Resumen
Objetivo: Evaluar la correlación diagnóstica entre las cinéticas del antígeno específico de la próstata (PSA) y la positividad de la PET/TC 18F-PSMA en pacientes con cáncer de próstata con recaída bioquímica (RCP, recurrencia del cáncer de próstata).
Material y métodos: Se realizó un trabajo observacional de corte transversal de pacientes con una RCP que fueron evaluados con PET/TC 18F-PSMA-1007 en los que se analizó la concordancia entre el PET/TC PSMA y las cinéticas del PSA.
Resultados: Se analizaron un total de 54 pacientes. La edad media fue de 68 ± 8 años. El PSA disparador de la PET/TC mostró una mediana (Q1-Q3) de 3,14 (0,73-8.69) ng/ml. La PET/TC colina mostró una tasa de positividad del 35%, mientras que la PET/TC 18F-PSMA mostró una tasa de positividad del 80%, pero con un PSA disparador ≥ 2 ng/ml la PET/ TC 18F-PSMA tuvo un 100% de positividad; mientras que la PET/TC colina un 55% de positivos. En la valoración de las cinéticas de PSA para PET/TC PSMA las curvas ROC mostraron para PSAV un área bajo la curva de 0,93 (IC 95%: 0,83-1; p = 0,0001), presentado el punto de corte 0,85 ng/ml/año una sensibilidad del 88% y una especificidad del 87%. El 97% de las PET/TC 18F-PSMA fueron positivas con un PSAV > 0,85 ng/ml/año (p = 0,0001). Mientras que las curvas ROC mostraron para PSADT un área bajo de la curva de 0,38 (IC 95%: 0,21-0,57; p = 0,321) sin evidenciar valor diagnóstico.
Conclusión: Se evidenció que el PSAV fue un muy buen predictor de positividad en la PET/TC 18F-PSMA en pacientes con RCP, no así el PSADT.
Palabras clave: Cáncer de próstata, Tomografía por emisión de positrones, PSMA.
Abstract
Introduction: Prostate-specific antigen (PSA) kinetics (PSA velocity [PSAV] and PSA doubling time [PSADT]) are predictors of positivity in Choline PET/CT, but this correlation has not been correctly established in PSMA PET/CT.
Objective: To evaluate the diagnostic correlation between PSA kinetics and positivity of 18F PSMA PET/CT in patients with relapsed prostate cancer (RPC).
Material and methods: We performed an observational cross-sectional study of 54 patients with RPC that were evaluated with 18F-PSMA PET/CT. The concordance between 18F-PSMA PET/CT and PSA kinetics was analyzed.
Results: The mean age was 68 ± 8 years. Time to relapse had a median (Q1-Q3) of 29 (8; 48) months. The trigger PSA showed a median of 3.14 (0.73-8.69) ng/dl. 18F-PSMA PET/CT showed a positivity of 80%. The ROC curves showed an AUC of 0.93 for PSAV (95% CI: 0.83-1; p = 0.0001). A cut-off points of 0.85 ng/ml/year showed a sensitivity of 88% and a specificity of 87%. 97% of the 18F-PSMA PET/CT were positive with a PSAV > 0.85 ng/ml/year (p = 0.0001). While the ROC curves showed an AUC of 0.38 for PSADT (95% CI: 0.21- 0.57; p = 0.321) without showing diagnostic value.
Conclusion: PSAV was a predictor of positivity in 18F-PSMA PET/CT in patients with RPC, but PSADT was not.
Keywords: Prostate cancer, Positron-emission tomography, PSMA.
ARTÍCULO ORIGINAL
Correlación entre las cinéticas del PSA y positividad de la tomografía por emisión de positrones 18F-PSMA-1007 en la reestadificación de la recaída del cáncer de próstata
Correlation between PSA kinetics and positivity of f18-PSMA positron emission tomography in the relapsed prostate cancer
Recepción: 28 Abril 2021
Aprobación: 19 Octubre 2021
El cáncer de próstata es el tumor maligno más frecuente en el hombre1. La sobrevida luego del diagnóstico de este tumor varía desde su presentación indolente, que nunca presentará un riesgo de vida para el paciente, hasta su presentación metastásica asociada a una menor sobrevida2,3. La recurrencia del cáncer de próstata (RCP) luego de un tratamiento quirúrgico, radiante o sistémico no es infrecuente y está caracterizada por la elevación del antígeno prostático específico (PSA) (2. No obstante, este biomarcador no puede diferenciar el sitio donde recurre el cáncer (local, regional o a distancia) y es un mal predictor de positividad en estudios diagnósticos cuando sus valores son bajos4. Las cinéticas del PSA (PSAV [velocidad del PSA] y PSADT [tiempo de duplicación del PSA]) son utilizadas en la práctica médica como predictores de sitio de recurrencia, resultados o de progresión del cáncer de próstata (p. ej., PSADT) o para la valoración de los pacientes que requieren de una nueva biopsia de próstata con un valor de PSA entre 4 a 10 ng/ml con una biopsia prostática previa negativa (p. ej., PSAV) (5,6. También se demostró en un metaanálisis la existencia de una correlación significativa entre las cinéticas del PSA y la tasa de detección de la tomografía por emisión de positrones/tomografía computarizada (PET/TC) colina en los pacientes con una RCP, al evidenciar que el PSADT < 6 meses y la PSAV > 1 ng/ml/año eran fuertes predictores de positividad en esta modalidad diagnóstica7.
Actualmente, la PET/TC que utiliza como radiomarcador el antígeno de membrana específico de próstata (PSMA) ha emergido como una modalidad diagnóstica con una alta precisión en la detección de la recurrencia local o sistémica del cáncer de próstata. Recientemente, un metaanálisis mostró una alta tasa de detección de la PET/TC PSMA con valores de PSA ≤ 2 ng/ml en los pacientes con una RCP. Asimismo, este estudio en el análisis de subgrupos también expuso que la tasa de detección del PET/TC PSMA era cercana al 50% en pacientes con un PSA entre 0,2 a 0,5 ng/ml8. No obstante, la correlación entre la tasa detección de la PET/TC PSMA y las cinéticas del PSA parecen ser inciertas.
El objetivo de este estudio es determinar si las cinéticas del PSA tuvieron correlación con la positividad de la PET/TC 18F-PSMA.
Se realizó un trabajo observacional de corte transversal. La población accesible de estudio fueron los pacientes con una RCP luego de una prostatectomía radical (prostatectomía radical sin linfadenectomía [PRS/L] o con linfadenectomía [PRC/L]), tratamiento radiante (radioterapia [RDT]) o un tratamiento sistémico de primera línea (bloqueo hormonal estándar o bloqueo hormonal más docetaxel o bloqueo hormonal más bloqueantes de receptor de andrógenos, por ejemplo abiraterona) evaluados en el estudio de concordancia diagnóstica (número de protocolo de investigación en el Registro Nacional de Investigación en Salud: IS002591) entre la PET/TC 18F- colina y la PET/TC 18F- PSMA1007 en nuestra institución entre el 1/12/2018 hasta el 1/12/2020. Se obtuvo una muestra de 54 pacientes (los pacientes primero realizaron una PET/TC 18F-colina y luego realizaron una PET/TC 18F-PSMA acorde a lo establecido en el protocolo IS002591) en las que se evaluó la correlación entre la PET/TC 18F-PSMA y las cinéticas del PSA. Todos los pacientes firmaron un consentimiento informado previo al ingreso del estudio cumpliendo los requerimientos del comité de ética de nuestro centro, en consonancia con Organización Mundial de la Salud, siguiendo las normas éticas establecidas en la Declaración de Helsinki.
Se definió como recaída bioquímica del cáncer de próstata (RBC) a dos aumentos consecutivos de PSA > 0,2 ng/ml después de una prostatectomía radical o a un aumento del PSA sérico > 2 ng/ml sobre el valor nadir luego de un tratamiento radiante, o dos aumentos del PSA superior al 25% y > 2 ng/ml por encima del nadir separados al menos por tres semanas, con una testosterona < 50 ng/dl, luego de un tratamiento sistémico de primera línea.
Se definió a las cinéticas del PSA como las variaciones del PSA a lo largo del tiempo, expresadas como PSADT y PSAV.
El PSADT se calculó utilizando la siguiente fórmula: PSADT = [log 2 x t]/[log (PSA último) - log (PSA inicial)]
El PSAV se calculó utilizando la siguiente fórmula: PSAV = (PSA2 - PSA1/tiempo) + (PSA3 - PSA2/ tiempo)/2
Se definió PSA disparador como el último PSA realizado por el cual se solicitó la PET/TC. Los niveles de PSA se determinaron utilizando un método de electroquimioluminiscencia ultrasensible con una sensibilidad para valores de PSA < 0,01 ng/ml. Los valores de corte utilizados para un primer análisis fueron para PSADT de 12 meses y PSAV de 0,75 ng/ml/año, establecidos en una publicación previa según curvas de ROC9. No obstante, se buscó el punto de corte que mejor desempeño tuvo en el grupo de PET/TC PSMA en esta serie de pacientes con las curvas de ROC.
La síntesis de los radiofármacos 18-F colina y 18F-PSMA, la biodistribución y dosimetría de los radiofármacos 18F-colina y 18F-PSMA, la preparación del paciente y los protocolos de adquisición de la PET/TC 18F-colina y PET/TC 18F-PSMA fueron expuestos en publicaciones previas10.
Los resultados obtenidos de la PET/TC F18-colina y la PET/TC F18-PSMA fueron evaluados y descriptos en detalle por cuatro profesionales especializados en medicina nuclear y radiólogos con vasta experiencia en TC y PET/TC.
Se consideró PET/TC positiva al incremento focal de la captación del trazador mayor que el fondo utilizando diferentes tipos de fondos dependiendo de la localización de la lesión. En caso de lesiones de partes blandas y adenopatías, se utilizó como fondo el músculo glúteo mayor. En caso de metástasis óseas vertebrales o metástasis en hígado se utilizó como fondo la actividad del tejido adyacente, y en el caso de metástasis no vertebrales se utilizó como fondo el hueso contralateral. Además, se ha cuantificado el grado de captación de las lesiones utilizando el SUV máx.
Las variables cuantitativas se describen con media y desviación estándar (DE) o con mediana y los cuartiles 1 y 3 (Q1-Q3), cuando se consideró necesario se presentaron los intervalos de confianza del 95% (IC 95%). Se realizaron las curvas ROC entre las cinéticas del PSA y la tasa de detección de recaída usando PET/ TC PSMA (negativa o positiva). Se realizó el cálculo de sensibilidad y especificidad. El software utilizado para los análisis estadísticos fue el SPSS v. 23.0 (Armonk, NY: IBM Corp. Released 2015. IBM SPSS Statistics for Windows, Version 23.0). Se trabajó con un nivel de significancia α = 0,05.
Se analizaron un total de 54 pacientes con RCP (post-PRS/L: 31,5%, post-PRC/L: 29,6%, postratamiento RDT: 20,4% y postratamiento sistémico de primera línea: 18,5%). La edad media fue de 68 ± 8 años. El tiempo desde fin del tratamiento hasta la recaída bioquímica tuvo una mediana (Q1-Q3) de 29 (8-48) meses. El score Gleason de los pacientes se distribuyó con 5 (9%) casos para la categoría 6, con 20 (38%) casos para la categoría 7, con 15 (28%) casos para la categoría 8, con 10 (19%) casos para la categoría 9 y con 3 (6%) casos para la categoría 10 (Tabla 1).

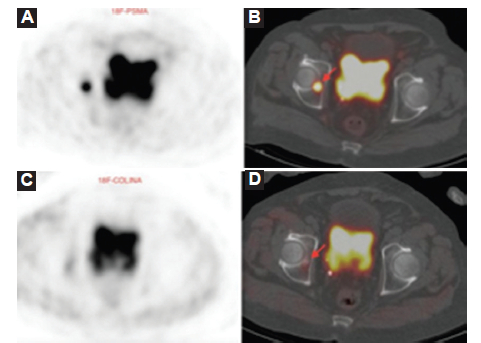
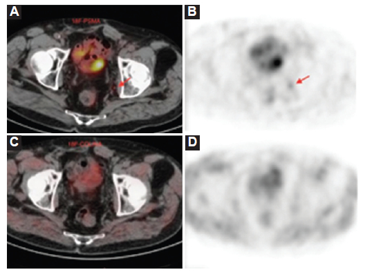
El PSA disparador de la PET/TC mostró una mediana (Q1-Q3) de 3,14 (0,73-8,69) ng/ml. La PET/TC colina mostró una tasa de positividad del 35%, mientras que la PET/TC 18F-PSMA mostró una tasa de positividad del 80%, pero con un PSA disparador ≥ 2 ng/dl la PET/TC 18F-PSMA tuvo un 100% de positivos; mientras que la PET/TC 18F-colina un 55% positivos (Figs. 1, 2 y 3). De las 35 PET/TC 18F-colina negativas, 24 (69%) fueron positivas con PET/TC 18F-PSMA. Todos los PET/TC 18F-colina positivos también fueron positivos con PET/TC 18F-PSMA.



En la valoración de las cinéticas de PSA para PET/TC 18F-PSMA las curvas ROC mostraron para PSAV un área bajo la curva (AUC) de 0,93 (IC 95%: 0,83-1; p = 0,0001) presentado el punto de corte de 0,85 ng/ml/año una sensibilidad del 88% y una especificidad del 87%. El 97% de las PET/TC 18F-PSMA fueron positivas, con un PSAV > 0,85 ng/ml/año (p = 0,0001), mientras que las curvas ROC mostraron para PSADT un AUC de 0,38 (IC 95%: 0,21-0,57; p = 0,321) sin evidenciar valor diagnóstico con significancia estadística (Fig. 4).

Al evaluar los diferentes tipos de tratamientos realizados para el cáncer de próstata en relación con el PSADT, se observó mayor dispersión de los datos en los grupos RDT y PRS/L que en los grupos PRC/L y tratamiento sistémico. También al valorar el tipo de tratamiento con el PSADT se observó que en los grupos PRC/L y tratamiento sistémico más del 75% de los pacientes tenían un PSADT < 12 meses (Fig. 5). Al realizar el mismo análisis con el PSAV se constató mayor dispersión de los datos en el grupo RDT, PRC/L y tratamiento sistémico. Así también en estos grupos menos del 25% de los casos tuvieron un PSAV < 0,75 ng/ml/año (Fig. 6).


La PET/TC colina ha sido extensamente utilizada para evaluar a los pacientes con una RCP, siendo el PSA disparador utilizado como el predictor más fuerte para solicitar este estudio diagnóstico. No obstante, el PSA es un marcador inespecífico, especialmente cuando los valores de PSA son < 1 ng/ml y diferentes series mostraron que tasa de detección de la PET/TC colina era variable para valores de PSA > 2 ng/ml7,11,12. Debido a esto, se estudiaron predictores de positividad diferentes al PSA disparador, que permitieran aumentar la probabilidad de predecir positividad previa a la realización de una PET/TC colina. Un primer estudio demostró que los pacientes con RCP con una PET/TC colina positiva tenían un menor PSADT y una mayor PSAV que los pacientes con una PET/TC colina negativa11. Luego un metaanálisis mostró que existe una correlación significativa entre las cinéticas del PSA y la tasa de detección de la PET/TC en los pacientes con una RCP. Además, evidenció que el PSADT < 6 meses y el PSAV >1 ng/ml/año eran fuertes predictores de PET/TC colina positiva7,9,11,12.
No obstante, la PET/TC PSMA ha emergido como una modalidad diagnóstica con una alta precisión diagnóstica en la detección de la RCP, aun con valores de PSA bajos. Recientemente, un metaanálisis que evaluó 37 artículos que estudiaban la precisión diagnostica del 68Ga PET/TC-PSMA en la evaluación de los pacientes con una RCP demostró que la tasa de positividad global de este método era del 76%. También evidenció que la tasa de positividad era de un 45% para un PSA entre 0,2-0,5 ng/ml y de un 95% para un PSA > de 2 ng/ml. Esto confirmó los resultados previos publicados en otras series de pacientes, que mostraron que las tasas de detección de este estudio eran del 96,8, 93,0, 72,7 y 57,9 para niveles de PSA > 2, 1 a 2, 0,5 a 1 y 0,2 a 0,5 ng/ml8. Aunque diferentes estudios evaluaron las cinéticas del PSA con PET/TC PSMA, la correlación entre la tasa detección de la PET/TC PSMA y las cinéticas del PSA parecen ser inciertas13.
En nuestro estudio previo, en el que se habían evaluado la correlación de las cinéticas del PSA con la positividad de la PET/TC colina en pacientes con una RCP posprostatectomía radical, observamos que el 92% de los pacientes que tuvieron una PSAV > 0,75 ng/ml/año presentaron PET/TC colina positiva (AUC: 0,98; p < 0,001) y que el 96% de los pacientes que tuvieron un PSADT < 12 meses presentaron PET/TC colina positiva (AUC: 0,99; p < 0.001) (9. Estos hallazgos también fueron publicados por otros autores. Castellucci et al. (11) encontraron que el PSADT fue un predictor positivo de PET/TC colina positiva con una sensibilidad del 94% con un punto de corte de PSADT de siete meses. Chiaravalloti et al. (12) constataron que el PSADT < 6 meses y la PSAV >1 ng/ml/año eran estadísticamente significativos en la detección de RCP con PET/TC colina. A similares resultados arribaron Treglia et al. (7 en un metaanálisis en el que mostró que el PSADT < 6 meses y la PSAV >1 ng/ml/año eran fuertes predictores de PET/TC colina positivas en lo pacientes con un RCP.
Al evaluar en nuestro trabajo cómo influenciaban las cinéticas del PSA en la predicción de positividad de la PET/TC 18F-PSMA, las curvas ROC mostraron para PSAV un AUC de 0,93 (IC 95%: 0,83-1; p = 0,0001) presentado el punto de corte de 0,85 ng/ml/año una sensibilidad del 88% y una especificidad del 87%. También se constató que el 97% de los PET/TC PSMA fueron positivas con un PSAV > 0,85 ng/ml/año (p = 0,0001). Mientras que las curvas ROC mostraron para PSADT un AUC de 0,38 (IC 95%: 0,21-0,57; p = 0,321), sin evidenciar valor diagnóstico (Fig. 4).
A diferencia de nuestro análisis de evaluación de las cinéticas del PSA en pacientes con una RCP que solo mostró una correlación entre el PSAV con la positividad de la PET/TC, Ceci et al. (14 constataron que la PET/TC positiva presentaba un PSADT más corto (PET positiva 4,6 meses contra PET negativa 10,9 meses; p = 0,001) y PSAV más rápido (PET positiva 1,29 ng/ml/año contra PET negativa 0,44 ng/ml/año; p = 0,009); pero que en el análisis de regresión de Cox multivariante mostró que PSADT (odds ratio: 0,807; IC 95%: 0,720-0,907; p = 0,001) mantuvo una asociación significativa con tasa de detección de la PET/TC 68Ga-PSMA. También, Akdemir et al. (15 mostraron que la tasa de detección de la PET/TC 68Ga-PSMA fue más alta en los pacientes con un PSAV alto (p = 0,003) y un PSADT corto (p < 0,0001). En el análisis de las curvas de ROC el punto de corte para PSADT fue ≤ 8,65 meses (AUC: 0,73) y ≥ 2,25 ng/ml/año para el PSAV (AUC: 0,87). En un metaanálisis publicado por Pereira Mestre et al. (13, que incluyó los trabajos de cinéticas de PSA en PET/ TC PSMA antes citados, se evaluó la correlación de las cinéticas del PSA en la reestadificación del cáncer de próstata con PET/TC 68Ga-PSMA y concluyó que las cinéticas del PSA, en particular el PSADT más corto, podían predecir la positividad de la PET/TC PSMA en pacientes con una RCP. Aunque este metaanálisis expone que la tasa de detección de la PET/TC PSMA muestra una tendencia hacia la positividad de la PET/TC PSMA en pacientes con PSADT ≤ 6 meses en comparación con aquellos con PSADT > 6 meses, no mostró diferencia estadísticamente significativa entre estos dos grupos. (13 En concordancia con nuestros resultados, Didier16, del Royal Liverpool and Broadgreen University Hospital, mostró en la reunión de primavera de Oxford de la Sociedad Británica de Medicina Nuclear en 2019 en su presentación de resultados de cinéticas del PSA en PET-PSMA que no hubo una correlación lineal entre el PSADT y el resultado de PET-PSMA (p = 0,174). Este autor planteó como limitantes en su estudio que no se ha demostrado que las cinéticas del PSA sean útiles en pacientes que no se han sometido a un tratamiento por su cáncer de próstata y que la revisión de los datos es un piloto de una cohorte disponible mucho más grande. Este autor concluye que, si bien es deseable tener tanta información clínica como sea posible, incluido el PSADT (además de los valores absolutos de PSA) para la solicitud de la PET/TC PSMA, en su revisión demostró que el PSADT puede no ser esencial.
Tanto la variabilidad de los métodos matemáticos como la variabilidad biológica del cáncer de próstata son limitaciones del PSADT que pueden conducir a inconsistencias en la interpretación en los resultados. Truskinovsky et al. (17 expusieron que los modelos matemáticos de las cinéticas del PSA en pacientes que no habían realizado una prostatectomía radical eran complejos, ya que las fuentes de este antígeno provenían de diferentes fuentes biológicas, como: 1) la regeneración del tejido prostático hiperplásico; 2) la RCP con refractariedad a los tratamientos sistémicos, y 3) las metástasis del cáncer de próstata. Este autor notó que las que las cinéticas del PSA no solo presentaban cinéticas de primer orden, sino también cinéticas de segundo orden, demostrando que el método más común para evaluar el PSADT es un cálculo del tiempo de duplicación de PSA que es correcto cuando la cinética es de primer orden, ya que esta evalúa el crecimiento tumoral en el tiempo. En cambio, en la cinética de segundo orden el tiempo de duplicación depende de un valor puntual de PSA, es decir, de la masa del tumor. En cinética de segundo orden, es inapropiado evaluar la constante de velocidad aplicando un logaritmo. En cambio, los datos deben ser ajustados a la ecuación de tasa de segundo orden y deben ser analizados por métodos de regresión no lineal. La clave para comprender la existencia de la cinética de crecimiento de primer y segundo orden entre los adenocarcinomas de próstata se encuentra en las diferencias de la biología tumoral del cáncer de próstata17. Ponholzer et al. (18 expusieron que además de la variabilidad que presenta el PSA por razones biológicas, que pueden conducir a inconsistencias en la valoración del PSADT, también existen limitaciones en la variedad de los métodos matemáticos aplicados actualmente en la determinación del PSADT, así como la no estandarización del procesamiento de los datos. O’Brien et al. (19) identificaron no menos de 22 definiciones diferentes de PSAV y PSADT. Además, este autor evaluó las diferentes formas de calcular las cinéticas del PSA y demostró que los valores de la cinética del PSA pueden variar ampliamente entre diferentes definiciones. Por ejemplo, un paciente puede tener PSAV de 0,27, 0,76, 1,47, 2,64 y 32,0 ng/ml/año para cada una de las cinco definiciones diferentes con las que se realizó el cálculo.
A diferencia de nuestro estudio previo, en el que se evaluó un grupo más homogéneo de pacientes, al analizar las cinéticas del PSA en pacientes con un cáncer de próstata recaído bioquímicamente luego de una prostatectomía radical a los que se les realizó una PET/TC colina. (9) En este nuevo análisis se evaluó un grupo más heterogéneo de pacientes, al analizar las cinéticas del PSA en pacientes que presentaron una recaída posprostatectomía, posradioterapia o postratamiento sistémico. Esta diferencia intergrupal al valorar las cinéticas del PSA podría explicar la dispersión de los datos de las cinéticas del PSA en los diferentes tratamientos del cáncer de próstata observadas en nuestro análisis (Figs. 5 y 6).
Asimismo, el radiomarcador PSMA es un marcador de superficie que permite la detección de conglomerados celulares pequeños. Sánchez-Crespo et al. (20, en un estudio de células LNCaP con expresión de PSMA, demostró que un total de 1 x 104 de células eran requeridas para alcanzar un 50% de detección sin presencia de fondo con G68-PSMA 11 PET/TC y que con un fondo de 1 kBq/ml (simula aproximadamente la concentración en un paciente de 70 kg de 140 MBq de G68-PSMA 11 [2 MBq/kg] a 60 minutos de su aplicación) un total de 4 x 105 a 1 x 106 (1 μm, el diámetro del cabello humano va de 70 a 80 μm) de células era requerido. Estos resultados demuestran que la sensibilidad de la PET-PSMA claramente sobrepasan las limitaciones espaciales de la PET, permitiendo un 50% de probabilidad de detectar enfermedad microscópica que resulta en niveles indetectables de PSA20. Esto se correlaciona en la práctica clínica con los hallazgos del metaanálisis publicado por Perera et al. (8, que muestra una detección con la PET/TC PSMA del 45% en pacientes con un PSA entre 0,2 y 0,5 ng/ml.
En este análisis de una cohorte de pacientes con RCP luego de diferentes tratamientos, se observó que la positividad de la PET/TC PSMA estaba influenciada por las cinéticas del PSA a expensas de la PSAV (AUC: 0,93; IC 95%: 0,83-1; p = 0,0001), pero no por el PSADT (AUC: 0,38; IC 95%: 0,21-0,57; p = 0,321). Estos resultados difieren de otros análisis presentados en la discusión. No obstante, Didier et al. (16) tampoco ratificaron la influencia de la duplicación del PSA en la positividad de la PET/TC PSMA. La divergencia de resultados creemos que se puede deber a diferentes factores como, en primer lugar, la variabilidad biológica del cáncer de próstata en una cohorte de pacientes no homogénea. Segundo, las limitaciones de los métodos matemáticos que pueden llevar a diferentes interpretaciones de los resultados obtenidos y tercero, que la PET/TC 18F-PSMA permite la detección de tumores subcentimétricos que no estarían influenciados por las cinéticas de primer orden (PSADT).
Asimismo, se debe asumir la dificultad de generalización de los resultados en función de las limitaciones de selección y tamaño de los sujetos estudiados. Por lo expuesto, estos factores podrían conducir a inconsistencias en la interpretación en los resultados.
En nuestro estudio observacional, evidenciamos que la positividad de la PET/TC F18-PSMA se vio influenciada por las cinéticas del PSA a expensas de la PSAV, pero no del PSADT.
Correspondencia: Miguel A. Bergero E-mail: angelbergero@hotmail.com; miguelangelbergeropizzi@gmail.com






