Artículos de presentación de casos

Recepción: 21 Enero 2019
Aprobación: 19 Junio 2019
DOI: https://doi.org/10.37135/ee.004.06.08
Resumen: La fibrosis quística constituye una enfermedad autosómica recesiva producida por una alteración del brazo largo del cromosoma 7 (7q31.2). Al respecto se presenta el caso de una paciente de género femenino de 10 años, que acude a una institución de salud del segundo nivel de atención, por presentar dolor abdominal tipo cólico que inicia en epigastrio y se irradia a hipocondrio bilateral; la misma que presenta diagnóstico de fibrosis quística con tres años de evolución; cuyos valores de amilasa y lipasa permitieron establecer diagnóstico presuntivo de pancreatitis, complicación que no resulta frecuente en pacientes pediátricos. El cuadro clínico permitió observar particularidades que le hacen inusual para ese grupo etario, al observarse complicaciones respiratorias y al desarrollo de pancreatitis. Los protocolos de manejo de la enfermedad, seguidos en las instituciones médicas involucradas, estuvieron acorde con los estándares establecidos a nivel nacional e internacional.
Palabras clave: fibrosis quística, pancreatitis, neumonía, informes de casos.
Abstract: Cystic fibrosis is an autosomal recessive disease produced by an alteration of the long arm of chromosome 7 (7q31.2). In this regard, it was presented the case of a female patient of 10 years of age who went to a health institution of the second level of care due to colic abdominal pain that began in the epigastrium and radiated to bilateral hypochondrium. The same one presented a diagnosis of cystic fibrosis with three years of evolution; whose amylase and lipase values allowed to establish a presumptive diagnosis of pancreatitis, a complication that is not frequent in pediatric patients. The clinical picture allowed to observe peculiarities that make it unusual for this age group due to respiratory complications and the development of pancreatitis. The disease management protocols, followed by the medical institutions involved were in accordance with the standards established at the national and international levels.
Keywords: Cystic Fibrosis, Pancreatitis, Pneumonia, Case Reports.
INTRODUCCIÓN
La fibrosis quística constituye una enfermedad autosómica recesiva producida por una alteración del brazo largo del cromosoma 7 (7q31.2).(1,2) Esta induce alteraciones hidroelectrolíticas en las secreciones de las glándulas de vías respiratorias, digestivas, de las glándulas sudoríparas y del aparato genitourinario, lo que podrá conducir a infecciones crónicas.(3)
Esa patología se presenta mayormente y con más letalidad en la raza caucásica, se calcula que en una tasa de 1 por cada 2.500 nacidos vivos.(4) Sin embargo, en los individuos de raza negra resulta mucho menor, en los que se estima una incidencia de 1 por cada 17.000 nacidos vivos.(5)
En el contexto latinoamericano existen pocos estudios que evalúan la frecuencia de la enfermedad, encontrándose datos de Uruguay donde la prevalencia es de 6.9 por cada 100.000 habitantes;(6) en el Ecuador, la prevalencia se estima en 1 caso en 11.100 nacidos vivos.(7)
La inexistencia de unidades especializadas en el tratamiento de la fibrosis quística en el contexto ecuatoriano, por lo que las cifras revelaban una alta mortalidad en los primeros años de vida. Desde el 2011 en el Hospital Eugenio Espejo viene funcionando la Clínica de Fibrosis Quística donde valoran a los pacientes un otorrinolaringólogo, un fisioterapista, un nutricionista, un gastroenterólogo, un neumólogo y un psicólogo mientras que en el Hospital Baca Ortiz no existe un centro especializado en esta enfermedad.(4) En la actualidad existen considerables diferencias en cuanto a la supervivencia debido básicamente a factores socioeconómicos donde la expectativa de vida es de 41 años en el Ecuador.(5)
La evolución y el pronóstico de los pacientes con fibrosis quística dependen del tipo de mutación genética, edad, estado nutricional y respuesta ante el tratamiento antibiótico.(8) Al respecto, se presenta un caso de una niña diagnosticada de fibrosis quística que desarrolló una complicación de pancreatitis.
DESARROLLO
Paciente femenina de 10 años, mestiza, tipo de sangre O Rh +, producto de una cuarta gesta por parto cefalovaginal.
Antecedente patológico personal
Diagnóstico de fibrosis quística con tres años de evolución.
Hospitalizada 5 ocasiones por complicaciones de neumonía a repetición.
Durante la última hospitalización los exámenes de laboratorio clínico arrojaron la presencia de Ps. Aeruginosa.
La paciente acude a una institución de salud del segundo nivel de atención, por presentar dolor abdominal dolor abdominal tipo cólico que inicia en epigastrio y se irradia a hipocondrio bilateral con fecha aparente de evolución de 2 días; aunque la madre refirió que desde hace un mes venía presentando ese cuadro, acompañado de náuseas y vómitos postprandiales, deposiciones voluminosas fétidas y tos (seca en un inicio y con expectoración verdosa desde los días previos al ingreso hospitalario); adicionalmente, declararon existencia de alza térmica no cuantificada, decaimiento y malestar general.
Al examen físico durante el ingreso
Signos vitales
Frecuencia respiratoria: 35 por minuto.
Frecuencia cardiaca: 153 latidos por minuto.
Temperatura axilar: 38°C.
Saturación: 80% aire ambiente.
Apariencia general
Estado nutricional: en desviación z-2 atendiendo a peso y talla.
Piel y conjuntivas pálidas.
Hipertrofia de cornetes bilateral.
Tórax
Simétrico, con presencia de retracciones subcostales e intercostales, crepitantes en base pulmonar derecha, y reales en ambos campos pulmonares, ruidos cardiacos rítmicos de buen tono, soplo sistólico grado III/VI en mesocardio, no roce, no r3, r4.
Abdomen
Distendido, doloroso a la palpación difusa y superficial, ruidos hidroaéreos aumentados.
Miembros superiores
A nivel palmar se evidencia palidez y cianosis ungueal en vidrio de reloj.
Los valores de amilasa y lipasa permitieron establecer diagnóstico de pancreatitis, complicación que no resulta frecuente en pacientes pediátricos.
Cultivo de secreción faríngea:
Informe refleja presencia de Streptococo Viridans Neisseria spp.
Germen: Speudomona.
Sensible: gentamicina, ceftriaxona.
Resistente: ampicilina.
Cultivo de baar: por 1 muestra: negativo.
Coproparasitario: negativo de infección.
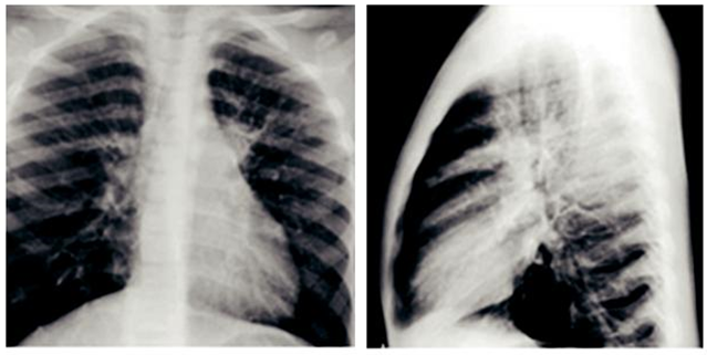
Radiografía de tórax (figuras 1A y 1B)
Presencia de infiltrado alveolar en ambos campos pulmonares.
Hilios pulmonares congestivos.
Incremento de la trama bronco vascular bilateral.
Cardiomegalia ligera.

Ecocardiograma
VD y AD dilatado con carga de volumen moderado, HTP moderada 48 mmhg, CIA amplia de 2,35 cm, ostium secundum, con cortocircuito de izquierda a derecha moderado. Qp/qs -2,80-1.00.
Tomografía de tórax
Evidencias de bronquiectasias hasta más allá de novena generación de bronquios, engrosamiento de pared bronquial y taponamiento mucoso bilateral. Zonas de atelectasias en segmento superior del lóbulo inferior derecho con bronquiectasias en su interior.
Eco abdominal
Esteatosis hepática, resto normal.
Tratamiento al ingreso y durante los primeros tres días de hospitalización
Antibióticoterapia con ampicilina; además, recibió oxigenoterapia, terapia respiratoria con salbutamol, nebulizaciones con solución hipertónica al 3% y dornase alfa, multivitaminas, digoxina y furosemida
Tratamiento en los 7 días posteriores
Cambio de antibióticoterapia a ceftriaxona, ceftazidima, amikacina y oxacilina; manteniendo el resto del tratamiento que se venía administrando.
Evolución
La paciente fue transferida a una institución del tercer nivel con un estado de mejoría aparentemente. Al momento de generarse la publicación, la niña se encontraba bajo tratamiento continuo, acompañado de controles en instituciones de salud del tercer nivel, con pronóstico reservado debido a la presencia de complicaciones pulmonares y digestivas; aunque mantiene condiciones estables.
DISCUSIÓN
La fibrosis quística se reconoce como una patología hereditaria compleja; su evolución natural resulta invariablemente en una degeneración que conlleva a la muerte temprana del paciente.(9) Esta se inicia debido a una alteración de la conducción del cloro, producida a consecuencia de mutaciones a nivel de la proteína de regulación transmembrana; cuya sintomatología clínica clásica dependerá del nivel de actividad de dicha proteína.(10)
Las complicaciones pulmonares y digestivas que se presentaron en la niña del caso abordado resultaron las más graves; se manifestó pancreatitis, la que es una complicación infrecuente en esa etapa del desarrollo de la persona.
Ante un cuadro clínico de dolor abdominal acompañado de vómitos, el médico debe indicar exámenes que le permitan comprobar un diagnóstico presuntivo de pancreatitis a través de los niveles de amilasa y lipasa séricas.(11)
La aparición de enfermedades pulmonares a repetición en edad preescolar constituye un cuadro clínico clásico de la fibrosis quística, en el que rara vez se observa insuficiencia pancreática;(12) Aunque Suárez Cortina et al. afirman que la mayoría de los casos permanecen asintomáticos hasta la edad adulta, en la que debutan con problemas hepáticos, momento en el que comienzan a desarrollarse algunas complicaciones propias de la enfermedad.(13)
La pancreatitis aparece debido a secreciones viscosas con déficit de agua y bicarbonato que taponan los conductos intralobulares, dando un reemplazo de acinos con tejido fibroso lo que produce la atrofia progresiva de la glándula pancreática.(14) Estas alteraciones pueden comprobarse en exámenes de laboratorio clínico al determinarse aumento de los niveles de transaminasas, fosfatasa alcalina y gammaglutil transpeptidasa; además, a través de un eco abdominal se puede evidenciar esteatosis cirrosis y alteraciones de parénquimas.(15)
Al resultar menos tóxica por ser más rica en ácidos biliares hidrófílicos, Fielbaum recomienda tratar la patología mediante la administración de ácido ursodeoxicólico a 20 mg/kg cada doce horas, para acortar la viscosidad de la secreción biliar, aumentando su fluidez.(16) Aquellos pacientes con insuficiencia o alteración pancreática deben seguir tratamiento con enzimas pancreáticas.(17)
Las secreciones mucosas obstruyen las vías respiratorias y originan infecciones respiratorias recurrentes (incluso abscesos pulmonares), cuyos agentes etiológicos son Staphylococcus aureus o Pseudomona aeruginosa.(18) En la paciente estudiada, se constató la presencia de ese último germen previo al contagio de Streptococo Viridans Neisseria.
En el páncreas coexiste una obstrucción de los conductos, con fibrosis y atrofia de las glándulas exocrinas, lo que tropieza el paso de las enzimas pancreáticas al intestino, por eso los niños presentan a menudo trastornos graves de la digestión y absorción de los alimentos, especialmente las grasas y las vitaminas liposolubles A y D; lo que puede conducir a la desnutrición y atrofia muscular,(19) tal y como se observó en el caso en cuestión.
La terapia respiratoria resulta imprescindible durante el tratamiento de la fibrosis quística, cuyas diversas formas deben realizarse al menos, entre una y tres veces al día desde el momento del diagnóstico, cuya frecuencia se aumentará durante períodos de crisis. Al respecto, se recomienda la utilización de mucolíticos tales como la solución salina hipertónica al 5%.(20)
Contrariamente al caso que se presenta, la pancreatitis en niños es poco frecuente, esta entidad tiene mayor incidencia en adolescentes y adultos.(21) Las guías de práctica clínica recomiendan el tratamiento y controles continuos en estos pacientes, sobre todo si se desarrollan complicaciones pulmonares y digestivas. En Ecuador, estos protocolos están establecidos para hospitales de tercer nivel, lo que ha permitido elevar las expectativas de vida de los afectados a estándares similares a los de Estados Unidos o Europa.(22)
CONCLUSIONES
El cuadro clínico de la paciente pediátrica del caso de fibrosis quística que se presenta permitió observar particularidades que le hacen inusual para ese grupo etario, al observarse complicaciones respiratorias y el desarrollo de pancreatitis. Los protocolos de manejo de la enfermedad, seguidos en las instituciones médicas involucradas, estuvieron acorde con los estándares establecidos a nivel nacional e internacional, obteniéndose los resultados esperados atendiendo a las características del caso en cuestión.
REFERENCIAS BIBLIOGRÁFICAS
1. Caussade S, Boza M, Castaños C, Jorquera P, León A, Linares M, et al. Neumología- Fibrosis Quística. Neumol. Pediátrica [Internet]. 2016 [citado 2018 Dic 24]; 11(1): 5–9. Disponible en: http://www.neumologia-pediatrica.cl/wp-content/uploads/2017/07/2016-11-1.pdf. DOI: 10.4067/S0370-41062018005000303
2. Álvarez BR, Quintero S. Evaluación del grado de afectación del crecimiento pondoestatural como efecto de la fibrosis quística pancreática en infantes de 0 días de nacidos hasta los años, que asisten a las Instituciones Prestadoras de Salud en Barranquilla (Centro de Atención Pulmonar: Clínica Porto Azúl) entre 2013-2015. Rev. Gastrohnup [Internet]. 2015 [citado 2018 Dic 15]; 17(3) Supl. 3: S5-S12. Disponible en: http://revistas.univalle.edu.co/index.php/gastrohnup/article/view/1371/1478. DOI: https://doi.org/10.25100/gnup.-v17i3S3.1371
3. Savant A, McColley S. 2014 year in review: Cystic fibrosis. Pediatr Pulmonol [Internet]. 2015;50(11):1147–56. [citado2018 Dic 17], 2015; Disponible en: https://www.ncbi.nlm.nih.gov/pubmed/26347000. https://doi.org/10.1002/ppul.21374.
4. Sojo-Aguirre A, Martínez-Ezquerra N, Bousoño-García C, García-Novo S, Heredia-González J, López-Manzanares F, Baranda-García C, Vázquez C. Pancreatitis in cystic fibrosis: association with genotype and pancreatic status. Anales de Pediatría [Internet]. 2011 [citado 2018 Dic 18] Disponible en:http://www.analesdepediatria.org/es-pancreatitis-fibrosis-quistica-correlacion-con-articulo-S1695403311003481. DOI: 10.1016/j.anpe-di.2011.06.005
5. García S, Roldán M, Pérez López I, Lugo A. Plan De Cuidados En La Fibrosis Quística. Biblioteca las Casas [Internet]. 2015 [citado 2018 Dic 21]; 11(3). Disponible en: http://www.index-f.com/lascasas/documentos/lc0850.pdf.
6. Salcedo Lobato E, Luna Paredes M, Martínez M, Garfia C, Juarros L, Germán M, Cruz J. Unidad Multidisciplinar de Fibrosis Quística del Hospital Universitario 12 de Octubre. Revista Española de Pediatría [Internet]. 2017 [citado 2018 Dic 22]; 73(1): 46-48. Disponible en: https://www.seinap.es/wp-content/uploads/2015/05/REP-73-1.pdf#page=18.
7. Segura-Luján M, Pérez-de la Cruz S. Tratamiento complementario de la fibrosis quística con terapia acuática. A propósito de un caso. Fisioterapia [Internet]. 2017 [citado 2018 Dic 24]; 39: 269–72. Disponible en: https://www.sciencedirect.com/science/article/pii/S0211563817300433?via%3Dihub. DOI: 10.1016/j.ft.2017.04.005
8. Jee A, Corte T, Wort S, Eves N, Wainwright C, Piper A. Year in review 2016: Interstitial lung disease, pulmonary vascular disease, pulmonary function, paediatric lung disease, cystic fibrosis and sleep. Respirology [Internet]. 2017 [citado 2018 Dic 25]; 22(5):1022–34. Disponible en: https://onlinelibrary.wiley.com/doi/full/10.1111/resp.13080. https://doi.org/10.1111/resp.13080.
9. Buzzetti R, Cirilli N, Minicucci L, Raia V, Donatello S, Maffeis P. Fibrosis Quística. Una nueva Herramienta. Rev. la Fac Med [Internet]. 2014 [citado 2018 Dic 27]; 52: 938–40. Disponible en: http://revistas.unal.edu.co/index.php/revfacmed/article/view/43426. DOI: 10.1002 / ppul.22954.
10. Gale S, Maynor Sabillón J, Ortega I. Caracterización de los pacientes con Fibrosis Quística diagnosticados por cloruros en Sudor. Acta Pediátrica Hondureña, [Internet]. 2016; [cita-do 2018 Dic 29]; 6(2):486–92; Disponible en: http://www.bvs.hn/APH/pdf/APHVol6/pdf/APHVol6-2-2015-2016-7.pdf. https://doi.org/10.5377/pediatrica.v6i2.3539
11. Pezoa A, Jorquera P, Madrid-Henao R, Maturana P, Viviani P, Caussade Larrain S. Caracterización espirométrica de pacientes con fibrosis quística. Rev Chil Ped. 2018; 89(3), [citado 2018 Dic 30] 332-338. Disponible en: http://www.revistachilenadepediatria.cl/index.php/rchped/article/view/474. DOI: 10.4067/S0370-41062018005000303
12. Ledder O, Haller W, Couper R, Lewindon P, Oliver M. Cystic fibrosis: An update for clinicians. Part 2: Hepatobiliary and pancreatic manifestations. J Gastroenterol Hepatol. 2014; [citado 2019 Enero 03]; 29(12):1954–62. Disponible en: https://pdfs.semanticscholar.org/6ecf/d1b4e3ac9c0ca50a90b8e7838c1d6b64dd4b.pdf. DOI:10.1111/jgh.12785.
13. Suárez Cortina L, Máiz Carro L, Lamas Ferreiro A, Martínez Rodrigue E, García González M, López Neyra A, et al. Unidad de Fibrosis Quística del Hospital Universitario Ramón y Cajal TT - Cystic fibrosis unit of the Hospital Universitario Ramón y Cajal. Rev. Esp Pediatr [Internet]. 2016; [citado 2019 Ene 07]; 72(2):94–8. Disponible en: http://search.bvsalud.org/portal/resource/en/ibc-153273.
14. Ozen Alahdab Y, Duman D. Pancreatic involvement in cystic fibrosis. Minerva Med. [Internet]. 2016; [citado 2019 ene 11]; 107(6):427–436. Disponible en: https://www.ncbi.nlm.nih.gov/pubmed/27425634. DOI: http://doi.org/10.1002/path.4634
15. Bustamante D, García A, Umanzor W, Leiva L, Barrientos A. Acute Pancreatitis: Current Evidence. Archivos de Medicina [Internet]. 2017; [citado 2019 Ene 12]; 14(1):4. Disponible en: http://www.archivosdemedicina.com/medicina-de-familia/pancreatitis-aguda-evidencia-actual.pdf.
16. Fielbaum Ó. Manejo Actual De La Fibrosis Quística. Revista Médica Clínica Las Condes [Internet]. 2017 [citado 2019 Ene 13]; 28: 60–71. Disponible en: http://linkinghub.elsevier.com/retrieve/pii/S0716864017300159. http://doi.org/10.1016/j.rm-clc.2017.02.009
17. Aparicio-García F, Barranco-Moreno MP, Pellitero-Santos A, Rodríguez-Corbatón R, Calvo-Godoy M, Fernández-Cuesta A. Fibrosis quística atípica: la importancia de un diagnóstico precoz. Medicina General y Familiar [Internet]. 2015 [citado 2019 ene 15]; 4(4):119–22. Disponible en: http://linkinghub.elsevier.com/retrieve/pii/S1889543315000420. http://doi.org/10.1016/j.mgyf.2015.09.001
18. Ruiz-de Valbuena M. Fibrosis quística y sus Manifestaciones Respiratorias. Sepeap [Internet]. 2016; [citado 2019 enero 15]; XX:119–27. Disponible en: https://www.pediatriainte-gral.es/wp-content/uploads/2016/xx02/05/n2-119-127_MartaRuiz.pdf
19. Ortiz-Paranza L, Sanabria M, González L, Ascurra M. Nutritional characterization of children and adolescents with cystic fibrosis. Pediatría (Asunción) [Internet]. 2017 [citado 2019 Ene 16]; 44(3): 205–17. Disponible en: http://scielo.iics.una.py/scielo.php?script=sci_arttext&pid=S1683-98032017000300205. http://doi.org/10.18004/ped.2017.diciembre.205-217.
20. Castaños C, Pereyro S, Rentería F. Guía de diagnóstico y tratamiento de pacientes con fibrosis quística. Actualización. Arch Argent Pediatr [Internet]. 2014 [citado 2019 ene 17]; 112(3):1–65.; Disponible en: https://www.sap.org.ar/docs/publicaciones/archivosarg/2014/v112n3a22.pdf.
21. Portuondo-Leyva R, Abreu-Suárez C, Fuentes-Fernández G, González-Valdés J. Deficiencia de vitamina A en niños con fibrosis quística. Revista cubana de pediatría [Internet]. 2015 [citado 2019 ene 19]; 87: 321-329. Disponible en: http://scielo.sld.cu/pdf/ped/v87n3/ped07315.pdf.
22. Taylor Cousar J, Munck A, McKone EF, van der Ent CK, Moeller A, Simard C, et al. Tezacaftor–Ivacaftor in Patients with Cystic Fibrosis Homozygous for Phe508del. N Engl J Med [Internet]. 2017; [citado 2019 Ene 19]; NEJMoa1709846. Disponible en: http://www.nejm.org/doi/10.1056/NEJMoa1709846. http://doi.org/10.1056/NEJMoa1709846.
Notas de autor
gabbypatty08@hotmail.com
Información adicional
Conflictos de intereses:: los autores declaran que no existen conflictos de interés
Declaración de contribuciones: Gabriela Patricia Guijarro Reinoso trabajó en la búsqueda bibliográfica y en la redacción de la fibrosis quística en Pediatría con pancreatitis junto con el tratamiento, Martha Lucero Jácome encontró el caso y trabajó en la redacción del mismo, además realizó la búsqueda bibliográfica de fibrosis quística y pancreatitis, Humberto Daniel Paredes Haro trabajó en la búsqueda bibliográfica y en la redacción final