Resumen:
Introducción: el cáncer de mama es la neoplasia maligna más común en mujeres, 23% a nivel mundial. Se clasifica según su patrón histológico y expresión de marcadores de inmunohistoquímica; hasta 75% son de tipo ductal. La incidencia de metástasis es de 10 a 80% según su inmunofenotipo, ocurren principalmente en hueso, vísceras y cerebro.
Caso clínico: mujer de 64 años, con antecedente de mastectomía radical izquierda por carcinoma de mama no especificado en el 2000, recibió quimioterapia, radioterapia y tamoxifeno. Posterior a su alta hospitalaria la paciente permaneció sin vigilancia. En el 2014 inició con disfagia a sólidos, en el 2016 se documentó estenosis esofágica por panendoscopía, le realizaron tres dilataciones endoscópicas, en la última con perforación incidental. Se realizó esofagectomía; el estudio de patología reportó metástasis de carcinoma ductal de mama.
Conclusiones: el carcinoma ductal de mama raramente da metástasis a tubo digestivo, no obstante, su probabilidad se debe tener presente e insistir en la vigilancia de las pacientes después de concluir su tratamiento contra el cáncer.
Palabras clave:Neoplasias de la MamaNeoplasias de la Mama, Metástasis de la Neoplasia Metástasis de la Neoplasia, Esófago Esófago.
Abstract:
Background: Invasive breast cancer is the most common carcinoma in women, 23% of all cancers in the world. It is classified according to its histological pattern and expression of immunohistochemical markers; 75% are ductal type. The incidence of metastasis is 10 to 80% of the cases according to their immunophenotype, the main sites of metastasis are bone, visceral and brain.
Clinical case: A 64 years old lady with a history of radical left mastectomy due to unspecified breast cancer in 2000, received chemotherapy, radiation therapy and tamoxifen. After her discharge from hospital, the patient remained unattended. In 2014 she started with dysphagia, in 2016 was documented esophageal stricture by panendoscopy, three endoscopic dilations were performed, in the last one she presented incidental perforation. An esophagectomy was performed; the pathological study reported metastasis of ductal carcinoma of the breast.
Conclusions: Ductal carcinoma of the breast rarely metastasizes to the digestive tract but, its probability must have this and insist on monitoring of patients after their cancer treatment.
Keywords: Breast Neoplasms, Neoplasm Metastasis, Esophagus.
Casos clínicos
Metástasis de carcinoma ductal de mama en esófago. Reporte de un caso
Metastasis of ductal carcinoma of the breast in the esophagus. Case report
Recepción: 19 Mayo 2017
Aprobación: 07 Julio 2017
El carcinoma invasor de mama es el cáncer más común entre las mujeres, representa 23% de todas las neoplasias malignas en mujeres a nivel mundial.1 Hasta 75% son de tipo ductal y 5-16% de tipo lobulillar invasor.2 Aproximadamente 50% de las pacientes con cáncer de mama desarrollará metástasis a distancia durante su vida, 75% de estas pacientes presentará metástasis en los primeros 5 años después de su diagnóstico.3 Los sitios más comunes de metástasis son a ganglio linfático, pulmón, cerebro, hígado y hueso.4 Las metástasis de carcinoma de mama al tracto gastrointestinal son hallazgos raros. De los tipos histológicos con gran capacidad para metastatizar a sitios inusuales incluyendo tracto gastrointestinal, está el carcinoma lobulillar invasor.5,6 En una revisión de expedientes de 966 pacientes con carcinoma de mama, se identificó el patrón de metástasis, la frecuencia de metástasis gastrointestinales por carcinoma lobulillar invasor ocurrió en 6 de 14 casos en estómago y en 4 de 14 en intestino, y por carcinoma ductal de mama, fue de 2 casos de 76 en estómago y de 3 de 76 en intestino.7 En otro estudio de autopsias de 261 pacientes, quienes murieron de de 1972 a 1989, con las comparaciones hechas por los investigadores, concluyeron que las metástasis pasan inadvertidas clínicamente por largo tiempo.8 De las metástasis gastrointestinales, el estómago es el órgano más afectado en 3 a 18%; los pacientes con este tipo de metástasis pueden ser asintomáticos o presentar sintomatología inespecífica.3 En este reporte presentamos el caso de una paciente que cursó con disfagia a causa de una metástasis de carcinoma ductal de mama.
Mujer de 64 años, con antecedente de mastectomía radical izquierda por carcinoma de mama no especificado en el año 2000, recibió quimioterapia, radioterapia neoadyuvante y tamoxifeno por 5 años. Posterior a su alta hospitalaria, la paciente permaneció sin vigilancia. En el año 2014 la paciente inició con disfagia a sólidos y líquidos, dos años después por panendoscopía se documentó la presencia de estenosis de 80% de la luz esofágica. Se realizaron tres dilataciones endoscópicas, en la última con perforación incidental confirmada con esofagograma contrastado (figura 1).

Fuga del contraste del tercio medio-inferior de la pared lateral derecha y posterior del esófago con relación a perforación.
Se realizó esofagectomía con colocación de sondas endopleurales. En el servicio de patología se recibió un segmento de esófago de 11.5 cm de longitud y 2 cm de diámetro, con una zona de estenosis con pérdida de continuidad de 1 cm de diámetro, de bordes irregulares; la mucosa adyacente era violácea, con espesor de pared de 0.4 cm en la zona de perforación (figura 2).

A) Solución de continuidad de 1 cm que coincide con zona de estenosis. B) Mucosa adyacente a perforación hemorrágica con engrosamiento de la pared.
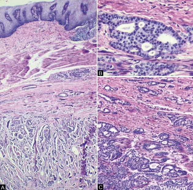
Microscópicamente se observó una neoplasia infiltrante a adventicia, a capa muscular propia y a submucosa del esófago con formación de glándulas, cordones y nidos sólidos. Se apreciaron células con núcleos redondos a ovalados, con leve pleomorfismo, algunas con nucléolo evidente, de citoplasma eosinófilo (figura 3).

A) Pared de esófago con neoplasia infiltrante en la capa muscular propia y en submucosa (tinción de hematoxilina y eosina (HE) 4x). B) Neoplasia con formación de glándulas, cordones y nidos de células (HE 10x). C) Patrón glandular, cribiforme de células medianas con pleomorfismo leve nuclear, cromatina grumosa y nucléolo evidente (HE 40x).
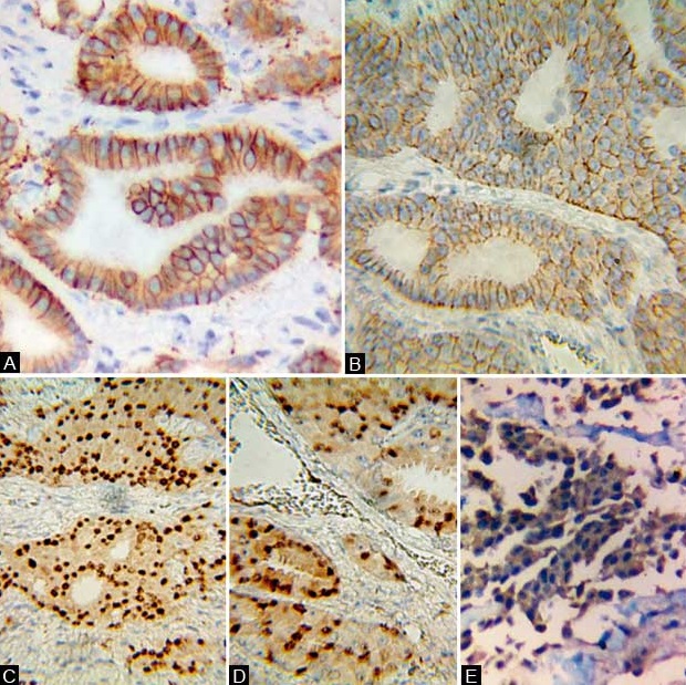
Por inmunohistoquímica se obtuvo HER2-neu positivo +++en la membrana celular de las células neoplásicas, E-cadherina positiva en la membrana celular de las células cancerosas, RE positivo nuclear en 100% de las células neoplásicas, RP positivo nuclear en 80% de las células neoplásicas, mamoglobina positiva en citoplasma de células neoplásicas (figura 4).

A) Her2-neu positivo; B) E-cadherina positiva; C) RE positivo nuclear en todas las células neoplásicas; D) RP positivo nuclear; E) mamoglobina positiva.
Con estos hallazgos se diagnosticó metástasis de carcinoma ductal de mama y la paciente fue referida a oncología para su atención.
En una serie de autopsia de 707 casos de cáncer de mama, se reportó metástasis a tracto gastrointestinal superior de 6 a 18%, mientras que del tracto gastrointestinal inferior se reportó 8 a 12% de los casos.3 El carcinoma lobulillar es el tipo histológico predominante en metástasis a tracto gastrointestinal,9,10 sin embargo, se han descrito casos con infiltración por carcinoma ductal.3 Los diversos estudios para diagnosticar las metástasis gastrointestinales incluyen tomografía computada, resonancia magnética, estudios contrastados con bario y endoscopia. Una laparotomía exploratoria puede llegar a ser necesaria para establecer el diagnóstico.11,12
La biopsia de la lesión es necesaria para confirmar el diagnóstico. Para establecer el diagnóstico y diferenciar entre un tumor primario del tracto gastrointestinal y enfermedad metastásica de carcinoma previo de mama, es necesario el estudio histopatológico y de inmunohistoqumíca, generalmente se utilizan marcadores que incluyan receptores hormonales de estrógenos y progesterona, E-cadherina, HER2/neu. Los tumores metastásicos muestran afección en serosa, capa muscular propia y en submucosa, sin involucro de la mucosa,5,7,9,11,13,14 como ocurrió en la paciente del presente caso.
La progresión tumoral basada en las características moleculares de células madre tumorales de mama, es regulada por la proteína HER2. En un estudio se concluyó que la sobreexpresión de HER2 incrementa la proliferación y la supervivencia del tumor primario y juega un rol importante en la metástasis a distancia, facilitando su migración.15
El intervalo de tiempo entre el diagnóstico de cáncer mama hasta el descubrimiento de metástasis gastrointestinal puede variar hasta 30 años, y de forma ocasional el hallazgo de metástasis gastrointestinal precede el diagnóstico de cáncer de mama. En la paciente habían transcurrido aproximadamente 15 años después de su diagnóstico de cáncer de mama. Las pacientes con cáncer de mama después de la remisión de la enfermedad rara vez continúan en vigilancia en manos de un oncólogo. Estas pacientes generalmente acuden con el médico general, quien las atiende por presentar síntomas vagos, incluyendo los gastrointestinales, por lo que es importante que en pacientes con antecedente de cáncer de mama y con síntomas gastrointestinales inespecíficos, más comúnmente náusea o vómito, se tengan en cuenta como un evento centinela de metástasis.13 La paciente durante dos años presentó síntomas antes de establecer un diagnóstico, metástasis de carcinoma ductal de mama.
A pesar de la baja frecuencia de metástasis de cáncer de mama a tubo digestivo, la sintomatología vaga en una paciente tratada previamente por neoplasia de mama, debe alertar al médico para su pronta detección, procurando la valoración del médico oncólogo.
Declaración de conflicto de interés: las autoras han completado y enviado la forma traducida al español de la declaración de conflictos potenciales de interés del Comité Internacional de Editores de Revistas Médicas, y no fue reportado alguno que tuviera relación con este artículo.
Cómo citar este artículo: Ramírez-González LD, Juárez-Aguilar. Metástasis de carcinoma ductal de mama en esófago. Reporte de un caso. Rev Med Inst Mex Seguro Soc. 2018;56(6): 562-5.
PubMed: https://www.ncbi.nlm.nih.gov/pubmed/30889346
http://revistamedica.imss.gob.mx/editorial/index.php/revista_medica/article/view/1538/3355 (pdf)
http://revistamedica.imss.gob.mx/editorial/index.php/revista_medica/article/view/1538/3470 (html)
A la Dra. Katia Hop García y al histotecnólogo Marco Antonio Aguilar Urbano por su apoyo para realizar los estudios de inmunohistoquímica.

Fuga del contraste del tercio medio-inferior de la pared lateral derecha y posterior del esófago con relación a perforación.

A) Solución de continuidad de 1 cm que coincide con zona de estenosis. B) Mucosa adyacente a perforación hemorrágica con engrosamiento de la pared.

A) Pared de esófago con neoplasia infiltrante en la capa muscular propia y en submucosa (tinción de hematoxilina y eosina (HE) 4x). B) Neoplasia con formación de glándulas, cordones y nidos de células (HE 10x). C) Patrón glandular, cribiforme de células medianas con pleomorfismo leve nuclear, cromatina grumosa y nucléolo evidente (HE 40x).

A) Her2-neu positivo; B) E-cadherina positiva; C) RE positivo nuclear en todas las células neoplásicas; D) RP positivo nuclear; E) mamoglobina positiva.