CARTA CIENTÍFICA
Presentación sintomática del músculo sóleo accesorio. Reporte de un caso
Symptomatic presentation of the accessory soleus muscle. Case report
Recepción: 24 Abril 2021
Aprobación: 07 Octubre 2021
Estimados editores,
Los músculos accesorios son variantes anatómicas, dentro de los cuales se encuentra el músculo sóleo accesorio, variante más frecuente de la región del tobillo.
La incidencia del músculo sóleo accesorio oscila entre el 0,5 y el 6,0% de la población1.
Estas variantes pueden tener repercusión clínica o ser un hallazgo incidental2.
Se presenta el caso de una paciente de sexo femenino de 33 años de edad, que consultó por dolor en región retromaleolar del tobillo izquierdo y a nivel plantar homolateral, tras la realización de actividad física intensa, de impacto.
Al examen físico presentó dolor a la compresión del trayecto del tendón tibial posterior y Aquiles. También refirió dolor al pisar, en la región plantar posterior.
Se realizaron radiografías de perfil comparativas de ambos tobillos (Fig. 1). En el tobillo izquierdo se evidenció una opacidad en región posterior, que se extiende al sector distal de la pierna, con ocupación del triángulo de Kager.

Por ecografía, en el plano longitudinal (Fig. 2A) y transversal (Fig. 2B), se identificó como hallazgo positivo, imagen de ecogenicidad similar al músculo, ocupando el espacio correspondiente a la grasa retrotibial izquierda, preaquileana.

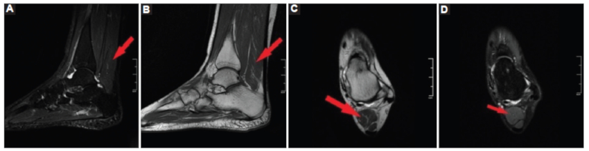
En resonancia magnética (RM), en el plano sagital en secuencias STIR (Fig. 3A) y T1 (Fig. 3B) y en plano axial en secuencias ponderadas en T2 (Fig. 3C) y DP FATSAT (Fig. 3D) se observó imagen de intensidad de señal similar al músculo en la porción posterior de la pierna, cuya inserción distal es en el margen superior del calcáneo, compatible con músculo sóleo accesorio. También se identificó aumento en el espesor del cordón central de la aponeurosis plantar, próximo a la inserción en el calcáneo con hiperintensidad por edema en los tejidos blandos perifasciales, por incipiente fascitis plantar.

La conducta de nuestra paciente fue conservadora, con administración de analgésicos y reposo deportivo.
El músculo sóleo forma parte del grupo muscular posterior de la pierna y del compartimento superficial posterior. Dicho compartimento está delimitado hacia delante por el tabique intermuscular y por detrás por la aponeurosis de la pierna. Es un músculo ancho, situado en la cara profunda de los gastrocnemios.
Su inserción proximal es en la cara posterolateral de la cabeza del peroné y en la tibia a nivel del labio inferior de la línea del soleo. Distalmente, junto con ambos gastrocnemios conformando al musculo tríceps sural, se inserta en el margen posterior del calcáneo mediante el tendón de Aquiles3,4.
Participa en la flexión y extensión plantar a nivel talocrural y en la bipedestación, manteniendo la postura5.
El músculo sóleo accesorio se inserta, con mayor frecuencia, proximalmente en la cara posterior de la tibia. Distalmente presenta múltiples variedades de inserción, generalmente, es por medio de su tendón en la región medial del calcáneo. Las demás inserciones son en la superficie superior del calcáneo a través de un tendón, inserción muscular en la cara superior del calcáneo y a lo largo del tendón de Aquiles.
Su diagnóstico puede ser de forma incidental y en el 67% de los casos se comporta como una masa de partes blandas dolorosa en la región posteromedial del tobillo que se produce tras realizar actividad física intensa6.
Como complicación, se describe el síndrome compartimental, el cual ocurre al hipertrofiarse el músculo tras la realización de actividad física intensa, provocando hipoflujo vascular local y afectación de la arteria tibial posterior, dada su cercanía anatómica. Clínicamente, se manifiesta por dolor isquémico y claudicación respectivamente. Puede haber compromiso del nervio tibial posterior (neuropatía) (7.
En la radiografía perfil de tobillo, se presenta como radioopacidad de partes blandas, que ocupa el espacio de Kager, sin anomalías óseas asociadas.
La ecografía muestra imagen hipoecoica, de similar ecogenicidad al músculo, bien delimitada, mientras que en la tomografía computada (TC) aparece como una masa de partes blandas con valores de atenuación equivalentes al músculo, ausencia de calcificaciones en su interior, de localización anteromedial al tendón de Aquiles.
La RM es el gold standard para el diagnóstico del músculo sóleo accesorio, dado que la capacidad multiplanar permite identificar con precisión las inserciones musculares tanto proximales como distales y su alta resolución de contraste permite descartar diagnósticos diferenciales como gangliomas, tumores benignos (lipoma, hemangioma) o malignos (sarcomas) entre otras entidades6.
El tratamiento de elección y más frecuentemente utilizado para esta variante anatómica es el conservador, basándose en la administración de esteroides y reposo de actividad física.
Si con dicho tratamiento continúa el dolor, se debe medir la presión intracompartimental para diagnosticar síndrome compartimental o descartar dicha presunción diagnóstica. En caso de confirmarse el síndrome compartimental, se debe realizar la fasciotomía.
Para aquellos pacientes que no mejoran con la fasciotomía, el tratamiento es la escisión completa del músculo6,7.
Se ha utilizado toxina botulínica para tratar pacientes con dolor durante la realización de ejercicio, pero sin síndrome compartimental. Pero aún se necesita una muestra mayor para poder implementarlo como terapéutica8.
Esta entidad poco frecuente ha sido descripta en la literatura. Sin embargo, los resultados obtenidos no son concluyentes en relación con la razón por la cual algunos pacientes son sintomáticos y otros no y en realizar las recomendaciones de instaurar protocolos de tratamiento9.
Correspondencia: Cristian M. Daher E-mail: cristianmdaher@gmail.com


