Resumen: El infarto pulmonar (IP) resulta de la oclusión de las arterias pulmonares distales que generan isquemia, hemorragia y finalmente necrosis del parénquima pulmonar, siendo la causa más frecuente la embolia pulmonar (EP). El diagnóstico oportuno de IP permite el inicio precoz del tratamiento y el respectivo manejo de sostén, disminuyendo así la morbimortalidad asociada. El objetivo de esta revisión es remarcar la importancia de identificar aquellos signos, que en la tomografía computada (TC) sin contraste son altamente sensibles y específicos para el diagnóstico de IP. La TC de alta resolución constituye el método que más información aporta, pudiendo observar signos clásicos de IP como la opacidad en forma de cuña, opacidad con radiolucencia central y el signo del vaso nutricio; así como signos con alto valor predictivo negativo para IP, como la opacidad consolidativa con broncograma aéreo, sugestivo de otras patologías, ya sean infecciosas o tumorales.
Palabras clave: Infarto pulmonar, Embolia pulmonar, Tomografía computada.
Abstract: Pulmonary infarction (PI) results from occlusion of the distal pulmonary arteries leading to ischemia, hemorrhage, and necrosis of the pulmonary parenchyma. The most common cause of pulmonary infarction is pulmonary embolism (PE). Early diagnosis of PI allows early initiation of treatment and supportive care, thus reducing the associated morbidity and mortality. This review aims to highlight the importance of identifying signs that are highly sensitive and specific for the diagnosis of PE even without IV contrast. High-resolution computed tomography (CT) is the method that provides the most information, as it observes classic signs of PI such as wedge-shaped opacity, central lucencies in peripheral consolidation, and the feeding vessel sign, as well as signs with high negative predictive value such as consolidating opacity with air bronchogram that are suggestive of other pathologies, whether infectious or tumoural.
Keywords: Pulmonary infarction, Pulmonary embolism, Computed tomography.
REVISIÓN DE TEMA
Infarto pulmonar: signos que no debemos dejar pasar en TC de tórax sin contraste
Pulmonary infarction: the signs that we must not miss in chest CT without contrast
Recepción: 20 Junio 2023
Aprobación: 09 Octubre 2023
Publicación: 28 Noviembre 2023
El infarto pulmonar (IP) resulta de la oclusión de las arterias pulmonares distales que generan isquemia, hemorragia y finalmente necrosis del parénquima pulmonar, siendo la causa más frecuente la embolia pulmonar (EP). La incidencia anual de EP varía entre 75 y 269 por 100.000 personas, con una mortalidad que alcanza el 28%. Se ha reportado que entre un 10-50% de los pacientes con EP desarrollan IP1. El cuadro clínico, por tanto, va a ser similar al de EP, con la tríada clásica de hemoptisis, dolor torácico pleurítico y al examen físico frote pleural2. Sin embargo, no siempre tiene un curso clínico característico y los síntomas resultan inespecíficos dentro de otras causas respiratorias, incluso más frecuentes, por lo que no siempre es la primera sospecha diagnóstica. La tomografía computada (TC) de tórax de alta resolución constituye el método que más información aporta para evaluar los signos clásicos de IP, como la opacidad en forma de cuña, opacidad periférica con radiolucencia central y el signo del vaso nutricio; así como los signos con alto valor predictivo negativo para IP, como la opacidad consolidativa con broncograma aéreo, característico de otras etiologías como las infecciosas o neoplásicas.
Es esencial señalar que, aunque para el diagnóstico tomográfico de EP es necesario el contraste endovenoso (EV) que muestra el defecto de llenado vascular, no ocurre lo mismo con los hallazgos parenquimatosos pulmonares sugestivos de IP. Este entendimiento es crucial para el imagenólogo, pues incluso en escenarios donde la EP no es la principal sospecha clínica, o si se realizó inicialmente una TC de tórax sin contraste EV debido a contraindicaciones del contraste yodado o un estudio no concluyente por inadecuada opacificación vascular, es posible detectar signos de esta enfermedad. Esto facilita un diagnóstico y tratamiento más temprano en el marco de una afección con alta morbimortalidad.
El parénquima pulmonar recibe aporte arterial de dos sistemas: el proveniente de la arteria pulmonar y sus ramas, y el de las arterias bronquiales, ramas de la aorta; por ende, una vez que se genera la obstrucción trombótica de la arteria pulmonar (EP), existe un aumento de la perfusión arterial bronquial, que genera aumento de la permeabilidad capilar con la consecuente hemorragia alveolar y posterior necrosis del tejido, resultando finalmente en IP. Dado que las ramas arteriales pulmonares subsegmentarias son las principalmente afectadas, este proceso ocurre periféricamente, a lo largo de la superficie de la pleura visceral1),(3.
La EP es la causa más frecuente de IP, constituye dos tercios de los casos. Otras causas son la embolia séptica o tumoral, vasculitis y lesión iatrogénica, entre otras1. Dado que el aporte sanguíneo pulmonar depende de dos sistemas arteriales diferentes (bronquial y pulmonar), no siempre el resultado de la EP conlleva IP. Los factores de riesgo descritos en la bibliografía incluyen la hipertensión venosa pulmonar secundaria a insuficiencia cardiaca, ya que puede resultar en un aumento de la presión venosa pulmonar, que dificulta el flujo sanguíneo colateral a través de las anastomosis broncopulmonares distales a las regiones ocluidas. También se han relacionado el shock, enfermedad pulmonar crónica y antecedente de cáncer. Sin embargo, estudios más recientes han demostrado que el desarrollo de IP secundario a EP fue más probable en pacientes jóvenes y por lo demás sanos, considerando la talla alta y el tabaquismo activo factores de riesgo1. Por otro lado, los pacientes ancianos con comorbilidades que predisponen a isquemia desarrollarían mecanismos de angiogénesis, que junto con un índice de masa corporal más alto mostraron ser factores protectores frente al IP1),(4.
La TC de alta resolución es el método de elección para la evaluación del parénquima pulmonar, pudiendo observarse los signos característicos de IP, así como otros hallazgos tomográficos relacionados, que describimos a continuación:
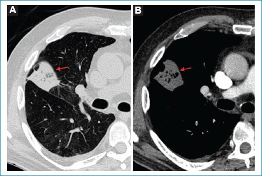
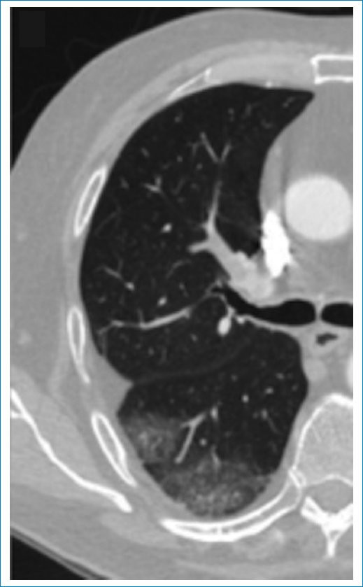
- Opacidad periférica con radiolucencia central: con una especificidad del 98% y sensibilidad del 46%, es el signo más específico para IP5. Consiste en una opacidad consolidativa periférica que contiene áreas de radiolucencia central. Dicho hallazgo se debe principalmente al llenado alveolar con contenido hemático, que se traduce en áreas de vidrio esmerilado central. También es considerada secundaria a necrosis central, con una reacción inflamatoria alrededor, opacidad consolidativa periférica, donde las zonas más excéntricas pueden representar un tejido viable (Fig. 1)6.

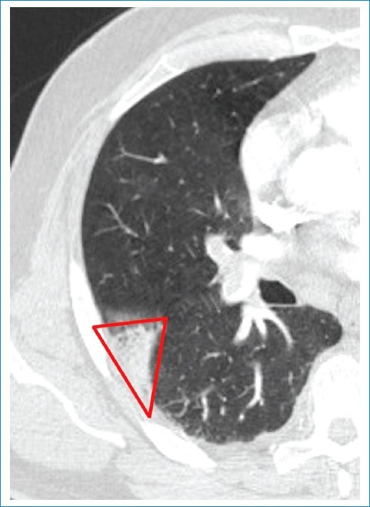
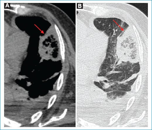
- Opacidad en cuña: presenta una especificidad del 60% y una sensibilidad del 52%5. Se trata de uno de los signos más característicos de IP, se describe como una opacidad de base pleural ancha y vértice dirigido hacia el hilio pulmonar de forma triangular, ubicada a lo largo de la superficie de la pleura visceral (costal, diafragmática, mediastínica o interlobular)3. La asociación de dicha opacidad con EP fue descrita por primera vez por Hampton en 1940 y es conocido como “joroba de Hamptom”, donde encontraron que dicha morfología en cuña era más probable en las consolidaciones observadas en pacientes con EP que en pacientes sin EP7. Como ya hemos mencionado, la ubicación periférica se debe a la afección de las ramas subsegmentarias de la arteria pulmonar, que además explicaría el dolor pleurítico y el frote pleural característicos de este cuadro clínico (Fig. 2).

Si bien la forma de cuña es la forma clásicamente descrita relacionada con IP, se ha encontrado en los últimos años que también puede adoptar morfología redondeada o de bordes irregulares, siempre manteniendo su ubicación periférica (Fig. 3)6.

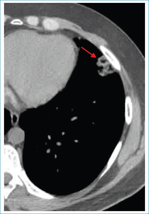
- Signo del vaso nutricio: muestra una especificidad del 89% y una sensibilidad del 32%7. Consiste en la presencia de un vaso pulmonar engrosado y bien diferenciado que se dirige directamente a un nódulo u opacidad pulmonar. Se observa también en casos de metástasis hematógenas y embolias sépticas, por lo que no es un signo exclusivo de IP; sin embargo, en el contexto clínico adecuado incrementa su sensibilidad (Fig. 4)8.

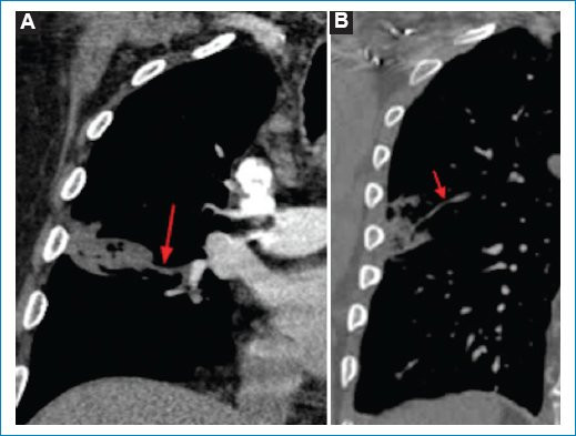
Existen otros hallazgos que teniendo en cuenta la fisiopatología de IP pueden ser sugestivos ante un paciente con alta sospecha clínica, como lo es la hemorragia alveolar en estadios iniciales de la enfermedad (Fig. 5).

También se puede encontrar el signo del halo invertido, aunque es característico de otras patologías principalmente infecciosas. Se trata de una opacidad central de vidrio esmerilado que representa infiltrados inflamatorios alveolares, rodeada por una media luna o anillo de consolidación que corresponde a infiltrado celular denso dentro de los alvéolos (Fig. 6)6),(8.

Teniendo en cuenta que el IP y la neumonía adquirida en la comunidad comparten características del cuadro clínico y el hallazgo de opacidades consolidativas en la TC, esto podría retrasar el diagnóstico y aumentar la morbilidad por EP y el consecuente IP2),(3),(9.
En un estudio observacional retrospectivo, Torres et al. evaluaron una muestra de 436 pacientes con diagnóstico tardío de EP que evidenciaron signos tomográficos de IP, donde un 34-52% de ellos fueron interpretados inicialmente como neumonía, mientras que un 11% como posible cáncer de pulmón. Estas estadísticas manifiestan la importancia de familiarizarse y tener en cuenta la alta sensibilidad y especificidad de los hallazgos tomográficos, así como aquellos con alto valor predictivo negativo (VPN), que permiten diferenciar en TC la opacidad consolidativa sugestiva de IP de las causadas por otras etiologías1),(5.
Mientras que las opacidades secundarias a IP siempre están dispuestas en la periferia a lo largo de la superficie pleural y suelen presentar radiolucencia central, las consolidaciones neumónicas pueden aparecer como una consolidación más central, a cierta distancia de la pleura y comúnmente muestran broncograma aéreo (signo con alto VPN para IP). Del mismo modo, las masas tumorales suelen estar a cierta distancia de la pleura y tener otras características de malignidad como bordes espiculados, entre otros4.
La radiolucencia central en una consolidación periférica subpleural es un signo tomográfico altamente específico para IP.
El reconocimiento oportuno de los signos tomográficos de IP es de suma importancia, ya que su alta sensibilidad y especificidad pueden diferenciarla de otras patologías y, por ende, realizar un diagnóstico precoz que asegure un manejo específico oportuno, que conlleve a la disminución de la morbimortalidad asociada en cada caso.
Los signos descritos de IP en la TC no requieren la administración de contraste EV, por lo que ante su hallazgo en una TC sin contraste es imperativo descartar EP.
*Correspondencia: Airaldo Dominique. E-mail: airaldod@gmail.com





