Servicios
Descargas
Buscar
Idiomas
P. Completa
Rol de las imágenes en la patología arterial no ateroesclerótica poco frecuente en el abdomen
Giancarlo Schiappacasse-Faúndes; Daniel Schneider-Moreno; Ricardo Vega-Finsterbusch;
Giancarlo Schiappacasse-Faúndes; Daniel Schneider-Moreno; Ricardo Vega-Finsterbusch; Israel Díaz-Araneda
Rol de las imágenes en la patología arterial no ateroesclerótica poco frecuente en el abdomen
Role of images in rare vascular pathology in the abdomen
Revista argentina de radiología, vol. 86, núm. 3, pp. 190-198, 2022
Sociedad Argentina de Radiología (SAR) y Federación Argentina de Diagnóstico por Imágenes y Terapia Radiante (FAARDIT)
resúmenes
secciones
referencias
imágenes

Resumen: La patología arterial no ateromatosa constituye un grupo de patologías poco frecuentes, pero de gran importancia debido a su morbilidad y mortalidad asociadas. La presentación clínica de estas entidades es inespecífica, por lo que el estudio inicial con imágenes es fundamental. Debido a esto, es muy importante reconocer los signos radiológicos característicos de cada una en las diversas modalidades imagenológicas para poder sospechar y orientar el diagnóstico.

Palabras clave: Arterias, Patología, Ecografía, Tomografía computarizada, Resonancia magnética.

Abstract: Non-atheromatous arterial pathology constitutes a group of infrequent pathologies but of great importance due to their associated morbidity and mortality. In general, the clinical presentation of these pathologies is quite nonspecific, so the clinician decides to perform imaging studies thinking of more common entities. It is for this reason that it is very important to recognize characteristic radiological signs in the various imaging modalities to be able to suspect and orient a pathology of this kind.

Keywords: Arteries, Pathology, Ultrasonography, Computed tomography, Magnetic resonance imaging.

Carátula del artículo

ENSAYO ICONOGRÁFICO

Rol de las imágenes en la patología arterial no ateroesclerótica poco frecuente en el abdomen

Role of images in rare vascular pathology in the abdomen

Giancarlo Schiappacasse-Faúndes
Universidad del Desarrollo, Chile
Daniel Schneider-Moreno
Universidad del Desarrollo, Chile
Ricardo Vega-Finsterbusch
Universidad del Desarrollo, Chile
Israel Díaz-Araneda
Universidad del Desarrollo, Chile
Revista argentina de radiología, vol. 86, núm. 3, pp. 190-198, 2022
Sociedad Argentina de Radiología (SAR) y Federación Argentina de Diagnóstico por Imágenes y Terapia Radiante (FAARDIT)

Recepción: 27 Abril 2020

Aprobación: 11 Febrero 2021

Introducción

La patología arterial no ateromatosa constituye un grupo de entidades poco frecuentes de gran importancia debido a su elevada morbilidad y mortalidad. Su presentación clínica es inespecífica y variable, pudiendo sobreponerse, lo que aumenta el desafío diagnóstico. En este contexto, los estudios de imagen adquieren un rol clave para una correcta aproximación. En esta revisión se abordarán las patologías más representativas según su etiología (infecciosa, aneurismática, vasculitis, autoinmune-desconocida, iatrogénica-traumática), los conceptos claves de cada patología y sus hallazgos en los estudios de imagen en diversas modalidades, principalmente tomografía compu tarizada (TC), resonancia magnética (RM) y tomografía computarizada con emisión de positrones (PET/TC).

Infeccioso
Aneurisma micótico (infeccioso)

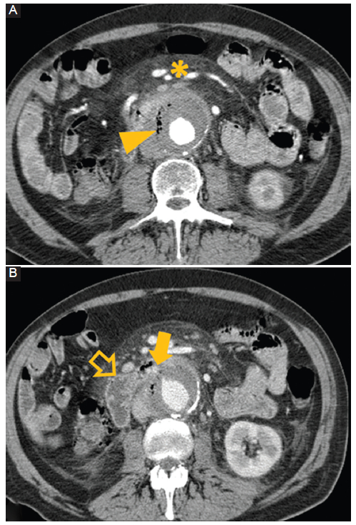
Aneurisma focal y sacular de etiología infecciosa, más frecuentemente bacteriana, de rápido crecimiento que se desarrolla de manera excéntrica, de localización a veces inhabitual con cambios inflamatorios adyacentes. Los microorganismos más frecuentes asociados a esta patología son Staphylococcus y Streptococcus spp., seguidos de Salmonella. Si este proceso infeccioso compromete a la aorta (Fig. 1) se puede extender hacia el cuerpo vertebral o el músculo psoas adyacentes1.


Figura 1
Aneurisma micótico (infeccioso). Hombre de 75 años con antecedentes de hipertensión y diabetes. Fiebre y dolor abdominal de dos semanas de evolución. TC con contraste en cortes axiales. A: fase sin contraste. B y C: fase arterial. Se observa un tejido con densidad de partes blandas periaórtico (flecha) adyacente a una pequeña saliente de perfil (flecha hueca) en la pared lateral izquierda de la aorta con inflamación de los tejidos blandos periaórticos (punta de flecha).

Injertos arteriales infectados

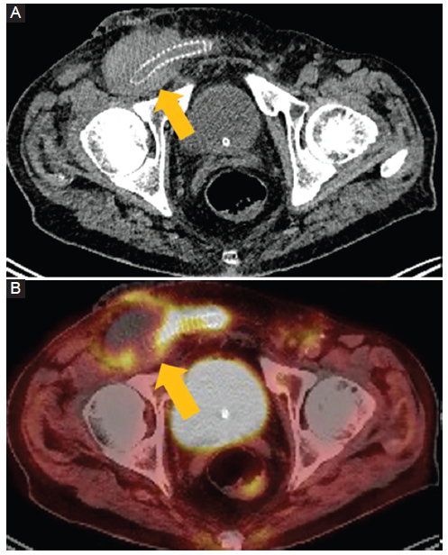
Las infecciones de injerto protésico son complicaciones poco frecuentes de los procedimientos vasculares, pero son devastadoras y con altas tasas de mortalidad2. Los injertos arteriales mas frecuentemente afectados son los aórticos, aorto-femorales, fémoro-poplíteos y carótido-subclavios (Fig. 2). Es importante destacar que puede ocurrir como hallazgo incidental en TC obtenidas por otras razones clínicas.


Figura 2
Injertos arteriales infectados. Hombre de 90 años con antecedentes de injerto aorto-bifemoral. TC con emisión de positrones de cuerpo entero con 18fluorodesoxiglucosa (FDG). A: corte axial fase porto-venosa. B: corte axial fusión. Las imágenes demuestran cambios de atenuación del tejido adyacente al injerto femoral derecho (flecha), con una mayor captación de FDG (SUV máx. 7,9).

Aneurismática

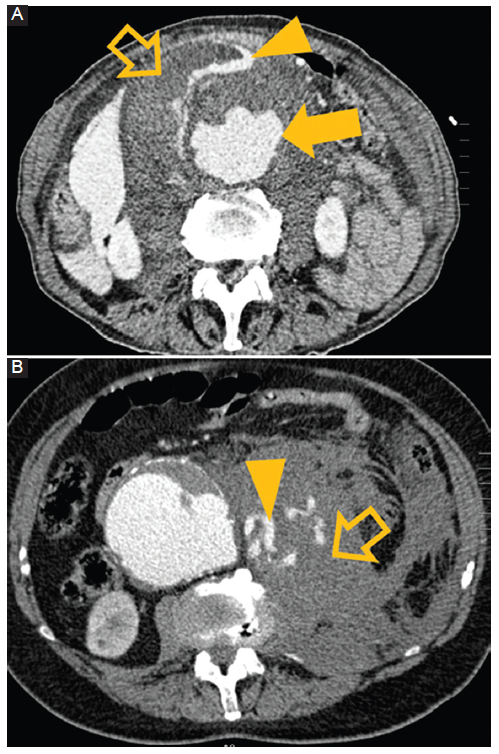
Rotura de un aneurisma: un aneurisma se define como una dilatación focal de la arteria con respecto a su tamaño original. La probabilidad de rotura en un aneurisma depende del tamaño, crecimiento en el tiempo, del antecedente de tabaquismo crónico y de la presencia de hipertensión no controlada3. Se observa discontinuidad parietal focal, hematoma retroperitoneal, extravasación activa de medio de contraste y el signo de la luna hiperatenuante (Fig. 3) (4,5.


Figura 3
Rotura de un aneurisma. Hombre de 62 años. Dolor abdominal e hipotensión. TC con contraste cortes axiales A y B: se observa un aneurisma aórtico abdominal roto (flecha) con un extenso hematoma retroperitoneal (flecha hueca) y hemorragia activa demostrada por extravasación del medio de contraste (punta de flecha).

Vasculitis
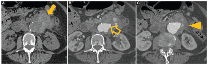
Arteritis de células gigantes

Vasculitis granulomatosa común que afecta a las arterias de mediano y gran calibre. Los sitios predilectos de esta patología son las arterias craneales superficiales. Sin embargo, debe considerarse en el diagnóstico diferencial en individuos que presentan alteraciones en diversas localizaciones como el aparato digestivo, pulmones, sistema nervioso central, etc., que sean de difícil explicación, especialmente cuando hay otros síntomas o signos que sugieren un proceso inflamatorio sistémico6. En este contexto, la pared de la aorta abdominal se encuentra afectada en un 20%, que puede captar en la PET/TC con 18-fluorodesoxiglucosa (18FDG) (Figs. 4 y 5) (7. Es importante destacar que la estenosis y los aneurismas pueden ser complicaciones secundarias a esta patología.


Figura 4
Arteritis de células gigantes. Hombre de 69 años. Dolor abdominal. TC con contraste cortes axiales. A: fase sin contraste. B: fase porto-venosa. Se observa leve engrosamiento de la pared aórtica con un tejido con densidad de partes blandas que la rodea circunferencialmente (flecha).


Figura 5
Arteritis de células gigantes. Hombre de 70 años. Control oncológico. TC con emisión de positrones18 fluorodesoxiglucosa A: corte axial fase porto-venosa. B: corte axial fusión. Aumento en la captación del radiotrazador en la aorta abdominal sin observar engrosamiento parietal aórtico (flecha) (SUV máx. 5,5). C: corte axial fusión. Aumento significativo en la captación del radiotrazador en las arterias femorales comunes (flecha hueca).

Arteritis de Takayasu

La arteritis de Takayasu es una enfermedad inflamatoria crónica idiopática que afecta principalmente a los grandes vasos, como la aorta y sus ramas principales, las arterias pulmonares y coronarias. Debido a la considerable morbilidad y mortalidad, el diagnóstico precoz y preciso juega un papel crucial en el tratamiento de los pacientes8. Desafortunadamente, las presentaciones clínicas inespecíficas y los resultados de las pruebas de laboratorio poco específicas frecuentemente contribuyen a un diagnóstico y tratamiento tardío9. Dado que no es fácil realizar biopsias de arterias grandes, el examen por imágenes es esencial para proporcionar el diagnóstico en pacientes con sospecha de arteritis de Takayasu. La angiografía convencional se ha considerado tradicionalmente el examen ideal para el diagnóstico9. Sin embargo, la angiotomografía computarizada está emergiendo como una herramienta de gran exactitud para representar de manera no invasiva las alteraciones tanto luminales como murales en la aorta y sus ramas principales, lo que puede facilitar la detección de vasculitis en fase temprana (Fig. 6) (10.


Figura 6
Arteritis de Takayasu. Niño de 4 años con aneurismas y estenosis de arterias grandes y medianas.

Desconocida-autoinmune
Mediólisis arterial segmentaria

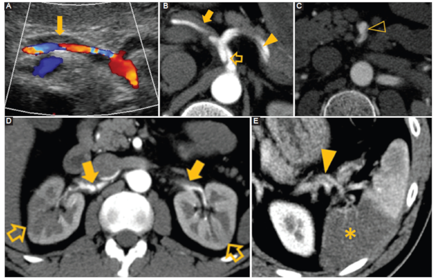
Enfermedad vascular no aterosclerótica y no inflamatoria de origen desconocido que afecta a las arterias viscerales del abdomen. Fisiopatológicamente comienza con una mediólisis, que implica la vacuolización y lisis de las células del músculo liso externo en la capa media. A continuación, un desgarro que separa el músculo medial externo de la adventicia ocurre con pérdida transmural parcheada de la lámina elástica externa. Cuando se completa la mediólisis, la lámina elástica interna y la íntima eventualmente se destruyen, dando lugar a la formación de brechas arteriales. Estas brechas son áreas de debilidad, donde el lumen que contiene la sangre se encuentra en contacto con la capa adventicia. La sangre dentro de la brecha puede disecar a través de una rotura hacia la media y formar hematomas intramurales y aneurismas disecantes11. En ecografía y TC se pueden apreciar múltiples zonas de estenosis, disecciones y trombos en arterias abdominales (Fig. 7) (12.


Figura 7
Mediólisis arterial segmentaria. Hombre de 38 años con pancreatitis aguda. A: la ecografía muestra un diámetro aumentado de la arteria hepática común y esplénica con material ecogénico que ocupa parcialmente el lumen (flecha). B: TC con contraste corte axial. Se identifica una estenosis secundaria a un trombo en la arteria hepática (flecha) asociado a colgajos de disección en el tronco celíaco (flecha hueca) y la arteria esplénica (cabeza de flecha). C: TC con contraste corte axial. Disección de la arteria mesentérica superior (cabeza de flecha hueca). D: TC con contraste corte axial. Estenosis, disección y presencia de trombos en ambas arterias renales (flecha) asociado a defectos de perfusión (flechas huecas). E: TC con contraste corte axial. Disección de la arteria esplénica (punta de flecha) con un defecto de perfusión (asterisco).

Fibrosis retroperitoneal

Proliferación de tejido fibro-inflamatorio que rodea la aorta abdominal y arterias ilíacas y con extensión hacia el retroperitoneo comprometiendo estructuras vecinas (vena cava inferior, uréteres, etc.) generalmente de origen idiopático, estableciéndose también la asociación al uso de fármacos, algunas neoplasias, infecciones, enfermedad por IgG4 y cirugías previas13. Destaca la presencia de un tejido periaórtico irregular con densidad de partes blandas que no compromete la pared posterior de la aorta (Fig. 8), que presenta realce con el contraste intravenoso y que en RM presenta señal baja ponderada en T1 con intensidad variable en imágenes ponderadas T2, que refleja el grado de inflamación activa14. En etapa aguda podemos observar compromiso del tejido graso regional y realce más ávido del contraste que en etapas crónicas (Fig. 9).


Figura 8
Fibrosis retroperitoneal. Hombre de 42 años con dolor abdominal. TC con contraste, cortes axiales. A: fase sin contraste. B-D: fase porto-venosa. Engrosamiento inflamatorio con densidad de tejido de partes blandas de contornos irregulares que rodea la cara anterolateral de la aorta abdominal infrarrenal (flecha), sin comprometer su pared posterior (flecha hueca). Este tejido realza con el contraste y se asocia a cambios inflamatorios del tejido adiposo adyacente. C y D: se observa extensión de este tejido a ambas arterias ilíacas comunes (punta de flecha).


Figura 9
Fibrosis retroperitoneal. Hombre de 69 años. Sospecha de diverticulitis aguda. Resonancia magnética con contraste A: secuencia ponderada en T2 corte axial. B: secuencia ponderada en T2 con saturación grasa corte axial. El tejido periaórtico es hipointenso en las secuencias ponderadas en T2 y T2 con saturación grasa (flecha). C: secuencia ponderada en T1 precontraste con saturación grasa corte axial. D: secuencia ponderada en T1 fase arterial con saturación grasa corte axial. E: secuencia ponderada en T1 fase porto-venosa con saturación grasa corte axial. F: secuencia ponderada en T1 fase tardía con saturación grasa corte axial. Después de la inyección de contraste intravenoso paramagnético (gadolinio) se observa un realce progresivo del tejido de partes blandas periaórtico (punta de flecha).

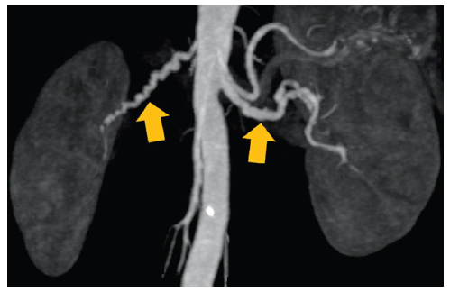
Displasia fibromuscular

Es un enfermedad idiopática, segmentaria, no inflamatoria y no ateroesclerótica que puede afectar todas las capas de arterias de mediano y pequeño calibre15. Se observa dilatación y estenosis alternadas de los vasos, dando un aspecto arrosariado (Fig. 10). Otras alteraciones menos frecuentes son la disección arterial, ectasia, aneurismas y hemorragia subaracnoidea. Dado que frecuentemente se ven afectados los vasos cervicales y renales, el hallazgo de esta entidad en uno de ellos debe motivar el estudio del otro16.


Figura 10
Displasia fibromuscular. Mujer de 28 años con hipertensión arterial de diagnóstico reciente. TC de abdomen y pelvis con contraste fase angiográfica reconstrucción coronal con máxima intensidad de proyección. Las arterias renales presentan zonas dilatadas y estenóticas que determinan una configuración arrosariada.

Iatrogénica-traumática

Enfermedad arterial inducida por radiación: la radioterapia es un tratamiento aceptado mundialmente y utilizado en el tratamiento de las neoplasias. Sin embargo, existe un daño a estructuras adyacentes que resulta a veces inevitable. Este daño ocurre por dos mecanismos: primero, por daño celular directo por parte de la radiación; segundo, por los radicales libres producidos a consecuencia de esta, lo que puede provocar daño en estructuras vasculares17. En este contexto clínico podemos observar, a nivel de las estructuras vasculares, la presencia de trombosis, rotura arterial, fibrosis, estenosis arterial y fenómenos ateroescleróticos locales acelerados (Fig. 11). Es fundamental conocer la historia clínica del paciente para poder considerar esta etiología como la responsable del daño arterial.


Figura 11
Enfermedad arterial inducida por radiación. Hombre de 40 años con antecedente de cáncer testicular a los 20 años, tratado con radioterapia y cirugía. TC con contraste. A: corte axial en fase arterial. B: corte sagital en fase arterial. Se observa un trombo oclusivo de la arteria mesentérica superior desde su origen (flecha).

Fístula aorto-entérica

Comunicación anormal entre la aorta y el tracto gastrointestinal, que puede ser primaria o secundaria a una reparación quirúrgica o endovascular16. Podemos observar gas ectópico adyacente o dentro del injerto aórtico o en la aorta nativa, cambios inflamatorios adyacentes y paso de contraste hacia el lumen del asa comprometida (Fig. 12) (18,19. La exploración quirúrgica suele ser necesaria para confirmar el diagnóstico y realizar el tratamiento apropiado.


Figura 12
Fístula aorto-entérica. Mujer de 58 años. Dolor abdominal y sangrado gastrointestinal. TC con contraste cortes axiales A y B: el estudio muestra un aneurisma aórtico abdominal con comunicación y paso de medio de contraste (flecha) hacia el duodeno (flecha hueca). También hay presencia de gas en un trombo mural (punta de flecha) y cambios inflamatorios en los tejidos adyacentes (asterisco).

Conclusión

La patología arterial no ateromatosa es un grupo heterogéneo y poco frecuente de enfermedades vasculares de diversa etiología, con importante morbilidad y mortalidad. Es importante conocer estas patologías e identificar los hallazgos clave en los estudios de imagen en sus diversas modalidades, ya que un correcto diagnóstico promoverá un tratamiento adecuado para cada paciente, evitando de esta manera procedimientos invasivos y tratamientos inadecuados.

Material suplementario
Bibliografía
Lee WK, Mossop PJ, Little AF, Fitt GJ, Vrazas JI, Hoang JK, et al. Infected (mycotic) aneurysms: Spectrum of imaging appearances and management. Radiographics. 2008;28(7):1853-68.
Orton DF, LeVeen RF, Saigh JA, Culp WC, Fidler JL, Lynch TJ, et al. Aortic prosthetic graft infections: Radiologic manifestations and implications for management. Radiographics. 2000;20(4):977-93.
Aggarwal S, Qamar A, Sharma V, Sharma A. Abdominal aortic aneurysm: A comprehensive review. Exp Clin Cardiol. 2011;16(1):11-5.
Wadgaonkar AD, Black JH, Weihe EK, Zimmerman SL, Fishman EK, Johnson PT. Abdominal aortic aneurysms revisited: MDCT with multiplanar reconstructions for identifying indicators of instability in the pre- and postoperative patient. Radiographics. 2015;35(1):254-68.
Apter S, Rimon U, Konen E, Erlich Z, Guranda L, Amitai M, et al. Sealed rupture of abdominal aortic aneurysms: CT features in 6 patients and a review of the literature. Abdom Imaging. 2010;35(1):99-105.
Jafri HS, Sofianos C, Hattab EM, Overhiser AJ, Chiorean M. Temporal arteritis presenting with gastrointestinal symptoms in a middle aged man. J Gen Intern Med. 2006;21(7):19-21.
Khan A, Dasgupta B. Imaging in giant cell arteritis. Curr Rheumatol Rep. 2015;17(8).
Mason JC. Takayasu arteritis advances in diagnosis and management. Nat Rev Rheumatol. 2010;6(7):406-15.
Brunner J, Feldman BM, Tyrrell PN, Kuemmerle-Deschner JB, Zimmerhackl LB, Gassner I, et al. Takayasu arteritis in children and adolescents. Rheumatology. 2010;49(10):1806-14.
Zhu FP, Luo S, Wang ZJ, Jin ZY, Zhang LJ, Lu GM. Takayasu arteritis: Imaging spectrum at multidetector CT angiography. Br J Radiol. 2012;85(1020):e1282-92.
Pillai AK, Iqbal SI, Liu RW, Rachamreddy N, Kalva SP. Segmental arterial mediolysis. Cardiovasc Intervent Radiol. 2014;37(3):604-12.
Michael M, Widmer U, Wildermuth S, Barghorn A, Duewell S, Pfammatter T. Segmental arterial mediolysis: CTA findings at presentation and follow-up. Am J Roentgenol. 2006;187(6):1463-9.
Vaglio A, Salvarani C, Buzio C. Retroperitoneal fibrosis. Lancet. 2006;367(9506):241-51.
Cronin CG, Lohan DG, Blake MA, Roche C, McCarthy P, Murphy JM. Retroperitoneal fibrosis: A review of clinical features and imaging findings. Am J Roentgenol . 2008;191(2):423-31.
Plouin PF, Perdu J, La Batide-Alanore A, Boutouyrie P, Gimenez-Roqueplo AP, Jeunemaitre X. Fibromuscular dysplasia. Orphanet J Rare Dis. 2007;2:28.
Varennes L, Tahon F, Kastler A, Grand S, Thony F, Baguet JP, et al. Fibromuscular dysplasia: what the radiologist should know: a pictorial review. Insights Imaging. 2015;6(3):295-307.
Stewart FA, Heeneman S, Te Poele J, Kruse J, Russell NS, Gijbels M, et al. Ionizing radiation accelerates the development of atherosclerotic lesions in ApoE-/- mice and predisposes to an inflammatory plaque phenotype prone to hemorrhage. Am J Pathol. 2006;168(2):649-58.
Vu QDM, Menias CO, Bhalla S, Peterson C, Wang LL, Balfe DM. Aortoenteric fistulas: CT features and potential mimics. Radiographics. 2009;29(1):197-209.
Hughes FM, Kavanagh D, Barry M, Owens A, MacErlaine DP, Malone DE. Aortoenteric fistula: A diagnostic dilemma. Abdom Imaging . 2007;32(3):398-402.
Notas
Notas
Financiamiento Los autores declaramos que no existe ningún tipo de interés financiero directo o indirecto, ni tampoco ningún tipo de financiamiento por una organización que pueda tener relación con el manuscrito presentado.
Conflicto de intereses Los autores declaran no tener ningún conflicto de intereses
Responsabilidades éticas Protección de personas y animales. Los autores declaran que para esta investigación no se han realizado experimentos en seres humanos ni en animales. Confidencialidad de los datos. Los autores declaran que han seguido los protocolos de su centro de trabajo sobre la publicación de datos de pacientes. Derecho a la privacidad y consentimiento informado. Los autores han obtenido el consentimiento informado de los pacientes y/o sujetos referidos en el artículo. Este documento obra en poder del autor de correspondencia.
Notas de autor

Correspondencia: Giancarlo Schiappacasse-Faúndes E-mail: gschiappacasse@gmail.com


Figura 1
Aneurisma micótico (infeccioso). Hombre de 75 años con antecedentes de hipertensión y diabetes. Fiebre y dolor abdominal de dos semanas de evolución. TC con contraste en cortes axiales. A: fase sin contraste. B y C: fase arterial. Se observa un tejido con densidad de partes blandas periaórtico (flecha) adyacente a una pequeña saliente de perfil (flecha hueca) en la pared lateral izquierda de la aorta con inflamación de los tejidos blandos periaórticos (punta de flecha).

Figura 2
Injertos arteriales infectados. Hombre de 90 años con antecedentes de injerto aorto-bifemoral. TC con emisión de positrones de cuerpo entero con 18fluorodesoxiglucosa (FDG). A: corte axial fase porto-venosa. B: corte axial fusión. Las imágenes demuestran cambios de atenuación del tejido adyacente al injerto femoral derecho (flecha), con una mayor captación de FDG (SUV máx. 7,9).

Figura 3
Rotura de un aneurisma. Hombre de 62 años. Dolor abdominal e hipotensión. TC con contraste cortes axiales A y B: se observa un aneurisma aórtico abdominal roto (flecha) con un extenso hematoma retroperitoneal (flecha hueca) y hemorragia activa demostrada por extravasación del medio de contraste (punta de flecha).

Figura 4
Arteritis de células gigantes. Hombre de 69 años. Dolor abdominal. TC con contraste cortes axiales. A: fase sin contraste. B: fase porto-venosa. Se observa leve engrosamiento de la pared aórtica con un tejido con densidad de partes blandas que la rodea circunferencialmente (flecha).

Figura 5
Arteritis de células gigantes. Hombre de 70 años. Control oncológico. TC con emisión de positrones18 fluorodesoxiglucosa A: corte axial fase porto-venosa. B: corte axial fusión. Aumento en la captación del radiotrazador en la aorta abdominal sin observar engrosamiento parietal aórtico (flecha) (SUV máx. 5,5). C: corte axial fusión. Aumento significativo en la captación del radiotrazador en las arterias femorales comunes (flecha hueca).

Figura 6
Arteritis de Takayasu. Niño de 4 años con aneurismas y estenosis de arterias grandes y medianas.

Figura 7
Mediólisis arterial segmentaria. Hombre de 38 años con pancreatitis aguda. A: la ecografía muestra un diámetro aumentado de la arteria hepática común y esplénica con material ecogénico que ocupa parcialmente el lumen (flecha). B: TC con contraste corte axial. Se identifica una estenosis secundaria a un trombo en la arteria hepática (flecha) asociado a colgajos de disección en el tronco celíaco (flecha hueca) y la arteria esplénica (cabeza de flecha). C: TC con contraste corte axial. Disección de la arteria mesentérica superior (cabeza de flecha hueca). D: TC con contraste corte axial. Estenosis, disección y presencia de trombos en ambas arterias renales (flecha) asociado a defectos de perfusión (flechas huecas). E: TC con contraste corte axial. Disección de la arteria esplénica (punta de flecha) con un defecto de perfusión (asterisco).

Figura 8
Fibrosis retroperitoneal. Hombre de 42 años con dolor abdominal. TC con contraste, cortes axiales. A: fase sin contraste. B-D: fase porto-venosa. Engrosamiento inflamatorio con densidad de tejido de partes blandas de contornos irregulares que rodea la cara anterolateral de la aorta abdominal infrarrenal (flecha), sin comprometer su pared posterior (flecha hueca). Este tejido realza con el contraste y se asocia a cambios inflamatorios del tejido adiposo adyacente. C y D: se observa extensión de este tejido a ambas arterias ilíacas comunes (punta de flecha).

Figura 9
Fibrosis retroperitoneal. Hombre de 69 años. Sospecha de diverticulitis aguda. Resonancia magnética con contraste A: secuencia ponderada en T2 corte axial. B: secuencia ponderada en T2 con saturación grasa corte axial. El tejido periaórtico es hipointenso en las secuencias ponderadas en T2 y T2 con saturación grasa (flecha). C: secuencia ponderada en T1 precontraste con saturación grasa corte axial. D: secuencia ponderada en T1 fase arterial con saturación grasa corte axial. E: secuencia ponderada en T1 fase porto-venosa con saturación grasa corte axial. F: secuencia ponderada en T1 fase tardía con saturación grasa corte axial. Después de la inyección de contraste intravenoso paramagnético (gadolinio) se observa un realce progresivo del tejido de partes blandas periaórtico (punta de flecha).

Figura 10
Displasia fibromuscular. Mujer de 28 años con hipertensión arterial de diagnóstico reciente. TC de abdomen y pelvis con contraste fase angiográfica reconstrucción coronal con máxima intensidad de proyección. Las arterias renales presentan zonas dilatadas y estenóticas que determinan una configuración arrosariada.

Figura 11
Enfermedad arterial inducida por radiación. Hombre de 40 años con antecedente de cáncer testicular a los 20 años, tratado con radioterapia y cirugía. TC con contraste. A: corte axial en fase arterial. B: corte sagital en fase arterial. Se observa un trombo oclusivo de la arteria mesentérica superior desde su origen (flecha).

Figura 12
Fístula aorto-entérica. Mujer de 58 años. Dolor abdominal y sangrado gastrointestinal. TC con contraste cortes axiales A y B: el estudio muestra un aneurisma aórtico abdominal con comunicación y paso de medio de contraste (flecha) hacia el duodeno (flecha hueca). También hay presencia de gas en un trombo mural (punta de flecha) y cambios inflamatorios en los tejidos adyacentes (asterisco).
Buscar:
Contexto
Descargar
Todas
Imágenes
Visor de artículos científicos generados a partir de XML-JATS4R por Redalyc