Resumen:
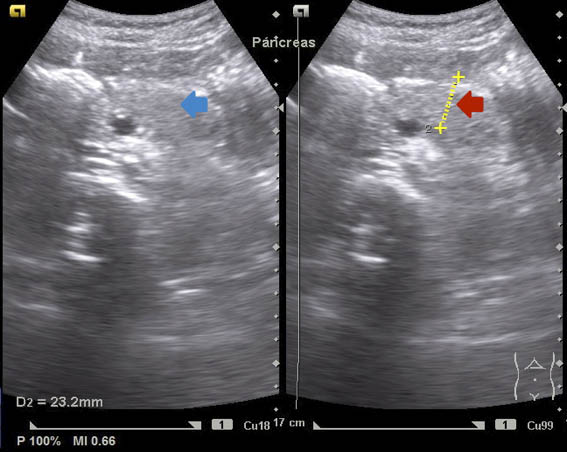
Introducción: el páncreas anular es una anomalía congénita que causa obstrucción duodenal en el neonato. Se reporta en 1 por cada 12 000-15 000 recién nacidos, a menudo se revela en la edad adulta. Clínicamente incluye obstrucción intestinal, dolor abdominal, vómitos y puntos pancreáticos positivos. El diagnóstico requiere estudios de imagenología y exploración quirúrgica. Caso clínico: paciente del sexo femenino, de 11 años de edad, con dolor abdominal crónico intermitente, de bajo peso para su edad. Tratada por médico privado con ranitidina (4 mg/kg/día) e ibuprofeno (5 mg/kg/dosis) vía oral, durante un mes, por enfermedad acido-péptica. El 31 de diciembre del 2017 fue atendida en urgencias pediátricas, por dolor en epigastrio, náuseas y vómitos de contenido gastrobiliar en número de 4 en 24 horas. Abdomen doloroso a la palpación en epigastrio, puntos pancreáticos positivos, Murphy negativo, sin hepatomegalia ni esplenomegalia, ruidos peristálticos disminuidos. Se reportó: amilasa 2163 U/L, lipasa 821 U/L, deshidrogenasa láctica 461 U/L. Ultrasonido de páncreas: cabeza de 19.3 mm, cuerpo de 23.2 mm y cola de 10 mm. Fue internada en pediatría, confirmándose páncreas anular por ultrasonido y tomografía; recibió tratamiento conservador. Conclusión: la paciente presentó síntomas típicos del páncreas anular, su estudio mediante imágenes fue decisivo para establecer el diagnóstico.
Palabras clave:Anomalías CongénitasAnomalías Congénitas, Páncreas Páncreas, Dolor Abdominal Dolor Abdominal, Pancreatitis Pancreatitis.
Abstract:
Background: Annular pancreas is a congenital abnormality which causes duodenal obstruction in neonates. It befalls upon 1 patient amongst every 12 000-15 000 newborns. It often appears in adulthood. Clinical traits include abdominal pain, intestinal obstruction, vomiting, and pancreatitis. The diagnosis requires image studies and surgical exploration. Clinical case: Female patient, 11 years of age, presenting intermittent chronic abdominal pain, underweight for her age. Treated by a private physician with ranitidine (4 mg/kg/day) and ibuprofen (5 mg/kg/dose) orally, for one month, due to acid-peptic disease. On December 31, 2017, she was attended at Pediatric Emergency presenting epigastric pain, and nausea. She vomited bile contents 4 times over a 24 hour span. Other symptoms included painful reaction to epigastric palpation, positive pancreatic points, negative Murphy’s sign, no hepatomegaly or splenomegaly, decreased peristaltic noises. Reported: amylase 2163 U/L, lipase 821 U/L, lactic dehydrogenase 461 U/L. Pancreatic ultrasound: 19.3 mm head, 23.2 mm body and 10 mm tail. She was admitted to pediatrics, where the annular pancreas condition was confirmed through ultrasound and computed tomography scan. She then underwent conservative treatment. Conclusion: The patient displayed typical annular pancreas symptoms. Image studies were key to the diagnosis.
Keywords: Congenital Abnormalities, Pancreas, Abdominal Pain, Pancreatitis.
Caso clínico
Páncreas anular, causa de dolor abdominal. Reporte de caso
Annular pancreas, cause of abdominal pain: Case report
Recepción: 06/06/2018
Aprobación: 26/02/2019
El páncreas anular es una anomalía congénita poco frecuente que causa obstrucción duodenal en el periodo neonatal,1 y cuya incidencia ha sido reportada en 1 de cada 12 000 a 15 000 recién nacidos vivos.2 Es una alteración del desarrollo que ocurre durante el proceso de la formación del intestino anterior. Acontece cuando la yema ventral no hace su rotación detrás del duodeno, esto deja al tejido pancreático rodeado por la segunda porción del duodeno parcial o totalmente.3 De acuerdo con la clasificación de Johnston, el páncreas anular se divide en dos tipos: intramural (si hay pequeños ductos en el anillo que drenan directamente hacia el duodeno) y extramural (si el ducto del anillo rodea al duodeno y se une al colédoco).4 Aunque es una malformación embriológica, a menudo los síntomas se presentan hasta le edad adulta.
Las presentaciones incluyen dolor abdominal, obstrucción de la salida gástrica (relacionada con afección extramural) y ulceración duodenal (asociado con tejido pancreático intramural), así como pancreatitis y carcinoma pancreático.5 El diagnóstico generalmente se establece mediante estudios de imagen. Los estudios de elección en niños mayores y adultos son: la serie gastrointestinal superior, el ultrasonido, la tomografía computarizada y la resonancia magnética, en ellos se aprecia la compresión extrínseca del duodeno.6 El objetivo de este trabajo fue presentar el caso de una paciente pediátrica con dolor abdominal y la importancia de su estudio para establecer el diagnóstico de páncreas anular.
Paciente de sexo femenino, de 11 años de edad. Abuela materna con esclerosis lateral amiotrófica y artritis reumatoide. Producto de la primera gesta, parto eutócico a las 39 semanas de gestación, peso de 2600 gramos, talla de 50 centímetros, Apgar 9/10, estuvo en habitación conjunta, egreso de la díada sin complicaciones. Alimentada al pecho materno durante doce meses, introducción de otros alimentos a los seis meses, incorporada a la dieta familiar después de los 12 meses. Desarrollo psicomotor normal. Esquema completo de inmunizaciones, incluyendo influenza. Se refirió que desde los tres años de edad manifiesta sensación de plenitud abdominal durante la alimentación, que la ha llevado a comer poco. Acude al servicio de Urgencias del Hospital General de Zona con Medicina Familiar No. 8 del Instituto Mexicano del Seguro Social por dolor en epigastrio crónico; fue tratada por médico privado por enfermedad acido-péptica, con ranitidina (4 mg/kg/día) e ibuprofeno (5 mg/kg/dosis), por vía oral, durante un mes, sin mejoría.
El padecimiento actual lo inició con sensación de plenitud abdominal durante la alimentación. Llegó al servicio de Urgencias pediátricas con cuadro de dolor abdominal de tres días de evolución, de intensidad 7/10, sin irradiaciones, acompañada de náuseas y vómitos de contenido gastrobiliar hasta en cuatro ocasiones en 24 horas, posterior a la ingestión de alimentos copiosos, ricos en hidratos de carbono y grasas durante los últimos tres días.
A la exploración física presentó: peso corporal de 25.5 kg; talla de 1.27 m; índice de masa corporal de 15.81 kg/m2; frecuencia cardiaca de 118 latidos/minuto; frecuencia respiratoria de 30/minuto; temperatura corporal de 36.5 °C. Consciente con Glasgow de 15, actitud ectomórfica, constitución hipotrófica, facies de dolor, sin palidez de piel y tegumentos, con adecuado estado de hidratación; reflejos de pupilas normales; orofaringe hiperémica, lengua seca; tórax longilíneo, ruidos pulmonares normales, sin estertores; área cardiaca rítmica, taquicardia sin soplos; abdomen globoso, ruidos peristálticos disminuidos, timpánico en todo el marco cólico, doloroso a la palpación superficial y profunda en epigastrio, puntos pancreáticos positivos (Chauffard, Desjardins, Mayo-Robson, Orlowski y Preioni), Murphy negativo, puntos apendiculares y ureterales negativos, sin hepatomegalia o esplenomegalia, sin datos de irritación peritoneal; extremidades íntegras, simétricas, sin edema, llenado capilar de tres segundos.
Biometría hemática: leucocitos 5.21 x 103 células/mm3, eritrocitos 4.17 x 103 células/mm3, hemoglobina 12.4 g/dL, hematocrito 35.1%, plaquetas 337 x 103 células/mm3). Química sanguínea: glucosa 123 mg/dL, colesterol total 105 mg/dL, triglicéridos 161 mg/dL, urea 23 mg/dL, nitrógeno úrico 10 mg/dL, creatinina 0.4 mg/dL. Electrolitos séricos: sodio 137.6 mEq/L, potasio 3.9 mEq/L, cloro 105.8 mEq/L, calcio 10.0 mg/dL. Pruebas de función hepática: amilasa 2163 U/L, lipasa 821.1 U/L, deshidrogenasa láctica 461 U/L, aspartato aminotransferesa 24.76 U/L, alanina aminotransferasa 11.71 U/L, bilirrubina total 0.45 mg/dL, bilirrubina directa 0.15 mg/dL, bilirrubina indirecta 0.32 mg/dL).
Fue hospitalizada en el servicio de Pediatría, donde se realizaron los siguientes estudios. Perfil inmunológico: factor reumatoide 2.67 UI/mL, velocidad de sedimentación globular 12 mm/h, anticuerpos anti-DNA doble cadena con resultado negativo, anticuerpos antinucleares negativos, complemento C3 93.6 mg/dL, complemento C4 29.9 mg/dL. Perfil infeccioso: anticuerpos IgG e IgM citomegalovirus negativos, anticuerpos IgG e IgM toxoplasma negativos. Radiografía de tórax simple: campos pleuropulmonares y ramas pulmonares normales, sin cardiomegalia o masas ocupativas (figura 1). Radiografía de abdomen simple: aire en cámara gástrica, de escasa cantidad en colon y recto; colon descendente y recto sigmoides con imágenes sugestivas de fecalitos (figura 2). Ultrasonido de hígado y vías biliares: páncreas en situación habitual, con bordes regulares bien delimitados, cabeza y cola dentro de los parámetros normales, cuerpo aumentado de tamaño, en forma de herradura, sin evidencia de líquido peripancreático; hígado y vesícula biliar conservados (figura 3).



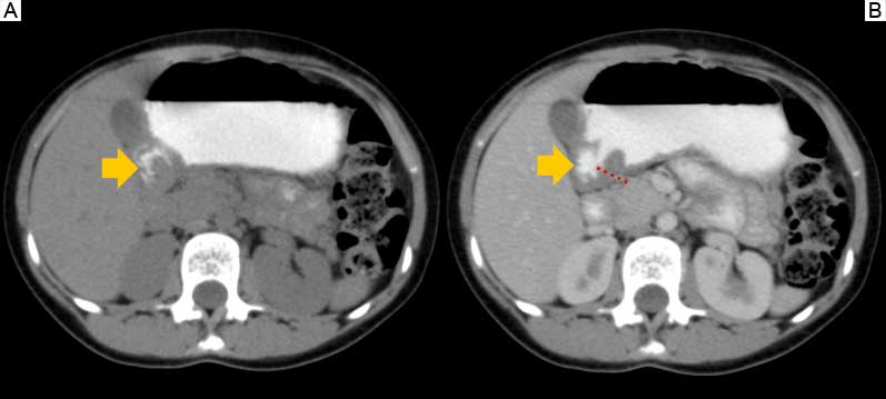
Tomografía abdominopélvica simple y contrastada: estómago distendido con presencia de contraste en su interior, a nivel antro-pilórico, engrosamiento de la pared con paso filiforme del contraste hacia el duodeno, vesícula biliar moderadamente distendida, hipodensa, pared delgada; resto de las estructuras sin alteraciones (figura 4).

Es importante mencionar que la revisión del caso clínico se realizó de acuerdo con las pautas descritas en la Declaración de Helsinki, se obtuvo consentimiento informado por escrito de los padres de la paciente para la publicación del presente informe.
De las malformaciones congénitas del páncreas, la forma más común es el páncreas anular (33%).7 Sencan et al. analizaron siete recién nacidos sometidos a cirugía por páncreas anular, observaron el peso promedio al nacer de los pacientes de 2385 ± 1002 gramos, la edad gestacional promedio fue de 37.5 ± 3.1 semanas.8 En el caso de la paciente se reportó un peso bajo para su edad gestacional. Por otro lado, los niños con páncreas anular presentan signos y síntomas de obstrucción intestinal (56%), dolor abdominal (75%), vómitos (24%), puntos pancreáticos positivos (22%), aunados a elevación de enzimas de escape pancreático (11%).9 Lo cual se presentó en esta paciente como pancreatitis aguda,10 con cuadro clínico característico, alteraciones bioquímicas y estructurales en los estudios de imagen.11 La paciente fue estudiada bajo internamiento en el servicio de Pediatría, donde se excluyeron otras causas de pancreatitis (enfermedades inflamatorias, idiopáticas, infecciosas, medicamentosas, traumáticas, trastornos hereditarios y metabólicos).12
Botello et al., reportaron una reseña de un paciente de sexo masculino, de 57 años de edad, con antecedente de dolor abdominal en epigastrio, acompañado de náuseas y vómito, descubriendo en el examen tomográfico engrosamiento antro-pilórico y bulbo duodenal compatibles con signos típicos de páncreas anular.13 En la paciente se encontró engrosamiento antro-pilórico en el estudio tomográfico, relacionado con páncreas anular descrito en la literatura. El estándar de oro para diagnosticar páncreas anular es la exploración quirúrgica completa del duodeno y la cabeza del páncreas.14 El tratamiento definitivo es la revascularización quirúrgica del sitio del anillo pancreático (duodenoyeyunoanastomosis). No obstante, el procedimiento tiene una alta tasa de complicaciones quirúrgicas como la formación de fístula, pancreatitis, laceración pancreática o estenosis duodenal recurrente secundaria a la fibrosis local,15 es por ello que, hasta el momento, la paciente continúa en vigilancia por consulta externa en estrecho seguimiento sin haber sido explorada quirúrgicamente.
La alimentación de la paciente, abundante en hidratos de carbono y grasas, y en alta cantidad, permitió sospechar una pancreatitis aguda y abordar el estudio desde la sala de urgencias como tal, encontrando en el ultrasonido15 datos de imagen compatibles con páncreas anular,16 dando lugar a su internamiento para completar su estudio.17
A pesar de la literatura médica existente sobre las anomalías pancreáticas y de la descripción del cuadro clínico de la pancreatitis, quizá la edad del paciente propicie vislumbrar otros diagnósticos. El diagnóstico de páncreas anular se debe sospechar en todo paciente que cursa con un cuadro de obstrucción intestinal alta desde el periodo neonatal, así como dolor en epigastrio intermitente, acompañado de náusea, vómito, pobre desarrollo pondoestatural y pancreatitis aguda, tanto en escolares y adolescentes, para evitar el retraso en el diagnóstico y su tratamiento definitivo.
Declaración de conflicto de interés: los autores han completado y enviado la forma traducida al español de la declaración de conflictos potenciales de interés del Comité Internacional de Editores de Revistas Médicas, y no fue reportado alguno que tuviera relación con este artículo.
Cómo citar este artículo: Martínez-Bautista P, Aguilar-Mena ME, Barbosa-Cruz X, Vilchis-Chaparro E, Espinoza-Anrubio G, Rodríguez-Elizondo JC. Páncreas anular como causa de dolor abdominal: Reporte de caso. Rev Med Inst Mex Seguro Soc. 2019;57(2):118-23.
PubMed: https://www.ncbi.nlm.nih.gov/pubmed/?term=31618567
http://revistamedica.imss.gob.mx/editorial/index.php/revista_medica/article/view/2279/3632 (pdf)
http://revistamedica.imss.gob.mx/editorial/index.php/revista_medica/article/view/2279/3647 (html)
A Julia Delgado Arzaluz y a Hermes Juárez Vargas, del servicio de Radiología, y a Sonia Rueda Gómez del servicio de Urgencias Pediatría por su colaboración, con ella se facilitó la presentación del presente reporte.



