Casos clínicos
Recepción: 10 Septiembre 2019
Aprobación: 16 Diciembre 2019
Resumen:
Introducción: la apoplejía hipofisaria es un síndrome clínico que refleja la existencia de una rápida expansión del contenido selar, comúnmente tributario a un infarto hemorrágico o isquémico en un adenoma hipofisario previo. Esta patología es una complicación poco común y, por lo tanto, infradiagnosticada. Las consecuencias de un retraso en el diagnóstico se traducen en complicaciones funcionales graves e incluso mortales para el paciente.
Caso clínico: se presenta el caso de un paciente hombre de 42 años, el cual inició su padecimiento con un cuadro clínico difuso, caracterizado por cefalea, ambliopía y alteraciones de la conciencia. El diagnóstico se resolvió como apoplejía hipofisaria e hipopituitarismo secundario, cuyo tratamiento se hizo de manera conservadora, con antiinflamatorios esteroideos y sustitución hormonal. El paciente presentó un episodio psicótico inducido por esteroides, esto a causa de las dosis suprafisiológicas utilizadas necesarias para revertir el daño neurológico existente; sin embargo, finalizó en una restitución funcional ad integrum a los 15 días postratamiento médico, sin requerir intervención neuroquirúrgica.
Conclusiones: el caso clínico presentado y su resolución son evidencia clara de la importancia de un diagnóstico oportuno y adecuado, ya que de ser detectado en etapas tempranas y tratado precozmente, de acuerdo con la evolución de la patología, no siempre requerirá intervención quirúrgica, lo cual permitirá una restitución neurológica total.
Palabras clave: Apoplejía, Hipófisis, Apoplejía Hipofisaria, Adenoma.
Abstract:
Background: Pituitary apoplexy is a clinical syndrome reflecting a rapid expansion of sellar content, typically secondary to a stroke in a previous pituitary adenoma. This pathology is a rare complication, and, therefore, underdiagnosed. The consequences of a delay in the diagnosis are translated into serious functional and even deadly complications for the patient.
Case report: We present the case of a 42-year-old male patient, who began his condition with a diffuse clinical setting, characterized by headache, amblyopia, and alterations of consciousness. The diagnosis was pituitary apoplexy, and secondary hypopituitarism, and it was treated in a conservative way, with steroid anti-inflammatories and hormonal substitution. The patient presented a psychotic episode induced by steroids, due to the supraphysiological doses used, necessary to reverse the existing neurological damage; however, it ended in a restitutio ad integrum 15 days after medical treatment, without requiring neuro-surgical intervention.
Conclusions: The clinical case presented and its resolution are clear evidence of the importance of a timely and adequate diagnosis, given that being detected in early stages, and treated early according to the evolution of the pathology, will not always require surgical intervention, allowing a total neurological restitution.
Keywords: Apoplexy, Pituitary, Pituitary Apoplexy, Adenoma.
Introducción
La apoplejía hipofisaria es una condición médica, potencialmente mortal, que no presenta antecedentes clínicos específicos ni un tratamiento estandarizado.1 Esta entidad se describe como un síndrome clínico que refleja la existencia de una rápida expansión del contenido selar,2 comúnmente tributario a un infarto hemorrágico o isquémico3 en un adenoma hipofisario previo (típicamente macroadenoma). Sin embargo, este escenario puede desarrollarse en otro tipo de tumores selares, como los quistes de la bolsa de Rathke (4 al 33%), metástasis, craneofaringioma, así como en hipofisitis o, incluso, en hipófisis sanas.1,4,5,6 Ocurre en el 2 al 12% de todos los pacientes con adenomas pituitarios, con una relación hombre-mujer de 2:1 y, aunque se describe en todas las edades, suele ser más frecuente entre la quinta y la sexta década de la vida. 7,8
Esta patología es un evento poco común y, por lo tanto, infradiagnosticado, con una prevalencia de 6.2 casos por cada 100 000 habitantes,9 y puede llegar a tener una proporción de casos tan baja que oscila entre 1.6 y 9.5%,10dependiendo del estudio consultado.
Esta entidad patológica puede desarrollarse de manera silente, aumentar su tamaño y luego, inesperadamente, volverse sintomática. Dicha sintomatología consta de manifestaciones diversas, que van desde cefalea intensa, discretas alteraciones visuales, náuseas y vómitos, hasta ceguera, alteraciones de la conciencia, estado comatoso y muerte.11 Estos síntomas no se encuentran siempre presentes, siendo la triada de presentación clásica: cefalea intensa, alteraciones visuales y disminución en el estado de alerta (incluso coma y muerte).12
La apoplejía hipofisaria es más propensa a ocurrir en los tumores hipofisarios grandes (como los macroadenomas), mientras que los microadenomas (< 1 cm de diámetro) son menos susceptibles a la hemorragia.13 Debido a los ricos y complejos sistemas vasculares que caracterizan a la hipófisis,14 los adenomas hipofisarios tienen 5.4 más probabilidades de sangrar que cualquier otro tumor cerebral.15
El diagnóstico se realiza mediante pruebas de imagen y determinaciones bioquímicas, siendo la resonancia magnética nuclear con gadolinio como medio de contraste el estándar de oro para el diagnóstico.
El tratamiento conservador típicamente consiste en el reemplazo inmediato de líquidos y electrolitos, además de la administración de glucocorticoides.16 Se recomienda la cirugía en pacientes con deterioro visual, neurológico o cognitivo que evoluciona rápidamente, esto para lograr una rápida descompresión.17,18
Presentación del caso
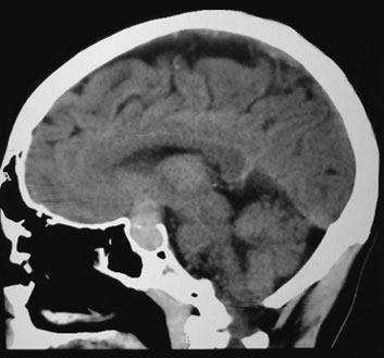
Se describe el caso clínico de un paciente masculino de 42 años de edad, sin antecedentes médicos de importancia, el cual inicia su padecimiento 13 días previos a su ingreso hospitalario con cefalea de moderada intensidad, tipo pulsátil, de predominio frontal y retroorbitario, con intensidad de 5/10 en la escala visual análoga del dolor, así como ambliopía bilateral de predominio izquierdo y fotofobia. Acude a hospital oftalmológico en donde se le realiza diagnóstico de coroidopatía serosa, sin instaurar tratamiento alguno. El cuadro clínico evoluciona continuando con cefalea, la cual aumenta de intensidad, por lo que acude con facultativo, quien recomienda realización de tomografía, en la cual se evidencia una masa hiperdensa de 2.5 x 2 cm, aproximadamente, que ocupa toda la región selar (figura 1).

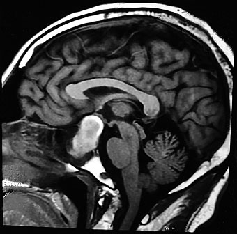
Se establece diagnóstico de macroadenoma hipofisario, y se programa para resolución quirúrgica; sin embargo, dos días previos a su intervención inicia con deterioro neurológico progresivo, caracterizado por somnolencia y dificultad para articular palabras. El médico particular recomienda realizar resonancia magnética nuclear de la silla turca con gadolinio, en la cual se reporta neuritis óptica izquierda, observándose también región hipointensa como manifestación de sangrado hipofisario (figura 2).

Finalmente acude al Instituto Nacional de Neurología y Neurocirugía en donde es valorado e ingresado. A la exploración física de ingreso se observó al paciente orientado en persona, lugar, no así en tiempo, con incapacidad para articular palabras, con borramiento de las líneas frontales y surco nasogeniano, ptosis palpebral izquierda, con ausencia de reflejo fotomotor y consensual ipsilateral, así como exotropía del globo ocular, comisura labial, lengua y úvula con desviación a la izquierda, resto de la exploración sin alteraciones. Se determinaron niveles hormonales que reportaron hipotiroidismo central e hipocortisolismo, instaurándose terapia de sustitución hormonal. A consecuencia de la dosis suprafisiológica de esteroides administrados, el paciente presentó psicosis inducida por esteroides, cuadro que remitió a las 24 horas posteriores. Finalmente, se realizó una resonancia de control en la cual se apreció la disminución del volumen tumoral en 1.5 cm, mientras que las nuevas determinaciones hormonales se encontraron dentro de los parámetros normales, así como la total remisión sindromática. Tres días después se decide su egreso y manejo ambulatorio por parte de los servicios de Endocrinología, Neurocirugía y Oftalmología.
Se obtuvo el consentimiento para la publicación de datos del paciente reportado en el presente escrito.
Discusión
El primer caso de esta patología fue descrito a finales del siglo XIX por Bailey; sin embargo, la definición apoplejía hipofisaria fue creada hasta 1950 por Brougham, Heusner y Adams.1 Este término se ha empleado para referirse al síndrome clínico agudo, potencialmente fatal, caracterizado por la aparición súbita de cefalea, vómitos, alteraciones visuales y disminución del nivel de conciencia provocado por la hemorragia o infarto de la glándula hipofisaria.19
Con menos frecuencia, la apoplejía hipofisaria puede presentarse con síntomas leves e inespecíficos, secundarios a insuficiencia hipofisaria, así como con afectación de nervios craneales II, III, IV, o VI, con alteraciones visuales que persisten durante varios días; o bien, puede ser asintomática y reconocible solo después de realizar una neuroimagen, por lo que se le denomina apoplejía subclínica o subaguda.13
A pesar de que la etiología de esta entidad aún no está dilucidada por completo, se atribuye a una alteración del flujo sanguíneo en el adenoma por oclusión vascular, causada por el crecimiento del tumor,20 con un aumento posterior del riesgo de hemorragia. Suele presentarse de manera espontánea, y se certificaron factores predisponentes únicamente en el 10 al 40% de los casos. Dichos factores se asocian a situaciones que podrían cambiar transitoriamente el suministro vascular a la región selar; estos incluyen: cirugías previas (cardiacas), terapias de radiación, cambios repentinos en la presión intracraneal, anestesia espinal y actividad física.1,8 Asimismo la anticoagulación, la insuficiencia hepática, el embarazo, el traumatismo craneoencefálico,21 el suministro de agonistas dopaminérgicos, las pruebas de estimulación hormonal y la radioterapia hipofisaria pueden facilitar las hemorragias hipofisarias.1,13 Una compresión súbita y prolongada de la arteria hipofisaria superior puede justificar la isquemia eventualmente seguida de daños por reperfusión.13
Winer y Plant informaron sobre los síntomas de aparición subaguda en adenomas endocrinologicamente inactivos o no funcionales, en los cuales se presentan aproximadamente el 70% de las apoplejías hipofisarias.13,22
La historia natural de la enfermedad en el caso clínico presentado fue secuencialmente típica a lo reportado en la literatura, siendo los síntomas más comunes cefalea, náuseas, vómitos, deterioro de la agudeza visual, oftalmoparesia, hipopituitarismo, mareos, confusión e, incluso, coma.13 El paciente presentó la tríada característica de esta entidad23 y los hallazgos tomográficos característicos de macroadenoma hipofisario; sin embargo, el diagnóstico de apoplejía pituitaria fue discretamente retardado. Un diagnóstico clínico e instrumental completo requiere una neuroimagen adecuada, un examen oftalmológico completo y un panel hormonal completo; las imágenes de tomografía computarizada (TC) pueden resaltar una apoplejía hipofisaria solo en el 25-28% de los casos. Es bien sabido que el adenoma hipofisario, que es isodenso al parénquima cerebral, es difícil de diagnosticar en la TC, incluso en caso de hemorragia. La resonancia magnética cerebral es más sensible y permite el reconocimiento de apoplejía hipofisaria en casi el 100% de los pacientes. En el caso de sospecha diagnóstica de apoplejía hipofisaria se debe preferir la resonancia magnética nuclear,13 en la cual se pueden llegar a evidenciar imágenes con forma de "figura de ocho" o "apariencia de muñeco de nieve", ya que la dureza del diafragma de la silla turca crea en el tumor un istmo.24
En cuanto a la histología, no hay evidencia de que determinado tipo histológico de tumor hipofisario sea más susceptible a eventos apoplécticos.13 Aun así, se han propuesto los adenomas secretores de corticotropina como los más propensos a infartarse.21 Sin embargo, en este caso no fue posible establecer el tipo histológico.
A pesar de que el tiempo ligeramente retardado pudo ser un factor detrimental para el paciente reportado, la evolución clínica fue óptima y las secuelas neurológicas inexistentes hasta el momento. Es de crucial importancia señalar las manifestaciones patológicas secundarias esperadas que este paciente presentó, como el hipotiroidismo y la insuficiencia suprarrenal secundaria, así como la parálisis facial periférica que también presentó, siendo esta última no característica de esta enfermedad, pero justificada por el estrés neurológico al que fue sometido. Igualmente merecedores de mención son los diagnósticos diferenciales importantes a considerar en esta patología, los cuales son, pero no están limitados a: meningitis bacteriana, hemorragia subaracnoidea, enfermedad vascular cerebral y ruptura aneurismática.
La combinación de cirugía endoscópica transesfenoidal y terapia de reemplazo hormonal se considera el tratamiento estándar en caso de apoplejía hipofisaria,13siendo esta última, junto con la administración de líquidos, electrolitos y la administración de glucocorticoides, considerada como piedra angular del tratamiento, ya que la insuficiencia suprarrenal secundaria es una causa importante de morbimortalidad.18 Estos se deben administrar después de la toma basal de cortisol y mantenerse a dosis suprafisiológicas, ayudando, de esta manera, a controlar también el edema cerebral característico de esta entidad patológica. El hipotiroidismo, el hipogonadismo y la deficiencia de la hormona del crecimiento son extremadamente frecuentes y pueden ocurrir progresivamente durante semanas, meses o años posteriores al evento agudo.25
Se recomienda la cirugía en los primeros días, cuando se manifiestan las deficiencias visuales o neurológicas, incluso sin deterioro clínico agudo, esto con el propósito de lograr una descompresión rápida.17,18 Sin embargo, la cirugía de emergencia típicamente se reserva para pacientes con deterioro progresivo de la conciencia, compromiso hipotalámico y empeoramiento visual progresivo.1
Sin embargo, en cuanto a la fase aguda, todavía no se tiene una estandarización en la literatura dedicada a esta patología respecto a si el tratamiento conservador o quirúrgico llevan consigo el mejor resultado, por lo que esta decisión se debe gestionar por medio de un equipo multidisciplinario.
Ricciuti et al. proponen un algoritmo para el manejo de los pacientes con apoplejía hipofisaria con tres posibles escenarios de manejo: manejo quirúrgico urgente/temprano, manejo quirúrgico dentro la primera semana y manejo conservador con resonancia magnética a los 15 días posteriores al evento.1 El primero ha de llevarse a cabo en caso de deterioro del nivel de conciencia, ceguera y de que el defecto de agudeza o campos visuales empeore. El segundo, en caso de que el defecto en la agudeza o campos visuales se mantenga estable o se manifieste paresia ocular progresiva, debida al involucro de los nervios craneales III, IV y VI en el seno cavernoso. El tercer escenario se debe llevar a cabo en caso de reducción o estabilización de la paresia ocular, reducción del defecto en agudeza o campos visuales y mejoría de la cefalea.
En el caso presentado se llevó un manejo terapéutico similar al propuesto por Ricciuti et al., ya que se observó una mejoría tanto en la sintomatología oftalmológica como en la cefalea.
El paciente recibió terapia de sustitución tiroidea y adrenal, coincidente con lo reportado en la literatura, la cual establece que más de la mitad de los pacientes afectados requieren terapia hormonal sustitutiva.1
Conclusión
La apoplejía hipofisaria es una complicación poco común de patologías selares (de las cuales el macroadenoma de pituitaria es el más común, como ocurrió en el caso clínico antes expuesto), que por su condición y forma de presentación clínica es subdiagnosticada en etapas tempranas, comprometiendo el pronóstico funcional y vital del paciente que la padece, convirtiéndola así, en una entidad patológica que merece más atención por parte del gremio médico. Sirva la presentación del cuadro clínico mencionado para hacer conciencia de la rareza del mismo, pero sin perder de vista la posibilidad diagnóstica en médicos encargados de la valoración de pacientes en estado agudo. Sugerimos realizar investigaciones de diagnóstico adecuadas y ser conscientes de que la TC de cabeza no siempre permite el reconocimiento de apoplejía hipofisaria. Además, en caso de deficiencias neurológicas inexplicables, se sugiere realizar siempre una resonancia magnética cerebral.
Se ha observado, y es el caso del paciente presentado, que esta patología, de ser abordada diagnóstica y terapéuticamente a tiempo y de manera adecuada, permite una restitutio ad integrum funcional en los pacientes que la padecen.
Referencias
1. Ricciuti R, Nocchi N, Arnaldi G, Polonara G, Luzi M. Pituitary Adenoma Apoplexy: Review of Personal Series. Asian J Neurosurg. 2018;13(3):560-564. DOI: 10.4103/ajns.AJNS_344_16.
2. Fernández Y, Villaseñor E, Sánchez O, Martínez M, Roldán E. Apoplejía pituitaria: Evaluación convencional con resonancia magnética. Med Sur. 2009;16(2):74-8.
3. Català M, Picó A, Tortosa F, Varela C, Gilsanz A, Lucas T, et al. Guía clínica del diagnóstico y tratamiento de la apoplejía hipofisaria. Rev Endocrinol Nutr. 2006;53(1):19-24.
4. Wildemberg L, Glezer A, Bronstein M, Gadelha M. Apoplexy in nonfunctioning pituitary adenomas. Pituitary. 2018;21(2):138-44. DOI: 10.1007/s11102-018-0870-x.
5. Shatri J, Ahmetgjekaj I. Rathke's Cleft Cyst or Pituitary Apoplexy: A Case Report and Literature Review. Maced J Med Sci. 2018;6(3):544-7. DOI: 10.3889/oamjms.2018.115
6. Comuñas F, Al-Ghanem R, Calatayud V. Apoplejía hipofisaria. Neurocirugía. 2003;14(6):483-538. DOI: 10.1016/S1130-1473(03)70508-9
7. Komshiam S, Saket R, Bakhadirov K. Pituitary Apoplexy With Bilateral Oculomotor Nerve Palsy. Neurohospitalist. 2018;8(3):4-5. DOI: 10.1177/1941874418773923
8. Abbara A, Clarke S, Ing P, Milburn J, Joshi D, Comninos A, et al. Clinical and biochemical characteristics of patients presenting with pituitary apoplexy. Endocr Connect. 2018;7(10):1058‑66. DOI: 10.1530/EC-18-0255.
9. Briet C, Salenave S, Bonneville J, Laws E, Chanson P. Pituitary Apoplexy. Endocr Rev. 2015;36(6):622-45. DOI: 10.1210/er.2015-1042
10. Youngbeom S, Yong Hwy K, Yun-Sik D, Jung Hee K, Jin Wook K, Chul-Kee P, et al. The outcomes of pituitary apoplexy with conservative treatment: experiences at a single institution. World Neurosurg. 2018;115:e703-10. DOI: 10.1016/j.wneu.2018.04.139
11. Zoli M, Guaraldi F, Faustini M, Mazzatenta D. Myasthenia gravis imitating pituitary apoplexy in macroprolactinoma. Hormones. 2018;17(3):423-6. DOI: 10.1007/s42000-018-0036-2.
12. Cossuo G, Dimitriou J, Brouland J, Daniel R, Messerer M. An exceptional presentation of pituicytoma apoplexy: A case report. Oncol Lett. 2018;6(1):643-7. DOI: 10.3892/ol.2018.8625.
13. Billeci D, Marton E, Giordan E. Post-traumatic pituitary apoplexy: Case presentation and review of literature. Interdisciplinary Neurosurgery. 2017;7:4-8. DOI: 10.1016/j.inat.2016.10.006
14. Goyal P, Utz M, Gupta N, Kumar Y, Mangla M, Gupta S, et al. Clinical and imaging features of pituitary apoplexy and role of imaging in differentiation of clinical mimics. Quant Imaging Med Surg. 2018;8(2):219-31. DOI: 10.21037/qims.2018.03.08
15. Ranabir S, Baruah M. Pituitary apoplexy. Indian J Endocrinol Metab. 2011;15(3):188-96. DOI: 10.4103/2230-8210.84862.
16. Douleh D, Morone P, Mobley B, Fusco M, Chambless L. Angioplasty is an Effective Treatment for Vasospasm Following Pituitary Apoplexy and Tumor Resection. Cureus. 2018;10(1):e2117. DOI: 10.7759/cureus.2117
17. Lammert A, Walter MS, Giordano FA, Al Zhgloul M, Krämer BK, Nittka S, et al. Neuro-Endocrine Recovery After Pituitary Apoplexy: Prolactin as a Predictive Factor. Exp Clin Endocrinol Diabetes, 2018. DOI: 10.1055/a-0640-2915.
18. Culpin E, Crank M, Igra M, Connolly D, Dimitri P, Mirza S, et al. Pituitary tumour apoplexy within prolactinomas in children: a more aggressive condition? Pituitary. 2018; 21(5):474-9. DOI: 10.1007/s11102-018-0900-8
19. Vicente A, Lecumberri B, Gálvez M. Guía de práctica clínica para el diagnóstico y tratamiento de la apoplejía hipofisaria. Endocrinol Nutr. 2013;60(10):582.e1-12. DOI: 10.1016/j.endonu.2013.04.013
20. Gan L, Ma J, Feng F, Wang Y, Cui J, Guo X, et al. The Predictive Value of Suprasellar Extension for Visual Function Evaluation in Chinese Patients with Nonfunctioning Pituitary Adenoma with Optic Chiasm Compression. World Neurosurg. 2018;116:960-7. DOI: 10.1016/j.wneu.2018.05.141.
21. Gupta P, Dutta P. Landscape of Molecular events in Pituitary Apoplexy. Front Endocrinol (Lausanne). 2018;9:107. DOI: 10.3389/fendo.2018.00107
22. Saberifard J, Yektanezhad T, Assadi M. An Interesting Case of a Spontaneous Resolution of Pituitary Adenoma after Apoplexy. J Belg Soc Radiol. 2015;99(1):101-102. DOI: 10.5334/jbr-btr.851
23. Kawahigashi T, Nishiguchi S. Pituitary apoplexy with a binasal visual field defect. QJM. 2018;111(9):657-8. DOI: 10.1093/qjmed/hcy051.
24. Gupta K, Sahni S, Saggar K, Vashisht G. Evaluation of Clinical and Magnetic Resonance Imaging Profile of Pituitary Macroadenoma: A Prospective Study. J Nat Sci Biol Med. 2018;9(1):34-8. DOI: 10.4103/jnsbm.JNSBM_111_17
25. Slaehi N, Firek A, Munir I. Pituitary Apoplexy Presenting as Ophthalmoplegia and Altered Level of Consciousness without Headache. Case Rep. Endocrinol. 2018;(4):1-6. DOI: 10.1155/2018/7124364
Información adicional
Declaración de conflicto de interés: los autores han completado y enviado la forma traducida al español de la declaración de conflictos potenciales de interés del Comité Internacional de Editores de Revistas Médicas, y no fue reportado alguno que tuviera relación con este artículo.
Cómo citar este artículo: Sánchez-Tinajero Á, Ruiz-Santillán DP. Apoplejía hipofisaria secundaria a macroadenoma hipofisario, un reto diagnóstico. Rev Med Inst Mex Seguro Soc. 2019;57(4):259-63
PubMed: https://www.ncbi.nlm.nih.gov/pubmed/32242651
Enlace alternativo
http://revistamedica.imss.gob.mx/editorial/index.php/revista_medica/article/view/2613/3704 (pdf)