Aportación original

Recepción: 16 Mayo 2016
Aprobación: 20 Julio 2016
Resumen:
Introducción: en México, las leucemias representan el tipo de cáncer más frecuente en la población menor de 15 años con una tasa de incidencia alta cuando se compara con países desarrollados. La etiología de las leucemias puede ser desconocida, sin embargo se presentan distintos factores que pueden condicionar la enfermedad, tal es el caso de las translocaciones cromosómicas. El objetivo de este trabajo es detectar las alteraciones moleculares: TEL-AML1, MLL-AF4, BCR-ABL menor y E2A-PBX1 en los pacientes pediátricos con leucemia aguda linfoblástica.
Métodos: se colectaron 91 muestras de médula ósea de enero de 2012 a marzo de 2013 de pacientes pediátricos con leucemia aguda linfoblástica del Servicio de Hematología. Se detectaron las translocaciones (TEL-AML1, MLL-AF4, BCR-ABL menor y E2A-PBX1) con técnicas moleculares de tiempo real con SYBR Green (Qiagen, Alameda, CA).
Resultados: se procesaron 91 muestras, las frecuencias detectadas para cada una de las translocaciones fueron: TEL-AML1 (7.21%), E2A-PBX1 (5.15%). Las translocaciones MLL-AF4 y BCR-ABL menor no fueron detectadas en este estudio.
Conclusiones: las frecuencias mostradas en este estudio están en concordancia con los datos mostrados en la literatura donde TEL-AML1 es la translocación más común encontrada en pacientes pediátricos. Es importante mencionar que E2A-PBX1 se encuentra en una frecuencia alta en países en vías de desarrollo al comparase con países desarrollados.
Palabras clave: Leucemia, Niño, Neoplasias, Médula ósea.
Abstract:
Background: In Mexico, leukemia represents the most common type of cancer in the population under 15 years old with a high incidence rate when compared with developed countries. The etiology of leukemia may be unknown, however different factors are involve such as chromosomal translocations. The aim of this work is to detect the molecular alterations: TEL-AML1, MLL-AF4, BCR-ABL minor and E2A-PBX1 in pediatric patients with acute lymphoblastic leukemia.
Methods: 91 bone marrow samples were collected from pediatric patients with acute lymphoblastic leukemia from january 2012 to march 2013 at the Pediatric Hematology Service, Hospital General “Gaudencio González Garza”. Translocations detected (TEL-AML1, MLL-AF4, BCR-ABL minor and E2A-PBX1) using real time PCR, SYBR Green (Qiagen, Alameda, CA).
Results: 91 samples were processed, the detected frequencies for each translocation were: TEL-AML1 (7.21%), E2A-PBX1 (5.15%). The MLL-AF4 and the BCR-ABL minor translocations were not detected in this study.
Conclusions: The frequencies shown in this study are consistent with the data shown in the literature, where TEL-AML1 is the most common translocation found in pediatric patients. It is of relevance to mention that E2A-PBX1 is found in a high frequency in developing countries when compared with developed countries.
Keywords: Leukemia, Child, Neoplasms, Bone marrow.
El cáncer infantil en países desarrollados es la segunda causa de muerte (4-5%) en menores de 15 años, mientras que en países en vías desarrollo es menos del 1%, tomando en cuenta que las causas infecciosas son más frecuentes.
Se estima que anualmente aparecen 160 000 casos nuevos y 90 000 muertes en menores de 15 años.1,2,3La OMS indica que en países desarrollados, la incidencia es de 140 casos por millón de habitantes. En algunos países en desarrollo, donde la población pediátrica comprende el 40 a 50% de la población, la proporción de cáncer infantil representa el 3-10%.1,2,3 Mundialmente los cánceres infantiles más frecuentes son las leucemias, los linfomas y los tumores en el sistema nervioso central.1 En México, al ser un país en vías de desarrollo, se presenta una tasa de incidencia alta comparada con otros países, e incluso entre los mismos países de América Latina, pudiendo encontrar una tasa de hasta 57.6 casos por millón.2 Según datos del CENSIA, las leucemias son los cánceres infantiles más frecuentes en nuestro territorio.3 Las leucemias surgen a partir de células linfoides que se encuentran en un estadio temprano de su desarrollo y se les llama linfoblastos, los cuales proliferan incontroladamente e infiltran ampliamente la medula ósea (muchas veces involucrando la sangre periférica) impidiendo la hematopoyesis normal.3 Los principales subtipos de leucemia descritos comprenden la leucemia linfoblástica aguda (80%), la leucemia mieloblástica aguda (15%) y la leucemia mieloblástica crónica (3-5%).3,4En la etiología de las leucemias se presentan distintos factores que pueden condicionar la enfermedad, tal es el caso de las enfermedades genéticas que promueven una inestabilidad genómica, los virus linfotrópicos,5agentes ambientales que provocan una estimulación crónica del sistema inmunitario, la radioterapia y quimioterapia, los bencenos y por último, también se puede originar por translocaciones cromosómicas y otras mutaciones adquiridas, donde muchas translocaciones específicas son asociadas con ciertas neoplasias, sugiriendo un rol crítico en su génesis; por lo que estas translocaciones producen proteínas aberrantes que interfieren con la función normal o que aumentan de manera inapropiada una función.3,4,5
La leucemia linfoblástica aguda (LLA) es un cáncer compuesto de células inmaduras o progenitoras (pre-B o pre-T), llamadas linfoblastos. El 85% de las LLA se clasifican como tipo B. La incidencia es mayor en el hombre que en las mujeres y se presenta mayormente en la población hispana, en comparación con los caucásicos. Morfológicamente, la medula ósea tiene un aspecto de hipercelularidad y forma compacta; las células anormales presentan un citoplasma con escasa basofilia y de aspecto a veces agranular; el núcleo es mucho más grande que en los linfocitos normales y la cromatina nuclear se visualiza finamente punteada y luce muy condensada; el nucléolo es casi desapercibido o está prácticamente ausente.5
Clínicamente, los pacientes inician abruptamente con los síntomas desde los primeros días hasta las pocas semanas; al inhibir la función normal de la medula ósea los pacientes presentan astenia y adinamia causada por la anemia, infecciones secundarias por la neutropenia o, en ciertos casos, fallas en la coagulación debido a la trombocitopenia.6,7,8,9Por otro, lado existen síntomas ocasionados por el efecto de masa (infiltración), como el dolor óseo al infiltrar la medula ósea. Se puede observar linfadenopatía generalizada, esplenomegalia, hepatomegalia y, en ocasiones, puede infiltrar los testículos. Cuando este tipo de cáncer invade las meninges en los pacientes, se pueden observar manifestaciones clínicas del sistema nervioso central tales como cefalea, vómito y parálisis de ciertos nervios.6,7,8,9 El pronóstico en este tipo de leucemia en población pediátrica es alentador, ya que se puede observar un porcentaje alto de remisión (95%) y curación (75-85%), sin embargo existen varios factores que determinan un mal pronóstico, como son: edad menor a 2 años (translocación MLL involucrada), cuenta leucocitaria mayor a 100 000 células (la cual puede reflejar un cáncer de mayor importancia) y presencia del cromosoma Filadelfia.6,7,8,9
Las alteraciones moleculares que se presentan en la leucemia son causadas por múltiples anormalidades genéticas, la caracterización de los puntos de ruptura de las translocaciones recurrentes ha permitido la identificación de los genes involucrados que juegan un rol crítico en la génesis de la leucemia.6Durante el estudio de las LLA se ha podido establecer que las translocaciones más relevantes para los pacientes pediátricos son: TEL-AML1, t(12;21); MLL-AF4, t(4;11); E2A-PBX1 t(1;19) y BCR-ABL menor, t(9;22). A nivel mundial se estima que, aproximadamente, el 50% de las leucemias son causadas por translocaciones moleculares.6,7,8,9
En el presente estudio se llevo a cabo la detección de las translocaciones relevantes en la población pediátrica mexicana, donde se uso primeramente un ensayo de PCR punto final para la detección de estas translocaciones, posteriormente se realizó una PCR en tiempo real siendo una prueba de alta sensibilidad para la detección de estas translocaciones o fusiones génicas.
Métodos
Este estudio se condujo en acuerdo con la Declaración de Helsinki (1964), incluyendo todas las enmiendas hasta la Revisión de Fortaleza, Brasil (2013). El desarrollo de este estudio resguardó la integridad de los pacientes y aseguró la calidad de la información registrada, ya que se apega a las Buenas Prácticas Clínicas (ICH, Guideline for Good Clinical Practice E6) y al Reglamento de la Ley General de Salud en Materia de Investigación para la Salud. Previamente, se autorizó la conducción del estudio por un comité de ética en investigación hospitalario y se realizó el consentimiento informado a cada padre/madre o tutor legal.
Población de estudio
Se recolectaron 91 muestras de sangre procedente de medula ósea de pacientes pediátricos que cumplían con los criterios de diagnostico de leucemia linfoblástica aguda y que fueron atendidos en el Servicio de Hematología Pediátrica del Hospital General “Gaudencio González Garza” del Centro Médico Nacional La Raza.
Controles positivos
Se utilizaron las líneas celulares REH para TEL-AML1, RS4 para MLL-AF4 y SupB15 para BCR-ABL menor. El control positivo para E2A-PBX1 se obtuvo de un paciente pediátrico positivo con leucemia linfocítica aguda y analizado por secuenciación.
Obtención y procesamiento de la muestra
El médico tratante realiza la punción directa para la recolección de 2 ml de sangre de médula ósea. Posteriormente mediante un gradiente de centrifugación con LymphoprepTM, se realiza la separación de células mononucleares, como lo indican las instrucciones del fabricante, y se resguardan a -80 ºC.
Extracción del ARN
El ARN se extrae las células mononucleares o botón, se resuspende en 1 ml de TRIzol® (Ambion), según las instrucciones del fabricante. Al botón se le agrega 30 μl de RNAlater® (Ambion) para estabilizar y proteger el ARN. Finalmente es almacenado a -20 ºC para su posterior uso.
Síntesis de cDNA
Se determinó la cuantificación de ácidos nucleicos y pureza con equipo de espectrofotometría (Nanodrop 2000c, Thermo Scientific®). La concentración de ARN utilizada para cada reacción para llevar a cabo la retrotranscripción, fue 1 μg/μl. Cada una de las muestras contenía un volumen total final de 20 μl. En breve, se adicionó en un microtubo de 0.2 ml, 1 μg de RNA de templado, 1 μl de Oligo dT (0.5 μg), agua libre de RNAasas hasta tener un volumen final de 12 μl. La mezcla es colocada en el termociclador a 65 ºC por 5 minutos y posteriormente se incubó en hielo por 5 minutos. Se agregó 4 μl de Buffer 5X para la síntesis de la primera hebra, 2 μl de dTT (0.1M), 1 μl de mezcla de dNTP’s (10mM) y 1 μl de MML-V RT (200 U). Finalmente, se incubó a 37 ºC por 50 minutos y posteriormente a 70 ºC por 10 minutos. La muestra de cDNA se guardó en un congelador a -20 ºC, hasta su uso.
Reacción en cadena de la polimerasa (PCR) de beta actina
Previo a las amplificaciones específicas, la integridad del cDNA se comprobó mediante la amplificación del gen de Beta actina (Sentido 5’-ATG TGG CCG AGG ACT TTG ATT-3’; antisentido 5’-AGT GGG GTG GCT TTT AAG GAT G-3’) con el siguiente perfil térmico: Un ciclo de desnaturalización a 95 ºC por 1 minuto, posteriormente 35 ciclos donde cada ciclo consistió en desnaturalización a 95 ºC por 1 minuto, alineamiento a 60 ºC por 30 segundos y extensión a 72 ºC por 30 segundos. Finalmente, un ciclo de extensión a 72 ºC por 7 minutos. Los productos esperados de la PCR de 107 pares de bases (pb) fueron analizados en un gel de agarosa teñido con bromuro de etidio al 1.5% en un transiluminador ChemiDoc™ XRS+ System y el Software Image Lab™.
Detección de translocaciones por PCR punto final
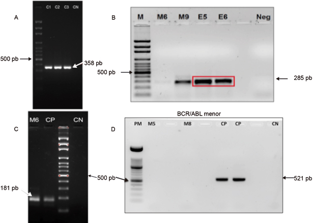
Los juegos de iniciadores que se utilizaron para la amplificación de los productos para TEL-AML1 (sentido 5’-AAG CCC ATC AAC CTC TCT CAT C-3’; antisentido 5’-TGG AAG GCG GCT GAA GC-3’), MLL-AF4 (sentido 5’-AGA ATC AGG TCC AGA GCA GAG C-3’; antisentido 5’-ATG CTG AGA GTC CTT TGT AGG G-3’), E2A-PBX1 (sentido 5’-GCA CAA CCA CGC GGC CC-3’; antisentido 5’-CCA CGC CTT CCG CTA ACA GC-3’) y BCR-ABL menor (sentido 5’-ACC TCA CCT CCA GCG AGG AGG ACT T-3’; antisentido 5’-TCC ACT GGC CAC AAA ATC ATA CAG T-3’) se tomaron de van Dongen et al.10-11 Todas las reacciones se llevaron a un volumen final de 15 μl y utilizando 100 ng de templado para cada muestra. Las concentraciones finales de los reactivos para la mezcla son los siguientes: Buffer de reacción 1X, MgCl 1.5 mM, dNTP’s 0.2 mM cada uno, iniciadores 20 pmol y Taq DNA polimerasa 1 U. Dentro el perfil térmico se utilizaron 2 diferentes temperaturas para optimizar los tiempos de trabajo, para los perfiles térmicos utilizados para la amplificación las translocaciones MLL-AF4, BCR-ABL menor y E2A-PBX1 se utilizó una Tm de alineamiento de 66.5 ºC y para TEL-AML1 una Tm de 67.0 ºC. El perfil térmico incluyó: un ciclo de desnaturalización a 95 ºC por 15 minutos, seguido de 35 ciclos: desnaturalización a 95 ºC por 60 segundos, alineamiento por 60 segundos y extensión a 72 ºC por 60 segundos. Un ciclo con extensión final a 72 ºC por 10 minutos. Los productos obtenidos fueron analizados en un gel de agarosa teñido con bromuro de etidio al 2% en un transiluminador ChemiDoc™ XRS+ System y el Software Image Lab™ (figura 1).

A) Productos de PCR para MLL-AF4 de 385 pb, C1, C2 y C3 son controles positivos de la línea celular RS4. CN, control negativo. B) Productos de PCR para E2A-PBX1. M6: Muestra de pacientes negativa, M9: Muestra de paciente Positiva. E5 y E6: Controles Positivos. Neg: Control Negativo. C) Productos de PCR para TEL-AML1. CP: Control Positivo. CN: Control Negativo. M6: Muestra de Paciente Positiva. D) Productos de PCR para BCR-ABL menor. CP: Control Positivo. CN: Control Negativo. M5 y M8: Muestras de Pacientes negativas. PM: Marcador de peso molecular. Los geles de agarosa al 2% y teñidos con bromuro de etidio. Marcador de pares de bases de 100 pb
Detección de translocaciones por PCR tiempo real
Para la PCR tiempo real, se utilizó el mismo juego de iniciadores para cada una de las translocaciones descritas anteriormente. Las reacciones se llevaron a un volumen final de 25 μl donde se agregaron a concentraciones finales 1X QuantiTec SYBR Green PCR mezcla maestra (Master Mix), juego de iniciadores 300 nM cada uno y 100 ng de cDNA. El perfil térmico que se utilizó fue el siguiente: Un ciclo de desnaturalización a 95 ºC por 15 minutos, posteriormente 40 ciclos con desnaturalización a 95 ºC por 1 minuto, alineamiento a 60 ºC por 30 segundos y extensión a 72 ºC por 30 segundos. Finalmente, un ciclo con una extensión final a 72 ºC por 10 minutos. Todas las reacciones se procesaron en un equipo Applied Biosystems® 7300 Real-Time PCR System. La Tm del alineamiento se basó, de igual manera, en cada una de la translocaciones. La enzima (HotStartTaq® DNA polymerase, Qiagen) contenida en la mezcla maestra, se incubó durante la reacción de PCR 15 minutos a 95 ºC para activarla y se empalma directamente con la desnaturalización inicial del perfil térmico. El termociclador reporta la fluorescencia emitida por el SYBR Green en tiempo real.
Análisis estadístico
Los datos se analizaron mediante estadística descriptiva y medidas de tendencia central con ayuda del programa Excel.
Resultados
Se procesaron 91 muestras de médula ósea de pacientes pediátricos que cumplían con los criterios de diagnóstico de leucemia linfoblástica aguda atendidos en el Servicio de Hematología Pediátrica del Hospital General “Gaudencio González Garza” del Centro Médico Nacional La Raza.
Se realizó detección de translocaciones relevantes por PCR punto final y PCR tiempo real.
La estandarización de la PCR en tiempo real requiere de conocer la cantidad de copias de partida, para establecer una curva estándar que delimite los límites de detección de la prueba (figura 2).12

Se realizaron diluciones de 1:10 hasta obtener una dilución que contenía 1´100 copias por μl. Se corrió una primera PCR tiempo real para determinar el rango dinámico, la eficiencia y el coeficiente de correlación. Los valores obtenidos para la translocación MLL-AF4, se encontró una pendiente o slope: -3.570519, la y-intercept: 38.749809, y la r2: 0.977009. Con base en estos datos se calculó la eficiencia de la prueba mediante la siguiente formula:12
Eficiencia= (10 (-1/slope))-1
Siendo la Eficiencia:
Eficiencia= (10(-1/-3.570519))-1=0.905=90.5%
El resultado evidencia que la prueba tuvo un 90.5% de eficiencia, lo que muestra que durante cada ciclo que avanza, el ensayo copia más del 90% de lo que existía en el ciclo anterior.12 El rango dinámico conseguido en la curva de estandarización fue un límite superior de 1´109 copias a 1´103 copias. Para demostrar la sensibilidad de la prueba, se comparó la curva estándar de la prueba de PCR en tiempo real contra una curva estándar sometida a electroforesis en un gel de agarosa al 2%. El procedimiento anterior se aplicó para todas las translocaciones de interés. Las frecuencia detectadas para TEL-AML1 (7.21%), E2A-PBX1 (5.15%), MLL-AF4 y BCR-ABL menor no fueron detectados (87.64%).
Discusión
Anteriormente la clasificación de riesgo de las leucemias se centraba únicamente en parámetros clínicos, como son la edad y la cuenta de leucocitos al momento del diagnóstico, así como también en la respuesta clínica al tratamiento.13 El entendimiento de la bases moleculares, no solo mejoró el conocimiento del origen de las leucemias, también describió las características de un grupo de pacientes con alteraciones moleculares específicas que presentaban un pronóstico diferente al resto.13 La detección de las translocaciones cromosómicas no solo ayuda a determinar la frecuencia de las mismas, si no que ayuda a establecer un parámetro valioso para asignar protocolos de tratamientos para cada paciente, así como a determinar el pronóstico de los mismos clasificando las leucemias en bajo riesgo y alto riesgo.6,13 La estratificación precisa de los pacientes permitirá modificar los tratamientos de acuerdo a las características moleculares de la enfermedad, con potenciales terapias específicas para cada caso.6,7Las translocaciones, al ser productos de la unión de dos cromosomas, pueden formar isoformas debido a que diferentes puntos ruptura pueden quedar fuera de la detección si no se diseñan los primeros adecuadamente.10 Por ejemplo, es importante mencionar que existen más de 121 tipos de rearreglos para la translocación MLL,14 además de que para las LLA, un 30% de los casos se debe a hiperdiploidia y otro 25% de los casos a translocaciones aleatorias; con lo cual deja aproximadamente un 50% de los casos en donde puede existir un tipo específico de translocación.3,6
La PCR en tiempo real tiene la ventaja de ser una prueba más sensible respecto a la PCR en punto final, como se demostró comparando las diluciones más bajas mediante un gel de agarosa contra la detección de la fluorescencia en la PCR de tiempo real (figura 3). Por lo que el límite inferior de detección en este ensayo fue mayor a 1000 copias.

La detección de las translocaciones propuestas en este estudio por PCR punto final y PCR tiempo real, no mostraron diferencias en su detección. Las translocaciones detectadas fueron las cuatro translocaciones (TEL-AML1, MLL-AF4, BCR-ABL menor y E2A-PBX1) más relevantes reportadas.15,16,17,18
Los datos obtenidos en este estudio, muestran concordancia con los datos mostrados en la literatura. TEL-AML1 (7.21%) se presenta como la translocación más frecuente en la población de pacientes pediátricos que asisten a la consulta del servicio de Hematología, sin embargo, cuando se compara con países desarrollados como Inglaterra (39%), Australia (33%) o Estados Unidos (24%), la frecuencia encontrada en este estudio es baja.6,19 La segunda translocación más frecuente en este estudio fue E2A-PBX1 (5.15%) la cual se asocia con un mal pronóstico y que muestra tener una frecuencia semejante con países desarrollados del 4%.6,20,21 Es importante destacar que en este estudio no se detectó la presencia de la translocación MLL-AF4 de pobre pronóstico y se reportan mundialmente con una frecuencia del 2%.6,14,22,23En cuanto a BCR-ABL menor, no se detectó ningún caso, siendo la frecuencia mundial alrededor del 2%,6sin embargo se ha reportado una baja frecuencia en países en desarrollo como Argentina (1.6%) y Brasil (1.1%).6,17,18 En este estudio, el 84.53% de las translocaciones no fueron detectadas, como es lo esperado, ya que únicamente el 20% de las muestras son detectadas para estas translocaciones en particular.15,16
Es importante observar que la frecuencia de translocaciones de mal pronóstico, como lo es E2A-PBX, se presenta en la población mexicana de manera semejante a lo publicado en población caucásica. Por otra parte, se observa a TEL-AML1, el cual es de buen pronóstico, con una baja frecuencia en la población de estudio.
Creemos que el estandarizar las técnicas de PCR en tiempo real para una adecuada y oportuna detección apoya al clínico en la toma de decisión de la terapia más adecuada para el paciente. Por lo anterior, recomendamos la detección rutinaria de estas translocaciones en el diagnóstico de las LLA en niños mexicanos como ya se tiene implementado en países desarrollados.
Referencias
1. Dirección de Prevención y Tratamiento del Cáncer en la Infancia y la Adolescencia-CeNSIA. Base de datos de cáncer 2007-2008. Información brindada por los Hematólogos y Oncólogos pedíatras de las UMA pertenecientes a la Secretaría de Salud de 31 entidades federativas.
2. Pérez-Saldivar ML, Fajardo-Gutiérrez A, Bernáldez-Ríos R, Martínez-Avalos A, Medina-Sanson A, Espinosa-Hernández L et al. Childhood acute leukemias are frequent in Mexico City: descriptive epidemiology. BMC Cancer. 2011;11:355.
3. Hoffman R, Benz E, Silberstein L, Heslop H, Weitz J, Anastasi J. Hematology. London: Elsevier Health Sciences; 2013.
4. Swerdlow SH, Campo E, Harris NL, Jaffe ES, et al. World Health Organization Classification of Tumors: Pathology and Genetics of Tumors of Hematopoietic and Lymphoid Tissues. Annals of Oncology. 2002; 13(3):490-491.
5. Cotran R, Kumar V, Collins T, Robbins S, et al. Robbins and Cotran Pathologic Basis of Disease, Professional Edition E-Book, 8º edición, Philadelphia: Elsevier; 2010.
6. Pui C, Mullighan C, Evans W, Relling M. Pediatric acute lymphoblastic leukemia: Where are we going and how do we get there?. Blood. 2012;120(6):1165-1174.
7. Pui C. Treatment of acute leukemias: Diagnosis, classification and prognosis; Classification of acute leukemias. Totowa, N.J.: Humana Press; 2003.
8. Pui C, Campana D, Evans W. Childhood acute lymphoblastic leukaemia -current status and future perspectives. The Lancet Oncology. 2001;2(10):597-607.
9. Wood A, Pui C, Evans W. Acute Lymphoblastic Leukemia. New Engl J Medicine. 1998;339(9):605-15.
10. Van Dongen J, Macintyre E, Gabert J, Delabesse E, Rossi V, Saglio G, et al. Standardized RT-PCR analysis of fusion gene transcripts from chromosome aberrations in acute leukemia for detection of minimal residual disease. Leukemia. 1999;13(12):1901-1928.
11. Siraj A, Ozbek U, Sazawal S, Sirma S, Timson G, Al-Nasser A, et al. Preclinical validation of a monochrome real-time multiplex assay for translocations in childhood acute lymphoblastic leukemia. Clin Cancer Res Official J Am Assoc Cancer Res. 2002; 8(12):3832-40.
12. Dorak, M. Real Time PCR. Primera Edición. Reino Unido: Taylor & Francis Group; 2006.
13. Ferrando AA, Look AT. Clinical implications of recurring chromosomal and associated molecular abnormalities in acute lymphoblastic leukemia. Seminars in hematology. 2000;37:381-395.
14. Meyer C, Hofmann J, Burmeister T, Gröger D, Park TS, Emerenciano M et al. The MLL recombinome of acute leukemias in 2013. Leukemia. 2013;27(11): 2165-2176.
15. Bekker-Méndez VC, Miranda-Peralta E, Núñez-Enríquez JC, Olarte-Carrillo I, Guerra-Castillo FX, Pompa-Mera EN et al. Prevalence of Gene Rearrangements in Mexican Children with Acute Lymphoblastic Leukemia: A Population Study-Report from the Mexican Interinstitutional Group for the Identification of the Causes of Childhood Leukemia. BioMed Research International. 2014;2014:210560.
16. Pérez-Vera P, Salas C, Montero-Ruiz O, Frías S, Dehesa G, Jarquín B et al. Analysis of gene rearrangements using a fluorescence in situ hybridization method in Mexican patients with acute lymphoblastic leukemia: experience at a single institution. Cancer Genetics and Cytogenetics. 2008;184(2):94-98.
17. Siraj AK, Kamat S, Gutierrez MI, et al. Frequencies of the major subgroups of precursor B-cell acute lymphoblastic leukemia in Indian children differ from the west. Leukemia. 2003;17(6):1192-1193.
18. Mesquita DR, Córdoba JC, Magalhães IQ, Córdoba MS, Oliveira JRC, Goncalves A et al. Molecular and chromosomal mutations among children with B-lineage lymphoblastic leukemia in Brazil’s Federal District. Genetics and Molecular Research. 2009;8 (1):345-353.
19. Loh ML, Rubnitz JE. TEL/AML1-positive pediatric leukemia: prognostic significance and therapeutic approaches. Curr Opin Hematol. 2002;9(4):345-352.
20. Borkhardt A, Harbott J, Lampert F. Biology and clinical significance of the TEL/AML1 rearrangement. Curr Opin Pediatr, 1999;11(1):33-38.
21. Jiménez-Morales S, Miranda-Peralta E, Saldaña-Alvarez Y, et al. BCR-ABL, ETV6-RUNX1 and E2A-PBX1: Prevalence of the most common acute lymphoblastic leukemia fusion genes in Mexican patients. Leukemia Research. 2008;32(10):1518-1522.
22. Daniel-Cravioto A, Gonzalez-Bonilla CR, Mejia-Arangure JM, Perez-Saldivar ML, Fajardo-Gutierrez A, Jimenez-Hernandez E et al. Genetic rearrangement MLL/AF4 is most frequent in children with acute lymphoblastic leukemias in Mexico City. Leukemia and Lymphoma. 2009;50(8):1352-1360.
23. Meyer C, Hofmann J, Burmeister T, Gröger D, Park TS, Emerenciano M, et al. The MLL recombinome of acute leukemias in 2013. Leukemia. 2013;27(11):2165-76. 2013;27(11):2165767676.76.
Notas de autor
Información adicional
Declaración de conflicto de interés: los autores han completado y enviado la forma traducida al español de la declaración de conflictos potenciales de interés del Comité Internacional de Editores de Revistas Médicas, y no reportaron alguno que tuviera relación con este artículo.