CARTA CIENTÍFICA
Abscesos hepato-esplénicos, una presentación atípica de la enfermedad por arañazo de gato
Hepato-splenic abscess, an atypical presentation of cat scratch disease
Recepción: 03 Marzo 2022
Aprobación: 07 Junio 2023
Publicación: 28 Noviembre 2023
Estimados editores:
La enfermedad por arañazo de gato (EAG) es una infección bacteriana causada por el bacilo gramnegativo Bartonella henselae, el cual es identificado con la tinción argéntica de Warthin-Starry, cuya transmisión se produce por mordedura, lamedura o rasguño de gatos. Es una entidad benigna y autolimitada. Tiene una incidencia de 9,3 casos por cada 100.000 individuos y se presenta mayormente en niños entre 2 y 14 años; se considera la causa más frecuente de inflamación ganglionar crónica y la tercera causa de fiebre de origen desconocido en la población pediátrica1,2. Puede afectar a varios órganos, produciendo diferentes síndromes clínicos en pacientes inmunocompetentes. La manifestación clínica predominante es la enfermedad localizada en la piel con formación de pápulas no dolorosas de color marrón rojizo de 3 a 5 mm y linfadenopatías regionales cerca del sitio de inoculación3, acompañada de síntomas como fiebre, dolor abdominal, pérdida de peso y menos frecuente la presencia de abscesos hepato-esplénicos que constituyen una forma atípica de la enfermedad4,5.
A continuación, compartiremos un caso de EAG con compromiso hepato-esplénico, la cual es una manifestación rara que puede estar presente en el 0,3-0,7% de los casos6. El presente artículo tiene como objetivo realizar una revisión de la literatura y destacar el aporte de los estudios de imágenes en esta entidad. Probablemente sea una forma clínica subdiagnosticada, por lo que es importante considerarla dentro de los diagnósticos diferenciales de un síndrome febril prolongado.
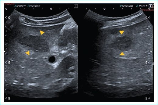
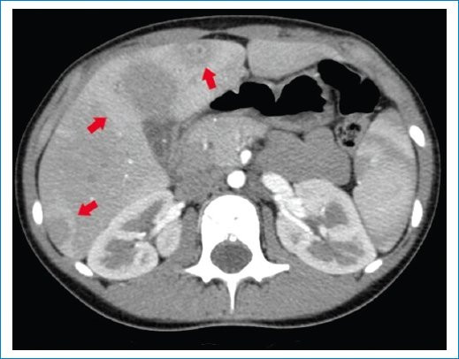
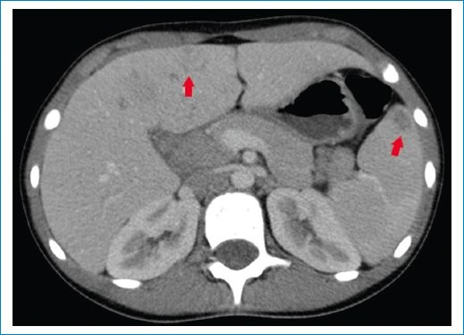
Se trata de una paciente de sexo femenino de 9 años, previamente sana, quien consultó al servicio de guardia pediátrica de nuestra institución por presentar síndrome febril prolongado de 12 días de evolución, sin otro síntoma asociado. A su ingreso, el examen físico reveló buen aspecto general. Se realizó una ecografía abdominal donde se evidenciaron lesiones redondeadas, hipoecoicas, de bordes regulares, que comprometían el parénquima hepático y esplénico (Figs. 1 y 2), las cuales fueron interpretadas como abscesos. Se complementó su estudio con tomografía computada (TC) de abdomen y pelvis con contraste endovenoso, siendo el hallazgo principal la presencia de múltiples imágenes hipodensas con morfología en racimos y realce en anillo tras la administración del contraste endovenoso, distribuidas en el parénquima hepático y esplénico, destacándose la mayor de 29 mm en segmento V hepático (Figs. 3 y 4). Debido a los hallazgos por imágenes y el estado clínico de la paciente, el primer diagnóstico que se planteó fue el de EAG. Se consideraron las lesiones hipodensas múltiples del hígado y bazo como una manifestación importante de enfermedad diseminada o atípica3,5,6. La madre confirmó un gato como mascota, lo cual estaba a favor de nuestra impresión diagnóstica.




Resulta indispensable poder descartar otras patologías causantes de fiebre prolongada que desarrollen lesiones hepato-esplénicas, como la tuberculosis, enfermedades micóticas, parasitarias, virales y bacterianas menos frecuentes como la bartonelosis7. En este sentido, es importante tener conocimiento de los antecedentes y nexos epidemiológicos del paciente.
Para realizar el diagnóstico de EAG se utilizan pruebas serológicas que detectan la presencia de anticuerpos contra B. henselae4,8. A nuestra paciente se le realizaron pruebas de anticuerpos B. henselae IGG e IGM cuyo resultado fue positivo (1/1.280). Los estudios de imágenes poco aportan ante cuadros de EAG típico, podemos encontrar en la evaluación ecográfica ganglios linfáticos aumentados de tamaño con pérdida de su ecoestructura habitual, generalmente con necrosis central y asociados a edema circundante. Sin embargo, en pacientes con enfermedad atípica o diseminada se han asociado hallazgos característicos que pueden ser útiles para establecer el diagnóstico como la formación de múltiples granulomas hepáticos y esplénicos, con o sin hepatoesplenomegalia, identificados mediante ecografía y TC3. Estos granulomas se identifican inicialmente como lesiones hipoecoicas en ecografía, y en algunos casos presencia de calcificaciones en las fases tardías. En TC presentan características similares a cualquier absceso, hipodensos, redondeados o con morfología en racimos y tras la administración del contraste pueden permanecer hipodensos o mostrar un realce periférico característico. La multiplicidad y el compromiso de varios órganos se relacionan más con infecciones bacterianas, a diferencia de las de origen parasitario, lo cual nos orienta a un mejor diagnóstico.
En el tratamiento de esta entidad se ha informado la susceptibilidad de varios agentes antimicrobianos, considerándose la máxima actividad para las cefalosporinas de tercera generación1,3. La paciente fue internada para recibir esquema antibiótico endovenoso con evolución satisfactoria; los controles ecográficos posteriores mostraron reducción del tamaño y número de las lesiones hepáticas.
La formación de abscesos hepato-esplénicos es una presentación atípica de la EAG en pacientes inmunocompetentes, la cual deberá sospecharse en pacientes pediátricos con cuadros febriles prolongados. Los estudios de imágenes en la actualidad son una herramienta esencial que nos aproxima al diagnóstico.
Los autores expresan agradecimiento a todo el equipo de profesionales especialistas en Diagnóstico por Imágenes del Centro de Educación Médica e Investigaciones Clínicas CEMIC, por su experiencia y conocimientos.
*Correspondencia: Margareth Mendoza-Álvarez. E-mail: margarethmendoza.mm@gmail.com



