Ensayo iconográfico
Recepción: 03 Diciembre 2015
Aprobación: 26 Julio 2016
DOI: https://doi.org/10.1016/j.rard.2016.07.005
Resumen:
La enfermedad diverticular del intestino delgado constituye una entidad de rara presentación, que suele confundirse con otras patologías más comunes cuando se complica. Los falsos divertículos son de origen primario o secundario, y asientan mayoritariamente en el duodeno. El divertículo verdadero más frecuente es el de Meckel.
Las complicaciones aparecen en menos del 15% de los casos. Entre ellas, se destacan, por frecuencia, la perforación y/o inflamación, la obstrucción, el sangrado, y/o la diarrea crónica.
El objetivo de este trabajo es mostrar el rol de la tomografía computada multidetector en el diagnóstico y manejo de la enfermedad diverticular del intestino delgado, exponiendo casos de la práctica diaria con correlato quirúrgico de pacientes evaluados en nuestra institución.
Palabras clave: Divertículo, Intestino delgado, Tomografía computada multidetector.
Abstract:
Small bowel diverticula is an uncommon and underdiagnosed pathology. False diverticula may be primary or secondary in origin and are frequently located in the duodenum. Meckel's diverticula is the most common true diverticula.
Less than 15% of cases suffer complications, of which the following are, with decreasing frequency: inflammation and perforation, obstruction, bleeding, or chronic diarrhoea.
In order to contribute to the best diagnosis and management of small-bowel diverticulosis, cases are presented that were initially evaluated with multislice computed tomography and confirmed surgically in our institution.
Keywords: Diverticula, Small intestine, Multislice computed tomography.
Los divertículos del intestino delgado son infrecuentes en la población general, ya que solo se encuentran en el 2% de los estudios radiológicos contrastados1. Para su abordaje y manejo diagnóstico y terapéutico es menester diferenciar los verdaderos de los falsos. Mientras los primeros están constituidos por todas las capas parietales, se presentan generalmente en el borde antimesentérico y suelen ser únicos (p. ej. divertículo de Meckel); los segundos pueden producirse como consecuencia de otras patologías de origen inflamatorio (p. ej. enfermedad de Crohn) o infeccioso (p. ej. tuberculosis), aunque en gran parte de los casos no hay una causa subyacente. Además, están conformados solo por la mucosa y submucosa, se presentan usualmente en el borde mesentérico y son múltiples2.
En los estudios radiológicos contrastados (seriada esófago-gastroduodenal y tránsito de intestino delgado) es donde habitualmente se identifican, visualizándose como protusiones exofíticas de la pared, de distinto tamaño y con cuello estrecho en general. De mediar antecedente de un proceso infeccioso inflamatorio, los divertículos pueden presentar una morfología puntiaguda, remedando una espina de rosa. Otro signo indirecto de complicación también es el enlentecimiento del tránsito, vinculado generalmente al compromiso estenótico asociado2.
La tomografía computada multidetector (TCMD) con la administración de contraste oral y/o endovenoso (preferentemente no iónico) permite determinar el número, tamaño, forma y contenido de los divertículos, así como su espesor parietal y cuello.
A su vez, ciertos hallazgos ayudan a sospechar la presencia de una complicación asociada (aire y/o líquido libre, aumento de la densidad de la grasa, estenosis secundaria, entre otros)3–6. La enterotomografía computada (entero-TC), debido a la mejor distensión de la luz intestinal, permite la correcta caracterización de las lesiones diverticulares, ayudando a distinguir su etiología primaria o secundaria, y sus complicaciones. Para un correcto examen, el paciente debe realizar una preparación suave (dieta y catárticos), a fin de eliminar restos en la luz intestinal, y hacer un ayuno de 6 horas. Asimismo, una hora antes del estudio tiene que ingerir oralmente 1500 ml de contraste neutro/negativo (manitol, polietilenglicol, entre otros), fraccionados en 4 tomas iguales cada 20 minutos. Si bien se puede administrar mediante enteroclisis con sonda nasoyeyunal, el método genera gran malestar. Como material de contraste se prefiere el neutro/negativo y no el positivo, debido a que este último puede enmascarar la presencia de un sangrado acompañante. Luego de la inyección de espasmolíticos por vía endovenosa y minutos antes de comenzar el estudio (de no mediar contraindicación clínica), se obtienen imágenes en decúbito ventral antes y después de la administración del contraste endovenoso yodado (preferiblemente no iónico) a una dosis de 1 ml/kg de peso y un flujo de 3,5 ml/s. Se obtiene una fase arterial a los 45 segundos y una venosa a los 70 segundos del abdomen y la pelvis7.
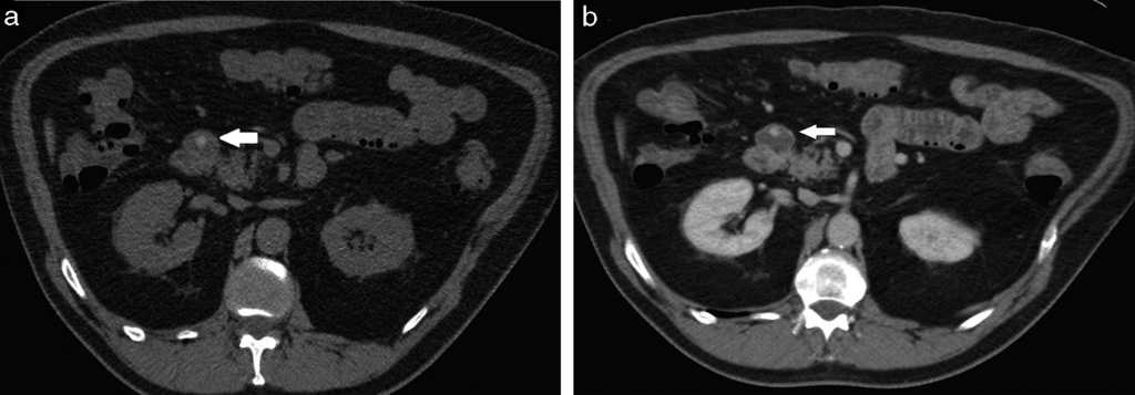
La diverticulosis intestinal ocurre más frecuentemente en el colon, mientras que el duodeno representa el sitio de localización más común dentro del intestino delgado. En el 60% de los casos son falsos divertículos que se originan en la cara medial de la segunda o tercera porción duodenal y generalmente no tienen una etiología evidente, dado que pueden encontrarse como hallazgo en pacientes asintomáticos. Sin embargo, pueden ser secundarios a una úlcera duodenal generalmente en proceso cicatrizal (fig. 1).

La diverticulosis yeyunoileal se caracteriza por presentar múltiples divertículos en ambos sectores del intestino delgado. Estos puede ser verdaderos, falsos o pseudodivertículos. En cuanto al divertículo de Meckel, este suele originarse a los 40-100 cm de la válvula ileocecal y se focaliza característicamente en el borde antimesentérico ileal, presentando una longitud variable (en general hasta 5 cm)1,4,5.
La mayoría de los pacientes permanecen asintomáticos, y en menos del 15% hay complicaciones. Entre ellas, se destacan:
Diverticulitis y perforación (5%): se visualiza engrosamiento parietal y deformación de los contornos del divertículo complicado, con aumento de la densidad de los planos grasos adyacentes y formaciones ganglionares reactivas asociadas, generalmente en rango no adenomegálico. La TCMD descarta o confirma la existencia de colecciones abscedadas o de neumoperitoneo2 (figs. 2–5).




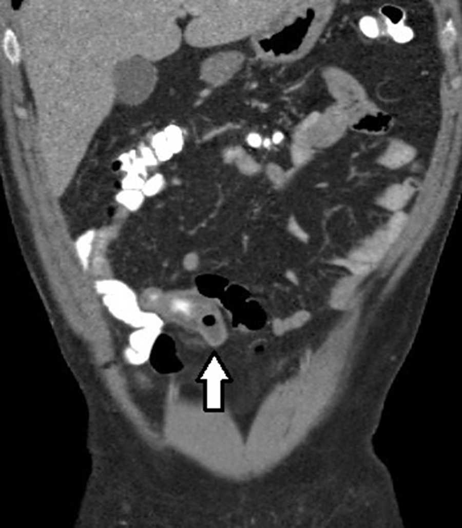
Obstrucción intestinal (3%): se observa obstrucción secundaria al proceso inflamatorio peridiverticular, con un área con cambio de calibre en el punto de partida del divertículo complicado. En el divertículo de Meckel, esta complicación ocurre en el 40% de los casos y se produce por una banda mesodiverticular, un vólvulo del divertículo, un mecanismo de invaginación (fig. 6) o por la extensión a un saco herniario8.

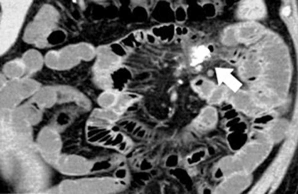
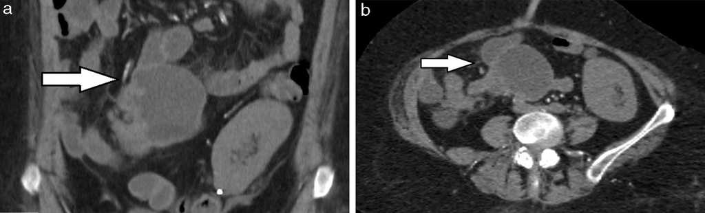
Sangrado (5%): se produce por erosión y ulceración de la mucosa en el interior del divertículo. Si bien la angiografía es el método de elección en casos de sangrado activo a fin de establecer su diagnóstico y eventual tratamiento sincrónico por vía endovascular, la TCMD muestra en la fase sin contraste restos hemáticos en su interior o signos de sangrado activo en la fase arterial1 (fig. 7).

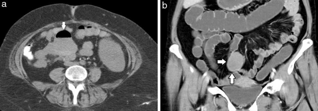
Diarrea crónica: sucede por sobrecrecimiento bacteriano, generalmente en casos de una diverticulosis yeyuno-ileal extensa1,3,6,9 (figs. 8 y 9).


Si bien el tratamiento de elección en los casos sintomáticos es la resección quirúrgica con anastomosis primaria, también es posible en ciertos pacientes el manejo conservador mediante antibioticoterapia y/o drenaje percutáneo guiado por ecografía o TCMD, según el caso3,9.
Conclusión
La TCMD, particularmente con la técnica de entero-TC, es un método útil para el diagnóstico y manejo terapéutico de los divertículos del intestino delgado. Permite no solo estimar su etiología, considerando características y ubicación, sino también diagnosticar tempranamente las complicaciones. Además, puede utilizarse como guía de drenaje de las posibles colecciones.
Confidencialidad de los datos
Los autores declaran que han seguido los protocolos de su centro de trabajo sobre la publicación de datos de pacientes y que todos los pacientes incluidos en el estudio han recibido información suficiente y han dado su consentimiento informado por escrito.
Conflicto de intereses
Los autores declaran no tener ningún conflicto de intereses.
Bibliografía
Pedraza N.F, Roa A. Diverticulosis del yeyuno: complicaciones y manejo; reporte de un caso y revisión de la literatura. Rev Colomb Cir. 2010; 25:48-55
Kleyman S, Logue L, Lau V, Maio E, Sanni A, Khan F. Ileal diverticulitis: an uncommon diagnosis for right lower quadrant pain. J Surg Case Rep. 2012; 2012:rjs010
Buils Vilalta F, Marti??nez Ramos D, Sa??nchez Cano J.J, Domènech-Calvet J, Vives-Espelta M, Socías-Seco M, al et. Tratamiento laparosco??pico de un paciente con diverticulitis yeyunal perfo- rada. Revista Andaluza de Patologi??a Digestiva. 2013; 36:251-3
Jayaraman M, Mayo-Smith W, Movson J, Dupuy D, Wallach M. CT of the duodenum: an overlooked segment gets its due. Radiographics. 2001; 21:S147-60
Pearl M.S, Hill M.C, Zeman R.K. CT findings in duodenal diverticulitis. AJR Am J Roentgenol. 2006; 187:W392-5
Kirbas I, Yildirim E, Harman A, Basaran O. Perforated ileal diverticulitis: CT findings. Diag Interv Radiol. 2007; 13:188-9
Causa Andrieu P, Seehaus A, Coronil J, Pizzala J, Abecia Soria V. Utilidad de la enterotomografía en la hemorragia digestiva de origen oscuro. Rev Argent Radiol. 2015; 79:127-33
Elsayes K, Menias C, Harvin H, Francis I. Imaging manifestations of Meckel's diverticulum. AJR. 2007; 189:81-8
Fintelmann F, Levine M.S, Rubesin S.E. Jejunal diverticulosis: findings on CT in 28 patients. AJR Am J Roentgenol. 2008; 190:1286-90
Notas de autor
Autor para correspondencia. pamela.causa@hospitalitaliano.org.arcausapamela@gmail.com