CARTA CIENTÍFICA
Una causa infrecuente de dolor abdominal: infarto de epiplón menor. Reporte de caso
An unusual cause of abdominal pain: lesser omentum infarction. Case report
Recepción: 12 Marzo 2021
Aprobación: 30 Octubre 2021
Estimados editores,
El epiplón menor es un reflejo peritoneal desarrollado entre el hígado y la curvatura menor del estómago. Está constituido por dos pliegues, uno anterior y otro posterior, y presenta cuatro bordes, uno hepático, otro gástrico, uno superior y un borde derecho libre1. La torsión del epiplón menor es una situación extremadamente rara, presentándose como un abdomen agudo quirúrgico, con muy pocos casos publicados en la literatura. Se han utilizado múltiples términos para representar el diagnóstico. La primera descripción fue hecha por von Klimko en 1929, seguido de Erdély en 1932 y Black2) en 1954, bajo el título «torsión del tercer epiplón». Durante los últimos años, el término «infarto de la grasa intraperitoneal» (IFFI), presentado por van Breda Viersmann3 en 1999, ha sido ampliamente utilizado para describir de manera unificada todas estas diversas condiciones, como torsión y/o infarto del epiplón mayor/menor o un apéndice epiploico que tienen etiología, clínica, características radiológicas, pronóstico y tratamiento similares y que solo difieren por sus ubicaciones y dimensiones anatómicas1,2. La mayoría de los casos reportados se refieren a torsión y/o infarto del epiplón mayor y apéndices epiploicos3,4,5,6.
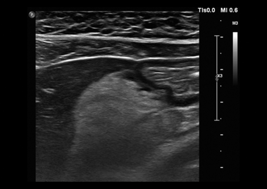
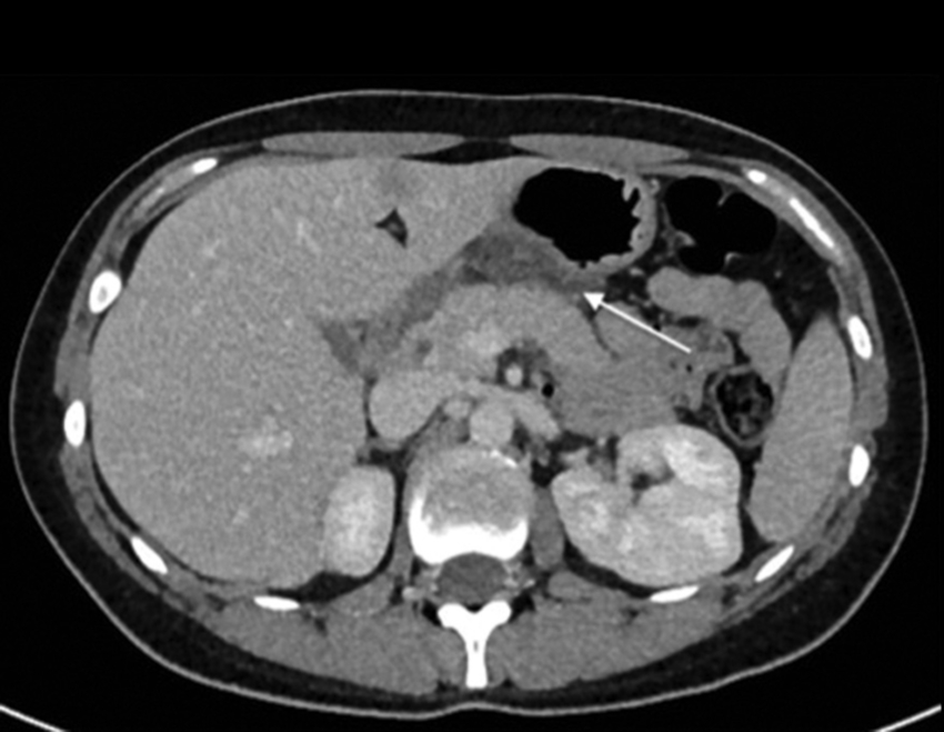
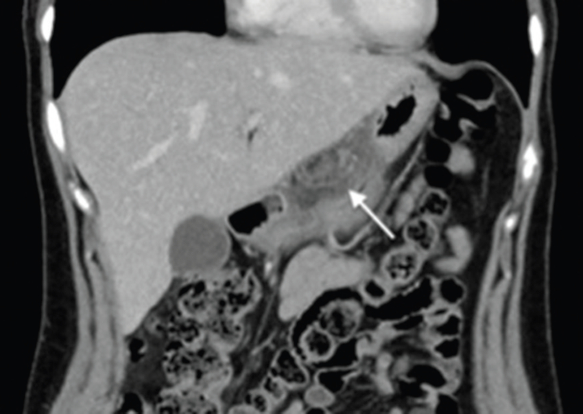
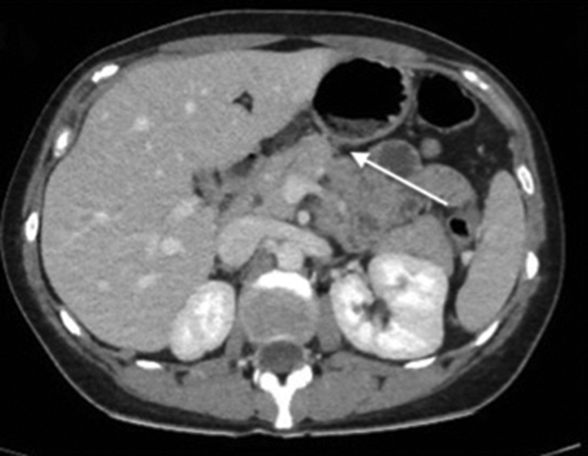
Comunicamos el caso de una mujer de 29 años, sin antecedentes mórbidos de importancia, que consultó por un cuadro de 24 horas de evolución de distensión abdominal y dolor epigástrico, que luego se hizo difuso, sin fiebre. Al examen físico destacaba dolor a la palpación abdominal, preferentemente en el hemiabdomen superior. Se le realizaron exámenes de laboratorio en los que solo se objetivó elevación de la proteína C reactiva con un valor de 14,3 nmol/l. Se decidió estudiar el dolor abdominal con una ecografía, en la que se identificó un área de tejido ecogénico lobulado, relativamente bien delimitado, situado entre el páncreas y la cara posterior del cuerpo y del antro gástrico (Fig. 1), compatible con un proceso inflamatorio del tejido adiposo peripancreático cuya etiología no se precisó. Ante estos hallazgos, se decidió complementar el estudio con una tomografía computada (TC) de abdomen y pelvis con contraste, en la que se confirmó la presencia de un aumento de la densidad del tejido adiposo comprendido entre el páncreas y el estómago, específicamente adyacente a la curvatura menor del estómago y pared posterior (Figs. 2 y 3). El tejido adiposo en relación con la mayor parte de la curvatura mayor presentaba densidad normal. Ante estos hallazgos, se diagnosticó un infarto del epiplón menor, sin signos de complicación, por lo que se decidió manejo con analgesia y controles seriados. La paciente tuvo una evolución favorable con un control a los dos meses con una nueva TC de abdomen y pelvis con contraste, en la que se observó una marcada disminución del aumento de volumen y densidad del omento menor en comparación al examen previo (Fig. 4).




La torsión del epiplón menor es una emergencia extremadamente rara, condición que se presenta como un abdomen quirúrgico agudo. Entre las situaciones que aparecen como IFFI, sigue siendo muy poco frecuente. La torsión omental y el infarto ocurren cuando el órgano gira sobre su eje vertical hasta el punto en que su vascularización y perfusión están ocluidas. Dos condiciones son requisitos previos para que ocurra: una de ellas es un segmento redundante y móvil y la otra una base fija alrededor de la cual pueda girar el segmento. Cuando la torsión sucede, la gravedad del daño producido varía desde una constricción vascular leve que conduce a edema, hasta un estrangulamiento completo que implica infarto y gangrena7.
La presentación clínica generalmente es dolor abdominal con sensibilidad y algunas veces con signos de irritación peritoneal. Las pruebas de laboratorio generalmente muestran una elevación leve de los parámetros inflamatorios. El diagnóstico clínico inicial depende de la localización de dolor y generalmente dentro de los diagnósticos diferenciales destacan la apendicitis, la colecistitis y la diverticulitis3,4,5,6. Ecográficamente, la presentación clásica es la de una masa sólida, moderadamente hiperecogénica, no compresible y que se encuentra en íntimo contacto con el lóbulo hepático izquierdo, páncreas y estómago, los cuales no presentan alteraciones. En TC, la presentación es de una masa inflamatoria con densidad adiposa, bien circunscrita, rodeada de órganos normales3,4,5,6,8.
Los radiólogos deberían familiarizarse con las características particulares imagenológicas en estas situaciones poco frecuentes con el fin de proporcionar diagnósticos más precisos y ayudar con la elección del tratamiento.
Correspondencia: Camila Cifuentes-Jiménez E-mail: cacifuentesj@udd.cl



