is being overtaken by the enormous growth and development of computed tomography and magnetic resonance imaging.
A large number of health practitioners, including imaging specialists, are unaware of the benefits of ultrasound and the conditions in which it is shown to be the first and possibly only imaging modality required. As years go by, the gap increases between this method and others which are more technologically advanced.
The American Institute of Ultrasound in Medicine (AIUM) is leading a campaign called “Ultrasound first”, with the aim of raising the awareness doctors of the importance of this method, given its radiation-free safety, its efficiency, and the possibility of being performed in medical practices or as a patient point of care.
It is important to enhance the value of ultrasound as the method of choice, the only one capable of diagnosing multiple pathologies, to create the concept of “ultrasound first”, and to promote a thorough and appropriate training for Imaging specialists. To demonstrate this, a wide variety of pathologies are presented in which ultrasound was the first method in making the diagnosis, and sometimes the only one necessary.
Keywords: Specialisation, Radiology, Ultrasound.
Introducci??n
Debido al avance tecnol??gico y el desarrollo profesional, la ecograf??a se ha convertido en una herramienta sumamente efectiva y ??til, con excelentes resultados en manos experimentadas en la evaluaci??n y diagn??stico de procesos patol??gicos del cuerpo1. Como m??todo, es seguro (al no utilizar radiaciones ionizantes), accesible, de bajo costo y reproducible. Adem??s, se adquiere en tiempo real sin riesgos para el paciente y puede ser port??til. Estas caracter??sticas deber??an colocar al ultrasonido en un lugar privilegiado dentro de la especialidad. Sin embargo, en muchas ocasiones es un m??todo olvidado por los mismos especialistas en Radiolog??a que eligen la tomograf??a computada y la resonancia magn??tica, a pesar de sus eventuales riesgos y a veces innecesarios gastos en el sistema de salud2.
Nuestro prop??sito es reafirmar el valor de la ecograf??a como m??todo de elecci??n, a veces el ??nico necesario, para el diagn??stico de m??ltiples patolog??as, as?? como tambi??n crear conciencia sobre la realizaci??n primero de una ecograf??a, generando algoritmos de pr??ctica junto con otros procedimientos, y promover su adecuada formaci??n en la especialidad.
Revisi??n
La historia del ultrasonido es relativamente breve. Se convirti?? en un m??todo viable del Diagn??stico por im??genes aproximadamente en 1950, y desde sus inicios, con el sonar de la Armada Americana y las grandes ba??eras donde el paciente deb??a sumergirse para su estudio, se fue desarrollando como una herramienta terap??utica y diagn??stica vers??til. A??n hoy, sigue expandiendo sus funciones3.
Las mejoras t??cnicas, optimizaciones y nuevas aplicaciones, algunas todav??a en desarrollo, como el Doppler, la elastosonograf??a y la ecograf??a 3 D y 4 D, hacen que el m??todo contin??e avanzando y que tenga un lugar estrat??gico en el diagn??stico4.
Muchos profesionales de la salud, incluidos los imagen??logos, desconocen los grandes beneficios de la ecograf??a y las situaciones en las que el m??todo debe ser la primera modalidad diagn??stica. As??, a medida que pasan los a??os, se ampl??a la brecha con otros m??todos m??s avanzados en tecnolog??a2.
El ultrasonido es la t??cnica de elecci??n en un gran n??mero de entidades abdominales, pelvianas, cardiovasculares y musculoesquel??ticas. Dado que no utiliza radiaciones, es particularmente ??til y necesaria en los pacientes neonatos y pedi??tricos, en mujeres en edad reproductiva y embarazadas5.
En manos experimentadas, y realizada con dedicaci??n, en forma exhaustiva y responsable, la ecograf??a constituye el m??todo de elecci??n para la evaluaci??n de diferentes situaciones cl??nicas. De hecho, en ocasiones es la primera, la m??s adecuada y, a veces, la ??nica t??cnica de im??genes capaz de resolver el desaf??o diagn??stico. Su ??nica desventaja es ser operador dependiente, en tanto requiere un entrenamiento continuo y supervisado desde el inicio por alguien experimentado6. De todos modos, marcar este punto como un inconveniente es, en cierta forma, subestimar las capacidades humanas. La medicina en general es operador dependiente y esto no es un obst??culo, sino que debe considerarse un beneficio para los que est??n bien formados en ese campo y tienen la vocaci??n de desarrollar su especialidad con excelentes resultados.
Ante lo expuesto, se deduce que las habilidades y capacidades del operador se correlacionan con el n??mero de pr??cticas m??s las horas dedicadas al estudio y la investigaci??n. Sin embargo, la cantidad de ecograf??as requeridas para adquirir competencia es uno de los grandes temas de debate en el campo de las im??genes de hoy, ya que, si bien es fundamental la educaci??n y el entrenamiento en una t??cnica b??sica de la especialidad, tambi??n hay otros prop??sitos del tipo econ??micos y pol??ticos (entre otros).
En los consultorios de ginec??logos, obstetras y traumat??logos, en los centros de estudios vasculares o urol??gicos y en las salas de guardia, emergentolog??a o de cuidados intensivos, hay un equipo de ecograf??a. Ahora bien, ??qu?? queda para los radi??logos?
La especializaci??n, la interconsulta, el estudio y la pr??ctica con m??quinas de alto desarrollo tecnol??gico, en manos de expertos con gran n??mero de ecograf??as realizadas hacen del radi??logo una referencia de interconsulta. Este es capaz de obtener resultados diferentes, dada su alt??sima preparaci??n y la tecnolog??a a su alcance.
El n??mero de ecograf??as y el tiempo de entrenamiento constituyen la base de la competencia en este m??todo, y es por esto que debe ser un requisito y una obligaci??n desarrollar programas de entrenamiento en ecograf??a durante la formaci??n en la especialidad7. Las gu??as del American College of Radiology (ACR) y el American Institute of Ultrasound in Medicine (AIUM) sugieren como m??nimo 3 meses de pr??ctica y no menos de 500 ex??menes ecogr??ficos. Sin embargo, estos est??ndares han sido modificados en algunos programas de educaci??n y acreditaci??n por las causas antes mencionadas8. As??, resulta necesario crear conciencia sobre la utilidad de la ecograf??a y la importancia de aprender a utilizarla desde el inicio de los programas de residencia4.
El rol del imagen??logo est?? cambiando, y cada vez participa m??s en interconsultas cl??nicas, intentando disminuir las dosis de radiaci??n impartida al paciente. Es, en este punto, donde radica la importancia de la elecci??n del m??todo seg??n la circunstancia.
Nuestro prop??sito es reafirmar el valor del ultrasonido como m??todo de elecci??n para el diagn??stico de distintas patolog??as, haciendo hincapi?? en las m??ltiples situaciones donde la ecograf??a debe ser la primera herramienta diagn??stica. Por ello, describimos algunos de los principales escenarios donde el ultrasonido debe ser utilizado siempre en primer lugar.
Dolor pelviano femenino
La ecograf??a ginecol??gica por v??a suprap??bica, combinada con la endovaginal, comenz?? a utilizarse en 1980 y r??pidamente se transform?? en la t??cnica de elecci??n para la evaluaci??n del dolor pelviano agudo en la mujer9.
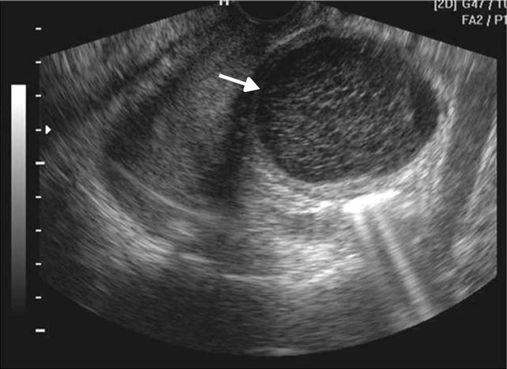
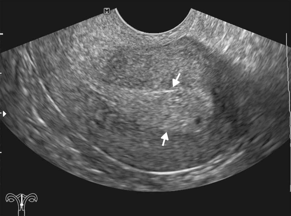
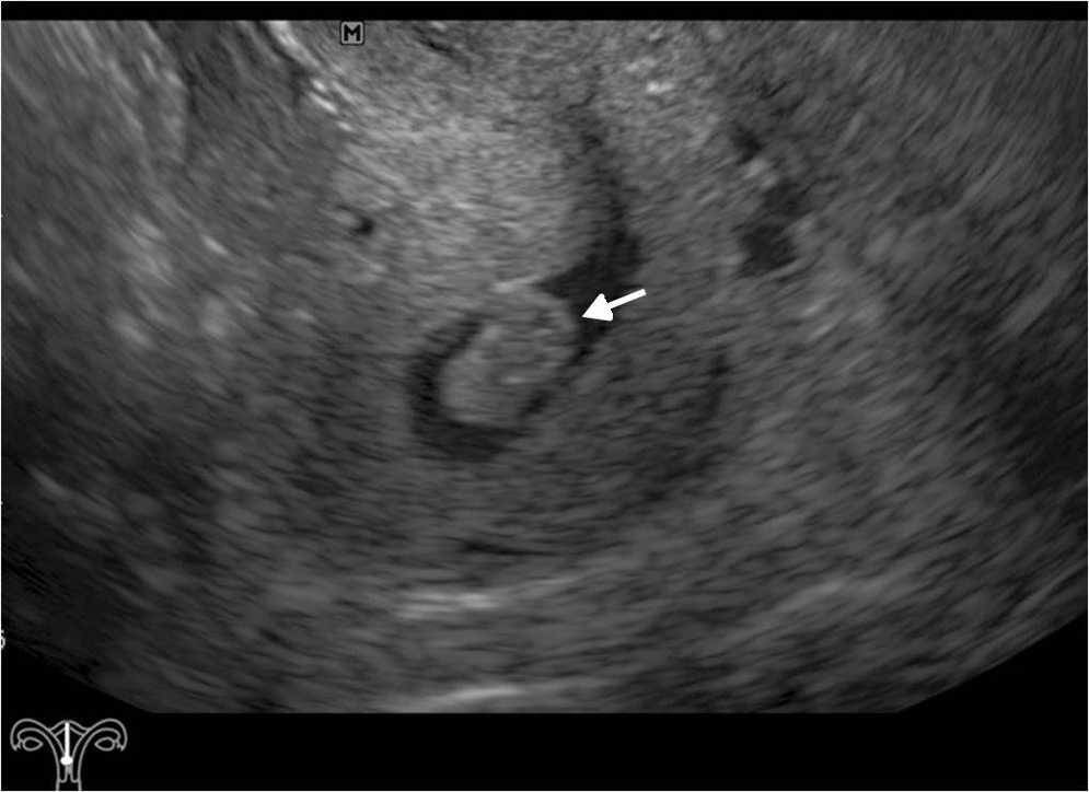
Las principales causas de esta dolencia son los quistes de ovario simples o hemorr??gicos, los embarazos ect??picos, las enfermedades inflamatorias pelvianas, las torsiones de ovario y otras patolog??as, muchas de las cuales tienen caracter??sticas ecogr??ficas propias que permiten su diagn??stico5 (figs. 1-3).



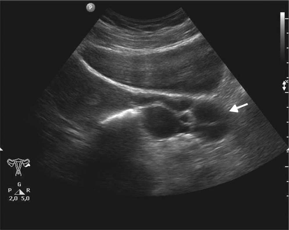
La ecograf??a determina la naturaleza s??lida o qu??stica de las masas anexiales, la presencia de septos o elementos s??lidos, y su vascularizaci??n con la exploraci??n Doppler (fig. 4). Estos hallazgos ayudan a determinar la benignidad o malignidad de la masa5,10.

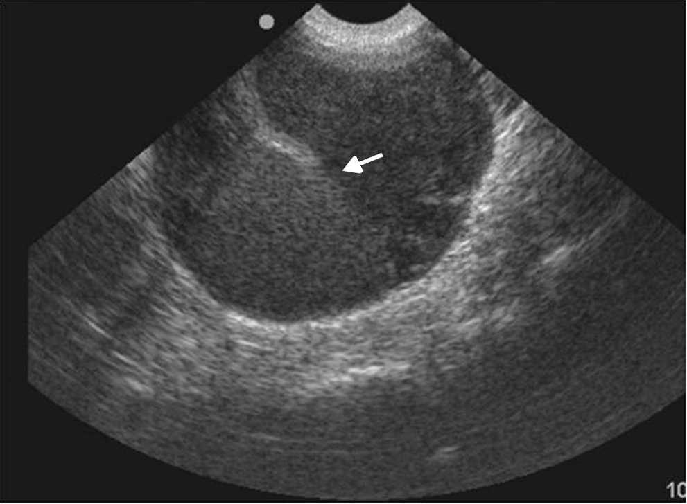
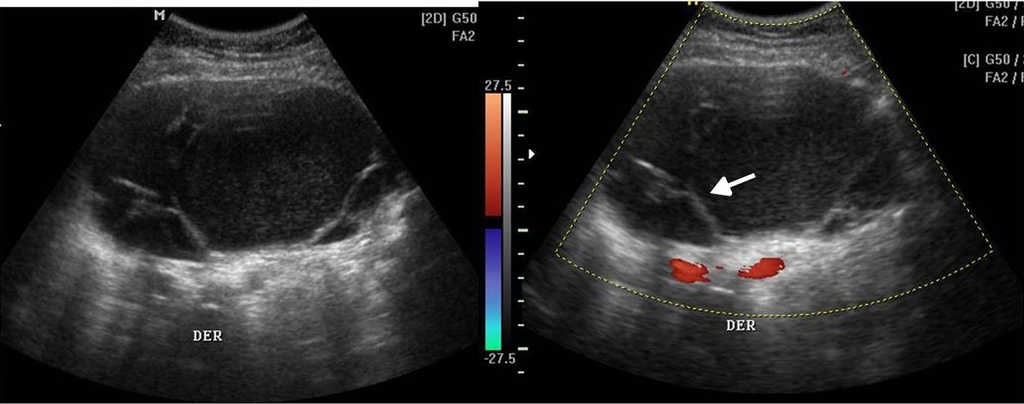
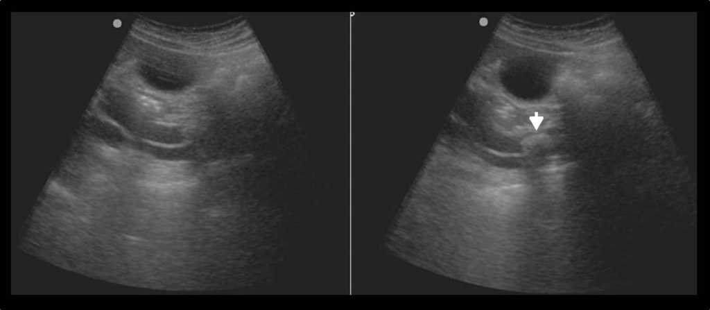
Sangrado ginecol??gico de la menopausia
La mayor??a de las consultas ginecol??gicas en pacientes peri y posmenopa??sicas se debe al sangrado ginecol??gico11 (figs. 5 y 6). En estos casos, la ecograf??a ginecol??gica endovaginal constituye la primera opci??n de estudio, debido a que visualiza excelentemente el endometrio, tiene buena tolerancia y un alto valor predictivo negativo para el carcinoma endometrial (si se reconoce el endometrio fino)12.


Los principales diagn??sticos diferenciales incluyen atrofia, hiperplasia, p??lipos y carcinoma endometrial, entre otros11.
Dolor abdominal
El dolor abdominal agudo puede representar una amplia variedad de entidades, desde patolog??as benignas y autolimitadas hasta emergencias quir??rgicas13. Por ello, es necesario un manejo adecuado y l??gico para su diagn??stico. Al respecto, muchos autores establecen que hay que dividir las posibles etiolog??as de acuerdo con los cuadrantes del abdomen, a fin de sospechar ciertas patolog??as seg??n su localizaci??n.
La ecograf??a debe ser el m??todo de elecci??n para el inicio del estudio del paciente con dolor abdominal1. Adem??s de las ventajas ya conocidas, al ser un examen en tiempo real, brinda la posibilidad de realizar una correlaci??n entre la palpaci??n y las im??genes de la zona dolorosa para valorar la etiolog??a. El uso de la tomograf??a, as??, se limitar??a a los casos de ecograf??a no diagn??stica o cuando hay discrepancia entre la cl??nica y la imagen ecogr??fica negativa13.
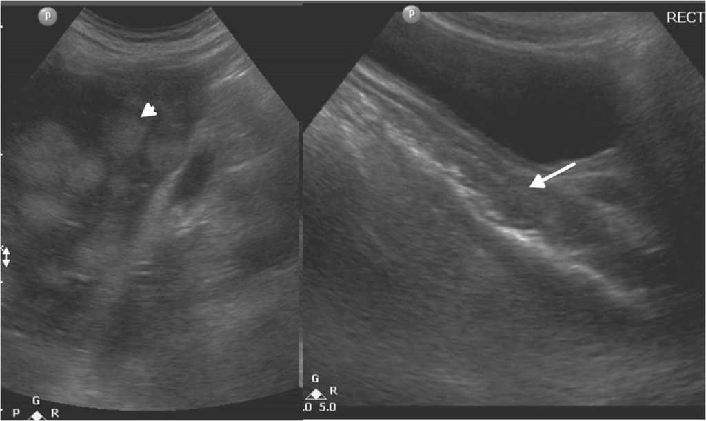
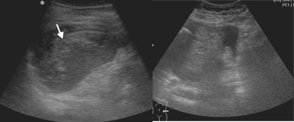
En cuanto a las patolog??as de la v??a biliar y vesicular, la ecograf??a es la t??cnica diagn??stica m??s efectiva. Adem??s de identificar f??cilmente cuadros de colecistitis aguda (fig. 7), valora la v??a biliar y distingue la etiolog??a liti??sica (fig. 8) o pancre??tica1,5.


El avance de la tecnolog??a asociado a los equipos de ultrasonido, m??s la mayor profesionalizaci??n, hacen posible en la actualidad el diagn??stico de patolog??as a nivel intestinal, incluyendo desde procesos agudos, como la apendicitis (figura 9) o diverticulitis, hasta patolog??as m??s complejas, como tumores intestinales, enfermedad inflamatoria intestinal o enfermedades infecciosas14,15 (figs. 10 y 11).



Para la exploraci??n del tracto gastrointestinal, se comienza utilizando el transductor curvil??neo de 3,5-5 MHz y luego se completa con uno lineal de alta frecuencia (5-12 MHz), que brinda muy buena definici??n de la pared intestinal y sus capas. A su vez, se realizan maniobras de compresi??n gradual con el transductor a fin de movilizar y desplazar las asas intestinales y el contenido a??reo14.
C??lico renal
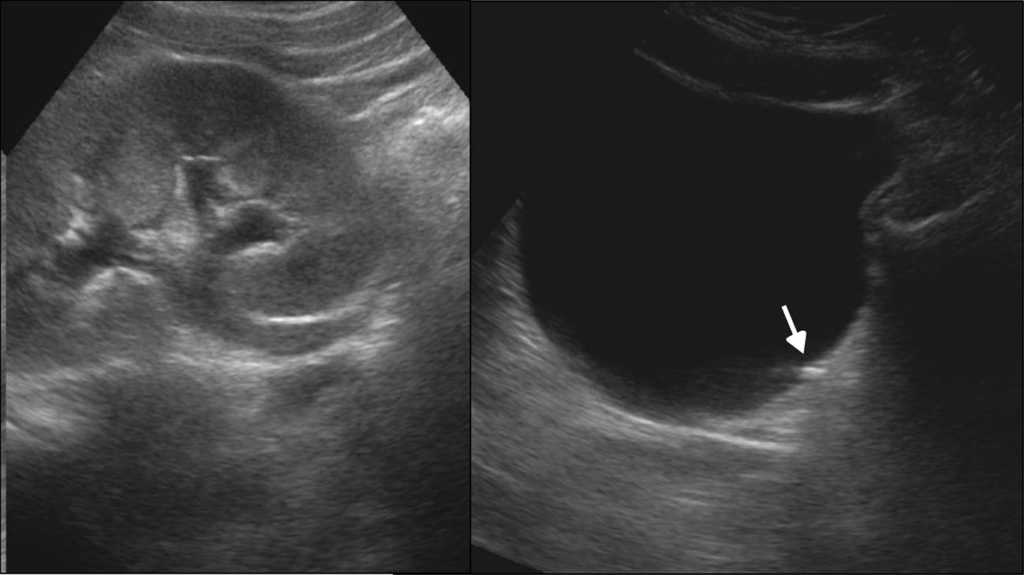
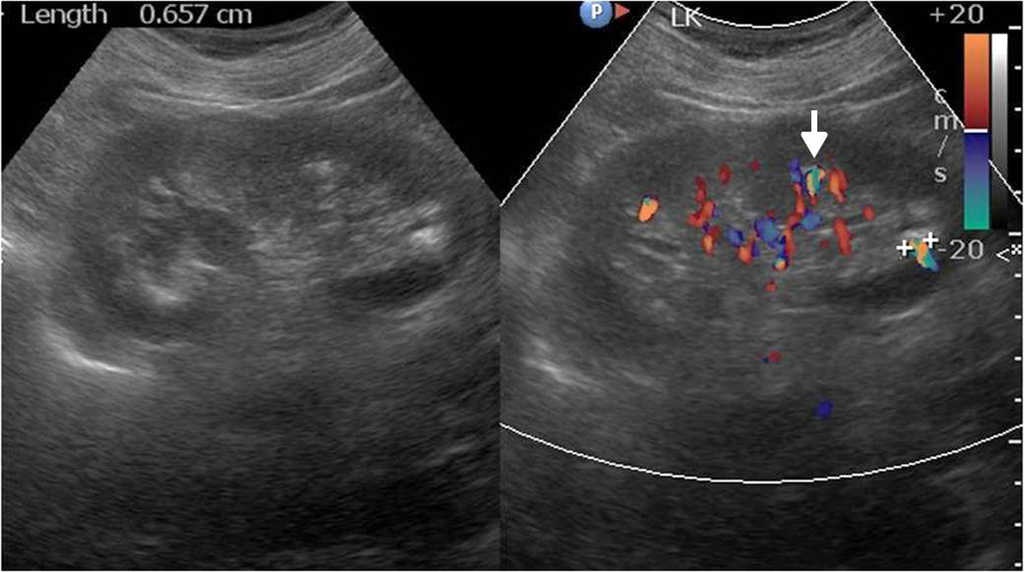
Cuando hay sospecha de enfermedad liti??sica renal, las im??genes deben acompa??ar y seguir a una exhaustiva exploraci??n cl??nica16. El ultrasonido, para ello, es el primer m??todo de elecci??n porque confirma el diagn??stico de litiasis, estableciendo su tama??o y localizaci??n, excluye otras causas de dolor abdominal y confirma o descarta la hidronefrosis17. Adem??s, identifica c??lculos en los diferentes grupos caliciales, en la pelvis y en la uni??n pieloureteral o ureterovesical16 (fig. 12).

Los c??lculos se visualizan f??cilmente con el ultrasonido cuando generan sombra ac??stica posterior, pero a veces por su tama??o peque??o o el tejido circundante se dificulta su reconocimiento. En estos casos, el artefacto de centelleo en el Doppler color, consistente en la alternancia de color por detr??s de la litiasis, permite hacer el diagn??stico y aumentar la sensibilidad ecogr??fica en b??squeda de litiasis18 (fig. 13)

Evaluaci??n musculoesquel??tica
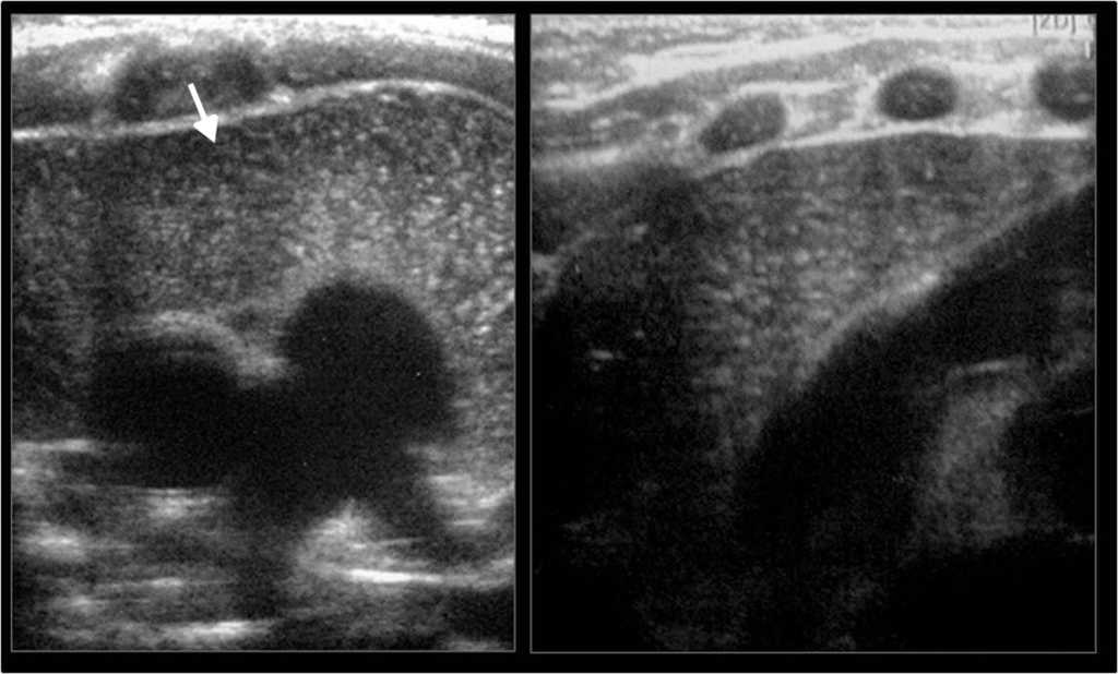
La ecograf??a es el m??todo ideal para la exploraci??n del sistema musculoesquel??tico, en tanto brinda la posibilidad de evaluarlo en reposo o en movimiento, observando los cambios en tiempo real. Adem??s, permite la comparaci??n del sitio exacto del dolor con su lado contralateral, adquiriendo im??genes en panor??mica19.
Los actuales transductores de alta frecuencia (12-18 MHz) tienen excelente resoluci??n para analizar las estructuras superficiales (m??sculos, tendones, ligamentos y bursas) y sus patolog??as20 (figs. 14 y 15). La ecograf??a en escala de grises permite una gran imagen anat??mica de la lesi??n, mientras que el Doppler color identifica la vascularizaci??n del tejido y las im??genes panor??micas otorgan una visualizaci??n extensa del campo de visi??n, que muestra la lesi??n y su relaci??n con las estructuras vecinas (fig. 16).



A pesar de estas grandes ventajas, muchos profesionales elijen otras modalidades diagn??sticas por m??ltiples razones21. Al respecto, vale subrayar que es necesario un profundo conocimiento de la anatom??a de la zona a explorar y su cl??nica para obtener los mejores resultados.
Neonato y paciente pedi??trico
Dado que la ecograf??a es el m??todo diagn??stico de elecci??n en un amplio espectro de enfermedades pedi??tricas y neonatales, solo se mencionan las m??s destacadas.
Entre las consultas m??s comunes que requieren procedimientos diagn??sticos en pediatr??a, se encuentran el dolor abdominal y los v??mitos. Si bien antes se indicaban estudios radiol??gicos, sus principales causantes (estenosis hipertr??fica de p??loro, malrotaci??n, v??lvulo, obstrucci??n secundaria del intestino e invaginaci??n intestinal, entre otras) pueden ser descartadas o confirmadas por ultrasonido2.
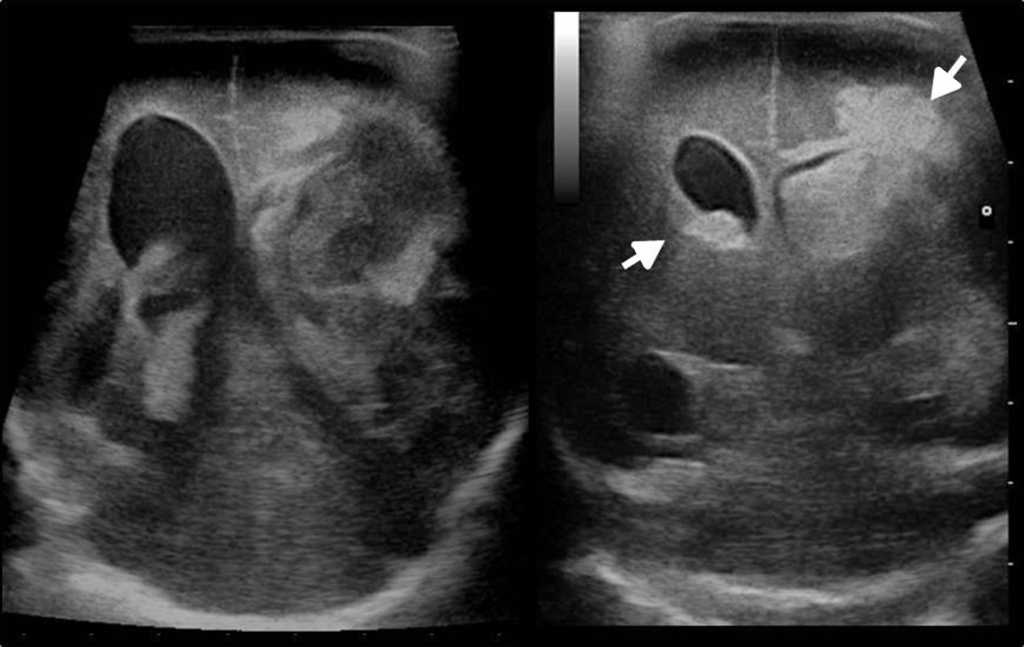
En el caso del neonato, la ecograf??a transfontanelar es de suma utilidad porque posibilita el diagn??stico de hemorragias intracraneales y la leucomalacia periventricular, las dos entidades m??s frecuentes en el prematuro (figs. 17 y 18).


Adem??s, en reci??n nacidos la ecograf??a debe ser el m??todo inicialmente elegido ante la sospecha de malformaciones cerebrales, hidrocefalia cong??nita, mielomeningocele, hidronefrosis y malformaciones nefrourol??gicas, hernia diafragm??tica, hemorragia suprarrenal, enteritis necrotizante, torsi??n testicular intra??tero y ovariocele, entre otros diagn??sticos.
En lactantes con ensanchamiento mediastinal anterior en radiograf??a de t??rax es de elecci??n realizar una ecograf??a transesternal para observar la presencia y caracter??sticas del timo (fig. 19).

La ecograf??a con transductor lineal de alta frecuencia, mediante el m??todo est??tico (Graf) y el din??mico (Harcke), es la primera opci??n para estudiar la displasia del desarrollo de la cadera en menores de 4 meses.
Cuando la patolog??a concierne a lactantes y ni??os peque??os, es esencial realizar primero una ecograf??a, ya que estos presentan mayor susceptibilidad a los efectos de la radiaci??n ionizante que los adultos. A su vez, en muchos casos con las tomograf??as y resonancias los pacientes deben ser sedados y anestesiados. Al respecto, se ha creado la campa??a Image Gently, que tiene como objetivo concientizar a los profesionales sobre la necesidad de reducir las dosis de radiaci??n en los ni??os por estudios radiol??gicos22.
Punto de atenci??n (point of care ultrasound)
La portabilidad del ultrasonido permite estudiar, con prop??sitos diagn??sticos y terap??uticos, al paciente al lado de su cama. De esta perspectiva, Kendall23 define las caracter??sticas de la ecograf??a en el punto de atenci??n:
La ecograf??a es para un prop??sito definido.
El examen es focalizado y dirigido a un fin.
Los hallazgos son f??cilmente reconocibles.
El estudio es de r??pida realizaci??n.
El examen se lleva a cabo al lado de la cama del paciente.
La experiencia demuestra que en situaciones de riesgo de vida (p. ej. politraumatismos), la ecograf??a FAST (Foccused Assesment Sonography for Trauma) es una herramienta sumamente ??til para el diagn??stico de l??quido libre abdominal, dado que visualiza la lesi??n en el ??rgano que lo origin?? (fig. 20). Asimismo, permite evaluar los fondos de los sacos pleurales, el pericardio e, incluso, el retroperitoneo24.

Otras situaciones donde es ??til pensar en la ecograf??a primero
En pacientes con dolor tor??cico agudo y sospecha de embolismo pulmonar, la ecograf??a de miembros inferiores descarta una trombosis venosa profunda (TVP)5. Las maniobras simples de compresi??n-descompresi??n de las grandes venas del miembro inferior permiten confirmar o descartar la TVP en escasos minutos (fig. 21).

Las complicaciones en la colocaci??n de las v??as centrales ocurren en aproximadamente el 26% de los casos. Estas incluyen punci??n arterial, laceraci??n pulmonar y neumot??rax asociado, con riesgo de vida para el paciente. Sin embargo, estas posibilidades pueden ser disminuidas si el procedimiento se realiza por gu??a ecogr??fica2.
Nazarian25 en un foro sobre Ultrasound First concluye que no existen cuestionamientos para no promover primero la realizaci??n de una ecograf??a. Esta no solo mejora la calidad y la salud de los pacientes, sino que tambi??n genera diagn??sticos m??s precisos y gu??a intervenciones.
Conclusi??n
De acuerdo con el lema de AIUM, hay que tener en cuenta a la ecograf??a primero por su seguridad, efectividad y accesibilidad, a la vez que es necesario crear conciencia sobre las m??ltiples condiciones cl??nicas en las que el ultrasonido es la primera modalidad de elecci??n.
Como especialistas en im??genes, proponemos la ecograf??a primero, siempre que corresponda, evitando de este modo irradiaciones innecesarias, gastos extras al sistema de salud y padecimientos de los pacientes. Mediante esta herramienta en manos experimentadas, es posible resolver las consultas de modo eficiente.
Asimismo, resulta esencial fomentar la correcta formaci??n en ultrasonido del especialista, promoviendo, desde el principio y de forma continua, su inclusi??n en los programas de residencia e, incluso, en los de acreditaci??n profesional.
Responsabilidades ??ticas
Protecci??n de personas y animales
Los autores declaran que para esta investigaci??n no se han realizado experimentos en seres humanos ni en animales.
Confidencialidad de los datos
Los autores declaran que han seguido los protocolos de su centro de trabajo sobre la publicaci??n de datos de pacientes.
Derecho a la privacidad y consentimiento informado
Los autores declaran que en este art??culo no aparecen datos de pacientes.
Conflicto de intereses
Los autores declaran no tener ning??n conflicto de inter??s, excepto las Dras. J. Mariano que declaran como posible conflicto de inter??s ser miembros del Comit?? de Redacci??n de la RAR.
Agradecimientos
A la cortesía de la Dra. Zubieta, por brindarnos las imágenes de las figuras 17 y 18.
Bibliografía
Ultrasound: a practical approach to clinical problems.. New York: Thieme; 2010.
Minton K.K, Abuhamad A. 2012 Ultrasound first forum proceedings. J Ultrasound Med. 2013; 32:555-66
Kaproth-Joslin K.A, Refky N, Dogra V.S. The history of US: from bats and boats to the bedside and beyond: RSNA centennial article. Radiographics. 2015; 35:960-70
RadCases Ultrasound imaging.. New York: Thieme; 2015.
Levine D. Use of Ultrasound as an Alternative to CT. American College of Radiology. 2010; Disponible en: www.imagewisely.org. (consultado Jun 2015)
Lee Kang T, Bailitz J. Clinical Ultrasound: a how-to guide. Florida: CRC Press; 2015.
Sidhu H.S, Olubaniyi B.O, Bhatnagar G, Shuen V, Dubbins P. Role of simulation-based education in ultrasound practice training. J Ultrasound Med. 2012; 31:785-91
Hertzberg B.S, Kliewer M.A, Bowie J.D, Carroll B.A, DeLong D.H, Gray L, et al. Physician training requirements in sonography: how many cases are needed for competence. AJR Am J Roentgenol. 2000; 174:1221-7
Busse R.M. Imaging modalities in gynecology. DSJUOG. 2010; 4:1-12
Timmerman D, Ameye L, Fischerova D, Epstein E, Benedetto Melis G, Guerriero S, et al. Simple ultrasound rules to distinguish between benign and malignant adnexal masses before surgery: prospective validation by IOTA group. BMJ. 2010; 341:c6839
Appleton K, Kupesic Plavsic S. Role of the ultrasound in the assessment of postmenopausal bleeding. DSJUOG. 2012; 6:197-206
Goldstein S.R. Sonography in postmenopausal bleeding. J Ultrasound Med. 2012; 31:333-6
Mazzei M.A, Guerrini S, Cioffi Squitieri N, Cagini L, Macarini L, Coppolino F, Giganti M. The role of US examination in the management of acute abdomen. Crit Ultrasound J. 2013; 5:1-9
Helou N, Abdalkader M, Abu-Rustum R.S. Sonography: first-line modality in the diagnosis of acute colonic diverticulitis. J Ultrasound Med. 2013; 32:1689-94
Muradali D, Goldberg D.R. US of gastrointestinal tract disease. Radiographics. 2015; 35:50-68
Türk C, Knoll T, Petrik A, Sarica K, Straub M, Seitz C. Guidelines on Urolithiasis. European Association of Urology. 2012; Disponible en: www.uroweb.org. (consultado Jun 2015)
Moore C.L, Scoutt L. Sonography first for acute flank pain. J Ultrasound Med. 2012; 31:1703-11
Dillman J.R, Kappil M, Weadock W.J, Rubin J.M, Platt J.F, DiPietro M.A, et al. Sonographic twinkling artifact for renal calculus detection: correlation with CT. Radiology. 2011; 259:911-6
Chiang Y.P, Wang T.G, Hsieh S.F. Application of ultrasound in sports injury. J Med Ultrasound. 2013; 21:1-8
Patil P, Dasgupta B. Role of diagnostic ultrasound in the assessment of musculoskeletal diseases. Ther Adv Musculoskel Dis. 2012; 4:341-55
Parker L, Nazarian L.N, Carrino J.A, Morrison W.B, Grimaldi G, Frangos A.J, et al. Musculoskeletal imaging: medicare use, costs, and potential for cost substitution. J Am Coll Radiol. 2008; 5:182-8
Strauss K.J, Goske M.J, Kaste S.C, Bulas D, Frush D.P, Butler P, et al. Image gently: ten steps you can take to optimize image quality and lower CT dose for pediatric patients. AJR Am J Roentgenol. 2010; 194:868-73
Kendall J.L, Hoffenberg S.R, Smith R.S. History of emergency and critical care ultrasound: the evolution of a new imaging paradigm. Crit Care Med. 2007; 35:S126-30
Körner M, Krötz M.M, Degenhart C, Pfeifer K.J, Reiser M.F, Linsenmaier U. Current role of emergency US in patients with major trauma. Radiographics. 2008; 28:225-44
Nazarian L. Ultrasound first - AIUM initiative points out the diagnostic benefits and cost savings of using ultrasound as the primary imaging modality in many cases. Radiology Today. 2014; 2:14
Notas de autor
Autor para correspondencia. jimenamariano@hotmail.com.ar