Resumen: Los pacientes bajo tratamiento con alopurinol pueden presentar reacciones adversas potencialmente mortales, particularmente al inicio del tratamiento. Las reacciones cutáneas adversas por alopurinol tienen una prevalencia aproximada del 2 %. Presentamos dos casos de síndrome de hipersensibilidad por alopurinol en pacientes mexicanos en quienes la hiperuricemia asintomática fue la indicación para su uso. El médico general y el especialista deben estar alerta ante este síndrome que ocasiona alta morbilidad y mortalidad.
Palabras clave:AlopurinolAlopurinol,Hipersensibilidad a las drogasHipersensibilidad a las drogas,Síndrome de hipersensibilidad a medicamentosSíndrome de hipersensibilidad a medicamentos.
Abstract: Patients in treatment with allopurinol are in risk of having life threatening adverse reactions particularly at the beginning of the treatment. Two percent of the patients prescribed with this drug have associated severe cutaneous adverse reactions. We present two cases of allopurinol hypersensitivity syndrome in mexican patients in which asymptomatic hyperuricemia was the indication to its use. The general physician and the specialist must be alert of this syndrome that causes elevate morbidity and mortality.
Keywords: Allopurinol, Drug hypersensitivity, Drug hypersensitivity syndrome.
Síndrome de hipersensibilidad por alopurinol. Informe de dos casos clínicos
Allopurinol hypersensitivity syndrome. A report of two cases

Recepción: 27 Octubre 2014
Aprobación: 25 Septiembre 2015
El alopurinol es un análogo estructural de la hipoxantina que reduce de forma efectiva los niveles séricos de ácido úrico.1 La hiperuricemia tiene una prevalencia de 5 a 8 % en la población general, y de 15 % en pacientes hospitalizados. Se define como la presencia de concentraciones sanguíneas de ácido úrico superiores a 0.42 mmol/l. Las principales indicaciones farmacológicas del alopurinol son: hiperuricemia asintomática, episodios recurrentes de gota, artropatía gotosa, tofos, y nefrolitiasis asociada a ácido úrico.2
Los pacientes bajo tratamiento con este fármaco poseen el riesgo de presentar reacciones potencialmente letales. Estas manifestaciones suelen iniciar de 4 a 8 semanas después de su ingesta.2 Los pacientes más susceptibles para el desarrollo de estos efectos adversos son aquellos con edad avanzada o portadores de nefropatías subyacentes tratados con tiazidas, y/o dosis inapropiadas del fármaco.3 Las reacciones más severas se caracterizan por hipersensibilidad sistémica. Esta expresión sindromática afecta al 0.4 % de los pacientes que ingieren el fármaco, con una probabilidad de fallecimiento que oscila del 20 al 30 %.4
De acuerdo con Singer y Wallace,5 el síndrome de hipersensibilidad por alopurinol se establece por la historia inequívoca de exposición a la droga, ausencia de otros fármacos que causen un cuadro clínico similar, y manifestaciones clínicas que incluyan al menos uno de los siguientes criterios mayores: a) empeoramiento de la función renal, b) daño hepatocelular, c) erupción cutánea como necrólisis epidérmica tóxica, síndrome de Stevens-Johnson, eritema multiforme, exantema máculo-papular generalizado o dermatitis exfoliativa generalizada. A estas manifestaciones se le añade alguno de los siguientes criterios menores: a) fiebre, b) eosinofilia, c) leucocitosis.
Presentamos dos casos de síndrome de hipersensibilidad a alopurinol con el objetivo de comunicar a la comunidad médica la presencia, e importancia de su reconocimiento en nuestra población.

Paciente femenino con 20 años de edad, que ingresó al servicio de urgencias de nuestra institución por fiebre y exantema pruriginoso diseminado a cara, cuello, tórax y extremidades, así como desarrollo de ampollas dolorosas en palmas y plantas, e hiperemia conjuntival de dos días de evolución. Tres semanas previas a su ingreso, el médico de primer contacto le diagnosticó gota y dislipidemia, prescribiendo alopurinol y bezafibrato. No se documentó la ingesta de otros medicamentos, o infecciones recientes. A la exploración física dermatológica se observó dermatosis generalizada a cara, cuello, tórax y extremidades, caracterizada por eritema confluente, vesículas en extremidades superiores, ampollas en palmas y plantas, hiperemia conjuntival, epífora y fotofobia. Se suspendió alopurinol y se realizó biopsia cutánea. En las siguientes 48 horas se desarrollaron bulas y desprendimiento epitelial en más del 50 % de la superficie corporal. Los exámenes paraclínicos destacaron elevación de PCR (2.2 mg/dl), aumento de transaminasas (TGO 80.5 UI/l, TGP 115 UI/l), dislipidemia mixta (TGL 920 mg/dl y colesterol 344 mg/dl) y elevación discreta de azoados (creatinina 1.2 mg/dl y urea 63.63 mg/dl). La biometría hemática completa, los electrolitos séricos y el examen general de orina fueron normales. El resultado histopatológico de la biopsia de piel mostró vacuolización basal epidérmica, queratinocitos necróticos y una marcada separación dermoepidérmica. El diagnóstico histológico fue necrólisis epidérmica tóxica. Durante su internamiento la paciente se mantuvo estable y afebril. El tratamiento fue a base de metilprednisolona las primeras 72 h (2 mg/kg/día) con reducción gradual. Se consultaron a los servicios de oftalmología para el tratamiento de las manifestaciones oculares, y de endocrinología para el control de su dislipidemia. Egresó por mejoría clínica.
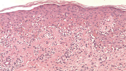
Paciente masculino de 13 años de edad sin antecedentes de importancia. Ingresó al servicio de urgencias de nuestro hospital por fiebre, astenia, hipodinamia, hiporexia, hiperemia conjuntival, úlceras en mucosa oral, disfagia, así como exantema máculo-papular pruriginoso en cara, cuello, tórax y extremidades superiores de cuatro días de evolución. Tres semanas previas al cuadro se le prescribió alopurinol debido a hiperuricemia asintomática (ácido úrico sérico de 7.3 mg/dl). Ningún otro medicamento o infección reciente se documentó. A la exploración física se observaron úlceras en mucosa oral y genital, hiperemia conjuntival y dermatosis diseminada a cara, cuello, tórax, abdomen y extremidades superiores, caracterizada por pápulas eritematosas dispuestas en diana con algunas vesículas (figuras 1 y 2). La superficie corporal afectada fue cercana al 40%. A su ingreso se suspendió el alopurinol, se realizó biopsia de piel afectada y se solicitaron estudios paraclínicos en los que destacaron PFH anormales con patrón hepatocelular (DHL 706 UI/l, TGO 175 UI/l, TGP 475UI/l, FA 235.6 UI/l). La biometría hemática, los reactantes de fase aguda, los electrolitos séricos, la química sanguínea y el examen general de orina fueron normales. El diagnóstico histopatológico fue necrólisis epidérmica tóxica (figura 3). El tratamiento fue con metilprednisolona las primeras 72 h (1.5 mg/kg/día) con posterior esquema de reducción. Recibió tratamiento multidisciplinario por parte de los servicios de nefrología, endocrinología, oftalmología y dermatología. Fue egresado por mejoría clínica.
El síndrome de hipersensibilidad a fármacos es una reacción grave con afección a órganos internos. Entre los fármacos que con mayor frecuencia lo ocasionan están los antiepilépticos, las sulfonamidas y el alopurinol, entre otros.6
Presentamos dos casos clínicos con criterios diagnósticos para el síndrome de hipersensibilidad al alopurinol. En ambos destacaron la afección hepatocelular y necrolisis epidérmica tóxica. El reconocimiento y tratamiento oportuno del cuadro con antiinflamatorios esteroideos fueron determinantes para evitar complicaciones fatales. El tratamiento con esteroides sistémicos en los primeros días de la evolución de la enfermedad es considerado el de mayor efectividad, sin embargo son necesarios estudios para la valoración de otras alternativas terapéuticas tales como la inmunoglobulina intravenosa.7
Aunque en México la prevalencia de reacciones adversas asociadas a alopurinol es incierta, parecen ser infrecuentes. En un estudio prospectivo a 10 meses con 4785 pacientes en un hospital público de la ciudad de México, la prevalencia de reacciones cutáneas adversas fue de 0.7 %. Los fármacos frecuentemente implicados fueron amoxicilina, anfotericina B y metamizo.8 En otro estudio más reciente realizado por otra institución, la prevalencia fue similar pero los fármacos mayormente involucrados fueron el trimetroprim con sulfametoxazol, piroxicam y carbamazepina.9

La incidencia anual de síndrome de Steven-Johnson/necrólisis epidérmica tóxica (SSJ/TEN) se estima en 2 casos por millón de habitantes por año, aunque varía según el origen étnico.6 Informes recientes en Europa y Asia, muestran asociación entre el alelo HLA-B*5801 y las reacciones adversas al alopurinol.3 En estos casos, las dosis mayores a 200 mg/día muestran un aumento significativo en el riesgo de desarrollarlas.6 Por lo tanto, se sugiere que dosis iniciales de alopurinol de 1.5 mg por unidad de filtración glomerular, pueden reducir el riesgo de síndrome de hipersensibilidad a alopurinol, ya que la depuración renal de oxipurinol, el metabolito tóxico implicado en este síndrome, es directamente proporcional a la filtración renal de creatinina.4

En el año 2011, la Agencia de Drogas y Alimentos de los Estados Unidos (FDA) informó de 218 casos mundiales de reacciones adversas cutáneas al alopurinol entre enero de 2001 a octubre de 2009. Los países con mayores casos fueron: Estados Unidos de Norteamérica con 63, Japón con 45, Alemania con 30, Francia con 24, Italia con 29 y Tailandia con 5. No se documentaron casos en población mexicana durante este periodo, por lo que creemos conveniente la difusión de estos casos.
El alopurinol es un fármaco económico, útil y efectivo para ciertas condiciones patológicas. Sin embargo, debido al riesgo potencial de efectos adversos letales, se debe prescribir de forma racional, a las dosis apropiadas, y bajo indicaciones precisas y justificadas.4
Los autores han completado y enviado la forma traducida al español de la declaración de conflictos potenciales de interés del Comité Internacional de Editores de Revistas Médicas, y no fue reportado alguno que tuviera relación con este artículo.


