Resumen: Caso clínico: paciente masculino de 30 años de edad, con dolor abdominal de 24 horas de evolución. A la exploración física, abdomen distendido, doloroso en epigastrio e hipocondrio derecho. Paraclínicos indicaron leucocitosis (12.400/cc), elevación de amilasa 3.2 N, lipasa 6.8 N, PCR de 192 mg/dl y procalcitonina de 0,136 ng/ml. El ultrasonido de abdomen sin signos dilatación de la vía biliar intra y extra hepática. La tomografía simple y contrastada de abdomen reportó un Baltazar C. El dolor epigástrico persistente motivó a la realización de una endoscopia digestiva alta, en la misma que se evidenció un ejemplar de Ascaris enclavado en la papila duodenal el mismo que fue retirado con una pinza asa para cuerpo extraño. Conclusiones: la parasitosis intestinal es causa importante de obstrucción de la vía biliar y abdomen agudo inflamatorio, que requiere de oportuna atención en el enfermo.
Palabras clave:pancreatitispancreatitis,ascariasisascariasis,tracto biliartracto biliar.
Abstract: Clinical case: male patient of 30 years of age, with abdominal pain of 24 hours of evolution. Physical examination showed distended abdomen, painful epigastrium and right hypochondrium. Paraclinics indicated leukocytosis (12,400 / cc), elevation of amylase 3.2 N, lipase 6.8 N, CRP of 192 mg / dl and procalcitonin of 0.136 ng / ml. Ultrasound of the abdomen showed absence of dilation signs of the biliary tract intra and extra hepatic ascariasis. The simple and contrasted abdomen tomography reported a Baltazar C. The persistent epigastric pain motivated the performance of an upper digestive endoscopy; it was observed a specimen of ascaris nestled in the duodenal papilla which was removed with a handle clamp for a foreign body. Conclusions: intestinal parasitosis is an important cause of obstruction of the bile duct and acute inflammatory abdomen, which requires timely attention in the patient.
Keywords: pancreatitis, ascariasis, biliary tract.
Artículos de presentación de casos
Pancreatitis aguda por Ascaris Lumbricoides: presentación de un caso clínico
Acute pancreatitis due to Ascaris Lumbricoides: presentation of a clinical case

Recepción: 02 Febrero 2018
Aprobación: 03 Mayo 2018
La pancreatitis aguda constituye un proceso inflamatorio del páncreas de inicio rápido que puede comprometer múltiples órganos y sistemas (respiratorio, renal, cardiovascular); cuya severidad se define atendiendo a los criterios de Atlanta, mediante la escala modificada de Marshall y su pronóstico se establece con los sistemas de puntuaciones de BISAP, Ranson y APACHE II. Existen tres elementos que determinan el diagnóstico de pancreatitis aguda: a) cuadro clínico, b) elevación de enzimas pancreáticas, y c) estudios de imagen. Esta última resulta necesaria para definir la etiología biliar, pero su normalidad no excluye el diagnóstico.(1,2,3)
En la evaluación de un paciente con esa patología, se requiere identificar la etiología, siendo idiopática en al menos un 10-25% de los casos. Las causas más frecuentes son: la colelitiasis (40-70% de los casos) y el consumo por más de 5 años, en una cantidad superior a los 50 gramos/día de alcohol (25-35%); aunque con menor frecuencia se puede mencionar el consumo de drogas como corticoides, opiodes, valproato (5%), y la hipertrigliceridemia (1-4%).(1,3)
Independientemente de su etiología, las manifestaciones clínicas de la pancreatitis aguda son: dolor abdominal tipo cólico en epigastrio, hipocondrio derecho/izquierdo, el que irradia en forma de hemicinturón hacia la región posterior; puede estar acompañado de náusea, vómito, distensión abdominal, ictericia, taquicardia, taquipnea, hipotensión, alza térmica, calambres musculares y malestar general. La confirmación del diagnóstico ante ese cuadro clínico se hará al determinar la elevación a más de 3 veces el valor normal (N) en los niveles de enzimas pancreáticas, así como de amilasa y lipasa; siendo esta última, la más específica, pudiendo persistir elevada hasta 2 semanas después del inicio del cuadro, por lo que no debe ser utiliza-da con fines de valorar la evolución de la enfermedad, para eso tienen mayor importancia el hemograma, los marcadores inflamatorios (PCR cuantitativo) y la procalcitonina.(3)
El abordaje terapéutico recomendado consiste en la restricción de la vía oral, medidas de hidratación de forma significativa (2500 a 4000 ml/24 horas, salvo contraindicaciones) con Lactato Ringer y la analgesia con AINES, paracetamol u opiodes; estos últimos recomendados a pesar del riesgo teórico de espasmo del esfínter de Oddi, lo que presumiblemente podía exacerbar cuadros de pancreatitis aguda de origen biliar.(4) Al respecto, una revisión sistemática del grupo Cochrane en 2013(4) establece la seguridad del uso de opioides débiles y fuertes en el manejo del dolor por pancreatitis aguda de cualquier etiología.
En Ecuador, principalmente en zonas rurales con bajos niveles de condiciones socioeconómicas, la insuficiencia en la higiene y consumo de alimentos y agua constituye un factor de riesgo significativo para adquirir parasitosis intestinal. Contexto en el cual, la helmintiasis resulta una de las más frecuentes; aunque esta no es una patología privativa de esos entornos también pueden estar expuestos quienes se expongan a este elemento predisponente debido a cuestiones económicas, educativas, culturales, laborales y geográficas. Cuando la infestación por parásitos adultos es alarmante en el cuerpo humano, muchos de ellos buscan un hábitat en los diferentes compartimentos y órganos internos, así la ascariasis puede invadir conductos o vías biliares provocando cuadros obstructivos, que pueden conducir a la presentación de un cuadro de abdomen agudo inflamatorio.(5-7)
Así, el caso que se presenta corresponde a un paciente ecuatoriano con pancreatitis aguda por Ascaris Lumbricoides. El diagnóstico y tratamiento de esta entidad puede ser difícil, por lo que se considera pertinente compartir esta experiencia sobre su presentación clínica hepatobiliar y pancreática.(5)
Caso de Pancreatitis Aguda por ascariasis, reportado en el Servicio de Gastroenterología del Hospital de la Policía-Quito Nº1, tras la realización de un estudio clínico y diagnóstico minucioso se confirmó la presencia de un ejemplar de Ascaris Lumbricoide en el interior de la vía biliar del paciente. Las particularidades se describen a continuación:
Paciente de sexo masculino, de nacionalidad ecuatoriana, 30 años de edad, nacido en Guayaquil y residente en Quito.
Ocupación: policía con grado de teniente.
Nivel de instrucción: secundaria completa.
Etnia: mestizo.
Acude por dolor abdominal con 24 horas de evolución, localizado en epigastrio e hipocondrio derecho, que irradia en forma hemicinturón hacia la espalda, de tipo cólico con moderada intensidad (escala visual analógica 6/10), el que no se modifica al alimentarse y se acompaña de náusea y vómito tras la ingesta de lácteos.
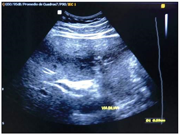
A la exploración física, se encontró estabilidad hemodinámica, semihidratación, anictérico, álgico, abdomen distendido y doloroso a la palpación profunda en epigastrio e hipocondrio derecho con ruidos hidroaéreos disminuidos. Los exámenes de laboratorio al ingreso indicaron leucocitosis (12400/cc), elevación de amilasa a la 3.2 N, lipasa a la 6.8 N, pruebas de función y lesión hepática dentro de parámetros normales, ligera elevación de fosfatasa alcalina y GGT, sin ictericia, PCR de 192 mg/dl y procalcitonina de 0,136 ng/ml (anexos, tabla 1). El ultrasonido de abdomen superior reportó vesícula biliar distendida alitiásica, sin signos dilatación de la vía biliar intra y extra hepática (anexos, figura 1). Se estableció en diagnóstico de pancreatitis aguda alitiásica; la que, de acuerdo con las escalas de gravedad de Ranson, Apache II, BISAP y Marshall modificado, fue de tipo leve.
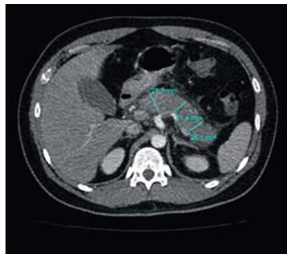
El tratamiento inicial consistió en ayuno, hidratación parenteral, analgesia, antiemético y protección gástrica. Estudios posteriores a las 48 y 72 horas revelaron la existencia de una marcada leucocitosis con neutrofilia y eosinofilia, perfil lipídico normal, un Ranson de 2, a la vez que no se reportaba la mejoría clínica esperada, debido a la persistencia del dolor y distensión abdominal con presencia de alza térmica; por esa razón se solicitó tomografía simple y contrastada dinámica de la región abdominal en busca de posibles complicaciones, el informe reportó un páncreas aumentado de tamaño, con bordes irregulares e infiltración de grasa peri pancreática (Baltazar C) (anexos, figura 2).
Al tercer día de hospitalización, el dolor epigástrico persistente y el antecedente de melenas motivó la realización de una endoscopia digestiva alta, a través de la cual se evidenció un ejemplar de Ascaris enclavado en la papila duodenal que fue retirado con una pinza asa para cuerpo extraño (anexos, figura 3).
La colangioresonancia posterior, no evidenció parásitos residuales, ni obstrucción de la vía biliar (anexos, figura 4). Consecuentemente, la conducta terapéutica seguida fue iniciar antibioticoterapia utilizando Ampicilina/Sulbactam (por el alto riesgo de colangitis); así como antihelmíntico mediante albendazol.
El cuadro clínico mejoró en las 24-48 horas posteriores a la extracción del parásito, de igual manera los niveles de PCR y leucocitos comenzaron a descender hacia parámetros normales. Fue egresado de la unidad a los 8 días de su ingreso, con mejoría clínica evidente, sin dolor abdominal y buena tolerancia oral.
La ascariasis constituye una infección provocada por un helminto nematodo llamado Ascaris Lumbricoides; que resulta en áreas tropicales, particularmente en Asia y en la zona del Pacífico Occidental.(6-8)
La transmisión de esa patología ocurre primariamente por ingestión de agua o alimentos contaminados por huevos de su agente causal. Comúnmente, los pacientes permanecen asintomáticos hasta la fase intestinal adulta del parásito (hepatobiliar, intestinal, invasión pancreática); aunque, también puede ocurrir en la etapa de migración larvaria (manifestaciones pulmonares). Así, la adquisición de la infección por Ascaris puede ocurrir por los siguientes mecanismos:(9)
Ingestión de huevos secretados en heces fecales humanas (Ascaris Lumbricoides) o de cerdos (Ascaris Suum). Los huevos deben pasar a fase embrionaria en el suelo para ser infecciosos.
Ingerir larvas de Ascaris Suum presentes en el hígado de pollos o cerdos.
En Ecuador, la forma de presentación más frecuente es por Ascaris Lumbricoides. Una vez infectado el huésped, el parásito reside en el intestino (yeyuno) en su forma adulta, pero puede trasladarse activamente e invadir la papila, para posteriormente migrar al conducto biliar, donde provoca su obstrucción, además de una serie de complicaciones hepatobiliares tales como: cólico biliar (56%), colangitis aguda (24%), colecistitis aguda (13%), pancreatitis aguda (6%) y absceso hepático (menos del 1%).(10,11)
El diagnóstico en esas circunstancias, suele realizarse mediante el ultrasonido (dilatación de la vía biliar común, signo de las cuatro líneas o en rieles de tren); también resulta posible identificarse a través de colangiopancreatografía endoscópica retrógrada (CPRE), el que constituye un método altamente sensible para ese fin.(12) Durante la endoscopia, estas lombrices pueden ser vistas en el duodeno, frecuentemente alrededor de la ampolla de Vater, tal y como ocurrió en el caso que se presenta. (13)
La extracción del parásito es relativamente sencilla cuando este protruye hacia la papila, mediante el uso de una pinza de agarre o de cuerpo extraño. (14) En los casos que las lombrices permanecen de forma completa en el interior de la vía biliar, se puede estimular su salida a través de la papila utilizando una inyección de contraste vía endoscópica o empleando una canastilla o balón de oclusión.(15) Como alternativa, el gusano puede sujetarse sutilmente con una canastilla de Dormia, localizada en el interior del duodeno y posteriormente removerlos con una pinza de asa o agarre.(16)
En cualquier caso, la extracción debe ser completa, sin dejar remanentes o residuos que podrían formar cálculos que ocasionarían otro cuadro obstructivo; por lo que no se recomienda la polipectomía debido a la posibilidad de cortar el gusano.(17) Al respecto, resulta debatible el uso de esfinteretomía endoscópica para removerlo, atendiendo al potencial riesgo de ampliar la abertura facilitando el ingreso de nuevos parásitos al interior del árbol biliar.(14,17) Algunos estudios(18,19) reportan la presencia de ascariasis pancreatobiliar luego de esfinterectomía o colecistectomía previa.
Una vez retirado el gusano, aproximadamente, en el 80% de los casos se evidencia una mejoría significativa del cuadro clínico.(19) Sin embargo, ocasionalmente, la infección inicial se asocia con cálculos o estructuras residuales que no son detectables por vía endoscópica;(16) Razón por la cual se recomienda instaurar terapia farmacológica antihelmíntica que erradique posibles remanentes del parásito: dosis única de albendazol 400 mg o mebendazol 500 mg. (20)
La presencia de dolor abdominal persistente (epigastrio e hipocondrio derecho), náusea, vómito con disminución en la eliminación de gases que no mejora dentro de las primeras 48h con el manejo habitual, en el contexto de pancreatitis aguda leve; nos orienta a descartar etiología parasitaria.
El adecuado manejo clínico y terapéutico conservador, la evacuación espontánea o extracción del parásito resulta eficiente en el tratamiento de la pancreatitis biliar por Ascaris.



Hígado de morfología normal, tamaño, ecoestructura normal. Vesícula biliar distendida, sin imágenes litiásicas en su interior. Vías biliares intra y extra hepáticas sin signos de dilatación.

Páncreas con bordes discretamente irregulares, con incremento de tamaño a nivel de cabeza cuerpo y cola; infiltración de grasa peri pancreática (Baltazar C)

Áscaris a nivel de papila duodenal Áscaris de 17,3 cm de longitud

Vesícula y vía biliar sin evidencia de obstrucción, ni parásitos residuales
Conflictos de intereses: los autores declaran que no existen
Declaración de contribución: HF Ortega trabajó en la concepción, edición y en la redacción final. JC Piedra realizó labores específicas en la redacción final. R Polit participó en la obtención de datos y realización de procedimiento diagnóstico.
hect_fabian@hotmai1.com



Hígado de morfología normal, tamaño, ecoestructura normal. Vesícula biliar distendida, sin imágenes litiásicas en su interior. Vías biliares intra y extra hepáticas sin signos de dilatación.

Páncreas con bordes discretamente irregulares, con incremento de tamaño a nivel de cabeza cuerpo y cola; infiltración de grasa peri pancreática (Baltazar C)

Áscaris a nivel de papila duodenal Áscaris de 17,3 cm de longitud

Vesícula y vía biliar sin evidencia de obstrucción, ni parásitos residuales