ENSAYO ICONOGRÁFICO
Recepción: 10 Junio 2020
Aprobación: 24 Febrero 2021
DOI: https://doi.org/10.24875/RAR.M22000034
Resumen: El derrame pericárdico (DP) es una entidad frecuente en la práctica diaria, que puede ocurrir por un amplio rango de patologías. Los métodos por imágenes constituyen una herramienta diagnóstica clave en la evaluación del pericardio. El ecocardiograma transtorácico (ETT) se considera de primera línea por su costo-efectividad. La tomografía computarizada multicorte (TCMC), por su parte, representa un valioso complemento ante limitaciones del ETT y en la evaluación de urgencia del paciente con sospecha de DP. El objetivo del trabajo es mostrar la utilidad y rol de la TCMC, mediante la medición de densidades, para estimar la etiología del DP, ilustrado con casos de nuestra institución.
Palabras clave: Derrame pericárdico, Pericardiocentesis, Ecocardiograma transtorácico, Tomografía computarizada multicorte.
Abstract: Pericardial effusion (PE) is a common entity in daily practice, which can occur due to a wide range of conditions. Imaging methods are a key diagnostic tool in the evaluation of the pericardium. Transthoracic echocardiogram (TTE) is the first line imaging method because of its cost-effectiveness. Multi-slice Computed Tomography (MSCT), on the other hand, represents a valuable complement to the limitations of TTE and in emergency evaluation of the patient with suspected PE. The objective of this review is to show the usefulness and role of the MSCT -through the measurement of densities- to estimate the etiology of PE, illustrated with cases of our Institution.
Keywords: Pericardial effusion, Pericardiocentesis, Transthoracic echocardiography, Multidetector computed tomography.
Introducción
El derrame pericárdico (DP) puede darse en el contexto de una amplia gama de condiciones clínicas que incluyen: insuficiencia cardiaca/renal, inflamación/infecciones, neoplasias, postraumatismos y posprocedimientos/cirugías1,2.
Si bien el análisis bioquímico del fluido pericárdico (FP) puede brindar una aproximación diagnóstica en un determinado contexto clínico, representa un examen invasivo con potenciales complicaciones asociadas al procedimiento y muchas veces no disponible3,4.
El ecocardiograma transtorácico (ETT) es el método de primera línea en la evaluación del DP, destacándose su capacidad de evaluar funcionalidad cardiaca y estado hemodinámico del paciente. Entre sus limitaciones se menciona el hecho de ser dependiente del operador y la presencia de una ventana acústica subóptima determinada por el hábito constitucional del paciente1,5.
Por su parte, la tomografía computarizada multicorte (TCMC), ampliamente disponible y utilizada en la urgencia torácica, presenta grandes ventajas en la identificación, valoración de severidad y extensión del DP, así como en la medición de la densidad del FP2,3,5,6,7.
Realizamos una revisión de diversos casos clínicos de DP de nuestra institución, con énfasis en la medición de unidades Hounsfield (UH) promedio del DP para estimar la etiología de este, y con ello establecer las subsecuentes implicancias clínico-terapéuticas.
Discusión
El DP es resultado de un incremento en el contenido del saco pericárdico, que en condiciones normales alberga entre 15 y 50 ml de fluido seroso1,5,6.
El DP puede clasificarse según distintos puntos de vista: composición, tiempo evolutivo, cuantía, impacto hemodinámico o distribución (Tabla 1).
La fisiopatología del DP está determinada por una disminución en la reabsorción del FP o un aumento en su producción. La primera de estas condiciones se da por un incremento de la presión venosa sistémica secundaria a falla orgánica o hipertensión pulmonar, resultando en la presencia de un trasudado. Por su parte, un aumento en la producción se vincula con procesos inflamatorios-infecciosos del pericardio, dando un fluido de tipo exudado.
La presentación clínica se relaciona con la velocidad de instauración del DP por sobre la cuantía en sí misma. Entre los signos clásicos se incluyen el dolor torácico agudo y la disnea con posible progresión a ortopnea6.
Si bien el ETT es el método de primera línea y de amplia disponibilidad para la evaluación inicial del paciente con sospecha de DP, las técnicas de corte aportan mejor caracterización de este y de estructuras extracardiacas. La TCMC y la resonancia magnética (RM) se han desarrollado desde 1970, siendo actualmente métodos complementarios de alta complejidad en la evaluación del pericardio2. Ambos aportan una excelente caracterización anatómica, destacándose la TC para la valoración de calcificaciones y la RM para la evaluación de la funcionalidad cardiaca8.
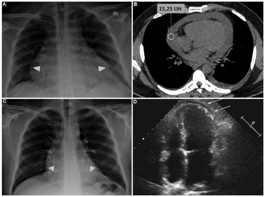
Por su parte, el análisis de la densidad del DP resulta una herramienta complementaria útil y accesible. Se ha estudiado la composición del DP por medio de la medición de densidades tomográficas y su correlación con los datos del análisis bioquímico. En este sentido, una densidad promedio similar a la del líquido es indicativa de trasudado, mientras que valores mayores a 20 UH se vinculan con exudados y mayores a 50 UH con contenido hemático con alta especificidad (Fig. 1) (3,7.

Protocolos de adquisición y medición
Las imágenes de TCMC de nuestra Institución fueron obtenidas en equipos de 64 pistas (Aquilion, Toshiba Inc., Tokio, Japón) y 320 pistas (Aquilion One, Toshiba Inc., Tokio, Japón); de 220 miliamperios por segundo (mAs) y 120 kilovoltios (kv). Se realizaron adquisiciones tomográficas con y sin contraste endovenoso. En primera instancia, se adquirió un topograma/scout de frente y de perfil. Luego se planearon los límites a estudiar sobre dicho localizador: superior a vértices pulmonares hasta abdomen superior, abarcando ambas glándulas suprarrenales. Los cortes volumétricos se realizaron con el paciente en inspiración profunda, con un espesor de corte de 1 mm y con un intervalo de 0,5 mm. Posteriormente se obtuvieron reconstrucciones axiales, coronales y sagitales con espesor de corte de 5 mm.
En las estaciones de trabajo se realizó el análisis de densidades del DP en las adquisiciones sin contraste endovenoso, estableciendo regiones de interés (ROI) con un área de entre 0,8 y 2 cm² (acorde al volumen de DP). Se preestablecieron áreas de estudio para homogeneizar el criterio de medición: anterior, anterolateral izquierda, posterior izquierda, anterolateral derecha y posterior derecha; eligiendo aquella en la que se presente el mayor volumen de DP para cada caso. Se tuvo en cuenta la correcta selección del FP, sin incluir áreas de tejido graso epicárdico/paracardiaco o engrosamientos pericárdicos; los cuales podrían actuar como posibles confundidores y llevar a errores de interpretación.
Clasificación de la patología del pericardio
La patología del pericardio involucra un amplio y heterogéneo grupo de entidades, con múltiples formas de presentación que requieren un manejo terapéutico específico. En primera instancia, se puede dividir al compromiso del pericardio según sus formas congénitas o adquiridas, lo cual se subdivide a su vez según la fisiopatología interviniente (Fig. 2) (2.

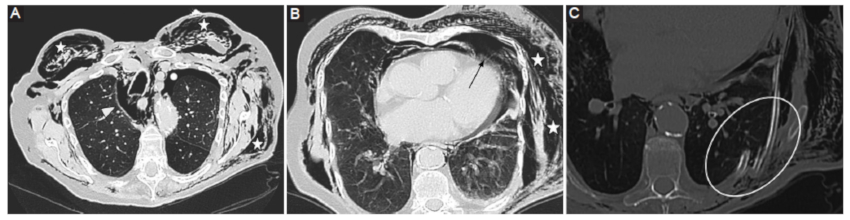
Neumopericardio
Entidad definida por la presencia de aire contenido entre ambas hojas del pericardio. Si bien puede darse de forma idiopática, las causas más frecuentes son postraumática y posquirúrgica (Figs. 3 y 4), secundaria a patología de órganos adyacentes (tubo digestivo o vía aérea) o afecciones del pericardio por gérmenes productores de gas9.


La gravedad del cuadro viene determinada por la posibilidad de desarrollarse un neumopericardio a tensión, el cual genera un síndrome de taponamiento cardiaco con descompensación hemodinámica y requiriendo descompresión de urgencia9.
La TCMC pone en evidencia la presencia de aire contenido entre las hojas del pericardio, aunque en situaciones de urgencia el diagnóstico de taponamiento cardiaco suele ser clínico6.
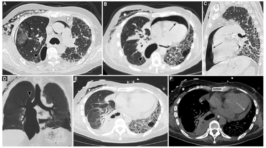
Pericarditis aguda
Se define como un síndrome pericárdico de tipo inflamatorio que puede darse con o sin DP acompañante («pericarditis seca»)6.
En la mayor parte de los casos se trata en un cuadro idiopático (presumiblemente asociado a infecciones virales), aunque puede manifestarse en el contexto de enfermedades sistémicas como tuberculosis, enfermedades autoinmunes, como hallazgo o complicación posquirúrgica, o asociado a compromiso miocárdico (Figs. 5, 6 y 7) (5,6.



Si bien tradicionalmente se la describe en su forma aguda, también puede darse en curso subagudo o crónico. Los síntomas clásicos de presentación incluyen: dolor torácico agudo, de tipo pleurítico que cambia de intensidad con la posición y signos de fricción pericárdica. Los cambios clásicos en el electrocardiograma (ECG) y la elevación de marcadores serológicos de inflamación apoyan el diagnóstico6.
Entre los signos clásicos de pericarditis aguda por TCMC se describen:
DP: particularmente del tipo exudado, aunque en una minoría de casos puede ser trasudado10.
Engrosamiento del pericardio. Habitualmente las hojas del pericardio miden entre 1,3 y 2,5 mm. Un aumento mayor a 4 mm presenta una alta especificidad para esta patología10.
Realce pericárdico tras la inyección de contraste endovenoso (alta especificidad) (10.
Cabe mencionar que Hammer et al. (10, en su serie de 46 pacientes con diagnóstico de pericarditis aguda, encontraron que el engrosamiento y realce pericárdico valorado por TCMC presenta una sensibilidad del 54-59% y una especificidad del 91-96%10.
Compromiso del pericardio por patología tumoral
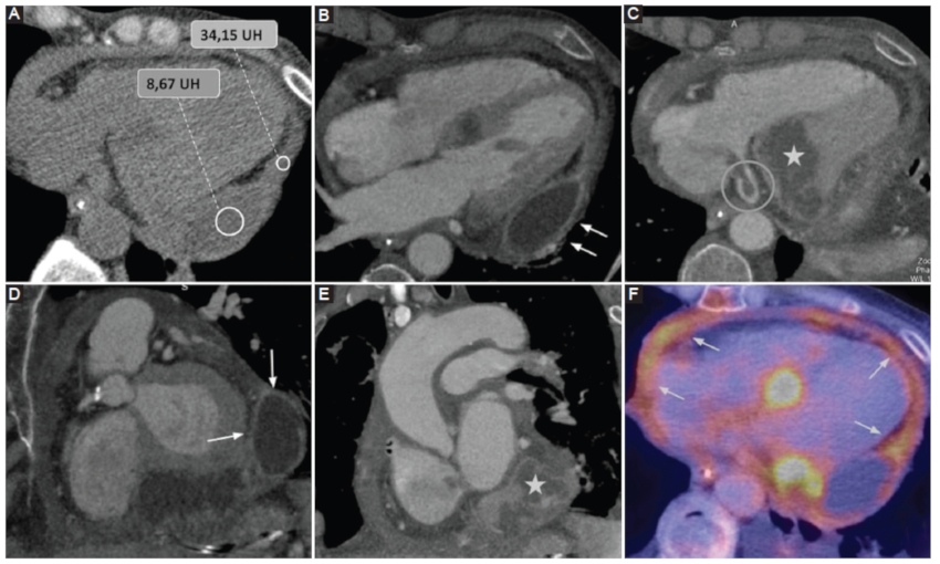
Los tumores del pericardio se clasifican en benignos (lipomas y fibromas) o malignos (mesotelioma, linfoma y sarcoma). Si bien son raros, dentro de ellos el más frecuente es el mesotelioma, con un pronóstico ominoso. Por su parte, las metástasis representan la neoplasia más frecuente del pericardio, siendo los tumores primarios involucrados: pulmón, mama, linfoma y melanoma (Fig. 8) (6.

Los métodos por imágenes revelan la presencia de compromiso pericárdico, así como signos de afectación extrapericárdica (parénquima pulmonar, estructuras mediastinales y óseas). Los hallazgos por TCMC presentan una amplia variabilidad de presentación, entre los que se menciona:
DP, generalmente del tipo exudado.
Engrosamiento irregular del pericardio.
Lesiones nodulares y masas pericárdicas.
Adenomegalias mediastinales (definiéndose como ganglios linfáticos mayores a 10 mm en su eje corto).
En este sentido, resulta mandatoria la correcta diferenciación entre recesos pericárdicos voluminosos y ganglios linfáticos patológicos mediante métodos por imágenes1,6,11.
Puede presentarse DP en cuantía variable como signo de infiltración tumoral directa, aunque hasta en dos tercios de los pacientes se debe a causa no tumoral6,12. Al respecto, Thurber et al. (13, en su estudio de más de 13,000 autopsias, encontraron 189 casos de afectación tumoral del pericardio, siendo el DP el hallazgo más frecuente. Aún más, concluyeron que hasta un 85% presentaba DP de tipo fibroso, lo cual traduce la presencia de un exudado13.
Por último, los métodos por imágenes permiten discriminar entre la presencia de pseudomasas (como una almohadilla epicárdica prominente) de tumoraciones pericárdicas2.
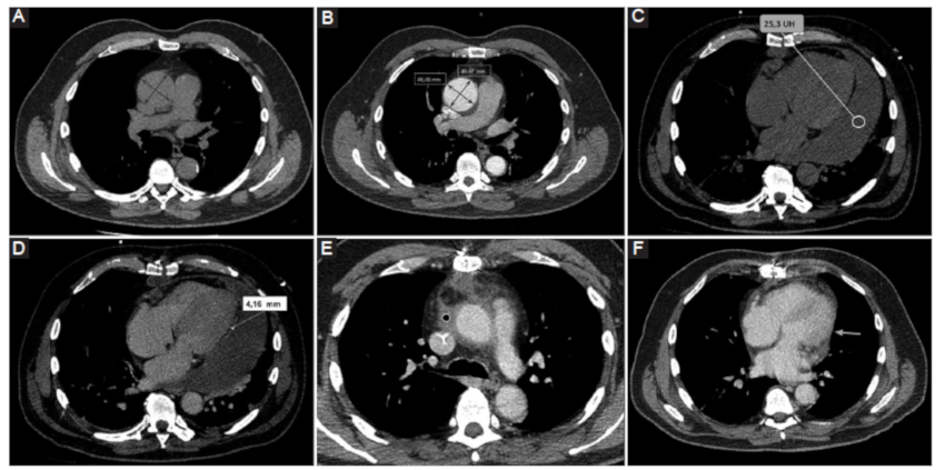
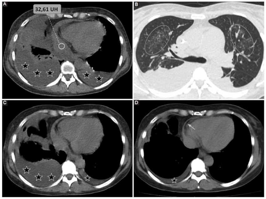
Hemopericardio
Se define como la presencia de contenido hemático en el espacio pericárdico, que puede darse en diversos contextos clínicos:
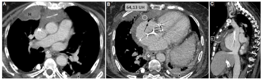
Iatrogénico: en este grupo se engloban el hemopericardio secundario a procedimientos cardiacos invasivos tales como la intervención coronaria percutánea o la colocación de marcapasos (Fig. 9); o como consecuencia de una cirugía cardiovascular (Fig. 10).
Trauma torácico: fuerzas de alta energía que llevan a la presencia de hemopericardio, ruptura pericárdica, taponamiento cardiaco y/o herniación.
Síndrome aórtico agudo: en este contexto, el hemopericardio ocurre con una frecuencia estimada de entre un 17-45%, hecho que contraindica la pericardiocentesis y representa una emergencia clínica (Fig. 11) (6.



Los métodos por imágenes están indicados para la valoración de cuantía y severidad con un nivel de evidencia B clase 1 según las guías vigentes6. Según la serie de Rifkin et al. (3, la TCMC, entre otras cosas, permite identificar la presencia de hemopericardio ante una densidad promedio mayor a 30 UH con una sensibilidad cercana al 100%.
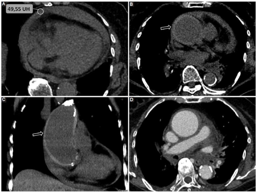
Pericarditis constrictiva
Representa una condición clínica resultante de una menor distensibilidad del pericardio2,14. Si bien su etiología es multifactorial, se asocia con mayor frecuencia al antecedente de pericarditis autoinmune, neoplasias del pericárdico y pericarditis bacteriana6,15.
Los síntomas clásicos de presentación son secundarios a falla diastólica, con signos de insuficiencia cardiaca derecha en ausencia de patología cardiaca subyacente6.
La TCMC presenta gran rédito para la identificación de la pericarditis constrictiva, así como también para discriminar los hallazgos de su principal diagnóstico diferencial que es la miocardiopatía constrictiva (Fig. 12). Cabe remarcar que si bien ambas entidades presentan similar escenario clínico, la pericarditis constrictiva es potencialmente tratable, a diferencia de la miocardiopatía constrictiva, que se asocia con un pronóstico desfavorable6.

Entre los hallazgos clásicos visualizados por TCMC se mencionan:
Engrosamiento pericárdico mayor a 4 mm. Este hallazgo resulta poco sensible, ya que puede presentarse con pericardio de grosor conservado16.
Calcificación de las hojas pericárdicas16.
Signos indirectos como reducción de volumen del ventrículo derecho de morfología tubular16.
Cabe mencionar que el engrosamiento y la presencia de calcificaciones resultan datos muy sugestivos de esta entidad, pero con limitada sensibilidad. En este sentido, Talreja et al. (16, en su serie de 143 pacientes con diagnóstico definitivo de pericarditis constrictiva, encontraron que un 18% de los casos se presentó con grosor pericárdico normal, y entre un 30-40% de los casos se presentó con calcificaciones pericárdicas.
La TCMC permite además una correcta evaluación prequirúrgica, considerando la pericardiectomía como tratamiento de elección2.
Conclusión
La patología del pericardio, y sobre todo el DP, comprende un amplio espectro de condiciones clínicas. La TCMC representa un método accesible que permite evaluar la extensión, cuantía y composición del DP por medio de la medición de densidades, obteniendo una rápida aproximación diagnóstica (Tabla 2).

Bibliografía
Wang ZJ, Reddy GP, Gotway MB, Yeh BM, Hetts SW, Higgins CB. CT and MR imaging of pericardial disease. Radiographics. 2003;23:167-80.
Bogaert J, Francone M. Pericardial disease: Value of CT and MR imaging. Radiology. 2013;267(2):340-56.
Rifkin RD, Mernoff DB. Noninvasive evaluation of pericardial effusion composition by computed tomography. Am Heart J. 2005;149(6):1120-7.
Çetin MS, Özcan Çetin EH, Özdemir M, Topaloğlu S, Aras D, Temizhan A, et al. Effectiveness of computed tomography attenuation values in characterization of pericardial effusion. Anatol J Cardiol. 2017;17(4):322-7.
Yared K, Baggish AL, Picard MH, Hoffmann U, Hung J. Multimodality imaging of pericardial diseases. JACC Cardiovascular Imaging. 2010;3(6):650-60.
Adler Y, Charron P, Imazio M, Badano L, Barón-Esquivias G, Bogaert J, et al. 2015 ESC Guidelines for the diagnosis and management of pericardial diseases Kardiologia Polska. Kardiol Pol. 2015;73(11):1028-91.
Çetin MS, Çetin EHO, Özdemir M, Topaloğlu S, Aras D, Temizhan A. Effectiveness of computed tomography attenuation values in characterization of pericardial effusion. Anatol J Cardiol . 2017;17(4):322-7.
Cosyns B, Plein S, Nihoyanopoulos P, Smiseth O, Achenbach S, Andrade MJ, et al. European Association of Cardiovascular Imaging (EACVI) position paper: Multimodality imaging in pericardial disease. Eur Heart J Cardiovasc Imaging. 2015;16(1):12-31.
Katabathina VS, Restrepo CS, Martinez-Jimenez S, Riascos RF. Nonvascular, nontraumatic mediastinal emergencies in adults: A comprehensive review of imaging findings. Radiographics. 2011;31(4):1141-60.
Hammer MM, Raptis CA, Javidan-Nejad C, Bhalla S. Accuracy of computed tomography findings in acute pericarditis. Acta Radiol. 2014;55(10):1197-202.
Vaitkus PT, Herrmann HC, LeWinter MM. Treatment of malignant pericardial effusion. JAMA. 1994;272(1):59-64.
Truong MT, Erasmus JJ, Gladish GW, Sabloff BS, Marom EM, Madewell JE, et al. Anatomy of pericardial recesses on multidetector CT: implications for oncologic imaging. AJR Am J Roentgenol. 2003;181(4):1109-13.
Thurber DL, Edwards JE, Achor RWP. Secondary malignant tumors of the pericardium. Circulation. 1962;26:228-41.
Ling LH, Oh JK, Schaff HV, Danielson GK, Mahoney DW, Seward JB, et al. Constrictive pericarditis in the Modern Era. Circulation. 1999;100(13):1380-6.
Imazio M, Brucato A, Maestroni S, Cumetti D, Belli R, Trinchero R, et al. Risk of constrictive pericarditis after acute pericarditis. Circulation. 2011;124(11):1270-5.
Talreja DR, Edwards WD, Danielson GK, Schaff HV, Jamil Tajik A, Tazelaar HD, et al. Constrictive pericarditis in 26 patients with histologically normal pericardial thickness. Circulation. 2003;108(15):1852-7.
Notas
Notas de autor
Correspondencia: Julia M. Saidman E-mail: julia.saidman@hospitalitaliano.org.ar