
Recepción: 08 Julio 2016
Aprobación: 20 Abril 2017
Resumen: Virus Epstein Barr (VEB) ha sido relacionado con una serie de tumores malignos de origen epitelial y linfoide. Existe una clara correlación entre este virus y enfermedades linfoproliferativas como Linfoma de Burkitt (LB), Linfoma Hodgkin (LH), Linfoma no Hodgkin (LNH) y carcinoma gástrico. Se han desarrollado diversas técnicas para la detección de VEB en células tumorales: hibridación in situ (RISH) que detecta RNAs (ácido ribonucleico) pequeños codificados para VEB (EBERs) en las células con infección latente, considerado el estándar de oro para la identificación del virus; la reacción en cadena de la polimerasa (PCR) que permite la detección de la cepa viral y representa un ensayo importarte en el diagnóstico del virus. Se realizó un estudio retrospectivo a partir de muestras de tejidos en parafina de pacientes con linfoma y se buscó al virus mediante PCR y RISH. La prevalencia del virus fue de 58,82%, el género más afectado fue el masculino y el grupo más afectado fue el de 31/40 años. La presencia del virus fue similar en ambos tipos de linfoma: Hodking y No Hodking. La técnica de RISH se mostró más eficiente para detectar la presencia del virus.
Palabras clave: EBER, linfoma, Hodking, No Hodking, PCR, Virus Epstein Barr.
Abstract: Epstein Barr Virus (EBV) has been linked to a number of malignant tumors of epithelial and lymphoid origin. There is a clear correlation between this virus and lymphoproliferative diseases such as Burkitt's lymphoma (BL), Hodgkin lymphoma (HL), non-Hodgkin lymphoma (NHL) and gastric carcinoma. Have developed various techniques for the detection of EBV in tumor cells: in situ hybridization (RISH) detecting RNAs (ribonucleic acid) Small coded to VEB (EBERs) in latently infected cells, considered the gold standard for identification virus; the polymerase chain reaction (PCR) which allows detection of the viral strain and represents an important fact in the diagnostic assay of the virus. one retrsopectivo study was conducted from tissue samples in paraffin of patients with lymphoma and sought the virus by PCR and RISH. HIV prevalence was 58.82%, the male gender was affected and the most affected group was the 31/40 years. The virus was similar in both types of lymphoma: Hodgkin and non-Hodgkin. RISH technique showed more efficient to detect the virus.
Keywords: EBER, linfoma, Hodking, No Hodking, PCR, Epstein-Barr Virus.
I. INTRODUCCIÓN
El virus de Epstein Barr (VEB) es un gamma herpes virus que infecta al 90% de la población adulta aproximadamente en todo el mundo(Roschewski & Wilson, 2012). Aunque una gran proporción de las personas infectadas son asintomáticas, aquellas con manifestaciones clínicas de la infección primaria se conocen como Síndrome de mononucleosis infecciosa(Gequelin, Riediger, Nakatani, Biondo, & Bonfim, 2011).
La infección inicial ocurre en las células epiteliales o en los linfocitos B de los tejidos de mucosas(Lung, Tong, & To, 2013;Shannon-Lowe & Rowe, 2011), teniendo la capacidad de infectar a otras células como las NK (natural killer), células plasmáticas y células dendríticas foliculares(Gulley & Tang, 2008). Posteriormente, se establece una infección latente dentro de las células B de memoria que permite la persistencia del virus(Lung et al., 2013; Shannon-Lowe & Rowe, 2011). En esta fase para cumplir su ciclo de vida, utiliza procesos complejos como la inhibición de la apoptosis(Ahmed, Philip, Tariq, & Khan, 2014)e inducción de la proliferación y transformación en las líneas celulares linfoblastoides(Fox, Shannon-Lowe, & Rowe, 2011).
VEB ha sido relacionado con una serie de tumores malignos de origen epitelial y linfoide(Young & Murray, 2003). Existe una clara correlación entre este virus y enfermedades linfoproliferativas como Linfoma de Burkitt (LB), Linfoma Hodgkin (LH), Linfoma no Hodgkin (LNH) y carcinoma gástrico(Iizasa, Nanbo, Nishikawa, Jinushi, & Yoshiyama, 2012; Lung et al., 2013).Se ha reportado una prevalencia de 1% de VEB en estos tumores en la población mundial(Gulley & Tang, 2008)y mayor frecuencia en casos de Linfoma Hodgkin clásico (LHc) con un 40%(Gequelin et al., 2011). Por ello, en la actualidad ha sido objeto de blancos terapéuticos en las diferentes patologías en las que se manifiesta(Israel & Kenney, 2003; Ko, 2015).
Se han desarrollado diversas técnicas para la detección de VEB en células tumorales. Una de ellas, es el estudio de hibridación in situ (RISH) que detecta RNAs (ácido ribonucleico) pequeños codificados para VEB (EBERs) en las células con infección latente, considerado el estándar de oro para la identificación del virus(Gulley & Tang, 2008). Otra técnica es la reacción en cadena de la polimerasa (PCR) que permite la detección de la cepa viral y representa un ensayo importarte en el diagnóstico del virus (Ambinder & Mann, 1994).
El objetivo del presente estudio es determinar la prevalencia del virus utilizando las dos técnicas en muestras de tejidos en parafina de linfomas Hodgkin y no Hodgkin. A partir de ello se muestra la caracterización histológica de la infección viral en estos tumores y la distribución del virus en esta población para el establecimiento de grupos de riesgo.
II. DESARROLLO
1. Metodología
Consideraciones científicas y éticas
El estudio fue aprobado y revisado por el Comité de Bioética COBI-ASFORUM de la Universidad Central del Ecuador, que se encuentra avalado por las autoridades sanitarias locales. Se cuenta además, con la autorización del departamento de docencia e investigación del Hospital “Dr. Teodoro Maldonado Carbo” de la Ciudad de Guayaquil, Ecuador. Se utilizaron códigos numéricos para mantener la confidencialidad de los resultados.
Diseño de estudio.
Es un estudio no experimental, retrospectivo, transversal, de prevalencia, conducido de Septiembre del 2013 a Agosto del 2014 a partir de biopsias en parafina provenientes del Hospital “Dr. Teodoro Maldonado Carbo” de la ciudad de Guayaquil, Ecuador, con diagnóstico de Linfoma que ingresaron durante el año 2012.
Recolección de datos y toma de muestras.
Se obtuvieron 102 casos de linfomas identificados previamente por el Laboratorio de Patología del Hospital, de los cuales únicamente se completó la ficha clínica en 51, ejecutándose en estos casos los ensayos.
Se tomaron 8 a 10 cortes de más de 10 µm de grosor para el proceso de extracción de ADN, los que se colocaron en tubos Eppendorf® de 1.7 µl. Además se obtuvieron 2 cortes de 4-6 µm de grosor para RISH, los cuales fueron colocados en sendas placas porta objetos de vidrio.
Los datos que se obtuvieron incluyeron: edad, sexo, tipo histológico, subtipo histológico, tipo celular.
Ejecución del ensayo
Amplificación por PCR
Se utilizó el kit QIAamp DNA FFPE Tissue Kit, lote Nº 145035990 para la extracción de ADN de las muestras, procedimiento que se realizó en una cabina de bioseguridad. Se siguió el protocolo del fabricante con algunas modificaciones: la desnaturalización se cambió de 56 ºC en 1 hora a 70 ºC en 30 min y, de 90 ºC en 1 hora a 99 ºC en 40 min.
La PCR se realizó utilizando el kit comercial de Genesig-PrimerDesign Ltd®, que está diseñado para la cuantificación in vitro del gen BNRF-1(proteína de membrana no glicosilada) del Virus Herpes Humano 4-EBV, junto con Mastermix qRT-PCR OneStep® liofilizado de la misma casa comercial. Se prepararon las reacciones acorde a las instrucciones del fabricante.
Así mismo, se adicionó un control positivo y un control negativo. El programa de PCR utilizado también fue el sugerido por el kit en el equipo Mastercycler Eppendorf Realplex con el software Eppenforf realplex 2.2.
Hibridación in situ RNA
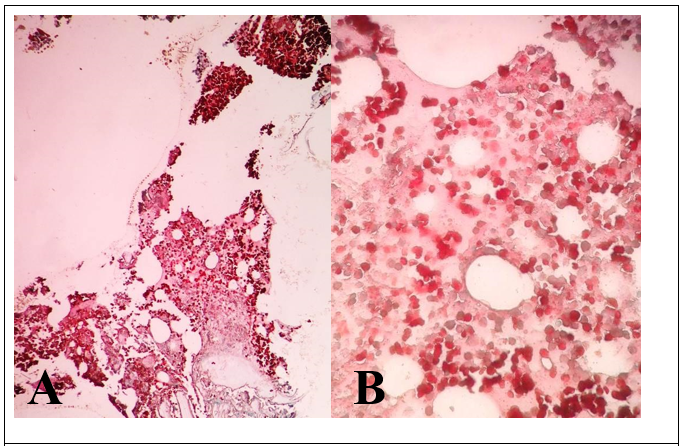
RISH se realizó utilizando los kits para detección e hibridación in situ de REMBRANDT© (Lot N°13AK0R.7, 13AK01.88; PanPath, Ámsterdam, Países Bajos). Se siguieron las indicaciones de fábrica para el procedimiento, modificándose el tratamiento proteolítico del fabricante. Los portaobjetos se colocaron e incubaron en un bloque de calentamiento a 50°C con 400µL de solución de trabajo proteolítica durante 20 min. El proceso de detección y tinción se dividió en dos partes con dos incubaciones, en las que los portaobjetos fueron colocados en un bloque común a 50°C durante 20 min y en la oscuridad a 50°C por 7 min, respectivamente. Las láminas se analizaron en un microscopio Olympus B*61, con objetivos de 10X y 40X.
Análisis de Datos
Los resultados obtenidos se ingresaron en una base de datos de Excel y se realizó el análisis usando el SoftwareEPI-INFO 7.
Para efectos de determinar la frecuencia del virus, se tomó como positiva si era detectada por cualquiera de las dos técnicas.
2. Resultados
Del total de casos analizados, se encontró que el género con mayor participación fue el femenino, con el 54,90%. La edad promedio de la población afectada fue de 44años, siendo la persona más joven un individuo de 19 años y el mayor de 69 años. Además, el tipo histológico más frecuente fue el No Hodking con el 82,35%.
En el análisis de los subtipos histológicos, se observó que de los casos de linfoma no Hodgkin,el 47% corresponden al subtipo difuso de células B grandes, y el 32% al subtipo folicular. Mientras que en el linfoma Hodking, el subtipo Esclerosis nodular y el de Celularidad mixta fueron los más frecuentes con el 40.00%. En relación al tipo celular el 90.0% correspondió al de linfocitos de células B.
La prevalencia total del VEB en linfomas fue del 58,82%. Para el Linfoma Hodking fue de 55,56% y para el No Hodking el 59,52%.
En cuanto al género, el mayormente afectado por el virus fue el masculino, tanto en la frecuencia global de linfomas, como en los dos tipos histológicos: No Hodking y Hodking. (60,87%, 61,11% y 60,0%, respectivamente).
En relación, a la edad, el grupo etáreo que presentó la infección más frecuente fue el de 31-40 años junto al de 81-90 años; ambos con una frecuencia del 75%. Situación que se repitió en cada uno de los tipos histológicos.
La presencia del virus se observó más, en aquellos linfomas cuyo tipo celular predominante eran los linfocitos B (63%). Ver Tabla 1.


Además se realizó un análisis de asociación, con las variables que se presentaron con mayor frecuencia asociadas a la infección por el VEB. Se obtuvieron las prevalencias de expuestos, la razón de prevalencias que en caso de ser mayor a 1 demuestra asociación (factor de riesgo/factor de protección) entre las variables y el Chi cuadrado de Mantel-Haenszel, cuyo valor calculado mayor a -1.96 a +1.96, determinará que existe asociación estadísticamente significativa entre la variable y la exposición (VEB).

3. Discusión
Se conoce que el LH y LNH son neoplasias distintas clínica y morfológicamente, que se han asociado con la presencia de VEB a través del tiempo, un herpes virus de doble cadena de ADN que preferentemente infecta a células B humanas estableciendo una infección de por vida en más del 90% de la población mundial(Rickinson, 2002).
Se determinó la prevalencia de VEB en linfoma, así como en cada tipo correspondientes. Se reportó una ligera mayor prevalencia en Linfoma no Hodgkin (59,52%), resultado que concuerda con los informes de Tumine et al, quienes describen una mayor prevalencia (79.8%) de VEB en Linfomas no Hodgkin(Tumwine, Orem, Kerchan, Byarugaba, & Pileri, 2010). Igualmente, otros estudios reportan prevalencia variadas de VEB para Linfoma Hodgkin; que van desde 28% hasta 47% y 50% respectivamente(Almasri & Khalidi, 2004; Vasef et al., 2004; Weinreb et al., 1996). Estos resultados muestran una similar relación numérica con los obtenidos en este estudio, en el que se encontró el virus en el 55,56% de este tipo histológico. Aunque, no se debe olvidar la variedad epidemiológica entre los diferentes lugares donde se han realizados las investigaciones, puesto que el mundo se ha clasificado en áreas de alta asociación para VEB como el este de África con un 80%; áreas de asociación intermedia como Medio Oriente con 58%, América del Sur y Central con 57% y Asia con 61%; y áreas con baja asociación, como EE UU y Europa con 43% y 46% respectivamente(Sughayer, Haddad, Al-Yousef, El-Khateeb, & Abu-Rass, 2014).
En la literatura, se describen mayores prevalencias para el género masculino(Glaser et al., 1997). Situación similar para el presente trabajo. De igual forma, los subtipos histológicos con mayor positividad para VEB fueron el difuso de células B grandes y el folicular, lo que difiere del reporte de Urayama et al, que indica mayor frecuencia en el subtipo de celularidad mixta(Urayama et al., 2012).En relación al tipo celular, los resultados obtenidos concuerdan con estudios previos que demuestran un mayor caso de linfomas de células B(Cool & Bitter, 1997; Tumwine et al., 2010)tanto para LH como LNH.
Se realizó una comparación entre las técnica de PCR y RISH en cuanto a la detección de VEB en LH y LHN, para estos resultados ver tabla 3 donde se observa que RISH tuvo mayor capacidad de detectar VEB en LNH comparado con PCR. Sin embargo, se obtuvieron los mismos resultados tanto para RISH como PCR en los casos de LH. Esto conduce a deducir que la técnica de RISH tiene una mayor sensibilidad en la identificación de VEB en muestras de tejido en parafina sobre todo en los casos de LNH, aunque al revisar la literatura se comprueba mejores resultados cuando se realizan concomitantemente(Hassan et al., 2006).

Continuando, se analizó con la prueba Chi cuadrado la relación entre la presencia de VEB con las variables; se encontró relación estadística con el tipo celular B y la edad entre 31-40 años.
Se recomienda futuras investigaciones a gran escala para determinar una prevalencia más exacta del virus, además de estudios sobre las cepas circulantes y sus variaciones para establecer su oncogenicidad y agresividad hacia los linfomas.
III. CONCLUSIONES
La prevalencia de VEB en linfomas fue de 58,82%. Se observó una alta asociación entre la infección por el virus y el desarrollo de LH y LNH, determinada por RISH y PCR. El presente estudio muestra que RISH tiene una mayor capacidad para detectar VEB en LNH, mientras que para el LH mostró la misma sensibilidad que la qPCR. Por ello, se sugiere el uso de ambas técnicas en la detección de VEB adaptadas a los protocolos vigentes. Finalmente los grupos de riesgo en pacientes con linfoma para infección viral fueron el género masculino, el grupo etario de 31-40 años y los tejidos de linfomas cuyo tipo celular predominante eran los linfocitos B.
Referencias
Ahmed, W., Philip, P. S., Tariq, S., & Khan, G. (2014). Epstein-Barr Virus-Encoded Small RNAs (EBERs) Are Present in Fractions Related to Exosomes Released by EBV-Transformed Cells. PLoS ONE, 9(6), e99163. https://doi.org/10.1371/journal.pone.0099163
Almasri, N. M., & Khalidi, H. S. (2004). Epstein-Barr virus expression in Hodgkin’s disease in Jordan. Saudi Medical Journal, 25(6), 770–775.
Ambinder, R. F., & Mann, R. B. (1994). Detection and characterization of Epstein-Barr virus in clinical specimens. The American Journal of Pathology, 145(2), 239–252.
Cool, C. D., & Bitter, M. A. (1997). The malignant lymphomas of Kenya: morphology, immunophenotype, and frequency of Epstein-Barr virus in 73 cases. Human Pathology, 28(9), 1026–1033.
Fox, C. P., Shannon-Lowe, C., & Rowe, M. (2011). Deciphering the role of Epstein-Barr virus in the pathogenesis of T and NK cell lymphoproliferations. Herpesviridae, 2, 8–8. https://doi.org/10.1186/2042-4280-2-8
Gequelin, L. C. F., Riediger, I. N., Nakatani, S. M., Biondo, A. W., & Bonfim, C. M. (2011). Epstein-Barr virus: general factors, virus-related diseases and measurement of viral load after transplant. Revista Brasileira de Hematologia E Hemoterapia, 33(5), 383–388. https://doi.org/10.5581/1516-8484.20110103
Glaser, S. L., Lin, R. J., Stewart, S. L., Ambinder, R. F., Jarrett, R. F., Brousset, P., … Claviez, A. (1997). Epstein-Barr virus-associated Hodgkin’s disease: epidemiologic characteristics in international data. International Journal of Cancer, 70(4), 375–382.
Gulley, M. L., & Tang, W. (2008). Laboratory Assays for Epstein-Barr Virus-Related Disease. The Journal of Molecular Diagnostics : JMD, 10(4), 279–292. https://doi.org/10.2353/jmoldx.2008.080023
Hassan, R., White, L. R., Stefanoff, C. G., de Oliveira, D. E., Felisbino, F. E., Klumb, C. E., … Zalcberg, I. R. (2006). Epstein-Barr Virus (EBV) detection and typing by PCR: a contribution to diagnostic screening of EBV-positive Burkitt’s lymphoma. Diagnostic Pathology, 1, 17–17. https://doi.org/10.1186/1746-1596-1-17
Iizasa, H., Nanbo, A., Nishikawa, J., Jinushi, M., & Yoshiyama, H. (2012). Epstein-Barr Virus (EBV)-associated Gastric Carcinoma. Viruses, 4(12), 3420–3439. https://doi.org/10.3390/v4123420
Israel, B. F., & Kenney, S. C. (2003). Virally targeted therapies for EBV-associated malignancies. Oncogene, 22(33), 5122–5130.
Ko, Y.-H. (2015). EBV and human cancer. Exp Mol Med, 47, e130.
Lung, R. W.-M., Tong, J. H.-M., & To, K.-F. (2013). Emerging roles of small Epstein-Barr virus derived non-coding RNAs in epithelial malignancy. International Journal of Molecular Sciences, 14(9), 17378–17409. https://doi.org/10.3390/ijms140917378
Rickinson, A. (2002). Epstein-Barr Virus, 82(1), 109–13.
Roschewski, M., & Wilson, W. H. (2012). EBV-associated lymphomas in adults. Best Practice & Research. Clinical Haematology, 25(1), 75–89. https://doi.org/10.1016/j.beha.2012.01.005
Shannon-Lowe, C., & Rowe, M. (2011). Epstein-Barr Virus Infection of Polarized Epithelial Cells via the Basolateral Surface by Memory B Cell-Mediated Transfer Infection. PLoS Pathogens, 7(5), e1001338. https://doi.org/10.1371/journal.ppat.1001338
Sughayer, M. A., Haddad, H. A., Al-Yousef, R. M., El-Khateeb, M., & Abu-Rass, H. (2014). Epstein-Barr virus and Hodgkin lymphoma in Jordan. Hematology/oncology and Stem Cell Therapy, 7(2), 85–89. https://doi.org/10.1016/j.hemonc.2013.12.002
Tumwine, L. K., Orem, J., Kerchan, P., Byarugaba, W., & Pileri, S. A. (2010). EBV, HHV8 and HIV in B cell non Hodgkin lymphoma in Kampala, Uganda. Infectious Agents and Cancer, 5, 12. https://doi.org/10.1186/1750-9378-5-12
Urayama, K. Y., Jarrett, R. F., Hjalgrim, H., Diepstra, A., Kamatani, Y., Chabrier, A., … McKay, J. D. (2012). Genome-wide association study of classical Hodgkin lymphoma and Epstein-Barr virus status-defined subgroups. Journal of the National Cancer Institute, 104(3), 240–253. https://doi.org/10.1093/jnci/djr516
Vasef, M., Ubaidat, M., Khalidi, H., Almasri, N., Al-Abbadi, M., & Annab, H. (2004). Association between Epstein-Barr virus and classic Hodgkin lymphoma in Jordan: a comparative study with Epstein-Barr virus-associated Hodgkin lymphoma in North America, 97(3), 273–7.
Weinreb, M., Day, P. J., Niggli, F., Powell, J. E., Raafat, F., Hesseling, P. B., … Mann, J. R. (1996). The role of Epstein-Barr virus in Hodgkin’s disease from different geographical areas. Archives of Disease in Childhood, 74(1), 27–31.
Young, L. S., & Murray, P. G. (2003). Epstein-Barr virus and oncogenesis: from latent genes to tumours. Oncogene, 22(33), 5108–5121. https://doi.org/10.1038/sj.onc.1206556
Ahmed, W., Philip, P. S., Tariq, S., & Khan, G. (2014). Epstein-Barr Virus-Encoded Small RNAs (EBERs) Are Present in Fractions Related to Exosomes Released by EBV-Transformed Cells. PLoS ONE, 9(6), e99163. https://doi.org/10.1371/journal.pone.0099163
Almasri, N. M., & Khalidi, H. S. (2004). Epstein-Barr virus expression in Hodgkin’s disease in Jordan. Saudi Medical Journal, 25(6), 770–775.
Ambinder, R. F., & Mann, R. B. (1994). Detection and characterization of Epstein-Barr virus in clinical specimens. The American Journal of Pathology, 145(2), 239–252.
Cool, C. D., & Bitter, M. A. (1997). The malignant lymphomas of Kenya: morphology, immunophenotype, and frequency of Epstein-Barr virus in 73 cases. Human Pathology, 28(9), 1026–1033.
Fox, C. P., Shannon-Lowe, C., & Rowe, M. (2011). Deciphering the role of Epstein-Barr virus in the pathogenesis of T and NK cell lymphoproliferations. Herpesviridae, 2, 8–8. https://doi.org/10.1186/2042-4280-2-8
Gequelin, L. C. F., Riediger, I. N., Nakatani, S. M., Biondo, A. W., & Bonfim, C. M. (2011). Epstein-Barr virus: general factors, virus-related diseases and measurement of viral load after transplant. Revista Brasileira de Hematologia E Hemoterapia, 33(5), 383–388. https://doi.org/10.5581/1516-8484.20110103
Glaser, S. L., Lin, R. J., Stewart, S. L., Ambinder, R. F., Jarrett, R. F., Brousset, P., … Claviez, A. (1997). Epstein-Barr virus-associated Hodgkin’s disease: epidemiologic characteristics in international data. International Journal of Cancer, 70(4), 375–382.
Gulley, M. L., & Tang, W. (2008). Laboratory Assays for Epstein-Barr Virus-Related Disease. The Journal of Molecular Diagnostics : JMD, 10(4), 279–292. https://doi.org/10.2353/jmoldx.2008.080023
Hassan, R., White, L. R., Stefanoff, C. G., de Oliveira, D. E., Felisbino, F. E., Klumb, C. E., … Zalcberg, I. R. (2006). Epstein-Barr Virus (EBV) detection and typing by PCR: a contribution to diagnostic screening of EBV-positive Burkitt’s lymphoma. Diagnostic Pathology, 1, 17–17. https://doi.org/10.1186/1746-1596-1-17
Iizasa, H., Nanbo, A., Nishikawa, J., Jinushi, M., & Yoshiyama, H. (2012). Epstein-Barr Virus (EBV)-associated Gastric Carcinoma. Viruses, 4(12), 3420–3439. https://doi.org/10.3390/v4123420
Israel, B. F., & Kenney, S. C. (2003). Virally targeted therapies for EBV-associated malignancies. Oncogene, 22(33), 5122–5130.
Ko, Y.-H. (2015). EBV and human cancer. Exp Mol Med, 47, e130.
Lung, R. W.-M., Tong, J. H.-M., & To, K.-F. (2013). Emerging roles of small Epstein-Barr virus derived non-coding RNAs in epithelial malignancy. International Journal of Molecular Sciences, 14(9), 17378–17409. https://doi.org/10.3390/ijms140917378
Rickinson, A. (2002). Epstein-Barr Virus, 82(1), 109–13.
Roschewski, M., & Wilson, W. H. (2012). EBV-associated lymphomas in adults. Best Practice & Research. Clinical Haematology, 25(1), 75–89. https://doi.org/10.1016/j.beha.2012.01.005
Shannon-Lowe, C., & Rowe, M. (2011). Epstein-Barr Virus Infection of Polarized Epithelial Cells via the Basolateral Surface by Memory B Cell-Mediated Transfer Infection. PLoS Pathogens, 7(5), e1001338. https://doi.org/10.1371/journal.ppat.1001338
R. F., & Mann, R. B. (1994). Detection and characterization of Epstein-Barr virus in clinical specimens. The American Journal of Pathology, 145(2), 239–252.
Cool, C. D., & Bitter, M. A. (1997). The malignant lymphomas of Kenya: morphology, immunophenotype, and frequency of Epstein-Barr virus in 73 cases. Human Pathology, 28(9), 1026–1033.
Fox, C. P., Shannon-Lowe, C., & Rowe, M. (2011). Deciphering the role of Epstein-Barr virus in the pathogenesis of T and NK cell lymphoproliferations. Herpesviridae, 2, 8–8. https://doi.org/10.1186/2042-4280-2-8
Gequelin, L. C. F., Riediger, I. N., Nakatani, S. M., Biondo, A. W., & Bonfim, C. M. (2011). Epstein-Barr virus: general factors, virus-related diseases and measurement of viral load after transplant. Revista Brasileira de Hematologia E Hemoterapia, 33(5), 383–388. https://doi.org/10.5581/1516-8484.20110103
Glaser, S. L., Lin, R. J., Stewart, S. L., Ambinder, R. F., Jarrett, R. F., Brousset, P., … Claviez, A. (1997). Epstein-Barr virus-associated Hodgkin’s disease: epidemiologic characteristics in international data. International Journal of Cancer, 70(4), 375–382.
Gulley, M. L., & Tang, W. (2008). Laboratory Assays for Epstein-Barr Virus-Related Disease. The Journal of Molecular Diagnostics : JMD, 10(4), 279–292. https://doi.org/10.2353/jmoldx.2008.080023
Hassan, R., White, L. R., Stefanoff, C. G., de Oliveira, D. E., Felisbino, F. E., Klumb, C. E., … Zalcberg, I. R. (2006). Epstein-Barr Virus (EBV) detection and typing by PCR: a contribution to diagnostic screening of EBV-positive Burkitt’s lymphoma. Diagnostic Pathology, 1, 17–17. https://doi.org/10.1186/1746-1596-1-17
Iizasa, H., Nanbo, A., Nishikawa, J., Jinushi, M., & Yoshiyama, H. (2012). Epstein-Barr Virus (EBV)-associated Gastric Carcinoma. Viruses, 4(12), 3420–3439. https://doi.org/10.3390/v4123420
Israel, B. F., & Kenney, S. C. (2003). Virally targeted therapies for EBV-associated malignancies. Oncogene, 22(33), 5122–5130.