Casos clínicos
Recepción: 30/03/2015
Aprobación: 02/06/2015
Resumen:
Introducción: el embarazo ectópico es la implantación y nidación del huevo fertilizado fuera de la superficie endometrial. Se estima que su incidencia va de 1.6 a 2 embarazos ectópicos por cada 100 nacimientos. El objetivo fue exponer la efectividad de un equipo de respuesta inmediata (ERI) en un caso de embarazo ectópico cervical. Asimismo, se expone un caso clínico de embarazo ectópico.
Caso clínico: mujer de 37 años de edad, con antecedente de retraso menstrual de dos meses. Ingresó a Tococirugía con choque hipovolémico secundario a sangrado transvaginal. Se activó Código Mater y acudió el equipo de respuesta inmediata (ERI), que hizo tacto vaginal bimanual y detectó abundante tejido en cérvix con sangrado moderado y rastreo ultrasonográfico, el cual refirió abundante gas en cérvix y endometrio normal (no se observó saco gestacional). La prueba inmunológica de embarazo fue positiva. Se diagnosticó embarazo ectópico cervical y choque hipovolémico.
Conclusión: proporcionar atención oportuna, de calidad por equipos interdisciplinarios, con criterios uniformes, en todos los casos de emergencia obstétrica evita la muerte de la paciente por hemorragia obstétrica.
Palabras clave: Embarazo ectópico, Choque hemorrágico.
Abstract:
Background: An ectopic pregnancy happens when a fertilized egg attaches somewhere outside the endometrial surface. This sort of pregnancy has an estimated incidence of 1.6 to 2 each 100 births. The main objective was to expose the effective answer of a Rapid Response Team in a case of ruptured cervical ectopic pregnancy. We also describe a clinical case of this sort of pregnancy.
Clinical case: 37-year-old female with a two-month history of amenorrhea. The patient entered the Labor & Delivery department with hypovolemic shock secondary to vaginal bleeding. The Código Mater (Mater Code) was activated and the Rapid Response Team arrived to the L&D department. This team performed pelvic examination and detected tissue in cervix with mild bleeding. The pelvic ultrasound displayed the presence of gas and the endometrium status was normal (no gestational sac was detected). The immunologic test for pregnancy was positive. It was diagnosed cervical ectopic pregnancy and hypovolemic shock.
Conclusion: Providing timely access to care with standardized criteria by interdisciplinary teams in all the cases of obstetric emergency avoids maternal deaths related to obstetric hemorrhage.
Keywords: Ectopic pregnancy, Hemorrhagic shock.
La Organización Mundial de la Salud (OMS) refiere que cada día mueren unas 800 mujeres por causas prevenibles relacionadas con el embarazo y el parto. La atención especializada antes, durante y después del parto puede salvarles la vida a las embarazadas y a los recién nacidos; casi la totalidad de la mortalidad materna (99 %) corresponde a los países en desarrollo: más de la mitad al África subsahariana y casi un tercio a Asia Meridional.
El 80 % de las complicaciones que originan las muertes maternas son hemorragias graves, infecciones (generalmente tras el parto), la hipertensión gestacional (preclampsia y eclampsia) y los abortos peligrosos.1
Durante el periodo 2005-2007, las hemorragias derivadas del embarazo, el parto y el puerperio ocuparon el tercer lugar de las causas de muerte materna en México.2 Sin embargo, existen importantes diferencias entre los estados de la república. En 2011 Guerrero superó una razón de mortalidad materna de 100, mientras que en Tamaulipas no llegó a 20.3 Además, en 2010 el 91.1 % de las muertes maternas contó con asistencia médica y 73.1 % representó fallecimientos en unidades públicas de salud, datos que nos obligan a reflexionar acerca de las estrategias que se deben seguir.4
Entre enero de 2010 y mayo de 2011 en Guerrero, Estado de México, Oaxaca y Veracruz se llevó a cabo un proyecto. En cada estado se conformó una comunidad de práctica (CoP), definida esta como un grupo de personas que comparten intereses, agenda y objetivos, y que trabajan en colaboración continua para conseguirlos. Las CoP estuvieron compuestas por tomadores de decisiones, académicos, funcionarios de programas y personal tanto de los programas de salud sexual y reproductiva, como de áreas transversales (calidad, planeación y finanzas). La mayoría de los participantes laboraban para los servicios estatales de salud. El interés común fue identificar y priorizar problemas del sistema de salud que limitan la implementación de estrategias de probada efectividad para reducir la razón de mortalidad materna (RMM). Se hizo un mapeo conceptual de los problemas prioritarios percibidos por las CoP en estados con alta incidencia de mortalidad materna. Posteriormente, las CoP revisaron la literatura médica para contrastar los problemas identificados.
Los problemas priorizados por las CoP se enfocaron en la atención de la emergencia obstétrica (AEO), específicamente en recursos financieros y desabasto de insumos (Guerrero), falta de capacitación del personal para atender la EO (Estado de México), ineficiencia de las redes obstétricas (Oaxaca) y desconocimiento y falta de adherencia a protocolos de AEO (Veracruz). La revisión de la literatura médica confirmó la pertinencia de los problemas identificados mediante el mapeo conceptual.
Las CoP pusieron en evidencia un alto grado de congruencia entre la percepción de los problemas de los sistemas estatales de salud y la evidencia científica internacional. Los problemas identificados y reformulados con base en la evidencia facilitan la identificación de soluciones apropiadas.5
El embarazo ectópico es la implantación y nidación del huevo fertilizado fuera de la superficie endometrial. Su incidencia se estima en 1.6 a 2 embarazos ectópicos por cada 100 nacimientos, con índices de mortalidad materna del 9 % en la modalidad intersticial.6 En Estados Unidos este tipo de embarazo aumentó de 4.5 por 1000 embarazos informados en 1970 a 19.7 por 1000 en 1992.7 El único reporte en México que reúne más de un caso concluye que la frecuencia del embarazo cervical parece ir en aumento.8 El embarazo ectópico cervical es raro, pero potencialmente peligroso para la vida; es una condición médica con una incidencia de aproximadamente 1 de cada 1000 a 1 en 18 000 nacimientos vivos. El mecanismo exacto del embarazo ectópico cervical no se conoce; sin embargo, patologías locales ocasionan daños en el conducto cervical o en el revestimiento endometrial, para lo cual desempeñan un papel para la asociación de embarazo ectópico cervicalcon la cesárea y el curetaje previo.9,10 La frecuencia, de embarazo ectópico para la población mexicana es de 0.19 %. Los factores de riesgo más frecuentes para este embarazo son la salpingitis (38.8 %) y la oclusión tubería (22.2 %).11
Existe una elevada incidencia en edades entre los 20 y los 39 años. Los síntomas son la amenorrea, dolor en hipogastrio y sangramiento genital. Si hay complicaciones, se puede presentar anemia o shock.12 En una serie de casos de un estudio retrospectivo de 15 mujeres tratadas desde enero de 1997 hasta diciembre de 2008 en una universidad-hospital se identificó que el síntoma principal fue el sangrado vaginal en las 15 pacientes. El sangrado se informó como leve en 53.3 % (n = 8), moderado en 26.7 % (n = 4) y pesado con el paso de coágulos en 20 % (n = 3). Seis de 15 pacientes (40 %) presentaron dolor abdominal o calambres.13
Aunque los embarazos cervicales son poco frecuentes, el aumento del número de casos se debe a factores de riesgo, como la alta tasa de cesáreas y un mayor uso de la técnica de reproducción asistida para la gestión de la infertilidad. El éxito del tratamiento conservador depende del diagnóstico oportuno y puntual a partir de ecografía temprana, lo que puede reducir las posibilidades de hemorragia mortal que requieran histerectomía o transfusión de sangre.14
La salud materna amerita estrategias de éxito para disminuir las complicaciones y la mortalidad, por lo que se introducen sistemas de respuesta rápida en hospitales de muchos países y las evidencias demuestran su eficacia. Su introducción ha sido impulsada por la creencia de que hacen los hospitales más seguros y evitan eventos adversos graves; así, se justifica su intervención temprana por los beneficios en casi todas las emergencias médicas. Por otra parte, dichos sistemas se consideran para ser consistentes con el concepto del cuidado crítico, los conocimientos y las habilidades que deben caracterizar a las unidades de cuidados intensivos (UCI).15
En obstetricia, Mater es el Sistema de Atención de Respuesta Rápida para la atención multidisciplinaria de la urgencia. El Código Mater es el equipo de profesionales de la salud cuya función es optimizar el sistema de atención y los recursos hospitalarios con el objetivo de prevenir o disminuir la mortalidad materna y perinatal, a partir de tres acciones: a) identificar, b) tratar y c) trasladar.16
Desde 2010 la Delegación Guerrero del Instituto Mexicano del Seguro Social cuenta con un equipo de respuesta inmediata (ERI) que es liderado por el jefe de servicios de Prestaciones Médicas. Funciona las 24 horas del día con el objetivo de proporcionar atención oportuna con criterios uniformes. En todos los casos de emergencia obstétrica, a través de voceo se activa el Código Mater, el cual indica paciente obstétrica en peligro de muerte o con inestabilidad hemodinámica que pone en peligro su vida, por lo que una vez activado este código acuden todos los ERI.
El objetivo principal de este trabajo fue informar la respuesta exitosa del ERI en un caso de embarazo ectópico cervical. Asimismo, se buscó describir un caso de embarazo ectópico cervical.
Uno de los propósitos del sistema de salud es evitar muertes maternas, motivo por el que se desarrollan diversas estrategias y se implementan, en espera de que funcionen. Para la emergencia obstétrica en el Hospital General Regional No. 1 “Vicente Guerrero” se implementó el Código Mater para activar la respuesta del equipo inmediato con el objetivo de que los equipos interdisciplinarios proporcionaran atención oportuna, de calidad y con criterios uniformes en todos los casos de emergencia obstétrica. Esta respuesta ha resultado benéfica para las derechohabientes embarazadas, con lo cual se han evitado complicaciones y hasta muertes (como en el caso que describiremos), todo con el propósito de reconocer que cuando las estrategias se adoptan con el liderazgo y compromiso de cada uno de los integrantes, se logra el fin común.
Caso clínico
Se presenta el caso de un embarazo ectópico cervical en una paciente de 37 años, gesta 2, cesárea 1, cuya última menstruación antes del evento fue el 2 de diciembre de 2013 y cuyo primer embarazo fue a los 32 años (ante el cual la paciente practicó la anticoncepción con hormonales inyectables). El 12 de febrero de 2014 a las 09:00 horas acudió una ambulancia a su domicilio por sangrado transvaginal abundante (500 mL), el cual dejó a la paciente semiconsciente. El 12 de febrero de 2014 a las 10:10 la paciente ingresó a Tococirugía del Hospital General Regional No. 1 “Vicente Guerrero” con astenia, adinamia, palidez de piel y tegumentos (+++), presión arterial de 90/60 mmHg, frecuencia cardiaca 120 x m, frecuencia respiratoria 18 x m, temperatura 35 °C, abdomen plano, poco dolor en epigastrio, pañal con coágulos de 200 mL (estos últimos no fétidos); al tacto bimanual, se palpó útero en aversión de 11 x 6 x 4 cm, globoso, con cérvix de 3 x 2 cm, dehiscente, con abundante sangrado rojo brillante. Se llevó a cabo ultrasonido pélvico y se encontró imagen con ecos mixtos sin ventana acústica; se trataba de un probable embarazo molar contra mioma con sangrado uterino anormal y choque hipovolémico. Se activó Código Mater a las 10:15 horas y acudió el ERI (equipo multidisciplinario), el cual otorgó atención con oportunidad (en los primeros cinco minutos). Se hizo prueba inmunológica de embarazo y prueba piloto. La paciente pasó a labor, donde le hicieron tacto vaginal bimanual a partir del cual se percibió abundante tejido en cérvix. La paciente presentó sangrado moderado; en ese momento se decidió pasarla a sala, ya que no toleró el transductor abdominal ni el endovaginal, a lo cual refería dolor intenso de 10/10. Se confirmó embarazo ectópico cervical por la presencia de abundante tejido en cérvix y el resultado positivo de la prueba inmunológica de embarazo.
Tratamiento quirúrgico
Se planteó legrado intrauterino frente a histerectomía. Con la paciente en anestesia general previa asepsia y antisepsia, se procedió a realizar legrado uterino instrumental, ante el cual la paciente presentó hemorragia transvaginal abundante durante la revisión. Se decidió realizar laparotomía exploradora. Con la paciente en decúbito supino se hizo incisión media infraumbilical, se colocó separador autoestático y se le aplicó aislamiento con compresas. Se encontraron asas intestinales pálidas, íntegras, útero de 15 x 10 cm y anatomía cervical perdida, por lo que se efectuó histerectomía. Se pinzó el fondo uterino y se realizó tracción cefálica; se pinzaron, cortaron y ligaron los ligamentos redondos con seda del 0, y se seccionaron los ligamentos anchos: de la hoja posterior hasta el ligamento uterosacro y de la hoja anterior hasta la plica vesicoterina. Se esqueletizaron y aislaron los ligamentos infundibulopélvicos, y se les colocaron pinzas de Heaney proximales a los ovarios para preservarlos. Se seccionó entre las pinzas y se ligaron los pedículos con seda libre del 0. Se descendió la vejiga hasta la cúpula vaginal y se seccionó la plica vesicoterina. Se pinzaron, cortaron y ligaron, por transfixión con vycril del 1, las arterias uterinas a nivel del istmo. Luego, se colocaron dos pinzas de Heaney de cada lado, paralelas al eje mayor del útero sobre el parametrio, y se seccionó entre ellas. Se ligaron ambos parametrios con vycril del 1, se seccionó la cúpula vaginal de manera circunferencial y distal al cérvix y se cerró con vycril del 1 mediante surgete continuo anclado. Se corroboró hemostasia y se afrontó el peritoneo con Catgut crómico 3-0. Se afrontó fascia con Vycril del 1, puntos separados y piel con nylon 3-0 mediante puntos simples, con lo que se dio por terminado el acto quirúrgico. Entre los hallazgos operatorios, notamos acretismo placentario, embarazo del primer trimestre, sangrado 1800, uresis de 1300 mL. La paciente egresó a unidad de cuidados intensivos (UCI) intubada bajo efectos anestésicos e inconsciente.
A las 13:30 horas se recibió a la paciente en malas condiciones en la UCI con el diagnóstico de embarazo ectópico cervical más choque hipovolémico grado III. Su situación fue manejada con cristaloides e incluso cinco unidades de paquetes globulares, así como con plasma. Sin datos de sangrado activo hasta ese momento, se reinició reanimación hídrica con administración de coloides cristaloides, reanimación de sangre y hemoderivados. Se planeó la extubación precoz una vez que se lograra la estabilización hemodinámica.
A las 19:40 horas la paciente tuvo una favorable respuesta tras la administración de cristaloides. Asimismo se logró el retiro precoz de la ventilación mecánica, la cual fue tolerada adecuadamente por la paciente. Además, no hubo evidencia de sangrado activo y la paciente mantuvo un adecuado flujo urinario. A las 23:30 horas la paciente se mantuvo estable y se solicitó hemoglobina de control después de haberse transfundido seis paquetes globulares.
A las 7:30 del 13 de febrero de 2014 se recibieron los resultados de hemoglobina (12.6), hematocrito (36.6) y leucocitosis (22 000). A las 12:16 horas la paciente inició dieta líquida vía oral y estaba hemodinámicamente estable. El 14 de febrero, a las 9:40 horas, la paciente egresó de la UCI con diagnóstico de choque hipovolémico remitido.
Reporte de patología
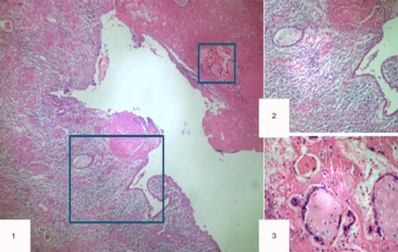
En la paciente se encontraron restos placentarios de primer trimestre, útero con un peso de 281 g, el cual medía en la porción del cuerpo 5.5 x 5 x 4 cm, estaba café, liso y firme, y presentó perdida de su arquitectura normal por el ensanchamiento del cuello uterino, cuyas medidas eran de 7 x 6 x 4 cm. La mucosa exocervical era café rugosa, con sangre que salía a través el orificio cervical. Al corte se observó placenta y coágulo en porción del cuello uterino que ocupaba hasta el istmo, dejando la cavidad uterina sin afectaciones. Las medidas de esta eran de 3 x 3 x 3.5 cm (figura 1).

1) HE (100 x) Se identifica epitelio cilíndrico del endocérvix que se continúa con tejido hemorrágico y con vellosidades coriales.
2) Se aprecia epitelio endocervical, glándula endocervical y estroma con congestión, hemorragia en inflamación aguda y crónica (200 x).
3) Se observan vellosidades coriales secundarias en un fondo de fibrina y sangre (400 x).
La paciente egresó a domicilio por mejoría y tuvo su cita de seguimiento el 21 de marzo de 2014, en la que se determinó que estaba hemodinámicamente estable.
Discusión
La cantidad del sangrado va desde formas leves hasta hemorragias profusas espontáneas en el transcurso de un legrado; estas pueden llegar a hacer que se requiera de una histerectomía de urgencia.17 En la actualidad los tratamientos quirúrgicos solo se utilizan cuando la quimioterapia falla o en situaciones de emergencia, esto para evitar los riesgos de hemorragia.18 En el Hospital General de Ecatepec la aplicación del Código Mater ha tenido resultados positivos desde sus inicios.
El diagnóstico de embarazo ectópico cervical es difícil, dado que no siempre reúne los criterios ecográficos. Por lo tanto, puede pasar inadvertido y dar lugar a tratamientos inapropiados que producen graves complicaciones, como una histerectomía en paciente con deseo de gestación.19
Dos pacientes tratadas con esta técnica demuestran la importancia del uso de la ecografía transvaginal en el servicio de Urgencias, lo cual hace posible el diagnóstico precoz y permite optar por alternativas de tratamiento conservador. Ante el fracaso de este tipo de tratamiento se optó por realizar cerclaje tipo McDonald. Este procedimiento es posible de realizar por la mayoría de los ginecoobstetras de nuestro sistema de salud, lo cual permite tanto preservar la vida de la paciente como su potencial reproductivo.20
Los casos de embarazo ectópico cervical que son diagnosticados en una etapa temprana son tratados con terapia sistémica a base de metrotexate y legrado cervical; a partir de esto se ha demostrado que los métodos conservadores son técnicas de tratamiento seguras y fiables, y también tienen la ventaja de sobra de que mantienen la fertilidad futura de las pacientes.21
Un caso resistente a la terapia con metrotexate intramuscular fue exitosamente tratado con metotrexato intraarterial, seguido por una embolización selectiva de la arteria hipogástrica profiláctica para evitar agravar la hemorragia vaginal. Se sugiere que en los embarazos cervicales en los que la preservación de la fertilidad es deseada, un enfoque conservador por etapas debe ser aplicado antes de recurrir a la intervención quirúrgica.22
También se reportó el caso de una mujer de 28 años de edad, multípara, con embarazo ectópico intramural cervical. Esta paciente fue vista con sangrado vaginal y prueba de embarazo positiva en orina. La ecografía y el examen pélvico revelaron una cavidad uterina vacía. Una semana más tarde, el labio cervical anterior se encontró roto. El tejido decidual fue retirado de la zona de ruptura. Las principales medidas de resultado fueron la confirmación histopatológica de las vellosidades coriónicas y la presencia de una conexión entre el endocérvix y la zona de ruptura. El examen histopatológico de los materiales extraídos reveló vellosidades coriónicas.23
Hubo otro caso, el de una paciente de 39 años con parto fortuito en su domicilio, la cual fue encontrada inconsciente, hipotensa, con bradicardia, hipotermia, sangrado transvaginal y placenta retenida. Se activó el Código Mater y se procedió a intubarla. Asimismo, se le dio apoyo ventilatorio mecánico, y mediante catéter subclavio se le dio reanimación hemodinámica con cristaloide, coloide y hemoderivados. La paciente cursó con hiperglicemia, acidosis metabólica y anemia aguda. Una vez reanimada, se procedió a la limpieza de la cavidad uterina y fue enviada al tercer nivel de atención, donde se mantuvo intubada por ocho días en la UCI y egresó días después por mejoría.24
La literatura ha reportado diferentes casos de éxito, ya sea por utilizar quimioterapias, tratamientos quirúrgicos o hasta el cerclaje. En el caso que describimos se evitó la muerte por la pronta intervención de un ERI y, a diferencia del caso anterior, el destete de la ventilación mecánica fue al tercer día, con lo cual evitamos una sobreestancia en la UCI y disminuimos el gasto hospitalario.
Conclusión
Proporcionar atención oportuna, de calidad por equipos interdisciplinarios, con criterios uniformes, en todos los casos de emergencia obstétrica evita la muerte de la paciente por hemorragia obstétrica. Esto a razón de que el embarazo ectópico cervical supone un verdadero desafío clínico por su rareza y por las complicaciones hemorrágicas que pueden trascender a un desenlace fatídico si no se otorga una respuesta inmediata. A pesar de ser una complicación rara, siempre habrá que considerar la posibilidad de embarazo ectópico cervical en pacientes multigestas y de edad avanzada, con antecedentes de legrado uterino instrumental y cesárea previa.25
Cuántas veces no hemos escuchado que “los ojos no ven lo que el cerebro no sabe” o bien que “si no es frecuente, no pasa por tu mente”. No es fácil hacer el diagnóstico de este tipo de patologías por su presentación extraordinaria, lo cual da lugar a retos diagnósticos. Sin embargo, queda claro que la emergencia obstétrica (hemorragia obstétrica) en el caso que hoy nos ocupa se atendió en forma oportuna por la rápida respuesta del ERI, lo cual evitó la muerte de la paciente. Esto demuestra que si actuamos de manera coordinada y comprometida a través de un equipo de respuesta inmediata este logrará salvar la vida de la paciente, aun en circunstancias desfavorables, como se mostró en nuestro caso.
Referencias
1. World Health Organization (WHO). World Health Statistics 2014. Geneva, Switzerland: World Health Organization; 2014. Disponible en http://www.who.int/gho/publications/world_health_statistics/2014/en/
2. INEGI/Secretaría de Salud. Dirección General de Información en Salud. Bases de datos de defunciones
3. Secretaría de Salud. Dirección General de Epidemiología, Subsecretaría de Prevención y Promoción de la Salud. Informe semanal de vigilancia epidemiológica. Actualizado el 28 de diciembre de 2011. Disponible en http://www.omm.org.mx/images/stories/MMaternas_sem52.pdf
4. Freyermuth G, Luna M. Mortalidad materna en México. Numeralia 2010. México: Observatorio de Mortalidad Materna, 2011.
5. Rouvier M, González-Block MA, Sesia P, Becerril-Montekio V. Problemas del sistema de salud en estados de México con alta incidencia de mortalidad materna.Salud Publica Mex. 2013;55:185-92.
6. Secretaría de Salud del Estado de México/Centro Estatal de Información en Salud. Embarazo ectópico roto. Medicina de Urgencias de Primer Nivel de Atención, Sección 7. Urgencias Ginecologicas 35. Estado de México, México: Secretaría de Salud; 2005.
7. Ruiz-Parra AI. Embarazo ectópico. En Departamento de Obstetricia y Ginecología Guías para manejo de Urgencias. Bogotá, Colombia: Facultad de Medicina Universidad Nacional de Colombia/Instituto Materno Infantil. pp. 896-905. Disponible en http://www.aibarra.org/apuntes/criticos/Guias/Genitourinarias-ginecologia/Embarazo_ectopico.pdf
8. Plascencia-Moncayo N, De la Paz-Hernandez M, Guadarrama-Sanchez R y colaboradores Embarazo cervical. Tres casos. Ginecol Obstet Mex. 2008,76(12):744-8.
9. Leeman LM, Wendland CL. Cervical ectopic pregnancy. Diagnosis with endovaginal ultrasound examination and successful treatment with methotrexate. Arch Fam Med. 2000 Jan;9(1):72-7.
10. Rothe DJ, Birnbaum SJ. Cervical pregnancy: diagnosis and management. Obstet Gynecol. 1973;42(5):675-80.
11. Sierra-García GJ, Cejudo-Álvarez J, Mondragón-Chimal. MA Factores de riesgo del embarazo ectópico. Arch Inv Mat Inf. 2009;I(2):85-9.
12. Moya-Toneut C, Pino-Pérez FV, Borges-Fernández R, Aguilar-Delgado R, Olano-Trujillo Y, Espinosa-Fuentes ML. Comportamiento del embarazo ectópico Rev Cubana Obstet Ginecol. 2013; 39(3)236-48.
13. Shavell VI, Abdallah ME, Zakaria MA, Berman JM, Diamond MP, Puscheck EE. Misdiagnosis of cervical ectopic pregnancy. Arch Gynecol Obstet. 2012 Feb;285(2):423-6. doi: 10.1007/s00404-011-1980-0.
14. Sunil S, Rathod S. Embarazo ectópico cervical. Revista de Ciencias Naturales, Biología y Medicina. 2015;6(1):257.
15. Jones DA, DeVita MA, Bellomo R. Rapid-Response Teams. N Engl J Med. 2011;365:139-46.
16. Briones-Garduño JC, Díaz de León-Ponce PM. MATER. Equipo de respuesta rápida en obstetricia Rev Asoc Mex Med Crit y Ter Int. 2010;24(3)108-9.
17. San Román V, Jubete Y, Mozo F, Gorostiaga A, Campelo T, Martínez-Astorquiza T. Embarazo cervical: evolución del tratamiento diagnostico-terapéutico en una década. Prog Obstet Ginecol. 2003;46:354-7.
18. Hsieh BC, Lin YH, Huang LW, Chang JZ, Seow KM, Pan HS. Cervical pregnancy after in vitro fertilization and embryo transfer successfully treated with methotrexate and intracervical injection of vasopressin. Acta Obstet Gynecol Scand. 2004;83:112-4.
19. Bueno G, Martínez-Gómez E, Pascual A, Martínez-Cabañero R, García-Garrido C, Tello A, et al. Tratamiento quirúrgico mediante histerectomía de un embarazo ectópico cervical. Clin Invest Gin Obst. 2008;35(4):144-6.
20. Troncoso FR, Cardone X, Rondini C, Troncoso C. Embarazo ectópico cervical. Diagnóstico y tratamiento conservador con cerclaje cervical. Rev Chil Obstet Ginecol. 2005;70(4):257-60.
21. Genc M, Genc B, Kurt S, Solak A. A Case of Cervical Ectopic Pregnancy: Management and Review of the Literature. American Journals of Medical Case Reports. 2014;2(1). Disponible en http://ivyunion.org/index.php/ajmcr/article/view/201300484
22. Yitzhak M, Orvieto R, Nitke S, Neuman-Levin M, Ben-Rafael Z, Schoenfeld A. Cervical pregnancy — a conservative stepwise approach. Human Reproduction. 1999;14(3):847-9.
23. Taşkın S, Taşkın EA, Cengiz B. Cervical intramural ectopic pregnancy. Fertility and Sterility. 2009;92(1):395.e5-395.e7. DOI: http://dx.doi.org/10.1016/j.fertnstert.2009.01.149
24. Briones-Garduño JC, Gutiérrez-Vázquez MC, Esquivel-Gutiérrez LJ, Díaz de León-Ponce M, Briones Vega CG. Experiencia exitosa con el Código MATER. Rev Asoc Mex Med Crit y Ter Int. 2011;25(1):43-5.
25. Calderón-Lozano E, Badillo-García B. Embarazo ectópico cervical. Informe de un caso. Rev Med IMSS. 2003;41(6):513-6.
Notas
Información adicional
Pubmed: https://www.ncbi.nlm.nih.gov/pubmed/27819791
Enlace alternativo
http://revistamedica.imss.gob.mx/editorial/index.php/revista_medica/article/view/858/1422 (pdf)