Resumen:
Se presenta un caso de hemangioma intramuscular con flebolitos de lengua en una mujer de 60 años. Clínicamente correspondía a una tumefacción de dos años de evolución, sin signos que sugirieran su origen vascular. Luego de su evaluación inicial se realizó biopsia excéresis de la lesión para su estudio histopatológico. En el estudio histológico se pudo observar una formación tisular redondeada y circunscripta constituida por tejido conjuntivo fibroso con abundantes capilares congestivos que desplazaban el tejido muscular, destacándose la presencia de trombos con calcificaciones dispuestas en capas concéntricas (flebolitos). En base a estos hallazgos morfológicos, el diagnóstico definitivo fue de hemangioma capilar intramuscular con flebolitos de lengua. Para confirmar la naturaleza neoplásica vascular de la lesión se realizó inmunomarcación con el anticuerpo GLUT1. Es de destacar, de acuerdo a la revisión bibliográfica realizada en PubMed, que esta entidad patológica es rara, particularmente en la lengua.
Palabras claves: Hemangioma, Hemangioma Intramuscular, lengua.
Summary:
We present a case of intramuscular hemangioma with tongue phleboliths in a 60-year-old woman. Clinically it corresponded to a swelling of two years of evolution, without signs that suggested its vascular origin. After her initial evaluation, an excisional biopsy of the lesion was performed for histopathological study. In the histological study it was possible to observe a rounded and circumscribed tissue formation made up of fibrous connective tissue with abundant congestive capillaries that displaced the muscle tissue, highlighting the presence of thrombi with calcifications arranged in concentric layers (phleboliths). Based on these morphological findings, the definitive diagnosis was intramuscular capillary hemangioma with tongue phleboliths. To confirm the vascular neoplastic nature of the lesion, histochemical immunostaining was performed with the GLUT1 antibody. It is noteworthy, according to the bibliographic review carried out in PubMed, that this pathological entity is rare, particularly in the tongue.
Keywords: Hemangioma, intramuscular hemangioma, tongue.
Resumo:
Apresentamos um caso de hemangioma intramuscular com flebólitos de língua em uma mulher de 60 anos. Clinicamente, correspondia a um inchaço com duração de dois anos, sem sinais que sugerissem sua origem vascular. Após sua avaliação inicial, foi realizada biópsia excisional da lesão para estudo histopatológico. No estudo histológico pôde-se observar uma formação tecidual arredondada e circunscrita constituída por tecido conjuntivo fibroso com abundantes capilares congestivos que deslocavam o tecido muscular, destacando a presença de trombos com calcificações dispostos em camadas concêntricas (flebólitos). Com base nesses achados morfológicos, o diagnóstico definitivo foi de hemangioma capilar intramuscular com flebólitos de língua. Para confirmar a natureza neoplásica vascular da lesão, foi realizada imunocoloração com o anticorpo GLUT1. Ressalta-se, de acordo com a revisão bibliográfica realizada no PubMed, que esta entidade patológica é rara, principalmente na língua.
Palavras-chave: Hemangioma, Hemangioma Intramuscular, língua.
Reporte de caso
Hemangioma intramuscular con flebolitos de lengua. Reporte de un caso clínico-patológico
Intramuscular hemangioma with phleboliths of the tongue. Report of a clinical-pathological case
Hemangioma intramuscular com flebólitos da língua. Relato de um caso clínico-patológico
Recepción: 22 Agosto 2023
Aprobación: 07 Noviembre 2023
El hemangioma es una neoplasia benigna vascular que se clasifica en función de su sitio de presentación en intraóseo, intramuscular, submucoso, subcutáneo o cutáneo 1,2. Constituye un proceso patológico que se diagnostica a edades tempranas, en los primeros años de la infancia y que involuciona lentamente a lo largo de la vida 1,3,4. Sin embargo, ocasionalmente se manifiesta de forma tardía, como ocurre con el hemangioma intramuscular, debido a su ubicación en planos profundos 1,3,4. Además, con cierta frecuencia puede asociar flebolitos de tamaños variables, solitarios o múltiples 1,2,5-7.
El hemangioma es una neoplasia benigna conformada por una proliferación de vasos sanguíneos que puede ocurrir en cualquier tejido vascularizado, de forma característica suele manifestarse en la etapa neonatal y en la primera infancia 1,2. Además, su transformación maligna es rara, si es que se produce; también, puede encontrarse asociado a algunos síndromes 1. En cabeza y cuello habitualmente se presenta como una lesión solitaria, siendo más frecuente en el género femenino 1,3,8.
La etiología del hemangioma no está bien definida, se cree que se origina a partir de un desequilibrio en el proceso de angiogénesis, producto de la acción de diferentes mediadores químicos, como el factor de crecimiento endotelial vascular (VEGF), el factor de crecimiento de fibroblastos básico (bFGF) y la 2,3-dioxigenasa de indoleamina (IDO1) 1-3,8. Esta asociación etiológica surge a partir de que los mediadores químicos antes mencionados son cuantificados en altas concentraciones durante la etapa proliferativa de la lesión y disminuyen francamente en la etapa de involución 1-3,8.
Otra característica particular de esta lesión es su evolución, donde se reconocen claramente tres etapas 1,2,4,9,10. Inicialmente, la primer etapa, que en la mayoría de los casos ocurre durante el primer mes de vida extrauterina, se encuentra marcada por un rápido crecimiento responsable de que pueda ser percibida clínicamente 1,2,4,9,10. Posteriormente, en una segunda etapa, el hemangioma suele detener su crecimiento, para finalmente iniciar una etapa de involución lenta 1,2,4,9,10. No obstante, ocasionalmente es detectado en etapas más tardías, en el transcurso de la vida, como ocurre con el hemangioma intramuscular, probablemente debido a su ubicación en planos profundos 1,3,4. Además, con menor frecuencia, puede presentar un crecimiento rápido y expansivo, posiblemente asociado al trauma, infección o a cambios endócrinos, como los que ocurren durante la pubertad o el embarazo 2,6,7.
El hemangioma intramuscular es un tumor vascular relativamente raro, representa menos del 1% de todos los hemangiomas y aproximadamente el 20% de estos se encuentran en la región de cabeza y cuello, con predilección por el músculo masetero 4,6,7,11-13. En la cavidad oral se localiza con mayor frecuencia en lengua y labios, manifestándose clínicamente como una tumefacción blanda sin alteración de la mucosa que lo recubre 1,7. El diagnóstico clínico puede ser difícil, debido a la ubicación intramuscular profunda, a su baja incidencia y a la falta de síntomas y signos específicos que orienten a una lesión de origen vascular 6,7.
Como todos los hemangiomas, el hemangioma intramuscular a nivel histológico se clasifica en cavernoso, capilar y mixto 1,2,7,11,12,14. Particularmente, el hemangioma capilar, la variante más frecuente, se encuentra formado por numerosos y pequeños canales vasculares congestivos revestidos por endotelio en proliferación, que en muchos casos llega a ocluir parcial o completamente las luces vasculares 1,2,11,12. Otro subtipo histológico de hemangioma intramuscular es la variante cavernosa, constituida por grandes canales endoteliales irregulares, dilatados y congestivos 1,2,11,12. En ambos patrones morfológicos, de forma característica suele identificarse una cápsula que circunscribe y delimita la lesión 1,2,11,12. Además, con frecuencia las diferentes variantes histológicas pueden incluir otros componentes tisulares, como tejido adiposo, fibroso, óseo y muscular 1,2,11,12.
Para establecer el diagnóstico definitivo de hemangioma se impone realizar la diferenciación con otras anomalías vasculares, lo que resulta difícil en la mayoría de los casos, poder hacerlo solo en base al estudio histopatológico de rutina 1,8,15. La razón de ello es que el hemangioma en su fase proliferativa, donde puede asocia inflamación sobreagregada, se asemeja en el estudio morfológico al granuloma piógeno 1,8,15. Por otra parte, en la fase de involución muestra un patrón histológico similar al de las malformaciones vasculares 1,8,15. Así, para poder realizar un correcto diagnóstico definitivo es necesario contar con una detallada historia clínica, con estudios imagenológicos y complementar en algunos casos, el examen histopatológico de rutina con técnicas de inmunohistoquímica 1,8,15. Particularmente, con respecto a los biomarcadores inmunohistoquímicos, como todas las anomalías vasculares, los hemangiomas son positivos para los anticuerpos expresados por las células endoteliales, como CD34, CD31, CD105 y ERG 1,8,9,15,16. Sin embargo, el hemangioma a diferencia de los otros tumores y malformaciones vasculares expresa el marcador GLUT1 (proteína transportadora de glucosa a las células endoteliales) 1,8,9,15,16.
Particularmente, el hemangioma intramuscular, en un 25% de los casos presenta flebolitos de tamaño variable, solitarios o múltiples 5,6. Los flebolitos corresponden a trombos con calcificación distrófica resultantes del enlentecimiento circulatorio, frecuente en este tipo de tumor 1,2,10-12,17. Los mismos suelen ser hallazgos radiográficos que se pueden visualizar como estructuras circulares laminares de anillos concéntricos, radiopacos y/o radiolúcidos; o bien, como anillos constituidos por una capa periférica radiopaca y un núcleo central radiolúcido 10,18. Específicamente, en el caso de los hemangiomas con flebolitos de cabeza y cuello, se impone el diagnóstico diferencial con otras patologías de la región que asocian calcificaciones, como ser: sialolitos salivales, tonsilolitos, ganglios linfáticos calcificados, miositis calcificante y placas ateroscleróticas carotídeas 6,12,18. Asimismo, un elemento importante que permite diferenciar a los flebolitos de los sialolitos salivales, es que los primeros suelen presentarse como pequeñas calcificaciones múltiples distribuidas aleatoriamente, mientras los segundos, con frecuencia siguen el patrón lineal del conducto que los contiene 19. De hecho, en algunos casos, el diagnóstico definitivo de las lesiones que asocian flebolitos puede ser realizado de forma concluyente a través del estudio de imágenes por tomografía computarizada, resonancia magnética y/o ecografía, prescindiendo del estudio histopatológico 6,20.
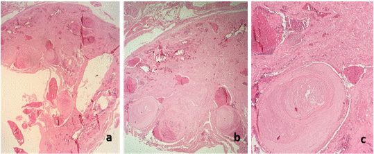
Paciente de sexo femenino, de 60 años, sin antecedentes médicos de relevancia, consultó con cirujano bucomaxilofacial por tumefacción lingual, asintomática, de dos años de evolución. Al examen clínico, presentaba una lesión elevada que modificaba el contorno de cara dorsal y borde lateral derecho de lengua, sin alteración de la mucosa de recubrimiento (Figura 1a). A la palpación, se podía percibir un nódulo de aproximadamente 15 mm de diámetro, firme, blando y móvil, sin frémito y/o pulso. Debido a la ausencia de signos clínicos que orientaran a una lesión de posible origen vascular, no fue considerado este grupo de lesiones en la hipótesis diagnóstica inicial, razón que explica en parte, el hecho de no haber realizado estudios imagenológicos. Así, con el diagnóstico clínico de nódulo lingual, se procedió a efectuar biopsia excéresis de la lesión, que fue remitida para su estudio histopatológico (Figura 1b y 1c).

Al examen macroscópico se pudo observar que la muestra estaba constituida por una pieza tisular redondeada, firme y parda, de 14 mm de diámetro, que al corte mostraba en su interior un contenido pastoso oscuro con elementos blanquecinos calcificados (Figura 2).

A nivel microscópico la muestra estaba constituida por una formación tisular redondeada, bien circunscripta que desplazaba los haces de fibras musculares; conformada por tejido conjuntivo fibroso con abundantes capilares congestivos, exudados inflamatorios crónicos y hemorragia intersticial (Figura 3a). A nivel histológico, en concordancia con lo observado en el estudio macroscópico, se pudo reconocer la presencia de trombos calcificados organizados en estructuras laminares dispuestas de forma concéntrica (flebolitos) con células inflamatorias crónicas y glóbulos rojos (Figura 3b y 3c). En base a estas características histopatológicas, la lesión fue diagnosticada como un hemangioma capilar intramuscular con flebolitos de lengua.

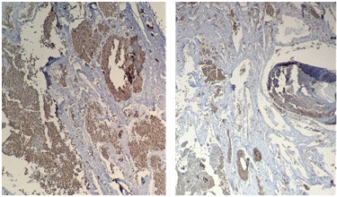
También se realizaron técnicas complementarias, de histoquímica (Tricrómico de Masson) (Figura 4) y de inmunohistoquímica para el anticuerpo GLUT1 (Figura 5), confirmando así el diagnóstico de un tumor de origen vascular.


Luego de 6 años de control clínico la paciente se encuentra bien, sin limitaciones funcionales y sin recidiva de la lesión.
El hemangioma intramuscular con flebolitos de lengua constituye una entidad de partes blandas poco frecuente, cuyo diagnóstico definitivo puede ser realizado en base al examen clínico complementado con estudios imagenológicos, que ponen en evidencia los flebolitos como pequeñas calcificaciones múltiples distribuidas aleatoriamente 4,5,6,8-13,15,16,18-20. Sin embargo, en este caso, como ocurre con frecuencia, no fueron realizados estudios imagenológicos, debido a su baja incidencia en la boca y a su ubicación en planos profundos que imposibilita su reconocimiento como una lesión vascular a través de signos clínicos característicos, como pulso y/o frémito; sino que se procedió a la biopsia excéresis de la lesión6,12. Esta conducta terapéutica y diagnóstica se fundamenta en las características de benignidad de la lesión: un nódulo en borde lateral de lengua, bien circunscripto, sin alteración de la mucosa que lo recubre. También, en los posibles diagnósticos diferenciales que se imponen frente a lesiones con esta presentación clínica, como tumor de células granulares, fibroma, leiomioma y tumor fibroso solitario 14,21.
Asimismo, una vez definido en base a sus características microscópicas la naturaleza vascular de la lesión, se realizó una técnica de inmunohistoquímica para el anticuerpo GLUT1, cuya positividad permitió tipificarla como una neoplasia vascular y descartar que se tratara de una malformación vascular 1,8,15,17.
Es importante destacar que este caso se ajusta en varias características con las descriptas en la bibliografía para el hemangioma intramuscular, como ser el presentarse en lengua, topografía más frecuente en boca; y por corresponder a una paciente de sexo femenino, género que presenta la mayor incidencia de esta patología 1,3,8. Sin embargo, en otros aspectos, se aparta de las características propias de esta entidad; lo que justifica en cierta medida esta publicación. Así, mientras que lo más habitual, en el 90 % de los casos, es su diagnóstico en edades tempranas, particularmente en adolescentes y adultos jóvenes 1,4, el hemangioma intramuscular aquí presentado fue diagnosticado en una paciente de 60 años. Por lo tanto, corresponde al pequeño grupo de hemangiomas que son tipificados en la edad adulta, probablemente por su localización profunda en la lengua, a nivel intramuscular 6. Además, su presentación clínica a una edad avanzada, puede deberse también a la acción de factores locales como el trauma y/o sistémicos como los cambios hormonales 2,12,16.
El caso presentado pone en evidencia qué frente a una lesión nodular ubicada en los planos profundos de la lengua, aún en personas adultas y en ausencia de signos clínicos como pulso o frémito, debe ser considerado el hemangioma intramuscular entre las posibles hipótesis diagnósticas. También destaca el importante rol que tienen los estudios imagenológicos para definir la naturaleza vascular de este tipo de proceso nosológico, así como su extensión anatómica.




