Casos clínicos
Recepción: 23 Marzo 2015
Aprobación: 28 Abril 2015
Resumen: La interposición de una parte del colon entre el hígado y el diafragma se llama signo de Chilaiditi, el cual se descubre de forma casual durante un estudio radiológico por otra causa. Su presentación suele ser asintomática. Cuando el hallazgo se acompaña de síntomas clínicos como dolor abdominal, náuseas, vómito, distensión abdominal o estreñimiento se llama síndrome de Chilaiditi. El signo de Chilaiditi es muy raro y aún lo es más el síndrome de Chilaiditi, sobre todo si se asocia con otras patologías agudas. Se presenta el caso clínico de un hombre de 41 años de edad que ingresó por dolor abdominal en el hipocondrio derecho, náuseas y vómito; hubo dificultad diagnóstica ante las imágenes radiológicas y tomográfícas, por lo que se hizo el diagnóstico diferencial con absceso pulmonar y hernia diafragmática. El diagnóstico final fue síndrome de Chilaiditi asociado a pancreatitis y neumonía.
Palabras clave: Síndrome de Chilaiditi, Signos y síntomas, Vólvulo gástrico.
Abstract: The interposition of a portion of the colon between the liver and the diaphragm is called Chilaiditi sign and discovered incidentally during radiological study for other reasons and usually asymptomatic presentation. When the discovery is accompanied by clinical symptoms such as abdominal pain, nausea, vomiting, bloating, constipation called Chilaiditi Syndrome. The Chilaiditi sign is a very rare condition, and the Chilaiditi syndrome is even more, especially if associated with other acute diseases. We report the case of a man of 41 years was admitted with right upper quadrant abdominal pain, nausea, vomiting, difficulty was diagnosed with radiographic and tomographic images making the differential diagnosis with lung abscess and diaphragmatic hernia. The final diagnosis was Chilaiditi Syndrome associated with acute pancreatitis and penumonia.
Keywords: Chilaiditi syndrome, Signs and symptoms, Stomach volvulus.
Introducción
El síndrome de Chilaiditi es una alteración anatómica que consiste en la interposición del intestino delgado o colon, generalmente el derecho, entre el hígado y el diafragma; se acompaña de síntomas clínicos (náuseas, vómito, dolor abdominal, distensión, disnea y dolor pleurítico).1También ha sido descrita la interposición del lado izquierdo. El signo de Chilaiditi es la interposición del colon entre el hígado y el diafragma; se presenta sin síntomas y suele ser un hallazgo radiológico debido a otra causa; su presentación es muy rara, con una incidencia de 0.02 a 0.014 del total de las exploraciones radiológicas. Sin embargo, si la aparición del signo de Chilaiditi es rara, la del síndrome de Chilaiditi lo es aún más.2 Este último es más frecuente en hombres mayores de 65 años, obesos, con constipación crónica, retraso mental y en pacientes con cáncer de pulmón la incidencia llega a ser hasta del 1%.3 A continuación presentamos el caso de un varón de 41 años con síndrome de Chilaiditi, pancreatitis aguda y neumonía.
Caso clínico
Hombre de 42 años, de complexión delgada y sin antecedentes médicos de importancia. Presentó cuadro de dolor abdominal, de aparición súbita y de moderada intensidad en epigastrio con dos semanas de evolución. El dolor era opresivo con irradiación a hipocondrio derecho, además de náuseas y malestar general; acudió al servicio de Urgencias ante la sospecha de colecistitis crónica litiásica agudizada. Se le hizo ultrasonografía (USG) abdominal (figura 1), la cual reportó hepatoesplenomegalia con lodo biliar vesicular y derrame pleural derecho.

También se solicitó una tomografía computarizada (TAC) simple de abdomen, que reportó esteatosis hepática y pancreatitis Balthazar B (figura 2).

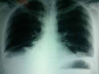
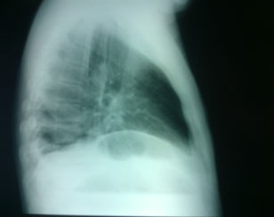
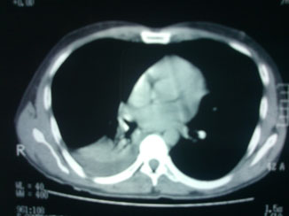
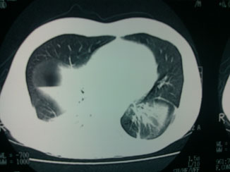
La tele de tórax mostró un hemidiafragma derecho elevado con nivel hidroaéreo, por lo que hubo sospecha de absceso pulmonar (figuras 3 y 4). Por lo tanto, se llevó a cabo una TAC de tórax en la que se observó una imagen redondeada con doble nivel hidroaéreo de aspecto tabicado, condensación basal derecha y derrame pleural, sin adenomegalias. El reporte de radiología fue de empiema derecho (figuras 5 y 6).




Se administró un doble esquema antibiótico con carbapenémico y fluoroquinolona. Los exámenes de laboratorio de ingreso al servicio de Urgencias reportaron los siguientes valores: glucosa 117, BUN 20, urea 43, creatinina 1.2, ácido úrico 3, colesterol 149, triglicéridos 87, bilirrubina total 1.1, bilirrubina directa 0.3, bilirrubina indirecta 0.8, AST 25, ALT 40, amilasa 211, lipasa 1820. Leucocitos 10 500, Hb 12.4, Hto 36, plaquetas 261 00. El examen general de orina (EGO) presentó proteinuria de 100 mg/dL. El paciente ingresó a Medicina Interna, se mantuvo estable sin vómica, sin fiebre ni manifestaciones de respuesta inflamatoria sistémica, sin datos de sepsis, no se integró síndrome pleuropulmonar. Después de10 días de tratamiento antibiótico se le tomó una nueva TAC de tórax (figura 7) en la que se visualizaron las haustras del colon derecho interpuestas entre el hígado y el diafragma. Se diagnosticó síndrome de Chilaiditi al observar signo de Chilaiditi, además de sintomatología abdominal, pancreatitis aguda leve por elevación de lipasa y reporte tomográfico, así como neumonía basal derecha. Se completó el tratamiento antibiótico y el paciente egresó de manera estable.

Discusión
El signo de Chilaiditi fue descrito por primera vez en 1865 por Cantini, pero fue hasta 1910, con la publicación de un reporte de tres casos por Demetrius Chilaiditi, que se consolidó como signo radiológico.4,5 Este síndrome es una entidad extremadamente rara. Hay una asociación cercana al 1% en pacientes con cáncer de pulmón, cáncer de páncreas y retraso mental. Se ha relacionado de manera muy importante con constipación crónica. Aunque la causa de esta alteración aún es poco clara, se han logrado identificar algunos factores predisponentes, como cirugía abdominal previa, constipación, aerofagia, retraso mental, enfermedad pulmonar obstructiva crónica (EPOC), obesidad y embarazo.6Esta entidad se ha relacionado con una fijación anómala del colon por defecto o una ausencia de los ligamentos suspensorios del mismo, con la agenesia del lóbulo derecho del hígado, elevación del hemidiafragma derecho, una mala rotación congénita del intestino, entre otras.7,8,9
Se han descrito tres formas de interposición hepatodiafragmáticas posibles:
Interposición del colon transverso o intestino delgado en el espacio subfrénico anterior derecho. Esta es la forma clásica descrita por Chilaiditi.
Interposición del colon o estómago en el espacio extraperitoneal derecho.
Interposición del colon transverso en el espacio subfrénico posterior derecho.
La presentación sindromática es muy poco frecuente y suele tener un desenlace favorable, aunque en algunos casos se han descrito complicaciones con vólvulos, perforación y obstrucción intestinal.10,11,12 Ante el hallazgo radiológico del signo de Chilaiditi en un paciente sintomático se debe hacer diagnóstico diferencial con neumoperitoneo, hernia diafragmática, neumatosis intestinal, absceso subfrénico y quiste hidatídico. Hay muy pocos casos descritos en la literatura asociados a pancreatitis aguda; la mayoría de los reportes están relacionados con vólvulos o alguna otra patología quirúrgica.9 Este paciente presentó dolor abdominal agudo intenso aunado a las imágenes radiológicas, por lo que hubo varias entidades para hacer el diagnóstico diferencial. Llama la atención el reporte de lipasa, cuyo valor fue de 1820, con un páncreas edematizado reportado en la TAC. La neumonía remitió con el tratamiento antibiótico para neumonía adquirida en la comunidad sin criterios de gravedad.13,14,15 El tratamiento del síndrome dependerá de la etiología, lo más frecuente es recurrir a medidas no quirúrgicas (reposo, hidratación, enemas, dieta rica en fibra y descompresión nasogástrica) que alivien la sintomatología. La principal complicación es la obstrucción o pseudoobstrucción y la formación de vólvulos colónicos.
Conclusiones
El diagnóstico del signo y el síndrome de Chilaiditi siempre es radiológico. En una radiografía simple de tórax o abdomen (preferentemente en bipedestación) se apreciará una masa aérea entre el hemidiafragma derecho y la opacidad de la masa hepática. De ser visibles las haustras, será identificado el colon, si hay dudas, pueden ser de utilidad el enema contrastado, la gammagrafía, la ultrasonografía y la tomografía axial computarizada. De este modo se hará el diagnóstico diferencial radiológico con neumoperitoneo, absceso subfrénico, neumatosis intestinal, quiste hidatídico infectado y tumores hepáticos.
Creemos que es fundamental para el médico internista, el médico familiar y para el propio paciente tener conocimiento de este signo y síndrome (dado lo infrecuente de esta patología). Si se encuentra un hallazgo radiológico, como el descrito anteriormente, sin sintomas, se catalogará como variable anatómica que no amerita manejo quirúrgico, pero en caso de haber dolor abdominal agudo habrá que descartar la presencia de vólvulos de colon, que se presenta con mayor frecuencia en la población con esta patología.
Referencias
Gil-Díaz MJ, Murillo-Gómez M, Jiménez González P. Signo y síndrome de Chilaiditi: entidades a tener en cuenta. Semerg 2011;234:1-3.
Alcober-Perez C, Carod-Benedico C, Sanz-Martinez D. El Síndrome de Chilaiditi en el diagnostico diferencial del cólico renal. MEDIFAM 2003;13: 41-44.
Moaven O, Hodin RA. “Chilaiditi Syndrome: A Rare Entity with Important Differential Diagnoses.” Gastroenterol Hepatol. 2012 (8);4: 276.
Hazra NK, Panhani NL, Tiwari PK, Gupta A. Chilaiditi’s Syndrome. Kathmandu University Medical Journal 2009(7);3: 20-23.
Diaz-Chavez E, Marentes-Etiene J, Medina-Chávez J, Avalos-González J, Trujillo-Hernández B. Síndrome de Chilaiditi como un problema de decisión quirúrgica: Reporte de un caso y revisión de la Literatura. Ciruj Gen. 2007(29); 4: 294-296.
Hisham AN, Gunn A, Jamil A. Chilaiditi’s Syndrome Presenting as Acute Abdomen. Med J Malaysia 1995(50);3: 281-283.
Flores N, Ingar C, Sanchez J, Fernandez J, Malaga J, Medina M. Síndrome de Chilaiditi complicado con Vólvulo de Colon transverso. Rev Gastroenterol Perú 2005;25: 279-284.
Jackson AD, Hodson CJ. Interposition of the colon between liver and diaphragm (Chilaiditis’s Syndrome) in Childrens. Arch Dis Child 1957;32: 151-158.
Figueroa F, Alurralde C, Soto J, Geraud E, Rios I, Mendoza S. Síndrome de Chilaiditis a propósito de un caso. Gen 2009(63)2;125-126.
David K, Andrew S, Pan JL. Buicko M A. Lopez-Viego. Acute abdominal pain secondary to Chilaiditi Syndrome. Surgery. 2009;4:30-35.
Orango-Guy R, W-Fazio V, Winkelman E, McGonagle B. The Chilaiditi Syndrome and Associated volvolus of the transverse colon. An indication for surgical therapy. Dis Col and Rect 1986;4: 653-656.
Hayes-Dorado JP, Sfeir-Byron R, Yañez-Llobet W, Paniagua-Guzmán R. Síndrome de Chilaiditi. Rev. Inst. Med. Sucre 2004; 124: 61-62.
Guimarães NR, Leite FH. Síndrome de Chilaiditi: relato de caso. Radiología Brasileira 2011;(44)5:333-35.
Makhija Z. Chilaiditis syndrome leading to tamponade. Interactive CardioVascular and Thoracic Surgery 2009;9:132–134
Moralioglu S. Chilaiditi’s syndrome: A case report. Turk Arch Ped 2011; 46: 253-255.
Notas
Notas de autor
miymc2010@hotmail.com
Enlace alternativo
http://revistamedica.imss.gob.mx/editorial/index.php/revista_medica/article/view/1141/1760 (pdf)