RESEARCH WORK
Received: 08 June 2022
Revised document received: 19 July 2022
Accepted: 21 September 2022
DOI: https://doi.org/10.4067/S2452-55882023000300201
ABSTRACT
Objective: To evaluate the degree of perception among lay people of different age groups about black spaces between lower incisors.
Methodology: digital changes were performed in a frontal photograph of a smiling 30 year-old patient, simulating different dimensions of black spaces. The images were printed on photographic paper and applied with a questionnaire in order to evaluate the attractiveness using as tool a visual analogue scale (VAS). The participants were divided into 6 groups, considering race (Caucasian and Negroid) and age (15-19 years, 35-44 years and 65-74 years old). The differences between the examiners were checked by the Mann-Whitney test and the significance level was 5% (α = 0.05) for all analyzes.
Results: The photographs that did not have black spaces were better graded and the ones that had larger black spaces scored worse. The older age group and the Negroid race group graded better the photograph with the largest black spaces, compared to the younger age groups and the group of Caucasians.
Conclusion: black spaces between lower incisors are esthetically unattractive and their perception decreases with aging, besides being less relevant to older and Negroid people.
KEY WORDS: Orthodontics, Perception, Lower incisors.
INTRODUCTION
The aesthetics of the smile causes disagreement among many people, because of its degree of subjectivity and differences in tastes and opinions1. The smile plays a key role in facial attractiveness, performing an important function in terms of non-verbal communication and self-esteem of the individual2-4.
However, there are some issues that affect the quality of the smile and can induce the formation of black spaces or triangles5. These are the result of a lack of interdental papilla, with as potential causes: the dimensional changes of the papilla during orthodontic alignment, the presence of diastema, tooth loss due to caries, periodontal loss consequential of recession, loss of alveolar bone height in relation to the interproximal contact, inadequate brushing habits, angulation of the roots and crowns with a excessively triangular format5-8.
Findings in orthodontic literature show that the appearance of the smile has gained importance nowadays. The orthodontist as a professional dealing with the function and aesthetics of the smile must seek guidance as to what is suitable and attractive for their patients. So, orthodontists should be able to use these data to resolve the problems that afflict their patients. Black spaces can reverberate negatively on the smile, as is suggested by a study that evaluated the aesthetic perception of their presence between superior incisors7.
One of the consequences of aging, on the smile, is a higher exhibition of the lower teeth and less exposure of the superior teeth9. Exposure of the lower teeth when smiling can reveal already existing black spaces. In this context, the question is: Do these black spaces in the lower anterior teeth have a negative impact on the perception of the smile? This question becomes more relevant today because of the growing number of adult patients in orthodontic offices.
Based on this precept, the proposal of the authors of this study was to evaluate the degree of perception among lay people of different age groups about black spaces between lower incisors regarding the aesthetics of the smile.
METHODOLOGY
To carry out this study, an intraoral frontal image of a patient with normal occlusion in all the teeth was used. The used photograph was captured with a digital camera (Canon Rebel XTi, Tokyo, Japan) mounted on a tripod and with controlled illumination. The real photograph, in which only the teeth and gums could be seen, was manipulated with the aid of a software for image manipulation (Adobe Photoshop CS3, Adobe Systems Inc, San Francisco, CA), keeping the upper arch without any changes.
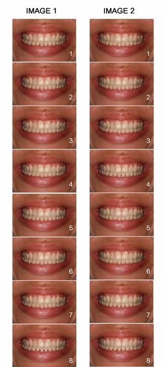
Changes were made in order to produce black spaces of various sizes at the anterior-inferior arch. Eight images were obtained, produced with and without the presence of black spaces, increasing their interval proportion between the images. The images consisted then of a photograph without black space and the others with black spaces of 0.5 mm, 1.0 mm, 1.5 mm, 2.0 mm, 2.5 mm, 3.0 mm and 3 5 mm.
The images were printed on photographic paper, grouped and numerated and individually placed, arranged in a folder. A questionnaire that measured the images’ degree of attractiveness by the evaluator was applied. The evaluator would first have to classify the eight images in descending order of attractiveness. In a second sheet, the order of the same images was altered, numerated again. This second evaluation was used to assess the degree of reliability of the answers given by the evaluators in the first round of evaluations.
Following the evaluations, the images were printed on separate sheets and attached to a visual analogue scale (VAS) with gradation from 0 to 10, where 0 meant not very attractive, 5 attractive and 10 very attractive. All evaluators were advised not to compare the images and had a time interval of 60 seconds to give a value to each one of them.
The participants were divided into 6 groups, considering race (Caucasian and Negroid) and age groups (15-19, 35-44 and 65-74 as recommended by the World Health Organization - WHO).
The sample size calculation was performed using nQueryAdviser (version 6.01, statistical Solutions, Cork, Ireland). According to the pilot study, the effect size was estimated to be 0.975. Based on the alpha significance level of 0.05, the sample size was calculated to be able to achieve 80%. The sample size calculation showed that the sample should be between 45 to 90 individuals. Therefore, we used 50 subjects per group. Thus, 50 Caucasian individuals 15 to 19, 50 Negroid individuals 15 to 19, 50 Caucasian individuals aged 35 to 44, 50 Negroid people aged 35 to 44, 50 Caucasian subjects 65 to 74 and 50 Negroid subjects 65 to 74 were surveyed.
Statistical procedure
The responses’ frequencies were compared according to gender, age group and race, by means of the chi-square test. In cases where the expected frequency was less than five (n < 5), we used Fisher’s exact test. The scores of each photograph were compared between the age groups using the Kruskal-Wallis test and paired comparisons were performed using the Mann-Whitney test. The mean scores of each photograph were calculated for each gender, age group and race to determine Spearman’s correlation coefficients to assess the similarity between the perceptions of each group. Significance level of 5 % (α = 0.05) for all analyses was adopted. Data were analyzed with PASW Statistics for Windows (IBM SPSS 21.0, 2012, Armonk, NY: IBM Corp.).
RESULTS
The study included 300 evaluators, equally distributed according to age group (15-19 = 100, 35-44 = 100 and 65-74 = 100) and race (Negroid people = 150 and Caucasian people = 150). The distribution by gender was: 141 (47 %) men and 159 (53 %) women.
Among the evaluators of the study, 236 (78.7 %) were able to notice differences between the photographs displayed both in image 1 (containing the photographs randomly organized, shown in Figure 2) as in image 2 (which contained the photographs randomly rearranged, demonstrated in Figure 2), with no significant difference between gender (p = 0.095) and race (p = 1.000); an larger frequency of evaluators in the younger age groups (15-19 and 34-44) was able to notice difference between the photographs shown in images 1 and 2, compared to the older age group (Figure 1).


In Table 1, the perception of the research evaluators on preferences in relation to the photographs displayed in image 1 (containing the randomly organized photographs, shown in Figure 2) is presented, according to gender, age group and race. Significant differences were observed about the proportions: between genders for the answer on the worse photograph; between age groups, both for the answer of which was the best photograph as to the answer about which was the worst; and between ethnicities, for the answer about the best photograph. Data indicate that the frequency of evaluators who liked photograph 1 less (which featured black spaces of 3.0 mm) was higher among men than among women, the frequency of evaluators that liked more photograph 4 (which had no black spaces) and less photograph 8 (which had larger black spaces) was higher in the age group of 15-19 and decreased progressively in the older age groups (35-44 and 65 74). The frequency of evaluators who liked photography 7 more (which featured black spaces of 0.5 mm) was greater among Caucasian evaluators than among Negroid ones.
Table 2 shows the perception of the evaluators of the research regarding preferences in relation to the photographs displayed in image 2 (which contained the photographs randomly rearranged, shown in Figure 2), according to gender, age group and race. Significant differences were observed in the proportions: between age groups, both for the answer on the best photograph as about the worst photograph, and between races, on the answer about the worst photograph. Data indicate that: the frequency of evaluators that liked more of photograph 5 (which had no black spaces) and less photograph 8 (which had larger black spaces) was higher in the 15-19 age group and decreased progressively in older age groups (35-44 and 65 74). The frequency of evaluators that liked more photograph 8 was higher among Caucasian evaluators than among Negroid ones.



According to the average aesthetic scores, photograph 4 (which had no black spaces) was elected the most attractive, while photograph 8 was elected the least attractive (Table 3). According to the Mann-Whitney test, there was no significant difference between the genders (p > 0.05 for all the photographs) in the scores assigned by the evaluators of the study. However, differences between the age groups were observed for photograph 4 (which had no black spaces), 7 (which had black spaces of 0.5 mm) and 8 (which had larger black spaces)) and between ethnicities (for photograph 8 which had larger black spaces). The paired comparisons showed that: Evaluators of the 35-44 age group graded better photograph 4 (which had no black spaces), compared to evaluators of the 15-19 and 65-74 age groups. Evaluators of the two younger age groups (15-19 and 35-44) graded better photograph 7 (which had black spaces of 0.5 mm), compared to evaluators of the 65-74 age group. Evaluators of the 65-74 age group graded better photograph 8, compared to evaluators of the two younger age groups (Figure 3). Regarding race, it was observed that Negroid evaluators graded better photograph 8 (which had larger black spaces), compared to Caucasian ones (Figure 4).
Strong positive correlation was found between the mean scores of the male and female evaluators (rspearman = 0.98, P < 0.001). For the mean scores of the age groups (15-19 vs. 35-44, 15-19 vs. 65-74 and 35-44 vs. 65-74) and the race groups (Negroid vs. Caucasian) perfect correlations for all pairs were found (p < 0.01 rspearman = 1.00).
DISCUSSION
The increasing search for a pleasing aesthetics results from the current demands of society, exerting direct influence on dental treatments and especially orthodontic treatments10. Therefore, improving the aesthetics of the smile becomes the main objective of the patients seeking dental treatment11. Thus, thanks to divergent opinions between professionals and patients about the aesthetics of the smile and taking into account the subjectivity of this concept, practitioners must ensure that the results meet the patients’ expectations1,2,7,8,12-14.


In this context, black spaces - caused by the presence of diastemata, tooth loss due to caries, lack of interproximal contact, changes in gingival papilla during orthodontic treatment and loss of alveolar bone tissue - may affect the aesthetic perception of the smile5-8.
In this perspective, the aim of this study was to evaluate the perception of laypeople about the lower anterior black spaces, considering different age groups, gender and race.
The method consisted of using a photograph of a patient’s smile with normal occlusion and presence of all teeth, simulating different sizes of black spaces between the anterior teeth through modification by a computer program. Eight photographs were obtained with sizes of black spaces varying from 0 to 3.5 mm and 0.5 mm interval for each image.
A questionnaire divided in three parts was used. In the first part, the study participants rated the pictures in order of attractiveness; in the second, the images were adjusted and the evaluators reclassified them; finally, the figures were shown individually and the evaluators attributed grades from 0 to 10, knowing that 0 was considered hardly attractive, 5 attractive and 10 very attractive.
The methodology used was similar to previous studies of aesthetic perception of the smile1,2,7,15-19), being simple, economic and of rapid development, although effective in judging the aesthetic perception of the black spaces.
One of the limitations of the methodology was the possible influence of the enunciation of the questionnaire itself in the judgment of the evaluators. Thich was mitigated by the double use of the images and by the assignment of scores on individual photographs, increasing the degree of reliability. Moreover, the classification in age groups, gender and race helped understanding the influence of these variables on the perception of these black spaces.
Higher exposure of the lower teeth when smiling is common with aging and this can also expose existing black spaces in the lower anterior teeth. Because of this, coupled with the increasing number of adult patients seeking orthodontic treatment, it is important to assess the influence that the black spaces in the anterior lower teeth can have on the aesthetics of the smile both in younger such as older age groups.
In this study, of the 300 participant evaluators, 78.7 % were able to note the differences between the pictures both in the first image (containing randomly arranged photographs, shown in Figure 2) and the second image (containing the photographs randomly rearranged, shown in figure 2), with no influence of gender and race factors and having the oldest age group (65-74) managed to notice less the differences between the displayed photographs.
In regard to the first image (containing the randomly arranged photographs, shown in Figure 2) the frequency of evaluators who considered photograph 4 (which had no black spaces) as the most attractive and 8 (which had larger black spaces) as least attractive was higher in the younger age group (15-19) and underwent regression in the older age groups (35-44 and 65-74). Still, in image 2 (containing the randomly rearranged photographs, shown in Figure 2), photograph 5 (which had no black spaces) was regarded as the most attractive and 8 (which had larger black spaces) was the least attractive, with a progressive frequency reduction from the younger age group to the older ones.
Relative to the average scores from the individual photographs, photograph 4 (which had no black spaces) was considered the most attractive and 8 (which featured larger black spaces) the least attractive one. The evaluators of the 65-74 age group and the Negroid evaluators graded better photography 8 compared respectively to the younger age groups and to Caucasian evaluators.
In a study that assessed the perception of some characteristics of the smile, black spaces were regarded as the most aesthetically unfavorable1.
In other studies that analyzed the aesthetic perception of black spaces2,7, they were perceived by the majority of the studied population. In one of them7, the age group variable was also considered and the perception of black spaces also decreased with aging.
These findings corroborate the obtained results and conclude that black spaces have negative impact on the aesthetics of the smile, and should be considered by professionals when aspiring to fulfill the expectations of the patient.
The orthodontist must then be aware of the possible occurrence of these defects and, whenever possible, utilize resources to eliminate the black spaces (such as interproximal wearing of the teeth with triangular crowns before closing the spaces), as well as mitigation of dental inclinations to mesial when gluing orthodontic accessories, as they were considered aesthetically unpleasant at all ages, ethnicities and genders.
CONCLUSION
It is concluded with the completion of this study:
Black spaces have negative repercussions on smile aesthetics in all evaluated age groups, genders and ethnicities.
This perception reduces progressively with aging, with younger age groups having a more critical assessment on this issue;
The negative influence of black spaces also proved to be more relevant in individuals of Negroid race and older age groups than in Caucasians and in younger age groups.
Reference
Motta AFJ, Mucha JN, Souza MMG. Influence of certain tooth characteristics on the esthetic evaluation of a smile. Dental Press J Orthod. 2012;17(3):25.e21-7. https://doi.org/10.1590/S2176-94512012000300008
Pithon MM, Santos AM, Couto FS, de Freitas LM, Coqueiro Rda S. Comparative evaluation of esthetic perception of black spaces in patients with mandibular incisor extraction. Angle Orthod. 2012;82(5):806-11. doi: 10.2319/102611-665.1.
Hunt O, Johnston C, Hepper P, Burden D, Stevenson M. The influence of maxillary gingival exposure on dental attractiveness ratings. Eur J Orthod. 2002;24(2):199-204. doi: 10.1093/ejo/24.2.199.
Ker AJ, Chan R, Fields HW, Beck M, Rosenstiel S. Esthetics and smile characteristics from the layperson’s perspective: a computer-based survey study. J Am Dent Assoc. 2008;139(10):1318-27. doi: 10.14219/jada.archive.2008.0043.
Follak AC, Ilha BD, Ribeiro DS, Mielke JC, Buligon MP, De David SC et al. Reshaping and closure of black triangle in upper anterior teeth. Revista Dentística on line. 2012;11:26-32.
Clark D. Restoratively driven papilla regeneration: correcting the dreaded ‘black triangle’. Tex Dent J. 2008;125:1112-5. PMID: 19180945.
Pithon MM, Bastos GW, Miranda NS, Sampaio T, Ribeiro TP, Nascimento LE et al. Esthetic perception of black spaces between maxillary central incisors by different age groups. Am J Orthod Dentofacial Orthop. 2013;143(3):371-5. doi: 10.1016/j.ajodo.2012.10.020.
Sharma AA, Park JH. Esthetic considerations in interdental papilla: remediation and regeneration. J Esthet Restor Dent. 2010;22(1):18-28. doi: 10.1111/j.1708-8240.2009.00307.x.
Câmara C. Estética em ortodontia: parte I. Diagrama de referências estéticas dentais (DRED). Rev Dental Press Estét. 2004;1(1):40-57.
Chang CA, Fields HW Jr, Beck FM, Springer NC, Firestone AR, Rosenstiel S et al. Smile esthetics from patients’ perspectives for faces of varying attractiveness. Am J Orthod Dentofacial Orthop . 2011;140(4):e171-80. doi: 10.1016/j.ajodo.2011.03.022.
Livas C, Delli K. Subjective and objective perception of orthodontic treatment need: a systematic review. Eur J Orthod . 2013;35(3):347-53. doi: 10.1093/ejo/cjr142.
Flores-Mir C, Silva E, Barriga MI, Lagravere MO, Major PW. Lay person’s perception of smile aesthetics in dental and facial views. J Orthod. 2004;31(3):204-9; discussion 201. doi: 10.1179/146531204225022416.
Van der Geld P, Oosterveld P, Van Heck G, Kuijpers-Jagtman AM. Smile attractiveness. Self-perception and influence on personality. Angle Orthod . 2007;77:(5)759-65. doi: 10.2319/082606-349.
Springer NC, Chang C, Fields HW, Beck FM, Firestone AR, Rosenstiel S et al. Smile esthetics from the layperson’s perspective. Am J Orthod Dentofacial Orthop . 2011;139(1):e91-e101. doi: 10.1016/j.ajodo.2010.06.019.
Abu Alhaija ES, Al-Shamsi NO, Al-Khateeb S. Perceptions of Jordanian laypersons and dental professionals to altered smile aesthetics. Eur J Orthod . 2011;33(4):450-6. doi: 10.1093/ejo/cjq100.
Parekh SM, Fields HW, Beck M, Rosenstiel S. Attractiveness of variations in the smile arc and buccal corridor space as judged by orthodontists and laymen. Angle Orthod . 2006;76(4):557-63. doi: 10.1043/0003-3219(2006)076[0557:AOVITS]2.0.CO;2.
Rodrigues Cde D, Magnani R, Machado MS, Oliveira OB. The perception of smile attractiveness. Angle Orthod . 2009;79(4):634-9. doi: 10.2319/030508-131.1.
Dutra MB, Ritter DE, Borgatto A, Derech CDA, Rocha R. Influence of gingival exposure on the smile esthetics. Dental Press J Orthod . 2011;16:111-8.
McLeod C, Fields HW, Hechter F, Wiltshire W, Rody W Jr, Christensen J. Esthetics and smile characteristics evaluated by laypersons. Angle Orthod . 2011;81(2):198-205. doi: 10.2319/060510-309.1
Notes
Author notes
* Corresponding author: Matheus Melo Pithon | Address: Av. Otávio Santos, 395, sala 705, Centro Odontomédico Dr. Altamirando da Costa Lima, Bairro Recreio, CEP 45020-750 - Vitória da Conquista - Bahia, Brasil | Phone: 55 77 99125-9025 | E-mail: matheuspithon@gmail.com
Conflict of interest declaration